Subdural hematomas in young children: clinical and electrophysiological features
- Authors: Melashenko T.V.1, Fomina M.Y.1, Usenko I.N.1, Rodionov Y.V.1
-
Affiliations:
- St. Petersburg State Pediatric Medical University, Ministry of Healthcare of the Russian Federation
- Issue: Vol 10, No 6 (2019)
- Pages: 93-99
- Section: Clinical observation
- URL: https://journals.eco-vector.com/pediatr/article/view/21325
- DOI: https://doi.org/10.17816/PED10693-99
- ID: 21325
Cite item
Full Text
Abstract
Subdural hematoma is a sufficiently rare, but serious pathology of the brain in infants, which can lead to severe neurological deficit or result in death. Subdural hematomas are detected in 20–25 per 100,000 children under 1 year. A retrospective analysis of autopsy material revealed that subdural hematomas were diagnosed in 72% of children who died before the age of 5 months from intracranial hemorrhage. According to localization, subdural hematomas are divided into supra- and subtentorial, mainly associated localization, which are located along the tent of cerebellum and sickle of the brain, mainly. The main mechanism of development of subdural hematomas is associated with the rupture of the bridge veins of the subdural space as a result of their tension, both traumatic etiology and nontraumatic brain damage, accompanied by progressive cerebral atrophy. It is believed that perinatal hypoxic-ischemic brain damage is one of the leading etiological factors of developed subdural hematomas in young children. In addition, the formation of subdural hematomas in young children can be observed with intraamniotic infections, congenital fermentopathies, and above all, in children with aciduria. In some infants, subdural hematomas occur without clinical manifestation, but in most cases are accompanied by the development of neurological disorders, both in acute and in distant periods. In the main, subdural hematomas in the acute period manifest with focal convulsions with secondary generalization of seizures, behavioral disturbances, respiration, and symptoms of intracranial hypertension. During the formation of chronic subdural hematoma, development of structural epilepsy (up to 20%), microcephaly, impaired psychomotor development is observed. In 55% of young children with acute subdural hematomas, the formation of chronic subdural hematomas is observed.
Full Text
Субдуральная гематома — достаточно редкая, но серьезная патология головного мозга у детей грудного возраста, которая может привести к тяжелому неврологическому дефициту или закончиться летально. Субдуральные гематомы выявляются у 20–25 на 100 000 детей до 1 года [4]. Ретроспективный анализ аутопсийного материала выявил, что у 72 % погибших детей в возрасте до 5 месяцев от внутричерепных кровоизлияний диагностированы субдуральные гематомы [1]. По локализации субдуральные гематомы делятся на супра- и субтенториальные, преимущественно выявляются сочетанной локализации, которые лоцируются вдоль намета мозжечка и серпа головного мозга [2]. Основной механизм развития субдуральных гематом связан с разрывом мостовых вен субдурального пространства в результате их натяжения как травматической этиологии, так и при нетравматических повреждениях головного мозга, которые сопровождаются прогрессирующей церебральной атрофией. Полагают, что одним из ведущих этиологических факторов развившихся субдуральных гематом у детей раннего возраста является перинатальное гипоксически-ишемическое повреждение головного мозга [2, 5]. Кроме того, формирование субдуральных гематом у детей раннего возраста может наблюдаться при внутриамниотических инфекциях, врожденных ферментопатиях и прежде всего у детей с органическими ацидуриями.
У некоторых детей грудного возраста субдуральные гематомы протекают без клинической манифестации, но в большинстве случаев сопровождаются развитием неврологических нарушений как в острый, так и в отдаленный периоды. В основном субдуральные гематомы в остром периоде манифестируют фокальными судорогами со вторичной генерализацией приступов, нарушением поведения, дыхания, симптомами внутричерепной гипертензии. При формировании хронической субдуральной гематомы наблюдается развитие структурной эпилепсии (до 20 %), микроцефалии, нарушение психомоторного развития [7]. У 55 % детей раннего возраста с острыми субдуральными гематомами наблюдается формирование хронических субдуральных гематом [9], спонтанное разрешение субдуральных гематом — у 21,4 % детей раннего возраста [2].
Основным методом диагностики субдуральных гематом является нейровизуализация. У детей грудного возраста выявление субдуральной гематомы возможно с применением краниальной сонографии. Стандартом диагностики субдуральных гематом является компьютерная томография, особенно в случаях остро развившейся гематомы. Выполнение магнитно-резонансной томографии (МРТ) рекомендуется в случаях определения небольшого скопления жидкости/крови в оболочечных пространствах методом сонографии, для исключения локализации жидкости в субарахноидальном пространстве, а также при подозрении на субтенториальную локализацию субдуральной гематомы. [8]. В большинстве медицинских центров для диагностирования субдуральных гематом на первом этапе нейровизуализации выполняется мультиспиральная компьютерная томография головы, с последующим проведением МРТ головного мозга для уточнения локализации, размеров и давности гематомы [6].
Как упоминалось выше, субдуральные гематомы у детей раннего возраста часто сопровождаются развитием структурной эпилепсии, протекающей в некоторых случаях с фармакорезистентными приступами [3]. Расширение возможностей нейровизуализации у детей раннего возраста позволяют вывести лечение фармакорезистентных структурных эпилепсий на уровень доказательной медицины. Выявление этиологического фактора структурных эпилепсий у детей раннего возраста в современных условиях становится актуальной задачей, решением которой может стать своевременное нейрохирургическое вмешательство. Представляется актуальным освещение вопросов диагностического поиска в случаях фармакорезистентного течения эпилепсии у детей раннего возраста.
В настоящей статье проведен ретроспективный анализ трех клинических случаев идиопатических двухсторонних хронических супратенториальных субдуральных гематом, развившихся у детей в неонатальном периоде, которые сопровождались развитием корковой атрофии и проявлялись в течение длительного периода фармакорезистентными судорогами/эпилепсией.
КЛИНИЧЕСКОЕ НАБЛЮДЕНИЕ 1
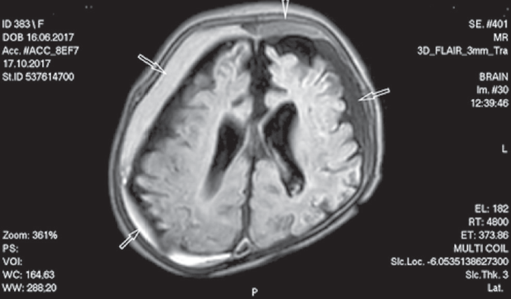
Пациентка 1 (новорожденная девочка), от третьих преждевременных оперативных родов на 33/34 неделе (отслойка плаценты), оценка по шкале Апгар 6/7 баллов, поступила на отделение реанимации и интенсивной терапии Перинатального центра СПбГПМУ на первый день жизни. У ребенка диагностирован врожденный порок развития — левосторонняя диафрагмальная грыжа, гипоплазия левого легкого, сопровождающиеся тяжелыми гемодинамическими нарушениями. Находилась на длительной инвазивной вентиляции легких. Приступы полифокальных клонических судорог выявлены на вторые сутки жизни. Пароксизмы купированы внутривенным введением Реланиума. Повторные эпизоды судорог (полиморфные, с преобладанием полифокальных миоклонических/клонических приступов) отмечены с 7-го дня жизни, назначена терапия Фенобарбиталом (стартовая доза 20 мг/кг в сутки), с четырехкратным суточным введением внутривенно Реланиума 0,5 % 0,2 мг/кг на один прием. В связи с продолжением и учащением приступов с 28-го дня жизни противосудорожная терапия усилена леветирацетамом/Кеппра (сироп по 20 мг/кг в сутки), на фоне приема которого приступы судорог стали менее продолжительными, но полиморфность приступов сохранялась. В неврологическом статусе отмечались церебральная депрессия с нарушением сознания (сомнолентность), диффузная мышечная гипотония, симметричное снижение глубоких рефлексов, отсутствие сосательного рефлекса. К концу первого месяца жизни появилась деформация костей по сагиттальному и лямбдовидному швам, отсутствовал прирост окружности головы (формировалась вторичная микроцефалия). Выполнен нейровизуализационный мониторинг. При проведении краниальной сонографии в неонатальном периоде выявлено патологическое увеличение субарахноидального пространства. К концу третьего месяца наблюдалось увеличение краниоцеребральной диспропорции (расширение подоболочечных пространств до 20 мм над лобными и теменными долями больших полушарий), расширение большой цистерны мозга. Учитывая выявление сонографических признаков расширения подоболочечных пространств, выполнена МРТ головного мозга в возрасте 3 месяцев 1 недели. На МРТ головного мозга были визуализированы двухсторонние субдуральные хронические гематомы с кровоизлияниями различной давности. Определялись атрофическое изменение белого и серого вещества обеих гемисфер, смешанная заместительная гидроцефалия. Данные представлены на рис. 1. После диагностирования субдуральных гематом было принято решение о проведении пациентке нейрохирургического вмешательства — выполнено наружное двухстороннее субдуральное дренирование под стереотаксической ультрасонографической навигацией. В послеоперационный период частота приступов и длительность уменьшились. Состояние оставалось крайне тяжелым, вспомогательная респираторная поддержка продолжалась. Отмечалось «малое сознание»: отсутствовала реакция на осмотр, ребенок открывал глаза спонтанно, без связи с раздражителем. Зрительной фиксации не получено. Черепная иннервация — зрачки нормотоничные, фотореакции сохранены, содружественного движения глазных яблок нет. Лицо симметричное. Язык по средней линии. Кашлевой рефлекс сохранен. Целенаправленной активности не выявлено. Обращали на себя внимание деформация костей мозговой части черепа, микроцефалия, частые стереотипии в дистальных отделах верхних конечностей в виде «вкручивания лампочек», на осмотре возникали гиперкинезы — тремор в конечностях среднеамплитудный, симметричный. Сохранялась диффузная мышечная гипотония. Выраженность глубоких рефлексов симметрично увеличилась.
Рис. 1. Магнитно-резонансная томограмма головного мозга. Стрелками отмечены хронические субдуральные гематомы различной давности. Атрофическое изменение белого и серого вещества обеих гемисфер, смешанная заместительная гидроцефалия. Режим 3D_Flair.
Fig. 1. Magnetic resonance imaging of the brain. Arrows indicate chronic subdural hematomas of various prescription. Atrophic change in the white and gray matter of both hemispheres, mixed replacement hydrocephalus. 3D_Flair mode
Электроэнцефалография (ЭЭГ) проведена в возрасте 1 месяц — отмечалась деформированная медленноволновая продолженная активность (диапазон 2–3 Гц) сниженной амплитуды (до 25 мкВ), без региональной дифференцировки. Эпилептиформной и иктальной активности не выявлено. Повторная запись ЭЭГ выполнена в 3 месяца. Регистрировалась полиморфная медленноволновая активность дельта-диапазона, с наслоениями деформированного бета-ритма от симметричных отведений. Также регистрировалась региональная эпилептиформная активность в виде высокоамплитудных тета-альфа-волн от затылочно-височных отведений левого полушария (рис. 2, а, b).
Рис. 2. Электроэнцефалограмма пациентки 1 — региональная эпилептиформная активность. а — региональная эпилептиформная активность в левых лобных и височных отделах; b — распространение эпилептиформной активности
Fig. 2. EEG of the patient — regional epileptiform activity. a – regional epileptiform activity in the left frontal and temporal regions; b – distribution of epileptiform activity
Установлен диагноз: «Перинатальное поражение головного мозга смешанного генеза, атрофические изменения белого и серого вещества больших полушарий головного мозга, смешанная заместительная гидроцефалия. Структурная эпилепсия (фокальная с вторичной генерализацией, полиморфными моторными приступами). Субдуральная двухсторонняя хроническая гематома, постановка наружного двухстороннего субдурального дренажа. Микроцефалия. Грубая задержка психомоторного развития».
КЛИНИЧЕСКОЕ НАБЛЮДЕНИЕ 2
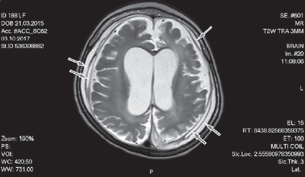
Пациентка 2 (девочка, 2 года 7 месяцев) поступила в микрохирургическое отделение СПбГПМУ с жалобами на значительное отставание в психомоторном развитии и эпилептические приступы. Из анамнеза известно, что беременность протекала на фоне хронической урогенитальной инфекции. Роды вторые срочные, путем операции кесарева сечения на фоне вторичной родовой слабости, начавшейся интранатальной асфиксии плода. Вес при рождении 3200 г. С рождения мама отмечает задержку психомоторного развития. В возрасте 2 месяцев отмечен первый судорожный приступ, на фоне повышенной температуры тела, обструктивного бронхита с дыхательной недостаточностью 2–3-й степени, сердечно-сосудистой недостаточностью 1–2-й степени. Девочка госпитализирована в реанимационное отделение Российской детской клинической больницы. Отмечались повторные афебрильные судорожные приступы. Ребенок наблюдался у инфекциониста в связи с генерализованной формой врожденной миксгерпетической вирусной инфекцией (I, IV, V типов), хроническое течение (гепатит, энцефалопатия, лимфаденопатия, спленомегалия); вторичной иммунной недостаточностью. При поступлении в клинику СПбГПМУ у ребенка сохранялись судорожные приступы в виде эпизодов тонического напряжения конечностей с отведением глазных яблок кверху, ежедневно. Получала антиэпилептическую терапию (Леветирацетам по 40 мг/кг в сутки). Пациентке проведена МРТ головного мозга: МР-признаки двусторонних хронических субдуральных гематом. Глиозно-атрофические изменения белого вещества обеих гемисфер головного мозга, больше справа. Смешанная заместительная гидроцефалия. Mega cisterna magma. Микроцефалия. Данные МРТ представлены на рис. 3. По результатам комплексного мультимодального обследования установлен диагноз: «Органическое поражение центральной нервной системы. Хронические двухсторонние субдуральные гематомы. Атрофические изменения белого и серого вещества обеих гемисфер головного мозга. Смешанная заместительная гидроцефалия. Аномалия Денди – Уокера. Грубое отставание в психомоторном и речевом развитии. Спастический тетрапарез. Псевдобульбарный синдром. Структурная фокальная эпилепсия. Частичная атрофия зрительных нервов обоих глаз. Умеренная спленомегалия». В клинической больнице СПбГПМУ выполнено оперативное вмешательство: костно-пластическая краниотомия, проведено удаление хронических многоуровневых субдуральных гематом справа. По данным послеоперационной мультиспиральной компьютерной томографии, сохранялась заместительная гидроцефалия на фоне атрофических изменений головного мозга. В сравнении с предоперационным исследованием отмечалось уменьшение объема субдуральной гематомы справа. В послеоперационном периоде судороги купированы. Проведен контроль ЭЭГ в послеоперационном периоде: регистрировался уплощенный фоновый паттерн, замедление возрастного ритма. Регистрировались единичная вспышка региональной эпилептиформной активности, высокоамплитудные деформированные комплексы «острая волна — медленная волна» в передних областях правого полушария. Пациентка с улучшением неврологического состояния, купированием эпилептических приступов (клинико-энцефалографическое улучшение на фоне продолжения антиэпилептической терапии Леветирацетамом в дозе 40 мг/кг в сутки) выписана на амбулаторное лечение под наблюдение невролога. В дальнейшем регистрировались редкие фокальные моторные приступы.
Рис. 3. Магнитно-резонансная томограмма головного мозга. Стрелками отмечены хронические многоуровневые субдуральные гематомы различной давности. Глиозно-атрофические изменения белого вещества обеих гемисфер головного мозга, заместительная гидроцефалия. Режим T2W.
Fig. 3. Magnetic resonance imaging of the brain. Arrows indicate chronic multilevel subdural hematomas of various prescription. Glio-atrophic changes in the white matter of both hemispheres of the brain, replacement hydrocephalus. T2W mode
КЛИНИЧЕСКОЕ НАБЛЮДЕНИЕ 3
Пациентка 3 (девочка, 6 месяцев) поступила в Отделение реанимации и интенсивной терапии новорожденных СПбГПМУ в связи с нарушением дыхания. У ребенка отмечалось грубое отставание в психомоторном и предречевом развитии, получала лечение по поводу структурной эпилепсии. Из анамнеза известно, что ребенок от второй беременности, протекавшей с угрозой прерывания, острой респираторной вирусной инфекции, гепатоза беременных, хронической фетоплацентарной недостаточности. Диагностирована цитомегаловирусная инфекция вне фазы репликации. Роды первые на сроке 36 недель. Околоплодные воды мекониальные. Оценка по шкале Апгар 5/6 баллов. В связи с развитием дыхательной недостаточности и синдромом угнетения ЦНС переведена на вспомогательное дыхание (искусственную вентиляцию легких), госпитализирована на отделение анестезиологии-реанимации и интенсивной терапии. На МРТ головного мозга, выполненной в неонатальном периоде, выявлены признаки перивентрикулярного отека, очаги кистозной энцефаломаляции в височных долях, субтенториальные, субарахноидальные кровоизлияния малого объема в поздней подострой стадии с обеих сторон, частичная гипоплазия червя мозжечка. Методом полимеразной цепной реакции подтвержден диагноз: «цитомегаловирусная инфекция». Установлен диагноз: «Врожденная цитомегаловирусная инфекция, манифестная форма (пневмония, энцефалит). Дыхательная недостаточность III степени. Легочная гипертензия. Структурная эпилепсия. Микроцефалия. Контроль МРТ головного мозга выполнен в возрасте 6 месяцев. Визуализировалась МР-картина зон патологического сигнала в проекции базальных ядер, вероятно зоны глиоза, хроническая субдуральная гематома в левой теменно-затылочной области, частичная гипоплазия червя мозжечка, внутренняя заместительная гидроцефалия». Пациентка консультирована нейрохирургом, учитывая клинико-нейровизуализационные особенности, принято решение о дальнейшем консервативном лечении. Судороги купированы на фоне приема вальпроевой кислоты (Депакина) по 35 мг/кг в сутки. После купирования судорожных приступов, проведена ЭЭГ, выявлено замедление формирования возрастного ритма, его деформация и уплощение. Регистрировалась региональная эпилептиформная активность в виде редуцированных комплексов острая-медленная волна в правой лобно-центро-височной области (рис. 4, а, b).
Рис. 4. Электроэнцефалограмма пациентки 3. а — региональная эпилептиформная активность в правой лобно-центро-височной области; b — фоновый паттерн
Fig. 4. EEG patient 3. а – regional epileptiform activity in the right fronto-centro-temporal region; b – background pattern
ЗАКЛЮЧЕНИЕ
Анализируя представленные клинические наблюдения хронических субдуральных гематом у детей раннего возраста, можно сделать выводы, что у всех трех пациентов субдуральные гематомы протекали с развитием структурной эпилепсии, у двух пациентов течение эпилепсии характеризовалось фармакорезистентностью. Этиологическим фактором развития нетравматических субдуральных гематом у всех пациентов послужили перинатальная гипоксическая ишемия, у двух пациентов выявлена вирусная (герпетическая группа) внутриутробная инфекция с поражением головного мозга. Хроническое течение субдуральных гематом сопровождалось развитием атрофических изменений головного мозга (белого и серого вещества), формированием вторичной микроцефалии, грубым нарушением психического, речевого и моторного развития. Отмечалось характерное изменение электробиологической активности головного мозга у детей с хроническими субдуральными гематомами — регистрировались деформация и снижение амплитуды основного ритма. У двух пациентов после частичного удаления субдуральных гематом отмечалось улучшение течения эпилепсии — уменьшилось количество и тяжесть судорожных моторных приступов, положительная электроэнцефалографическая динамика в виде снижения индекса эпилептиформной активности. Следует добавить, что при дебюте эпилепсии у детей раннего возраста необходимо проводить нейровизуализацию (мультиспиральную компьютерную томографию, МРТ головного мозга) с целью выявления структурных церебральных изменений и возможной нейрохирургической коррекции.
About the authors
Tat’yana V. Melashenko
St. Petersburg State Pediatric Medical University, Ministry of Healthcare of the Russian Federation
Author for correspondence.
Email: melashenkotat@mail.ru
MD, PhD, Resident Doctor, Resuscitation and Intensive Care Unit for Newborns
Russian Federation, Saint PetersburgMaria Yu. Fomina
St. Petersburg State Pediatric Medical University, Ministry of Healthcare of the Russian Federation
Email: myfomina@mail.ru
MD, PhD, Dr Med Sci, Professor, Department of Psychoneurology AF and DPO
Russian Federation, Saint PetersburgIvan N. Usenko
St. Petersburg State Pediatric Medical University, Ministry of Healthcare of the Russian Federation
Email: ivan_usenko91@mail.ru
Resident Doctor, Microsurgery Department
Russian Federation, Saint PetersburgYuriy V. Rodionov
St. Petersburg State Pediatric Medical University, Ministry of Healthcare of the Russian Federation
Email: neiyron@mail.ru
Resident Doctor, Department of Pathology of Newborns and Infants
Russian Federation, Saint PetersburgReferences
- Cohen MC, Sprigg A, Whitby EH. Subdural hemorrhage, intradural hemorrhage and hypoxia in the pediatric and perinatal post mortem: are they related? An observational study combining the use of post mortem pathology and magnetic resonance imaging. Forensic Sci Int. 2010;200(1-3):100-107. https://doi.org/10.1016/j.forsciint.2010.03.036.
- Hong HS, Lee JY. Intracranial hemorrhage in term neonates. Childs Nerv Syst. 2018;34(6):1135-1143. https://doi.org/10.1007/s00381-018-3788-8.
- Hogberg U, Andersson J, Squier W, et al. Epidemiology of subdural haemorrhage during infancy: A population-based register study. PLoS One. 2018;13(10):e0206340. https://doi.org/10.1371/journal.pone.0206340.
- Jayawant S, Parr J. Outcome following subdural haemorrhages in infancy. Arch Dis Child. 2007;92(4): 343-347. https://doi.org/10.1136/adc.2005.084988.
- Kelly P, Hayman R, Shekerdemian LS, et al. Subdural hemorrhage and hypoxia in infants with congenital heart disease. Pediatrics. 2014;134(3):e773-781. https://doi.org/10.1542/peds.2013-3903.
- Kemp AM. Investigating subdural haemorrhage in infants. Arch Dis Child. 2002;86(2):98-102. https://doi.org/10.1136/adc.86.2.98.
- Ou-Yang M-C, Huang C-B, Huang H-C, et al. Clinical Manifestations of Symptomatic Intracranial Hemorrhage in Term Neonates: 18 Years of Experience in a Medical Center. Pediatr Neonatol. 2010;51(4):208-213. https://doi.org/10.1016/s1875-9572(10)60040-x.
- Rao P, Carty H, Pierce A. The acute reversal sign: Comparison of medical and non-accidental injury patients. Clin Radiol. 1999;54(8):495-501. https://doi.org/10.1016/s0009-9260(99)90845-0.
- Talbert D. Prenatal Origins of Subdural Hemorrhage/Effusions and Related Seizures: Acute, or Crisis in a Chronic Condition? J Clin Case Rep. 2015;05(07). https://doi.org/10.4172/2165-7920.1000565.
Supplementary files








