Experience in Treatment of Patients with First Type Secondary Endoleaks
- Authors: Kalmykov E.L.1,2, Suchkov I.A.2, Kalinin R.E.2, Dammrau R.3
-
Affiliations:
- Clinic for Vascular and Endovascular Surgery, University Hospital of Brandenburg
- Ryazan State Medical University
- Helios Clinic
- Issue: Vol 31, No 3 (2023)
- Pages: 459-466
- Section: Clinical reports
- Submitted: 12.09.2023
- Accepted: 13.09.2023
- Published: 12.10.2023
- URL: https://journals.eco-vector.com/pavlovj/article/view/569332
- DOI: https://doi.org/10.17816/PAVLOVJ569332
- ID: 569332
Cite item
Abstract
INTRODUCTION: First type secondary endoleaks (EL) require quickest elimination, primarily using the endovascular methods. Despite the existence of a sufficiently large number of methods of their elimination, the results of treatment remain ambiguous.
AIM: Analysis of our own experience of elimination of the first type ELs in patients after endoprosthetics of infrarenal abdominal aortic aneurysm.
MATERIALS AND METHODS: The study is retrospective with prospective observation. All patients underwent computed tomography (CT) for identification of the type of EL and choosing a method of its elimination. The term ‘first type secondary EL’ was understood as EL which developed in the long-term period after the primarily negative CT-angiography after endoprosthetic repair of the aorta.
RESULTS: ELs of Ia type were diagnosed in 14 cases, in one case EL of Ib type was identified. On average, first type secondary ELs were identified in 34 months after the primary operation for endograft implantation. In 2 of 15 patients, EL were symptomatic. The elimination of the first type EL required an individualized approach in all cases. The main methods of elimination of the first type EL were: elongation using Jotec E-iliac (n = 1); coiling with implantation of Gore cuff and Chimney-stenting of the left renal artery (LRA; n = 2); implantation of Gore cuff (n = 4); reinforcement with Aptus EndoAnchors (n = 2); Cuff Gore implantation and LRA stenting by Chimney-technique (n = 1); implantation of Cuff Jotec and reinforcement with Aptus EndoAnchors (n = 1); aneurysmal sac coiling (n = 2); Gore cuff implantation with fixation with EndoAnchors and LRA stenting using Chimney-technique (n = 1). The technical success of EL elimination was 100% (in all cases, the success was confirmed by intraoperative angiography, as well as by CT angiography or ultrasound duplex scanning with contrast enhancement after surgery), there were no deaths. In the long-term period (from 6 to 60 months), re-interventions were performed in two cases, fatal outcome happened in one case, after a late open conversion for elimination of EL.
CONCLUSION: In 13% of cases, first type ELs were symptomatic, and their elimination required individual approach with taking into account anatomical factors and the implanted graft. The medium-term results of the elimination of the first type EL are good, no fatal cases have been reported, and the number of reinterventions has reached 20%, which requires monitoring in the postoperative period.
Full Text
LIST OF ABBREVIATIONS
AAA — abdominal aortic aneurysm
EL — endoleak
CT — computed tomography
EVAR — endovascular aortic repair
iAAА — infrarenal abdominal aortic aneurysm
LRA— left renal artery
RF — risk factor
INTRODUCTION
Abdominal aortic aneurysm (AAA) is a life-threatening condition with a high mortality rate in case of its rupture [1–7]. In the last decade, in Western European countries and the United States of America, endovascular repair of the infrarenal abdominal aortic aneurysm (iAAA) is performed in the overwhelming majority of cases [1–3]. Despite the proven advantages of endovascular aortic repair (EVAR), ‘the Achilles heel’ of this treatment method is formation of endoleaks (EL) [8–11]. The term ‘endoleak’ is understood as the existence of blood flow inside the aneurysmal sac after EVAR, but outside the inserted prosthesis [8, 9].
The most common cause of AAA rupture in the long term period is the existence of the type I EL which is the blood flow between the aneurysmal sac and endograft due to incomplete fit of the graft to the aortic wall in the region of the proximal neck of the aneurysm in distal zones of implantation of the iliac arteries [8, 11–13]. As noted in the guidelines of the European and Russian Societies for Vascular Surgery, type I endoleak requires early elimination [11], primarily by endovascular methods [12]. Despite a fairly large number of methods of its elimination, the results of treatment, especially of secondary ELs, remain ambiguous.
The aim of this study was analysis of the own experience of eliminating secondary endoleaks in patients after endovascular repair of the infrarenal abdominal aortic aneurysm.
MATERIALS AND METHODS
The work was performed as part of a study on the treatment of patients with AAA and its complications after endovascular prosthetics (ID ClinicalTrials.gov NCT04935268). The study is retrospective with prospective observation. All the patients underwent computed tomography (CT) angiography of the aorta and iliac arteries with 1 mm increments with a late venous phase to identify the type of EL and choose a way to eliminate it. In the postoperative period, all the patients underwent control CT angiography. The term ‘secondary type I endoleak’ was understood as EL that developed in the long-term period after primary negative CT angiography after EVAR.
RESULTS
Of the total number of patients with AAA who underwent EVAR in the period from 2010 to 2019, secondary Ia and Ib type ELs were identified in 15 patients, with this, in 6 patients with type I EL, the primary endovascular repair of AAA was performed in other clinics. Clinical and demographic characteristics of the analyzed cohort are given in Table 1.
Table 1. Demographic Characteristics and Risk Factors in Patients with Type I Endoleaks after Endovascular Repair of Infrarenal Abdominal Aortic Aneurysm (n = 15)
Parameters | Value |
Men/women, persons | 12/3 |
Mean age, years | 71.4 |
Age of the primary implantation of the graft | 68.0 |
Smoking, persons | 13 |
Essential hypertension, persons | 13 |
Coronary heart disease, persons | 3 |
Chronic kidney disease, persons | 5 |
Chronic obstructive pulmonary disease, persons | 2 |
Diabetes mellitus, persons | 2 |
Ia type EL was diagnosed in 14 cases, while Ib type EL was diagnosed in one case. On average, late type I ELs were identified in 34 months after the primary operation for insertion of an endograft. Type I ELs developed after insertion of the following endografts: Jotec Etegra, Medtronic Endurant, Gore Excluder, Jotec Evita. In two of 15 patients, ELs were symptomatic requiring emergency surgery for their elimination.
The main methods of elimination of type IEL were: elongation using Jotec E-iliac (n = 1); coiling with implantation of Gore cuff and Chimney-stenting of the left renal artery (LRA; n = 2); implantation of Gore cuff (n = 4); fixation with Aptus EndoAnchors (n = 2); implantation of Cuff Gore and LRA stenting by Chimney technique (n = 1); implantation of Cuff Jotec with fixation with Aptus EndoAnchors (n = 1); aneurysmal sac coiling (n = 2); implantation of Gore cuff with fixation with EndoAnchors and LRA stenting using Chimney technique (n = 1).
The technical success of EL elimination was 100%. Methods of elimination of secondary ELs and the long-term period are presented in Table 2.
Table 2. Variants of Type I Endoleaks, Methods of Their Elimination and Long-Term Period
Gender, Age | Primary EVAR Surgery (years) | EL Type | Elimination Method | Long-Term Period/Reinterventions |
A man, 67 years old | EVAR/Jotec Etegra (2010) | Ib, on the right | In 2 years, EL Ib on the left, elongation was performed with Jotec E-iliac. In 2 years, II type EL, coiling was performed. In 5 years, Ia type EL with dilatation of the aortic aneurysm neck, eliminated with implantation of Anaconda 4-fenestrated graft. | |
A man, 76 years old | EVAR/Endurant (2012) | Ia | Coiling with implantation of Gore cuff and Chimney-stenting of LRA | Follow-up 16 months. EL not identified. |
A man, 78 years old | EVAR/Gore Excluder (2020) | Ia | Implantation of Gore cuff | Follow-up 7 months. EL not identified. |
A woman, 76 years old | EVAR/Endurant (2004) | Ia | Open conversion, fatal outcome | – |
A man, 73 years old | EVAR/Gore Excluder (2019) | Ia | Implantation of Gore cuff | Follow-up 36 months. EL not identified. |
A man, 77 years old | EVAR/Jotec Etegra (2016) | Ia | Implantation of Gore cuff | Follow-up 12 months. EL not identified. |
A man, 75 years old | EVAR/Jotec Etegra (2018) | Ia | Fixation with Aptus EndoAnchors | Follow-up 24 months. EL not identified. |
A woman, 72 years old | EVAR/Endurant (2016) | Ia | Implantation of Gore cuff | – |
A man, 85 years old | EVAR/Jotec Etegra (2014) | Ia | Implantation of Сuff Gore and stenting of LRA by Chimney method | Follow-up 9 months. EL not identified. |
A man, 73 years old | EVAR/Jotec Evita (2011) | Ia | Fixation with Aptus EndoAnchors | Follow-up 6 months. EL not identified. |
A man, 64 years old | EVAR/Jotec Etegra (2013) | Ia | Implantation of Cuff Jotec and fixation with Aptus EndoAnchors | Follow-up 12 months. EL not identified. |
A man, 57 years old | EVAR/Gore Excluder (2019) | Ia | Implantation of Cuff Gore, coiling, stenting of LRA by Chimney method | Follow-up 12 months. EL not identified. |
A man, 66 years old | EVAR/Gore Excluder (2019) | Ia | Coiling of aneurysmal sac | Follow-up 12 months. EL not identified. |
A woman, 65 years old | EVAR/Endurant (2010) | Ia | Coiling of aneurysmal sac | Follow-up 12 months. EL not identified. |
A man, 67 years old | EVAR/Endurant (2007) | Ia | Implantation of Gore, fixation with EndoAnchors and stenting of LRA with Chimney technique | Follow-up 12 months. EL not identified. |
Notes: LRA — Left Renal Artery, EL — endoleak, EVAR — Endovascular Aortic Repair
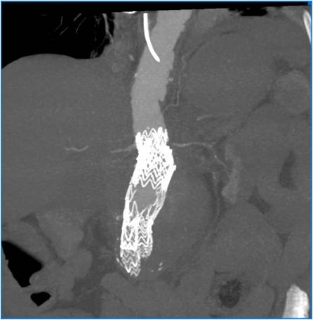
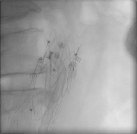
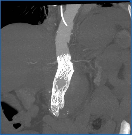
As seen from the presented table, eliminating type I EL required individual approach in all cases. Only in 4 cases the implantation of aortic cuff was performed in the isolated form to eliminate EL (Figure 1). In these cases, the aortic cuff was additionally fixed with Aptus EndoAnchors (Figure 2). In all cases, the procedure for EL elimination was confirmed with the intraoperative angiography, as well as by CT angiography or duplex ultrasonography with contrast enhancement after the surgery. No fatal outcomes were recorded.
Fig. 1. CT angiography after implantation of the aortic cuff in Ia type endoleak. Note: CT — Computed Tomography.
Fig. 2. Intraoperative photo after implantation of the aortic cuff with fixation with Aptus EndoAnchors in Ia type endoleak.
In the long-term period (from 6 months to 60 months) reinterventions were performed in two cases, fatal outcome was recorded in one case after a late open intervention to eliminate EL.
DISCUSSION
According to a number of authors, endoleaks are the main cause of ruptures after endovascular aortic repair and late open conversions [14]. Thus, G. Kouvelos, et al. found that ELs were indications for late open conversions in 62.4% of cases [15]. Type I ELs are accompanied by a significant increase in pressure in the aneurysmal sac, which leads to an overtension and rupture of its wall [8, 11, 13, 16]. The evaluation of the frequency of occurrence of type I ELs is difficult due to the heterogeneity of the published material and absence of a unified register of complications after EVAR. The main risk factors (FRs) for the development of type I EL are: inappropriate ‘oversizing’, significant angulation of the aneurysm neck, calcification of the AAA neck, short AAA neck, conical AAA shape, circular location of the thrombus in the region of the neck and of the endograft implantation [17–19], existence of type II endoleak and some others [17–21].
In the long-term postoperative period in identification of EL, it is extremely difficult in some cases to evaluate in what anatomic conditions the primary graft implantation was performed and what RFs could have lead to development of the given complication. In 6 cases of our study, the primary implantations of grafts were performed in other medical institutions, which did not permit to evaluate the RFs of their development. In other cases, the RFs were progression of aneurysmal degeneration, calcification of AAA neck, short neck and its maximally permissible angulation for repair with a certain graft.
Type I ELs require the earliest possible detection and elimination [8, 11, 13, 21]. In case of failure of endovascular elimination of EL, an open surgery is recommended [8, 11], however, the experience of performing open conversions demonstrates a significant number of postoperative complications and mortality cases [14–16]. Besides, it should be noted that many patients with AAA have a number of severe concomitant diseases, which influences the postoperative period.
The most frequently used methods of endovascular elimination of type I EL are Palmaz stent implantation, installation of an aortic cuff both in the isolated form and in combination with implantation of stents into the renal arteries, embolization of endoleak, as well as implantation of a fenestrated graft [8, 11, 16]. In 8 of our observations, the installation of an aortic cuff was performed in a combination with stenting of the renal arteries, as well as fixation with Aptus EndoAnchors, embolization of the endoleak, implantation of a fenestrated graft and in one observation (with type Ib EL) with elongation with Jotec E-iliac. The existence of different methods of eliminating EL requires an individual approach to EL elimination in each case with taking into account the anatomical conditions. In a retrospective analysis R. R. Rajani, et al. on the basis of the experience of treating 72 patients with AAA with intraoperatively identified type Ia EL which was eliminated by implantation of Palmaz stent (33.0%) or a graft-cuff (62.5%), found that both methods are reliable and demonstrate a good long-term result [21]. The medium-term and long-term results of our observations also demonstrated the absence of reinterventions and ruptures of the AAA after the elimination of type Ia EL using the aortic cuff.
A systematic review and meta-analysis of techniques for the elimination of Ia type endoleaks by P. Perini, et al. (2019) demonstrated a technical success of reintervention with use of aortic cuff in 98.0% of cases, of fenestrated graft — in 86.2%, endostapling — in 57.0%, embolization — in 95.2% [22]. It should be noted that in many cases, the elimination of Ia type ELs requires rather complicated reinterventions [8], especially in implantation of fenestrated endoprosthesis. A rather rare variant of eliminating type Ia ELs is the use of EndoAnchors, however, its application is limited by the clearance between the aortic wall and the graft [23]. In our observations, this procedure was performed with implantation of the aortic cuff (n = 1) with a good medium-term result. Another relatively rare variant of elimination of type Ia ELs is embolization.
Ib type ELs most commonly emerge in dilated, calcified short iliac arteries, their significant bends, a short lower stem of the iliac part of the graft or its migration [8, 11]. In most cases, type Ib ELs are eliminated by distal elongation of the graft [20], embolization of the internal iliac artery or implantation of a branched iliac graft, which was also demonstrated in one of our observations with a good long-term result.
CONCLUSION
In 13% of clinical observations of type I endoleaks in patients after endovascular repair of infrarenal aortic abdominal aneurysm, they were symptomatic, and their elimination required individual approach with taking into account anatomical factors and of the implanted graft. The medium-range results of elimination of type I endoleaks are good, no fatal cases were recorded, the number of reinterventions reached 20%; control in the postoperative period is required.
ADDITIONALLY
Funding. This article was not supported by any external sources of funding.
Conflict of interests. The authors declare that there is no external funding for the study.
Contribution of the authors: I. A. Suchkov, R. E. Kalinin — concept and design of the study, editing; E. L. Kalmykov, R. Dammrau — collecting and processing of material, writing of the text. The authors confirm the correspondence of their authorship to the ICMJE International Criteria. All authors made a substantial contribution to the conception of the work, acquisition, analysis, interpretation of data for the work, drafting and revising the work, final approval of the version to be published and agree to be accountable for all aspects of the work.
About the authors
Egan L. Kalmykov
Clinic for Vascular and Endovascular Surgery, University Hospital of Brandenburg;Ryazan State Medical University
Author for correspondence.
Email: egan0428@mail.ru
ORCID iD: 0000-0001-6784-2243
Germany, Brandenburg; Ryazan
Igor’ A. Suchkov
Ryazan State Medical University
Email: suchkov_med@mail.ru
ORCID iD: 0000-0002-1292-5452
SPIN-code: 6473-8662
MD, Dr. Sci. (Med.), Professor
Russian Federation, RyazanRoman E. Kalinin
Ryazan State Medical University
Email: kalinin-re@yandex.ru
ORCID iD: 0000-0002-0817-9573
SPIN-code: 5009-2318
Professor
Russian Federation, RyazanRolf Dammrau
Helios Clinic
Email: dammrau@web.de
ORCID iD: 0000-0002-8436-8173
Germany, Siegburg
References
- Uryas'yev OM, Zhukova LA, Glotov SI, et al. Difficulties in diagnosing aortic dissection in real clinical practice. Nauka Molodykh (Eruditio Juvenium). 2022;10(1):63–74. (In Russ). doi: 10.23888/HMJ202210163-74
- Kalmykov EL, Suchkov IA, Kalinin RE, et al. The Role and Significance of Polymorphisms of Certain Genes in Patients with Abdominal Aortic Aneurysm. I. P. Pavlov Russian Medical Biological Herald. 2022;30(4):437–45. (In Russ). doi: 10.17816/PAVLOVJ108311
- Watts MM. Percutaneous Endovascular Aneurysm Repair: Current Status and Future Trends. Semin Intervent Radiol. 2020;37(4):339–45. doi: 10.1055/s-0040-1714728
- Trenner M, Haller B, Storck M, et al. How EVAR Changed the Game: Trends in Patient Characteristics, Surgical Techniques and Outcomes of Non-ruptured AAA Repair in Germany from 1999 to 2010. Eur J Vasc Endovasc Surg. 2015;50(3):402. doi: 10.1016/j.ejvs.2015.06.066
- Suckow BD, Goodney PP, Columbo JA, et al. National trends in open surgical, endovascular, and branched-fenestrated endovascular aortic aneurysm repair in Medicare patients. J Vasc Surg. 2018;67(6):1690–7.e1. doi: 10.1016/j.jvs.2017.09.046
- Nikonenko TN, Nikonenko AA. Morphogenesis abdominal aortic aneurysm. I. P. Pavlov Russian Medical Biological Herald. 2013;(2):7–12. (In Russ).
- Kalinin RE, Suchkov IA, Karpov VV, et al. History of Use of Homografts in Vascular Surgery (Literature Review). Nauka Molodykh (Eruditio Juvenium). 2022;10(3):335–48. (In Russ). doi: 10.23888/HMJ2022103335-347
- Kalmykov EL, Suchkov IA, Kalinin RE, et al. Endoleaks in endovacular treatment of infrareneral abdominal aortic aneurysm (part I). Pirogov Russian Journal of Surgery. 2022;(7):77–84. (In Russ). doi: 10.17116/hirurgia202207177
- Kalmykov EL, Suchkov IA, Damrau R. Embolization of endoleaks after endovascular abdominal aortic repair. Kardiologiya i Serdechno-Sosudistaya Khirurgiya. 2022;15(5):451–55. (In Russ). doi: 10.17116/kardio202215051451
- Patel R, Sweeting MJ, Powell JT, et al. Endovascular versus open repair of abdominal aortic aneurysm in 15-years’ follow-up of the UK endovascular aneurysm repair trial 1 (EVAR trial 1): a randomised controlled trial. Lancet. 2016;388(10058):2366–74. doi: 10.1016/S0140-6736(16)31135-7
- Wanhainen A, Verzini F, van Herzeele I, et al. Editor's Choice — European Society for Vascular Surgery (ESVS) 2019 Clinical Practice Guidelines on the Management of Abdominal Aorto-iliac Artery Aneurysms. Eur J Vasc Endovasc Surg. 2019;57(1):8–93. doi: 10.1016/j.ejvs.2018.09.020
- Natsional’nyye rekomendatsii po vedeniyu patsiyentov s anevrizmami bryushnoy aorty. Moscow; 2013. Available at: https://www.angiolsurgery.org/recommendations/2013/recommendations_AAA.pdf. Accessed: 2023 September 12. (In Russ).
- Chaikof EL, Dalman RL, Eskandari MK, et al. The Society for Vascular Surgery practice guidelines on the care of patients with an abdominal aortic aneurysm. J Vasc Surg. 2018;67(1):2–77.e2. doi: 10.1016/j.jvs.2017.10.044
- Kalmykov EL, Sadriev ON. Late conversions after endovascular abdominal aortic repair. Angiology and Vascular Surgery. 2016;22(3):168–75. (In Russ).
- Kouvelos G, Koutsoumpelis A, Lazaris A, et al. Late open conversion after endovascular abdominal aortic aneurysm repair. J Vasc Surg. 2015;61(5):1350–6. doi: 10.1016/j.jvs.2015.02.019
- Perini P, Gargiulo M, Silingardi R, et al. Multicenter comparison between open conversions and semi-conversions for late endoleaks after endovascular aneurysm repair. J Vasc Surg. 2022;76(1):104–12. doi: 10.1016/j.jvs.2022.01.023
- Cao P, De Rango P, Verzini F, et al. Endoleak after endovascular aortic repair: classification, diagnosis and management following endovascular thoracic and abdominal aortic repair. J Cardiovasc Surg (Torino). 2010;51(1):53–69.
- Chen J, Stavropoulos SW. Management of Endoleaks. Semin Intervent Radiol. 2015;32(3):259–64. doi: 10.1055/s-0035-1556825
- Buijs RVC, Zeebregts CJ, Willems TP, et al. Endograft Sizing for Endovascular Aortic Repair and Incidence of Endoleak Type 1A. PLoS One. 2016;11(6):e0158042. doi: 10.1371/journal.pone.0158042
- Tashima Y, Tamai K, Shirasugi T, et al. Successful Aortic Banding for Type IA Endoleak Due to Neck Dilatation after Endovascular Abdominal Aortic Aneurysm Repair: Case Report. Ann Vasc Dis. 2017;10(3):265–9. doi: 10.3400/avd.cr.17-00007
- Rajani RR, Arthurs ZM, Srivastava SD, et al. Repairing immediate proximal endoleaks during abdominal aortic aneurysm repair. J Vasc Surg. 2011;53(5):1174–7. doi: 10.1016/j.jvs.2010.11.095
- Ameli–Renani S, Pavlidis V, Morgan RA. Secondary Endoleak Management Following TEVAR and EVAR. Cardiovasc Intervent Radiol. 2020;43(12):1839–54. doi: 10.1007/s00270-020-02572-9
- Perini P, Massoni CB, Mariani E, et al. Systematic Review and Meta-Analysis of the Outcome of Different Treatments for Type 1a Endoleak After EVAR. Ann Vasc Surg. 2019;60:435–46.e1. doi: 10.1016/j.avsg.2019.03.032
- Van Slambrouck J, Mufty H, Maleux G, et al. The impact of type 1a endoleak on the long-term outcome after EVAR. Acta Chir Belg. 2021;121(5):333–9. doi: 10.1080/00015458.2020.1794337
Supplementary files









