Первичный опухолевый (туморальный) кальциноз — редкое заболевание в практике ревматолога и ортопеда: опыт применения ингибитора интерлейкина-1 в сочетании с хирургической коррекцией
- Авторы: Петухова В.В.1, Идрисова Р.В.2, Снегирева Л.С.1, Красногорская О.Л.1, Суспицын Е.Н.1,3, Веселов А.Г.4, Костик М.М.1
-
Учреждения:
- ФГБОУ ВО «Санкт-Петербургский государственный педиатрический медицинский университет Минздрава России»
- СПбГБУЗ «Детская городская больница № 1»
- НМИЦ онкологии им. Н.Н. Петрова
- ФГБОУ ВО «Санкт-Петербургский государственный педиатрический медицинский университет Минздрава России»
- Выпуск: Том 7, № 3 (2019)
- Страницы: 85-92
- Раздел: Клинические случаи
- Статья получена: 01.05.2019
- Статья одобрена: 11.06.2019
- Статья опубликована: 02.10.2019
- URL: https://journals.eco-vector.com/turner/article/view/12523
- DOI: https://doi.org/10.17816/PTORS7385-92
- ID: 12523
Цитировать
Аннотация
Обоснование. Первичный опухолевый кальциноз является крайне редким заболеванием. Статистические данные о встречаемости данной патологии, а также клинические рекомендации по лечению в русскоязычной литературе отсутствуют.
Клиническое наблюдение. Представлен клинический случай лечения пациента 11,5 года с первичным опухолевым кальцинозом и эквинусной деформацией левой стопы. Ребенок поступил с жалобами на наличие множественных подкожных кальцинатов, невозможность самостоятельно ходить, утомляемость, подъем температуры до фебрильных цифр, деформацию левой стопы. Проведен комплекс клинико-лабораторного, иммунологического и генетического обследования. После установки диагноза и назначения терапии ингибитором интерлейкина-1β отмечена значительная положительная динамика: общее состояние пациента существенно улучшилось, уменьшилось количество кальцинатов, были купированы воспалительные явления. При обследовании обнаружено, что деформация левой стопы обусловлена кальцификацией ахиллова сухожилия и икроножной мышцы. Для лечения деформации стопы было успешно применено хирургическое лечение.
Обсуждение. В результате комплексного подхода к лечению достигнуто значимое клиническое улучшение. Ребенок самостоятельно ходит, прекратилось образование новых кальцинатов, снизилась утомляемость, был купирован воспалительный процесс. Благодаря применению ингибитора интерлейкина-1β в качестве постоянной терапии первичного опухолевого кальциноза удалось выполнить хирургическое лечение без осложнений со стороны послеоперационной раны, а также предотвратить рецидив деформации.
Заключение. Представленный клинический случай демонстрирует применение междисциплинарного подхода к лечению крайне редкого заболевания. При отсутствии клинических рекомендаций по лечению и диагностике первичного опухолевого кальциноза верификация правильного диагноза и применение комплексного лечения позволили добиться значительного улучшения качества жизни пациента. Мы считаем необходимым сообщить не только о новых эффективных методах лечения, но и информировать специалистов о клинической картине столь редкого заболевания.
Полный текст
Обоснование
Первичный опухолевый кальциноз — это заболевание, характеризующееся единичными и множественными отложениями солей кальция и фосфора в подкожно-жировой клетчатке [1]. Кальциноз проявляется плотно кальцинированными массами в форме узлов, локализованных в мягких тканях, как правило, на разгибательной поверхности суставов [2]. Впервые данное состояние описано в зарубежной литературе в 1898 г. [3]. В 1943 г. Инклан обобщил имеющиеся данные, сопоставил их с результатами собственных наблюдений и выделил описанное состояние в качестве самостоятельного заболевания, определив термином tumoral calcinosis (опухолевый кальциноз) [4]. В 1960 г. был установлен семейный характер данного заболевания [5]. Заболевание имеет несколько синонимов в своем названии: первичный опухолевый кальциноз, семейный туморальный кальциноз, гиперфосфатемический гиперостоз-синдром. Заболевание, как правило, носит прогрессирующий характер. По совокупности лабораторных показателей выделяют несколько типов туморального кальциноза. I тип характеризуется гиперфосфатемией, связан с аномалией зубов и повышенным уровнем 1,25-дигидроксивитамина D (1,25(OH)2D). II тип развивается у пациентов, получающих заместительную почечную терапию при помощи гемодиализа. III тип — это семейный тип, который включает гиперфосфатемию и нормальный уровень 1,25(OH)2D [2, 6]. Генетические исследования определили мутации в генах GALNT3, Klotho, FGF23, приводящие к развитию туморального кальциноза. В основе патогенеза туморального кальциноза обычно лежат нарушения регуляции фосфорного гомеостаза. Мутации, вызывающие семейный туморальный кальциноз/синдром гиперфосфатемии-гиперостоза, приводят к относительной недостаточности или резистентности к расщеплению молекулы интактного FGF23, являющегося основным регулятором уровня фосфора, что обусловливает гиперфосфатемию из-за увеличенной почечной канальцевой реабсорбции фосфата и повышенной или неадекватной целесообразной нормальной продукции 1,25(OH)2D. В результате усиливается желудочно-кишечная абсорбция фосфора и кальция, что в свою очередь приводит к гиперфосфатемии. У пациентов развиваются очаги эктопической кальцификации и/или диафизарный гиперостоз, который может проявляться болью в диафизах длинных костей и часто ошибочно диагностируется как остеомиелит [7]. Механизмы, объясняющие, как гиперфосфатемия реализуется в непосредственно туморальный кальциноз, практически не изучены. Описаны случаи туморального кальциноза с нормальными показателями фосфорного обмена, а также случаи, при которых не выявлено мутаций в указанных генах, что, наиболее вероятно, связано с наличием других механизмов развития данного заболевания [8].
К клиническим особенностям заболевания относятся ранний возраст дебюта заболевания, наличие периартикулярных опухолевых образований, ограничивающих движения. При этом образования безболезненные и смещаются при пальпации. При пункции или биопсии образований в них определяется белое известковое содержимое.
При диагностике заболевания по данным рентгенографии выявляют очаговые кальцинаты в мягких тканях, сливающиеся в кисты, которые чаще всего расположены на разгибательных поверхностях. По данным КТ определяются очаговые кальцинаты в виде кист, которые сообщаются с синовиальной оболочкой. По данным МРТ в протоколе Т1: негомогенные очаги с низкоинтенсивным сигналом. По данным МРТ в протоколе Т2: диффузные сигналы низкой интенсивности — яркие узлы с чередованием интенсивного сигнала и отсутствием сигнала.
Наиболее характерными лабораторными отклонениями являются гиперфосфатемия (реже нормофосфатемия), нормокальциемия, нормальный уровень 1,25(ОН)2D, нормальный уровень паратиреоидного гормона, нормальная скорость клубочковой фильтрации, отсутствие аутоантител (таких как антинуклеарный фактор, антитела при склеродермии, дерматомиозите, антитела к экстрагируемым ядерным антигенам).
Морфологические исследования у пациентов с туморальным кальцинозом представлены эктопической кальцификацией на фоне хронического воспаления с множественными пенистыми макрофагами, наличием капсулы и гигантских многоядерных клеток.
Цель данной публикации — привлечь внимание специалистов к ультраредкой орфанной патологии, такой как туморальный кальциноз, на примере которого показать применение междисциплинарного подхода (лекарственные препараты и ортопедическая коррекция).
Клинический случай
Мальчик Р., 11,5 года, поступил с жалобами на наличие кальцинатов в области нижних конечностей, преимущественно в области ягодиц, невозможность ходить, быструю утомляемость, слабость, ежедневный подъем температуры тела до фебрильных цифр, воспалительную активность в анализах крови (повышение уровня С-реактивного белка (СРБ) более 200 мг/л, повышение СОЭ до 60–70 мм/ч). Показатели кальций-фосфорного обмена были в пределах референтных значений.
Ребенок болен с 3,5 года, с ноября 2009 г., когда впервые отмечена потеря массы тела, появились слабость, боли в коленных суставах, уплотнения под кожей, которые увеличивались в размерах и количественно. В мае 2010 г. была проведена биопсия образований по передней поверхности голеней. По результатам морфологического исследования изменения трактовались как «кальцинаты мягких тканей». В декабре 2011 г. после вирусной инфекции состояние ухудшилось, появились жалобы на мышечную слабость, быструю утомляемость и боль в мышцах. В течение 2012–2016 гг. пациент регулярно обследовался в одной из федеральных ревматологических клиник Москвы, где был поставлен диагноз ювенильного дерматомиозита, в соответствии с которым ребенок получал терапию кортикостероидами, метотрексатом без существенной положительной динамики, за исключением купирования лихорадки и лабораторной воспалительной активности на фоне терапии кортикостероидами. По результатам иммунологического обследования аутоантитела отсутствовали. Признаков миоцитолиза не выявлено, активность ферментов креатинфосфокиназы, лактатдегидрогеназы, аспартатаминотрансферазы была в пределах нормальных значений, показатели электронейромиографии также были без особенностей.
При первой госпитализации в декабре 2016 г. были обнаружены множественные кальцинаты в области нижних конечностей, преимущественно ягодиц, коленных суставов, по передней поверхности голеней, подкожно по задней поверхности бедра. Объем тканей области ягодиц был увеличен, ягодицы каменистой плотности. Обращали на себя внимание специфические черты лиц в виде липоатрофии, признаки экзогенного гиперкортицизма. У ребенка присутствовали признаки резко нарушенного питания: был истончен подкожно-жировой слой на лице, туловище, конечностях. Наблюдались выраженная деформация опорно-двигательной системы, нарушение роста левой нижней конечности, задержка физического развития, выраженное поражение мышечной системы, гипотрофия мышц и множественные контрактуры суставов верхних и нижних конечностей. Объем движений в височно-нижнечелюстном суставе был ограничен. Периодически над уплотненными участками отмечалась гипертермия. Пациент получал системную глюкокортикостероидную терапию, метотрексат на протяжении многих лет.
По результатам обследования были получены следующие данные. Иммунологический анализ крови: антинуклеарный фактор — отрицательный, антитела при полимиозите: антитела к Mi-2, Кu, PM-Scl100, PM-Scl175, SRP, антисинтетазные антитела (Jo-1, PL-7, PL-12, EJ, OJ); антитела к экстрагируемым ядерным антигенам не обнаружены. При рентгенологическом исследовании выявлены многочисленные обширные участки обызвествления неправильной формы в области верхних и нижних конечностей. При выполнении МРТ-исследования в режиме «все тело» в проекции ягодичных мышц с обеих сторон прослеживались обширные зоны неоднородного МР-сигнала (гипоинтенсивный чередовался с гиперинтенсивным МР-сигналом). По данным КТ визуализировались множественные кальцинаты. Внешний вид нижних конечностей пациента и данные КТ представлены на рис. 1. По результатам морфологического исследования мышечного биоптата — мышечная ткань с прослойками отечной волокнистой соединительной ткани. Мышечные волокна толстые с дистрофическими изменениями. По данным биопсии области кальцината — диффузная полосовидная лимфоцитарно-макрофагальная инфильтрация с большим количеством многоядерных клеток типа «инородных тел», наличие пенистых клеток, кальцинат отграничен капсулой. Была проведена дифференциальная диагностика с ювенильным дермато/полимиозитом, хронической болезнью почек, синовиальным хондроматозом, кальцифицирующим миозитом, бурситом, тендинитом, заболеваниями, сопровождающимися нарушением фосфорно-кальциевого обмена. Было выполнено молекулярно-генетическое исследование — секвенирование полных кодирующих последовательностей генов GALNT3, FGF23 и Klotho. Мутаций обнаружено не было, что послужило поводом для выполнения полноэкзомного секвенирования нового поколения на платформе Illumina, которое не выявило клинически значимых вариантов вышеупомянутых генов, а также патогенных мутаций в генах фосфорно-кальциевого обмена.
Рис. 1. Динамика изменений пациента с туморальным кальцинозом до и после оперативного лечения: а — внешний вид пациента в возрасте 7 лет (2013). Определяются кальцинаты в области коленных суставов, эквинусная деформация левой стопы; б–г — внешний вид пациента в возрасте 11,5 года (2017). Определяются множественные кальцинаты в области коленных и голеностопных суставов, эквинусная деформация левой стопы; д — мультиспиральная компьютерная томография голеней, выполненная в 2017 г. Определяются множественные кальцинаты мягких тканей голеней, больше слева, кальцифицированное ахиллово сухожилие и частично кальцифицированная икроножная мышца; е–з — внешний вид пациента через 3 мес. после оперативного лечения. Устранена эквинусная деформация левой стопы. Новые кальцинаты не визуализируются
Учитывая наличие лихорадки, высокий уровень СРБ — 202 мг/л (норма — менее 5,0 мг/л), рецидивирование лихорадки при попытках снизить дозу системных глюкокортикостероидов (кортикостероидзависимость), было принято решение о назначении терапии ингибитором интерлейкина-1β — канакинумабом. Основанием для назначения терапии было наличие клинико-лабораторных симптомов аутовоспаления (лихорадка, высокий уровень СРБ и положительный эффект высоких доз системных кортикостероидов), а также представленный в литературных источниках успешный опыт применения ингибиторов интерлейкина-1 (анакинры и канакинумаба) группой исследователей из Национального института здоровья США (Бетезда) [2]. На фоне терапии канакинумабом (терапия была назначена в соответствии с решением врачебной комиссии и Федеральным законом № 323 и после получения информированного согласия родителей пациента) в дозе 150 мг (4 мг/кг) каждые 4 нед. подкожно была купирована лихорадка, нормализовался уровень СРБ до 0,2 мг/л, ребенок смог самостоятельно передвигаться, чего не было ранее. Постепенно системная кортикостероидная терапия была отменена. Показатели кальций-фосфорного обмена оставались в пределах референтных значений. За более чем двухлетний период наблюдения на фоне продолжения терапии канакинумабом не зафиксировано появления новых кальцинатов либо увеличения в размерах имеющихся, также отмечен регресс кальцинатов (уменьшение в объеме и по плотности). Терапия продолжается по настоящее время.
В последующем пациенту была выполнена оперативная коррекция ортопедических изменений в связи с укорочением правой нижней конечности. Ребенок передвигался с опорой на передний отдел левой стопы за счет эквинусной деформации. Левая стопа находилась в фиксированном положении подошвенного сгибания (150°). Пассивная коррекция была возможна до 145°. Определялись множественные кальцификаты костной плотности в области коленных суставов, задних поверхностей голеней и бедер. По латеральной поверхности ахиллова сухожилия пальпировалось костной плотности образование размером 10 × 20 мм. По данным лучевого исследования выявлены множественные кальцификаты мягких тканей, больше слева, кальцифицированные ахиллово сухожилие, сухожильная часть икроножной мышцы, а также нижняя треть икроножной мышцы (рис. 1).
Оперативное лечение было выполнено под наркозом в положении пациента на спине. Произведен разрез кожи по задней поверхности левой голени в проекции ахиллова сухожилия. Рассечен слой рыхлой подкожной жировой клетчатки. Фасцию голени и ткань сухожильного влагалища ахиллова сухожилия невозможно было дифференцировать в связи с их интимным сращением. Сухожильное влагалище и ахиллово сухожилие представлено единым конгломератом белесого цвета на всем протяжении с включениями плотных кальцификатов различных размеров, окруженных рубцовыми спайками с прилежащими мягкими тканями. Принято решение выделить данный конгломерат из спаек с окружающими его мягкими тканями с целью улучшения эффекта планируемой миопластики брюшка икроножной мышцы. При попытке выделения конгломерата ахиллова сухожилия из фиброзных спаек произошло самопроизвольное вскрытие стенки данного конгломерата в области задней поверхности. Из области отверстия с небольшим давлением в рану начало поступать жидкое содержимое конгломерата, представляющее собой однородную белесую массу, по плотности напоминающую жидкую сметану или раствор извести (рис. 2).
Рис. 2. Интраоперационные изменения у пациента с туморальным кальцинозом: а — вид интраоперационной раны в момент самопроизвольного вскрытия стенки конгломерата тканей в области ахиллова сухожилия; б — вскрыта (заполнена жидким белесым содержимым) полость в ахилловом сухожилии; в — вид интраоперационной раны после миопластики. Определяются неизмененные волокна икроножной мышцы
В жидкости на ощупь определялись твердые частицы различных размеров, по плотности напоминающие кристаллы и песчинки. Полость вскрыта. Выделилось около 20 мл содержимого. При ревизии полости сухожильных структур выявлено не было. Полость локализована в самом ахилловом сухожилии и стенками полости служила измененная сухожильная ткань. На стенках полости находились разнокалиберные кальцинаты. Протяженность полости по длине соответствовала длине ахиллова сухожилия и продолжалась до сухожильного растяжения икроножной мышцы, распространяясь проксимально в мышечный массив. Проксимальная граница полости не пальпировалась. Жидкое содержимое полости полностью эвакуировано и вместе с участками стенок фиброзного конгломерата отправлено на морфологическое исследование. Полость ахиллова сухожилия и полость в проксимальном отделе голени неоднократно промыта изотоническим раствором натрия хлорида и раствором фурацилина. Выделено брюшко икроножной мышцы. Визуально мышечная ткань была не изменена. На расстоянии 2 см проксимальнее границы с сухожильным растяжением выполнено рассечение мышечных волокон брюшка мышцы в шахматном порядке (миопластика). Стопа переведена в среднее положение (90º). Заднюю капсулотомию (капсулотомию голеностопного и таранно-пяточного суставов) было решено не выполнять в связи с хорошим эффектом миопластики. Медиальный и латеральный края ахиллова сухожилия сшиты между собой наглухо так, чтобы исключить наличие полости внутри. Рана ушита. Проведена иммобилизация задней гипсовой лонгетой в положении стопы 90º. Послеоперационный период протекал без особенностей, ребенок получал антибактериальную терапию в течение десяти дней, а также перевязки. Заживление раны первичным натяжением, швы сняты на 14-е сутки. Перед выпиской из стационара выполнена иммобилизация левой нижней конечности циркулярной пластиковой повязкой от средней трети бедра до пальцев стопы.
По данным морфологического исследования выявлены типичные для туморального кальциноза изменения (рис. 3).
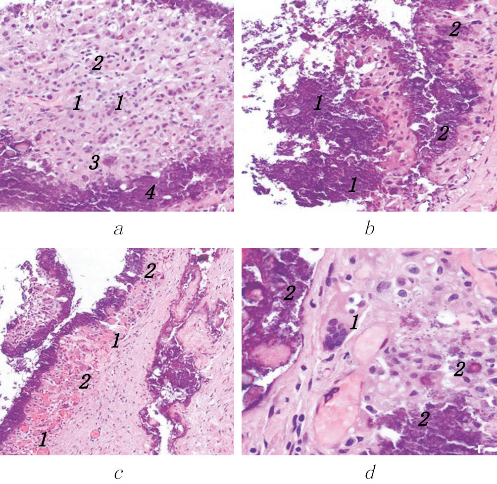
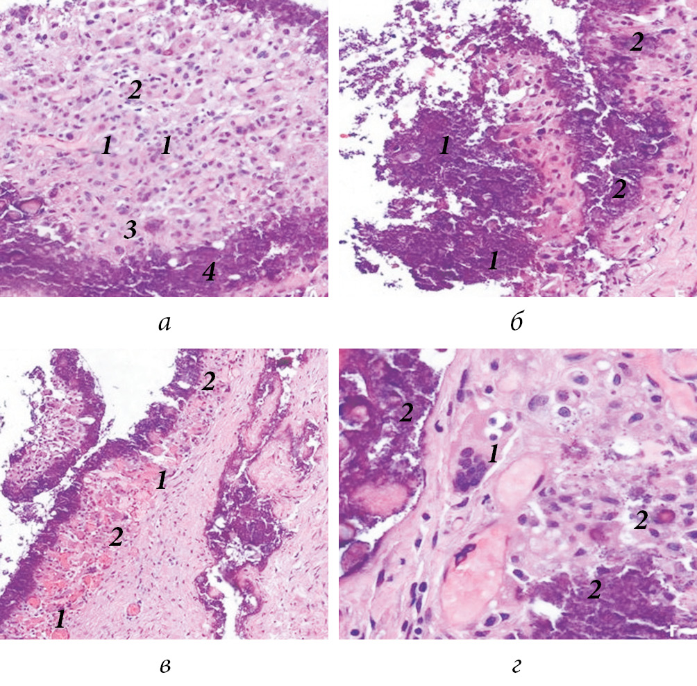
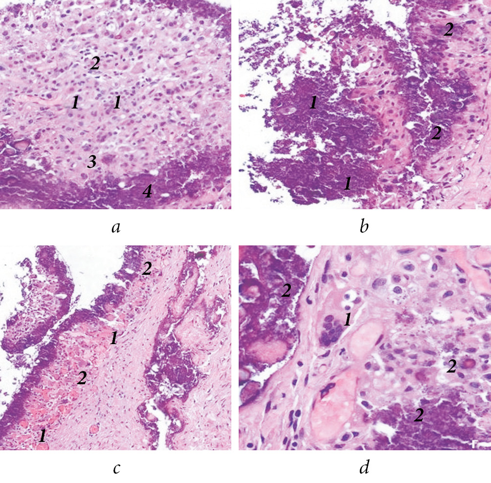
Рис. 3. Гистологические изменения у пациента с первичным туморальным кальцинозом: а — окраска гематоксилином и эозином. ×200. Воспалительный инфильтрат: 1 — лимфоцитарно-плазмоцитарная инфильтрация; 2 — пенистые клетки — макрофаги; 3 — гигантские многоядерные клетки инородных тел; 4 — соли кальция; б — окраска гематоксилином и эозином. ×200. Стенка кисты с большим количеством кальция в стенке (1) и в просвете (2); в — окраска гематоксилином и эозином. ×100. Стенка кисты с кальцием. В стенке кисты: 1 — многочисленные полнокровные сосуды; 2 — лимфоцитарно-плазмоцитарная инфильтрация; г — окраска гематоксилином и эозином. ×400. Стенка кисты: 1 — гигантские многоядерные клетки инородных тел; 2 — кальций
Через месяц после оперативного вмешательства иммобилизация была отменена, ребенок получил курс лечебной физкультуры и массажа по месту жительства. При контрольном осмотре через 3 мес. после оперативного лечения ребенок ходит, равномерно нагружая обе нижние конечности, походка двухфазная. Левая стопа в среднем физиологическом положении, активные движения возможны в объеме 20°. Послеоперационный рубец без признаков воспаления. По данным рентгенографии левой голени количество кальцинатов в области ахиллова сухожилия снижалось. При дальнейшем наблюдении в течение года результат оперативного лечения стойко сохранялся. Динамика изменений до и после оперативного вмешательства представлена на рис. 1.
Обсуждение
Первичный опухолевый кальциноз — крайне редкое состояние, истинная частота заболевания неизвестна. Зарубежными авторами за время наблюдения пациентов были установлены наиболее выраженные симптомы, которые в дальнейшем определены как критерии данного заболевания.
По этиологии выделяют первичный (семейный) и вторичный кальциноз. Первичный кальциноз — это заболевание с аутосомно-рецессивным типом наследования, которое связано с мутациями в одном из генов, регулирующих фосфорный гомеостаз, — FGF23, Klotho-1 и GALNT3 [2, 9–11]. Вторичный опухолевый кальциноз является следствием нарушенной функции почек (кальциноз при хронической почечной патологии) [12–14], развивается при иммунопатологических заболеваниях (дерматомиозит) [15], нарушениях фосфорно-кальциевого обмена [16, 17].
Клиническая картина заболевания у нашего пациента характеризовалась весьма длительным периодом постановки диагноза заболевания. Пациенту исходно был поставлен диагноз ювенильного дерматомиозита, несмотря на отсутствие таких типичный проявлений, как поражение кожи (гелиотропная эритема, феномен Готтрона), наличие лабораторных проявлений миоцитолиза и типичных изменений на электронейромиографии. Пациент не отвечал на терапию по поводу ювенильного дерматомиозита. С момента поступления в нашу клинику была проведена дифференциальная диагностика между воспалительными миопатиями (ювенильный дерматомиозит), оссифицирующей прогрессирующей фибродисплазией, кальцифицирующим миозитом, аутоиммунными и иммунопротеосомными заболеваниями. Методом секвенирования нового поколения исключены иммунопротеосомные заболевания, для которых известны молекулярные механизмы. Уровень мРНК интерферон-зависимых генов, позволивший бы с большей точностью диагностировать или исключить иммунопротеосомный характер заболевания, не определяли в связи с отсутствием методики (Interferon score) в РФ. В связи с особенностями клинической картины, радиологическими, морфологическими данными, а также по причине отсутствия симптомов миоцитолиза был выставлен диагноз туморального кальциноза. Особенность случая заключается в том, что туморальный кальциноз не был подтвержден молекулярно-генетическими методами. Ни секвенирование по Сэнгеру, ни полноэкзомный анализ не позволили выявить релевантные мутации в генах, имеющих отношение к фосфорно-кальциевому обмену. В то же время вариант течения, наблюдаемый у нашего пациента, может быть связан с дефектом гена, ранее не ассоциированного с наблюдаемым фенотипом и запускающего развитие заболевания посредством неочевидных патогенетических механизмов. Возможным решением представляется проведение полногеномного секвенирования, желательно в формате отец – мать – пробанд. В то же время нельзя исключить, что отсутствие мутаций может быть связано с техническими особенностями методики секвенирования нового поколения, которая не всегда достаточно надежно идентифицирует инсерции и делеции, а также аномалии копийности. Cледует отметить высокую лабораторную активность и значительный эффект от применения блокатора интерлейкина-1, что указывает на аутовоспалительный механизм (активация инфламмасомы), лежащий в основе патогенеза данного заболевания. Знание особенностей морфологии данного заболевания позволяет предположить, что клетки гранулемы, а также гигантские многоядерные макрофаги, окружающие кальцинат, являются основными продуцентами провоспалительных цитокинов, подобно подагре, асбестозу и другим заболеваниям с аутовоспалительным компонентом.
Заключение
Первичный опухолевый кальциноз — крайне редкое заболевание, для которого не разработаны подходы к консервативной терапии и хирургической коррекции. Дифференциальная диагностика включает в себя ревматические, метаболические заболевания, посттравматические изменения мышц.
Хирургическое лечение при системных заболеваниях всегда является предметом дискуссии и требует нестандартного подхода. Исход оперативного лечения трудно прогнозировать в связи с отсутствием сведений о регенерации измененных тканей. Прогрессирование заболевания может приводить к рецидивированию деформаций.
Терапия блокатором интерлейкина-1β оказалась эффективной и безопасной и позволила выполнить оперативное лечение без рецидивов кальцинатов в зоне оперативного лечения.
Дополнительная информация
Источник финансирования. Исследование поддержано грантом РФФИ № 17-29-06069.
Конфликт интересов. Авторы декларируют отсутствие явных и потенциальных конфликтов интересов, связанных с публикацией настоящей статьи.
Этическая экспертиза. Авторы получили письменное согласие законных представителей пациента на анализ и публикацию медицинских данных.
Вклад авторов
В.В. Петухова, А.Г. Веселов — написание статьи, сбор и обработка графического материала.
Р.В. Идрисова, Л.С. Снегирева, О.Л. Красногорская — подготовка клинического и лабораторного материала.
М.М. Костик, Е.Н. Суспицын — написание разделов статьи, редактирование текста статьи.
Об авторах
Вероника Витальевна Петухова
ФГБОУ ВО «Санкт-Петербургский государственный педиатрический медицинский университет Минздрава России»
Email: nika_add@mail.ru
ORCID iD: 0000-0002-2358-5529
SPIN-код: 9451-3030
клинический ординатор кафедры хирургических болезней детского возраста им. Г.А. Баирова
Россия, Санкт-ПетербургРена Вагиф Кызы Идрисова
СПбГБУЗ «Детская городская больница № 1»
Email: rena.idrisova2015@mail.ru
ORCID iD: 0000-0002-3440-7963
SPIN-код: 7257-0795
врач-педиатр
Россия, Санкт-ПетербургЛюдмила Степановна Снегирева
ФГБОУ ВО «Санкт-Петербургский государственный педиатрический медицинский университет Минздрава России»
Email: l.s.snegireva@mail.ru
ORCID iD: 0000-0001-6778-4127
SPIN-код: 7257-0795
врач-ревматолог педиатрического отделения № 3
Россия, Санкт-ПетербургОльга Леонидовна Красногорская
ФГБОУ ВО «Санкт-Петербургский государственный педиатрический медицинский университет Минздрава России»
Email: krasnogorskaya@yandex.ru
ORCID iD: 0000-0001-6256-0669
SPIN-код: 2460-4480
канд. мед. наук, доцент кафедры патологической анатомии с курсом судебной медицины, заведующая патологоанатомическим отделением
Россия, Санкт-ПетербургЕвгений Николаевич Суспицын
ФГБОУ ВО «Санкт-Петербургский государственный педиатрический медицинский университет Минздрава России»; НМИЦ онкологии им. Н.Н. Петрова
Email: evgeny.suspitsin@gmail.com
ORCID iD: 0000-0001-9764-2090
SPIN-код: 2362-6304
канд. мед. наук, доцент кафедры общей и молекулярной медицинской генетики; старший научный сотрудник научной лаборатории молекулярной онкологии
Россия, Санкт-ПетербургАлександр Григорьевич Веселов
ФГБОУ ВО «Санкт-Петербургский государственный педиатрический медицинский университет Минздрава России»
Email: drveselov@bk.ru
ORCID iD: 0000-0001-6977-3966
SPIN-код: 7502-2280
канд. мед. наук, ассистент кафедры хирургических болезней детского возраста им. Г.А. Баирова
Россия, Санкт-ПетербургМихаил Михайлович Костик
ФГБОУ ВО «Санкт-Петербургский государственный педиатрический медицинский университет Минздрава России»
Автор, ответственный за переписку.
Email: kost-mikhail@yandex.ru
ORCID iD: 0000-0002-1180-8086
SPIN-код: 7257-0795
д-р мед. наук, профессор кафедры госпитальной педиатрии
Россия, Санкт-ПетербургСписок литературы
- McClatchie S, Bremner AD. Tumoral calcinosis — an unrecognized disease. Br Med J. 1969;1(5637):153-155. https://doi.org/10.1136/bmj.1.5637.142-a.
- Ramnitz MS, Gourh P, Goldbach-Mansky R, et al. Phenotypic and genotypic characterization and treatment of a cohort with familial tumoral calcinosis/hyperostosis-hyperphosphatemia syndrome. J Bone Miner Res. 2016;31(10):1845-1854. https://doi.org/10.1002/jbmr.2870.
- Giard A. Sur la calcification hibernale. CR Soc Biol. 1898;10:1013-1015.
- Inclan A. Tumoral calcinosis. JAMA. 1943;121(7):490. https://doi.org/10.1001/jama.1943.02840070018005.
- McPhaul JJ, Engel FL. Heterotopic calcification, hyperphosphatemia and angioid streaks of the retina. Am J Med. 1961;31(3):488-492. https://doi.org/10.1016/0002-9343(61)90131-0.
- Chefetz I, Sprecher E. Familial tumoral calcinosis and the role of O-glycosylation in the maintenance of phosphate homeostasis. Biochim Biophys Acta. 2009;1792(9):847-852. https://doi.org/10.1016/j.bbadis.2008.10.008.
- Narchi H. Hyperostosis with hyperphosphatemia: evidence of familial occurrence and association with tumoral calcinosis. Pediatrics. 1997;99(5):745-745. https://doi.org/10.1542/peds.99.5.745.
- Rafaelsen S, Johansson S, Raeder H, Bjerknes R. Long-term clinical outcome and phenotypic variability in hyperphosphatemic familial tumoral calcinosis and hyperphosphatemic hyperostosis syndrome caused by a novel GALNT3 mutation; case report and review of the literature. BMC Genet. 2014;15:98. https://doi.org/10.1186/s12863-014-0098-3.
- Benet-Pages A, Orlik P, Strom TM, Lorenz-Depiereux B. An FGF23 missense mutation causes familial tumoral calcinosis with hyperphosphatemia. Hum Mol Genet. 2005;14(3):385-390. https://doi.org/10.1093/hmg/ddi034.
- Topaz O, Shurman DL, Bergman R, et al. Mutations in GALNT3, encoding a protein involved in O-linked glycosylation, cause familial tumoral calcinosis. Nat Genet. 2004;36(6):579-581. https://doi.org/10.1038/ng1358.
- Ichikawa S, Imel EA, Kreiter ML, et al. A homozygous missense mutation in human KLOTHO causes severe tumoral calcinosis. J Musculoskelet Neuronal Interact. 2007;7(4):318-319. https://doi.org/10.1172/JCI31330.
- Pan CW, Chen RF. Tumoral calcinosis in the neck region involving an unusual site in a hemodialysis patient. Laryngoscope. 2016;126(5):E196-198. https://doi.org/10.1002/lary.25794.
- Shen Q, Liu Y, Yu Q, et al. Disappearance of tumoral calcification after parathyroidectomy. Nephrology (Carlton). 2016;21(9):791-792. https://doi.org/10.1111/nep.12674.
- Buchkremer F, Farese S. Uremic tumoral calcinosis improved by kidney transplantation. Kidney Int. 2008;74(11):1498. https://doi.org/10.1038/ki.2008.142.
- Orandi AB, Dharnidharka VR, Al-Hammadi N, et al. Clinical phenotypes and biologic treatment use in juvenile dermatomyositis-associated calcinosis. Pediatr Rheumatol Online J. 2018;16(1):84. https://doi.org/10.1186/s12969-018-0299-9.
- Zhao L, Huang L, Zhang X. Systemic lupus erythematosus-related hypercalcemia with ectopic calcinosis. Rheumatol Int. 2016;36(7):1023-1026. https://doi.org/10.1007/s00296-016-3486-3.
- Htet TD, Eisman JA, Elder GJ, Center JR. Worsening of soft tissue dystrophic calcification in an osteoporotic patient treated with teriparatide. Osteoporos Int. 2018;29(2): 517-518. https://doi.org/10.1007/s00198-017-4330-7.
Дополнительные файлы










