Биомоделирование жировой дистрофии печени смешанной этиологии
- Авторы: Брус Т.В.1, Васильев А.Г.1, Кравцова А.А.1, Васильева А.В.1, Брус Ю.С.1, Баннова А.В.2
-
Учреждения:
- Санкт-Петербургский государственный педиатрический медицинский университет
- Крымский федеральный университет им. В.И. Вернадского
- Выпуск: Том 14, № 5 (2023)
- Страницы: 25-31
- Раздел: Оригинальные статьи
- URL: https://journals.eco-vector.com/pediatr/article/view/625940
- DOI: https://doi.org/10.17816/PED625940
- ID: 625940
Цитировать
Аннотация
Актуальность. Основными примерами патологии печени метаболического и токсического генеза являются неалкогольная, алкогольная жировая болезни печени и жировая дистрофия смешанного генеза. В настоящее время, ввиду отсутствия четкого понимания причин и патогенеза гепатопатий неинфекционного генеза, нет эффективных методов профилактики и лечения этих состояний. Ключевую роль в изучении этиологии и механизмов патогенеза играет поиск адекватных экспериментальных моделей печеночной недостаточности.
Цель — разработать, опробовать и оценить экспериментальную модель жировой дистрофии печени смешанного происхождения.
Материалы и методы. Исследование проведено на 30 самцах альбиносах серых крыс Wistar. Подопытные крысы, массой тела на момент включения в эксперимент 180–200 г, в течение 30 дней ежесуточно получали 20 г гранулированного корма для грызунов, в который вводили 6 г кристаллической фруктозы (из расчета 30 % общего рациона), а вместо питьевой воды в свободном доступе в поилке получали 10 % раствор этилового спирта.
Результаты. В экспериментальной группе отмечалось статистически значимое повышение уровня аспартатаминотрансферазы, аланинаминотрансферазы и щелочной фосфатазы, что подтверждает факт развития цитолитического и холестатического синдромов. На аутопсийных препаратах печени зарегистрирована гистологическая картина жировой дистрофии гепатоцитов.
Вывод. Для решения поставленной цели был разработан способ моделирования жировой дистрофии печени смешанного генеза. Высокоуглеводная и насыщенная этанолом диета приводила к быстрому развитию патологических процессов в печени. В ходе исследования была показана целесообразность детального морфологического исследования печени, совместно с учетом данных анамнеза, лабораторных показателей цитолитического и холестатического синдромов для дифференциальной диагностики жировой дистрофии печени различной этиологии.
Ключевые слова
Полный текст
АКТУАЛЬНОСТЬ
Важнейшая задача здравоохранения на современном этапе — разработка и осуществление комплексных научно-обоснованных программ по профилактике и лечению болезней детского и взрослого населения. Одним из приоритетных направлений современной медицины, объединяющим интересы различных специалистов (терапевтов, кардиологов, гастроэнтерологов, эндокринологов), является изучение патогенеза и клинических проявлений жировой дистрофии печени, имеющей широкую распространенность и безусловную социальную значимость [1, 6, 7].
В настоящее время термином «жировая дистрофия печени» (ЖДП) обозначают гетерогенную группу патологических изменений печени, характеризующихся жировой дистрофией гепатоцитов или воспалительной инфильтрацией на фоне жировой дистрофии гепатоцитов. Выделяют следующие стадии ЖДП: стеатоз печени (СП), стеатогепатит (СГ) и цирроз печени.
Основным этиологическим фактором развития СП и СГ остается алкоголь, роль которого прослеживается у 46–65 % пациентов. Накоплены убедительные данные, свидетельствующие, что ожирение, инсулинорезистентность также представляют собой факторы прогрессирования СП и СГ алкогольной и неалкогольной этиологии. Ожирению в развитии стеатогепатитов отводят около 76 % [18]. Одновременное влияние нескольких факторов, таких как алкоголь и ожирение, приводит к незамедлительному развитию СП и СГ у 95 % пациентов [19]. В связи с этим сегодня алкоголь, ожирение и инсулинорезистентность рассматривают как взаимодополняющие факторы поражения печени смешанного генеза [8, 9] или смешанной жировой дистрофии печени (СЖДП) [2, 3].
Особое внимание уделяется метаболическому синдрому, олицетворяющему в настоящее время одну из наиболее приоритетных и социально-значимых проблем как терапии, так и педиатрии [11]. Это обусловлено, в первую очередь, высокой распространенностью и прогрессирующим течением данного заболевания. Ранние осложнения проявляются симптомокомплексом, в который входят задержка темпов физического и полового развития и хроническое нарушение функции печени с формированием ее жировой дистрофии [5, 15].
Биомоделирование дает исследователю практически неограниченные возможности изучения причин болезни, ввиду, в том числе, заведомо известной прямой связи между действующим причинным фактором и развивающейся патологией [4, 13, 16]; в результате становится возможным применить строго контролируемую совокупность воздействующих на организм факторов, в том числе и патогенных, что невозможно осуществить в клинической практике.
Цель данного исследования — разработать, опробовать и оценить экспериментальную модель жировой дистрофии печени смешанного происхождения.
МАТЕРИАЛЫ И МЕТОДЫ
Выбор объекта исследования — крыс линии Wistar — неслучаен, он определен рядом факторов: генетической однородностью, что проявляется постоянством реакций на воздействие физических, химических, стрессорных влияний, а также спецификой морфологических и биохимических показателей и определенным уровнем сходства с таковыми у человека.
Исследование проведено на 30 самцах альбиносах серых крыс Wistar, массой тела на момент включения в исследование 220–240 г, на базе научно-исследовательской лаборатории кафедры патологической физиологии с курсом иммунопатологии ФГБОУ ВО «Санкт-Петербургский государственный педиатрический медицинский университет» Министерства здравоохранения Российской Федерации.
Сформировано две группы животных:
- «Контроль» (n = 15) — здоровые, интактные крысы, у которых производили исследование параметров метаболизма для расчета фоновых, референсных значений («нормальные показатели»).
- «СЖДП» (n = 15) — крысы, которые на протяжении всего эксперимента в качестве корма получали брикеты, содержащие пищевые компоненты в следующих соотношениях (по массе): 31 % — белок, 15 % — животный жир, 30 % — фруктоза, 13 % — целлюлоза, 5 % — минеральные вещества, 1 % — витамины, и вместо питьевой воды 10 % раствор этанола [2].
Подопытные крысы, массой тела на момент включения в эксперимент 180–200 г, в течение 30 дней ежесуточно получали 20 г гранулированного корма для грызунов, в который вводили 6 г кристаллической фруктозы (из расчета 30 % общего рациона), а вместо питьевой воды в свободном доступе в поилке получали 10 % раствор этилового спирта. Режим двигательной активности животных был не ограничен.
С целью оценки метаболических нарушений у экспериментальных животных оценивали: биохимические показатели (концентрацию общего билирубина и прямой его фракции, активность ферментов щелочной фосфатазы, аспартатаминотрансферазы, аланинаминотрансферазы, уровень общего холестерина и триглицеридов). Для подтверждения развития жировой дистрофии гистологическое исследование проводилось методом световой микроскопии, окраска гематоксилином и эозином, увеличение ×40.
Статистический анализ выполнен с помощью программ GraphPadPrism 8. Полученные в ходе работы данные проверены на нормальность распределения. Тип распределения определялся критерием Колмогорова – Смирнова, Шапиро – Уилка. Для сравнения контрольной и экспериментальной групп использовали однофакторный дисперсионный анализ ANOVA, так как выборка соответствует закону нормального распределения. Различия считали статистически значимыми при значении р < 0,05. Для представления полученных данных использовали такие показатели описательной статистики, как среднеарифметическое значение и ошибка среднего. Полноценный и качественный статистический анализ позволил минимизировать количество лабораторных животных в эксперименте.
РЕЗУЛЬТАТЫ
Летальности в группах животных выявлено не было. В группе СЖДП произошло увеличение массы тела животных на 75,5 ± 2,1 г и массы печени, которая составила 12,7 ± 2,3 г, что на 48,5 % больше, чем в контроле (p < 0,05).
В экспериментальной группе СЖДП отмечалось повышение уровня внутриклеточных ферментов: аспартатаминотрансферазы по сравнению с контролем (127,6 ± 8,8 против 101,4 ± 6,5 Ед/л; p < 0,05), аланинаминотрансферазы по сравнению с контролем (39,6 ± 1,5 против 33,3 ± 2,9 Ед/л; p < 0,05). О развившемся синдроме холестаза свидетельствует достоверное повышение уровня щелочной фосфатазы по сравнению с контролем (28,9 ± 2,3 против 18,2 ± 1,3 Ед/л; р = 0,0005). Регистрировалось также достоверное повышение уровня глюкозы по сравнению с контролем (9,4 ± 1 против 5,0 ± 0,4 ммоль/л; р < 0,0001) (рис. 1).
Рис. 1. Изменение биохимических показателей в экспериментальной группе. *Достоверные отличия (р < 0,05). СЖДП — смешанная жировая дистрофия печени
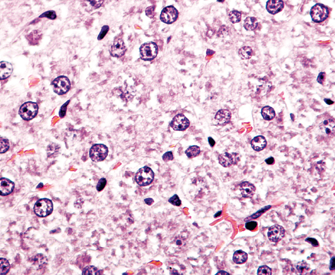
У животных группы СЖДП на гистологических препаратах печени зарегистрировано значимое изменение балочной структуры (рис. 2). Стеатоз смешанного типа (мелко-крупнокапельное ожирение) следует расценивать как мелкокапельный, так как оба эти варианта прогностически менее благоприятны по сравнению с крупнокапельным. Воспалительный инфильтрат внутри долек содержит нейтрофилы, лимфоциты и гистиоциты.
Рис. 2. Жировая дистрофия печени смешанного генеза. Нарушение балочной структуры (биоптат печени, окраска гематоксилином и эозином, ×40)
ОБСУЖДЕНИЕ
Диеты западного стиля, содержащие большое количество жира, фруктозы (или сахарозы) и высокий уровень холестерина широко использовались для создания моделей ЖДП у крыс, поскольку такие диетические особенности были связаны с развитием данной патологии у людей и могут вызывать не только СГ, но также ожирение и инсулинорезистентность [10, 12]. Такие крысиные модели не идеальны, поскольку диетическое питание дорогостоящее и требует увеличения длительности эксперимента.
Этанол традиционно использовался для индуцирования повреждения печени и фиброза у крыс. В этом исследовании мы использовали этанол в качестве «ускорителя» СГ. Таким образом, этанол и западная диета проявляют синергетические эффекты для ускорения формирования СГ [14, 17]. Как и ожидалось, этанол усугубил СП, дольковое воспаление и баллонную дистрофию гепатоцитов, что соответствует аналогичным изменениям у пациентов-людей.
Сочетание двух основных факторов развития жировой болезни печени у человека — гиперкалорийное питание и употребление алкоголя при ежесуточном приеме — позволяют воспроизвести модель в наиболее короткие сроки — 30 дней, при отсутствии случаев летальности в экспериментальных группах. Это минимальный срок, за который происходит развитие жировой болезни печени у крыс.
На лабораторных крысах была разработана модель, которая повторяет гистологическую картину ЖДП. Функциональные пути метаболических нарушений в этой модели очень похожи на таковые при заболевании у человека. Простота, скорость и воспроизводимость этой модели делают ее идеальной для изучения патогенеза заболеваний и тестирования новых методов лечения.
ВЫВОДЫ И ЗАКЛЮЧЕНИЕ
- Предложенный способ моделирования СЖДП отражает наиболее важные этиологические факторы и механизмы формирования патологии печени, позволяет сократить сроки эксперимента и дает 100 % воспроизводимость у подопытных животных. Он не сложен в техническом воспроизведении и создает условия для проведения оригинальных и имеющих важное практическое значение для гепатологии и экспериментальной медицины работ.
- Предложенная крысиная модель СЖДП демонстрирует быстрое прогрессирование СГ и имитирует гистологические и биохимические особенности человеческого СГ, предполагая, что она станет полезным экспериментальным инструментом для доклинического тестирования фармакологических препаратов.
Разработанная в ходе исследования модель ЖДП может быть использована в дальнейших фундаментальных исследованиях по изучению патогенеза этой патологии и служить теоретическим обоснованием целесообразности фармакологической коррекции у подопытных животных, которое в последствии возможно экстраполировать на человека.
ДОПОЛНИТЕЛЬНАЯ ИНФОРМАЦИЯ
Вклад авторов. Все авторы внесли существенный вклад в разработку концепции, проведение исследования и подготовку статьи, прочли и одобрили финальную версию перед публикацией.
Источник финансирования. Авторы заявляют об отсутствии внешнего финансирования при проведении исследования.
Конфликт интересов. Авторы декларируют отсутствие явных и потенциальных конфликтов интересов, связанных с публикацией настоящей статьи.
Этический комитет. Протокол исследования был одобрен локальным этическим комитетом ФГБОУ ВО «Санкт-Петербургский государственный педиатрический медицинский университет» Минздрава России (протокол № 09/04 от 11.02.2022).
ADDITIONAL INFORMATION
Authors’ contribution. Thereby, all authors made a substantial contribution to the conception of the study, acquisition, analysis, interpretation of data for the work, drafting and revising the article, final approval of the version to be published, and agree to be accountable for all aspects of the study.
Funding source. This study was not supported by any external sources of funding.
Competing interests. The authors declare that they have no competing interests.
Ethics approval. The present study protocol was approved by the local of St. Petersburg State Pediatric Medical University of the Russian Ministry of Health (Protocol No. 09/04, 2022 Feb 11).
Об авторах
Татьяна Викторовна Брус
Санкт-Петербургский государственный педиатрический медицинский университет
Автор, ответственный за переписку.
Email: bant.90@mail.ru
ORCID iD: 0000-0001-7468-8563
SPIN-код: 9597-4953
канд. мед. наук, доцент кафедры патологической физиологии с курсом иммунопатологии
Россия, Санкт-ПетербургАндрей Глебович Васильев
Санкт-Петербургский государственный педиатрический медицинский университет
Email: avas7@mail.ru
ORCID iD: 0000-0002-8539-7128
SPIN-код: 1985-4025
д-р мед. наук, профессор, заведующий кафедрой патологической физиологии с курсом иммунопатологии
Россия, Санкт-ПетербургАлефтина Алексеевна Кравцова
Санкт-Петербургский государственный педиатрический медицинский университет
Email: aleftinakravcova@mail.ru
ORCID iD: 0000-0002-0657-3390
SPIN-код: 6762-1182
канд. биол. наук, доцент кафедры патологической физиологии с курсом иммунопатологии
Россия, Санкт-ПетербургАнна Валентиновна Васильева
Санкт-Петербургский государственный педиатрический медицинский университет
Email: a-bondarenko@yandex.ru
ORCID iD: 0009-0008-2356-1552
SPIN-код: 5333-0144
ассистент кафедры патологической физиологии с курсом иммунопатологии
Россия, Санкт-ПетербургЮрий Сергеевич Брус
Санкт-Петербургский государственный педиатрический медицинский университет
Email: brusyury@gmail.com
ORCID iD: 0009-0004-8932-8076
студент 1-го курса магистратуры по специальности «Общественное здоровье и здравоохранение»
Россия, Санкт-ПетербургАнастасия Викторовна Баннова
Крымский федеральный университет им. В.И. Вернадского
Email: bannova06@list.ru
ORCID iD: 0009-0007-6867-9477
студентка 1-го курса 1-го медицинского факультета, Ордена Трудового Красного Знамени Медицинский институт им. С.И. Георгиевского
Россия, СимферопольСписок литературы
- Брус Т.В., Васильев А.Г. Современное представление о неалкогольной болезни печени // Российские биомедицинские исследования. 2020. Т. 5, № 1. С. 18–25.
- Патент РФ на изобретение № 2757199/ 12.10.2021. Бюл. № 29. Брус Т.В., Васильев А.Г., Трашков А.П., и др. Способ моделирования жировой болезни печени смешанного генеза у крыс.
- Брус Т.В., Евграфов В.А. Патофизиология печеночной недостаточности // Педиатр. 2022. Т. 13, № 3. С. 55–64. doi: 10.17816/PED13355-64
- Ким А.Е., Шустов Е.Б., Цыган В.Н., и др. Метаболические эффекты длительного воздействия волнообразного кислородного голодания умеренной степени тяжести // Российские биомедицинские исследования. 2023. Т. 8, № 2. С. 4–11. doi: 10.56871/RBR.2023.46.59.001
- Новиков В.С., Шанин В.Ю., Акылбеков И.К., и др. Гипоксия. Адаптация, патогенез, клиника. Санкт-Петербург: Элби-СПб, 2000. 384 с.
- Савченко Я.В., Сергиевская З.А., Лопатиева С.О. Неалкогольная жировая дегенерация печени у людей различных возрастных групп: современный взгляд на проблему // Университетский терапевтический вестник. 2022. Т. 4, № 1. С. 11–21. doi: 10.56871/4338.2022.10.13.002
- Трашков А.П., Брус Т.В., Васильев А.Г., и др. Биохимический профиль крыс с неалкогольной жировой болезнью печени различной степени тяжести и его коррекция препаратом Ремаксол // Педиатр. 2017. Т. 8, № 4. С. 78–85. doi: 10.17816/PED8478-85
- Åberg F., Puukka P., Salomaa V., et al. Risks of light and moderate alcohol use in fatty liver disease: follow-up of population cohorts // Hepatology. 2020. Vol. 71, No. 3. P. 835–848. doi: 10.1002/hep.30864
- De Alwis N.M.W., Day C.P. Nonalcoholic fatty liver disease: The mist gradually clears // J Hepatol. 2008. Vol. 48, No. S1. P. 104–112. doi: 10.1016/j.jhep.2008.01.009
- Boyle M., Masson S., Anstee Q.M. The bidirectional impacts of alcohol consumption and the metabolic syndrome: cofactors for progressive fatty liver disease // J Hepatol. 2018. Vol. 68, No. 2. P. 251–267. doi: 10.1016/j.jhep.2017.11.006
- Chang Y., Cho Y.K., Kim Y., et al. Nonheavy drinking and worsening of noninvasive fibrosis markers in nonalcoholic fatty liver disease: a cohort study // Hepatology. 2019. Vol. 69, No. 1. P. 64–75. doi: 10.1002/hep.30170
- Cotrim H.P., Parise E.R., Oliveira C.P.M.S., et al. Nonalcoholic fatty liver disease in Brazil. Clinical and histological profile // Ann Hepatol. 2011. Vol. 10, No. 1. P. 33–37. doi: 10.1016/S1665-2681(19)31584-4
- Lassale C., Tzoulaki I., Moons K.G.M., et al. Separate and combined associations of obesity and metabolic health with coronary heart disease: a pan-European case-cohort analysis // Eur Heart J. 2018. Vol. 39, No. 5. P. 397–406. doi: 10.1093/eurheartj/ehx448
- Lomonaco R., Ortiz-Lopez C., Orsak B., et al. Effect of adipose tissue insulin resistance on metabolic parameters and liver histology in obese patients with nonalcoholic fatty liver disease // Hepatology. 2012. Vol. 55, No. 5. P. 1389–1397. doi: 10.1002/hep.25539
- Mitra S., De A., Chowdhury A. Epidemiology of non-alcoholic fatty liver diseases // Transl Gastroenterol Hepatol. 2020. Vol. 5. ID 16. doi: 10.21037/tgh.2019.09.08
- Rich N.E., Oji S., Mufti A.R., et al. Racial and ethnic disparities in nonalcoholic fatty liver disease prevalence, severity, and outcomes in the United States: a systematic review and meta-analysis // Clin Gastroenterol Hepatol. 2018. Vol. 16, No. 2. P. 198–210. doi: 10.1016/j.cgh.2017.09.041
- Romero-Gomez M., Zelber-Sagi S., Trenell M. Treatment of NAFLD with diet, physical activity and exercise // J Hepatol. 2017. Vol. 67, No. 4. P. 829–846. doi: 10.1016/j.jhep.2017.05.016
- Winkler T.W., Gunther F., Hollerer S., et al. A joint view on genetic variants for adiposity differentiates subtypes with distinct metabolic implications // Nat Commun. 2018. Vol. 9, No. 1. ID 1946. DОI: 10.1038/s41467-018-04124-9
- Younossi Z.M., Stepanova M., Ong J., et al. Effects of alcohol consumption and metabolic syndrome on mortality in patients with non-alcoholic and alcohol-related fatty liver disease // Clin Gastroenterol Hepatol. 2018. Vol. 17, No. 8. P. 1625–1633. doi: 10.1016/j.cgh.2018.11.033
Дополнительные файлы






