Outcomes of Proximal Hybrid Arterial Reconstruction in Combination with Simultaneous Amputation in Dry Atherosclerotic Gangrene of Toes
- Authors: Vaganov A.G.1, Nochnoy M.S.2, Lisitsky D.A.1, Ivanyuk A.I.3, Chepelenko E.G.1, Gavrilenko A.V.2,4
-
Affiliations:
- City Clinical Hospital No. 29 named after N. E. Bauman
- N. V. Sklifosovsky Institute of Clinical Medicine of I. M. Sechenov First Moscow State Medical University (Sechenov University)
- Central Clinical Hospital of the Administration of the President of the Russian Federation
- Petrovsky National Research Center of Surgery
- Issue: Vol 32, No 3 (2024)
- Pages: 389-400
- Section: Original study
- Submitted: 28.02.2024
- Accepted: 08.05.2024
- Published: 04.10.2024
- URL: https://journals.eco-vector.com/pavlovj/article/view/627546
- DOI: https://doi.org/10.17816/PAVLOVJ627546
- ID: 627546
Cite item
Abstract
INTRODUCTION: When treating atherosclerotic gangrene of the lower limb (LL), the surgeon faces the questions about the reasonability of vascular reconstruction and the optimal timing of amputation after surgery on the LL arteries. The answer to these questions is given by assessing the state of the microvasculature of the operated limb. With sufficient development of the microvasculature and good collateral circulation, it is possible to perform a simultaneous amputation after proximal reconstruction. In this situation, a clear demarcation of the zone of necrosis and reversible ischemia is required, which can be realized by the method of ultraviolet luminescence spectroscopy.
AIM: To analyze the results of hybrid reconstructions on the LL arteries with multilevel diffuse atherosclerotic lesions and dry gangrene of toes (DGT).
MATERIALS AND METHODS: A prospective, controlled, non-randomized study included 29 patients suffering from critical ischemia of the lower limbs and having DGT, who were operated on in the amount of hybrid arterial reconstruction. The patients were divided into two groups: patients of group 1 (n = 14) underwent restoration of the main blood flow at the level of the iliofemoral arterial segment using a hybrid method, with simultaneous minor amputation of LL at various levels; patients of group 2 (control group, n = 15) underwent a simultaneous proximal and distal hybrid operation, providing main blood flow through at least one of the lower leg arteries, followed by a minor amputation of the lower leg at various levels over the next 4–5 days.
RESULTS: There were no statistically significant differences in the groups in the degree of decrease in luminescence intensity after vascular surgery. A histological examination of intraoperative preparations of DGT revealed necrosis of the cellular microenvironment at luminescence amplitude > (1.0 ± 0.05) × 105 photons at 410 nm frequency. At luminescence amplitude not exceeding this level, signs of necrobiosis were noted. Luminescence level of ≥ 1.0 × 105 photons was used as the amputation boundary. In the case of an uncomplicated vascular stage of the operation, a comparable decrease in the conventional amputation boundary was noted in the study groups. In the early postoperative period, in patients of group 1, the level of inflammation markers, average number of bed-days, and the number of thrombotic complications were lower than in the control group (p < 0.05). A strong correlation was recorded between the morphological signs of the acute phase of inflammation and the intensity of chemiluminescence (r = 0.7, p < 0.005).
CONCLUSION: In patients with DGT, at a luminescence amplitude on the lower leg and foot not exceeding 1.0 × 105 photons at 410 nm frequency and 0.7 × 105 photons at 450 nm frequency, an effective treatment method is restoration of the main blood flow in the iliofemoral segment using a hybrid method with simultaneous minor amputation at various levels of the foot. This luminescence level is the conventional boundary between necrotic changes and reversible ischemia (necrobiosis) of the soft tissues of the LL.
Full Text
LIST OF ABBREVIATIONS
BAP — balloon angioplasty
CLLI — lower limb critical ischemia
DGT — dry gangrene of toes
FPB — femoropopliteal bypass
LL — lower limb
NADH — nicotine amide adenine dinucleotide reduced
NADPH — nicotine amide adenine dinucleotide phosphate reduced
INTRODUCTION
Treatment of critical lower limb ischemia (CLLI) is one of the most complex tasks of vascular surgery. The incidence of CLLI reaches 1 thousand cases per 1 million population [1]. Atherosclerotic lesion of the vascular bed of the lower limb (LL), as a rule, has multilevel character requiring revascularization in several vascular pools. According to different sources, the CLLI is the cause of 70% to 95% of amputations [2, 3]. The given operation significantly impairs the quality of life and increases mortality among the patients. The main problem that determines the level of the limb amputation, is the unsatisfactory results of revascularization in the popliteal-tibial segment. As a rule, after balloon angioplasty (BAP) of the lower leg arteries, in 2/3 of cases the first signs of restenosis develop within 3 months [4]. A number of authors (the authors’ of this article as well) believe that this complication is directly associated with the condition of the microvasculature [5], therefore, when treating atherosclerotic gangrene of LL, the surgeon faces the questions about the reasonability of the vascular reconstruction, optimal timing of amputation after the vascular stage of the surgery [6]. When solving the latter task, of great importance is the expressiveness and the extent of compensation of the concomitant pathology, intensity of the systemic inflammatory response. In the presence of a decompensated general somatic condition of the patient, the vascular operation should be performed in the minimal amount, but provide the restoration of the main blood flow in the arteries of the popliteal-tibial segment required for the stump healing [7, 8]. In the given situation, the operation of choice is the distal hybrid reconstruction on the LL arteries [9].
A pronounced systemic inflammatory response and the extent of its refractoriness to the antibacterial therapy conducted after the completion of vascular reconstruction, impose restrictions on the time required for complex conservative treatment aimed at improving microcirculation and lowering the level of the subsequent amputation. Besides, direct assessment of the quantitative parameters of the functional condition of the microcirculation in distal parts of the limb in the preoperative period, gives understanding of reasonability of distal hybrid reconstruction that consists in femoropopliteal bypass grafting (FPBG) in a combination with endovascular recanalization and BAP of the lower leg arteries, and permits to make a conclusion about rationality of the subsequent appointment of dual antiplatelet therapy in the postoperative period [10]. Upon that, it is possible to determine indications for simultaneous minor amputation of the limb with dry atherosclerotic gangrene, and, with sufficient development of collateral circulation, the unequivocal inappropriateness of recanalization of the lower leg arteries [11]. In this case, the rational decision is to restore the main blood flow at the level of the iliofemoral segment using a hybrid method.
To perform a simultaneous amputation, it is necessary that the zone of necrosis and of reversible ischemia be clearly demarcated, however, in the first 24 hours after hybrid revascularization the demarcation line often has no time to form during visual assessment. In this case, it is reasonable to use the ultraviolet luminescent spectroscopy method. It consists in registration of the chemiluminescence phenomenon, i.e. the luminescence of substances (luminophores) produced as a result of biochemical reactions launched by cell destruction. Universal fluorophores are molecules of nicotine amide adenine dinucleotide (NADH) and its phosphate (NADPH), collagen and elastin, flavins, carotene [12, 13]. These compounds participate in the main metabolic processes in a cell Krebs cycle, pentose cycle, mitochondrial respiratory chain, lipid peroxidation, etc.
In our study, we used the method of laser-induced ultraviolet photoluminescence spectroscopy, using the device proposed by I. V. Moskalenko [14]. The device consists of a laser radiation source (excimer XeCl laser), a device detecting a luminescent signal and a device recording this signal. A feature of this method is a high accuracy of measurement from a unit area not exceeding 1–5 mm. The strength of the luminescent glow increases with a quantitative increase in ischemic lesion of the cell structures [15]. Depending on the wavelength at which the signal is picked up, the spectral characteristics of chemiluminescence can change. This is due to the appearance of luminescence quenching substances, in particular, hemoglobin and its various compounds (oxyhemoglobin, deoxyhemoglobin, myoglobin) [16]. This circumstance is taken into consideration when determining the degree of compensation of the microcirculatory bed under ischemic conditions, and for choosing the optimal level of minor amputation.
The aim of this study to improve the results of hybrid reconstructions on the lower limb arteries with multilevel atherosclerotic lesion and dry gangrene of toes (DGT).
MATERIALS AND METHODS
The prospective controlled non-randomized study included 29 individuals who suffered CLLI and underwent a surgery in the amount of hybrid arterial reconstruction in the vascular surgery department of City Clinical Hospital No. 29 named after N. E. Bauman (Moscow). The study was approved by the Local Ethics Committee of Sechenov University (Protocol No. 22-21 of December 09, 2021). All the patients signed the informed consent for participation in the study.
Inclusion criteria:
- IV stage chronic arterial insufficiency and dry gangrene limited to the toes;
- luminescence amplitude on the foot measured outside the toe phalanges with necrotic alterations, not exceeding 1.0 × 105 photons (at 410 nm frequency);
- combination of occlusive-stenotic lesion of the arteries of the aorto-iliac, femoropopliteal and popliteal-tibial segments;
- impossibility of multilevel open reconstruction or staged endovascular treatment for technical or general medical reasons;
- absence of acute thrombotic lesions of the arteries of the LL.
Exclusion criteria:
- IV stage chronic arterial insufficiency and dry gangrene not limited to the toes;
- luminescence amplitude on the foot measured outside the toe phalanges with necrotic alterations, exceeding 1.0 × 105 photons (at 410 nm frequency);
- signs of wet gangrene of the foot;
- absence of multilevel arterial lesion of the operated limb (preserved main blood flow in the thigh and distal form of arterial atherosclerotic lesion);
- possibility of performing multilevel open reconstruction or staged endovascular treatment;
- signs of acute thrombotic lesions of the lower limb arteries.
All patients were divided into two groups:
- group 1 (n = 14, men 85.7%) consisted of patients who underwent restoration of the main blood flow at the level of the iliofemoral arterial segment using a hybrid method (the so-called proximal hybrid reconstructions including endovascular correction of the iliac artery bed and open surgery on the femoral arteries), in combination with simultaneous minor amputation of LL at different levels. The latter was performed on the first day after reconstructive surgery irrespective of the existence of visually identified demarcation zone between the viable tissue and necrotic tissue. The main criterion for the amount of amputation was a conventional margin in the intensity of luminescent glow, equal to 1.0 × 105 photon.
- group 2 (control group, n = 15, men 86.7%) consisted of patients who underwent a simultaneous proximal and distal hybrid operation providing the main blood flow in at least one of the lower leg arteries: FPBG in combination with recanalization and BAP of the lower leg arteries, supplemented by BAP of the iliac artery with stenting. Then, over the next 4–7 days, minor amputation of the LL was performed at different levels. The main criterion for performing amputation at these time periods was the formation of a visually determinable demarcation zone between the viable tissue and necrotic tissue. The ‘minor’ amputations implied exarticulation of the toes, as well as amputations according to Sharp and Chopart. The decision about a particular hybrid operation on patients included in the study was made by a team of vascular surgeons based on the results of studying the preoperative computed tomographic angiography of the aorta and LL arteries, the sufficiency of development of the collateral network in the thigh and lower leg, as well as the intensity of foot tissue autoluminescence. In the absence of contrasting of three lower leg arteries up to the distal segment and with the amplitude of luminescence on the foot indicating the reversibility of ischemic tissue changes, attempts to restore the main blood flow in the popliteal-tibial segment were considered unreasonable. In this regard, isolated proximal hybrid reconstruction was performed.
The groups were comparable in age and gender, the spectrum of concomitant pathology, smoking frequency (Table 1).
Table 1. Comparative Analysis of Concomitant Pathology in Study Groups
Diagnosis | First group | Second group | р |
Essential hypertension, n (%) | 10 (71.4) | 11 (73.3) | 0.23 |
Coronary artery diseaseа, n (%) | 8 (57.1) | 8 (53.3) | 0.18 |
Diabetes mellitus, n (%) | 3 (21.4) | 4 (26.7) | 0.21 |
Chronic obstructive pulmonary disease, n (%) | 2 (14.3) | 2 (13.3) | 0.16 |
Cerebrovascular disease, n (%) | 3 (21.4) | 4 (26.7) | 0.24 |
Gastric ulcer, n (%) | 1 (7.1) | 1 (6.7) | 0.16 |
Chemiluminescence was recorded using a device proposed by I. V. Moskalenko. Radiation delivery and induced luminescence readings were performed in situ using two quartz fibers mounted in a single probe, 1 m long, 450 μm core diameter. The probe head was positioned at 1–2 cm distance from the skin surface of the examined limb. Measurements were made at 308 nm wavelength of pulsed radiation of XeCL excimer laser for 3 minute. This exposure dose of laser radiation meets hygienic requirements. The luminescence spectrum was recorded in the range from 350 nm to 780 nm, with 10 nm increment, for 10 second. The readings were taken before the operation and on the first postoperative day from the surface of the lower third of the shin, the dorsum of the foot at the level of the Chopart joint, and from the surface of the inflammatory skin immediately adjacent to the demarcation zone. Photoluminescence spectroscopy was repeated at the same levels before the amputation of the LL according to the previously described scheme.
The parameters of the early postoperative period before and after the amputation of the limb were assessed, including the level of inflammation markers: blood leukocytes, C-reactive protein and procalcitonin. The level of the conventional amputation boundary before and after reconstruction, complications after the performed surgical operation within 1 month with cases of re-hospitalization for ischemic necrosis of the stump and reamputation, were assessed.
In the course of the vascular operation, the biopsy material of skin and subcutaneous tissue was taken in the above described luminescence regions. The area of the biopsy specimens did not exceed 5–7 mm2. The biopsy specimens were fixed in a neutral 10% formalin solution for at least 2 hours. Paraffin sections were then made and stained with hematoxylin and eosin. The cell-tissue ratio in the connective tissue was identified in PAS reaction. Morphometry was conducted in the ImageJ 1.45s program. The severity of inflammatory changes was quantitatively determined by the area of cell infiltrates (mm2) relative to the connective tissue elements in one field of view. The qualitative ratio of resident and non-resident cells was determined by their ratio per 100 visualized cells and was expressed as percentage. The relative area of dermal vessels was calculated as percentage of the dermal connective tissue area in one field of view.
Statistical data processing was performed using SPSS 17.0 software (IBM Company, USA). The results of the study were distributed on a scale of arithmetic mean values (Mean) ± standard deviation (SD). Differences in the mean values (p) of the main parameters of the postoperative period were assessed using paired Student's t-test, which was considered significant at p < 0.05. The differences between two small independent samples were assessed using Mann–Whitney U-test. To determine the correlation between the parameters, the Spearman correlation coefficient (r) was used. Statistical heterogeneity of the groups was assessed using χ2 test. At p < 0.1 and I2 > 50%, the heterogeneity was considered statistically significant.
RESULTS
According to the results of operations, satisfactory patency of revascularized arterial segments ensuring hemodynamic stability in the limb, was achieved in 13 patients of group 1 (92.8%) and in 14 patients of group 2 (93.3%).
When assessing the intensity of the luminescent signal in the early postoperative period, its amplitude was decreased at all measurement points. In measurements before and after the hybrid intervention, a maximum signal was noted at 410 nm frequency, which indicates the increasing concentration of NADH, and a minimum signal at 450 nm frequency a negative peak that determines the increasing concentration of hemoporphyrins. It should be noted that in cases of technically successful distal hybrid revascularization, the luminescence amplitude (S) at 450 nm after surgery was reliably higher than in the experimental group: for example, in the experimental group, at the level of Chopart joint at 420 nm frequency, S = (0.76 ± 0.04) × 105 photons, and in the control group S = (0.53 ± 0.07) × 105 photons (Figure 1). No statistically significant differences were found between the groups in the degree of decrease in luminescence intensity after vascular surgery. Thus, in the first group at 410 nm frequency, after uncomplicated surgery, the intensity decreased by on average 0.81 ± 0.04 (410 nm) and 0.70 ± 0.02 (450 nm), and in the second group by 0.82 ± 0.01 (410 nm) and 0.74 ± 0.05 (450 nm), respectively.
Fig. 1. Luminescent spectroscopy parameters (× 105 photons) in the study groups at different measurement frequency (nm).
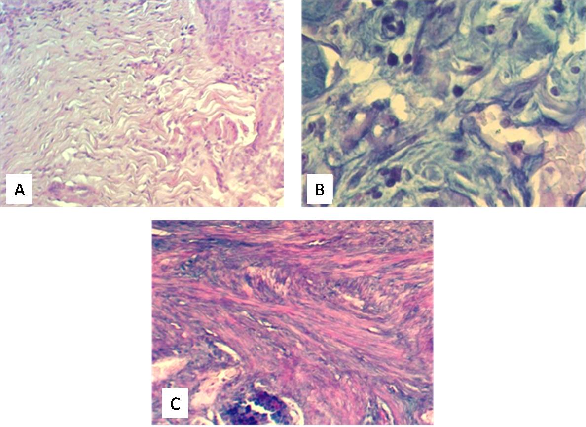
Morphometry of histological preparations obtained from intraoperative biopsies shows a strong correlation between the morphological signs of the acute phase of inflammation (alteration and exudation), which are the surface area of the inflammatory infiltrates with predominance of non-residents and the intensity of chemiluminescence (r = 0.7, р < 0.005). The latter increases with an increase in the given quantitative parameters (Figures 2А–C).
Fig. 2. An example of histological preparations of the derma obtained in biopsy of the dorsum of foot.
Notes: (A) view of connective tissue at luminescence amplitude (0.7–1.0) × 105 photons (a large number of resident cells, ordered arrangement of connective tissue fibers; objective ×20, hematoxylin and eosin stain); (B) view of connective tissue at luminescence amplitude (0.7–1.0) × 105 photons (a large number of non-residents are visualized, chaotic arrangement of connective tissue fibers, rouleaux formation in paretic capillaries; objective ×40, Alcian blue stain); (C) view of connective tissue at luminescence amplitude above 1.0 × 105 photons (necroses of cellular microenvironment are visualized, objective ×20, hematoxylin and eosin stain).
With a quantitative increase in resident cells (fibroblasts, fibroplasts) and an increase in the relative density of dermal vessels, which characterizes proliferation and remodeling phases of inflammation, the luminescence amplitude decreases (r = 0.68, p < 0.05). With amplitude > 1.0 × 105 photons at 410 nm and > 0.7 × 105 photons at 450 nm, necrosis of the cellular microenvironment appears in histological preparations (Table 2).
Table 2. Dependence of Morphometric Parameters (Mean ± SD) on Chemiluminescence Amplitude at 410 nm Measurement Frequency
Morphological Parameter | Mean Luminescence Amplitude | Lower Third of Shin | Chopart Joint Level | Metatarsal Bone Level |
Proportion of resident cells, % | 0.5–0.7 | 73.2 ± 3.2 | 67.5 ± 3.5 | 65.5 ± 3.1 |
0.7–1.0 | 61.4 ± 2.5 | 57.5 ± 3.1 | 57.0 ± 2.7 | |
> 1.0 | 36.8 ± 1.5 | 34.4 ± 2.2 | 32.3 ± 2.1 | |
Proportion of non-resident cells, % | 0.5–0.7 | 45.5 ± 4.2 | 42.8 ± 4.0 | 47.4 ± 3.0 |
0.7–1.0 | 74.3 ± 4.1 | 66.6 ± 2.9 | 69.3 ± 3.4 | |
> 1.0 | 80.5 ± 6.1 | 86.2 ± 4.9 | 87.0 ± 2.9 | |
Area of inflammatory infiltrate, mm2 | 0.5–0.7 | 0.62 ± 0.04 | 0.63 ± 0.05 | 0.93 ± 0.04 |
0.7–1.0 | 0.75 ± 0.02 | 0.77 ± 0.03 | 1.01 ± 0.05 | |
> 1.0 | 0.80 ± 0.04 | 0.83 ± 0.03 | 1.29 ± 0.02 | |
Relative area of dermal vessels | 0.5–0.7 | 11.15 ± 0.33 | 9.33 ± 1.61 | 9.03 ± 0.34 |
0.7–1.0 | 8.80 ± 0.24 | 7.80 ± 0.34 | 6.22 ± 0.32 | |
> 1.0 | 6.98 ± 0.09 | 5.52 ± 0.28 | 4.59 ± 0.29 |
Microscopic examination identified an association between necrosis of cells and connective tissue fibers per unit area and autoillumination intensity equal to or exceeding 1.0 × 105 photons at 410 nm frequency and 0.7 × 105 photons at 450 nm. Morphometry of the preparations showed that an increase in the luminescence intensity was accompanied by increase in the number of neutrophils and macrophages entering the inflammation focus from the peripheral blood (non-residents), denaturation of collagen and elastin proteins, depletion of the main connective tissue substance in glycosaminoglycans, paretic dilation of arterioles with intraluminal erythrocyte sludge of the rouleaux type, edema and swelling of the interstitial matrix with formation of infiltrates. The described alterations can be designated as reversible — necrobiotic (Figure 2C). Accordingly, luminescence level equal to or exceeding 1.0 × 105 photons was used as a landmark to determine the amputation boundary.
Based on the results of measurement after completion of vascular reconstruction, each patient of the experimental group was marked the operated limb according to the luminescence intensity to determine the level of amputation. Upon that, < 1.0 × 105 photons luminescence level was recorded along the entire amputation line.
Measurements on the 1st postoperative day in case of the uncomplicated intervention showed a comparable lowering of the amputation boundary in groups 1 and 2 by 2.5 ± 0.3 cm and 2.9 ± 0.7 cm, respectively (p > 0.05).
Then, resting on the obtained spectroscopy data, within 24 hours after the vascular reconstruction, the experimental group underwent amputation according to the markings on the limb. In the early postoperative period, this category of patients had moderate leukocytosis and increased C-reactive protein activity within 1–3 postoperative days, procalcitonin levels were within the physiological norm. No hyperthermia was observed during the entire observation period. By the time of discharge, all the above-mentioned parameters returned to norm. The average number of bed-days in group 1 was 5.6.
In the second group, amputation was delayed to the time of formation of distinct demarcation boundaries of necrosis on the foot on the 4th-5th day after vascular reconstruction. No statistically significant lowering of the amputation boundary was noted in this group compared to group 1. However, the groups differed in the degree of systemic inflammatory response assessed by the level of leukocytosis, C-reactive protein and procalcitonin (Table 3). These parameters were higher in the representatives of the control group. Besides, it should be noted that in two patients from this group, despite good results of revascularization and absence of vascular alterations, acute renal injury developed in the early postoperative period. No fatal outcomes were recorded in the groups. The average number of bed-days in group 2 was 11.7.
Table 3. Parameters (Mean ± SD) Characterizing Level of Systemic Inflammatory Response in Study Groups
Parameters and Time after Surgery | First group | Second group |
Leukocytes, 2nd–3rd day after surgery, × 109/l | 12.3 ± 0.3 | 18.1 ± 0.4* |
Leukocytes, 5th–6th day after surgery, × 109/l | 9.7 ± 0.1 | 22.4 ± 0.5* |
С-reactive protein, 2nd–3rd day after surgery, mg/l, mg/l | 89.0 ± 12 | 320.0 ± 19* |
С-reactive protein, 5th–6th day after surgery, mg/l | 13.0 ± 3 | 227.0 ± 13* |
Procalcitonin, 3rd day after surgery, ng/ml | 0.4 ± 0.1 | 1.0 ± 0.3* |
Note: * — р < 0.05
With the given preoperative photoluminescence parameters, in one case of group 1 and in four cases of group 2, thrombosis of the reconstruction zone was noted within the first month after surgery, which required major amputation. The differences between the groups in the number of thrombotic complications were statistically significant (р < 0.05). When comparing luminescence amplitude before the surgery in patients of both groups who had postoperative thrombosis of the reconstruction zone, comparable values were recorded (Table 4).
Table 4. Preoperative Chemiluminescence Parameters (S × 105, Mean ± SD, photons) in Patients with Postoperative Thrombosis of Reconstruction Zone within First Month after Vascular Reconstruction
Study Group | Measurement Frequency | Thigh | Lower Leg | Foot |
First | 410 | 4.3 ± 0.05 | 5.1 ± 0.09 | 6.2 ± 0.09 |
450 | 3.3 ± 0.03 | 4.1 ± 0.01 | 4.9 ± 0.01 | |
Second | 410 | 4.1 ± 0.02 | 5.5 ± 0.04 | 6.0 ± 0.04 |
450 | 3.1 ± 0.06 | 4.3 ± 0.04 | 5.1 ± 0.02 |
It is important to note that in 40% of patients with uncomplicated course of the early postoperative period, there was no increase in the ankle-brachial index compared to the preoperative level (p < 0.05), which cannot be said about the intensity of luminescence. When studying this phenomenon, it should be noted that in all such cases, patients had pronounced atherocalcinosis of the distal parts of the lower leg arteries.
When assessing a long-term postoperative period, at one-month follow-up after the surgeries, necrosis of the amputation stump was noted in three patients of the control group, which required reamputation at a higher level. In patients of the experimental group, no such events were noted. Moreover, no repeated arterial reconstructions were noted in the study period.
DISCUSSION
The priority task of vascular surgery in patients with atherosclerotic gangrene of the LL is the restoration of the blood flow volume in the ischemic region of LL sufficient for complete healing of the amputation stump tissues, which permits to low down the amputation level. The main parameter which determines success of revascularization and stump competence in the long-term, is the functional condition of the receiving vascular bed, i.e. the degree of compensatory development of collateral circulation and respective quantitative density of the microcirculatory network in the operated limb.
The results of histological examination of intraoperative micropreparations demonstrated a strong correlation relationship between the luminescence intensity and parameters of cell and tissue destruction. It was proven that at chemiluminescence amplitude > 1.0 × 105 photons, foci of cell microenvironment necrosis appear in the micropreparations. Accordingly, a multiple increase in this parameter will be associated with irreversible destructive alterations in the soft tissues of the operated limb. The confirmation to this is the described case of thrombosis in a patient of the first group, where the preoperative luminescence intensity exceeded 1.0 × 105 photons, which could indicate decompensation of microcirculation, the occurrence of cell necrosis and predisposition to thrombotic events in the operated segment in the postoperative period. The cause of four cases of postoperative thrombosis in the second group was the obvious redundancy of the BAP of the shin arteries, and amputation at the thigh level was conditioned by the ascending character of thrombosis with gradual decompensation of collateral circulation.
A lower amplitude of chemiluminescence at the peak of hemoporphyrins in patients of the second group with successful reconstruction and absence of thrombotic events in the studied time interval compared to the similar parameters of the of the first group measured after the vascular surgery, characterized a higher density of the microcirculatory bed and a high degree of collateralization of circulation in the popliteal-tibial segment. These morphofunctional features predetermined not only the success of distal vascular reconstruction, but also created the basis for healing of the amputation stump with the primary intention after delayed amputation.
The method of ultraviolet luminescent spectroscopy possesses a higher sensitivity in determining the degree of tissue revascularization compared to the ankle-brachial index, reflecting the structural alterations at the cell level. The phenomenon of the absence of a reliable increase in the ankle-brachial index in case of successful revascularization with the presence of signs of the pronounced atherocalcinosis of the distal segment of the shin arteries, is associated with the method of its measurement. Calcium deposits in the arterial wall considerably reduce its elasticity impeding complete compression of the latter with manometer cuff thereby reducing the practical significance of the index.
In the given luminescence intensity range for patients with DGT and multilevel atherosclerotic lesion of the LL arteries, the method of proximal hybrid reconstruction with simultaneous amputation of the toes proved effective in our study. Simultaneous amputation in case of irrationality of using distal reconstruction, which was confirmed pathomorphologically and was reflected in the preoperative chemiluminescence spectrum, permitted to reduce the level of systemic inflammatory response, avoid decompensation of a severe concomitant pathology and reduce the number of post-amputation complications in the late postoperative period including ischemic necrosis of the stump with reamputation.
CONCLUSION
In patients with dry gangrene of the toes with luminescence amplitude on the shin and foot not exceeding 1.0 × 105 photons at 410 nm frequency and 0.7 × 105 photons at 450 nm frequency, an effective treatment method is the restoration of the main blood flow in the iliofemoral segment using hybrid method, with simultaneous minor amputation at different levels of foot.
The level of chemiluminescence of 1.0 × 105 photons is a conventional boundary between necrotic alterations and reversible ischemia (necrobiosis) of soft tissues of the lower extremity.
The method of ultraviolet photoluminescence spectroscopy permits determination of the boundaries of ischemia and necrosis of tissues, as well as the quantitative and functional state of the microcirculatory bed in the lower limb. To determine the sensitivity and specificity of this method in terms of the declared signs, further clinical studies are necessary.
ADDITIONALLY
Funding. The authors declare that there is no funding for the study.
Conflict of interests. The authors declare no conflicts of interests.
Contribution of the authors: A. G. Vaganov — processing of material, writing the text; M. S. Nochnoy — editing, analysis and processing of material; D. A. Lisitskiy — design of study, statistical processing of data; A. I. Ivanyuk — processing of material, writing the text; E. G. Chepelenko — editing, analysis and processing of material; A. V. Gavrilenko — concept of study, expert assessment. The authors confirm the correspondence of their authorship to the ICMJE International Criteria. All authors made a substantial contribution to the conception of the work, acquisition, analysis, interpretation of data for the work, drafting and revising the work, final approval of the version to be published and agree to be accountable for all aspects of the work.
About the authors
Alexey G. Vaganov
City Clinical Hospital No. 29 named after N. E. Bauman
Author for correspondence.
Email: aleksejvaganov4@gmail.com
ORCID iD: 0000-0001-8191-2551
SPIN-code: 2202-0746
MD, Cand. Sci. (Med)
Russian Federation, MoscowMaxim S. Nochnoy
N. V. Sklifosovsky Institute of Clinical Medicine of I. M. Sechenov First Moscow State Medical University (Sechenov University)
Email: maxnochnoy@yandex.ru
ORCID iD: 0000-0003-0057-9561
SPIN-code: 6013-8148
Russian Federation, Moscow
Dmitry A. Lisitsky
City Clinical Hospital No. 29 named after N. E. Bauman
Email: dalis@rambler.ru
ORCID iD: 0000-0003-0423-8879
SPIN-code: 9855-9286
MD, Dr. Sci. (Med.)
Russian Federation, MoscowAlexey I. Ivanyuk
Central Clinical Hospital of the Administration of the President of the Russian Federation
Email: doc-ai@mail.ru
ORCID iD: 0009-0002-9839-7650
Russian Federation, Moscow
Elena G. Chepelenko
City Clinical Hospital No. 29 named after N. E. Bauman
Email: krrrevetka@bk.ru
ORCID iD: 0009-0005-6905-7544
Russian Federation, Moscow
Alexander V. Gavrilenko
N. V. Sklifosovsky Institute of Clinical Medicine of I. M. Sechenov First Moscow State Medical University (Sechenov University); Petrovsky National Research Center of Surgery
Email: a.v.gavrilenko@mail.ru
ORCID iD: 0000-0001-7267-7369
SPIN-code: 9607-8346
MD, Dr. Sci. (Med.), Professor
Russian Federation, Moscow; MoscowReferences
- Belov YuV, Vinokurov IA. The concept of surgical treatment of critical limb ischemia. Russian Journal of Cardiology and Cardiovascular Surgery. 2015;8(5):9–13. (In Russ). doi: 10.17116/kardio2015859-13
- Vachev AN, Mikhaylov MS, Sukhorukov VV, et al. Surgical treatment of patients with critical ischemia of lower limbs originating from aortoiliac lesions and concomitant coronary artery disease. Patologiya Krovoobrashcheniya i Kardiokhirurgiya. 2013;17(1):73–8. (In Russ). doi: 10.21688/1681-3472-2013-1-73-78
- TASC Steering Committee; Jaff M, White C, Hiatt W, et al. An Update on Methods for Revascularization and Expansion of the TASC Lesion Classification to Include Below-the-Knee Arteries: A Supplement to the Inter-Society Consensus for the Management of Peripheral Arterial Disease (TASC II). Vasc Med. 2015;20(5):465–78. doi: 10.1177/1358863x15597877
- Papoyan SA, Shchegolev AA, Gromov DG, et al. Drug-coated balloon angioplasty in peripheral arterial disease. Russian Medical Inquiry. 2022;6(4):177–81. (In Russ). doi: 10.32364/2587-6821-2022-6-4-177-181
- Kosenkov AN, Vinokurov IA, Kiseleva AK. Treatment of critical lower limb ischemia followed by ulcerative-necrotic lesions. Russian Journal of Cardiology and Cardiovascular Surgery. 2019;12(4):302–7. (In Russ). doi: 10.17116/kardio201912041302
- Iida O, Nakamura M, Yamauchi Y, et al.; OLIVE Investigators. 3-Year Outcomes of the OLIVE Registry, a Prospective Multicenter Study of Patients With Critical Limb Ischemia: A Prospective, Multi-Center, Three-Year Follow-Up Study on Endovascular Treatment for Infra-Inguinal Vessel in Patients With Critical Limb Ischemia. JACC. Cardiovasc Interv. 2016;8(11):1493–502. doi: 10.1016/j.jcin.2015.07.005
- Katelnitskiy II, Sasina EV, Zorkin AA, et al. Angiosome concept as promising direction basis of revascularization interventions in patients with critical lower limb ischemia syndrome. Vestnik SurGU. Meditsina. 2018;(2):22–8. (In Russ).
- Platonov SA, Zavatskiy VV, Kandyba DV, et al. Angiosome principle of revascularization: the role in critical limb ischemia, limitations, alternatives (literature review). Diagnostic & Interventional Radiology. 2017;11(4):55–61. (In Russ). doi: 10.25512/DIR.2017.11.4.07
- Gavrilenko AV, Kravchenko AA, Kotov AE, et al. Hybrid reconstructions in patients with lower limb chronic ischaemia and multilevel arterial lesions. Angiology and Vascular Surgery. 2018;24(3):183–8. (In Russ).
- Troitskiy AV, Bekhtev AG, Khabazov RI, et al. Hybrid surgery of multilevel atherosclerotic lesions of aorto-iliac and femoral-popliteal segments. Diagnostic & Interventional Radiology. 2012;6(4):67–77. (In Russ).
- Maksimov AV, Koreika KA, Nuretdinov RM, et al. Multidisciplinary approach to treatment of patients with lower limb critical ischaemia. Angiology and Vascular Surgery. 2013;19(4):122–6. (In Russ).
- Babkina AS. Laser-Induced Fluorescence Spectroscopy in the Diagnosis of Tissue Hypoxia (Review). General Reanimatology. 2019;15(6):50–61. (In Russ). doi: 10.15360/1813-9779-2019-6-50-61
- Vladimirova ES, Salmin VV, Salmina AB, et al. Fluorescence diagnostics of human lens status in vivo. Journal of Applied Spectroscopy. 2012;79(1):136–40. (In Russ).
- Bunkin NF, Gorelik VS, Kozlov VA, et al. Phase States of Water near the Surface of a Polymer Membrane. Phase Microscopy and Luminescence Spectroscopy Experiments. J Exp Theor Phys. 2014;119(5):924–32. doi: 10.1134/S106377611411003X
- Gunko VI, Popov SN, Alexandrov MT, et al. Improvement of efficiency in diagnostics and management/treatment in patients with purulent diseases on the basis of application of laser fluorescent diagnostics. RUDN Journal of Medicine. 2012;(1):93–7. (In Russ).
- Pur MRK, Hosseini M, Faridbod F, et al. Highly sensitive label-free electrochemiluminescence aptasensor for early detection of myoglobin, a biomarker for myocardial infarction. Microchim Acta. 2017;184:3529–37. doi: 10.1007/s00604-017-2385-y
Supplementary files








