Transarterial chemoembolisation in the treatment of patients with metastatic colorectal cancer
- Authors: Shabunin A.V.1, Tavobilov M.M.1, Paklina O.V.2, Grekov D.N.1, Setdikova G.R.2, Drozdov P.A.2
-
Affiliations:
- Russian Medical Academy of Continuous Professional Education
- Botkin Hospital
- Issue: Vol 26, No 2 (2018)
- Pages: 245-257
- Section: Original study
- Submitted: 19.07.2018
- Accepted: 19.07.2018
- Published: 20.07.2018
- URL: https://journals.eco-vector.com/pavlovj/article/view/9097
- DOI: https://doi.org/10.23888/PAVLOVJ2018262245-257
- ID: 9097
Cite item
Abstract
Aim. To assess effectiveness of chemoembolization of hepatic artery (CEHA) in treatment of patients with metastatic colorectal cancer, and also to determine the optimal interval in combination of CEHA with other treatment methods.
Materials and Methods. The study includes analysis of the results of treatment of 30 patients with resectable metastases of colorectal cancer in the liver. The first group included 15 patients with resection made 1 week after CEHA. The second group consisted of 15 patients in whom resection operation was made 2 weeks after CENA with subsequent assessment of morphological changes in metastases.
Results. Therapeutic pathomorphism was recorded in 25/30 patients. In the first group, therapeutic pathomorphism was observed in 13/15 patients. In 11/13 patients, the 2nd degree of therapeutic pathomorphism was recorded. In 2/13 patients – the 1st degree. In the second group, therapeutic pathomorphism was observed in 12/15 patients. In all patients the 2nd degree of therapeutic pathomorphism was recorded. No significant differences in the degree of therapeutic pathomorphism were recorded on the 7th and 14th day after regional chemotherapy (p=0.436).
Conclusion. Hepatic artery chemoembolization is an effective method of treating patients with metastases of colorectal cancer in the liver. In use of chemoembolization of hepatic artery in combination with other surgical methods, the sevenday time interval is optimal.
Full Text
Liver is an organ which is most commonly damaged by metastatic tumor processes. In most cases the source for metastasis in the liver is colorectal cancer [1]. Colorectal cancer ranks fourth in the structure of oncological disease. In each third individual with colon cancer remote metastases are identified at the moment of making the diagnosis, first of all, in the liver (according to the international authors, in 20-50% of cases) [2]. Besides, up to 55% of patients who received potentially radical treatment of colon cancer, have risk of progress of the disease in the form of metastases. In 25% of observations, liver is the only organ damaged by metastases [3]. Speaking about prognosis, the only metastases that lead to the lethal outcome faster than damages to the liver, are metastases into the brain. [4, 5]. According to different authors, survival rate in metastatic damages to the liver without treatment is less than 12 months. The only effective method of treatment of liver metastases giving satisfactory results, is surgical intervention. It provides 5-year survival rate in 20-58% of patients [6], but however, resectability of liver metastases is not more than 10-30% [7].
The most effective method of treating patients with non-operable colorectal liver metastases is radio frequency ablation (RFA) which provides 5-year survival in 17-51% of cases [8-10]. One of disadvantages of this method is a high risk of local recurrences which reaches 25-50% with the size of lesion more than 3 cm and 16% with the size of lesion less than 3 cm. The main cause for a local recurrence is incomplete coagulation necrosis after ablation. The rate of complete necroses with the size of lesion more than 5 cm is less than 50% [11]. To increase the area of necrosis and reduce the risk of local recurrences a combination of RFA with chemoembolization of the hepatic artery (CEHA) is used [12, 13]. In studies conducted on VX2 rabbits this combination was shown to reliably increase the concentration of heat shock proteins (HSP) (p<0.01) in peritumorous tissues, in particular, of HSP70 protein, responsible for autocrine induction of chemokines by tumor cells (Fig. 1) [14].
Fig. 1. Study protocol for determining the optimal time for the second stage of treatment
HSP70 proteins obtained from tumor cells, function as cytokines which stimulate macrophages that produce anti-inflammatory cytokines and chemokines. Besides, HP70 can accompany antigens of damaged cells into T-cells, and induce in this way the antitumor immunity. Increase in the concentration of HSP70 in peritumorous tissues after application of RFA and CEHA combination also leads to a considerable increase in the concentration of T-cells in this zone [15].
The result of increased concentration of HSP70 and CD8+ Т-cells was a reliably higher parameter of completeness of tumor necrosis after application of a combination of RFA and CEHA [15]. A disadvantage of conducted studies was the fact that ablation was performed within one hour after embolization. Only ischemic effect of embolization was used because of the minimal time of action of chemoembolic agent on the tumor.
In the world literature the data have been published about use of a combination of RFA and CEHA only for treatment of patients with hepatocellular cancer (HCC) [12, 13]. A disadvantage of these studies is different time intervals between stages of treatment (from several days to 3 weeks). At present the effectiveness of application of hepatic artery chemoembolization in treatment of patients with colorectal metastatic cancer is not determined. Besides, the treatment protocol of inoperable malignant neoplasms of the liver by a combination of RFA and CEHA is not yes standardized.
Materials and Methods
The basis of the prospective comparative randomized study included the analysis of the results of treatment of 30 patients with the medium age of 61.33±10.7 years with resectable metastases of colorectal cancer in the liver who were under treatment in the department of surgery of liver and pancreas in the period from 2013 to 2014. Into the study the following patients were included: without severe concomitant pathology with resectable metachronous liver metastases of colorectal cancer; with the size of metastases from 3 to 5 cm; patients who did not receive systemic chemotherapy after liver metastases have been verified. To study therapeutic patho-morphism in different periods after regional chemotherapy the patients were divided into two groups. The first group included 15 patients with resection performed 1 week after CEHA with the subsequent histological examination and determination of the degreet of therapeutic pathomorphism. The second group included patients with resection performed 2 weeks after CEHA with the subsequent histological examination according to the protocol, with determination of the degree of therapeutic pathomorphism (Fig. 1). A chemoembolic agent was a mixture consisting of lipiodol 10 ml and mitomycin C 10 mg. The extent of therapeutic pathomorphism was evaluated according to Colorectal Cancer Structured Reporting Protocol (2nd Edition, 2012). Randomization of patients into groups was conducted by a method of «ballot box» (UD 2:1) at the stage of planning of regional chemotherapy.
A decision about resection operation was taken by the multidisciplinary oncocon-cilium. Resection of the liver was conducted according to conventional standards and indications. In the first group the following interventions were conducted: atypical resection – 10; segmentectomy – 2; right-sided hemi-hepatectomy (RSHH) – 2; left-sided hemi-hepatectomy (LSHH) – 1. In the second group the following operation were conducted: atypical resection – 10; segmentectomy – 1; right-sided hemihepatectomy (RSHH) – 3; left-sided hemihepatectomy (LSHH) – 1. In planning of resection of more than 3 segments of the liver, the volume of future liver remnant (FLR) was evaluated in all patients. In all patients the FLR was above the necessary values ((>25% in the absence of the liver pathology (hepatosis, cirrhosis), >35% with existing pathology)). In all patients single-stage resections of liver were performed.
Further on systemic adjuvant therapy was conducted. Characteristics of the groups are given in Table 1.
Table 1. Characteristics of patients with the definition of therapeutic pathomorphosis after regional chemotherapy
Characteristics | 1 group (n = 15) | 2 group (n = 15) | p |
Floor: male feminine |
7 8 |
8 7 | 0,775 |
Age: <60 years > 60 years |
6 9 |
6 9 | 0,806 |
Primary tumor: colon rectum |
12 3 |
7 8 | 0,126 |
Primary tumor stage: Step 1-2 3 stage |
2 13 |
3 12 | 0,624 |
N-status of primary tumor: N+ N- |
2 13 |
3 12 | 0,775 |
The size of metastasis: 3-4 cm 4-5 cm |
9 6 |
8 7 | 0,870 |
Level of REA: <60 ng / ml > 60 ng / ml |
12 3 |
12 3 | 0,653 |
Localization of metastasis: central (S4,5,8) peripheral |
8 7 |
7 8 | 0,486 |
Time to metastasis: <12 months > 12 months |
9 6 |
8 7 | 0,089 |
ASA: Grade 1 Grade 2 |
9 6 |
6 9 | 0,367 |
Description of the variables depended on their distribution. The kind of distribution was determined using Shapiro-Wilk test. If distribution of the variable approached the normal one (Gaussian distribution), for description of the quantitative data the mean value was used with the mean square deviation (M±s), and in comparison of groups by this variable, parametric methods were used (Pearson correlation analysis, Student’s t-test).
For analysis of the data by a variable, non-parametric Mann-Whitney criteria for independent groups were used. The obtained results were processed by Statistica program for Microsoft Windows, version 6.1, StatSoft Inc. (USA). Statistically significant level was taken p<0.05.
Results and Discussion
In all patients after CEHA, postembolization syndrome was observed. Pain syndrome was seen in 29 of 30 patients (hereinafter – 29/30) patients, hyperthermia – in 7/20, elevation in the level of transaminases – in 25/30 patients.
The average intensity of pain syndrome on the first day after CEHA determined by VAS test was 41.37±15.17 (0-75) mm. Administration of analgesics was required for 27/30 patients, in 26/27 patients pain syndrome was relieved by non-steroid anti-inflammatory drugs (NSAID), in 1/27 patient – by narcotic analgesics. On the second day after the procedure intensity of pain syndrome determined by VAS was 19.97±9.65 (0-43) mm. Administration of analgesics was required for 11/30 patients, pain syndrome in them was relieved by administration of NSAID. On the third day after the procedure some painful sensations were observed in 2/30 patients with the average intensity by VAS test 3.31±6.75 (0-21) mm. Administration of analgesics was not required (Fig. 2).
Fig. 2. Intensity of pain syndrome according to VAS for 1-3 days after regional chemotherapy
Hyperthermia ≥ 38°С on the 1st day after CEHA was in 1/30 patients, ≥ 37°С – in 6/30 patients. On the second day hyperthermia ≥ 37°С was in 3/30 patients, the temperature did not rise above 38°С. On the 3d day all patients had normothermia.
In all patients before CEHA the level of transaminases was within the norm. On the 1st day AsAT level increased in 24/30 patients, of AlAT – in 25/30 patients. On the 1st day the average level of AsAT was 75.28±41.39 (16-201) Un/L, of AlAT – 59.78±36.47 (22-207) Un/L. On the 3d day elevation of AsAT was noted in 21/30 patients, of AlAT – in 19/30 patients. On the 3d day the average level of AsAT was 40.78±25.5 (20-138) Un/L, of AlAT – 56.13±39.05 (21-243) Un/L. On the 5th day after the procedure AsAT was increased in 12/30 patients, AlAT – in 12/30 patients. On the 5th day the average level of AsAT was 31.2±11.54 (18-69) Un/L (Fig. 6), of AlAT – 32.43± 9.26 (15-79) Un/L (Figs. 3 and 4). No complications and no lethality after CEHA were recorded.
Fig. 3. AST level on the 1-5th day after HEPA
Fig. 4. ALT level for 1-5 days after HEPA
The degree of therapeutic pathomor-phism was traced in all patients included into the study.
In the first group where resection operation was conducted in 7 days after the regional chemotherapy, the therapeutic pathomor-phism was observed in 13/15 patients. In 11/13 patients the 2nd degree of therapeutic pathomorphism was recorded that consisted in the existence of fibrosis fields and scarce inflammatory infiltration (Fig. 5) with the underlying preserved tumorous tissue.
In 2/15 patients no therapeutic patho-morphism was observed. In 2/13 patients the 1st degree of therapeutic pathomorphism was determined: in one patients in the form of fibrosis of separately located glands and calcified foci (Fig. 6), in the other patient – in the form of myxomatosis, diffuse inflammatory infiltration and necrotic foci.
In the second group where resection operation was conducted in 14 days after regional chemotherapy, the therapeutic patho-morphism was observed in 12/15 patients. In all these patients the 2nd degree of the therapeutic pathomorphism was identified. The 1st degree of therapeutic pathomorphism was not recorded. In 3/15 patients the therapeutic pathomorphism was absent.
The above described experimental data concerning combination of regional chemotherapy and radio frequency ablation showed better results with combined approach than with monotherapy (CEHA or RFA) [14, 15]. In our opinion, a disadvantage of the conducted treatment was the fact that ablation was carried out within the first hour after embolization. Only ischemic effect was used, since the time of action of chemo-embolizate on the tumor was minimal. This can explain continued tumor growth (tumor growth rate – 126.74±24.46%) after treatment and incomplete necrosis in a part of experimental rabbits (tumor necrotic rate – 94.56±12.03 %) (Fig. 3).
At the beginning of 2013 there was published a meta-analysis of 7 randomized controlled studies that compared effectiveness of use of combination of CEHA and RFA with use of only ablation type in treatment of patients with hepatocellular cancer (HCC). It showed that combination of CEHA and RFA in patients with lesions more than 3 cm reliably (p<0.0001) improved the results of 1,3,5-year survival rate. However, this combination did not improve the treatment results for patients with lesions less than 3 cm in size [16]. Besides, the above mentioned meta-analysis did not find statistically reliable increase in the number of complications with use of combination of CEHA and RFA which evidences safety of their combined use. A drawback of the given studies is different time intervals between stages of treatment. Most common is the method with ablation conducted in 1-2 weeks after CEHA [17]. This permits to effectively relieve postembolization syndrome and thus reduce the number of complications [18]. Some authors prefer to conduct ablation in 4 weeks [19]. In some studies both stages of treatment were conducted in one day [21].
In our research the therapeutic pathomorphism was recorded in the majority (25/30) of patients. At the same time no reliable difference between the degree of metamorphism on the 7th and 14th day after CEHA was recorded (p=0.436).
Postembolization syndrome was recorded in all patients after regional chemotherapy, however, it was possible to manage it not later than on the 5th-7th day of postoperative period. Thus, on the 7th day not a single patient had contraindications for further interventions.
Thus, therapeutic pathomorphism develops after chemoembolization of hepatic artery and reaches maximum on the 7th day. Postembolization syndrome is effectively relieved in all patients on the 7th day after CEHA.
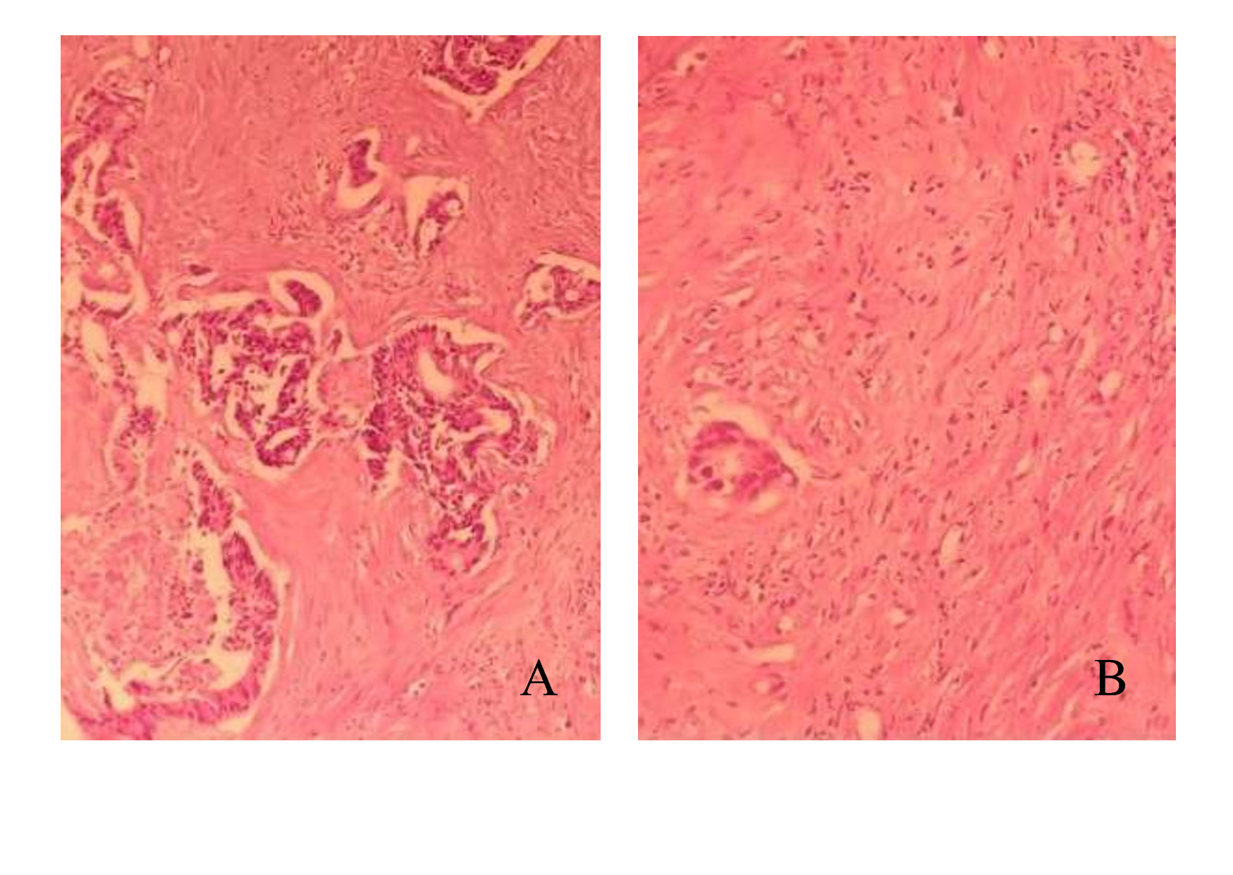
Fig. 5. Metastasis of adenocarcinoma of intestinal type with the presence of fields of fibrosis (A) and inflammatory infiltration (B). The second degree of therapeutic pathomorphosis (color: hematoxylin and eosin, x 400)
Fig. 6. Metastasis of adenocarcinoma of intestinal type. Moderate therapeutic pathomorphosis (grade 1). Fibrosis of separately lying glands and the appearance of calcifications. (color: hematoxylin and eosin, x 400)
Conclusion
Chemoembolization of the hepatic artery is an effective method of treatment of patients with colorectal cancer with metastases into the liver. In combination of chemoembolization of the hepatic artery with methods of local destruction in treatment of patients with inoperable metastatic cancer of the liver, the optimal interval is 7 days.
About the authors
Alexey V. Shabunin
Russian Medical Academy of Continuous Professional Education
Email: dc.drozdov@gmail.com
ORCID iD: 0000-0002-4230-8033
SPIN-code: 8917-7732
Corresponding Member of Russian Academy of Sciences, MD, Grand PhD, Professor, Head of Surgery Department, Russian Medical Academy of Continuous Professional Education; Head of Botkin Hospital
Russian Federation, 2/1, Barrikadnaya st., Moscow, 125993Michael M. Tavobilov
Russian Medical Academy of Continuous Professional Education
Email: dc.drozdov@gmail.com
ORCID iD: 0000-0003-0335-1204
SPIN-code: 9554-5553
MD, PhD, Associate Professor of Surgery Department, Russian Medical Academy of Continuous Professional Education; Head of the Department of Liver and Pancreatic Surgery, Botkin Hospital
Russian Federation, 2/1, Barrikadnaya st., Moscow, 125993Oksana V. Paklina
Botkin Hospital
Email: dc.drozdov@gmail.com
ORCID iD: 0000-0001-6373-1888
SPIN-code: 4575-9762
MD, Grand PhD, Professor, Head of the Pathoanatomical Department
Russian Federation, MosсowDmitriy N. Grekov
Russian Medical Academy of Continuous Professional Education
Email: dc.drozdov@gmail.com
ORCID iD: 0000-0001-8391-1210
SPIN-code: 6734-9727
MD, PhD, Associate Professor of Surgery Department
Russian Federation, 2/1, Barrikadnaya st., Moscow, 125993Galia R. Setdikova
Botkin Hospital
Email: dc.drozdov@gmail.com
ORCID iD: 0000-0002-9524-3798
SPIN-code: 6551-0854
MD, PhD, Pathologist
Russian Federation, MosсowPavel A. Drozdov
Botkin Hospital
Author for correspondence.
Email: dc.drozdov@gmail.com
ORCID iD: 0000-0001-8016-1610
SPIN-code: 8184-8918
Surgeon of the Department of Liver and Pancreatic Surgery
Russian Federation, MosсowReferences
- Petrenko KN, Polishchuk LO, Garmaeva SV, et al. Radiochastotnaya ablyaciya zlokachestvennyh novoobrazovanij pecheni. Sovremennoe sostoyanie voprosa (Obzor literatury). Rossijskij zhurnal gactroehnterologii, gepatologii, koloproktologii. 2007;2:108. (In Russ).
- Patyutko YuI, Sagajdak IV, Polyakov AN. Kombinirovannoe lechenie bol'nyh s metastazami kolorektal'nogo raka v pechen'. Hirurgiya. Zhurnal im. NI Pirogova. 2008; 7:204. (In Russ).
- Adam R, Bismuth H, Castaing D, et al. Repeat hepatectomy for colorectal liver metastases. Annals of Surgery. 1997;225(1):5162. doi:10. 1097/0000065819970100000006
- Dudarev VS. Maloinvazivnye tekhnologii v lechenii zlokachestvennyh opuholej pecheni. Onkologicheskij zhurnal. 2007;1(2):12644. (In Russ).
- Patyutko YuI. Hirurgicheskoe lechenie zlokachestvennyh opuholej pecheni. Moscow: Prakticheskaya medicina; 2005. (In Russ).
- Abdalla E, Vauthey J, Ellis L, et al. Recurrence and outcomes following hepatic resection, radiofrequency ablation, and combined resection/ablation for colorectal liver metastases. Annals of Surgery. 2004;239(6):81825. doi: 10.1097/01.sla.0000128305.90650.71
- August DA, Sugarbaker PH, Schneider PD. Lymphatic dissemination of hepatic metastases. Implications for the follow‐up and treatment of patients with colorectal cancer. Cancer. 1985;55 (7):14904. doi: 10.1002/10970142(19850401) 55:7<1490 ::aidcncr2820550712>3.0.co;2n
- Agcaoglu O, Aliyev S, Karabulut K, et al. Complementary use of resection and radiofrequency ablation for the treatment of colorectal liver metastases: an analysis of 395 patients. World Journal of Surgery. 2013;37(6):13339. doi: 10.1007/s0026801319811
- Kim K, Yoon Y, Yu C, et al. Comparative analysis of radiofrequency ablation and surgical resection for colorectal liver metastases. Journal of the Korean Surgical Society. 2011; 81(1):2534. doi: 10.4174/jkss.2011. 81.1.25
- Solbiati L, Ahmed M, Cova L, et al. Small liver colorectal metastases treated with percutaneous radiofrequency ablation: local response rate and longterm survival with up to 10year followup. Radiology. 2012;265(3): 95868. doi: 10.1148/radiol.12111851
- Wood T, Rose D, Chung M, et al. Radiofrequency ablation of 231 unresectable hepatic tumors: indications, limitations, and complications. Annals of Surgical Oncology. 2000; 7(8):593600. doi: 10.1007/bf02725339
- Lin J, Wu W, Jiang X, et al. Clinical outcomes of radiofrequency ablation combined with transcatheter arterial chemoembolization for the treatment of hepatocellular carcinoma: a singlecenter experience. Chinese Journal of Oncology. 2013;35(2):1447. doi: 10.3760/cma. j.issn.02533766.2013.02.016
- Tanaka M, Ando E, Simose S, et al. Radiofrequency ablation combined with transarterial chemoembolization for intermediate hepatocellular carcinoma. Hepatology Research. 2014; 44(2):194200. doi:10.1111/ hepr.12100
- Duan X, Zhou G, Zheng C, et al. Heat shock protein 70 expression and effect of combined transcatheter arterial embolization and radiofrequency ablation in the rabbit VX2 liver tumour model. Clinical Radiology. 2014;69(2): 18693. doi: 10.1016/j.crad.2013. 08.020
- Duan X, Li T, Zhou G, et al. Transcatheter arterial embolization combined with radiofrequency ablation activates cD8+ Tcell infiltration surrounding residual tumors in the rabbit VX2 liver tumors. Onco Targets and Therapy. 2016;9:283544. doi:10.2147/ OTT.S95973
- Lu Z, Wen F, Guo Q, et al. Radiofrequency ablation plus chemoembolization versus radiofrequency ablation alone for hepatocellular carcinoma: a metaanalysis of randomizedcontrolled trials. European Journal of Gastroenterology & Hepatology. 2013;25(2): 18794. doi: 10.1097/MEG.0b013e32835a0a07
- Tang C, Shen J, Feng W, et al. Combination therapy of radiofrequency ablation and transarterial chemoembolization for unresectable hepatocellular carcinoma: a retrospective study. Medicine. 2016;95(20):375461. doi:10. 1097/MD.0000000000003754
- Li Z, Kang Z, Qian J, et al. Radiofrequency ablation with or without transcather arterial chemoembolization for management of hepatocellular carcinoma. Journal of Southern Medical University. 2007;27(11):174951.
- Song M, Bae S, Lee J, et al. Combination transarterial chemoembolization and radiofrequency ablation therapy for early hepatocellular carcinoma. The Korean Journal of Internal Medicine. 2016;31(2):24252. doi: 10.3904/kjim. 2015.112
- Zhang L, Yon X, Gan Y, et al. Radiofrequency ablation following firstline transarterial chemoembolization for patients with unresectable hepatocellular carcinoma beyond the Milan criteria. BMC Gastroenterology. 2014;14(1):118. doi:10.1186/ 1471230X1411
- Wang Z, Wang M, Duan F, et al. Transcatheter arterial chemoembolization followed by immediate radiofrequency ablation for large solitary hepatocellular carcinomas. World Journal of Gastroenterology. 2013;19(26): 41929. doi: 10.3748/wjg.v19. i26.4192
Supplementary files












