Химиоэмболизация печеночной артерии в лечении больных метастатическим колоректальным раком печени
- Авторы: Шабунин А.В.1, Тавобилов М.М.1, Паклина О.В.2, Греков Д.Н.2, Сетдикова Г.Р.2, Дроздов П.А.2
- 
							Учреждения: 
							- ФГБОУ ДПО Российская медицинская академия непрерывного постдипломного образования Минздрава России
- ГБУЗ Городская клиническая больница имени С.П. Боткина Департамента здравоохранения Москвы
 
- Выпуск: Том 26, № 2 (2018)
- Страницы: 245-257
- Раздел: Оригинальные исследования
- Статья получена: 19.07.2018
- Статья одобрена: 19.07.2018
- Статья опубликована: 20.07.2018
- URL: https://journals.eco-vector.com/pavlovj/article/view/9097
- DOI: https://doi.org/10.23888/PAVLOVJ2018262245-257
- ID: 9097
Цитировать
Аннотация
Цель. Оценить эффективность химиоэмболизации печеночной артерии (ХЭПА) в лечении больных метастатическим колоректальным раком печени, а также определить оптимальный временной интервал при ее комбинации с другими методами лечения.
Материалы и методы. В исследование включен анализ результатов лечения 30 больных с резектабельными метастазами колоректального рака печени. Первую группу составили 15 пациентов, кому резекционное вмешательство выполнено через 1 неделю после проведенной ХЭПА. Вторую группу составили 15 пациентов, кому резекционное вмешательство выполнено через 2 недели после проведенной ХЭПА с последующей оценкой морфологических изменений метастазов.
Результаты. Лечебный патоморфоз зафиксирован у 25/30 больных. В первой группе лечебный патоморфоз наблюдался у 13/15 больных. У 11/13 больных зафиксирована 2 степень лечебного патоморфоза. У 2/13 больных – 1 степень. Во второй группе лечебный патоморфоз, наблюдался у 12/15 больных. У всех больных зафиксирована 2 степень лечебного патоморфоза. Не зафиксировано достоверных различий в степени лечебного патоморфоза на 7 и 14 день после регионарной химиотерапии (p=0,436).
Заключение. Химиоэмболизация печеночной артерии является эффективным методом лечения больных метастазами колоректального рака печени. При применении химиоэмболизации печеночной артерии в комбинации с другими хирургическими методами семидневный временной промежуток является оптимальным.
Полный текст
Печень относится к органам, наиболее часто поражаемым метастатическим опухолевым процессом. В большинстве случаев причиной возникновения печеночных метастазов является колоректальный рак [1]. Колоректальный рак занимает четвертое место в структуре онкологической заболеваемости. У каждого третьего заболевшего раком толстой кишки на момент постановки диагноза выявляют отдаленные метастазы, в первую очередь, в печени (по данным зарубежных авторов, в 2050%) [2]. Кроме того, до 55% пациентов, получивших потенциально радикальное лечение рака толстой кишки, имеют риск прогрессирования заболевания в виде метастазов. Печень в 25% наблюдений является единственным органом, пораженным метастазами [3]. В прогностическом отношении только метастазы в головной мозг приводят к более быстрому летальному исходу, чем аналогичные поражения печени [4, 5]. По данным различных авторов, без лечения продолжительность жизни при метастатическом поражении печени составляет менее 12 месяцев. При метастазах печени только хирургическое лечение является эффективным методом, дающим удовлетворительные результаты. При этом удается достичь 5летней выживаемости 2058% пациентов [6], однако резектабельность метастазов печени не превышает 1030% [7].
При лечении больных неоперабельными метастазами колоректального рака печени радиочастотная аблация (РЧА) является наиболее эффективным методом лечения – 5летняя выживаемость составляет 1751% [810]. Одним из недостатков метода является высокий риск местных рецидивов, который достигает 2550% при размере образований более 3 см и до 16% при размере образований до 3 см. Основной причиной развития местного рецидива является неполный коагуляционный некроз после аблации. Частота полных некрозов при размере образования более 5 см составляет менее 50% [11]. Для увеличения площади некроза и снижения риска местных рецидивов используют комбинацию РЧА с химиоэмболизацией печеночной артерии (ХЭПА) [12, 13]. В исследованиях, проводимых на кроликах VX2, было показано, что данная комбинация достоверно увеличивает концентрацию белка теплового шока (heat shock protein (HSP)) (p<0,01) в перитуморозных тканях, а в частности HSP70, который отвечает за аутокринную индукцию хемокинов опухолевыми клетками (рис. 1) [14].
Рис. 1. Протокол исследования для определения оптимального времени для проведения второго этапа лечения
HSP70, полученные из опухолевых, клеток служат в качестве цитокинов, которые стимулируют макрофаги, производящие провоспалительные цитокины и хемокины. Кроме того, HSP70 способны сопровождать опухолевые антигены разрушенных клеток и передавать их в Тклетки, таким образом, индуцировать противоопухолевый иммунитет. Увеличение концентрации HSP70 в перитуморозных тканях после применения комбинации ХЭПА и РЧА также приводит и к значительному увеличению Тклеток в этой зоне [15].
Результатом увеличения концентрации HSP70 и CD8+ Тклеток явился достоверно лучший показатель полноты опухолевого некроза после комбинации ХЭПА и РЧА [15]. Недостатком проведенных исследований является то, что аблация проводилась в течение часа после эмболизации. Использовался только ишемический эффект эмболизации, так как время действия химиоэмболизата на опухоль было минимальным.
В мировой литературе имеются данные о комбинации ХЭПА с РЧА только для лечения пациентов с гепатоцеллюлярным раком (ГЦР) печени [12, 13]. Недостатком данных исследований являются разнообразные временные промежутки между этапами лечения (от нескольких дней до 3 недель). В настоящее время не определена эффективность применения химиоэмболизации печеночной артерии в лечении больных метастатичессим колоректальным раком печени. А также не стандартизирован протокол комбинированного лечения больных неоперабельными злокачественными образованиями печени путем комбинации химиоэмболизации и радиочастотной аблации.
Материалы и методы
В основу проспективного сравнительного рандомизированного исследования включен анализ результатов лечения 30 больных с резектабельными метастазами колоректального рака в печень, находившихся на лечении в отделении хирургии печени и поджелудочной железы в период с 2013 по 2014 г.г., средний возраст составил 61,33±10,70 лет. В исследование были включены следующие больные: без тяжелой сопутствующей патологии с резектабельными метахронными метастазами колоректального рака печени; размер метастазов был от 3 до 5 см; больные не получали системную химиотерапию после верификации метастазов печени. Для изучения лечебного патоморфоза в различные сроки после проведения регионарной химиотерапии больные были разделены на две группы. Первую группу составили 15 пациентов, кому резекционное вмешательство выполнено через 1 неделю после проведенной ХЭПА с последующим гистологическим исследованием и определением степени лечебного патоморфоза. Вторую группу составили 15 пациентов, кому резекционное вмешательство выполнено через 2 недели после проведенной ХЭПА с последующим гистологическим исследованием согласно протоколу и определением степени лечебного патоморфоза (рис. 1). В качестве химиоэмболизата использовалась смесь, состоящая из липиодола 10 мл и митомицина С 10 мг. Степень лекарственного патоморфоза оценивали согласно Colorectal Cancer Structured Reporting Protocol (2nd Edition, 2012). Рандомизация больных в группы проводилось методом "урны" (UD 2;1) на этапе планирования регионарной химиотерапии.
Принятие решения о резекционном вмешательстве проводилось на мультидисциплинарном онкоконсилиуме. Резекции печени проводились по общепринятым стандартам и показаниям. В первой группе выполнены следующие вмешательства: атипичная резекция – 10; сегментэктомия – 2; правосторонняя гемигепатэктомия (ПГГЭ) – 2; левосторонняя гемигепатэктомия (ЛГГЭ) – 1. Во второй группе выполнены следующие вмешательства: атипичная резекция – 10; сегментэктомия – 1; правосторонняя гемигепатэктомия (ПГГЭ) – 3; левосторонняя гемигепатэктомия (ЛГГЭ) – 1. При планировании резекции более 3 сегментов печени у всех больных оценивался объем остающейся паренхимы печени (future liver remnant (FLR)). У всех больных FLR был выше необходимых величин (>25% при отсутствии патологии печени (гепатоз, цирроз), >35% при ее наличии). Всем больным выполнены одноэтапные резекции печени.
Далее больным проводилась системная адъювантная химиотерапия. Характеристика групп представлена в таблице 1.
Описание количественных признаков проводилось в зависимости от их распределения. Для определения вида распределения использовался критерий ШапироУилка. Если распределение признака приближалось к нормальному (гауссову), то для описания количественных данных применяли среднее значение со средним квадратичным отклонением (M±s), а при сравнении групп по этому признаку использовали параметрические методы (корреляционный анализ Пирсона, tкритерий Стьюдента).
Для анализа данных по количественному признаку использовались непараметрические критерии МаннаУитни для независимых групп. Полученные результаты обрабатывались при помощи программы Statistica для Microsoft Windows, версия 6.1, Stat Soft Inc. (США). За уровень статистический значимости принимали p<0,05.
Результаты и их обсуждение
У всех больных после ХЭПА наблюдался постэмболизационный синдром. Болевой синдром наблюдался у 29 из 30 (далее указано как 29/30) больных, гипертермия – у 7/30, повышение уровня трансаминаз – у 25/30 больных.
Средняя интенсивность болевого синдрома на первые сутки после ХЭПА по ВАШ составила 41,37±15,17 (075) мм. Назначение анальгетиков потребовалось 27/30 больных, у 26/27 болевой синдром был купирован назначением нестероидных противовоспалительных средств (НПВС), у 1/27 больных – наркотическим анальгетиком. На вторые сутки после процедуры интенсивность болевого синдрома по ВАШ составила 19,97±9,65 (043) мм. Назначение анальгетиков потребовалось 11/30 больных, болевой синдром у этих больных купировался назначением НПВС. На третьи сутки после процедуры какие-либо болевые ощущения наблюдались у 2/30 больных, средняя интенсивность по ВАШ составила 3,31±6,75 (021) мм. Назначение анальгетиков не требовалось (рис. 2).
Таблица 1. Характеристика больных с определением лечебного патоморфоза после проведения регионарной химиотерапии
| Характеристика | 1 группа (n = 15) | 2 группа (n = 15) | p | 
| Пол: мужской женский | 
 7 8 | 
 8 7 | 0,775 | 
| Возраст: <60 лет >60 лет | 
 6 9 | 
 6 9 | 0,806 | 
| Первичная опухоль: толстая кишка прямая кишка | 
 12 3 | 
 7 8 | 0,126 | 
| Стадия первичной опухоли: 12 стадия 3 стадия | 
 2 13 | 
 3 12 | 0,624 | 
| Nстатус первичной опухоли: N+ N | 
 2 13 | 
 3 12 | 0,775 | 
| Размер метастаза: 34 см 45 см | 
 9 6 | 
 8 7 | 0,870 | 
| Уровень РЭА: <60 нг/мл > 60 нг/мл | 
 12 3 | 
 12 3 | 0,653 | 
| Локализация метастаза: центральная (S4,5,8) периферическое | 
 8 7 | 
 7 8 | 0,486 | 
| Время до метастазирования: <12 месяцев > 12 месяцев | 
 9 6 | 
 8 7 | 0,089 | 
| ASA: Grade 1 Grade 2 | 
 9 6 | 
 6 9 | 0,367 | 
Рис. 2. Интенсивность болевого синдрома по ВАШ на 1-3 сутки после регионарной химиотерапии
Гипертермия ≥ 38°С на 1е сутки после ХЭПА была у 1/30 больного, ≥ 37°С – у 6/30 больных. На 2е сутки гипертермия ≥ 37°С была у 3/30 больных, выше 38°С температура не повышалась. На 3е сутки у всех больных была нормотермия.
У всех больных до проведения ХЭПА уровень трансаминаз был в пределах нормы. На 1е сутки после процедуры повышение АсАТ было у 24/30 больных, АлАТ – у 25/30 больных. На 1е сутки средний уровень АсАТ составил 75,28±41,39 (16201) Ед/л, АлАТ – 59,78±36,47 (22207) Ед/л. На 3е сутки после процедуры повышение АсАТ было у 21/30 больных, АлАТ – у 19/30 больных. На 3е сутки средний уровень АсАТ составил 40,78±25,5 (20138) Ед/л, АлАТ – 56,13±39,05 (21243) Ед/л. На 5е сутки после процедуры повышение АсАТ было у 12/30 больных, АлАТ – у 12/30 больных. На 5е сутки средний уровень АсАТ составил 31,2±11,54 (1869) Ед/л (рис. 6), АлАТ – 32,43± 9,26 (1579) Ед/л (рис. 3, 4). Осложнений и летальности после ХЭПА не было.
Проследить степень лечебного патоморфоза удалось у всех включенных в исследование больных.
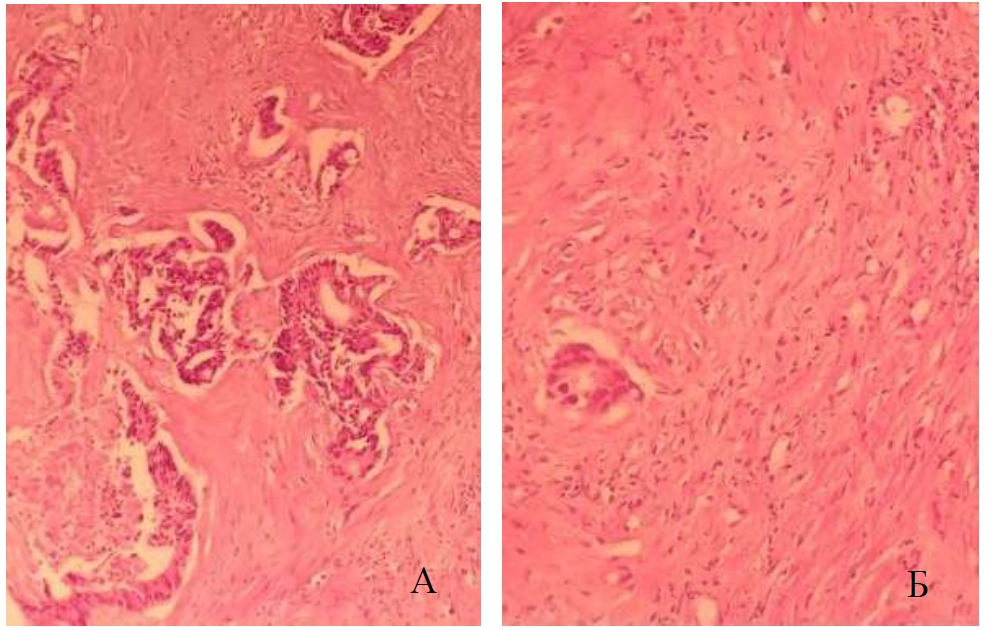
В первой группе, где резекционное вмешательство проводилось через 7 дней после регионарной химиотерапии лечебный патоморфоз, наблюдался у 13/15 больных. У 11/13 больных зафиксирована 2 степень лечебного патоморфоза, которая заключалась в наличии полей фиброза и скудной воспалительной инфильтрации (рис. 5) на фоне сохраненной опухолевой ткани.
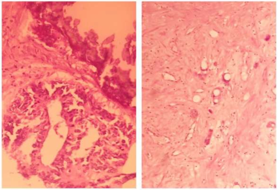
У 2/15 больных лекарственного патоморфоза не зафиксировано. У 2/13 больных зафиксирована 1 степень лечебного патоморфоза, который заключался у одного больного – в виде фиброза отдельно лежащих желез и кальцинатов (рис. 6), у другого больного – в виде миксоматоза, рассеянной воспалительной инфильтрации и очагах некроза.
Во второй группе, где резекционное вмешательство проводилось через 14 дней после регионарной химиотерапии лечебный патоморфоз, наблюдался у 12/15 больных. У всех этих больных зафиксирована 2 степень лечебного патоморфоза. Первая степень лечебного патоморфоза во второй группе больных не зафиксирована. У 3/15 лечебный патоморфоз отсутствовал.
Рис. 3. Уровень АСТ на 1-5 сутки после ХЭПА
Рис. 4. Уровень АЛТ на 1-5 сутки после ХЭПА
Рис. 5. Метастаз аденокарциномы кишечного типа с наличием полей фиброза (А) и воспалительной инфильтрацией (Б). Вторая степень лечебного патоморфоза (окраска: гематоксилин и эозин, х 400)
Рис. 6. Метастаз аденокарциномы кишечного типа. Умеренный лечебный патоморфоз (grade 1). Фиброз отдельно лежащих желез и появление кальцинатов. (окраска: гематоксилин и эозин, х 400)
Описанные выше экспериментальные данные о комбинации методов регионарной химиотерапии и радиочастотной аблации показали лучшие результаты комбинированного подхода по сравнению с монотерапией (ХЭПА или РЧА) [14, 15]. Недостатком, на наш взгляд, проведенных исследований является то, что аблация проводилась в течение первого часа после эмболизации. Использовался только ишемический эффект, так как время действия химиоэмболизата на опухоль было минимальным. Этим можно объяснить продолженный опухолевый рост (tumor growth rate – 126,74±24,46%) после лечения и неполный некроз у части исследуемых кроликов (tumor necrotic rate – 94,56±12,03%) (рис. 3).
В начале 2013 года опубликован метаанализ 7 рандомизированных контролируемых исследований, сравнивающих эффективность комбинации ХЭПА с РЧА при лечении пациентов с гепатоцеллюлярным раком (ГЦР) с применением только аблационного способа лечения. Оно показало, что комбинация ХЭПА с РЧА у пациентов с ГЦР размером более 3 см достоверно (p<0,0001) улучшает результаты 1,3,5летней выживаемости. Однако, данная комбинация не улучшает результаты лечения у пациентов с ГЦР менее 3 см [16]. Кроме того, описанный выше метаанализ не нашел статистически достоверного увеличения количества осложнений при комбинации ХЭПА с РЧА, что доказывает безопасность их совместного применения. Недостатком данных исследований являются разнообразные временные промежутки между этапами лечения. Наиболее распространенным является методика, когда аблацию проводят через 12 недели после ХЭПА [17]. Это позволяет эффективно купировать постэмболизационный синдром, тем самым снизить количество осложнений [18]. Ряд авторов предпочитают проводить аблацию через 4 недели [19], а некоторые – через 48 недель после регионарной химиотерапии [20]. Имеются исследования, когда оба этапа лечения проводятся в один день [21].
В нашем исследовании лечебный патоморфоз зафиксирован у большинства (25/30) больных. В то же время не зафиксировано достоверных различий в степени лечебного патоморфоза на 7 и 14 день после ХЭПА (p=0,436).
Постэмболизационный синдром был зафиксирован у всех больных после регионарной химиотерапии, однако его удалось купировать не позднее 57 суток послеоперационного периода. Таким образом, на 7 сутки послеоперационного периода противопоказаний для дальнейших вмешательств не было ни у одного пациента.
Таким образом, лечебный патоморфоз после химиоэмболизации печеночной артерии развивается и достигает максимальной степени на 7 сутки. Постэмболизационный синдром у всех больных эффективно купируется на 7 сутки после ХЭПА.
Выводы
- Химиоэмболизация печеночной артерии является эффективным методом лечения больных метастазами колоректального рака печени.
- При комбинации химиоэмболизации печеночной артерии и методов локальной деструкции в лечении больных неоперабельным метастатическим раком печени 7дневный временной интервал является оптимальным.
Об авторах
Алексей Васильевич Шабунин
ФГБОУ ДПО Российская медицинская академия непрерывного постдипломного образования Минздрава России
														Email: dc.drozdov@gmail.com
				                	ORCID iD: 0000-0002-4230-8033
				                	SPIN-код: 8917-7732
																		                								
член-корреспондент РАН, д.м.н., профессор, заведующий кафедрой хирургии ФГБОУ ДПО Российская медицинская академия непрерывного постдипломного образования Минздрава России, главный врач ГБУЗ Городская клиническая больница им. С.П. Боткина Департамента здравоохранения Москвы
Россия, 125993, г. Москва ул. Баррикадная, д.2/1, стр.1 РМАНПОМихаил Михайлович Тавобилов
ФГБОУ ДПО Российская медицинская академия непрерывного постдипломного образования Минздрава России
														Email: dc.drozdov@gmail.com
				                	ORCID iD: 0000-0003-0335-1204
				                	SPIN-код: 9554-5553
																		                								
к.м.н., доцент кафедры хирургии ФГБОУ ДПО Российская медицинская академия непрерывного постдипломного образования Минздрава России, заведующий отделением хирургии печени и поджелудочной железы ГБУЗ Городская клиническая больница им. С.П. Боткина Департамента здравоохранения Москвы
Россия, 125993, г. Москва ул. Баррикадная, д.2/1, стр.1 РМАНПООксана Владимировна Паклина
ГБУЗ Городская клиническая больница имени С.П. Боткина Департамента здравоохранения Москвы
														Email: dc.drozdov@gmail.com
				                	ORCID iD: 0000-0001-6373-1888
				                	SPIN-код: 4575-9762
																		                								
д.м.н., профессор, заведующая патологоанатомическим отделением
Россия, г. МоскваДмитрий Николаевич Греков
ГБУЗ Городская клиническая больница имени С.П. Боткина Департамента здравоохранения Москвы
														Email: dc.drozdov@gmail.com
				                	ORCID iD: 0000-0001-8391-1210
				                	SPIN-код: 6734-9727
																		                								
к.м.н., доцент кафедры хирургии ФГБОУ ДПО Российская медицинская академия непрерывного постдипломного образования Минздрава России, заведующий отделением абдоминальной хирургии
Россия, г. МоскваГалия Равиловна Сетдикова
ГБУЗ Городская клиническая больница имени С.П. Боткина Департамента здравоохранения Москвы
														Email: dc.drozdov@gmail.com
				                	ORCID iD: 0000-0002-9524-3798
				                	SPIN-код: 6551-0854
																		                								
к.м.н., врач-патологоанатом
Россия, г. МоскваПавел Алексеевич Дроздов
ГБУЗ Городская клиническая больница имени С.П. Боткина Департамента здравоохранения Москвы
							Автор, ответственный за переписку.
							Email: dc.drozdov@gmail.com
				                	ORCID iD: 0000-0001-8016-1610
				                	SPIN-код: 8184-8918
																		                								
врач хирург отделения хирургии печени и поджелудочной железы
Россия, г. МоскваСписок литературы
- Петренко К.Н., Полищук Л.О., Гармаева С.В., и др. Радиочастотная абляция злокачественных новообразований печени. Современное состояние вопроса (Обзор литературы) // Российский журнал гаcтроэнтерологии, гепатологии, колопроктологии. 2007. Т. 2. С. 1018.
- Патютко Ю.И., Сагайдак И.В., Поляков А.Н. Комбинированное лечение больных с метастазами колоректального рака в печень // Хирургия. Журнал им. Н.И. Пирогова. 2008. №7. С. 2024.
- Adam R., Bismuth H., Castaing D., et al. Repeat hepatectomy for colorectal liver metastases // Annals of Surgery. 1997. Vol. 225, №1. P. 5162. doi: 10.1097/0000065819970100000006
- Дударев В.С. Малоинвазивные технологии в лечении злокачественных опухолей печени // Онкологический журнал. 2007. Т. 1, №2. С. 126144.
- Патютко Ю.И. Хирургическое лечение злокачественных опухолей печени. М.: Практическая медицина, 2005.
- Abdalla E., Vauthey J., Ellis L., et al. Recurrence and outcomes following hepatic resection, radiofrequency ablation, and combined resection/ablation for colorectal liver metastases // Annals of Surgery. 2004. Vol. 239, №6. P. 818825. doi: 10.1097/01.sla.0000128305. 90650.71
- August D.A., Sugarbaker P.H., Schneider P.D. Lymphatic dissemination of hepatic metastases. Implications for the follow‐up and treatment of patients with colorectal cancer // Cancer. 1985. Vol. 55, №7. P. 14901494. doi: 10. 1002/10970142(19850401)55:7<1490::aidcncr2820550712>3.0.co;2n
- Agcaoglu O., Aliyev S., Karabulut K., et al. Complementary use of resection and radiofrequency ablation for the treatment of colorectal liver metastases: an analysis of 395 patients // World Journal of Surgery. 2013. Vol. 37, №6. P. 13331339. doi: 10.1007/s0026801319811
- Kim K., Yoon Y., Yu C., et al. Comparative analysis of radiofrequency ablation and surgical resection for colorectal liver metastases // Journal of the Korean Surgical Society. 2011. Vol. 81, №1. P. 2534. doi: 10.4174/jkss.2011.81.1.25
- Solbiati L., Ahmed M., Cova L., et al. Small liver colorectal metastases treated with percutaneous radiofrequency ablation: local response rate and longterm survival with up to 10year followup // Radiology. 2012. Vol. 265, №3. P. 958968. doi: 10.1148/radiol.12111851
- Wood T., Rose D., Chung M., et al. Radiofrequency ablation of 231 unresectable hepatic tumors: indications, limitations, and complications // Annals of Surgical Oncology. 2000. Vol. 7, №8. P. 593600. doi: 10.1007/bf02725339
- Lin J., Wu W., Jiang X., et al. Clinical outcomes of radiofrequency ablation combined with transcatheter arterial chemoembolization for the treatment of hepatocellular carcinoma: a singlecenter experience // Chinese Journal of Oncology. 2013. Vol. 35, №2. P. 144147. doi: 10.3760/cma.j.issn.02533766.2013.02.016
- Tanaka M., Ando E., Simose S., et al. Radiofrequency ablation combined with transarterial chemoembolization for intermediate hepatocellular carcinoma // Hepatology Research. 2014. Vol. 44, №2. P. 194200. doi: 10.1111/hepr.12100
- Duan X., Zhou G., Zheng C., et al. Heat shock protein 70 expression and effect of combined transcatheter arterial embolization and radiofrequency ablation in the rabbit VX2 liver tumour model // Clinical radiology. 2014. Vol. 69, №2. P. 186193. doi: 10.1016/j.crad.2013.08.020
- Duan X., Li T., Zhou G., et al. Transcatheter arterial embolization combined with radiofrequency ablation activates cD8+ Tcell infiltration surrounding residual tumors in the rabbit VX2 liver tumors // Onco Targets and Therapy. 2016. Vol. 9. P. 28352834. doi: 10.2147/OTT.S95973
- Lu Z., Wen F., Guo Q., et al. Radiofrequency ablation plus chemoembolization versus radiofrequency ablation alone for hepatocellular carcinoma: a metaanalysis of randomizedcontrolled trials // European Journal of Gastroenterology&Hepatology. 2013. Vol. 25, №2. P. 187194. doi: 10.1097/MEG.0b013e32835a0a07
- Tang C., Shen J., Feng W., et al. Combination therapy of radiofrequency ablation and transarterial chemoembolization for unresectable hepatocellular carcinoma: a retrospective study // Medicine. 2016. Vol. 95, №20. P. 3754. doi: 10.1097/MD.0000000000003754
- Li Z., Kang Z., Qian J., et al. Radiofrequency ablation with or without transcather arterial chemoembolization for management of hepatocellular carcinoma // Journal of Southern Medical University. 2007. Vol. 27, №11. P. 17491751.
- Song M., Bae S., Lee J., et al. Combination transarterial chemoembolization and radiofrequency ablation therapy for early hepatocellular carcinoma // The Korean journal of internal medicine. 2016. Vol. 31, №2. P. 242252. doi: 10.3904/kjim.2015.112
- Zhang L., Yon X., Gan Y., et al. Radiofrequency ablation following firstline transarterial chemoembolization for patients with unresectable hepatocellular carcinoma beyond the Milan criteria // BMC Gastroenterology. 2014. Vol. 14, №1. P. 1118. doi: 10.1186/1471230X1411
- Wang Z., Wang M., Duan F., et al. Transcatheter arterial chemoembolization followed by immediate radiofrequency ablation for large solitary hepatocellular carcinomas // World Journal of Gastroenterology. 2013. Vol. 19, №26. P. 41924199. doi: 10.3748/wjg.v19.i26.4192
Дополнительные файлы
 
				
			 
						 
					 
						 
									
 
  
  
  Отправить статью по E-mail
			Отправить статью по E-mail 











