Clinical application of diode laser radiation for surgical treatment of patients with dental diseases
- Authors: Morozova E.A.1, Tarasenko S.V.1, Zhuravlev A.N.2, Filimonova L.B.2, Stekolschikova Y.V.1
-
Affiliations:
- I.M. Sechenov First Moscow State Medical University (Sechenovsky University)
- Ryazan State Medical University
- Issue: Vol 26, No 2 (2018)
- Pages: 268-279
- Section: Original study
- Submitted: 20.07.2018
- Accepted: 20.07.2018
- Published: 20.07.2018
- URL: https://journals.eco-vector.com/pavlovj/article/view/9105
- DOI: https://doi.org/10.23888/PAVLOVJ2018262268-279
- ID: 9105
Cite item
Abstract
Background. Traumatism of surgical operations in dentistry dictates the need to search for minimally invasive methods of tissue alteration. The use of lasers makes it possible to solve this problem, since laser radiation possesses a lower operative injury, selective action and activates the reparative processes in the wound.
Aim. To increase the effectiveness of surgical treatment of dental patients by using a diode laser.
Materials and Methods. In a clinic, 134 patients from 18 to 82 years of age with various dental diseases were examined and underwent surgical treatment using a traditional method and a diode «PICASSO Lite» laser with 810 nm wavelength from AMD Lasers (USA), with the radiation power in the range from 0.6 to 1.0 W. The criteria for evaluation of the effectiveness of laser application were the data of clinical examination.
Results. In comparison with the traditional method of treatment, use of a surgical laser resulted in a less pronounced postoperative edema and pain. The difference between healing time of the operative wound after use of surgical laser and after the traditional treatment was 3±0.5 days in case of suturing of the wound and 7±0.5 days in case of wound healing under the fibrinous film and under the iodoform tampon. The wound defect induced by laser radiation passed all stages of the wound process much faster that with use of scalpel. In addition, selective removal of pathological tissues reduced the likelihood of injury to the oral mucosa, which leads to reduction in the duration of treatment.
Conclusions. Thus, the use of a diode laser allows to improve the technique of surgical treatment of patients and increases the effectiveness of treatment of patients with dental diseases.
Keywords
Full Text
A problem of high incidence rate of dental diseases among Russian population remains one of most important ones [1, 2]. At the modern stage of development of medical science and practice, the quality and effectiveness of dental care depend on the quality of therapeutic process especially in the conditions of dental outpatient clinics. Medical technologies do not stay at the same level, in particular, there is a wide application of minimally invasive surgical methods aimed at minimization of injurious effects and at reduction of the risk of postoperative complications.
In surgical dentistry high intensity laser radiation is used as an alternative to cutting instruments. Being a multifunctional instrument, laser radiation possesses a wide spectrum of biological effects, a high hemostatic effect, bactericidal effect, sterility, minimal traumatic effect on tissues, an insignificant postoperative edema, mild pain syndrome which may even be absent [3, 4, 5]. Of all variety of dental lasers, the most financially available and widely spread are diode lasers that have a wide spectrum of indications and are easy to handle [6]. Reliability of diode lasers is ensured by use of electronic and optical components with few mobile elements [7]. It is worth noting that laser radiation can be easily delivered through thin quartz light guides to any point of exposure practically without losses, which is especially important in surgical procedures in the mouth cavity [8].
Aim of study – to improve effectiveness of surgical treatment of dental patients by use of a diode laser.
Materials and Methods
In the period from 2016 to 2018 in the Dental Center of I.M. Sechenov First Moscow State Medical University (Sechenov University) and Dental Polyclinic of RyazSMU 134 patients from 18 to 82 years of age were examined and given surgical treatment for neoplasms of the oral mucosa, pericoronitis, gingival hypertrophy, shortened frenulum of the lower lip, small buccal cavity of mouth.
Surgical treatment was conducted by a traditional method and with use of a «PICASSO Lite» diode laser with 810 nm wavelength manufactured by AMD Lasers
(USA) (Fig. 1).
Fig.1. Diode laser «PICASSO Lite»
Depending on the used method of treatment patients were divided into 2 groups by random sampling technique. In I group traditional method of treatment was used in 58 patients, in II group 76 patients received surgical treatment with a diode laser.
In I group surgical treatment was conducted under infiltration anesthesia with anesthetics of articaine line. Tissues were excised with scalpel № 15C with subsequent application of stitches on the postoperative wound or with covering the wound surface with iodoform tampon, fixed with stitches. To prevent collateral edema, local application of cold was recommended for 15-20 minutes every 2-3 hours on the first day after the operation. In the postoperative period antibacterial, anti-inflammatory, analgesic and desensitizing therapy were administered, and locally – oral baths of 0.05% chlorhexidine solution. On the 5th-6th day when the wound surface covered with granulations, iodoform tampon sutured to the wound surface was removed and application of solkoseryl (dental adhesive paste) was recommended on the surgical wound area 2 times a day. In case of suturing, stitches were removed on the 7th day.
Treatment with surgical laser was conducted under anesthesia with anesthetics of articaine line given in lower quantity than in traditional treatment. Diode laser with 810 nm wavelength and 0.6 to 1.0 W radiation power was used in continuous or pulsed mode in a contact way with 30 msec pulse duration and 30 msec interval. The procedure was bloodless, with formation of coagulation layer covering the wound surface. To prevent collateral edema, application of cold was used for 15-20 minutes every 2-3 hours on the first day after the operation. In the postoperative period the patients were not administered antibacterial and antihistamine drugs.
Intensity of pain syndrome was determined by 4-point pain assessment scale (Ohnhaus E.E., Adler R., 1975). Scale parameters: severe pain – 3 points, pain of moderate intensity – 2 points, mild pain – 1 point, absence of pain – 0 points. In the presence of pain sensations a single intake of non-steroid anti-inflammatory drugs (NSAID), rinsing of the mouth cavity with 0.05% chlorhexidine solution three times a day were recommended.
Results and Discussion
In surgical treatment of I group of patients with the traditional method (using scalpel №15С) there was intraoperative bleeding from the wound surface which impaired visualization of the operative field. In II group of patients with surgical treatment with the diode laser, the operation ran without bleeding and with simultaneous formation of coagulation film on the wound surface. Circular movements of the optic fiber permitted formation of the coagulation film over the whole wound surface. Good visualization of the operative field was noted due to reduced intraoperative bleeding which enabled excision of tissues in a precisely determined amount.
According to the data of our clinical studies, in patients of II group operated with the diode laser, no evident collateral edema and pain syndrome were noted, which eliminated the need for non-steroid anti-inflammatory drugs (Table 1). Patients of I group given traditional treatment noted pain and edema within the first 3 days after surgical intervention with the underlying intake of analgesics. Thus, the data obtained by us confirm reduction in edema and pain syndrome in surgical treatment with the diode laser [3-5].
Table 1. Characteristics of the Postoperative Period
Groups | Period of wound healing | Pain syndrome | Collateral edema | ||||
1st day after operation | 3d day after operation | 7th day after operation | 1st day after operation | 3d day after operation | 7th day after operation | ||
I group Traditional treatment (n=58) | 7th day | 2 | 1 | 0 | 1 | 2 | 0 |
II group Diode laser (n=76) | 10th day | 0 | 0 | 0 | 0 | 0 | 0 |
Note: Scale used: 3 – severe pain; 2 – moderate intensity pain; 1 – mild pain; 0 – no pain
In clinical examination of the wound in early postoperative period it was found that after operation with use of laser radiation in II group of patients epithelization occurred on the 7th day. On the 30th day soft elastic scars formed.
In I group of patients with traditional treatment epithelization occurred by the 10th day, with persistence of infiltration of soft tissues until the 14th day. After 1.5 month, formation of dense scar tissue was observed.
The obtained results corresponded to changes in the area of wound surface depending on the kind of surgical intervention. Thus, on the 3d day the wound surface area in patients of II group twice decreased, and on the 5th day reduction in the wound surface area continued. Epithelization of postoperative wound was observed on the 7.0th ±0.5 day due to complex antibacterial, antiinflam-matory and stimulating effects of laser radiation on regenerative processes [3, 4, 8].
In patients of I group granulations appeared on the 3d day and completely covered the wound surface by the 5th day. After the 6th day the wound was managed by the open technique, and by the 14.0th±0.5 day the wound surface covered with a young connective tissue (Fig. 2). Examination after 30 days revealed beginning of formation of coarse scars on the mucous membrane which softened and became elastic only by the 6th month, with maturation of the tissue.
In both groups of patients there were no purulent-inflammatory complications in the postoperative period, which is attributed to bactericidal effect of laser radiation [6].
Fig. 2. Dynamics of parameters of the wound surface depending on the method of treatment (cm2)
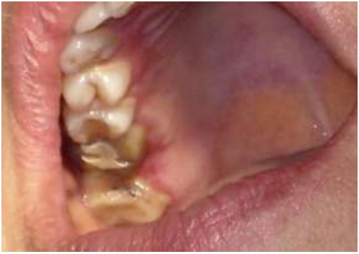
Clinical case 1. A female patient S., 21 years old, applied to the outpatient clinic with complaints of periodical pain, restriction in the opening the mouth, discomfort in the region of the third lower molar on the right, permanent biting of the mucous membrane with the upper molar within half a year. On examination the mucous membrane was locally hanging over the distal lingual cusp of 4.8 tooth, which erupted to 3/4 of its crown out of the alveolar socket. The antagonist tooth completely erupted. At the moment of examination, no signs of inflammation were seen on mucosa of the retromolar region (Fig. 3). On X-ray examination, 4.8 tooth was in the dental arch. The mouth opened to 3.5 cm. The diagnosis: pericoronitis in the region of 4.8 tooth, half-impaction of 4.8 tooth. The patient was made operation of operculectomy with a diode laser under infiltration anesthesia. The hanging mucous membrane was excised in the pulsed-periodic mode with 0.7 W radiation power (Fig. 4). Postoperative period ran without complications, epithelization occurred on the 10th day.
Fig. 3. The hanging edge of mucous membrane before operation
Fig. 4. Surgical wound after excision of the mucous membrane by a diode laser
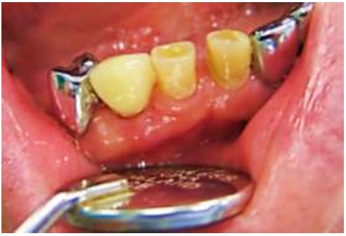
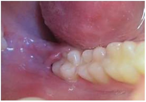
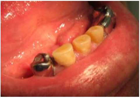
Clinical case 2. A female patient D., 82 years old, was directed from the orthopedic department for elongation of the clinical crown of 4.2 tooth (Fig. 5). On examination: fracture of the crown part of 4.2 tooth. Under infiltration anesthesia the crown part of 4.2 tooth was extracted (Fig. 6) and gingivectomy was conducted with the diode laser in pulsed-periodic mode with 0.7 W radiation power (Fig. 7). The contour of the gingival edge recovered. After that an orthopedic structure was fixed in the mouth cavity. In the postoperative period no complications were observed. In the postoperative period formation of the optimal esthetic contour of the gingiva in the region of surgical intervention was noted (Fig. 8).
Clinical case 3. A female patient M., 20 years old, was directed from orthodontic department for plasty of the frenulum of the lower lip. On examination: high attachment of the frenulum of the lower lip, recession of the gingiva in the region of 4.1, 3.1 teeth (Fig. 9).
Under infiltration anesthesia resection of the frenulum was implemented from the alveolar process to the mucogingival junction with the diode laser in the continuous mode of operation with 0.7 W radiation power (Fig. 10). Epithelization was observed on the 10th day (Figs. 11, 12).
Clinical case 4. A female patient D., 19 years old, referred to the outpatient clinic with complaints of the neoplasm on the tongue. Anamnesis: the patient noticed formation about 1 month before and noted its slow growth. On examination of the mouth cavity a neoplasm of round shape 0.3 cm by 0.3 cm in size on a narrow base was seen on the left part of the anterior third of the tongue (Fig. 13); it was soft, painless and mobile to palpation. Clinical diagnosis: papilloma of the tongue.
Fig. 5. A view in the mouth cavity before the operation
Fig. 6. A view in the mouth cavity after removal of the crown part of 4.2 tooth with the diode laser
Fig. 7. A view of the formed gingival edge after excision with the diode laser
Fig. 8. A view in 10 days after gingivectomy with the diode laser and orthopedic treatment
Fig. 9. Shortened frenulum of the lower lip before the operation
Fig. 10. A view of the mouth cavity after correction of the frenulum with the diode laser
Fig. 11. A view of the postoperative region in 5 days after the operation
Fig. 12. A view of the postoperative region in 14 days after the operation
Fig. 13. Papilloma of the tongue before the operation
Fig. 14. Surgical wound after treatment with the diode laser
The neoplasm was excised under infiltration anesthesia using a diode laser of 0.7 W radiation power in the continuous mode (Fig. 14). The obtained material was sent to pathohistological examination. Postoperative period was without complications. Epitheli-zation of the wound was observed on the 7th day (Fig. 15). The diagnosis was verified pathomorphologically.
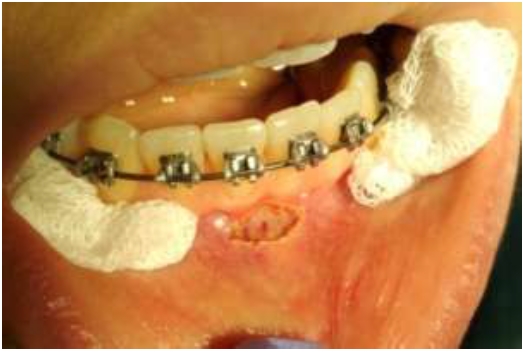
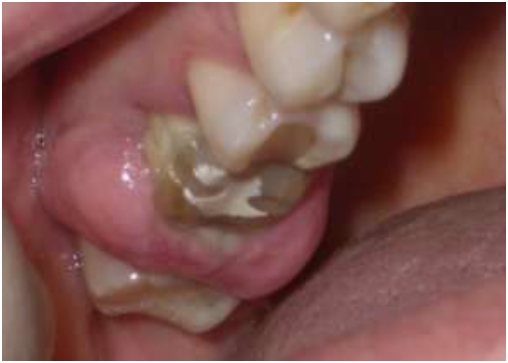
Clinical case 5. A female patient V., 47 years old, referred to the clinic with complaints of a neoplasm in the region of the crown of 1.6 tooth. Anamnesis: the patient detected the neoplasm about 3 months before, noted its slow growth. On examination of the oral cavity a neoplasm was found on the maxilla between the crowns of 1.6 and 1.7 teeth on the vestibular and palatal side on a wide base, of dense-elastic consistence, painless and mobile to palpation (Fig. 16). Clinical diagnosis: fibromatous epulis of the maxilla in the region of 1.6 and 1.7 teeth.
Fig. 15. A view of postoperative wound in 7 days after surgical treatment with the diode laser
Fig. 16. A view of fibromatous epulis before the operation
Fig. 17. Operative wound after excision of epulis with the diode laser
Under infiltration anesthesia excision of the neoplasm was conducted using diode laser in the continuous mode with 0.8 W radiation power (Fig. 17). The obtained material was sent to pathohistological examination (Fig. 18). Postoperative period was without complications. Epithelization was observed on the 7th day (Fig. 19). The diagnosis was verified pathomorphologically.
Fig. 18. Pathohistological preparation
Fig. 19. A view of postoperative wound in 7 days after surgical treatment with the diode laser
Clinical case 6. A female patient, 74 years old, referred to the outpatient clinic with complaints of formations of cyanotic color on the upper and lower lip. Anamnesis: the patient noticed the formations 10 years before as painless spots of blue color. They grew slowly without making any discomfort. Recently they began to increase. On examination spots of cyanotic color and round shape were detected on the right side of the red border of the lower lip and on the left side of the upper lip, 0.3 cm and 0.5 cm in diameter, respectively (Fig. 20). Formations were immobile, painless to palpation, with positive filling syndrome. The diagnosis: cavernous hemangio-mas on the right side of the lower lip and on the left side of the upper lip. Ablation was conducted with the diode laser under infiltration anesthesia (Figs. 21, 22). Immediately after laser treatment the formations significantly diminished and grew paler. Postoperative period was without complications. In 10 days regression of vascular structures was observed (Fig. 23).
Fig. 20. A view of hemangiomas before operation
Fig. 21. Action of the diode laser radiation on hemangioma on the lower lip
Fig. 22. Action of the diode laser radiation on hemangioma on the upper lip
Fig. 23. A view of postoperative region on the 10th day after laser treatment
Conclusion
Thus, according to the data of the study, a diode laser with 810 nm wavelength reduces injury to tissues in surgical procedures in patients with dental diseases of the oral cavity. Besides, laser radiation provides a more favorable course of postoperative period, reduces edema and pain syndrome, accelerates healing of the postoperative wound, reduces risk of inflammatory purulent complications. Introduction of the laser into a wide clinical practice will permit to improve effective- ness of treatment and prevent recurrences of diseases.
About the authors
Elena A. Morozova
I.M. Sechenov First Moscow State Medical University (Sechenovsky University)
Email: SanekZhu@yandex.ru
ORCID iD: 0000-0002-5312-9516
SPIN-code: 5490-3554
MD, PhD, Associate Professor of the Department of Dental Surgery
Russian Federation, 8-2, Trubetskaya street, Moscow, 119992Svetlana V. Tarasenko
I.M. Sechenov First Moscow State Medical University (Sechenovsky University)
Email: SanekZhu@yandex.ru
ORCID iD: 0000-0001-8595-8864
SPIN-code: 3320-0052
MD, Grand PhD, Professor, Head of the Department of Dental Surgery
Russian Federation, 8-2, Trubetskaya street, Moscow, 119992Aleksandr N. Zhuravlev
Ryazan State Medical University
Author for correspondence.
Email: SanekZhu@yandex.ru
ORCID iD: 0000-0002-8334-062X
SPIN-code: 8776-9170
Assistant of the Department of Dental Surgery
Russian Federation, 9, Vysokovoltnaja str., Ryazan, 390026Lyubov B. Filimonova
Ryazan State Medical University
Email: SanekZhu@yandex.ru
ORCID iD: 0000-0002-0679-541X
SPIN-code: 6759-6330
MD, PhD, Associate Professor, Head of the Department of Dental Surgery
Russian Federation, 8-2, Trubetskaya street, Moscow, 119992Yevgenia V. Stekolschikova
I.M. Sechenov First Moscow State Medical University (Sechenovsky University)
Email: SanekZhu@yandex.ru
ORCID iD: 0000-0002-8981-0602
SPIN-code: 8521-3105
IV year student of Educational Department of Institute of Dentistry
Russian Federation, 8-2, Trubetskaya street, Moscow, 119992References
- Biriukova UA, Filimonova LB, Galizina OA. Laboratory evaluation of efficiency use of herbal remediesin the treatment of hypertrophic gingivitis. I.P. Pavlov Russian Medical Biological Herald. 2014;22(3):13942. (In Russ). doi: 10.17816/PAVLOVJ20143139142
- Peterson PE, Kuzmina EM. The Prevalence of dental diseases. Risk factors and health of the oral cavity. The main problems of public health. Dental Forum. 2017;64 (1):211. (In Russ).
- Eliseenko VI, Skobelkin OK, Titova TM. Morfologiya reparativnykh protsessov posle ostanovki zheludochkovykh krovotecheniy s pomoshch'yu razlichnykh lazerov. Arkhiv patologii. 1981;43(9):4350. (In Russ).
- Tarasenko IV. Growth factor levels in osseous regenerates of rat's femoral bone after laser and mechanical impact. Laser medicine. 2011;15(3):436. (In Russ).
- Romeo U, Russo C, Palaia G, et al., Biopsy of Different Oral Soft Tissues Lesions by KTP and Diode Laser: Histological Evaluation. The Scientific World Journal. 2014. Article ID 761704. doi: 10.1155/2014/761704
- Novikova A. Primenenie diodnykh lazerov v stomatologii na primere KaVo GentLeRay 980. Inovatsionnaya stomatologiya. 2010;1: 6871. (In Russ).
- Abbas N, Vertey AN. Terapiya myagkikh tkaney s pomoshch'yu diodnogo lazera «LAMI». Dental Market. 2007;1:3942. (In Russ).
- Kulakov AA, Grigor'yants LA, Kasparov AS, et al. Primenenie diodnogo lazernogo skal'pelya v ambulatornoy khirurgicheskoy stomatologii. Moscow: Central Research Institute of Dental and Maxillofacial Surgery; 2008. (In Russ).
Supplementary files





























