Differential Approach to Surgical and Endovascular Treatments of Pulmonary Thromboembolism in Patients with Neurological and Neurosurgical Problems
- 作者: Fedorov S.A.1,2,3, Medvedev A.P.1,3, Tselousova L.M.4, Kudykin M.N.5, Pichugin V.V.1,3, Zhurko S.A.1, Chiginev V.A.1,3, Gamzaev A.B.1, Trofimov N.A.2,6, Gamayunov S.V.4, Deryabin R.A.4
- 
							隶属关系: 
							- Specialized Cardiac Surgical Clinical Hospital named after Academician B. A. Korolev
- I. N. Ulyanov Chuvash State University
- Privolzhsky Research Medical University
- Nizhny Novgorod Regional Clinical Oncologic Dispensary
- Clinic of Medical Expertise
- Republican Cardiology Dispensary
 
- 期: 卷 30, 编号 2 (2022)
- 页面: 223-232
- 栏目: Original study
- ##submission.dateSubmitted##: 18.11.2021
- ##submission.dateAccepted##: 09.03.2022
- ##submission.datePublished##: 29.06.2022
- URL: https://journals.eco-vector.com/pavlovj/article/view/88671
- DOI: https://doi.org/10.17816/PAVLOVJ88671
- ID: 88671
如何引用文章
详细
INTRODUCTION: Pulmonary embolism (PE) is one of the most threatening complications in patients with neurological and neurosurgical problems. The high epidemiological threshold values and mortality in the considered group of patients attracted the interest of researchers in the methods of early diagnosis and selection of methods of reperfusion of the pulmonary arterial bed.
AIM: To analyze clinical and hemodynamic results of the surgical and endovascular treatment of PE of the high and intermediate–high risks in the group of patients with neurological and neurosurgical problems.
MATERIALS AND METHODS: This study involved 24 patients with PE of high and intermediate — high-risks. The first group involved seven patients with neurosurgical problems who underwent thromboembolectomy from the main and lobular branches of the pulmonary artery in conditions of parallel perfusion of the artificial circulation. The duration of perfusion was 26.0 ± 7.4 min. The second group consisted of 17 patients with acute hemorrhagic stroke, in whom endovascular mechanical fragmentation of thromboemboli was performed using a modified Pig-Tail type catheter introduced by puncture through the subclavian or jugular vein. The first clinical manifestations of PE appeared 4.78 ± 2.02 days after the neurosurgical intervention and 8.45 ± 2.6 days after the onset of stroke. The initial systolic pressure in the pulmonary artery was 67.24 ± 5.15 mm Hg in the first group and 70.53 ± 4.53 mm Hg in the second group. Both groups had American Society of Anesthesiologist physical status IV and V classes of surgical risk and Pulmonary Embolism Severity Index class V (130–174 points).
RESULTS: The hospital survival rates were 100% and 82.36% in the first and second groups, respectively (three lethal cases due to progressing right-ventricular failure in the first 18 h after the procedure). On discharge, signs of reverse remodeling of the right heart chambers and reduction of the mean and systolic pressure in the pulmonary artery to 21 ± 2.16 and 31 ± 4.12 mm Hg, respectively, were noted in the first group and to 46 ± 5.23 and 57 ± 3.16 mm Hg, respectively, in the second group.
CONCLUSION: Surgical treatment of PE is effective and safe with predictable results. Endovascular catheter — induced destruction of the thromboembolus substrate is an alternative to the surgical treatment of patients with a high-risk of open surgery and absolute contraindications for thrombolytic therapy.
全文:
LIST OF ABBREVIATIONS
HLM ― heart-lung machine
SVC ― superior vena cava
VTEC ― venous thromboembolic complications
AC ― artificial circulation
МSСТ-APG ― magnetic spiral computed tomography-angiopneumography
IVC ― inferior vena cava
ACVA ― acute cerebrovascular accident
DVT ― deep vein thrombosis
TLT ― thrombolytic therapy
PE ― pulmonary embolism
INTRODUCTION
Venous thromboembolic complications (VTEC) are currently one of most threatening complications in the neurological and neurosurgical practice [1]. Combining deep vein thrombosis (DVT) and pulmonary embolism (PE) in their pathophysiological structure, they determine a large cohort of patients with this diagnosis. Speaking about PE, its epidemiological threshold is 1–2 people per 100 thousand adult population reaching 10 cases per 100 thousand population in the group of patients of the advanced and old age [2]. In its turn, the share of PE in postoperative complications is 28%–33%? despite a wide use of methods of pharmacological and mechanical prophylaxis [3]. Besides high incidence in this group of patients, PE is characterized by highly discouraging mortality rates. Thus, PE is the cause of fatal outcome in 4.1% of cardiovascular interventions, in 14.1% of abdominal surgeries, and reaches 30.7% in the group of patients of neurosurgical profile [4]. According to the modern literature, DVT occurs in 25%–30% of patients operated on one or another segment of the central or peripheral nervous system, and PE ― in 3%–7% of this category of patients [5]. To note, this epidemiological picture is the tip of an iceberg because severity of the initial premorbid status of neurosurgical category of patients determines a low percent of the lifetime verification of this diagnosis and a significant amount of postmortem findings [6]. According to J. L. Koehl, et al., the rate of lifetime diagnosis of PE is 19 cases per 100 thousand adult population, while in 159 cases per 100 thousand population it is a postmortem finding [7].
Besides the problem of early verification of the correct diagnosis, an important aspect that largely defines a poor clinical outcome is the choice of treatment tactics. According to the current clinical recommendations, the “gold standard” for reperfusion of the pulmonary arterial bed in the group of high and intermediate-high risk patients is thrombolytic therapy (TLT) [2]. If the latter is impossible or ineffective, the balance tips to the surgical intervention [2, 3]. However, the absence of successive multicenter studies determines a skeptical attitude to this method of massive PE treatment in the majority of specialists who resort to it as to a method of despair. In turn, the application of X-ray endovascular method of reperfusion in the group of patients under consideration, is not widely presented in the literature and is limited to description of single clinical cases [8]. All the above said determines the relevance of our study, as well as its aim.
This study aimed of analysis of clinical and hemodynamic results of surgical and endovascular methods of treatment of pulmonary embolism of high and intermediate-high risk in the group of patients of neurological and neurosurgical profile.
MATERIALS AND METHODS
The conducted analysis is based on the experience in treatment of 24 patients of neurological and neurosurgical profile with high and intermediate-high risk PE in the period from 2015, 13 March to 2019, 24 September. The clinical study was conducted in accordance with the standards of Good Clinical Practice and the principles of Declaration of Helsinki. Before being included in the study, all the participants gave their written informed consent.
Depending on the nosological form of the disease, and also on the intervention performed by us, all the patients were divided to two groups. The first group included 7 patients of neurosurgical profile in whom PE was a complication of the early postoperative period after the past neurosurgical interventions (Table 1).
Table 1. Structure of Neurosurgical Interventions of Patients of the First Group
| Kind of Neurosurgical Intervention | n | 
| Microsurgical plasty of the spinal canal | 1 | 
| Removal of a herniated disc | 2 | 
| Reconstruction of the lumber section of the spine after its damage in a road accident | 2 | 
| Microsurgical removal of glioblastoma of the brain | 1 | 
| Microsurgical removal of oligodendroglioma of the brain | 1 | 
The second group included 17 patients with acute hemorrhagic stroke who were on treatment in resuscitation and intensive care unit of regional vascular centers. The neurological status of the patients of group 2: 13.45 ± 2.11 points on NIHSS scale, Barthel index 24.1 ± 3.15 points. At the time of PE episode, all the patients under consideration had 0 points on Rivermead scale and were referred to the 5th degree of severity in Rankin classification.
The early postoperative period of patients of the first group, and the hemorrhagic stroke in patients of the second group were absolute contraindications for TLT.
Patients of the first group underwent open surgical intervention ― thromboembolectomy from the main and lobar branches of the pulmonary artery in conditions of parallel perfusion of artificial circulation (AC). Indications for embolectomy were: the existence of a massive thromboembolus in the trunk and lobar branches of the pulmonary artery, occluding the lumen of the latter by more than 60%; progressive right ventricular failure; sustained systemic hypotension tolerant to the methods of drug and non-drug support of systemic circulation; a state of shock.
Patients of the second group underwent X-ray endovascular intervention ― endovascular mechanical fragmentation of thromboembolus. The decision on the reasonability of using this particular technique of reperfusion was made on the basis of the conclusion of a consultation of specialists from neurosurgery, cardiac surgery, and anesthesiology. Indications for intervention were: acute cerebrovascular accident (ACVA) of hemorrhagic type; impossibility to perform open surgery due to severe morbid status of patients; central form of PE; progressing right ventricular failure; systemic hypotension, hypoxemia.
Besides PE, the objective status of the patients was largely determined by the character and the degree of severity of the concomitant diseases (Table 2).
Table 2. Demographic and Premorbid Profile of Patients in Analyzed Groups
| Parameter | Group 1 | Group 2 | 
| n | 7 | 17 | 
| Mean Age | ||
| Men, M ± s, years | 47.0 ± 3.1 | 51.0 ± 4.2 | 
| Women, M ± s, years | 56.0 ± 4.7 | 58.6 ± 2.1 | 
| Concomitant Pathology | ||
| Arterial hypertension, n (%) | 5 (71.5) | 15 (88.2) | 
| Lower limb deep vein thrombosis, n (%) | 5 (71.5) | 12 (70.5) | 
| Type 2 diabetes mellitus, n (%) | 3 (42.8) | 8 (47.0) | 
| Coronary heart disease, n (%) | 3 (42.8) | 8 (47.0) | 
| Obesity, n (%) | 3 (42.8) | 11 (64.7) | 
| Chronic kidney disease, n (%) | 3 (42.8) | 2 (11.7) | 
| Atherosclerotic lesion of lower limb arteries, n (%) | 3 (42.8) | 8 (47.0) | 
| Chronic obstructive pulmonary disease, n (%) | 2 (28.5) | 5 (29.4) | 
| Transient ischemic attacks in history, n (%) | 0 | 2 (11.7) | 
| Degree of Circulatory Insufficiency | ||
| II B stage in Vasilenko-Strazhesko classification, n (%) | 5 (71.5%) | 17 (100%) | 
| III functional class, n (%) | 2 (28.5%) | 3 (17.6%) | 
| IV functional class, n (%) | 3 (42.8%) | 14 (82.3%) | 
| Surgical risk (American Society of Anesthesiologists Physical Status Classification), class | IV | V | 
| Condition of Patient’s Consciousness on Glasgow Scale, points | 14.5 ± 1.1 | 9.8 ± 3.1 | 
Based on the analysis of the materials of the primary medical documentation, the first clinical manifestations of PE appeared on the 4.78 ± 2.02 day after the neurosurgical intervention, and on the 8.45 ± 2.60 day after manifestation of ACVA.
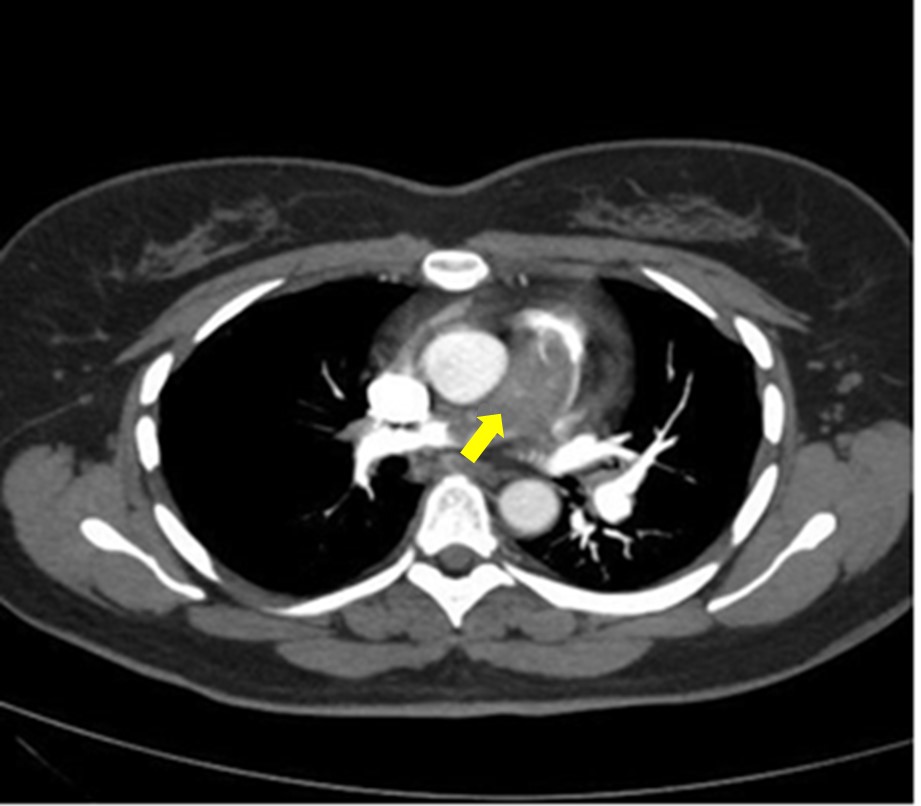
PE diagnosis was verified using the entire range of laboratory and instrumental diagnostic methods in accordance with the current clinical recommendations, the most informative method being multispectral computed tomography-angiopneumography (MSCT-APG) with contrast, by the results of which all the patients were diagnosed with the trunk form of PE, and the condition of the peripheral pulmonary arterial bed was evaluated, which is one of the most important prognostic clinical factors (Figure 1).
Fig. 1. Multispectral computed tomography-angiopneumography with contrast: central form of pulmonary embolism with location of the embolus in the trunk and the main branches of the pulmonary artery.
Note: the arrow indicates a thromboembolus in the trunk and bifurcation of the pulmonary artery.
At the stage of diagnostic search, all the patients were examined for the level of D-dimer, which was 3.14 ± 1.3 in patients of the first group and 1.95 ± 0.85 of the second group. To determine the management tactics, transthoracic echocardiography (EchoCG) was conducted in all the patients, and also duplex scanning of the veins of the lower limbs and pelvis to determine the source of the thromboembolic substrate and indications for surgical or drug prophylaxis of PE recurrence. As a result, in all the analyzed clinical cases, we verified the occlusive form of DVT without signs of significant flotation, which required administration of low-molecular-weight forms of heparin at the stage of additional examination, and also obligatory administration of compression knitwear of the 2nd compression class. It should be noted that among group 1 patients, elastic compression therapy after the previous neurosurgical intervention was used in 85.7% and consisted mainly in the elastic bandaging of the lower limbs.
After preoperative additional examination and stabilization of parameters of central hemodynamics, patients of group 1 underwent an urgent surgical intervention within 1.12 ± 0.45 hours from the moment of admission to hospital. A surgical access was longitudinal median sternotomy. To improve visualization of the right heart chambers, a wide T-shaped opening of the pericardium was performed, after which a heart-lung machine (HLM) was connected through isolated cannulation of the orifices of the superior (SVC) and inferior vena cava (IVC) with 32F and 36F cannulas, respectively, and also of the ascending aorta.
After reaching the rated performance of the HLM, the orifices of the IVC and SVC were compressed with sutages applied at the preparatory stage of the operation. For embolectomy, incision of the trunk of the pulmonary artery was made, starting 1.0 cm distally of the pulmonic valve and continuing towards the bifurcation of its left branch. The embolectomy proper was performed with the straight and curved packers freely introduced in the lumen of the lobar and proximal sections of the segmental branches of the pulmonary arterial bed. The procedure continued under visual control until restoration of the retrograde blood flow via the lobular branches (Figure 2). The duration of parallel perfusion was 26.0 ± 7.4 minutes.
Fig. 2. Embolectomy from the pulmonary artery: the stage of removal of fresh thrombotic masses from the right superior lobar pulmonary artery with straight packer.
After the interventions, the patients were transferred to the resuscitation and intensive care unit for complex cardiologic therapy aimed at correction of cardiovascular and respiratory insufficiency.
Patients of the 2nd group underwent mechanical fragmentation of thromboemboli occluding the lumen of the pulmonary artery, with a modified pigtail catheter. The essence of the technique is the controlled conversion of the central form of PE to the peripheral variant, which permits to alleviate the acutely developed right ventricular failure and to improve the clinical prognosis for highly urgent patients. The procedure was performed in the X-ray room under constant angiographic control. Initially, puncture of either the subclavian or jugular vein was made with subsequent insertion of a diagnostic guide wire into the concerned part of the pulmonary arterial bed. Having positioned the guide wire, we introduced a modified pigtail 5–6 F catheter into the bulk of the thromboembolic substrate. The technical peculiarity of the used catheter is that the angiographic conductor exits through the lateral, rather than the end openings of the catheter, which permits to create an axis, around which the inner curved end of the catheter rotates causing fragmentation of thromboembolus and restoration of the patency of the proximal pulmonary arterial bed [9].
Statistical processing of the presented material was carried out using the licensed program package Statistica 9.0 (Stat Soft Inc., USA) and Microsoft Office Excel (Microsoft Corp., USA) for Windows XP. The nature of the distribution of the obtained data was evaluated using Kolmogorov–Smirnov tests. Quantitative characteristics corresponded to the law of normal distribution and are presented as M ± σ, where M is the arithmetic mean, σ is the standard deviation. In assessment of the severity of the condition and the degree of risk for development of PE, we used generally accepted classifications. The main characteristics and hospital outcomes for the two groups were compared using Student's test. The differences were considered statistically significant at p < 0.05.
RESULTS
Despite the initial severe morbid status of the patients determined by the type and the degree of severity of both the main and the concomitant pathology, in group 1 not a single death was recorded, while in the 2nd group ― 3 lethal cases (all within the first 18 hours after the intervention). The lethal outcomes were caused by the progressung right ventricular failure tolerant to the used methods of cardiotonic support. Thus, hospital survival rate was 100% in group 1 and 82.36% in group 2.
The duration of artificial lung ventilation in group 1 was 12.0 ± 2.4 hours, after which the patients were transferred to independent spontaneous breathing. Among the main complications of the early postoperative period, cardiovascular and multiple organ failure prevailed, the consequences of which abated by the time the patients were transferred to specialized hospitals. The average stay in the intensive care unit was 2.14 ± 0.23 days. It should be noted that the forced immobilization of the concerned patients due to previous interventions on the central and peripheral nervous system, as well as the consequences of ACVA, induced changes in the "early activation" approach that we adhere to in relation to the concerned patients. At the time of discharge from the hospital, the neurological status of group 1 patients showed residual paresthesia in the area of spinal intervention in 2 patients and reduction of the volume of movements of the lower limbs due to the preserved pain component in another 2 patients.
All the patients of the 2nd group were transferred to neurological hospitals at the place of residence with general cerebral symptoms for specific treatment.
To control the hemodynamic efficiency of the conducted interventions, all the patients underwent transthoracic EchoCG. Based on the results of the latter, signs of remodeling of the right heart chambers and a positive dynamics of pulmonary hypertension were noted as early as in the hospital stage (Table 3).
Table 3. Dynamics of Parameters of Transthoracic Echocardiography in Analyzed Groups
| Parameter | Group 1 | Group 2 | ||
| before surgery | after | before destruction | after | |
| Right atrium, M ± σ, mm | 53.0 ± 3.1/46.0 ± 1.1 | 42.0 ± 2.6/34.0 ± 3.1* | 55.0 ± 4.3/43.0 ± 1.2 | 43.0 ± 2.3/33.5 ± 1.8* | 
| Right ventricle, M ± σ, mm | 65.0 ± 4.1/41.4 ± 2.6 | 51.0 ± 2.1/34.0 ± 1.6* | 63.2 ± 3.1/43.1 ± 2.2 | 52.4 ± 2.2/38.0 ± 1.6* | 
| Left ventricular ejection fraction, M ± σ, % | 45.3 ± 2.2 | 52.3 ± 6.1 | 48.4 ± 5.1 | 55.6 ± 1.1 | 
| Mean pressure in the pulmonary artery, M ± σ, mm Hg | 47.0 ± 2.6 | 21.0 ± 2.2* | 58.0 ± 4.2 | 46.0 ± 5.2* | 
| Peak pressure in the pulmonary artery, M ± σ, mm Hg | 67.2 ± 5.2 | 31.0 ± 4.1* | 70.5 ± 4.5 | 57.0 ± 3.2* | 
Note: * ― р < 0.05
DISCUSSION
Without doubt, currently VTEC is an extremely important problem of patients of the neurological and neurosurgical profile [1]. Speaking about the pathogenetic background of the considered complications, one should note the involvement of the three components of Virchow triad in the etiopathogenetic process.
Forced immobilization of patients due to surgical intervention on the organs of the central and peripheral nervous system, exactly like the damage to the brain structures seen in ACVA, determine the slowing of blood flow in the inferior vena cava system. Thus, according to A. I. Khripun, et al., DVT in the inferior vena cava system occurs in 24.6% of patients of neurosurgical profile with an asymptomatic course in most cases [10]. This circumstance is assigned to the fact that patients, due to their objective status, cannot always communicate impairment of their condition. In addition, frustration of neurological afferentation due to breakage of the integrity of the nerve fibers in spinal injuries, determines the asymptomatic course of VTEC in some cases. On the other hand, the phenomena of secondary lymphovenous insufficiency, as well as neurodystrophic processes that inevitably accompany the profile patients, often mask the manifestations of DVT [11]. In view of the above, we consider it maximally justified to conduct duplex scanning of the lower limb veins in all neurological patients, and to use the entire complex of pharmacological and mechanical methods for DVT prophylaxis.
Speaking about the tactics of managing patients with already happened PE, we consider it justified to use the maximally active approach to its treatment. Thus, TLT, which is currently the “gold standard” for the treatment of high and intermediate-high risk PE, is absolutely contraindicated in this group of patients due to high risks of hemorrhage [2]. Therefore, the only chance for the patients under consideration is the earliest possible hospitalization in specialized cardiac surgical hospitals practicing the method of open embolectomy [3]. Complex multicomponent cardiotonic therapy, which begins from the moment of diagnosis to admission of the patient to the operating room, permits to gain time for thorough additional examination and transportation of patients, and direct disobstruction of the proximal segment of the pulmonary arterial bed, performed with the parallel perfusion of the AC, alleviates the phenomena of acute right ventricular failure. Undoubtedly, the accumulated experience in surgical treatment of PE permitted to increase the number of interventions, and to some extent expanded the indications for them [12]. However, there is still no single tactic for patients in critical condition associated with hemorrhagic ACVA. The concerned patients, in addition to contraindications for TLT, are inoperable due to progressive cerebral symptoms, and also exclude the possibility of using AC with preceding systemic heparinization. Thus, catheter-directed fragmentation of thromboemboli in this case is an alternative technique that can save the life of highly urgent patients.
Currently, there occurs only accumulation of the experience in performing this procedure, however, according to the data of the European Society of Cardiology, catheter-directed fragmentation of thromboemboli is not inferior to open surgical intervention in terms of effectiveness and safety [13, 14]. In this context, we do not take into consideration a group of patients with hemorrhagic ACVA, there are only isolated publications on this problem. Thus, in the literature, the experience in endovascular thrombus destruction in 20 patients with damage to the central nervous system is reported, in 17 cases the procedure was supplemented with selective thrombolysis. According to the results of the study, the overall mortality rate made 20%, which is consistent with the data obtained in our study [8]. Thus, X-ray endovascular techniques are a priority direction of treatment of PE in a group of patients with severe morbid profile, and require further study.
CONCLUSION
Surgical and endovascular treatment of pulmonary thromboembolism is currently the promising methods of reperfusion of the system of the pulmonary artery in the group of high-risk and intermediate-risk patients. Characterized by predictable clinical and hemodynamic results, they are a method of choice for operated patients, and also for patients with absolute contraindications for thrombolytic therapy because of concomitant competing pathology.
ADDITIONAL INFORMATION
Funding. This study was not supported by any external sources of funding.
Conflict of interests. The authors declare no conflicts of interests.
Contribution of the authors: S. A. Fedorov ― collection and processing of material, statistical processing, writing of text; A. P. Medvedev, V. A. Chiginev, A. B. Gamzayev ― editing; L. M. Tselousova ― collection and processing of material, writing of text; M. N. Kudykin ― writing of text, editing; V. V. Pichugin ― collection and processing of material, statistical processing; S. A. Zhurko, S. V. Gamayunov, R. A. Deryabin ― collection and processing of material; N. A. Trofimov ― statistical processing. All authors made a substantial contribution to the conception of the work, acquisition, analysis, interpretation of data for the work, drafting and revising the work, final approval of the version to be published and agree to be accountable for all aspects of the work.
作者简介
Sergey Fedorov
Specialized Cardiac Surgical Clinical Hospital named after Academician B. A. Korolev; I. N. Ulyanov Chuvash State University; Privolzhsky Research Medical University
														Email: sergfedorov1991@yandex.ru
				                	ORCID iD: 0000-0002-5930-3941
				                	SPIN 代码: 3574-8749
																		                								
MD, Cand. Sci. (Med.)
俄罗斯联邦, Nizhny Novgorod; Cheboksary; Nizhny NovgorodAleksandr Medvedev
Specialized Cardiac Surgical Clinical Hospital named after Academician B. A. Korolev; Privolzhsky Research Medical University
														Email: medvedev.map@yandex.ru
				                	ORCID iD: 0000-0003-1757-5962
				                	SPIN 代码: 1844-6384
																		                								
MD, Dr. Sci. (Med.), Professor
俄罗斯联邦, Nizhny Novgorod; Nizhny NovgorodLada Tselousova
Nizhny Novgorod Regional Clinical Oncologic Dispensary
														Email: ladamc@rambler.ru
				                	ORCID iD: 0000-0002-6005-2684
				                	SPIN 代码: 6833-9852
																		                												                	俄罗斯联邦, 							Nizhny Novgorod						
Maksim Kudykin
Clinic of Medical Expertise
							编辑信件的主要联系方式.
							Email: mady5@yandex.ru
				                	ORCID iD: 0000-0002-2272-5331
				                	SPIN 代码: 2976-8060
																		                								
MD, Dr. Sci. (Med.), Professor
俄罗斯联邦, VladimirVladimir Pichugin
Specialized Cardiac Surgical Clinical Hospital named after Academician B. A. Korolev; Privolzhsky Research Medical University
														Email: pichugin.vldmr@mail.ru
				                	ORCID iD: 0000-0001-7724-0123
				                	SPIN 代码: 6986-2331
																		                								
MD, Dr. Sci. (Med.), Professor
俄罗斯联邦, Nizhny Novgorod; Nizhny NovgorodSergey Zhurko
Specialized Cardiac Surgical Clinical Hospital named after Academician B. A. Korolev
														Email: zhurkoser@mail.ru
				                	ORCID iD: 0000-0002-5222-1329
				                																			                								
MD, Cand. Sci. (Med.)
俄罗斯联邦, Nizhny NovgorodVladimir Chiginev
Specialized Cardiac Surgical Clinical Hospital named after Academician B. A. Korolev; Privolzhsky Research Medical University
														Email: chiginevvladimir@yandex.ru
				                	ORCID iD: 0000-0001-8977-1968
				                	SPIN 代码: 2459-4291
																		                								
MD, Dr. Sci. (Med.)
俄罗斯联邦, Nizhny Novgorod; Nizhny NovgorodAlishir Gamzaev
Specialized Cardiac Surgical Clinical Hospital named after Academician B. A. Korolev
														Email: a.gamzaev@yandex.ru
				                	ORCID iD: 0000-0001-7617-9578
				                	SPIN 代码: 4168-3520
																		                								
MD, Dr. Sci. (Med.)
俄罗斯联邦, Nizhny NovgorodNikolay Trofimov
I. N. Ulyanov Chuvash State University; Republican Cardiology Dispensary
														Email: nikolai.trofimov@mail.ru
				                	ORCID iD: 0000-0002-1975-5521
				                	SPIN 代码: 6800-8397
																		                								
MD, Dr. Sci. (Med.)
俄罗斯联邦, Cheboksary; CheboksarySergey Gamayunov
Nizhny Novgorod Regional Clinical Oncologic Dispensary
														Email: sekretar@nnood.ru
				                	ORCID iD: 0000-0002-0223-0753
				                	SPIN 代码: 9828-9522
																		                								
MD, Cand. Sci. (Med.)
俄罗斯联邦, Nizhny NovgorodRoman Deryabin
Nizhny Novgorod Regional Clinical Oncologic Dispensary
														Email: rderyabin@nnood.ru
				                	ORCID iD: 0000-0002-6099-644X
				                	SPIN 代码: 6630-5982
																		                								
MD, Cand. Sci. (Med.)
俄罗斯联邦, Nizhny Novgorod参考
- Tian R, Gao J, Chen A, et al. Silent pulmonary thromboembolism in neurosurgery patients: Report of 2 cases and literature review. Medicine. 2016;95(33):e4589. doi: 10.1097/MD.0000000000004589
- Rossiyskiye klinicheskiye rekomendatsii po diagnostike, lecheniyu i profilaktike venoznykh tromboembolicheskikh oslozhneniy (VTEO). Phlebology. 2015;9(4, Pt 2):3–52. (In Russ).
- Medvedev AP, Fedorov SA, Trofimov NA, et al. Errors in diagnosis and treatment of pulmonary embolism. Kardiologiya i Serdechno-Sosudistaya Khirurgiya. 2021;14(1):54–9. (In Russ). doi: 10.17116/kardio20211401154
- Hohl JB, Lee JY, Rayappa SP, et al. Prevalence of venous thromboembolic events after elective major thoracolumbar degenerative spine surgery. Journal of Spinal Disorders & Techniques. 2015;28(5):E310–5. doi: 10.1097/BSD.0b013e31828b7d82
- Nikulina NN, Terekhovskaya YuV. Epidemiology of pulmonary embolism in today’s context: analysis of incidence, mortality and problems of their study. Russian Journal of Cardiology. 2019;24(6):103–8. (In Russ). doi: 10.15829/1560-4071-2019-6-103-108
- Goldhaber SZ. Venous Thromboembolism in Heart Failure Patients: Pathophysiology, Predictability, Prevention. Journal of American College of Cardiology. 2020;75(2):159–62. doi: 10.1016/j.jacc.2019.11.028
- Koehl JL, Hayes BD, Al-Samkari H, et al. A comprehensive evaluation of apixaban in the treatment of venous thromboembolism. Expert Review of Hematology. 2020;23(1):155–73. doi: 10.1080/17474086.2020.1711731
- Reis SP, Zhao K, Ahmad N, et al. Acute pulmonary embolism: endovascular therapy. Cardiovascular Diagnosis and Therapy. 2018;8(3):244–52. doi: 10.21037/cdt.2017.12.05
- Schmitz–Rode T, Günther RW. Apparatus for fragmentation of a lung embolus. Germanpatent DE G 9409863.8, US patent 5,630,823, PCT WO 95/35066. Available at: https://patentscope.wipo.int/search/en/detail.jsf?docId=WO1995035066. Accessed: 2021 November 18.
- Khripun AI, Alimov AN, Priamikov AD, et al. Venous thromboembolic complications in patients with intracranial hemorrhage and tumors of the central nervous system. Khirurgiia. 2014;(3):49–52.
- Yilmaz MB, Durdag E, Egemen E, et al. Role of vena cava inferior filter on neurosurgical deep venous thrombosis. Turkish Neurosurgery. 2012;22(3):269–73. doi: 10.5137/1019-5149.JTN.5521-11.0
- Khubulava GG, Volkov AM, Gavrilov EK, et al. Open Thromboembolectomy for Massive and Submassive Pulmonary Embolism in High-Risk Patients. Phlebology. 2020;14(4):296–302. (In Russ). doi: 10.17116/flebo202014041296
- Claeys MJ, Vandekerckhove Y, Cosyns B, et al. Summary of 2019 ESC Guidelines on chronic coronary syndromes, acute pulmonary embolism, supraventricular tachycardia and dislipidaemias. Acta Cardiologica. 2021;76(1):1–8. doi: 10.1080/00015385.2019.1699282
- Zakaryan NV, Molokhoev EB, Davtyan AG, et al. Endovascular treatment of acute pulmonary embolism in a patient with contraindications to thrombolytic therapy. Russian Journal of Endovascular Surgery. 2021; 8(3):310–4. (In Russ). doi: 10.24183/2409-4080-2021-8-3-310-314
补充文件
 
				
			 
						 
						 
					 
  
  
  电邮这篇文章
			电邮这篇文章 



 开放存取
		                                开放存取 ##reader.subscriptionAccessGranted##
						##reader.subscriptionAccessGranted## 订阅或者付费存取
		                                							订阅或者付费存取
		                                					



