Experimental study on the proliferating activity and differentiation of renal stem cells in superinvasive opisthorchiasis
- Authors: Uruzbaev R.M.1,2, Bychkov V.G.1, Vikhareva L.V.1, Molokova O.A.1
-
Affiliations:
- Tyumen State Medical University
- Multipurpose Clinical Medical Center «Medical City»
- Issue: Vol 29, No 2 (2021)
- Pages: 213-218
- Section: Original study
- Submitted: 27.12.2020
- Accepted: 01.02.2021
- Published: 22.07.2021
- URL: https://journals.eco-vector.com/pavlovj/article/view/57046
- DOI: https://doi.org/10.17816/PAVLOVJ57046
- ID: 57046
Cite item
Abstract
AIM: This study aimed to identify the replication potential of the kidneys in different forms of opisthorchiasis in laboratory animals.
MATERIALS AND METHODS: An experiment was conducted on 60 Syrian male hamsters. The first group was set as the control (n = 10), the second group (n = 25) was infected with metacercariae (Opisthorchis felineus), and the third group (n = 25) was a model of a superinvasive form of opisthorchiasis infection with 50 O. felineus larvae and repeated infection with 50 metacercariae in 14 and 25 days. The hamsters were withdrawn from the experiment on days 7, 15, and 30 via an overdose of narcosis and decapitation. The kidneys were isolated and histologically examined through histochemical and immunohistochemical staining methods. Microscopy was conducted, and results were statistically analyzed.
RESULTS: The quantitative characteristics, proliferation tendencies, and differentiation of regional stem cells were identified. In the cortical and medullary substance of the kidneys, CD117, Oct4, and CD34 markers were expressed, and CD31-positive stem cells further differentiated to progenitor cells. Epithelial structures developed in the form of tubules. In the glomeruli, vasculogenesis occurred, and the number of vascular loops increased.
CONCLUSION: O. felineus secretome initiated the activation of stem cells in the renal tubules and pericytes of a microcirculatory network. The transitional epithelium of the renal pelvis and the initial parts of the ureter proliferated. Under the action of the secretome of parasites, stem cells proliferated directly in glomerular loops.
Keywords
Full Text
Cat liver fluke or Opisthorchis felineus is responsible for the occurrence of a parasitic disease known as opisthorchiasis (a type of trematode infection). The disease has a systemic characteristic: presence of lesions in econiches (liver, pancreas, gallbladder), which is where parasites vegetate [1, 2]. Evidenced by clinical and pathoanatomical practice, helminths induce significant alterations in the organs and systems where they do not parasitize, that is, alterations also occur outside the econiches of Opisthorchis spp., for example, in lungs, kidneys, and so on. Manifestations are mostly expressed in hypereosinophilic syndrome resulting from numerous early and late super invasions [3, 4]. Opisthorchis spp. contain granulin proteins in their secretome that exerts an evident proliferating effect, which causes mutations in numerous proliferative genes [5, 6]. As shown earlier in laboratory animals, Opisthorchis invasion expresses numerous genes, namely c-Kit, AРC, K-ras, B-raf, WE6F, VEGFR, and others, which is explained by the reaction of parasites to provide their individuals with a trophic substrate – cholangiocytes. According to the rule of H. Leduc (1964), regional stem cells of the liver (replicative potential) are induced to proliferate and differentiate to cholangiocellular and hepatocellular differons. Simultaneously (15th day of the experiment), the following active processes of neoangiogenesis were observed: vasculogenesis (formation of vessels from progenitor cells) and angiogenesis (formation of vessels from the vascular network) due to the kinetic processes of the endothelium and pericytes of pre-existing capillaries [7].
Clinically, there is a paucity of studies regarding the kidney’s condition in opisthorchiasis. Patients with chronic opisthorchiasis present with proteinuria, hematuria, and cylindruria; many researchers assign these manifestations to the allergic reaction to Opisthorchis spp. [8, 9]. Cases of immune glomerulonephritis with nephrotic syndrome have also been described in acute opisthorchiasis; these conditions were manifested by pronounced nephropathy [10, 11]. Morphogenetic studies on the initiation and kinetics of native kidney stem cells in opisthorchiasis have not been conducted, and the reaction of the replicative potential of kidneys to the initiating substrate of Opisthorchis spp. – secretome (granulin) – remains unknown. Moreover, this reactions is important for identifying repair processes in the partial resections of this organ.
This study aimed to identify the reactions of replicative potential of kidneys in different forms of opisthorchiasis in laboratory animals.
MATERIALS AND METHODS
The experiment was conducted on 60 Syrian male hamsters (Syrian golden hamster) weighing 95.0 ± 10.0 g. The animals were divided into three groups:
I – control group – 10 animals;
II – experimental group – 25 hamsters infected with 50 O. felineus metacercariae;
III – modeling of super invasive form of opisthorchiasis (SF) – infection with 50 O. felineus larvae followed by repeated infections with 50 metacercariae on the 14th and 25th days.
Metacercariae were isolated from nerflings (Leuciscus idus) of one biotope by G.A. Glazkov’s method [12]. All manipulations with the animals were conducted in compliance with the Declaration of Helsinki’s guidelines on the humane treatment of animals and Order of HM RF No 267 of June 19, 2003 «On approval of rules of laboratory practice». Hamsters were withdrawn from the experiment by the overdose of narcosis with subsequent decapitation on the 7th, 15th, and 30th days.
After standard histological manipulations, the sections of renal tissue were stained with hematoxylin and eosin by Van Gieson method. De-embedding, antigen retrieval, and immunohistochemical reactions were performed with the use of Bond–Max autostainer (Leica Biosystems, USA) in accordance with the standard protocols. Immunohistochemical examinations were conducted using following markers: CD34 (Lab Vision Corporation, USA; clone – QBEnd/10, Cell Marque), CD31 (Novokastra, USA; clone – JC70, Cell Marque), Oct-4 (Lab Vision Corporation, USA; clone – MRQ-10, Cell Marque), CD117 (Lab Vision Corporation, USA; clone – YR145, Cell Marque), and Ki-67 (RTU, США; clones – MIB-1, Agilent/Dako). Results of immunohistochemical reactions were evaluated by semi-quantitative and quantitative characteristics: intensity of reactions were assessed on a scale from 0 to 3 points (0 – no reaction, 2 – moderate reaction, 3 – evident reaction) and by the number of positively stained cells in 1 microscopic field (microscopic field; 400× magnification). Positively stained cells were counted in 10 microscopic fields at 400× magnification by calculating the arithmetic mean. Coverglass preparations were studied on Axio Lab.A1 (Carl Zeiss Microscopy, Germany) with a further morphometric evaluation of quantitative parameters.
Statistical processing of the results was performed using the variation statistics method with the use of application software package Office Excel 2007 (Microsoft, USA) on IBMPC/AT Pentium IV in the Windows 7.0 environment. The results are presented in shares (%), median (Me), and lower (Q25) and upper (Q75) quartiles. Non-parametric Mann–Whitney method was used for comparison. р < 0.05 was assigned as the level of statistical significance for this study parameters.
RESULTS AND DISCUSSION
On the seventh day after infection, macroscopic and histological examinations revealed minimal alterations in the kidneys. Morphological alterations were similar and corresponded to the morphological picture observed in the control group. In the group with SF, a focal interstitial edema and minor lymphoid infiltration in the cortical substance were noted; moreover, no significant changes were found in the glomeruli.
On the 15th day of the experiment, the microscopic picture of kidneys of animals of groups II and III significantly differed from that of group I (control): morphological changes of different extents of evidence were recorded in the different parts of nephron. An increase in the size of the glomeruli with a moderate compression of the capillary loops and the focal sclerosis of capsule and capillary loops in some of them were observed. In the cortical substance, vacuolization of the cytoplasm in some epithelial cells of convoluted tubules was noted. In the proximal tubules, the signs of hyaline-drop dystrophy and signs of focal necrobiosis were present. A partial desquamation of epithelium with the formation of small denudation foci, as well as the foci of fibrosis and sclerosis was recorded. In SF, up to 28% of glomeruli were hypertrophied, whereas such alteration of glomeruli was observed in late stages in group II. Here, up to 10% of glomeruli were collapsed and had initial signs of glomerulosclerosis accompanied by stasis in capillaries on the renal corpuscle.
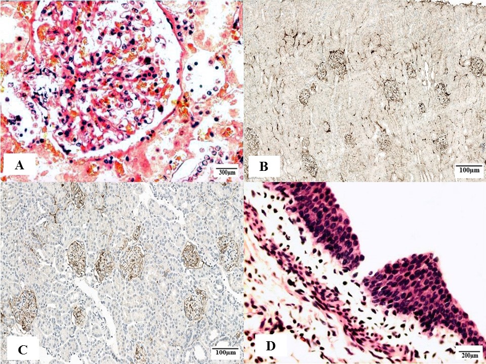
An increase in the CD31 marker was observed in the glomerular apparatus in the stroma of kidneys and in the walls of tubules in group II (single infection with metacercariae O. felineus). a moderate expression of the CD34 marker indicated the activation of stem cells in these structures (Figure 1А, B, C).
Fig. 1. SF group on the 15th day of the experiment: A – evident proliferation of renal tubules. Hematoxylin and eosin stain. Magnification × 40; B – the membrane expression of CD34 marker in renal tubules. Immunohistochemical reaction with CD34. Magnification × 20; C – cytoplasmic expression of CD31 marker in glomeruli. Immunohistochemical reaction with CD31. Magnification × 10; D – close location of glomeruli with moderate sclerosis. Hematoxylin and eosin stain. Magnification х 20.
Besides, an increase in the number of renal capillaries in the glomerulus itself was detected (group I: 31.00 ± 12.74). In group III (superinvasive form of opisthorchiasis), an evident proliferation of stem and progenitor cells in the forming vessels and proliferation of the epithelial structures of tubules were observed (Table 1).
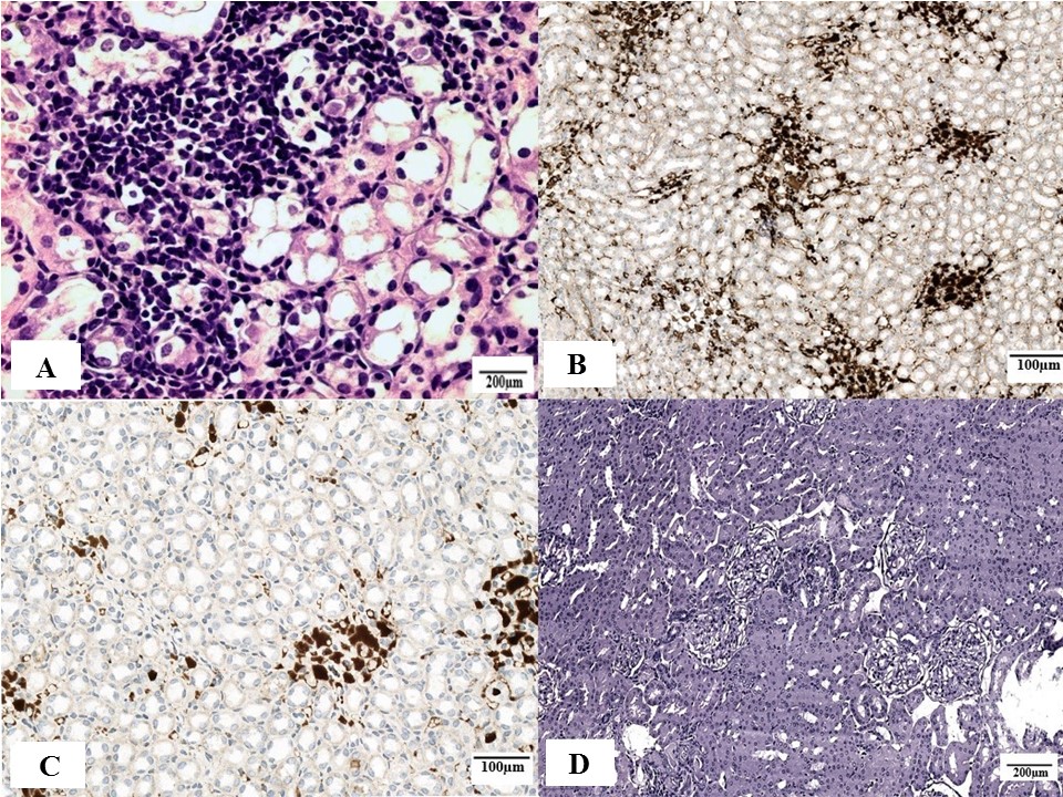
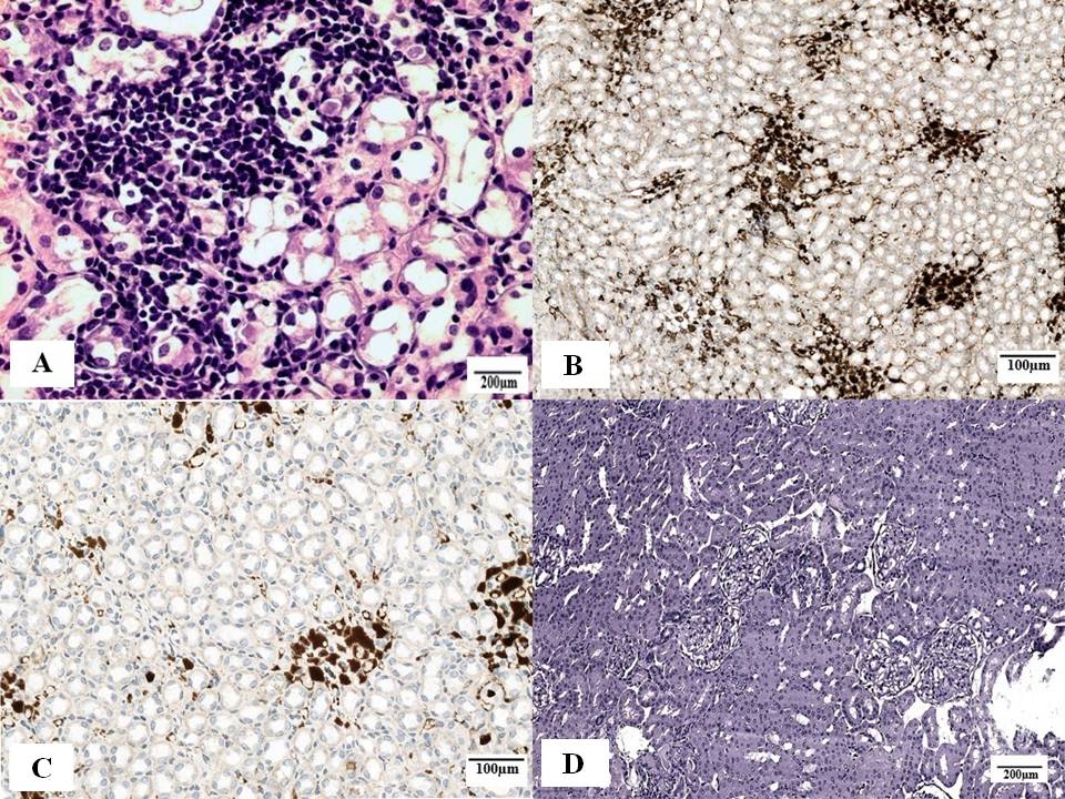
On the 30th day of the experiment, granular cylinders were observed in the lumen of convoluted tubules. Inflammatory infiltrates were present in the form of lymphomononuclear cells near glomeruli. In the preparations, focal interstitial fibrosis was identified and it was more evident than in the experimental group. The segmentation of glomeruli accompanied by an increase in the number of capillaries of the renal corpuscle was observed. The glomeruli were hypertrophied, located close to each other, and a part of them showed evident sclerosis as compared with the second experimental group (Figure 1D).
In the nephrons, an increase in the diameter of glomerulus and its surface area was recorded as compared to the group of primary infection with Opisthorchis spp. (Figure 2A). Here, an evident expression of CD31 and Oct-4 markers (Figure 2A) and evident proliferation of multilayered transitional epithelium in the pelvis (Figure 2D) were noted.
During the experiment, a higher regenerator potential was identified in the walls of renal tubules as compared with glomeruli because in super invasive opisthorchiasis, the expression of CD34, Oct-4, CD117 markers was observed in the walls of renal tubules. In the examination of proliferative activity, the expression of Ki-67 marker in these structures was higher than that in the glomerular apparatus.
Table 1. Expression of Monoclonal Antibodies in Study Groups on 15th Day of Experiment, Ме (Q25–Q75)
Markers | Stroma | Parenchyma | ||||
Group I | Group II | Group III | Group I | Group II | Group III | |
CD34, кл/мм2 | 3.60 ± 1.24 (1.76 - 4.84) | 11.70 ± 2.78** (8.92 - 14.48) | 17.80 ± 5.87** (11.93 - 23.67) | 2.70 ± 1.25 (1.45 - 3.95) | 10.70 ± 0.43** (10.27 - 11.13) | 11.80 ± 0.54* (11.26 - 12.34) |
Oct4, кл/мм2 | 4.60 ± 3,85 (0.75 - 8,45) | 12.70 ± 5.41* (7.29 - 18.11) | 39.50 ± 16.19* (23.31 - 55.69) | 0.40 ± 0.20 (0.20 - 0.60) | 1.20 ± 0.09** (1.11 - 1.29) | 1.90 ± 0.95* (0.95 - 2.85) |
CD117, кл/мм2 | 1.06 ± 0.78 (0.28 - 1.84) | 7.08 ± 3.48** (3.60 - 10.56) | 19.97 ± 7.93** (12.04 - 27.90) | 1.45 ± 0.68 (0.77 - 2.13) | 2.70 ± 1.10* (1.60 - 3.80) | 3.60 ± 3.50** (0.10 - 7.10) |
CD31, кл/мм2 | 2.10 ± 0.74 (1.36 - 2.84) | 8.40 ± 0.68** (7.72 - 9.08) | 14.55 ± 5.65* (8.90 - 20.20) | 4.80 ± 0.80 (4.0 - 5.6) | 8.40 ± 1.08** (7.32 - 9.48) | 10.80 ± 0.45* (10.35 - 11.25) |
Ki-67, % | 1.6 | 3.0** | 9.0* | 0.8 | 2.4* | 7.6** |
Notes: * – statistically significant differences as compared to group I, р < 0.05, ** – statistically significant differences as compared to group I, р < 0.01. Each marker was analyzed in 10 fields at × 400 magnification
Fig. 2. SF group on the 30th day of experiment: A – increase in the number of loops in glomeruli. Hematoxylin and eosin stain. Magnification ×40; B – membrane expression of CD31 marker in renal tubules. Immunohistochemical reaction with CD31. Magnification 10×; C – nuclear expression of Oct4 marker in renal glomeruli. III group. Immunohistochemical reaction with Oct4. Magnification ×20; D – proliferation of transitional epithelium of pelvis. Hematoxylin and eosin stain. Magnification ×40.
The practice of postmortem examinations of patients who died with super invasive opisthorchiasis in a hyperendemic focus showed a rare participation of kidneys as the main component of the direct cause of death. An exception is the evident systemic inflammation (sepsis) and the development of chronic kidney disease against the background diffuse immunocomplex glomerulonephritis. It can be suggested that active vasculogenesis, that is, CD-34–positive (endothelial) cells, generally permits the enrichment of glomeruli with additional functional structures and enhance the compensatory potentials of organs. It should be noted that in super invasive opisthorchiasis, neoangiogenesis occurs and is subdivided into angiogenesis – trichotomic branching of existing vascular formations – and vasculogenesis – development of vessels de novo from stem cells. The latter process is observed in various organs, regardless of the place of vegetation of the parasite [2, 7].
Pericytes play an important role in organizing the microvasculature of the kidneys. As is it known, they actively express vascular endothelial growth factor; therefore, the identified activity of CD31 marker reaches three points, which confirms the fact that podocytes, forming an expensive network around capillaries, actively participate in the angiogenesis and in the maturation of vessels upon exposure to O. felineus secretome. In general, the number of loops in glomeruli increases by 24.3% (67.4 ± 3.6). Besides with the use of histochemical stains, it was confirmed that moderate sclerotic alterations around glomerular apparatus result from the activation of fibroblastic differon.
CONCLUSION
It was found that O. felineus secretome initiates the activation of stem cells in renal tubules and of the pericytes of microvasculature. The active proliferation of transitional epithelium of pelvis and of initial parts of ureter was found. Besides, under the action of parasite’s secretome, a pronounced proliferation of stem cells occurred directly in the glomerular loops that may have exerted a protector effect in the critical conditions of an organism of parasite’s host.
ADDITIONALLY
Conflict of interests. The authors declare no actual and potential conflict of interests, which should be stated in connection with publication of the article.
Participation of authors: R.M. Uruzbaev — collection, translation and analysis of material, writing the text, V.G. Bychkov, L.V. Vikhareva — editing, O.A. Molokova — concept of the review, editing.
About the authors
Rinat M. Uruzbaev
Tyumen State Medical University; Multipurpose Clinical Medical Center «Medical City»
Author for correspondence.
Email: uruzbaevrm@mail.ru
ORCID iD: 0000-0001-6883-0543
MD, Cand.Sci.(Med.), Associate Professor of the Pathological Anatomy and Forensic Medicine Department
Russian Federation, Tyumen; TyumenVitaly G. Bychkov
Tyumen State Medical University
Email: uruzbaevrm@mail.ru
ORCID iD: 0000-0002-0211-2669
MD, Dr.Sci.(Med.), Profеssor, Profеssor of thе Pathological Anatomy and Forensic Medicine Department
Russian Federation, TyumenLarisa V. Vikhareva
Tyumen State Medical University
Email: vihareva@tyumsmu.ru
ORCID iD: 0000-0001-6864-4417
MD, Dr.Sci.(Med.), Profеssor, Head of the Human Anatomy, Topographic Anatomy and Operative Surgery Department
Russian Federation, TyumenOlga A. Molokova
Tyumen State Medical University
Email: molokova_tyumsmu@mail.ru
ORCID iD: 0000-0002-3736-3089
MD, Dr.Sci.(Med.), Associate Professor, Professor of the Pathological Anatomy and Forensic Medicine Department
Russian Federation, TyumenReferences
- Bychkov VG, Ivanyuzhenko ND, Shevchuk ON. Opistorkhoz v sochetanii s alkogol’noy intoksikatsiyey u lyudey i v eksperimente. Kliniko-morfologicheskoye issledovaniye. Meditsinskaya Parazitologiya i Parazitarnyye Bolezni. 1986;(5):30-3. (In Russ).
- Bychkov VG, Chernov IA, Khadiyeva YeD, еt al. Patterns of proliferative reactions in opisthorchiasis: their role in carcinogenesis and regeneration. Morphology. 2018;153(3):52. (In Russ).
- Solov’yeva OG. Kliniko-patogeneticheskiye osobennosti zabolevaniy legkikh pri superinvazionnom opistorkhoze u naseleniya Srednego Priob’ya [dissertation]. Tyumen; 2011. (In Russ).
- Kulikova SV. Strukturno-funktsional’nyye izmeneniya serdtsa i antropometricheskikh pokazateley u bol’nykh superinvazionnym opistorkhozom [dissertation]. Tyumen; 2011. (In Russ).
- Pakharukova MYu. Strukturno-funktsional’naya organizatsiya sistemy metabolizma ksenobiotikov u vozbuditelya opistorkhoza Opisthorchis felineus (Rivolta, 1884) [dissertation]. Novosibirsk; 2016. (In Russ).
- Pomaznoy MYu. Transkriptomnyy analiz trematody Opisthorchis felineus [dissertation]. Novosibirsk; 2015. (In Russ).
- Bychkov VG, Zolotukhina VM, Khadieva ED, et al. Hypereosinophilic Syndrome, Cardiomyopathies, and Sudden Cardiac Death in Superinvasive Opisthorchiasis. Cardiology Research and Practice. 2019;2019:4836948. (In Russ). doi: 10.1155/2019/4836948
- Rychkova EK, Kozina OI, Sazonova LV. Porazheniye pochek pri opistorkhoze. In: Materialy 1-go s’yezda terapevtov Tyumenskoy oblasti. Tyumen’; 1970. P. 88-90. (In Russ).
- Ozeretskovskaya NN, Zal’nova NS, Tumol’skaya NI. Klinika i lecheniye gel’mintozov. Infektsionnyye i parazitarnyye zabolevaniya. Leningrad: Meditsina; 1985. (In Russ).
- Shul’tsev TP, Tsalenchuk YaP, Ol’khin VA. Nefroticheskiy sindrom pri opistorkhoze. Klinicheskaya Meditsina. 1973;51(8):132-5. (In Russ).
- Kalyuzhin VV, Koval’ VV, Kalyuzhina EV, et al. Porazheniye pochek pri khronicheskom opistorkhoze. Meditsinskaya Parazitologiya i Parazitarnyye Bolezni. 2008;(4):14-6. (In Russ).
- Glazkov GA. Vydeleniye metatserkariyev nekotorykh trematod iz porazhennoy tkani ryb metodom perevarivaniya v iskusstvennom zheludochnom soke. Bolezni i parazity ryb ledovitomorskoy provintsii (v predelakh SSSR). Tomsk; 1979. P. 72-82. (In Russ).
Supplementary files







