Открытый метафизарный перелом дистального отдела бедренной кости у ребенка с синдромом тетрасомии 18р
- Авторы: Арен А.1, Морал М.1, Десаи Х.1, Адамс К.1, Робертс Д.1
 - 
							Учреждения: 
							
- Медицинский центр Олбани
 
 - Выпуск: Том 7, № 3 (2019)
 - Страницы: 79-84
 - Раздел: Клинические случаи
 - Статья получена: 12.04.2019
 - Статья одобрена: 21.04.2019
 - Статья опубликована: 02.10.2019
 - URL: https://journals.eco-vector.com/turner/article/view/11706
 - DOI: https://doi.org/10.17816/PTORS7379-84
 - ID: 11706
 
Цитировать
Аннотация
Обоснование. Открытые метафизарные переломы дистального отдела бедренной кости относятся к редким травмам, поскольку являются высокоэнергетическими переломами. Дети, получившие такую травму, нуждаются в своевременном лечении, так как существует повышенный риск повреждения зоны роста с последующим нарушением роста и деформацией кости после травмы. Переломы у детей могут также являться следствиями генетических нарушений (особенно заболеваний соединительных тканей), нарушений питания или состояний, которые вызывают снижение минеральной плотности кости.
Клиническое наблюдение. Рассмотрен клинический случай 9-летней девочки с тетрасомией 18р, которая была доставлена с открытым переломом дистального отдела правой бедренной кости с сильным смещением при изолированной травме нижней конечности. Были проведены туалет и хирургическая обработка раны с последующей открытой репозицией и перекрестной установкой спиц через дистальный эпифиз бедренной кости. В послеоперационном периоде пациентка находилась в гипсе без опоры на ногу в течение 4 нед. Спицы были удалены через 6 нед. Через 6 мес. наблюдения пациентка свободно передвигалась и снова смогла посещать школу.
Обсуждение. Тетрасомия 18р характеризуется врожденной слабостью мышц, стабилизирующих длинные кости. Это может привести к сильным смещениям при переломах и, следовательно, к учащению сосудистых повреждений, травм зон роста и ухудшению общего прогноза восстановления. Лечащие врачи должны обладать всеми необходимыми знаниями о тетрасомии 18р и связанными с ней ортопедическими нарушениями.
Заключение. В медицинской литературе приведено недостаточно информации о лечении переломов костей у пациентов с тетрасомией 18р. Нами были получены хорошие результаты, соответствующие всем стандартам оказания медицинской помощи, включавшей до- и послеоперационную антибиотикотерапию, туалет и хирургическую обработку раны, фиксацию открытого перелома и наложение гипса после операции. Мы также увеличили продолжительность ношения гипса без опоры на ногу на 1 нед. и удалили спицы на 1 нед. позже по сравнению с ситуацией, при которой признаки заболевания костей или соединительной ткани отсутствуют.
Полный текст
Обоснование
Тетрасомия 18р — редкое хромосомное заболевание. Известно о 66 случаях этого заболевания. Оно характеризуется наличием дополнительной изохромосомы 18 с двумя короткими «р» рукавами, в результате чего образуются четыре копии компонента 18р. Подавляющее большинство случаев тетрасомии 18р обусловлено мутациями de novo, однако известны случаи генетического наследования по материнской линии. Заболевание имеет несколько форм, но характерными ортопедическими нарушениями являются снижение мышечного тонуса и минеральной плотности кости, сколиоз и кифоз [1, 2].
У большинства пациентов наблюдаются задержки двигательного развития, в частности затруднения в сидении, ползании и ходьбе [2]. У пациентов встречаются поведенческие отклонения, при этом обычно отмечается гиперактивность с дефицитом внимания и тревожность. Дисморфические проявления на лице, как правило, не выражены и очень вариабельны. Они могут включать низко посаженные уши, маленький рот, плоский губной желобок, тонкую верхнюю губу и аномалии нёба. При подозрении на тетрасомию 18р всем пациентам необходимо выполнить эхокардиографию, так как до 30 % пациентов имеют структурные аномалии сердца. Следует также тщательно обследовать желудочно-кишечный тракт и мочеполовую систему. Обычно пациенты жалуются на запоры, однако структурные аномалии желудочно-кишечного тракта встречаются не очень часто. Мужчины предрасположены к развитию гипоспадии и крипторхизма, тогда как структурные изменения в почках, ведущие к пузырно-мочеточниковому рефлюксу, могут встречаться как у мужчин, так и у женщин [2].
Несмотря на связь тетрасомии 18p с деформацией стоп, в медицинской литературе не сообщается о взаимосвязи костно-мышечных аномалий с травмами костей [3, 4]. Насколько нам известно, рассматриваемый случай тетрасомии 18p является первым случаем открытого метафизарного перелома дистального отдела бедренной кости. Мы описываем случай хорошего исхода у 9-летней девочки, которой была выполнена первичная хирургическая обработка раны с последующей открытой репозицией и внутренней фиксацией.
Описание клинического случая
Девятилетняя девочка получила травму правой бедренной кости в результате падения во время катания на санках, когда она на небольшой скорости врезалась в вертикально стоящий столб на баскетбольной площадке. Пациентка поступила в отделение неотложной помощи с выраженной деформацией правого коленного сустава (рис. 1), жалобами на невозможность ходить и боли в правой нижней конечности.
Рис. 1. Изображение правой нижней конечности с опухшим, сильно деформированным правым коленным суставом
В раннем возрасте у пациентки была диагностирована тетрасомия 18р. По результатам обследования было выявлено, что мышцы шеи у нее сильно ослаблены. В результате занятий лечебной физической культурой (ЛФК) к трем годам девочка смогла самостоятельно удерживать голову. В дальнейшем она продолжала заниматься ЛФК и до 7 лет носила индивидуальные ортопедические стельки, что позволило ей научиться передвигаться без помощи врача и дополнительных устройств. На текущий момент она может ходить и бегать самостоятельно, но быстро устает после нескольких минут интенсивной нагрузки. В школьном возрасте пациентка продолжила ежедневные занятия ЛФК. Ранее ни переломов, ни других видов травм костей у нее не было.
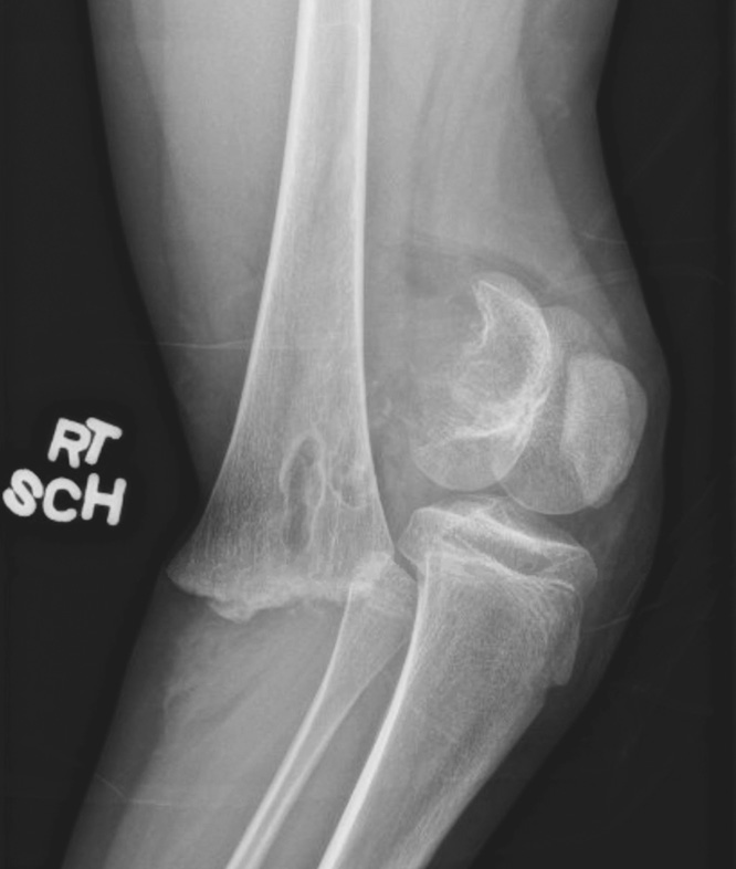
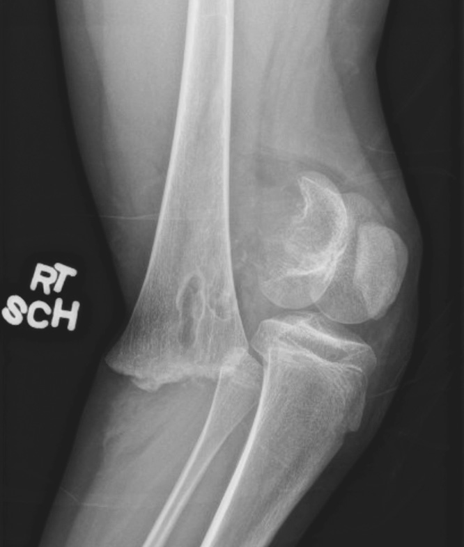
Рентген показал перелом дистального отдела правой бедренной кости с сильным смещением и повреждением зоны роста (рис. 2). При осмотре была выявлена колотая рана в задней части бедра, выстояние надколенника, рекурвация конечности и ее вынужденное сгибание в коленном суставе. Рот пациентки был относительно маленьким, но не было отмечено аномалий нёба или сколиоза. Периферическая чувствительность и разгибательная функция большого пальца стопы нарушены не были. Пульс на тыльной артерии стопы с двух сторон ощущался пальпаторно на 3+ и был подтвержден допплерографически. Лодыжечно-плечевой индекс правой и левой нижних конечностей составил 1,2 и 1,1 соответственно. Родители пациентки были уведомлены о возможном нарушении роста. Вакцинация против столбняка была проведена своевременно. Перед операцией был введен 1 г цефазолина внутривенно.
Рис. 2. Рентгенограмма правого коленного сустава в боковой проекции, показывающая перелом дистального отдела бедренной кости Салтер – Харриса 2-го типа со смещением
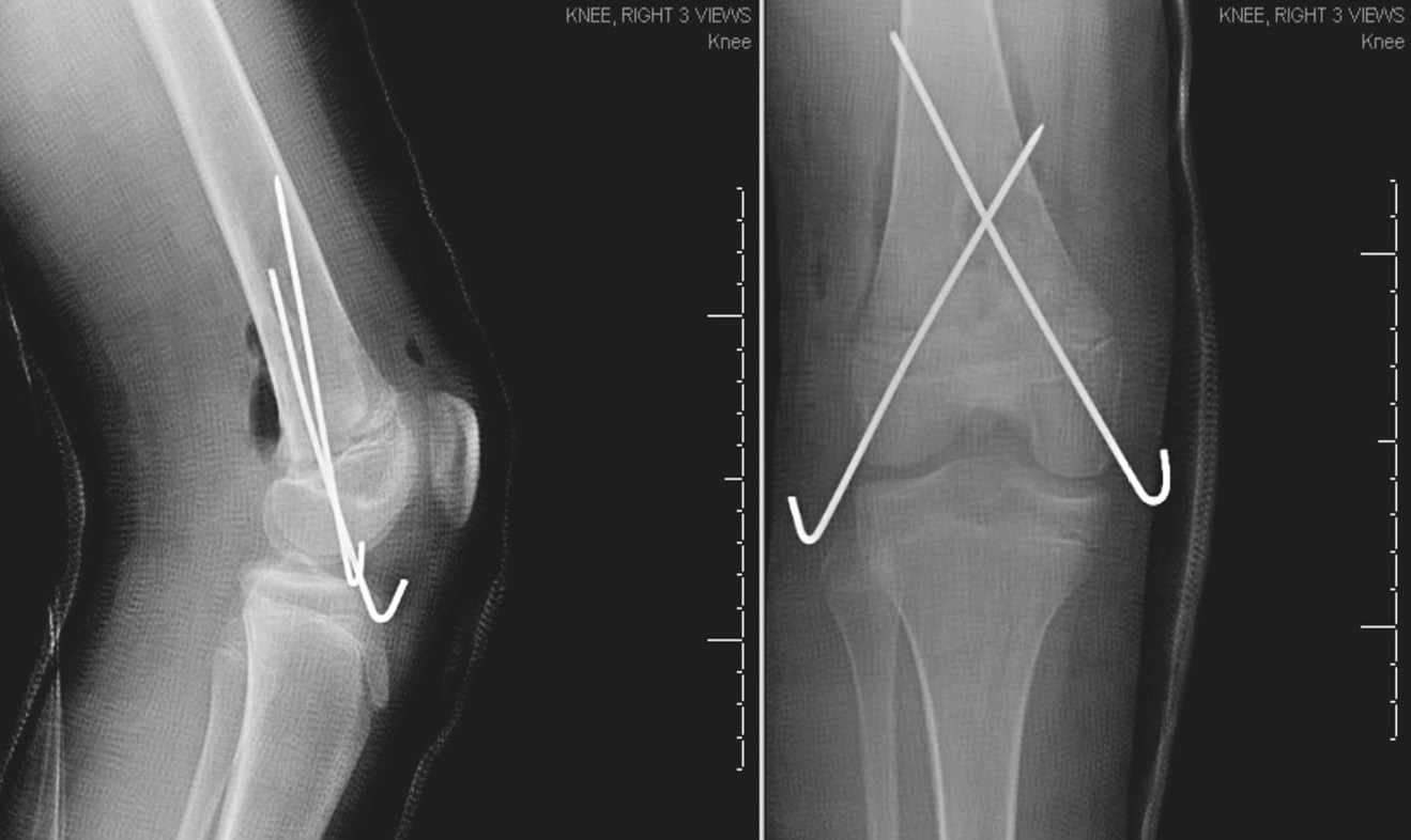
Был выполнен заднебоковой разрез в области дистального отдела правого бедра. После тщательного промывания 9 л изотонического раствора натрия хлорида была высвобождена ущемленная надкостница и выполнена репозиция перелома. Перелом зафиксирован в удовлетворительном положении с помощью перекрестной установки спиц через дистальный эпифиз бедренной кости. Нормальное кровоснабжение было подтверждено допплерографически, и рана ушита. Пациентке был наложен длинный гипс без возможности опоры на ногу. На послеоперационных рентгеновских снимках видна удовлетворительная репозиция дистальной части бедра (рис. 3). Поскольку пациентка была иногородней и ее дом находился в 3 часах езды от больницы, врачи рекомендовали ей остаться в больнице на 2 дня во избежание развития компартмент-синдрома или нейрососудистых нарушений и для завершения 48-часового введения цефазолина внутривенно. Затем пациентка была выписана домой. Девочка оставалась в гипсе без опоры на ногу в течение 4 нед. Спицы были удалены через 6 нед. По истечении 6 мес. пациентка прошла контрольное обследование, которое показало, что она не испытывает затруднений в движении. Восстановление прошло успешно, и ребенок снова смог посещать уроки физкультуры. На заключительных рентгенологических снимках через 6 мес. репозиция сохранялась. Пациентка наблюдалась в течение 2 лет, при этом у нее не было отмечено угловой деформации конечности или различия в длине ног.
Рис. 3. Рентгенограмма правого коленного сустава в переднезадней и боковой проекциях после открытой репозиции и внутренней фиксации. Видна нормальная репозиция с фиксацией двумя спицами, перекрестно установленными через эпифиз
Обсуждение
У детей редко встречаются переломы дистального отдела бедренной кости через зону роста. В верхних конечностях могут произойти метафизарные переломы после падения с небольшой высоты, однако переломы нижних конечностей часто являются высокоэнергетическими травмами, например вследствие автомобильных аварий [5].
Из переломов дистального отдела бедренной кости наиболее часто встречается перелом Салтера – Харриса 2-го типа с линией перелома, проходящей через зону роста и косо выходящей через метафиз. Открытый перелом Салтера – Харриса второго дистального отдела бедренной кости встречается достаточно редко из-за толстого мягкотканного футляра в этой области. Эти переломы обычно являются высокоэнергетическими травмами или сочетаются с травмами нескольких конечностей. Осложнения включают сосудисто-нервные повреждения, компартмент-синдром, инфекцию или нарушение роста после травмы или репозиции.
Множество генетических нарушений влияют на минеральную плотность костей или их биомеханику, что вынуждает отходить от общепринятых принципов лечения переломов у детей. В нашем случае травма, полученная в относительно безопасной ситуации, привела к значительным нарушениям в организме. Они могли быть отчасти связаны с уменьшением минеральной плотности кости пациентки. Тем не менее родители пациентки не сообщали о каких-либо переломах или других травмах ребенка в прошлом, поэтому мы сделали вывод, что данное смещение, при котором проксимальный фрагмент бедра проткнул кожу задней части бедра, вероятно, частично обусловлено снижением мышечного тонуса, поскольку при отсутствии нарушения соединительной ткани можно ожидать, что мягкотканный футляр, окружающий бедренную кость, стабилизирует отломки. Многочисленные исследования показали, что результаты лечения напрямую зависят от степени начального смещения при переломах данного типа [6, 7]. По этой причине необходимо учитывать вероятность плохого исхода при переломах дистальной части бедренной кости у детей с нарушением плотности костей и мягких тканей.
В нашем случае был высок риск повреждения сосудов, и мы проводили многократную оценку их функции с целью подтверждения адекватного кровоснабжения. Повреждение подколенной артерии встречается менее чем в 1 % случаев и обычно связано с гиперэкстензией конечности при травме [8]. Учитывая рекурвацию пораженной конечности и вынужденное сгибание колена, можно предположить, что у пациентки было именно такое повреждение. Мы сделали вывод, что снижение мышечного тонуса, связанное с тетрасомией 18р, может способствовать значительному смещению и, как следствие, более значительному разрушению мягких тканей, что повышает риск травм подколенной артерии. Исходя из этого, мы провели допплерографическое обследование и определили лодыжечно-плечевой индекс для подтверждения целостности сосудов, несмотря на пальпируемый дистальный пульс.
Дистальные метафизарные переломы бедренной кости даже при минимальном смещении связаны с риском остановки роста. Согласно некоторым исследованиям данное осложнение встречается в 58 % случаев [9, 10]. Кроме того, ущемление надкостницы, как в нашем случае, является предвестником преждевременной остановки роста [11]. По этой причине при разговоре с родителями мы подчеркнули остановку роста кости как потенциальное осложнение.
При любом переломе у детей осложнения после травмы могут полностью проявиться спустя месяцы или годы. В молодом возрасте восстановление происходит быстрее, но при этом может наблюдаться неравномерный рост ног. Мы рекомендуем проводить тщательное и длительное наблюдение пациента с целью выявления любых задержек роста дистальной части бедра. Мы также продлили срок фиксации в гипсе без применения опоры на ногу до 4 нед. и удалили спицы через 6 нед., чтобы обеспечить нормальное сращение перелома.
Заключение
Тетрасомия 18р приводит к врожденной мышечной слабости, которая может нарушать функцию мышечных футляров, стабилизирующих длинные кости. Это может стать причиной сильного смещения переломов и, следовательно, вызвать учащение сосудистых повреждений, нарушение роста и ухудшить общий прогноз. Лечащие врачи должны обладать всеми необходимыми знаниями о тетрасомии 18р и связанными с ней ортопедическими нарушениями. В медицинской литературе приведено недостаточно информации о лечении переломов костей у пациентов с тетрасомией 18р. Нами были получены хорошие результаты, соответствующие всем стандартам оказания медицинской помощи, включавшей до- и послеоперационную антибиотикотерапию, туалет и хирургическую обработку раны, фиксацию открытого перелома и наложение гипса после операции. Мы также увеличили продолжительность ношения гипса без опоры на ногу на 1 нед. и удалили спицы на 1 нед. позже по сравнению с ситуацией, при которой признаки заболевания костей или соединительной ткани отсутствуют.
Дополнительная информация
Источник финансирования. Отсутствует.
Конфликт интересов. Авторы заявляют об отсутствии явных и потенциальных конфликтов интересов, связанных с публикацией данной статьи.
Этическая экспертиза. Было получено информированное согласие пациента на публикацию данных.
Вклад авторов
А.Р. Арен — основной автор, участие в написании, редактировании и представлении этой работы.
М. Морал, Х. Десаи, К. Адамс — участие в анализе и написании обзора литературы по соответствующей теме.
Д. Робертс — лечащий врач, редактирование статьи.
Благодарности. Мы выражаем признательность журналу за предоставленную возможность сотрудничества.
Об авторах
Абдул Рахман Арен
Медицинский центр Олбани
							Автор, ответственный за переписку.
							Email: mrbonelover@gmail.com
				                	ORCID iD: 0000-0001-6625-7675
				                																			                	http://www.amc.edu
							
доктор, отделение ортопедической хирургии
США, Олбани, штат Нью-ЙоркМухаммед Морал
Медицинский центр Олбани
														Email: MoralM@amc.edu
				                					                																			                								
доктор, магистр делового администрирования, отделение ортопедической хирургии
США, Олбани, штат Нью-ЙоркХусбу Десаи
Медицинский центр Олбани
														Email: DesaiK@amc.edu
				                					                																			                								
доктор, отделение ортопедической хирургии
США, Олбани, штат Нью-ЙоркКёртис Адамс
Медицинский центр Олбани
														Email: Adamsc@amc.edu
				                					                																			                								
доктор, отделение ортопедической хирургии
Олбани, штат Нью-ЙоркДжаред Робертс
Медицинский центр Олбани
														Email: Robertsj@amc.edu
				                					                																			                								
доктор, отделение ортопедической хирургии
Россия, Олбани, штат Нью-ЙоркСписок литературы
- Styrkarsdottir U, Halldorsson BV, Gretarsdottir S, et al. Multiple genetic loci for bone mineral density and fractures. N Engl J Med. 2008;358(22):2355-2365. https://doi.org/10.1056/NEJMoa0801197.
 - Sebold C, Roeder E, Zimmerman M, et al. Tetrasomy 18p: report of the molecular and clinical findings of 43 individuals. Am J Med Genet A. 2010;152A(9):2164-2172. https://doi.org/10.1002/ajmg.a.33597.
 - McKenna SM, Hamilton SW, Barker SL. Salter Harris fractures of the distal femur: learning points from two cases compared. J Investig Med High Impact Case Rep. 2013;1(3):2324709613500238. https://doi.org/10.1177/2324709613500238.
 - Kuleta-Bosak E, Bozek P, Kluczewska E, et al. Salter-Harris type II fracture of the femoral bone in a 14-year-old boy — case report. Pol J Radiol. 2010;75(1):92-97.
 - Peterson HA, Madhok R, Benson JT, et al. Physeal fractures: Part 1. Epidemiology in Olmsted County, Minnesota, 1979-1988. J Pediatr Orthop. 1994;14(4):423-430.
 - Arkader A, Warner WC, Jr., Horn BD, et al. Predicting the outcome of physeal fractures of the distal femur. J Pediatr Orthop. 2007;27(6):703-708. https://doi.org/10.1097/BPO.0b013e3180dca0e5.
 - Lombardo SJ, Harvey JP, Jr. Fractures of the distal femoral epiphyses. Factors influencing prognosis: a review of thirty-four cases. J Bone Joint Surg Am. 1977;59(6):742-751.
 - Basener CJ, Mehlman CT, DiPasquale TG. Growth disturbance after distal femoral growth plate fractures in children: a meta-analysis. J Orthop Trauma. 2009;23(9):663-667. https://doi.org/10.1097/BOT.0b013e3181a4f25b.
 - Liu RW, Armstrong DG, Levine AD, et al. An anatomic study of the distal femoral epiphysis. J Pediatr Orthop. 2013;33(7):743-749. https://doi.org/10.1097/BPO.0b013e31829d55bf.
 - Connolly JF, Shindell R, Huurman WW. Growth arrest following a minimally displaced distal femoral epiphyseal fracture. Nebr Med J. 1987;72(10):341-343.
 - Segal LS, Shrader MW. Periosteal entrapment in distal femoral physeal fractures: harbinger for premature physeal arrest? Acta Orthop Belg. 2011;77(5):684-690.
 
Дополнительные файлы
				
			
						
					
						
									









