Immediate and long-term outcomes of repeated endovascular correction of bifurcation lesions of coronary arteries
- Authors: Shevchenko Y.L.1, Ermakov D.Y.1, Marchak D.I.1, Ulbashev D.S.1, Chotchaev S.A.1, Maslennikov M.A.1, Baranov A.V.2, Vakhrameeva A.Y.1
-
Affiliations:
- National Medical and Surgical Center named after N.I. Pirogov
- Derzhavin Tambov State University
- Issue: Vol 33, No 3 (2025)
- Pages: 323-334
- Section: Original study
- Submitted: 26.12.2024
- Accepted: 18.02.2025
- Published: 30.09.2025
- URL: https://journals.eco-vector.com/pavlovj/article/view/643477
- DOI: https://doi.org/10.17816/PAVLOVJ643477
- EDN: https://elibrary.ru/TPNQSH
- ID: 643477
Cite item
Abstract
INTRODUCTION: One of the main factors limiting the effectiveness of percutaneous coronary intervention (PCI) in the long-term follow-up period is in-stent restenosis (ISR). One predictor of its development is the initial bifurcation lesion (BL) of the coronary arteries (CA). Such patients present a particularly complicated group for endovascular treatment.
AIM: To compare the results of different treatment methods for patients with coronary heart disease and ISR in the area of CA bifurcation.
MATERIALS AND METHODS: A single-center, non-randomized, retrospective study included 105 patients with coronary heart disease with ISR in the area of CA bifurcation, who underwent PCI from 2012 to 2023. Group 1 (n = 40) included patients who underwent repeat revascularization using a one-stent coronary stenting technique, group 2 (n = 32) included patients who underwent revascularization using a two-stent technique, group 3 (n = 33) included patients in whom a non-stent treatment technology was used — application of an antiproliferative drug using drug-eluting balloon catheters. The median follow-up period was 380 [264; 411] days.
RESULTS: There were no statistically significant differences in the ISR recurrence rate in all groups, however, there was a tendency for it to increase in groups 2 and 3: 8 (25.0%) in group 2 and 8 (24.2%) in group 3 versus 4 (10.0%) in group 1, p = 0.18. The frequency of myocardial infarction did not differ significantly in patients of the analyzed groups: 2 (5.0%) in group 1, 2 (6.3%) in group 2 and 1 (3.0%) in group 3, p = 0,828. There were also no differences in the proportion of adverse cardiovascular vents between the groups: 6 (15.0%) in group 1, 11 (34.3%) in group 2, and 9 (27.3%) in group 3, p = 0.154. When using a one-stent coronary stenting technique, there was a tendency to reduction of the number of adverse cardiovascular events in the late postoperative period compared to other methods, but it did not reach a statistically significant level: 6 (15.0%) versus 20 (30.7%), p = 0.07.
CONCLUSION: Endovascular revascularization in binary ISR of the CA bifurcation zone using a one-stent, two-stent techniques and drug-eluting balloon catheters ensures satisfactory immediate and long-term outcomes with no statistical difference.
Full Text
INTRODUCTION
Percutaneous coronary intervention (PCI) permits restoring the patency of coronary arteries (CA) in case of their atherosclerotic lesion, decreasing the functional class of exertion angina and reducing the need for antianginal drugs in patients with coronary heart disease (CHD) [1]. One of the main factors of endovascular revascularization that limits the effectiveness of PCI after the operation is in-stent restenosis leading to recurrence of myocardial ischemia and decrease in the duration and quality of life of patients. In the European guidelines for the treatment of coronary heart disease (2024), the incidence of ISR manifestation in the form of acute coronary syndrome is determined as 20% of the total number of patients, in other cases ISR runs in the form of stable CHD or painless ischemia [2]. One of the significant predictors of ISR development in the long-term period after PCI is the initial bifurcation lesion (BL) of the coronary bed.
Patients with restenosis in the area of CA bifurcation remain a challenge for endovascular treatment. Coronary stents installed at the first stage of PCI, complicate manipulations with the introduction of guidewires, balloon catheters and stent systems into the BL area [3]. Use of two-stent techniques affects the intensity of neointimal hyperplasia in the long-term period after the intervention. A one-stent technique for ISR-BL seems to be more effective in reducing the risk of recurrent ISR, although not always providing an optimal angiographic result.
One of the possible solutions to the problems of PCI in ISR-BL is the use of a drug-eluting balloon catheter (DEBC), which has shown itself to advantage as an isolated method of endovascular treatment of patients with ISR with uncomplicated restenosis [4–8]. However, the application of a drug using DEBC is possible only in one branch of the bifurcation or proximal segments of the branches. In this case, it is not always possible to obtain a satisfactory angiographic result after using DEBC, which may force a transition to coronary stenting (CS). The evidence base for the effectiveness of DEBC in ISR-BL is limited, which necessitates the evaluation of the results of this technique.
The aim of this study compares the results of different methods of treatment of patients with coronary heart disease and in-stent restenosis in the area of coronary artery bifurcation.
MATERIALS AND METHODS
The retrospective study included 105 patients with coronary artery disease and binary ISR in the bifurcation zone of the coronary artery, who underwent repeat PCI at the Department of X-ray Surgical Diagnostic and Treatment Methods of the St. George Thoracic and Cardiovascular Surgery Clinic of the National Medical and Surgical Center named after N.I. Pirogov from 2012 to 2023. The study was approved from the Local Ethics Committee of the National Medical and Surgical Center named after N.I. Pirogov (Protocol No. 2 of May 27, 2024).
Group 1 included 40 patients who underwent repeat endovascular revascularization of the bifurcation lesion with implantation of a one drug-eluting stent (DES-1), group 2 included 32 patients who underwent repeat PCI using a two-stent technique (DES-2); group 3 consisted of 33 patients after balloon angioplasty (BAP) with DEBC. The patients of the analyzed groups did not differ in the clinical and demographic characteristics (Table 1).
Table 1. Clinical and demographic characteristics of patients in the studied groups
Parameter | Group 1, one-stent technique | Group 2, two-stent technique | Group 3, angioplasty with drug-eluting balloon catheter | p | |
Age, Me [Q1; Q3], years | 65.8 [57.2; 67.3] | 66.3 [55.1; 67.9] | 63.5 [60.8; 66.9] | 0.625 | |
Male gender, n (%) | 30 (75.0) | 25 (78.1) | 24 (72.7) | 0.88 | |
Smoking, n (%) | 24 (60.0) | 21 (65.6) | 19 (57.6) | 0.792 | |
Diabetes mellitus, n (%) | 14 (35.0) | 11 (34.4) | 9 (27.3) | 0.75 | |
Left ventricular ejection fraction, Me [Q1; Q3], (%) | 58.2 [53.8; 61.9] | 57.6 [54.6; 63.8] | 57.1 [55.5; 62.8] | 0.822 | |
Arterial hypertension, n (%) | 30 (75.0) | 23 (71.9) | 26 (78.8) | 0.812 | |
Myocardial infarction in history, n (%) | 13 (32.5) | 13 (40.6) | 14 (42.4) | 0.625 | |
Asymptomatic myocardial ischemia, n (%) | 5 (12.5) | 4 (12.5) | 2 (6.1) | 0.607 | |
Functional class of effort angina, n (%) | I | 1 (2.5) | 1 (3.1) | 2 (6.1) | 0.711 |
II | 5 (12.5) | 3 (9.34) | 6 (18.2) | 0.569 | |
III | 25 (62.5) | 22 (68.8) | 21 (63.6) | 0.848 | |
IV | 4 (10) | 2 (6.25) | 2 (6.1) | 0.771 | |
The tactics of endovascular intervention and its amount were determined by the operating surgeon based on the morphological characteristics of the target lesion of the CA. In the case of true BLs, preference was given to a two-stent technique. In situations when the use of one endovascular instrument (DEBC or DES) was justified in PCI with full correction of the target lesion, the choice of technique depended on the angiographic result of the primary conventional BAP, vessel diameter, presence of calcification, bifurcation angle, as well as data from intravascular ultrasound (IVUS) and optical coherence tomography (OCT).
Restenosis in the bifurcation zone of the coronary artery was defined angiographically as a loss of ≥50% of lumen of the stented section or artery 5 mm proximally or distally from the edge of the installed stent and/or de novo 50% or more stenosis of the side branch of the bifurcation with the involvement of its orifice in the projection of the previously installed stent of the main branch.
Inclusion criteria: in-stent restenosis in the bifurcation zone of the coronary artery according to coronary angiography (CAG) data; clinical picture of high functional class of angina and/or significant extent of myocardial ischemia according to single-photon emission computed tomography synchronized with ECG or stress echocardiography.
Non-inclusion criteria: combined hemodynamically significant lesion of coronary artery and valves; left ventricular aneurysm requiring reconstruction; severe renal failure; oncological pathology.
Primary endpoint: target lesion revascularization (TLR) defined as repeat coronary endovascular intervention in the stented area for ISR or any other complication.
Secondary combined endpoint: adverse cardiovascular events (ACVE): myocardial infarction, TLR, cardiac death. Endpoint parameters were assessed cumulatively for 365 days after PCI.
Before surgery, 80 (76.2%) patients underwent a stress test to objectively assess ischemia. Of these, 52 (55.9%) patients underwent myocardial perfusion scintigraphy, 28 (30.1%) — stress echocardiography. At the preoperative stage, selective multiprojection CAG was performed on a Toshiba Infinix angiographic unit (Japan) according to a standard protocol with evaluation of the results obtained by two independent specialists.
During coronary stenting, patients were implanted second-generation DES (cobalt (cobalt alloy) stent systems with zotarolimus, cobalt-chromium stent systems with sirolimus and zotarolimus)) and third-generation DES (platinum-chromium stent systems with everolimus, cobalt-chromium stent systems with sirolimus, rapamycin with a biodegradable drug coating).
In group 1, the provisional stenting strategy was used. If necessary, pre- or post-dilation of the side branch (SB) was performed using a standard balloon catheter. In the second group of patients, bifurcation T-stenting, TAP, DK-mini crush techniques were used; all patients underwent kissing angioplasty with obligatory proximal optimization of the stented area. Patients in group 3 underwent BAP using DEBC with paclitaxel. All 33 (100%) patients in the DEBC group were performed predilation of the restenosis zone using a non-drug-eluting balloon catheter.
The criterion for angiographic success when using BAP with DEBC was defined as residual stenosis of the CA less than 50%.
In 15 patients (14.3%), intravascular imaging methods were used: IVUS in 9 cases (8.57%), and OCT in 5 cases (4.76%).
The required sample size was calculated based on power of 80%, a type I error rate of 5%, and an assumption that the minimum difference when comparing 3 groups be 0.8 with a standard deviation of the dependent variable of 1. Estimation of required sample size: 32 in each group. Statistical calculations were performed in Statistica 12.0 program (Stat Soft Inc., USA). The data were assessed for normal distribution (Shapiro–Wilk test). Kruskal–Wallis test was used to assess the statistical significance of differences in quantitative data between the three groups; Mann–Whitney test was used to compare two unrelated groups. The χ2 test with Yates correction was used to assess the statistical significance of differences in qualitative data. Survival curves were constructed using Kaplan–Meier method and compared using the log-rank test. Differences were considered statistically significant at p <0.05. Quantitative data are presented as medians and interquartile ranges (Me [Q1; Q3]). Qualitative data are presented as absolute values and percentages (n (%)).
RESULTS
There were no statistically significant differences between patients in terms of the location of coronary artery lesions and the outcome of primary PCI. In all groups, lesions of the anterior descending artery predominated. In most patients, only the main branch was stented at the first stage of endovascular intervention: 25 (62.5%) in group 1, 17 (53.1%) in group 2, and 16 (48.5%) in grou 3, p=0.468. A two-stent technique was statistically significantly less frequently used in patients with isolated ISR of the main branch: 3 (9.4%) in group 2 versus 19 (59.4%) in group 1 and 18 (54.5%) in group 2, p <0.001, and more frequently in patients with combined ISR of the main and side branch: 26 (81.3%) in group 2 versus 10 (25.0%) in group 1 and 5 (15.1%) in group 3, p <0.001. A total of 75 (71.4%) patients underwent DES implantation at the first stage of PCI, and 11 (10.4%) patients received at least one bare metal stent (BMS). In 19 (18.1%) patients, the type of previously installed stent(s) could not be determined. The structure of the lesion according to A. Medina classification did not differ in groups 1 and 3 (Table 2, Figure 1).
Table 2. Angiographic characteristics of patients in the study groups
Parameter | Group 1, one-stent technique | Group 2, two-stent technique | Group 3, angioplasty with drug-eluting balloon catheter | p |
Location of coronary artery bed lesion | ||||
Bifurcation of the left coronary artery trunk, n (%) | 4 (10.0) | 1 (3.1) | 4 (12.1) | 0.398 |
Anterior descending artery system, n (%) | 24 (60.0) | 21 (65.6) | 19 (57.6) | 0.792 |
Circumflex artery system, n (%) | 8 (20.0) | 5 (15.6) | 5 (15.2) | 0.83 |
Right coronary artery system, n (%) | 6 (15.0) | 4 (12.5) | 2 (6.1) | 0.478 |
Results of primary percutaneous intervention | ||||
Stenting of the main branch, n (%) | 25 (62.5) | 17 (53.1) | 16 (48.5) | 0.468 |
Stenting of the side branch, n (%) | 6 (15) | 5 (15.6) | 7 (21.2) | 0.411 |
Stenting of the main and side branches, n (%) | 9 (22.5) | 10 (31.25) | 10 (30.3) | 0.653 |
Fig. 1. The structure of the bifurcation lesion of the coronary bed according to the classification of A. Medina: SB — side branch, MB — main branch.
Group 2 included 9 patients who were initially planned for a one-stent PCI strategy with provisional stenting, but due to significant compromise of the SB, conversion to a two-stent technique was performed. The overall conversion rate was 9/47 (19.1%). In 6/33 (18.2%) patients, BAP with DEBC have not provided a satisfactory angiographic result of revascularization, and therefore a decision was made to implant a stent. In 3 (9.1%) patients of group 3 with BL 1.0.1 according to A. Medina classification, a single-step stent application was performed in the proximal parts of the MB and SB using one DEBC. In one case (3.03%), in a patient with 0.1.1 lesion, BAP of the MB and SB was performed in sequence using two DEBCs. Also, two DEBCs were used in 1 (3.03%) patient of group 3 with true ISR of BL 1.1.1 using kissing dilation. In total, in group 3, 35 DEBCs were used.
In most patients, a transradial access was used. According to the quantitative CAG analysis, before PCI, the median lesion length in patients after DEBC was significantly shorter than in patients who underwent stent implantation. The minimum diameter of the SB lumen was significantly smaller, and the extent of stenosis and length of lesion of the SB were greater in group 2. According to the intraoperative characteristics of PCI, the length and diameter of the stented section of the MB in groups 1 and 2 did not show statistically significant differences.
According to the quantitative analysis at the end of the intervention, residual stenosis of the MB was statistically significantly more evident in group 3 (p=0.002). Residual stenosis of the SB was less in group 2 (p=0.001, Table 3). The immediate results of PCI are presented in Figure 2.
Table 3. Periprocedural characteristics of patients in the studied groups
Parameter | Group 1, one-stent technique | Group 2, two-stent technique | Group 3, angioplasty with drug-eluting balloon catheter | p |
Radial access, n (%) | 25 (62.5) | 23 (71.9) | 20 (60.6) | 0.592 |
Quantitative analysis before percutaneous coronary intervention | ||||
Main branch | ||||
Reference vessel diameter, Me [Q1; Q3], (mm) | 3.05 [2.77; 3.24] | 3.11 [2.71; 3.30] | 3.01 [2.75; 3.21] | 0.690 |
Minimum lumen diameter, Me [Q1; Q3], (mm) | 0.54 [0.15; 0.79] | 0.61 [0.10; 0.77] | 0.59 [0.11; 0.83] | 0.789 |
Stenosis diameter, Me [Q1; Q3], (%) | 78.2 [71.4; 93.4] | 78.9 [72.3; 99.1] | 83.7 [71.0; 95.4] | 0.805 |
Lesion length, Me [Q1; Q3], (mm) | 10.8 [7.5; 13.4] | 11.6 [8.2; 13.5] | 7.3 [4.8; 10.2] | 0.033 |
Side branch | ||||
Reference vessel diameter, Me [Q1; Q3], (mm) | 2.37 [2.21; 2.54] | 2.41 [2.27; 2.68] | 2.43 [2.31; 2.69] | 0.794 |
Minimum lumen diameter, Me [Q1; Q3], (mm) | 1.47 [1.02; 1.73] | 0.82 [0.44; 1.17] | 1.54 [1.37; 2.13] | <0.001 |
Extent of stenosis, Me [Q1; Q3], (%) | 43.4 [31.2; 59.4] | 75.8 [48.7; 83.4] | 46.9 [29.7; 51.9] | 0.008 |
Lesion length, Me [Q1; Q3], (mm) | 6.1 [2.5; 8.3] | 9.7 [8.1; 15.6] | 5.9 [2.1; 7.8] | 0.003 |
Characteristics of percutaneous coronary intervention | ||||
Length of the stented section of the main branch, Me [Q1; Q3], (mm) | 18.3 [14.9; 22.5] | 19.7 [15.1; 22.3] | – | 0.667 |
Main branch stent diameter, Me [Q1; Q3], (mm) | 3.12 [2.81; 3.29] | 3.05 [2.76; 3.30] | – | 0.751 |
Length of the stented section of the side branch, Me [Q1; Q3], (mm) | – | 12.9 [10.5; 15.9] | – | – |
Side branch stent diameter, Me [Q1; Q3], (mm) | – | 2.61 [2.37; 2.82] | – | – |
Balloon catheter length, Me [Q1; Q3], (mm) | – | – | 15.6 [10.9; 18.4] | – |
Balloon catheter diameter, Me [Q1; Q3], (mm) | – | – | 3.15 [2.75; 3.35] | – |
Quantitative analysis after percutaneous coronary intervention | ||||
Main branch | ||||
Minimum lumen diameter, Me [Q1; Q3], (mm) | 3.01 [2.75; 3.20] | 3.05 [2.68; 3.25] | 2.92 [2.63; 3.05] | 0.881 |
Резидуальный стеноз, Me [Q1; Q3], % | 9.7 [4.5; 13.9] | 8.3 [4.8; 13.2] | 13.3 [9.5; 16.1] | 0.002 |
Side branch | ||||
Minimum lumen diameter, Me [Q1; Q3], (mm) | 2.31 [2.15; 2.44] | 2.36 [2.20; 2.57] | 2.27 [2.16; 2.58] | 0.504 |
Residual stenosis, Me [Q1; Q3], (%) | 21.2 [13.5; 26.3] | 9.3 [7.3; 14.8] | 22.3 [18.5; 26.9] | 0.001 |
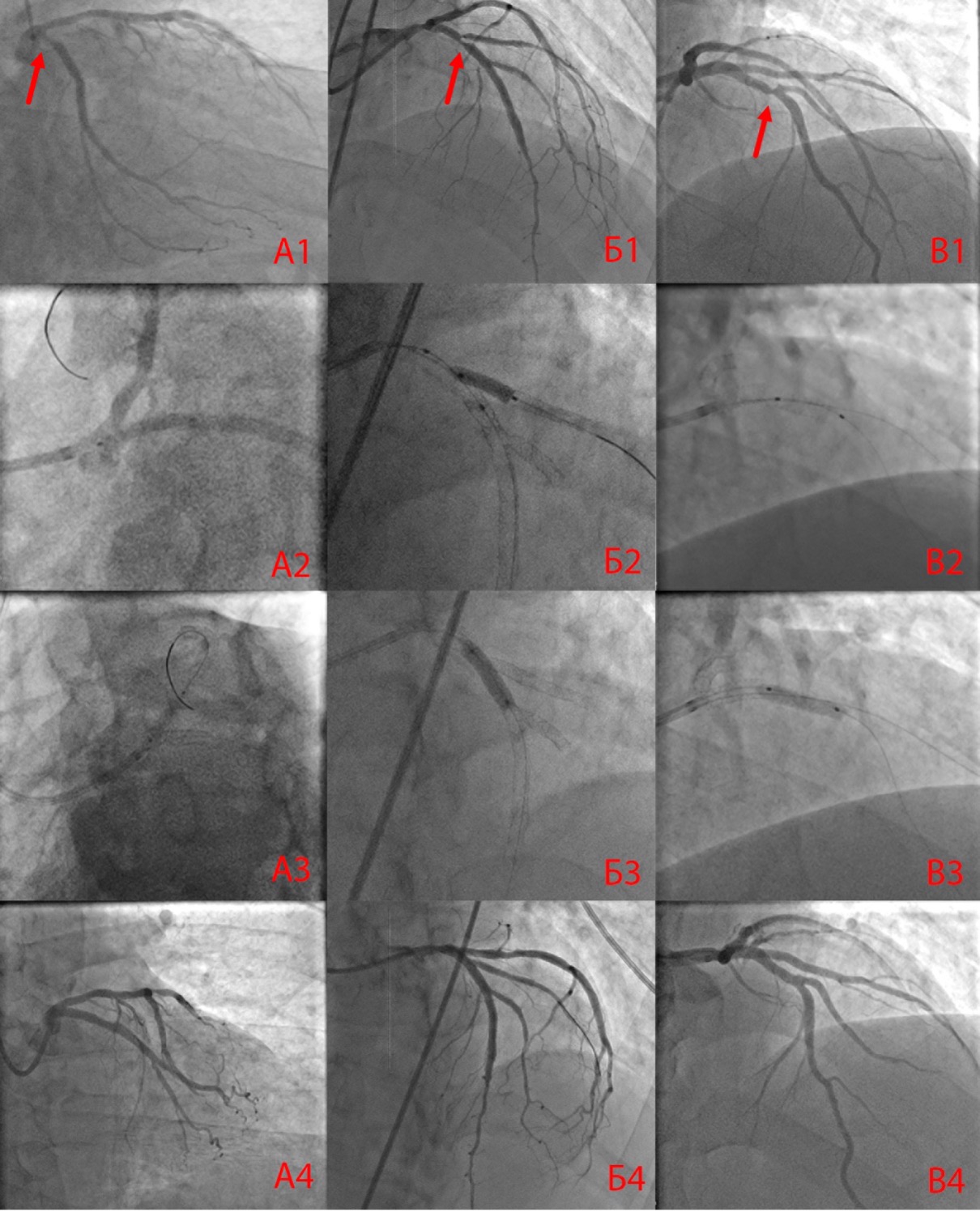
Fig. 2. The immediate result of percutaneous coronary intervention with a one-stent method of correcting bifurcation in-stent restenosis (A1–A4), with a two-stent method (B1–B4) and using a drug-eluting balloon catheter (C1–C4).
The median follow-up period for patients after PCI was 380 [264; 411] days. The incidence of acute myocardial infarction did not differ in all study groups: 2 (5.0%) in group 1, 2 (6.25%) in group 2, and 1 (3.03%) in group 3, p=0.828. One (3.2%) patient in group 2 died from acute transmural myocardial infarction of a non-target vessel; all other recorded cases of myocardial infarction were non-fatal. No significant differences were found in the incidence of recurrent ISR in all groups, but there was a tendency for it to increase in groups 2 and 3: 4 (10.0%) in group 1, 8 (25.0%) in group 2, and 8 (24.2) in group 3, p=0.18. There was also no difference in the proportion of ACVE in all the study groups: 6 (15.0%) in group 1, 11 (34.3%) in group 2, and 9 (27.3%) in group 3, p=0.154 (Table 4). When using a one-stent technique, there was a tendency to reduction of the number of ACVE in the late postoperative period compared to other methods, but no statistical differences were found: 6 (15.0%) versus 20 (30.7%), p=0.07.
Table 4. Adverse cardiovascular events in the long-term postoperative period in patients of the studied groups
Parameter | Group 1, one-stent technique | Group 2, two-stent technique | Group 3, angioplasty with drug-eluting balloon catheter | p |
Myocardial infarction, n (%) | 2 (5.0) | 2 (6.25) | 1 (3.03) | 0.828 |
Revascularization of the target lesion (ISR recurrence), n (%) | 4 (10.0) | 8 (25.0) | 8 (24.2) | 0.18 |
Cardiac death, n (%) | 0 (0) | 1 (3.2) | 0 (0) | 0.317 |
Adverse cardiovascular events, n (%) | 6 (15.0) | 11 (34.3) | 9 (27.3) | 0.154 |
DISCUSSION
One of the main factors that limits PCI effectiveness in the long-term period after the intervention is ISR. Coronary stent implantation induces a cascade of reactions of the proliferative response to a foreign body in the CA, which leads to loss of the lumen of the stented segment. In the long-term period after PCI, restenosis becomes a cause of recurrence of myocardial ischemia, and in some cases, of acute myocardial infarction, which impairs the quality of life and prognosis in patients with CHD. In recurrent myocardial ischemia after the primary intervention, with uncomplicated lesions of coronary arteries, PCI is often performed in cardiology hospitals and is an effective and safe method of treating patients with ISR. Restenosis can be corrected both by implanting a stent(s) and by using a drug-based BAP.
X-ray surgical treatment of patients with BL restenosis is not a routine task for an endovascular surgeon due to the ambiguous tactics, technical complexity of the intervention and suboptimal prognosis for ISR in this category of patents. The evidence base for the effectiveness and safety of PCI lacks power. When analyzing the existing literature devoted to correction of ISR of the BL, we used data search services Google Scholar, PubMed, and CyberLeninka and eLibrary databases. Domestic studies on X-ray surgical correction of BL restenosis are presented only as clinical observations [9], while foreign studies are limited to single non-randomized analyses with a small number of patients. Our study of the results of endovascular myocardial revascularization in the zone of BL restenosis using modern stent systems and DEBC, is one of the first in Russia.
In the Nordic Bifurcation study [10], devoted to the analysis of 5-year remote results of primary PCI in BL, the frequency of primary TLR in the groups of optional stenting of the SB and stenting of the MB and SB was 14.3% versus 18.3% respectively (p=0.14). The proportion of ACVE (cardiac death, myocardial infarction, TLR) also did not differ statistically significantly in both groups 15.8% versus 21.8% in groups 1 and 2 respectively (p=0.15). In meta-analysis of R. Nairooz et al. (2017) [11], which included 2778 patients with primary BL, it was noted that with a mean follow-up period of (3.0±1.6) years, provisional stenting was associated with a lower risk of all-cause death compared with a two-stent strategy (relative risk (RR) 0.66; 95% confidence interval (CI) 0.45–0.98, p=0.04)). At the same time, no differences were found in the incidence of TLR, myocardial infarction, stent thrombosis, and ACVE. When analyzing studies with a longer follow-up period (4.6±0.7) years the risk of developing TLR and stent thrombosis also did not differ between both stenting strategies (RR 0.81; 95% CI 0.57–1.15; p=0.24; versus RR=0.75; 95% CI 0.19–2.84; p=0.67 respectively) [12].
In our previously published work [13], the proportion of the ISR recurrence with uncomplicated lesion of CA at 12 months of follow-up after implantation of DES and BAP of the restenosis zone with DEBC was 11.9% (n=18) and 16.7% (n=14), p >0.05. The frequency of myocardial infarction did not differ and was 6 (3.1%) cases in both groups, also one patient in each cohort suffered an acute cerebrovascular accident (p >0.05), no fatal outcomes were recorded.
The RIBS IV study [14] compared the effectiveness and safety of using DEBC and DES with everolimus in the x-ray endovascular correction of ISR in 309 patients with DES-ISR with uncomplicated coronary artery disease. The rate of TLR within a year was 11 (7.1%) in the DES group versus 24 (15.6%) in patients who underwent BAP with DEBC (RR 0.43; 95% CI 0.21–0.87, p=0.015). The need for late (>1 year) revascularization in the two groups did not differ statistically significantly. The incidence of the combined endpoint of ACVE (cardiac death, myocardial infarction, TLR) was lower in the cohort of everolimus-eluting stents: 19 (12.3%) vs. 31 (20.1%), RR 0.57; 95% CI 0.34–0.96, p=0.04.
In the study by V.V. Demin et al. (2016), the immediate and long-term results of the use of paclitexel-eluting balloon catheter were assessed in 212 ISR patients using IVUS and OCT. The incidence of ISR recurrence after 3–6 months of follow-up was 21.7% [15].
In the DAEDALUS meta-analysis [16], the results of the use of DEBCs and DES in the treatment of ISR patients with uncomplicated coronary artery disease were studied. A total of 710 patients with BMS-ISR (722 lesions) and 1,248 patients with DES-ISR (1,377 lesions) were included in the study. Over 12 months, no differences were observed in TLR between the patients with BMS-ISR and DEBC- and DES-ISR (9.2% versus 10.2% respectively). In patients with DES-ISR, the rate of TLR was higher in BAP with DEBC and made 20.3% compared with 13.4% in repeated DES implantation (RR 1.58; 95% CI 1.16–2.13). The rates of all-cause deaths, myocardial infarction, and TLR were similar in both groups.
T.K. Eraliev et al. (2021) [17] assessed the immediate and in-hospital outcomes of provisional T-stenting (n=40) and DEBC (n=40) in patients with BL. The technical success of the intervention on the main branch did not differ between the groups (97.5% in the group with drug-eluting balloon (DEB) and 100% in the group of provisional stenting)). At the same time, in the group of DEBC, the technical success rate on the MB was statistically higher (87.5% versus 60%). The transition to a two-stent technique was required in 3 cases in each group. Periprocedural myocardial infarction was noted in 1 patient in the provisional stenting group and in 2 patients in the DEBC group. In all cases, patients were treated conservatively; repeat PCI was not required.
In a non-randomized single-center study of efficiency and safety of the repeat PCI of BL in 64 patients with use of DES, BMS and DEBC [18], the following results were obtained: the frequency of achieving the combined endpoint of ACVE was lower in the group using DES alone in comparison with any other intervention strategies (a two-stent technique, BMS or DEBC) 4 (10.8%) versus 8 (29.6%), p=0.04.
Thus, the results obtained in our study, correlated quite closely with the data of domestic and foreign works. The incidence rate of ISR and ACVE with the implantation of DES alone generally corresponded to the proportion of these parameters in the correction of uncomplicated restenotic lesions of the CA, as well as the use of a one-stent technique in primary and repeated PCI on the BL. Recurrence of binary restenosis and ACVE were slightly more often detected in patients after repeated implantation of two DESs in the ISR zone compared to primary two-stent PCI on the BL (according to literature data), while no statistically significant difference in the development of adverse events was noted between the DES-2 and DEBC groups. A tendency towards an increase in the incidence of ISR and ACVE recurrence was revealed in the DES-2 and DEBC groups compared to DES-1.
Limitations of the study: a single-center study, inclusion was retrospective, no randomization, a small number of patients.
CONCLUSION
Endovascular revascularization in binary restenosis of coronary artery bifurcation using a one-stent, two-stent techniques and drug-eluting balloon catheters, provides satisfactory immediate and long-term results of percutaneous coronary intervention, without statistically significant difference.
ADDITIONAL INFORMATION
Author contributions. Yu.L. Sevchenko — concept and design of the study, editing; D.Yu. Ermakov, D.I. Marchak, D.S. Ulbashev, Sh.A. Chotchaev, M.A. Maslennikov, A.V. Baranov, A.Yu. Vakhrameeva — recruitment and analysis of clinical material, analysis of literary sources, statistical processing of data, writing the text. All authors approved the manuscript (the publication version), and also agreed to be responsible for all aspects of the work, ensuring proper consideration and resolution of issues related to the accuracy and integrity of any part of it.
Ethics approval. The study was approved from the Local Ethics Committee of the National Medical and Surgical Center named after N.I. Pirogov (Protocol No. 2 of May 27, 2024).
Consent for publication. All participants of study voluntarily signed an informed consent form before being included in the study.
Funding sources. No funding.
Disclosure of interests. The authors have no relationships, activities or interests for the last three years related with for-profit or not-for-profit third parties whose interests may be affected by the content of the article.
Statement of originality. The authors did not use previously published information (text, illustrations, data) when creating this work, except for mentioning in the “Discussion” section the results of the previous study with a reference [13], which was justified by the need to analyze the scientific context of this study.
Data availability statement. The editorial policy regarding data sharing does not applicable to this work, and no new data were collected or created.
Generative AI. Generative AI technologies were not used for this article creation.
Provenance and peer-review. This work was submitted to the journal on its own initiative and reviewed according to the usual procedure. Two reviewers, a member of the editorial board and the scientific editor of the publication participated in the review.
About the authors
Yuri L. Shevchenko
National Medical and Surgical Center named after N.I. Pirogov
Email: yur.leon@mail.ru
ORCID iD: 0000-0001-7473-7572
SPIN-code: 8705-9810
MD, Dr. Sci. (Medicine), Professor
Russian Federation, MoscowDmitry Yu. Ermakov
National Medical and Surgical Center named after N.I. Pirogov
Author for correspondence.
Email: ermakov.hs@gmail.com
ORCID iD: 0000-0002-8479-8405
SPIN-code: 6512-5603
MD, Cand. Sci. (Medicine)
Russian Federation, MoscowDmitry I. Marchak
National Medical and Surgical Center named after N.I. Pirogov
Email: dimarchak@mail.ru
ORCID iD: 0000-0003-2482-0946
MD, Cand. Sci. (Medicine)
Russian Federation, MoscowDaniil S. Ulbashev
National Medical and Surgical Center named after N.I. Pirogov
Email: dan103@mail.ru
ORCID iD: 0000-0003-3288-8414
SPIN-code: 5294-3315
MD, Cand. Sci. (Medicine)
Russian Federation, MoscowShamil A. Chotchaev
National Medical and Surgical Center named after N.I. Pirogov
Email: dr.chotchaev@gmail.com
ORCID iD: 0009-0009-6665-2435
Russian Federation, Moscow
Mikhail A. Maslennikov
National Medical and Surgical Center named after N.I. Pirogov
Email: cardiologyru@gmail.com
ORCID iD: 0009-0003-3302-5167
SPIN-code: 5944-4676
MD, Cand. Sci. (Medicine)
Russian Federation, MoscowAlexander V. Baranov
Derzhavin Tambov State University
Email: bara68lex2007@yandex.ru
ORCID iD: 0000-0002-9978-0048
SPIN-code: 8096-3120
MD, Cand. Sci. (Medicine), Associate Professor
Russian Federation, TambovAnastasia Yu. Vakhrameeva
National Medical and Surgical Center named after N.I. Pirogov
Email: vakhrameeva_n@mail.ru
ORCID iD: 0000-0003-2429-3015
SPIN-code: 5772-9062
MD, Cand. Sci. (Medicine)
Russian Federation, MoscowReferences
- Lawton JS, Tamis–Holland JE, Bangalore S, et al. 2021 ACC/AHA/SCAI Guideline for Coronary Artery Revascularization: A Report of the American College of Cardiology/American Heart Association Joint Committee on Clinical Practice Guidelines. Circulation. 2022;145(3):e18–e114. doi: 10.1161/CIR.0000000000001038 EDN: FIXFGN
- Vrints C, Andreotti F, Koskinas KC, et al.; ESC Scientific Document Group. 2024 ESC Guidelines for the management of chronic coronary syndromes. Eur Heart J. 2024;45(36):3415–3537. doi: 10.1093/eurheartj/ehae177 Erratum in: Eur Heart J. 2025;46(16):1565. doi: 10.1093/eurheartj/ehaf079 EDN: BAEMDI
- Eraliev TK, Khelimskii DA, Badoian AG, Krestyaninov OV. Coronary bifurcation lesions: current techniques for endovascular treatment. Circulation Pathology and Cardiac Surgery. 2021;25(2):38–49. doi: 10.21688/1681-3472-2021-2-38-49 EDN: CBOUIL
- Abdelmegid MF, Ahmed T, Kato M, et al. Drug-eluting stents or balloon angioplasty for drug-eluting stent-associated restenosis: An observational follow-up study of first-time versus repeated restenosis. J Saudi Heart Assoc. 2017;29(2):76–83. doi: 10.1016/j.jsha.2016.10.001 EDN: YFHMFJ
- Jeger RV, Eccleshall S, Wan Ahmad WA, et al.; International DCB Consensus Group. Drug-Coated Balloons for Coronary Artery Disease: Third Report of the International DCB Consensus Group. JACC Cardiovasc Interv. 2020;13(12):1391–1402. doi: 10.1016/j.jcin.2020.02.043 EDN: UBCBUD
- Viller AG, Kharpunov VF, Bolomatov NV, et al. Long-term outcome after endovascular treatment of coronary in-stent restenosis by paclitaxel-eluting balloons. Bulletin of Pirogov National Medical & Surgical Center. 2013;8(2):15–23. EDN: SIBZGL
- Viller AG, Kharpunov VF, Bolomatov NV, et al. Nash opyt primeneniya nestentovyh metodik preduprezhdeniya restenozov venechnyh arterij. Byulleten' NTSSSKH imeni A.N. Bakuleva RAMN «Serdechno-sosudistyye zabolevaniya». Application. 2010;11(3):49. (In Russ).
- Viller AG, Matusov AB, Harpunov VF, et al. Primenenie ballonnogo katetera Genie dlya lokal'noj dostavki paklitaksela u bol'nyh IBS. Byulleten' NTSSSKH imeni A.N. Bakuleva RAMN «Serdechno-sosudistyye zabolevaniya». Application. 2010;11(3):117. (In Russ).
- Askerkhanov GR, Dubaev AA, Sadyki MN, et al. Provisional bifurcation stenting of the left main coronary artery for in-stent restenosis: case report and literature review. International Journal of Interventional Cardioangiology. 2019;(58/59):18–23. EDN: ADHHEE
- Maeng M, Holm NR, Erglis A, et al.; Nordic-Baltic Percutaneous Coronary Intervention Study Group. Long-term results after simple versus complex stenting of coronary artery bifurcation lesions: Nordic Bifurcation Study 5-year follow-up results. J Am Coll Cardiol. 2013;62(1):30–34. doi: 10.1016/j.jacc.2013.04.015
- Nairooz R, Saad M, Elgendy IY, et al. Long-term outcomes of provisional stenting compared with a two-stent strategy for bifurcation lesions: a meta-analysis of randomised trials. Heart. 2017;103(18):1427–1434. doi: 10.1136/heartjnl-2016-310929
- Zhang J-J, Ye F, Xu K, et al. Multicentre, randomized comparison of two-stent and provisional stenting techniques in patients with complex coronary bifurcation lesions: the DEFINITION II trial. Eur Heart J. 2020;41(27):2523–2536. doi: 10.1093/eurheartj/ehaa543 EDN: ZCCIHY
- Shevchenko YuL, Ermakov DYu, Vakhrameeva AYu, Baranov AV. Interventional correction of in-stent restenosis using balloon catheters and drug-eluting stent systems of the second and third generation in patients with coronary artery disease. Russian Journal of Endovascular Surgery. 2024;11(1):52–62. EDN: GWYJRE
- Alfonso F, Perez–Vizcayno MJ, Cuesta J, et al.; RIBS IV Study Investigators (Under the Auspices of the Interventional Cardiology Working Group of the Spanish Society of Cardiology). 3-Year Clinical Follow-Up of the RIBS IV Clinical Trial: A Prospective Randomized Study of Drug-Eluting Balloons Versus Everolimus-Eluting Stents in Patients With In-Stent Restenosis in Coronary Arteries Previously Treated With Drug-Eluting Stents. JACC Cardiovasc Interv. 2018;11(10):981991. doi: 10.1016/j.jcin.2018.02.037 EDN: YHXPZB
- Demin VV, Demin AV, Demin DV, et al. Drug-coated balloons in the treatment of coronary artery restenosis: 7-year experience of use. International Journal of Interventional Cardioangiology. 2016;(44):59–71. EDN: ZRABBF
- Giacoppo D, Alfonso F, Xu B, et al. Paclitaxel-coated balloon angioplasty vs. drug-eluting stenting for the treatment of coronary in-stent restenosis: a comprehensive, collaborative, individual patient data meta-analysis of 10 randomized clinical trials (DAEDALUS study). Eur Heart J. 2020;41(38):3715–3728. doi: 10.1093/eurheartj/ehz594 Erratum in: Eur Heart J. 2020;41(38):3728. doi: 10.1093/eurheartj/ehz861 Erratum in: Eur Heart J. 2025;46(25):2485. doi: 10.1093/eurheartj/ehaf217 EDN: ZPMMOI
- Eraliev TK, Khelimskiy DA, Badoyan AG, et al. Immediate outcomes of endovascular interventions for coronary bifurcation lesions using paclitaxel-coated balloons. Russian Journal of Endovascular Surgery. 2021; 8(4):385–391. EDN: ISZTJS
- Coroleu SF, De Vita M, Burzotta F, et al. Angiographic and clinical outcome of percutaneous coronary intervention for in-stent restenosis of bifurcated lesions. EuroIntervention. 2012;8(6):701–707. doi: 10.4244/eijv8i6a109
Supplementary files








