Клиникоэпидемиологические особенности микоплазменной инфекции у детей Рязанской области
- Авторы: Белых Н.А.1, Фокичева Н.Н.2, Пискунова М.А.2, Шилина С.А.2, Федосеева Н.Ю.2, Калашникова О.Н.2, Скобеев И.Г.2, Майорова Е.В.2
-
Учреждения:
- ФГБОУ ВО Рязанский государственный медицинский университет им. акад. И.П. Павлова Минздрава России
- ГБУ РО Городская клиническая больница №11
- Выпуск: Том 26, № 2 (2018)
- Страницы: 258-267
- Раздел: Оригинальные исследования
- Статья получена: 19.07.2018
- Статья одобрена: 19.07.2018
- Статья опубликована: 20.07.2018
- URL: https://journals.eco-vector.com/pavlovj/article/view/9098
- DOI: https://doi.org/10.23888/PAVLOVJ2018262258-267
- ID: 9098
Цитировать
Аннотация
Обоснование. Острые респираторные инфекции являются актуальной проблемой педиатрии изза высокого уровня заболеваемости и высокой частоты осложнений.
Цель. Проанализировать статистические показатели заболеваемости внебольничной пневмонией (ВП) у детей Рязанской области, определить клиникоэпидемиологические особенности микоплазменной инфекции и оценить ее роль в формировании ВП у детей.
Материалы и методы. Проведен анализ показателей заболеваемости ВП у детей Рязанской области (20142016) и медицинской документации 106 детей (55 мальчиков, 51 девочка), получавших стационарное лечение в ГБУ РО Городская клиническая больница №11 (возраст от 9 месяцев до 17 лет). Всем пациентам проводили пульсоксиметрию, клиническое и лабораторное обследование, рентгенографию органов грудной клетки, определение специфических IgMантител к M. Pneumoniae методом ИФА.
Результаты. В Рязанской области отмечается рост заболеваемости ВП при стабильном уровне по России. У детей до 14 лет показатель в 1,5 раза превышает уровень 2014г. и в 2,8 раз – 2015г., в возрасте 1517 лет – в 2 раза выше уровня 2014 г. Среди пациентов с микоплазмозом преобладали дети до 6 лет (50,9%). Пик заболеваемости пришелся на октябрьдекабрь. Заболевание начиналось остро без выраженных симптомов интоксикации и локальных изменений. У 77,3% детей была диагностирована ВП, преимущественно правосторонняя (48,8%), у 33,1% пациентов имела место смешанная бактериальная инфекция. Гематологические показатели свидетельствовали о наличии железодефицитной анемии у 12,3% детей, у 28% отмечался умеренный лейкоцитоз. Антибиотикотерапия проводилась с применением макролидов, в случае смешанной бактериальной инфекции – в сочетании с цефалоспоринами 3 поколения.
Выводы. Отмечается рост заболеваемости ВП у детей. Выявлена сезонность в госпитализации детей с микоплазменной инфекцией, высокая заболеваемость среди детей дошкольного возраста, посещающих организованные коллективы и имеющих хроническую патологию. Микоплазмоз протекал в виде ВП у 77,3% пациентов, что повлияло на рост заболеваемости внебольничной пневмонией у детей.
Ключевые слова
Полный текст
Острая респираторная патология попрежнему остается актуальной проблемой педиатрии в связи с высоким уровнем заболеваемости, ежегодным сезонным подъемом в осеннезимний период и высокой частотой формирования осложнений в виде бактериальной пневмонии [1, 2]. Наиболее уязвимой популяционной группой с высоким уровнем заболеваемости являются дети до 14 лет изза высокого риска развития пневмонии. По данным Роспотребнадзора в Российской Федерации показатель заболеваемости внебольничной пневмонией (ВП) в 2016 г. на 16,0 % превышает тот же за 2015 г. (776,6 на 100 тыс. населения против 669,7 в 2015 г.) [3, 4].
По данным Всемирной организации здравоохранения (ВОЗ) пневмония попрежнему входит в пятерку основных причин смертности детей в возрасте до 5 лет (в 2015 г. от пневмонии умерли 920 136 детей в возрасте до 5 лет, т.е. 15% всех случаев смерти детей этого возраста) [5].
Особенно важно понимание вклада атипичных патогенов в структуру ОРЗ. К этой группе чаще всего относятся Mycoplasma pneumoniae, Legionella pneumophila, Chlamydophila, Coxiella burnetti. Наибольшее значение при ОРЗ у детей из данной группы патогенов имеет M. Pneumoniae, которая может вызывать воспаление как верхних, так и нижних дыхательных путей. В человеческой популяции респираторный микоплазмоз составляет 1016% всех случаев ОРЗ, а в период эпидемических вспышек частота может достигать 3040%. Согласно данным литературы, M. pneumoniae вызывает до 40% ВП у детей и около 18% инфекций у пациентов, нуждающихся в госпитализации. По результатам исследования Jain S. et al., проведенного у 2222 детей, наиболее часто M. pneumoniae выявляется у детей старше 5летнего возраста – у 19%, против 3% среди детей младше 5 лет [6].
Особенности строения и воздействия M. Pneumoniae на макроорганизм определяют клиническую картину инфекции. Внутриклеточная локализация защищает его от иммунного ответа, позволяет длительно персистировать в организме, усугубляя течение хронической бронхолегочной патологии и индуцируя обострения заболевания. Малые размеры данного микроорганизма позволяют ему широко распространяться воздушнокапельным путем. Изза отсутствия клеточной стенки M. pneumoniae устойчив к антибактериальным препаратам, действующим на мембрану микробной клетки (беталактамы и др.) но имеет повышенную чувствительность к факторам внешней среды, поэтому инфицирование происходит лишь при тесном контакте (в семьях и организованных коллективах) [7].
В организме микоплазма размножается в цитоплазме реснитчатого эпителия, образует микроколонии, а вырабатываемые ею перекись водорода и супероксид повреждают эпителий и приводят к воспалению. При этом выделяемый микроорганизмом специфический CARDSтоксин (community acquired respiratory distress syndrome toxin), который сходен по своему строению с экзотоксином Bordetella Pertussis, вызывает вакуолизацию клеток бронхиального эпителия и снижает двигательную активность ресничек, вызывает обширные зоны перибронхиального и периваскулярного воспаления и определяет тяжесть поражения легочной ткани [8].
Однако течение микоплазменной инфекции зависит не только от биологических свойств возбудителя, но и от индивидуальных особенностей иммунного ответа макроорганизма на воздействие инфекционного агента. Все чаще обсуждается роль M. Pneumoniae в патогенезе хронической бронхолегочной патологии, бронхиальной астмы изза способности CARDSтоксина индуцировать интенсивное аллергическое воспаление в легких, продукцию цитокинов Тh2типа и выраженную гиперреактивность дыхательных путей; высвобождающиеся при инфекции цитокины 2го типа, в т.ч. интерлейкины (IL) 4 и 5, которые способствуют гиперпродукции Ig Е, играют ключевую роль в патогенезе бронхиальной астмы [911].
Целью исследования было проанализировать статистические показатели заболеваемости внебольничной пневмонией у детей Рязанской области, определить клиникоэпидемиологические особенности микоплазменной инфекции и оценить ее роль в заболеваемости ВП у детей различных возрастных категорий.
Материалы и методы
Проанализированы показатели заболеваемости ВП среди детей в Рязанской области по данным официальной медицинской статистики за период 20142016 г., проведен ретроспективный анализ первичной медицинской документации 106 детей (55 мальчиков, 51 девочка), получавших стационарное лечение по поводу микоплазменной инфекции в детском инфекционном отделении ГБУ РО Городская клиническая больница №11 (возраст от 9 месяцев до 17 лет).
Всем пациентам проводили пульсоксиметрию при поступлении и по показаниям в динамике, клиническое и лабораторное обследование, рентгенографию. Этиологическая верификация возбудителя проводилась методом иммуноферментного анализа (ИФА) с определением специфических IgMантител к M. Pneumoniae в условиях лаборатории ГБУ РО Городская клиническая больницы №11.
Статистическую обработку полученных результатов проводили при помощи стандартного пакета программ Microsoft Excel 7.0.
Результаты и их обсуждение
По данным официальной медицинской статистики в Рязанской области за период 20142016 гг. отмечался рост заболеваемости ВП в возрасте до 14 лет при относительно стабильном показателе по России: в 1,5 раза по сравнению с 2014 г. и в 2,8 раза – по сравнению с 2015 г. Всего в 2016 г. было зарегистрировано 2172 случая ВП в данной возрастной группе (против 787 в 2015 г. и 1416 – в 2014 г.), показатель в 1,76 раза превышал уровень заболеваемости ВП по Российской Федерации (рис. 1) [1, 3].
Среди подростков 1517 лет показатель заболеваемости ВП в Рязанской области вырос в 2 раза по сравнению с 2015 г., при практически стабильном уровне по Российской Федерации (рис. 2) [1, 3].
Рис. 1. Динамика заболеваемости внебольничной пневмонией детей в возрасте до 14 лет (1/100 тыс.) по Рязанской области и РФ (2014-2016)
Рис. 2. Динамика заболеваемости внебольничной пневмонией детей 15-17 лет (1/100 тыс.) по Рязанской области и РФ (2014-2016)
Отмечался рост заболеваемости пневмонией пневмококковой этиологии в 3 раза среди детей до 14 лет (79,4/100 тыс. в 2016 г. против 26,1 в 2015 г.) и в 1,6 раза у детей 1517 лет (18,1 в 2016 г. против 11,2/100 тыс. в 2015 г.).
В детском инфекционном отделении ГБУ РО «Городская клиническая больница №11» в 2016 г. было пролечено на 17% больше пациентов с ВП по сравнению с 2015 г. (431 и 367 соответственно) при стабильном числе детей с инфекциями нижних дыхательных путей (781 случай в 2016 г. и 794 – в 2016 г.).
Анализ первичной медицинской документации пролеченных пациентов продемонстрировал, что наибольшее число детей были госпитализированы в 4 квартале 2016 года (53,5%), при этом пик поступления детей в стационар пришелся на ноябрь с постепенным снижением в декабре (рис. 3), что согласуется с данными литературы о сезонности заболевания [1, 2, 5].
Среди пролеченных детей преобладали дети дошкольного возраста (от 0 до 6 лет) – 50,9%; удельный вес детей в возрасте 714 лет составил 38,3%, 1517 лет – 11,2% (рис. 4). Среди заболевших детей 73,6% посещали детские организованные коллективы (78/106).
Заболевание у пациентов начиналось остро с повышения температуры тела или навязчивого малопродуктивного кашля без выраженных симптомов интоксикации. В первые 3 суток от начала заболевания были госпитализированы 26,4% пациентов, 12,3% – на 35 сутки, но большинство детей (63,2%) поступили в стационар после 5 суток с момента заболевания изза неэффективности амбулаторного лечения.
Рис. 3. Количество детей, госпитализированных с микоплазмозом в 2016 г. (абсолютное количество)
Рис. 4. Возрастная структура детей с микоплазменной инфекцией (n=106)
У каждого четвертого пациента (24,5%) при поступлении имела место дыхательная недостаточность 1 ст. При физикальном исследовании не отмечалось локальных изменений, аускультативно определялось жесткое дыхание с небольшим количеством мелко и среднепузырчатых хрипов у 86 детей (81,1%).
В ходе обследования была диагностирована внегоспитальная пневмония у 82 пациентов (77,3%), в т.ч. в каждом пятом случае имела место смешанная бактериальная инфекция (19,5%): помимо М. Pneumoniae выделялся S. aureus, Str. Pneumoniae, Str. Pyogenes, К. Pneumoniae.
Большинство пациентов с диагностированной пневмонией (63,4%) были госпитализированы после 5 дня с момента заболевания (52/82), с признаками дыхательной недостаточности 12 степени. У каждого четвертого пациента пневмония протекала на отягощенном фоне, в т.ч. анемия имела место у 26,6% детей, у 20% – органическое поражение ЦНС.
При рентгенологическом обследовании органов грудной клетки выявлялись в легких очаги негомогенной инфильтрации, более плотные у корня, с неровными краями, часто тяжистые, «мохнатые», двусторонние, несимметричные, чаще наблюдаются в нижних отделах легких. Реакция со стороны плевры наблюдалась у 16 пациентов (15,1%) и ограничивалась междолевой плеврой.
Преимущественно отмечалось правостороннее поражение легких (48,8%) в виде полисегментарного поражения, в 34,1 % случаев – левосторонняя пневмония, у 14 пациентов – двусторонняя (17,1%) (рис. 5). Деструктивное поражение верхней доли правого легкого отмечалось у пациента с тяжелым органическим поражением ЦНС на фоне анемии средней степени тяжести вследствие сочетанной бактериальногрибковой инфекции (M. Pneumoniae+ S. aureus + С. аlbicans + K. Pneumoniae).
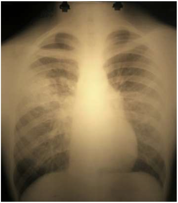
Рис. 5. Рентгенограмма органов грудной клетки ребенка В., 13 лет
Среди детей раннего возраста заболевание протекало в виде пневмонии в 62,5% (15 случаев из 24 детей данной возрастной группы), в остальных случаях заболевание протекало в виде обструктивного бронхита, в 2х случаях в сочетании с синуситом. В 16,7% наблюдений у пациентов имела место сочетанная бактериальная инфекция (M. Pneumoniae + S. aureus). В возрастной группе детей от 3х до 6 лет включительно в 75,0% (21/28) микоплазменная инфекция протекала с клиническими и рентгенологическими признаками пневмонии, в остальных случаях – в виде обструктивного бронхита. У 4х детей выделялся βгемолитический стрептококк, в 1 случае – E. Cloacae, в 2х случаях – С. аlbicans, в 1 случае – сочетанная бактериальногрибковая микрофлора (M. Pneumoniae + С. Albicans + K. Pnevmoniae).
У детей школьного возраста (714 лет) отмечались рентгенологические признаки пневмонии в 79,5% случаев (35/44), у остальных пациентов заболевание протекало в виде обструктивного бронхита. В 27,3% случаев (12/44) имела место бактериальная или бактериальногрибковая ассоциация. Преимущественно выделялась непатогенная (Neisseria spр.), и условно патогенная микрофлора (Str. pyogenes; S. aureus; Str. Pneumoniae); грибы рода Candida.
У подростков 1517 лет во всех случаях микоплазменная инфекция протекала в виде пневмонии, в 2х случаях выделялась смешанная бактериальная флора (M. Pneumoniaе +Str. pyogenes; M. Pneumoniaе + S. aureus).
Среди всех обследованных детей при бактериологическом обследовании мазка из зева у части пациентов выделялась условнопатогенная микрофлора, в т.ч. у 9 пациентов – S. aureus (8,5%), у 11 – грибы рода Candida (10,4%), у 3х – E. cloacae (2,8%), у 13 – гемолитический стрептококк группы В и С (12,3%), а также бактериальные и бактериальногрибковые ассоциации.
В клиническом анализе крови число лейкоцитов у превалирующего большинства больных находилось в пределах нормы (71,7%), у 28,3% отмечался умеренный лейкоцитоз, общее количество лейкоцитов не превышало 19х109/л (Ме=8,4). У большинства пациентов регистрировалось значительное ускорение СОЭ (до 4049 мм/мин) при отсутствии лейкоцитоза.
Повышенный уровень Среактивного белка (>30 мг/л), свидетельствовавший о высокой вероятности бактериальной инфекции, определялся лишь у 17 обследованных пациентов (16,0%), повышение уровня серомукоида (>0,2 Ед.) выявлено у 66 детей (62,3%).
У пациентов с микоплазменной пневмонией отмечалось расхождение степени интоксикации и распространенности патологического процесса в легких, наличие длительного малопродуктивного кашля, отсутствие локальных физических симптомов.
Бронхит у обследованных детей протекал с клиникой дыхательной недостаточности 12 степени. У каждого пятого пациента отмечалось осложненное течение заболевания, обусловленное бактериальными ассоциациями, с развитием синусита (2 сл.), острого среднего отита (2 сл.), инфекцией мочевыделительных путей (1 сл.).
В лечении пациентов применялась антибиотикотерапия с применением препаратов группы макролидов, в случае смешанной бактериальной инфекции – в сочетании с цефалоспоринами 3 поколения) [7, 12].
Выводы
- Проведенный анализ статистических показателей выявил рост заболеваемости внебольничной пневмонией у детей Рязанской области.
- Среди детей с респираторным микоплазмозом выявлена сезонность в увеличении количества госпитализированных детей в инфекционный стационар г. Рязани, высокая частота заболеваемости среди детей дошкольного возраста, посещающих организованные коллективы и имеющих хроническую соматическую патологию.
- Микоплазменная инфекция у обследованных протекала преимущественно в виде пневмонии, что безусловно оказало влияние на динамику заболеваемости внебольничной пневмонией в детской популяции региона.
- Наличие сочетанной бактериальной инфекции способствовало осложненному теению заболевания, обуславливая применение комбинированной антибиотикотерапии.
Об авторах
Наталья Анатольевна Белых
ФГБОУ ВО Рязанский государственный медицинский университет им. акад. И.П. Павлова Минздрава России
Автор, ответственный за переписку.
Email: nbelyh68@mail.ru
ORCID iD: 0000-0002-5533-0205
SPIN-код: 2199-6358
д.м.н., заведующая кафедрой поликлинической педиатрии с курсом педиатрии факультета дополнительного профессионального образования
Россия, 390026 г. Рязань, ул. Высоковольтная, д. 9Наталья Николаевна Фокичева
ГБУ РО Городская клиническая больница №11
Email: nbelyh68@mail.ru
ORCID iD: 0000-0002-8141-1949
SPIN-код: 1856-4420
к.м.н., заведующая педиатрическим стационаром
Россия, г. РязаньМарина Анатольевна Пискунова
ГБУ РО Городская клиническая больница №11
Email: nbelyh68@mail.ru
ORCID iD: 0000-0002-0783-6463
SPIN-код: 2853-6755
к.м.н., заведующая детским инфекционным отделением №1
Россия, г. РязаньСветлана Александровна Шилина
ГБУ РО Городская клиническая больница №11
Email: nbelyh68@mail.ru
ORCID iD: 0000-0002-5417-5784
SPIN-код: 5781-4208
заведующая детским инфекционным отделением №2
Россия, г. РязаньНаталья Юрьевна Федосеева
ГБУ РО Городская клиническая больница №11
Email: nbelyh68@mail.ru
ORCID iD: 0000-0001-7052-7009
SPIN-код: 9173-8865
врач педиатр инфекционного отделения №2
Россия, г. РязаньОльга Николаевна Калашникова
ГБУ РО Городская клиническая больница №11
Email: nbelyh68@mail.ru
ORCID iD: 0000-0002-2138-8994
SPIN-код: 3137-4979
врач педиатр инфекционного отделения №1
Россия, г. РязаньИгорь Геннадьевич Скобеев
ГБУ РО Городская клиническая больница №11
Email: nbelyh68@mail.ru
ORCID iD: 0000-0002-0399-8940
SPIN-код: 1001-9800
врач педиатр инфекционного отделения №2
Россия, г. РязаньЕлена Викторовна Майорова
ГБУ РО Городская клиническая больница №11
Email: nbelyh68@mail.ru
ORCID iD: 0000-0002-4920-8932
SPIN-код: 9304-5724
врач педиатр инфекционного отделения №2
Россия, г. РязаньСписок литературы
- Новости. Федеральная служба по надзору в сфере защиты прав потребителей и благополучия человека, ФБГУ «Центр гигиены и эпидемиологии в городе Москве». Доступно по: http://www.mossanexpert.ru/ novosti. Ссылка активна на 08.08.2017.
- Пшенников Д.С., Анготоева И.Б. Перспективы ингаляционной терапии риносинусита // Наука молодых (Eruditio Juvenium). 2017. Т. 5, №2. С. 277282. doi: 10.23888/HMJ 20172277282
- Инфекционная заболеваемость в Российской Федерации за январь – декабрь 2016 г. (по данным формы №1 «Сведения об инфекционных и паразитарных заболеваниях»). Доступно по: http://www.rospotrebnadzor.ru/ activities. Ссылка активна на 08.08.2017.
- Зайцева С.В., Застрожина А.К., Муртазаева О.А. Микоплазменная инфекция у детей (обзор литературы) // РМЖ. 2017. №5. С. 327334.
- Информационный обзор о пневмонии. ВОЗ. Ноябрь 2016. Доступно по: http://www.who. int/topics/pneumococcal_infections/ru. Ссылка активна на 12.11.2017.
- Jain S., Williams D.J., Arnold S.R. Communityacquired pneumonia requiring hospitalization among US children // N. Engl. J. Med. 2015. Vol. 372, №9. Р. 835845. doi:10.1056/ NEJMoa1405870
- Рачина С.А., Бобылев А.А., Козлов Р.С. Особенности внебольничной пневмонии, вызванной Mycoplasma pneumoniae: обзор литературы и результаты собственных исследований // Клиническая микробиология и антимикробная химиотерапия. 2013. Т. 15, №1. С. 413.
- Kannan T.R., Coalson J.J., Cagle M., et al. Synthesis and distribution of CARDS toxin during Mycoplasma pneumonia infection in a murine model // J. Infect. Dis. 2011. Vol. 204. Р. 15961604. doi: 10.1093/infdis/jir557
- Гудков Р.А., Коновалов О.Е. Причины и факторы риска сочетанной патологии у детей // Российский медикобиологический вестник имени академика И.П. Павлова. 2016. Т. 24, №2. С. 144152.
- Chu H.W., Jeyaseelan S., Rino J.G., et al. TLR2 signaling is critical for Mycoplasma pneumoniaeinduced airway mucin expression // J. Immunol. 2005. Vol. 174, №9. Р. 57135719. doi: 10.4049/jimmunol.174.9.5713
- Геппе Н.А., Дронов И.А. Антибактериальная терапия при остром бронхите у детей: показания, выбор препарата и режима применения // Вопросы практической педиатрии. 2015. №5. С. 6164.
Дополнительные файлы











