Acute myeloid leukemia in a chronic lymphocytic leukemia patient: diagnostic challenge (clinical case).
- Authors: Fernandes M.1, Martins J.1, Campos M.2, Magalhães C.2, Eremina Y.O.3,4
-
Affiliations:
- Hospital Pedro Hispano, Unidade Local de Saúde de Matosinhos,EPE
- Hospital Pedro Hispano, Unidade Local de Saúde de Matosinhos, EPE
- Hospital Pedro Hispano, Unidade Local de Saúde de Matosinhos, EPE, Matosinhos
- Institute of Public Health of the University of Porto
- Issue: Vol 29, No 1 (2021)
- Pages: 130-133
- Section: Clinical reports
- Submitted: 17.02.2021
- Accepted: 17.03.2021
- Published: 15.03.2021
- URL: https://journals.eco-vector.com/pavlovj/article/view/61145
- DOI: https://doi.org/10.23888/PAVLOVJ2021291130-133
- ID: 61145
Cite item
Abstract
Chronic lymphocytic leukemia (CLL) and acute myeloid leukemia (AML) coexistence in the same patient has been rarely reported, more frequently due to treatment with chemotherapeutic agents. Blood parameter changes in cancer patients may be interpreted as disease progression or iatrogenic effects related to aggressive treatment, leading to delayed diagnosis. In our article, we call attention to the possibility of AML development in CLL patients and its diagnostic challenge.
Full Text
Chronic lymphocytic leukemia (CLL) is known to be associated with the increased risk of second hematological malignancies [1]. The coexistence of CLL and acute myeloid leukemia (AML) in the same patient has been rarely reported. Most of these cases were found to be a result of treatment with chemotherapeutic agents for CLL [2]. There are few cases describing CLL patients which developed AML 2 weeks to 4 years after treatment. In addition, cases absent of previous treatment are extremely rare [3].
Modern automated blood count analyzers enable quantitative and identification analyses and flagging of tangible blood components by means of electrical impedance, laser light scattering, and dye bonding (flow cytometry). Different groups of detected components are presented numerically and displayed on scattergrams. Automated hematology analyzers, performing complete blood count (CBC), generate algorithms-based pathology flags for all three lineages (erythrocytes, leukocytes and platelets) to alert the clinical pathologist. As for leukocyte differentiation alterations and other morphology abnormalities, Sysmex (Kobe, Japan) analyzers detect pathologic patterns and generate messages (flags): “Blast?” (Sysmex XE-5000) or “Blasts/Abnormal Lymphocytes?” (Sysmex XN with improved detection performance). These flags appear in acute and chronic leukemias of myeloid and lymphoid origin, myelodysplastic syndrome, plasma cell myeloma, lymphomas, left shift in granulocyte maturation, pseudo Pelger-Huët anomaly and in newborn children. The examination of peripheral blood (PB) smear is routinely used as a basic step in evaluation of hematological conditions and diseases suspected on analyzers flags [4-6].
In this letter we intend to raise awareness of the possibility of AML development in CLL patients and its diagnostic challenge.
Case description. An 80-year-old man presented to Emergency Department in November 2019, with an acute-onset of right knee pain and oedema, general weakness and fever. Physical examination revealed skin pallor and hepatosplenomegaly.
Recent past medical history: prostate cancer diagnosed in January 2018 and treated with leuprolide; clear cell renal cell carcinoma diagnosed in June 2018 with subsequent nephrectomy; small lymphocytic lymphoma diagnosed in June 2018 and was treated with 6 cycles of complex chemotherapy (rituximab + cyclophosphamide + vincristine + prednisolone). While initial response was positive, patient progressed to CLL in October 2018 and started Ibrutinib with favorable response.
Automated PB count revealed bicytopenia and leukocytosis (hemoglobin: 5.2 g/dL, platelets 75 x 109/L, white blood cells 93.73 x 109/L). Sysmex XE 5000 analyzer reported a flag “blasts?” that was already present in all patient´s CBC since CLL diagnosis. While anemia, leukocytosis and thrombocytopenia could be interpreted as CLL relapse, scattergram cytoDIFF was suspicious for the presence of blasts and required further examination (Figure1).
Fig. 1. Sysmex 5000 – Scattergram cytoDIFF
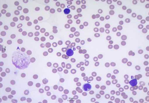
PB smear microscopic examination showed: two distinct populations suggesting abnormality: small cells corresponding to mature lymphocytes (83%) with smudge cells and large cells corresponding to blast cells (13%) (Figure 2). In four weeks, the blast cells proportion raised to 37%.
Fig. 2. PB Smear (May-Grunwald-Giemsa staining) microscopy (500×): A – Smudge cell, B – Blast cells, C – Lymphocytes
PB immunophenotypic analysis confirmed morphological findings. CLL diagnosis was confirmed by demonstrating the expression of mature B-cell markers (CD19+, CD20dim) and CD5+, CD10-. Blast cells expressed myeloid markers (CD33+, MPO+) and “AML not otherwise specified” was diagnosed.
Conclusions. Bicytopenia development in cancer patients may be interpreted as disease progression or iatrogenic effects related to aggressive treatment, leading to delayed diagnosis. The present case highlights the need of careful PB smear revision, especially in CLL patients where the automatic analysis equipment routinely produces abnormal leucocytes presence alerts. Awareness of the possible development of AML in CLL patients is the key to its timely and accurate diagnosis.
Additional Info
Conflict of interests. The authors declare that they have no known competing financial interests or personal relationships that could have appeared to influence the work reported in this paper.
Participation of authors. M.S. Fernandes – collection and analysis of material, writing the text, images, J. Martins, M.A. Campos, C. Magalhães – case analysis and manuscript editing, Y.O. Eremina – concept of the article, collection and analysis of material, manuscript editing.
About the authors
Marta Sofia Fernandes
Hospital Pedro Hispano, Unidade Local de Saúde de Matosinhos,EPE
Author for correspondence.
Email: martascf23@gmail.com
ORCID iD: 0000-0003-1900-1639
MD, Resident in Clinical Pathology
Portugal, Matosinhos, PortugalJoana Martins
Hospital Pedro Hispano, Unidade Local de Saúde de Matosinhos,EPE
Email: JoanaMaria.Martins@ulsm.min-saude.pt
MD, Specialist in Clinical Hematology, Department of Clinical Hematology
Portugal, Matosinhos, PortugalMaria Antónia Campos
Hospital Pedro Hispano, Unidade Local de Saúde de Matosinhos, EPE
Email: antonia.campos@ulsm.min-saude.pt
ORCID iD: 0000-0001-8016-8660
MD, Consultant in Clinical Pathology, Department of Clinical Pathology
Portugal, Matosinhos, PortugalCacilda Magalhães
Hospital Pedro Hispano, Unidade Local de Saúde de Matosinhos, EPE
Email: cacilda.magalhaes@ulsm.min-saude.pt
ORCID iD: 0000-0001-7407-4908
MD, Consultant in Clinical Pathology, Director of the Department of Clinical Pathology
Portugal, Matosinhos, PortugalYuliana O. Eremina
Hospital Pedro Hispano, Unidade Local de Saúde de Matosinhos, EPE, Matosinhos; Institute of Public Health of the University of Porto
Email: yuliana.eremina@ulsm.min-saude.pt
ORCID iD: 0000-0002-3656-7266
ResearcherId: ABD-8614-2020
MD, PhD, Specialist in Clinical Pathology, Assistant of the Department of Clinical Pathology, Hospital Pedro Hispano, Unidade Local de Saúde de Matosinhos, EPE, Matosinhos; Collaborator of Environmental and Laboratorial Epidemiology Research Group (EPIUnit), Environmental Health Department
Portugal, Matosinhos, PortugalReferences
- Giri S, Bhatt VR, Khanal S, et al. Treatment-related acute myeloid leukemia in a chronic lymphocytic leukemia patient: role of fludarabine? Therapeutic Advances in Hematology. 2015;6(2):88-92. doi:10. 1177/2040620714566567
- Al Mussaed E, Osman H, Elyamany G. Simultaneous existence of acute myeloid leukemia and chronic lymphocytic leukemia: a case report. BMC Cancer. 2016;16(1):739. doi: 10.1186/s12885-016-2780-5
- Dong Q, Xiu Y, Bossler A, et al. CLL dedifferentiation to clonally related myeloid cells. Blood Advances. 2020;4(24):6169-74. doi: 10.1182/blood advances.2020002726
- Schoorl M, Schoorl M, Chevallier M, et al. Flagging performance of the Sysmex XN2000 haematology analyser. International Journal of Laboratory Hematology. 2016;38(2):160-6. doi:10.1111/ ijlh.12461
- Furundarena JR, Sainz M, Uranga A, et al. Comparison of abnormal cell flagging of the hematology analyzers Sysmex XN and Sysmex XE-5000 in oncohematologic patients. International Journal of Laboratory Hematology. 2017;39(1):58-67. doi:10. 1111/ijlh.12575
- Eilertsen H, Saether PC, Henriksson CE, et al. Evaluation of the detection of blasts by Sysmex hematology instruments, CellaVision DM96, and manual microscopy using flow cytometry as the confirmatory method. International Journal of Laboratory Hematology. 2019;41(3):338-44. doi: 10.1111/ijlh.12980
Supplementary files







