Гипертрофия большого вертела и вертельно-тазовый импинджмент-синдром у детей (причины формирования, рентгеноанатомическая характеристика)
- Авторы: Поздникин И.Ю.1, Басков В.Е.1, Барсуков Д.Б.1, Бортулёв П.И.1, Краснов А.И.1
-
Учреждения:
- ФГБУ «Научно-исследовательский детский ортопедический институт им. Г.И. Турнера» Минздрава России
- Выпуск: Том 7, № 3 (2019)
- Страницы: 15-24
- Раздел: Оригинальные исследования
- Статья получена: 21.02.2019
- Статья одобрена: 18.06.2019
- Статья опубликована: 02.10.2019
- URL: https://journals.eco-vector.com/turner/article/view/11188
- DOI: https://doi.org/10.17816/PTORS7315-24
- ID: 11188
Цитировать
Аннотация
Обоснование. Одна из наиболее распространенных проблем при лечении детей с различной патологией тазобедренного сустава заключается в развитии многоплоскостных деформаций проксимального отдела бедренной кости, включающих гипертрофию большого вертела (relative overgrowth of the greater trochanter, ROGT) — его высокое положение относительно головки бедра, вплоть до развития вертельно-тазового импинджмент-синдрома (trochanteric-pelvic impingement, TPI) в дальнейшем.
Цель — уточнить причины формирования и охарактеризовать рентгеноанатомические изменения у детей с гипертрофией большого вертела (ROGT).
Материалы и методы. Настоящее исследование основано на анализе результатов обследования 350 детей в возрасте от 3 до 17 лет с формирующимся высоким положением большого вертела в результате различных заболеваний тазобедренного сустава. Из них у 56 детей (112 суставов) подробно рассмотрены рентгенологические показатели, характеризующие изменение роста большого вертела относительно головки и шейки бедра.
Результаты. Наиболее часто гипертрофия большого вертела отмечалась у детей с последствиями ишемических нарушений, возникших при консервативном лечении дисплазии тазобедренных суставов и врожденного вывиха бедра, а также вследствие перенесенного гематогенного остеомиелита. Выявлена закономерность уменьшения в динамике показателя ATD (articulo-trochanteric distance) в пораженных тазобедренных суставах (p < 0,05); при этом значения величины TTD (trochanter-to-trochanter distance), характеризующей изолированный рост большого вертела и в норме и при патологии, практически не отличались (p > 0,05).
Заключение. Причинами формирования гипертрофии большого вертела является ишемическое поражение зон роста эпифиза и шейки бедренной кости различной этиологии. Рентгеноанатомические изменения характеризуются прогрессирующим укорочением шейки бедра: относительно умеренно выраженные у детей дошкольного возраста, с ростом ребенка они обусловливают хроническую взаимную травматизацию компонентов тазобедренного сустава.
Полный текст
Обоснование
Последние пятнадцать лет в специализированной литературе все больше внимания уделяют так называемому фемороацетабулярному импинджменту — патомеханическому процессу хронической травматизации labrum acetabulae, или края вертлужной впадины, головкой или шейкой бедренной кости. Фемороацетабулярный импинджмент считают одной из основных причин болей и развития раннего коксартроза [1–3]. Продолжение исследований в этой области позволило выделить в отдельные группы и другие, в частности, внесуставные факторы, которые могут обусловливать взаимную травматизацию компонентов тазобедренного сустава и способствовать прогрессированию артроза тазобедренного сустава. Среди них можно отметить: ischiofemoral impingement (IFI) — конфликт малого вертела и седалищной кости; subspine impingement (SSI) — конфликт между передненижней подвздошной остью и шейкой бедра при его сгибании; iliopsoas impingement (IPI) — механический конфликт между m. iliopsoas и labrum acetabulae; pectineofoveal impingement (PFI) — конфликт медиальной синовиальной складки и labrum acetabulae [4–6].
Одна из наиболее распространенных проблем при лечении детей с различной патологией тазобедренного сустава заключается в формировании многоплоскостных деформаций проксимального отдела бедренной кости, включающих гипертрофию большого вертела — его высокое положение относительно головки бедра. В англоязычной литературе такое состояние получило название relative overgrowth of the greater trochanter (ROGT). В процессе роста ребенка возникают нарушения биомеханики тазобедренного сустава, что приводит к хромоте вследствие дисфункции ягодичных мышц, ограничению движений в тазобедренном суставе и в ряде случаев — к прогрессирующей децентрации головки бедра, усугубляя нарушения соотношений в тазобедренном суставе, а также к развитию болевого синдрома и коксартроза. У взрослых пациентов совокупность подобных клинических и рентгенологических нарушений складывается в развернутую картину так называемого вертельно-тазового конфликта (импинджмента) ((greater) trochanteric-pelvic impingement (G)TPI). В отличие от фемороацетабулярного импинджмента, ранние критерии постановки диагноза вертельно-тазового конфликта у детей пока не сформулированы [4, 5, 7–10].
В нашей работе мы попытались проанализировать предпосылки развития этого патологического состояния. Частота встречаемости ROGT у детей, а также немногочисленные публикации по данной проблеме обусловливают актуальность исследования.
Цель исследования — уточнить причины формирования и охарактеризовать рентгеноанатомические изменения у детей с гипертрофией большого вертела (ROGT).
Материал и методы исследования
По данным архивного материала (истории болезни, рентгенограммы, компьютерные томограммы) НИДОИ им. Г.И. Турнера ретроспективно изучено развитие тазобедренных суставов у 350 детей в возрасте от 3 до 17 лет с формирующимся высоким положением большого вертела в результате различных заболеваний тазобедренного сустава, получавших лечение в отделении патологии тазобедренного сустава с 2002 по 2017 г. По возрастному признаку пациенты были разделены на две группы: I группа — дошкольный возраст (3–7 лет) — 156 детей; II группа — школьный возраст (8–17 лет) — 194 ребенка.
Критерии включения: формирующиеся многоплоскостные деформации проксимального отдела бедренной кости с высоким положением большого вертела, при котором его верхушка расположена выше центра головки бедра; изменения структуры шейки бедра, сопровождающиеся ее укорочением.
Критерии исключения: нарушение соотношений в тазобедренном суставе в виде вывиха бедра на момент обследования, пациенты с варусной деформацией шейки бедренной кости (шеечно-диафизарный угол < 120°), последствиями хирургических вмешательств, травм, рахита, ревматоидного артрита; неврологические нарушения и скелетные системные дисплазии.
Методы исследования включали в себя оценку жалоб, выяснение анамнеза заболевания, клиническое обследование по общепринятым методикам, а также лучевое (рентгенологическое и компьютерно-томографическое) обследование. При рентгенологическом и компьютерно-томографическом обследовании оценивали типичные показатели тазобедренного сустава, характеризующие форму и размеры тазового и бедренного компонентов сустава и их соотношения (ацетабулярный индекс, угол Шарпа, угол толщины дна вертлужной впадины, шеечно-диафизарный угол, угол антеверзии шейки бедра, угол Виберга, степень костного покрытия головки бедра) [11]. Полученные данные использовали для планирования хирургического вмешательства.
У всех 350 наблюдаемых пациентов показатель отношения верхушки большого вертела к центру головки бедренной кости принимал патологические значения, что служило основным критерием включения в исследование. Для подробного анализа происходящих анатомических изменений мы изучили дополнительные показатели, характеризующие соотношения головки бедра и большого вертела во фронтальной плоскости у 56 обследованных пациентов (112 тазобедренных суставов). Из них развитие 48 (42,9 %) суставов было нормальным (при одностороннем поражении) (рис. 1).
Рис. 1. Показатели, характеризующие соотношения головки бедра и большого вертела во фронтальной плоскости (McCarthy J.J., Weiner D.S., 2008, с изменениями) [12]. ATD — артикуло-трохантерная дистанция; TTD — межвертельное расстояние; LTA — расстояние от малого вертела до верхнего полюса головки бедра
Этими показателями являлись:
а) артикуло-трохантерная дистанция (articulo-trochanteric distance, ATD) — расстояние от верхушки большого вертела до верхнего полюса головки бедра (мм);
б) межвертельное расстояние (trochanter-to-trochanter distance, TTD) — расстояние от верхушки большого вертела до середины малого вертела вдоль линии, параллельной анатомической оси бедренной кости. Показатель отражает рост большого вертела и не зависит от роста эпифиза;
в) расстояние от малого вертела до верхнего полюса головки бедра (lesser trochanter-to-articular surface distance, LTA). Показатель отражает рост эпифиза и шейки бедренной кости и не зависит от роста большого вертела.
Статистический анализ осуществляли в программах Excel 2016 и Статистика 10. Полученные данные обрабатывали с использованием статистических методов, включающих оценку среднего арифметического и среднеквадратического отклонения. Уровень значимости различий оценивали с помощью непараметрического критерия U Манна – Уитни с достоверностью не менее p < 0,05, а корреляционный анализ проводили с использованием критерия Пирсона.
Результаты обследования
У детей первой возрастной группы с учетом отсутствия нарушения стабильности тазобедренного сустава клиническая картина была скудна. Жалобы были минимальными или отсутствовали. Типичными клиническими проявлениями формирующегося ROGT при одностороннем поражении были укорочение конечности (0,8 ± 0,6 см); амплитуда движений в суставе была изменена мало — наблюдалось умеренное ограничение отведения бедра (25 ± 5°). Слабоположительный симптом Тренделенбурга выявлен у 13 (8,3 %) детей.
У детей второй возрастной группы укорочение конечности было более выраженным (1,5 ± 1,1 см), прогрессировали ограничение отведения бедра (10 ± 5°), ограничение разгибания бедра (5 ± 5°) и ограничение внутренней ротации (20 ± 15°). Большая часть — 147 (76 %) — больных этой группы предъявляли жалобы на боли по боковой и заднебоковой поверхности области тазобедренного сустава после физической нагрузки и в крайних положениях отведения, разгибания и ротации бедра. Положительный импиджмент-тест в тазобедренном суставе выявлен у 109 (56 %) детей, положительный симптом Тренделенбурга — у 157 (81 %). При двустороннем поражении отмечался гиперлордоз поясничного отдела позвоночника, а походка приобретала характер переваливающейся. У 17 (9 %) больных старше 15 лет выявлен положительный симптом «рычага переключения передач» — ограничение пассивного отведения бедра при разгибании в тазобедренном суставе и практически нормальное отведение при сгибании бедра.
Изучение анамнеза жизни и рентгенологической картины позволило выявить заболевания, в результате которых развилась деформация проксимального отдела бедра у обследованных пациентов (рис. 2).
Рис. 2. Распределение исследуемых пациентов по нозологическим формам. ТБС — тазобедренный сустав; ЮЭГБК — юношеский эпифизеолиз головки бедренной кости
Такими заболеваниями в нашем случае являлись:
1) последствия ишемического некроза головки бедренной кости как осложнения консервативного лечения при дисплазии тазобедренных суставов и врожденном вывихе бедра —143 (40,9 %) ребенка (рис. 3);
Рис. 3. Рентгенограммы пациентки Ш. Формирование многоплоскостной деформации проксимального отдела бедренной кости с высоким положением большого вертела после перенесенного аваскулярного некроза головки бедренной кости (справа — IV типа, слева — II типа по Kalamchi и MacEwen). В анамнезе — консервативное лечение по поводу врожденного вывиха бедра с двух сторон: а — в возрасте 1 года 2 месяцев; б — в возрасте 3 лет 9 месяцев; в — в возрасте 11 лет
2) последствия гематогенного остеомиелита (септического артрита) — 101 (28,9 %) ребенок. В эту группу также вошли пациенты, перенесшие внутриутробные инфекции и хирургические вмешательства на первом году жизни по поводу врожденных пороков сердца, атрезии пищевода, кишечной непроходимости, трахеопищеводных свищей, осложнившиеся инфекционным поражением тазобедренных суставов (рис. 4);
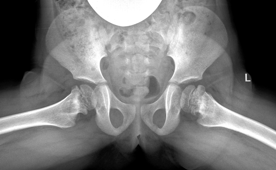
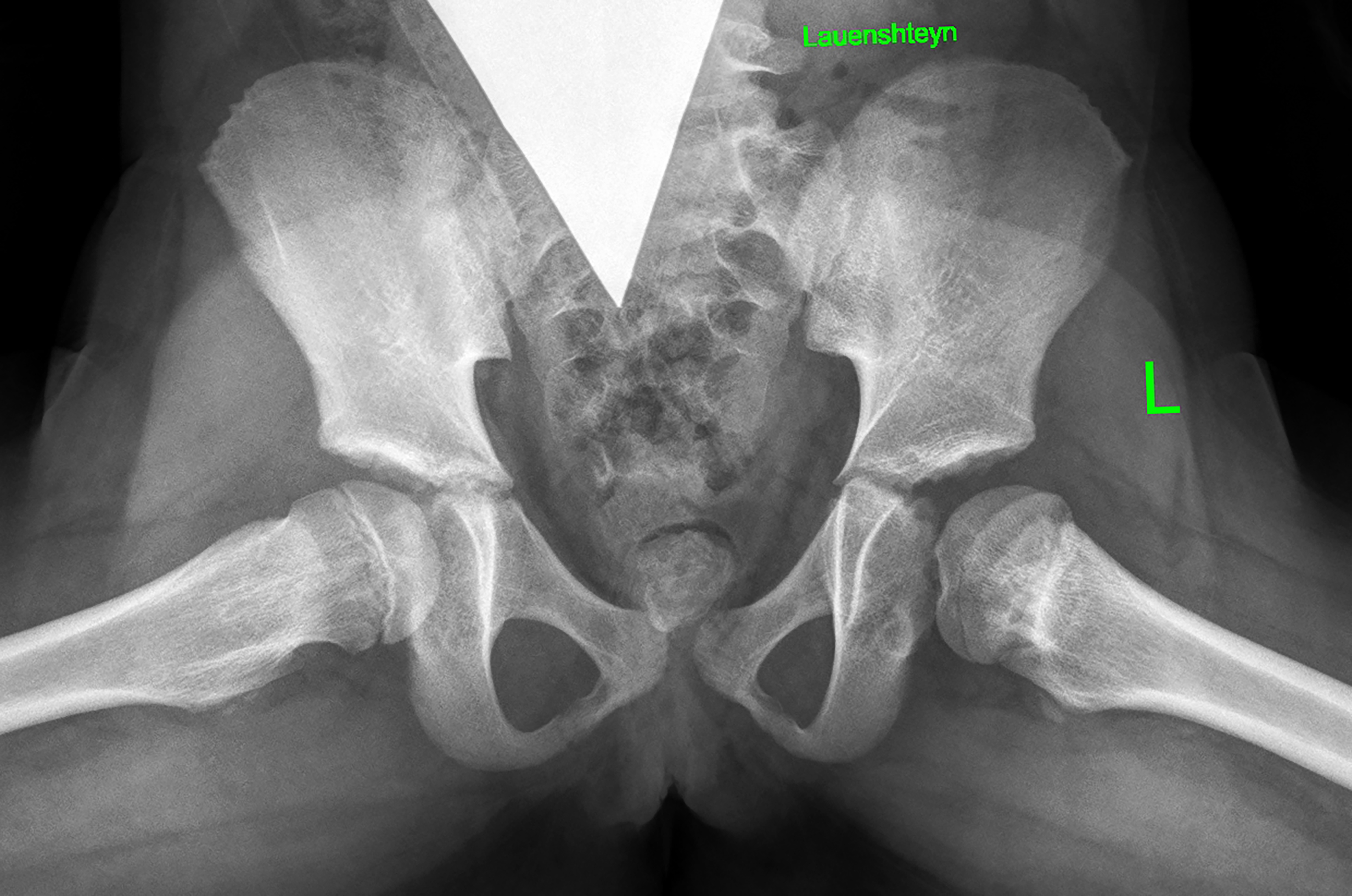
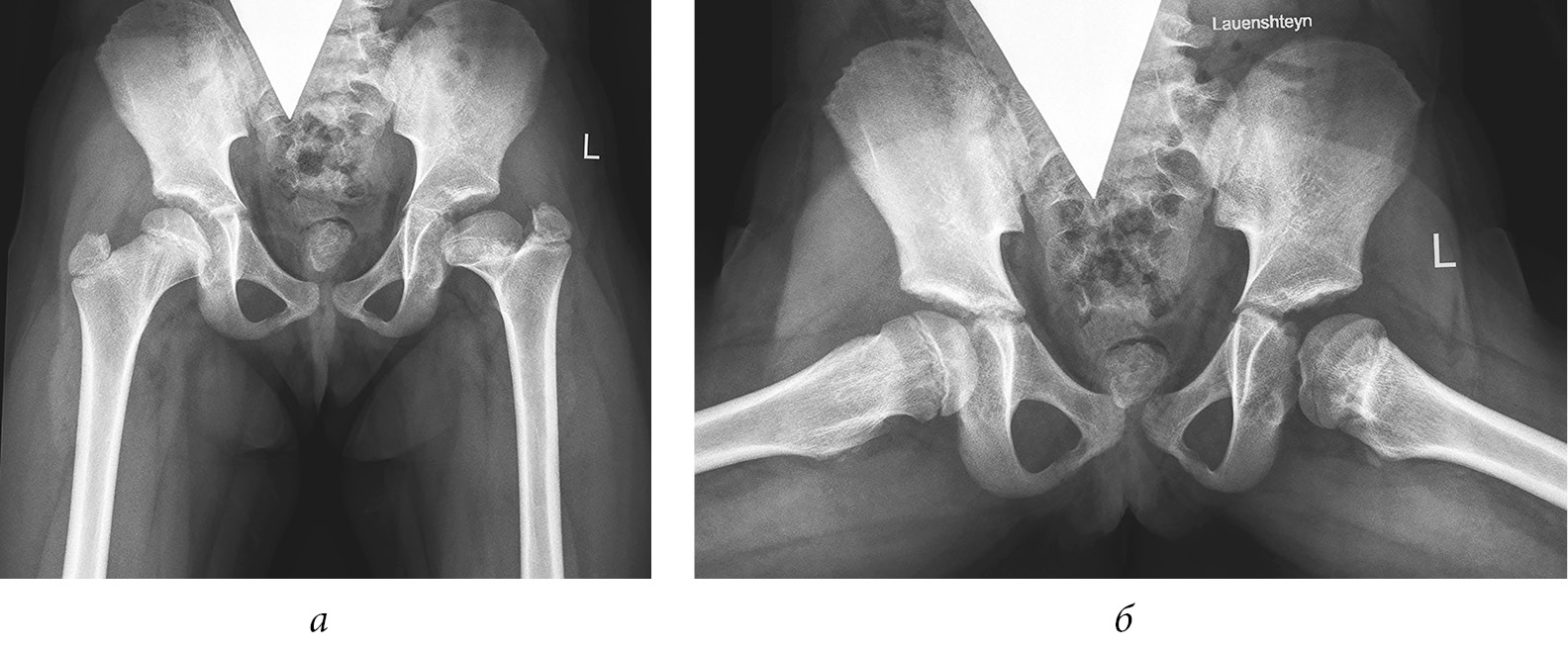
Рис. 4. Рентгенограммы пациентки Ж., 7 лет. Последствия гематогенного остеомиелита — многоплоскостная деформация проксимального отдела бедренной кости с высоким положением большого вертела слева: а — прямая проекция; б — проекция по Лауэнштейну
3) последствия болезни Пертеса с тотальным и субтотальным поражением эпифиза — 63 (18 %) ребенка. Это были пациенты, не получавшие лечения и/или перенесшие болезнь на ногах с развитием coxa plana в стадии исхода заболевания;
4) последствия юношеского эпифизеолиза головки бедренной кости — 38 (10,9 %) детей. Высокое положение большого вертела было обусловлено как остаточным смещением эпифиза головки бедра кзади и книзу, так и ранним закрытием его зоны роста в процессе течения заболевания;
5) другие причины — 5 (1,3 %) детей. В эту группу вошли пациенты с неуточненной или редкой причиной поражения тазобедренных суставов, например, вследствие применения метода экстракорпоральной мембранной оксигенации в периоде новорожденности [13] (рис. 5).
Рис. 5. Рентгенограммы пациентки Г., 4 года. Формирующееся высокое положение большого вертела с двух сторон, дистрофические изменения шейки бедренной кости. Случайная находка на рентгенограмме, выполненной в 3 года в связи с проявлениями транзиторного синовита тазобедренных суставов после перенесенной острой респираторной вирусной инфекции: а — прямая проекция; б — проекция по Лауэнштейну
Результаты рентгенологического исследования
Рентгенологическая картина в исследуемых группах больных зависела прежде всего от характера основного заболевания. При дисплазии тазобедренных суставов она включала дефицит покрытия головки бедра вертлужной впадиной (уменьшение степени костного покрытия и угла Виберга), изменение шеечно-диафизарного угла и угла антеверзии шейки бедра; в ряде случаев — утолщение дна. При болезни Пертеса отмечалось ухудшение рентгенологических показателей стабильности сустава, прежде всего из-за сформировавшейся деформации головки бедра — развития coxa magna, coxa plana. Более разнообразные и нередко грубые деформации головки и шейки бедра отмечены при последствиях септического артрита.
Несмотря на полиэтиологичность представленных групп пациентов, у всех обследуемых детей рентгенологические нарушения были сходными — показатель отношения верхушки большого вертела к центру головки бедренной кости принимал патологические значения. В рамках данной работы мы подробнее останавливаемся на индексах, характеризующих изменения роста большого вертела относительно головки и шейки бедра. Для уточнения динамики изменений рентгенологических показателей проксимального отдела бедренной кости были проанализированы цифровые рентгенограммы 56 обследованных больных (112 суставов), выполненных с соблюдением правильного масштабирования, в том числе при помощи калибровочного объекта для получения корректных данных (рис. 6).
Рис. 6. Пример рентгенометрического анализа показателей, характеризующих изменения положения большого вертела относительно головки и шейки бедра. ATD — артикуло-трохантерная дистанция; TTD — межвертельное расстояние; LTA — расстояние от малого вертела до верхнего полюса головки бедра
По данным литературы, нормальное положение верхушки большого вертела по отношению к центру (С) головки бедренной кости у детей составляет от 5 мм выше точки С до 15 мм ниже ее [14]. В результате проведенных измерений установлено, что в норме в тазобедренном суставе ребенка значения показателя ATD практически не меняются с возрастом в исследуемых группах и составляют 19,0 ± 3,2 (9,5–26,6) мм (табл. 1).
Таблица 1
Показатели ATD, TTD, LTA у исследуемых пациентов
Показатель | Норма | Патология | ||||
Группы | ||||||
все пациенты | дошкольники | школьники | все пациенты | дошкольники | школьники | |
ATD ((M ± SD) мм) (min-max) | 19,0 ± 3,2 (9,5–26,6) | 20,8 ± 1,3 (17,9–23,2) | 18,0 ± 3,5 (9,5–26,6) | –0,2 ± 8,9* ((–)22,4–14,0) | 5,1 ± 5,5* ((–)3,8–11,4) | (–)2,3 ± 9,2* ((–)22,4–14,0) |
TTD ((M ± SD) мм) (min-max) | 50,4 ± 13,4 (28,8–72,6) | 35,3 ± 5,6 (28,8–42,7) | 55,1 ± 11,5 (33,6-72,6) | 50,6 ± 13,9 (30,3–70,5) | 35,6 ± 4,5 (30,3–43,9) | 56,7 ± 11,7 (33,1–70,5) |
LTA ((M ± SD) мм) (min-max) | 68,9 ± 13,5 (49,6–89,8) | 56,3 ± 6,3 (49,6–65,6) | 72,8 ± 12,8 (50,8–89,8) | 50,4 ± 10,2* (34,8–73,5) | 41,8 ± 6,1* (34,8–51,0) | 54,0 ± 9,5* (37,8–73,5) |
Примечание. ATD — артикуло-трохантерная дистанция; TTD — межвертельное расстояние; LTA — расстояние от малого вертела до верхнего полюса головки бедра. * достоверные различия показателей ATD и LTA в норме и при патологии (p < 0,05).
Значения TTD и LTA с возрастом в норме увеличиваются от 28,8 до 72,6 мм и от 49,6 до 89,8 мм соответственно. Эти показатели синхронно изменяются в зависимости от возраста ребенка (p > 0,05) (рис. 7).
Рис. 7. График величин ATD, TTD, LTA в зависимости от возраста для нормальных тазобедренных суставов. ATD — артикуло-трохантерная дистанция; TTD — межвертельное расстояние; LTA — расстояние от малого вертела до верхнего полюса головки бедра
В I группе детей дошкольного возраста средние значения ATD составили 5,1 ± 5,5; TTD — 35,9 ± 4,5; LTA — 41,8 ± 6,0 мм, что можно охарактеризовать как патологические изменения средней степени выраженности — значения показателя ATD в этой группе в большинстве случаев находились в положительном диапазоне величин (рис. 8, см. табл. 1).
Рис. 8. График величин ATD, TTD, LTA в зависимости от возраста для поврежденных тазобедренных суставов. ATD — артикуло-трохантерная дистанция; TTD — межвертельное расстояние; LTA — расстояние от малого вертела до верхнего полюса головки бедра
Во II группе детей школьного возраста с пораженным тазобедренным суставом наблюдалась та же динамика по изучаемым показателям, однако рентгенологические изменения были более выраженными, особенно у детей старше 10 лет. Значения ATD составили (–)2,3 ± 9,2 мм; TTD — 45,7 ± 11,7 мм; LTA — 54,0 ± 9,5 мм (см. рис. 8, табл. 1).
В нормальном тазобедренном суставе численно большим показателем из перечисленных является LTA. При выраженной гипертрофии большого вертела величина ATD принимала отрицательные значения, а показатель TTD становился больше LTA. Как видно на графике, это было характерно для подростков при сформировавшейся к окончанию роста деформации (рис. 9).
Рис. 9. Рентгенограмма пациента Б., 13 лет. Диагноз: «Состояние после консервативного лечения врожденного подвывиха бедра с двух сторон — последствия асептического некроза головки и шейки бедренной кости, высокое положение большого вертела». Вертельно-тазовый конфликт обусловлен выраженными анатомическими нарушениями, которые сопровождаются характерной клинической картиной и болевым синдромом
У детей с показателем ATD 0 и менее положительный симптом Тренделенбурга обнаружен в 87 % случаев. В дальнейшем у этих пациентов отмечались и клинические признаки вертельно-тазового конфликта — боль при отведении, разгибании и ротации бедра. При сравнении показателя ATD в норме и при патологии выявлена закономерность его уменьшения в динамике с ростом ребенка в пораженных тазобедренных суставах (рис. 10).
Рис. 10. Графики динамики показателя ATD в норме и при патологии в зависимости от возраста. ATD — артикуло-трохантерная дистанция
При этом значения показателя TTD, характеризующего изолированный рост большого вертела, и в норме, и при патологии практически не отличались (p > 0,05) (рис. 11).
Рис. 11. Графики динамики показателя TTD в норме и при патологии в зависимости от возраста. TTD — межвертельное расстояние
Полученные данные подтверждают, что истинной гипертрофии большого вертела как таковой не происходит; его пластинка роста остается интактной; наблюдается только замедление продольного роста шейки бедренной кости.
Обсуждение
Нормальное формирование проксимального отдела бедренной кости обеспечивается генетически запрограммированной содружественной функцией трех зон роста: эпифиза головки бедра, верхнего края шейки и большого вертела [15]. Любое неблагоприятное воздействие на одну из этих зон роста нарушает процесс нормального развития проксимального отдела бедренной кости. Вне зависимости от нозологической формы заболевания механизм развития деформации будет сходным. В результате повреждения происходит угнетение одного участка зоны роста кости и нормального функционирования другого, в результате чего формируются многоплоскостные деформации проксимального отдела бедренной кости. Анатомическая особенность тазобедренного сустава ребенка состоит в том, что наиболее уязвимыми являются эпифизарная и верхняя шеечная зоны роста — те отделы бедренной кости, которые кровоснабжаются медиальной и латеральной артериями, огибающими бедренную кость, и заключены в капсулу сустава. Напротив, кровоснабжение и функция экстракапсулярной зоны роста большого вертела не нарушается, он формируется правильно.
В наших наблюдениях наиболее часто деформация развивалась в результате осложнений при лечении дисплазии тазобедренных суставов и врожденного вывиха бедра. По данным литературы и собственным наблюдениям, только относительно легкие повреждения, соответствующие первому типу остеонекроза по классификации Kalamchi и MacEwen (1980), в последующем, в процессе роста, не будут сопровождаться развитием той или иной деформации шейки бедра и гипертрофии большого вертела [9, 10, 15, 16]. На практике данную классификацию остеонекроза можно использовать для прогнозирования развития и вида деформации проксимального отдела бедра.
Анатомо-биомеханические нарушения в тазобедренном суставе при ROGT заключаются в сближении точек прикрепления ягодичных мышц, что приводит к снижению их сократительной способности, нарушению взаимодействия плеч рычагов веса тела и ягодичных мышц, увеличению контактного давления на суставные поверхности. Клинически это проявляется усталостью при ходьбе и прогрессирующей походкой Тренделенбурга [17, 18]. Процесс формирования деформации происходит постепенно, в течение длительного времени и характеризуется прогредиентным течением. Уменьшение расстояния между большим вертелом, хрящевым краем вертлужной впадины и подвздошной костью приводит к их механическому конфликту сначала при отведении и разгибании бедра, а в тяжелых случаях и в среднем положении [19, 20]. Формирующееся высокое положение большого вертела у ребенка служит анатомическим субстратом развития вертельно-тазового импиджмент-синдрома — симптомокомплекса хронической травматизации большого вертела и хрящевого края вертлужной впадины, сопровождающегося дисфункцией ягодичных мышц и нарушением походки, а также болевым синдромом. В наших наблюдениях клиническая картина вертельно-тазового импинджмент-синдрома была характерна для детей старше 10 лет, что требовало выполнения радикального хирургического вмешательства.
Заключение
- Причинами формирования высокого положения большого вертела у детей является ишемическое повреждение зон роста эпифиза и шейки бедренной кости различной этиологии.
Рентгеноанатомические изменения заключаются в прогрессирующем укорочении шейки бедра, при этом динамика роста большого вертела остается постоянной и достоверно не отличается в норме и при патологии.
- Процесс формирования высокого положения большого вертела без нарушения стабильности сустава у детей дошкольного возраста характеризуется скудной клинической картиной и относительно умеренно выраженными рентгеноанатомическими изменениями. К моменту манифестации клинических проявлений у детей школьного возраста в виде нарушения походки и болевого синдрома высокое положение большого вертела уже служит причиной хронической взаимной травматизации компонентов тазобедренного сустава.
- Все дети, перенесшие ишемический некроз проксимального отдела бедренной кости, даже без признаков нарушения стабильности тазобедренного сустава, нуждаются в динамическом наблюдении для выбора оптимальных сроков коррекции формирующейся деформации в случае необходимости.
Дополнительная информация
Источник финансирования. Работа проведена в рамках выполнения Государственного задания Министерства здравоохранения Российской Федерации № АААА-А18-118122690158-2.
Конфликт интересов. Авторы декларируют отсутствие явных и потенциальных конфликтов интересов, связанных с публикацией настоящей статьи.
Этическая экспертиза. Исследование выполнено в соответствии с этическими стандартами Хельсинкской декларации Всемирной медицинской ассоциации с поправками Минздрава России и одобрено этическим комитетом ФГБУ «НИДОИ им. Г.И. Турнера» Минздрава России (протокол № 4 от 27.11.2018). Представители пациентов подписали информированное согласие на участие в исследовании и публикацию данных без идентификации личности.
Вклад авторов
И.Ю. Поздникин — разработка методологии и дизайна исследования. Написание всех разделов статьи. Сбор и анализ данных, анализ литературы.
В.Е. Басков, Д.Б. Барсуков, П.И. Бортулёв — сбор данных, этапное редактирование статьи.
А.И. Краснов — этапное редактирование статьи.
Об авторах
Иван Юрьевич Поздникин
ФГБУ «Научно-исследовательский детский ортопедический институт им. Г.И. Турнера» Минздрава России
Автор, ответственный за переписку.
Email: pozdnikin@gmail.com
ORCID iD: 0000-0002-7026-1586
SPIN-код: 3744-8613
канд. мед. наук, научный сотрудник отделения патологии тазобедренного сустава
Россия, Санкт-ПетербургВладимир Евгеньевич Басков
ФГБУ «Научно-исследовательский детский ортопедический институт им. Г.И. Турнера» Минздрава России
Email: drbaskov@mail.ru
ORCID iD: 0000-0003-0647-412X
канд. мед. наук, руководитель отделения патологии тазобедренного сустава
Россия, Санкт-ПетербургДмитрий Борисович Барсуков
ФГБУ «Научно-исследовательский детский ортопедический институт им. Г.И. Турнера» Минздрава России
Email: dbbarsukov@gmail.com
ORCID iD: 0000-0002-9084-5634
канд. мед. наук, старший научный сотрудник отделения патологии тазобедренного сустава
Россия, Санкт-ПетербургПавел Игоревич Бортулёв
ФГБУ «Научно-исследовательский детский ортопедический институт им. Г.И. Турнера» Минздрава России
Email: pavel.bortulev@yandex.ru
ORCID iD: 0000-0003-4931-2817
научный сотрудник отделения патологии тазобедренного сустава
Россия, Санкт-ПетербургАндрей Иванович Краснов
ФГБУ «Научно-исследовательский детский ортопедический институт им. Г.И. Турнера» Минздрава России
Email: turner02@mail.ru
канд. мед. наук, врач травматолог-ортопед консультативно-диагностического отделения
Россия, Санкт-ПетербургСписок литературы
- Ganz R, Parvizi J, Beck M, et al. Femoroacetabular impingement: a cause for osteoarthritis of the hip. Clin Orthop Relat Res. 2003(417):112-120. https://doi.org/10.1097/01.blo.0000096804.78689.c2.
- Shaw C. Femoroacetabular impingement syndrome: a cause of hip pain in adolescents and young adults. Mo Med. 2017;114(4):299-302.
- Хусаинов Н.О. Фемороацетабулярный импинджмент: обзор литературы // Ортопедия, травматология и восстановительная хирургия детского возраста. – 2015. – Т. 3. – № 2. – C. 42–47. [Khusainov NO. Femoroatsetabulyarnyi impindzhment: obzor literatury. Femoroacetabular impingement: literature review. 2015;3(2):42-47. (In Russ.)]. https://doi.org/10.17816/PTORS3242-47.
- de Sa D, Alradwan H, Cargnelli S, et al. Extra-articular hip impingement: a systematic review examining operative treatment of psoas, subspine, ischiofemoral, and greater trochanteric/pelvic impingement. Arthroscopy. 2014;30(8):1026-1041. https://doi.org/10.1016/j.arthro.2014.02.042.
- Bardakos NV. Hip impingement: beyond femoroacetabular. J Hip Preserv Surg. 2015;2(3):206-223. https://doi.org/10.1093/jhps/hnv049.
- Cheatham SW. Extra-articular hip impingement: a narrative review of the literature. J Can Chiropr Assoc. 2016;60(1):47-56.
- Kelikian AS, Tachdjian MO, Askew MJ, Jasty M. Greater trochanteric advancement of the proximal femur: a clinical and biomechanical study. Hip. 1983:77-105.
- Schneidmueller D, Carstens C, Thomsen M. Surgical treatment of overgrowth of the greater trochanter in children and adolescents. J Pediatr Orthop. 2006;26(4):486-490. https://doi.org/10.1097/01.bpo.0000226281.01202.94.
- Bech NH, Haverkamp D. Impingement around the hip: beyond cam and pincer. EFORT Open Rev. 2018;3(2):30-38. https://doi.org/10.1302/2058-5241.3.160068.
- Краснов А.И. Многоплоскостные деформации проксимального отдела бедренной кости у детей и подростков после консервативного лечения врожденного вывиха бедра (диагностика, лечение) // Травматология и ортопедия России. – 2002. – № 3. – С. 80–83. [Krasnov AI. Mnogoploskostnye deformatsii proksimal’nogo otdela bedrennoi kosti u detei i podrostkov posle konservativnogo lecheniya vrozhdennogo vyvikha bedra (diagnostika, lechenie). Travmatologiia i ortopediia Rossii. 2002;(3):80-83. (In Russ.)]
- Норкин И.А., Адамович Г.А., Решетников А.Н., и др. Рентгенодиагностика заболеваний костей и суставов. – Саратов, 2016. – 134 с. [Norkin IA, Adamovich GA, Reshetnikov AN, et al. Rentgenodiagnostika zabolevanii kostei i sustavov. Saratov; 2016. 134 p. (In Russ.)]
- McCarthy JJ, Weiner DS. Greater trochanteric epiphysiodesis. Int Orthop. 2008;32(4):531-534. https://doi.org/10.1007/s00264-007-0346-5.
- Mazzini JP, Martin JR, Ciruelos RM. Coxa vara with proximal femoral growth arrest as a possible consequence of extracorporeal membrane oxygenation: a case report. Cases J. 2009;2:8130. https://doi.org/10.4076/1757-1626-2-8130.
- Omeroglu H, Ucar DH, Tumer Y. A new measurement method for the radiographic assessment of the proximal femur: the center-trochanter distance. Acta Orthop Traumatol Turc. 2004;38(4):261-264.
- Weinstein SL, Mubarak SJ, Wenger DR. Developmental hip dysplasia and dislocation: Part II. Instr Course Lect. 2004;53:531-542.
- Kalamchi A, MacEwen GD. Avascular necrosis following treatment of congenital dislocation of the hip. J Bone Joint Surg Am. 1980;62(6):876-888.
- Поздникин И.Ю., Басков В.Е., Волошин С.Ю., и др. Ошибки диагностики и начала консервативного лечения детей с врожденным вывихом бедра // Ортопедия, травматология и восстановительная хирургия детского возраста. – 2017. – Т. 5. – № 2. – С. 42–51. [Pozdnikin IY, Baskov VE, Voloshin SY, et al. Errors of diagnosis and the initiation of conservative treatment in children with congenital hip dislocation. Pediatric traumatology, orthopaedics and reconstructive surgery. 2017;5(2):42-51. (In Russ.)]. https://doi.org/10.17816/PTORS5242-51.
- Chaudhry H, Ayeni OR. The etiology of femoroacetabular impingement: what we know and what we don’t. Sports Health. 2014;6(2):157-161. https://doi.org/10.1177/1941738114521576.
- Macnicol MF, Makris D. Distal transfer of the greater trochanter. J Bone Joint Surg Br. 1991;73(5): 838-841.
- Leunig M, Ganz R. Relative neck lengthening and intracapital osteotomy for severe Perthes and Perthes-like deformities. Bull NYU Hosp Jt Dis. 2011;69 Suppl 1:S62-67.
Дополнительные файлы
