Relative overgrowth of the greater trochanter and trochanteric-pelvic impingement syndrome in children: causes and X-ray anatomical characteristics
- Authors: Pozdnikin I.Y.1, Baskov V.E.1, Barsukov D.B.1, Bortulev P.I.1, Krasnov A.I.1
-
Affiliations:
- The Turner Scientific Research Institute for Children’s Orthopedics
- Issue: Vol 7, No 3 (2019)
- Pages: 15-24
- Section: Original Study Article
- Submitted: 21.02.2019
- Accepted: 18.06.2019
- Published: 02.10.2019
- URL: https://journals.eco-vector.com/turner/article/view/11188
- DOI: https://doi.org/10.17816/PTORS7315-24
- ID: 11188
Cite item
Abstract
Background. The formation of multiplanar deformities of the proximal femur, in most cases combined with hypertrophy of the greater trochanter (relative overgrowth of the greater trochanter (ROGT)) and its high position relative to the femoral head, up to the development of pelvic and pelvic spine syndrome (trochanteric-pelvic impingement), has been considered one of the most common problems in the treatment of children with hip joint pathology of various etiologies.
Aim. The aim of this study was to determine the causes of and characterize the X-ray anatomical changes in children with ROGT.
Materials and methods. This study is based on an analysis of the survey results of 350 children 3 to 17 years old with an emerging high position of the greater trochanter due to various diseases of the hip joint. Details of the radiological indicators characterizing the change in the growth of the greater trochanter relative to the head and neck of the thigh were examined in 68 of these children (112 joints).
Results. Most often, hypertrophy of the greater trochanter was observed in children with the sequele of ischemic disorders that occurred during the conservative treatment of hip dysplasia and developmental hip dislocation, as well as due to previous hematogenous osteomyelitis. It was revealed that in the affected hip joints, there was a regular decrease in the articulo-trochanteric distance index; simultaneously, TTD values, which characterize the isolated growth of the greater trochanter, were almost the same in normal and pathological conditions (p < 0.05).
Conclusion. Damage to the growth plates of the pineal gland and neck of the femur of various etiologies was the reason for ROGT formation. The X-ray anatomical changes include progressive shortening of the femoral neck. Moderately pronounced in preschool-age children, they progress with the child’s growth and become the cause of chronic trauma injuries of the components of the hip joint.
Full Text
Background
Since the early 2000s, increasing attention in the specialized literature has been paid to so-called femoroacetabular impingement, which is the pathomechanical process of chronic trauma to the acetabular rim and to the femoral head or neck. Femoroacetabular impingement is considered one of the main causes of pain and the development of early coxarthrosis [1–3]. Research in this field has helped distinguish other conditions, particularly extra-articular conditions, that can cause mutual trauma to the components of the hip joint and contribute to the progression of the hip joint arthrosis. They include ischiofemoral impingement, which is abnormal contact between the lesser trochanter and ischial bone; subspine impingement, which is abnormal contact between the anteroposterior iliac spine and the femoral neck during flexion; iliopsoas impingement, which is abnormal mechanical relationship between the iliopsoas muscle and the acetabular labrum; and pectineofoveal impingement, which is an abnormal relationship between the medial synovial fold and acetabular labrum [4–6].
One of the most common problems in the treatment of pediatric patients with various disorders of the hip joint is the formation of multiplanar deformities of the proximal femur, such as hypertrophy of the greater trochanter, which causes it to be positioned high in relation to the femoral head. In English-language literature, this condition is called “relative overgrowth of the greater trochanter” (ROGT). In the process of the child’s growth, biomechanical abnormalities of the hip joint develop, which cause dysfunction of the gluteal muscles, restriction of movement in the hip joint, and, in some cases, progressive decentration of the femoral head, which exacerbates the ratio distortion in the hip joint. These conditions result in lameness, as well as the development of pain syndrome and coxarthrosis. In adult patients, such clinical and radiological disorders develop into a detailed pattern of known as “greater trochanteric-pelvic conflict impingement.” Unlike femoroacetabular impingement, early criteria for diagnosing the trochanteric-pelvic conflict in pediatric patients have not yet been formulated [4, 5, 7–10].
In our study, we attempted to analyze the prerequisites for the development of this pathological condition. The frequency of ROGT in pediatric patients, as well as the few publications on this issue, indicate the relevance of the study.
We aimed to clarify the causes of the anatomical changes visible on radiographs in pediatric patients with ROGT and to characterize them.
Material and research methods
Archival material (patient records, radiographs, computed tomograms) at the Turner Scientific Research Institute for Children’s Orthopedics were used to retrospectively study the development of hip joints in 350 pediatric patients, aged 3 to 17 years, in whom the elevation of the greater trochanter resulted from various diseases of the hip joint. These patients were treated in the department of hip joint pathology from 2002 to 2017. The patients were divided by age into two groups: group I included 156 preschoolers (aged 3 to 7 years), and group II included 194 schoolchildren (aged 8 to 17 years).
The inclusion criteria were (1) the formation of multiplanar deformities of the proximal femur with elevation of the greater trochanter, at which its apex was located above the center of the femoral head and (2) changes in the femoral neck structure accompanied by its shortening.
Exclusion criteria included hip dislocation at the time of examination; varus deformity of the femoral neck (caput-collum-diaphyseal angle of less than 120°); the consequences of surgical interventions, injuries, rickets, and rheumatoid arthritis; neurological disorders; and skeletal systemic dysplasias.
Research methods have included assessment of complaints, clarification of the medical history, clinical examination in accordance with established practice, and radiological examination (radiography and computed tomography). In this study, radiography and computed tomography were used to evaluated typical indicators of the hip joint, characterizing the shape, and size of the pelvic and femoral components of the joint, as well as their proportions (acetabular index, Sharp angle, angle of the acetabular roof thickness, caput-collum-diaphyseal angle, angle of the femoral neck anteversion, Wiberg angle, and the degree of bone coverage of the femoral head) [11]. The data obtained were used for planning surgical intervention.
In all 350 patients observed, the ratio of the greater trochanter apex to the center of the femoral head was in the pathological range, which served as the main criterion for inclusion in the study. For a detailed analysis of the ongoing anatomical changes, we studied additional indicators characterizing the ratio of the femoral head and the greater trochanter in the frontal view in 56 examined patients (112 hip joints). The development of 48 (42.9%) joints in them was normal (with unilateral lesion) (Fig. 1).
These indicators included the following:
1) articulotrochanteric distance (ATD) — the distance from the apex of the greater trochanter to the upper pole of the femoral head (mm);
2) trochanter-to-trochanter distance (TTD) — the distance from the apex of the greater trochanter to the middle of the lesser trochanter along a line parallel to the anatomical axis of the femur. This indicator reflects the growth of the greater trochanter and does not depend on the growth of the epiphysis;
3) lesser trochanter-to-articular surface distance (LTA) — reflects the growth of the epiphysis and the femoral neck and does not depend on the growth of the greater trochanter.
Fig. 1. Indicators characterizing the ratio of the femoral head and the greater trochanter in the frontal view (Mccarthy J.J., Weiner D.S., 2008, as amended) [12]. ATD — articulotrochanteric distance; LTA — lesser trochanter-to-articular surface distance; TTD — trochanter-to-trochanter distance
Statistical analysis was performed in Excel 2016 (Microsoft Corporation, Redmond, WA, USA) and Statistics 10 programs. The data obtained were processed with statistical methods, including the estimation of arithmetic mean and mean square deviation. To evaluate the significance level of the differences, the nonparametric Mann-Whitney U test was used, with a confidence of at least p < 0.05, and the correlation analysis was performed with the Pearson test.
Examination results
In the patients of group I, the clinical presentation was poor, despite the stability of the hip joint. There were minimal or no complaints. Typical clinical manifestations of the emerging ROGT with unilateral lesion were shortening of the limb (0.8 ± 0.6 cm); the slight change in range of motion in the joint; moderate limitation of hip abduction (25° ± 5°); and, in 13 patients (8.3%), a weakly positive Trendelenburg sign.
The patients of group II exhibited more pronounced limb shortening (1.5 ± 1.1 cm) and more restriction of hip abduction (10° ± 5°), hip extension (5° ± 5°), and internal rotation (20° ± 15°). The majority of patients of this group (147 [76%]) complained of pain along the lateral and posterolateral surface of the hip joint region after physical exertion and in extreme positions of abduction, extension, and rotation of the hip. An impingement test in the hip joint yielded positive results in 109 patients (56%), and a positive Trendelenburg sign was noted in 157 (81%). Patients with bilateral lesions exhibited hyperlordosis of the lumbar spine, and the gait had become waddling. Of patients older than 15 years, 17 (9% of group II) had a positive “gear-stick” sign, which indicated the restriction of passive abduction of the thigh during extension in the hip joint and almost normal abduction during bending of the hip.
The patients’ life histories and radiographs revealed the diseases that caused the proximal femur deformity (Fig. 2).
Fig. 2. Nosological distribution of patients in this study. HJ — hip joint; SCFE — slipped capital femoral epiphysis
These diseases included the following:
- consequences of the femoral head ischemic necrosis as a complication of conservative treatment for hip dysplasia and congenital dislocation of the hip in 143 (40.9%) of all the patients (Fig. 3);
Fig. 3. Radiographs of patient Sh. at the ages of 1 year, 2 months (a), 3 years, 9 months (b), and 11 years (c). Formation of multiplanar deformity of the proximal femur with a high position of the greater trochanter after avascular necrosis of the femoral head (on the right, Kalamchi and MacEwen class IV; on the left, Kalamchi and MacEwen class II). The patient had a history of conservative treatment for congenital bilateral dislocation of the hip
- effects of hematogenous osteomyelitis (septic arthritis) in 101 (28.9%) of all patients. These 101 patients included those who had been exposed to intrauterine infections and those who underwent surgical interventions in the first year of life for congenital heart defects, esophageal atresia, intestinal obstruction, and tracheoesophageal fistula, all complicated by infection of the hip joints (Fig. 4);
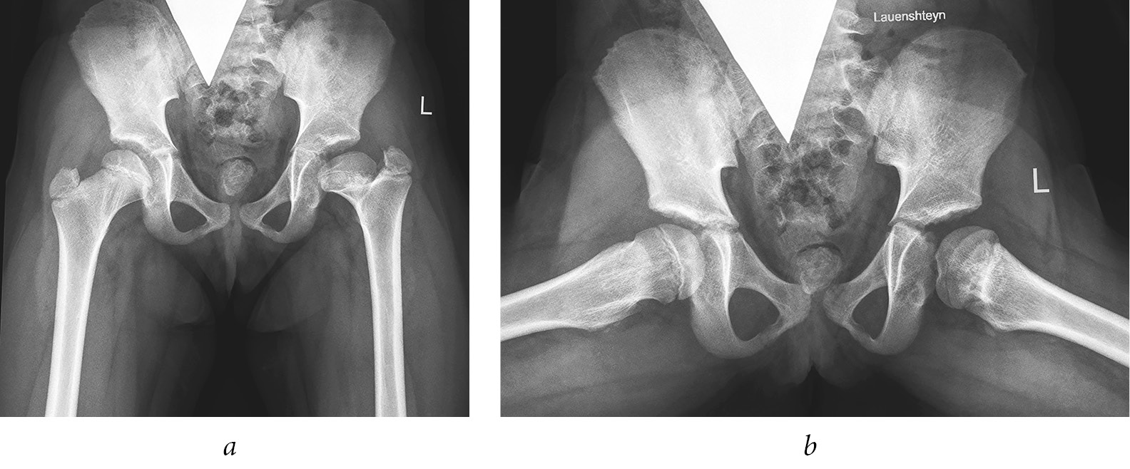
Fig. 4. Radiographs of patient J. at the age of 7 years: frontal view (a) and Lauenstein view (b). Hematogenous osteomyelitis resulted in multiplanar deformity of the proximal femur with a high position of the greater trochanter on the left
- Perthes disease with total and subtotal lesions of the epiphysis in 63 (18.0%) of all the patients. These patients had not received treatment or had a disease out of bed with the development of coxa plana at the end of the disease course;
- consequences of slipped capital femoral epiphysis in 38 (10.9%) of all the patients. The elevation of the greater trochanter resulted both from a residual shift of the femoral head epiphysis posteriorly and downwards and from early closure of the growth plate during the course of the disease;
- other reasons were noted in 5 (1.3%) of all the patients. These patients had an unspecified or rare cause of lesions of the hip joints, such as that resulting from the use of extracorporeal membrane oxygenation method in the neonatal period [13] (Fig. 5).
Fig. 5. Radiographs of patient G. at the age of 4 years: frontal view (a) and Lauenstein view (b). The emerging high position of the greater trochanter on both sides and dystrophic changes in the femoral neck are visible. A radiograph taken when the patient was 3 years of age had shown manifestations of transient synovitis of the hip joints after an acute respiratory viral infection
Radiographic findings
The radiographic pattern in the patients in this study depended mainly on the nature of the primary disease. In cases of hip dysplasia, radiographs revealed a deficiency in coverage of the femoral head with the acetabulum (a decrease in the degree of bone coverage and the Wiberg angle), a change in the caput-collum-diaphyseal angle, and the angle of anteversion of the femoral neck; in some cases, thickening of the acetabular roof was noted. In cases of Perthes disease, the radiological indicators of the joint stability showed deterioration, primarily because of deformation of the femoral head (namely, coxa magna and coxa plana). More diverse and often gross deformities of the femoral head and neck were noted in cases of septic arthritis.
Despite the diversity of the diseases in these patients, the radiological abnormalities were similar; in particular, the ratios of the greater trochanter apex to the center of the femoral head were in the pathological range. In view of these findings, we examined in more detail the indices characterizing changes in the growth of the greater trochanter in relation to the femoral head and neck. To clarify the dynamics of changes in the radiological parameters of the proximal femur, we analyzed digital radiographs of 56 patients (112 joints), performed with proper scaling and with the use of a calibrator to obtain the correct data (Fig. 6).
Fig. 6. An example of radiographic analysis of indicators that characterize changes in the position of the greater trochanter in relation to the femoral head and neck. ATD — articulotrochanteric distance; LTA — lesser trochanter-to-articular surface distance; TTD — trochanter-to-trochanter distance
According to the literature, the position of the greater trochanter apex with respect to the center (C) of the femoral head in pediatric patients is normally from 5 mm above the center of the femoral head to 15 mm below it [14]. Our measurements revealed that the ATD values, which were 19.0 ± 3.2 (9.5 to 26.6) mm in our patients, almost did not change with age (Table 1).
Table 1
Values of ATD, TTD, and LTA in the patients in this study
Indicator | Normal | Pathological | ||||
Groups | ||||||
All patients | Preschoolers | Schoolchildren | All patients | Preschoolers | School children | |
ATD: M ± SD (in mm; min-max) | 19.0 ± 3.2 (9.5–26.6) | 20.8 ± 1.3 (17.9–23.2) | 18.0 ± 3.5 (9.5–26.6) | –0.2 ± 8.9* ((–)22.4–14.0) | 5.1 ± 5.5* ((–)3.8–11.4) | (–)2.3 ± 9.2* ((–)22.4–14.0) |
TTD: M ± SD (in mm; min-max) | 50.4 ± 13.4 (28.8–72.6) | 35.3 ± 5.6 (28.8–42.7) | 55.1 ± 11.5 (33.6-72.6) | 50.6 ± 13.9 (30.3–70.5) | 35.6 ± 4.5 (30.3–43.9) | 56.7 ± 11.7 (33.1–70.5) |
LTA: M ± SD (in mm; min-max) | 68.9 ± 13.5 (49.6–89.8) | 56.3 ± 6.3 (49.6–65.6) | 72.8 ± 12.8 (50.8–89.8) | 50.4 ± 10.2* (34.8–73.5) | 41.8 ± 6.1* (34.8–51.0) | 54.0 ± 9.5* (37.8–73.5) |
Note. ATD — articulotrochanteric distance; LTA — lesser trochanter-to-articular surface distance; TTD — trochanter-to-trochanter distance. * Differences in ATD and LTA between the norm and in pathological conditions were significant (p < 0.05).
The TTD and LTA values normally increase with age from 28.8 to 72.6 mm and from 49.6 to 89.8 mm, respectively. These indicators change synchronously, depending on the child’s age (p > 0.05; Fig. 7).
Fig. 7. Graph of articulotrochanteric distance (ATD), trochanter-to-trochanter distance (TTD), and lesser trochanter-to-articular surface distance (LTA), depending on age, for normal hip joints. Circles represent normal ATD; squares represent normal TTD; and triangles represent normal LTA
In group I of our patients, the average ATD values were 5.1 ± 5.5; the TTD values were 35.9 ± 4.5; and the LTA values were 41.8 ± 6.0 mm. The TTD and LTA values reflect moderately severe pathological changes; in most cases, the ATD values in this group were within the normal range of values (Fig. 8; Table 1).
Fig. 8. Graph of articulotrochanteric distance (ATD), trochanter-to-trochanter distance (TTD), and lesser trochanter-to-articular surface distance (LTA), depending on age, for injured hip joints
In group II, the same changes were observed in the studied parameters; however, the radiological changes were more pronounced, especially in patients older than 10 years. The ATD values were (–)2.3 ± 9.2 mm; the TTD values were 45.7 ± 11.7 mm; and the LTA values were 54.0 ± 9.5 mm (see Fig. 8, Table 1).
In a normal hip joint, LTA is numerically larger than the other indicators. With severe ROGT, the ATD value was negative, and the TTD values became larger than the LTA values. Figure 9 shows that this was characteristic of adolescents with deformity established by the end of growth.
Fig. 9. Radiograph of patient B. at the age of 13 years. The condition was diagnosed after conservative treatment of congenital bilateral hip subluxation, which resulted from aseptic necrosis of the femoral head and neck. The position of the greater trochanter is high. The trochanteric-pelvic conflict was caused by severe anatomical anomalies, and the patient had a typical clinical presentation and pain
Of the patients with an ATD of 0 or less, 87% exhibited a positive Trendelenburg sign. These patients later demonstrated clinical signs of trochanteric-pelvic conflict, such as pain during abduction, extension, and rotation of the thigh. In comparison with ATD values in normal children, those in children with pathological conditions demonstrated a pattern of decrease, with changes in the child’s growth in the affected hip joints (Fig. 10).
Fig. 10. Graphs of the changes in the articulotrochanteric distance (ATD) in normal and pathological conditions, depending on age
In such cases, the TTD values characterizing the isolated growth of the greater trochanter in both normal and pathological conditions were similar (p > 0.05; Fig. 11).
Fig. 11. Graphs of the changes in the trochanter-to-trochanter distance (TTD) in normal and pathological conditions, depending on age
The data obtained confirm that true ROGT as such does not occur; its epiphysial plate remains intact; and there is only a slowdown in the longitudinal growth of the femoral neck.
Discussion
The normal formation of the proximal femur is ensured by a genetically programmed complementary function of three growth zones: namely, the femoral head epiphysis, the upper edge of the femoral neck, and the greater trochanter [15]. An adverse effect on any of these growth zones disrupts normal development of the proximal femur. Regardless of the underlying disease, the mechanism of the deformity development is similar. As a result of damage, growth in one section of the bones is inhibited, whereas growth in the other continues normally, which in turn results in multiplanar deformities of the proximal femur. The most vulnerable areas of a child’s hip joint are the epiphyseal and upper cervical growth zones, inasmuch as those parts of the femur are supplied with blood from the medial and lateral arteries that surround the femoral bone and are enclosed in a joint capsule. The blood supply and the function of the extracapsular growth zone of the greater trochanter, in contrast, are not impaired, and it is formed correctly.
In our observations, the deformity developed most commonly as a result of complications in the treatment of hip dysplasia and congenital dislocation of the hip. According to the literature and our own observations, only relatively mild lesions corresponding to Kalamchi and MacEwen class I osteonecrosis, are not accompanied during growth by the deformation of one femoral neck or the other and by ROGT [9, 10, 15, 16]. In practice, the Kalamchi and MacEwen classification of osteonecrosis can be used to predict the development and type of the proximal femur deformity.
Anatomical and biomechanical disorders in the hip joint with ROGT involve the convergence of the attachment points of the gluteal muscles, which leads to a decrease in their contractility, impaired function of the gluteal muscles in relation to body weight, and an increase in contact pressure on the articular surfaces. Clinically, this is manifested by fatigue during walking and by progressive Trendelenburg gait [17, 18]. The process of deformation occurs gradually, over a long time, and is characterized by a progressive course. A decrease in the distances between the greater trochanter, the cartilaginous acetabular rim, and the iliac bone leads to mechanical conflict, first during abduction and extension of the thigh and, in severe cases, in the middle position [19, 20]. The elevation of the greater trochanter in a child serves as an anatomical substrate for the development of the trochanteric-pelvic impingement syndrome, which is a complex of chronic trauma to the greater trochanter and the cartilaginous acetabular rim, accompanied by gluteal muscle dysfunction, impaired gait, and pain. In our patients, the clinical presentation of trochanteric-pelvic impingement syndrome was characteristic in patients older than 10 years and necessitated radical surgical intervention.
Conclusion
- The reason why the greater trochanter becomes elevated in pediatric patients is ischemic damage to the growth zones of the epiphysis and the femoral neck; such damage has various causes. Radiographic anatomical changes consist of a progressive shortening of the femoral neck and constant growth of the greater trochanter, which does not differ significantly between normal hips and those with pathological conditions.
- The process of elevation of the greater trochanter without destabilization of the joint in preschool pediatric patients is characterized by few clinical symptoms or signs and relatively mild radiographic anatomical changes. By the time clinical manifestations emerge in school-age patients in the form of gait disorder and pain, the elevation of the greater trochanter is already causing chronic mutual trauma to the components of the hip joint.
- All pediatric patients who have a history of ischemic necrosis of the proximal femur, even without signs of impaired stability of the hip joint, must be monitored so that the emerging deformity can be corrected, if necessary, at the optimal time.
Additional information
Source of funding. The work was performed as part of the implementation of the State assignment of the Ministry of Health of the Russian Federation No. АААА-А18-118122690158-2.
Conflict of interest. The authors declare no obvious or potential conflicts of interest related to the publication of this article.
Ethical review. The study was conducted in accordance with the ethical standards of the Helsinki Declaration of the World Medical Association as amended by the Ministry of Health of Russia and approved by the ethics committee of the Turner Scientific Research Institute for Children’s Orthopedics (protocol No. 4 of 27.11.2018). Representatives of the patients signed an informed consent for participation in the study and publishing data without identification of patients.
Contribution of the authors
I.Yu. Pozdnikin developed the study methodology and design, wrote all sections of the article, and collected and performed the data analysis and literature analysis.
V.E. Baskov, D.B. Barsukov, and P.I. Bortulyov performed data collection and stage editing of the article.
A.I. Krasnov was involved in stage editing of the article.
About the authors
Ivan Y. Pozdnikin
The Turner Scientific Research Institute for Children’s Orthopedics
Author for correspondence.
Email: pozdnikin@gmail.com
ORCID iD: 0000-0002-7026-1586
SPIN-code: 3744-8613
MD, PhD, Research Associate of the Department of Hip Pathology
Russian Federation, Saint PetersburgVladimir E. Baskov
The Turner Scientific Research Institute for Children’s Orthopedics
Email: drbaskov@mail.ru
ORCID iD: 0000-0003-0647-412X
MD, PhD, Head of the Department of Hip Pathology
Russian Federation, Saint PetersburgDmitry B. Barsukov
The Turner Scientific Research Institute for Children’s Orthopedics
Email: dbbarsukov@gmail.com
ORCID iD: 0000-0002-9084-5634
MD, PhD, Senior Research Associate of the Department of Hip Pathology
Russian Federation, Saint PetersburgPavel I. Bortulev
The Turner Scientific Research Institute for Children’s Orthopedics
Email: pavel.bortulev@yandex.ru
ORCID iD: 0000-0003-4931-2817
MD, Research Associate of the Department of Hip Pathology
Russian Federation, Saint PetersburgAndrey I. Krasnov
The Turner Scientific Research Institute for Children’s Orthopedics
Email: turner02@mail.ru
MD, PhD, Orthopedic and Trauma Surgeon of the Consultative and Diagnostic Department
Russian Federation, Saint PetersburgReferences
- Ganz R, Parvizi J, Beck M, et al. Femoroacetabular impingement: a cause for osteoarthritis of the hip. Clin Orthop Relat Res. 2003(417):112-120. https://doi.org/10.1097/01.blo.0000096804.78689.c2.
- Shaw C. Femoroacetabular impingement syndrome: a cause of hip pain in adolescents and young adults. Mo Med. 2017;114(4):299-302.
- Хусаинов Н.О. Фемороацетабулярный импинджмент: обзор литературы // Ортопедия, травматология и восстановительная хирургия детского возраста. – 2015. – Т. 3. – № 2. – C. 42–47. [Khusainov NO. Femoroatsetabulyarnyi impindzhment: obzor literatury. Femoroacetabular impingement: literature review. 2015;3(2):42-47. (In Russ.)]. https://doi.org/10.17816/PTORS3242-47.
- de Sa D, Alradwan H, Cargnelli S, et al. Extra-articular hip impingement: a systematic review examining operative treatment of psoas, subspine, ischiofemoral, and greater trochanteric/pelvic impingement. Arthroscopy. 2014;30(8):1026-1041. https://doi.org/10.1016/j.arthro.2014.02.042.
- Bardakos NV. Hip impingement: beyond femoroacetabular. J Hip Preserv Surg. 2015;2(3):206-223. https://doi.org/10.1093/jhps/hnv049.
- Cheatham SW. Extra-articular hip impingement: a narrative review of the literature. J Can Chiropr Assoc. 2016;60(1):47-56.
- Kelikian AS, Tachdjian MO, Askew MJ, Jasty M. Greater trochanteric advancement of the proximal femur: a clinical and biomechanical study. Hip. 1983:77-105.
- Schneidmueller D, Carstens C, Thomsen M. Surgical treatment of overgrowth of the greater trochanter in children and adolescents. J Pediatr Orthop. 2006;26(4):486-490. https://doi.org/10.1097/01.bpo.0000226281.01202.94.
- Bech NH, Haverkamp D. Impingement around the hip: beyond cam and pincer. EFORT Open Rev. 2018;3(2):30-38. https://doi.org/10.1302/2058-5241.3.160068.
- Краснов А.И. Многоплоскостные деформации проксимального отдела бедренной кости у детей и подростков после консервативного лечения врожденного вывиха бедра (диагностика, лечение) // Травматология и ортопедия России. – 2002. – № 3. – С. 80–83. [Krasnov AI. Mnogoploskostnye deformatsii proksimal’nogo otdela bedrennoi kosti u detei i podrostkov posle konservativnogo lecheniya vrozhdennogo vyvikha bedra (diagnostika, lechenie). Travmatologiia i ortopediia Rossii. 2002;(3):80-83. (In Russ.)]
- Норкин И.А., Адамович Г.А., Решетников А.Н., и др. Рентгенодиагностика заболеваний костей и суставов. – Саратов, 2016. – 134 с. [Norkin IA, Adamovich GA, Reshetnikov AN, et al. Rentgenodiagnostika zabolevanii kostei i sustavov. Saratov; 2016. 134 p. (In Russ.)]
- McCarthy JJ, Weiner DS. Greater trochanteric epiphysiodesis. Int Orthop. 2008;32(4):531-534. https://doi.org/10.1007/s00264-007-0346-5.
- Mazzini JP, Martin JR, Ciruelos RM. Coxa vara with proximal femoral growth arrest as a possible consequence of extracorporeal membrane oxygenation: a case report. Cases J. 2009;2:8130. https://doi.org/10.4076/1757-1626-2-8130.
- Omeroglu H, Ucar DH, Tumer Y. A new measurement method for the radiographic assessment of the proximal femur: the center-trochanter distance. Acta Orthop Traumatol Turc. 2004;38(4):261-264.
- Weinstein SL, Mubarak SJ, Wenger DR. Developmental hip dysplasia and dislocation: Part II. Instr Course Lect. 2004;53:531-542.
- Kalamchi A, MacEwen GD. Avascular necrosis following treatment of congenital dislocation of the hip. J Bone Joint Surg Am. 1980;62(6):876-888.
- Поздникин И.Ю., Басков В.Е., Волошин С.Ю., и др. Ошибки диагностики и начала консервативного лечения детей с врожденным вывихом бедра // Ортопедия, травматология и восстановительная хирургия детского возраста. – 2017. – Т. 5. – № 2. – С. 42–51. [Pozdnikin IY, Baskov VE, Voloshin SY, et al. Errors of diagnosis and the initiation of conservative treatment in children with congenital hip dislocation. Pediatric traumatology, orthopaedics and reconstructive surgery. 2017;5(2):42-51. (In Russ.)]. https://doi.org/10.17816/PTORS5242-51.
- Chaudhry H, Ayeni OR. The etiology of femoroacetabular impingement: what we know and what we don’t. Sports Health. 2014;6(2):157-161. https://doi.org/10.1177/1941738114521576.
- Macnicol MF, Makris D. Distal transfer of the greater trochanter. J Bone Joint Surg Br. 1991;73(5): 838-841.
- Leunig M, Ganz R. Relative neck lengthening and intracapital osteotomy for severe Perthes and Perthes-like deformities. Bull NYU Hosp Jt Dis. 2011;69 Suppl 1:S62-67.
Supplementary files















