Surgical treatment of a large paraurethral cyst
- Authors: Slesarevskaya M.N.1, Ponomareva Y.A.1, Sozdanov P.V.1, Tyurin A.G.1, Sycheva A.M.1, Kuzmin I.V.1
-
Affiliations:
- Academician I.P. Pavlov First Saint Petersburg State Medical University of the Ministry of Healthcare of the Russian Federation
- Issue: Vol 10, No 1 (2020)
- Pages: 75-80
- Section: Сlinical observations
- Submitted: 11.03.2020
- Accepted: 31.03.2020
- Published: 15.05.2020
- URL: https://journals.eco-vector.com/uroved/article/view/25306
- DOI: https://doi.org/10.17816/uroved10175-80
- ID: 25306
Cite item
Abstract
The paraurethral cysts are benign cystic formations, the clinical symptoms of which vary depending on the size of the cyst. The presented clinical observation describes the clinical picture, stages of surgical treatment, and results of histological examination of a large paraurethral cyst in a 36-year-old woman. The review of modern methods of diagnostics and treatment of paraurethral formations in women is made.
Keywords
Full Text
INTRODUCTION
Paraurethral cyst refers to benign formations from the glands located around the urethra. The largest paraurethral glands are the periurethral glands. The prevalence of this pathology among women aged 20–60 years is 1%–6% [1]. Paraurethral cysts are divided into two types: congenital and acquired. Congenital cysts can be formed from various embryonic components, namely cloacogenic cysts lined with colonic epithelium, cysts of Gartner duct or mullerian duct [2]. Such cysts are found in newborns and represent a large fluid-filled formation located between the urethra and the clitoris. The external opening of this formation is stenotic or obliterated, which leads to filling it with urine. Other anomalies, such as the absence of the perineum, the absence of the labia minora, or polycystic kidney disease, are often detected in such patients. Acquired cysts develop directly from the paraurethral glands. An infectious and inflammatory process in the paraurethral region, instrumental manipulations or surgical interventions on the urethra, and trauma are the risk factors of acquired cysts.
According to the criteria proposed by L.M. Deppisch [3], paraurethral cysts are divided morphologically into four groups, namely, the mullerian duct cysts, the Gartner duct cysts, cysts originating from the glandular paraurethral ducts, and acquired squamous epithelial cysts.
In 1993, G.E. Leach et al. [4] proposed a classification method, which aimed to create a unified descriptive system of paraurethral cystic formations. The classification includes categories L, N, S, and C3:
L – localization (distal, middle, or proximal part of the urethra with or without extension to the urinary bladder neck).
N – the number of paraurethral cystic formations (single or multiple).
S – size in centimeters.
C3 – configuration (C1 implies single, multiple, or saddle-shaped), connection (C2 implies place of connection with the urethra, which can be distal, middle, or proximal third), and urinary continence (C3 implies presence or absence of genuine urinary incontinence).
Paraurethral cysts are often asymptomatic and can be accidentally detected during gynecological examination. Clinical manifestations include infection of cysts, with the formation of large cysts, and are presented in two stages. At first, dysuric disorders and discharge from the urethra appear. When chronic inflammation develops around the cyst, pain in the lesser pelvis occurs, which intensifies during sexual intercourse. Women with large paraurethral cysts may develop acute urinary retention. [5].
Treatment for paraurethral cysts depends on the size of the cyst and presence of symptoms. Small, asymptomatic cysts can be left for case follow-up. Surgical treatment is the main treatment for paraurethral cysts. The size and location of the paraurethral cyst and the anatomy of the surrounding structures impact on the choice and the outcome of the surgical treatment method. The clinical case of a large paraurethral cyst has been described in this article. A 36-year-old patient M. was admitted to the urology clinic of the Pavlov First State Medical University of St. Petersburg with complaints of difficulty and weakened urination, pain in the urethra during urination, and constant pain in the lower abdomen. Past medical history revealed the patient had developed a 3 cm paraurethral formation immediately after childbirth 11 years ago. The patient was undergoing transvaginal ultrasound every year. A long-term history of recurrent cystitis, which occurred 8 years ago, with a recurrence rate of two times a year, was noteworthy. The patient took antibacterial drug (fosfomycin at a dose of 3 g/day once) and phytopreparations (Canephron, 1 capsule 3 times a day, 30 days after relapse) for cystitis with a moderate effect on an outpatient basis. The patient noted difficulty urinating 2 months before the hospitalization. There was an episode of acute urinary retention 1 month before the hospitalization, for which the woman sought medical help, and the urine was released by a catheter. Similar episodes of acute urinary retention occurred twice in the next month and were resolved by a single catheterization. The control ultrasound examination performed during this period revealed an increased diameter of paraurethral formation to 6 cm.
There were no gynecological abnormalities. There was one pregnancy with a successful delivery at the age of 25 years; the menstruation was regular. Sexual life was regular and, the patient was completely satisfied with it, according to the Sexual Life Questionnaire, version 2. There were no sexually transmitted infections in urethral scrapings. No clinically significant bacteriuria was detected in urine culture.
Physical examination showed that the patient had normal nutrition, the skin was of normal color, the external genital organs were normal, and the bladder was not palpable. Ultrasound report showed that there were no signs of dilation of the renal pelvicalyceal system, the parenchyma was intact, the bladder capacity was 252 mL, the walls were smooth, and the residual urine volume was 55 mL. A multilocular fluid formation (a multilocular paraurethral cyst) measuring 61 × 45 mm with heterogeneous contents was located in the area of the bladder neck. Uroflowmetry showed that with the urination volume of 190 mL, the maximum urine flow rate was 16 mL/s, and the average was 9 mL/s. The residual urine volume was 55 mL.
Magnetic resonance imaging (MRI) of the pelvic organs showed an uneven contour of the lower wall of the bladder, with uneven accumulation of the contrast agent, and with an altered MR signal. Fatty tissue of the vesicouterine space was viewed satisfactorily. The walls of the vagina, urethra, and the deep transverse muscle of the perineum, a pathological zone with a heterogeneous MR signal, uneven accumulation of contrast of 52 × 50 × 56 mm in size with moderately thickened septa that do not accumulate contrast are visualized in the projection of the lower wall of the bladder (Fig. 1 a, b). The visualized sections of the coecum and rectum had no abnormalities. The adipose tissue of the pararectal region and the ischiorectal fossa had no abnormalities. Free liquid in the study area was not detected. Pathologically, altered lymph nodes in the study area were not conclusively visualized.
Fig. 1.Patient M., 36 y. o. MRI of the pelvis. Paraurethral cyst, axial size 52 mm (a), sagittal size 52 mm (b)
Рис. 1.Пациентка М., 36 лет. Магнитно-резонансная томография малого таза. Парауретральная киста 52 мм в аксиальном размере (a), 56 мм — в сагиттальном размере (b)
The gynecological examination revealed external genital organs without pathological changes, gynecoid hair growth, and the urethral region, vulvovaginal glands, and anus had no abnormalities. Speculum examination showed normal smooth walls of the vagina, physiological in color, and the cervix was pale pink, clean, with the mucous discharge. The bimanual examination revealed the cervix was of normal consistency, the uterus was normal in size, dense, mobile, and painless. The appendages were not palpable on both sides. A dense, immobile formation without clear contours, about 6 cm in diameter, was palpated through the anterior wall of the vagina in the upper third, closer to the fornix. The mucous membrane above the formation was smooth and labile.
Urethrocystoscopy was performed. The wall of the bladder was pink and smooth, with enhanced vascular pattern. No pathological formations protruding into the lumen of the bladder were detected. The ureteric orifices were slit-shaped, located symmetrically at 5 and 7 o’clock positions, peristaltic; urine output had no visible impurities. The trigone of urinary bladder had no abnormalities. The proximal urethra was mucous, edematous, and folded. The mucous membrane had no abnormalities in the distal part of the urethra.
Clinical diagnosis was paraurethral cyst. Surgical treatment was recommended.
Surgery course. An incision was made along the anterior wall of the vagina after hydropreparation (Fig. 2). A paraurethral cyst with a diameter of about 6 cm was bluntly and sharply separated (Fig. 3). Its walls were excised (Fig. 4). The bladder was filled up to 250 cm; there was no urine leakage into the wound. The cyst bed (Fig. 5) was sutured with interrupted sutures (Vicryl 3–0). A Bülau drain was installed in the wound to the cyst bed, the incision of the vagina was sutured, and hemostasis was performed. A tampon was placed in the vagina. The urinary bladder was drained with a Foley catheter 18 Ch.
Fig. 2.Incision along the front wall of the vagina in the projection of a paraurethral cyst
Рис. 2.Разрез по передней стенке влагалища в проекции парауретральной кисты
Fig. 3.Exposure of the paraurethral cyst walls
Рис. 3.Выделение стенок парауретральной кисты
Fig. 4.Exposure of the paraurethral cyst walls
Рис. 4.Иссечение стенок парауретральной кисты
Fig. 5.Paraurethral cyst’ bed
Рис. 5.Ложе парауретральной кисты
The drainage and tampon were removed from the vagina after 24 hours, and the urethral catheter was removed 48 hours after the surgery. The patient was discharged on the fifth day after the surgery. The wound was cleaned daily and the dressings were changed on a daily basis till discharge. She was discharged satisfactorily without any active complaints. She noted a decrease in urinary difficulty, the disappearance of pain above the womb and a feeling of incomplete emptying of the bladder. The maximum urine flow rate was increased to 23 mL/s as per uroflowmetry, the average was up to 14 mL/s with the urination volume of 230 mL.
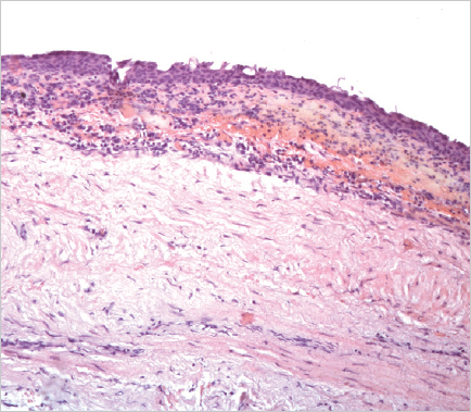
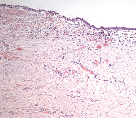
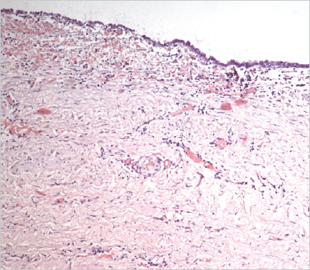
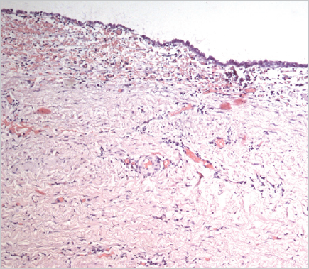
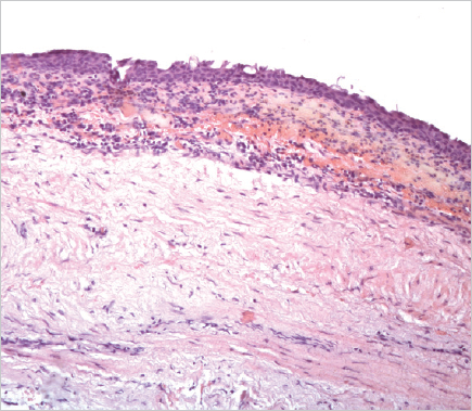
Histological examination of the removed paraurethral cyst was performed (Fig. 6–8).
Fig. 6.The wall of the paraurethral cyst, surgical material. Hematoxylin-eosin staining, ×100. The cyst wall is represented by fibrous tissue with moderate chronic inflammation, fresh hemorrhages (intraoperative) and covered with a transitional epithelium
Рис. 6.Стенка парауретральной кисты, операционный материал. Окраска гематоксилином и эозином, ×100. Стенка кисты представлена фиброзной тканью с умеренно выраженным хроническим воспалением, свежими кровоизлияниями (интраоперационными) и покрыта переходным эпителием
Fig. 7.The wall of the paraurethral cyst, surgical material. Hematoxylin-eosin staining, ×100. Epithelium with signs of dystrophia and minimal desquamation are represented
Рис. 7.Стенка парауретральной кисты, операционный материал. Окраска гематоксилином и эозином, ×100. Эпителий с признаками дистрофии и минимальной десквамации
Fig. 8.The wall of the paraurethral cyst, surgical material. Hematoxylin-eosin staining, ×100. Foci of epithelial lining atrophy are determined
Рис. 8.Стенка парауретральной кисты, операционный материал. Окраска гематоксилином и эозином, ×100. Определяются очаги атрофии эпителиальной выстилки
DISCUSSION
Paraurethral cysts larger than 10 cm in diameter are very rare [6]. The clinical manifestations of paraurethral cystic formations are nonspecific, and they often occur with the symptoms of other urological diseases. Paraurethral cystic lesions are detected during the physical examination in about 50% of patients [6]. The cyst is usually represented by a soft or tense oval formation in various parts of the urethra, palpable through the anterior wall of the vagina. Differential diagnostics of paraurethral tumor-like formations should be performed with diseases such as urethral diverticulum, ureterocele, leiomyoma, squamous cell carcinoma, neurofibroma, etc. [6, 7]. The differential diagnostics of paraurethral cystic formations with urethral diverticulum is especially important from a practical point of view. Discharge from the urethra can be detected during examination in two-thirds of cases of urethral diverticula by palpation through the vaginal anterior wall. In many cases, the diverticulum orifice cannot be seen in urethroscopy, and both voiding urethrocystography and positive pressure retrograde urethrography are negative. MRI of the pelvic organs is the method of choice for diagnosis in such cases. T1-weighted images can demonstrate the presence of a urethral diverticulum as an enlarged area with a homogeneous low signal intensity signal. The use of a contrast agent enhances the signal from the tissues of the urethra, and enables to visualize the internal structure of the pathological focus better. Urethral diverticula are detected more significantly on T2-weighted images, as the fluid content of the urethra appears to be hyperdense, and the urethral wall has a low signal intensity. MRI shows paraurethral cysts like formations with a signal of increased intensity, located along the urethra. Thus, MRI assesses the anatomy of paraurethral formation in detail, its location relative to the urethra and the bladder, the connection with the surrounding tissues, to clarify the internal contents of the formation, and also to predict the scope of surgical treatment.
The methods of choice of surgical treatment include marsupialization, partial excision of the cyst, transvaginal dissection of the cyst; however, most authors point out the need for complete excision of the cystic formation [5, 8–10]. In addition to the general risks and complications associated with the surgery, some specific complications, namely, recurrence of the cyst, bleeding with the formation of hematoma, the formation of urethrovaginal and vesicovaginal fistulas (especially when performing complete excision of the cyst), urethral strictures, the urethral pain syndrome, urinary incontinence, and recurrent urinary tract infection are possible [11]. There is also a risk of intraoperative damage to the nerve terminations located in the erogenous zone, which can lead to impaired sensitivity or anorgasmia. The cyst location in close proximity to the external urethral orifice, close to the clitoris and vulva, can potentially create such a situation. If there is a risk of significant injury to the urethra, it is always best to perform partial excision of the paraurethral cyst. In the case of large paraurethral cysts, the risk of urinary incontinence or urethrovaginal fistula in the postoperative period should be discussed with patients prior to surgical treatment, regardless of the cyst location and the experience of the surgeon. The use of slowly absorbable synthetic suture materials (Vicryl 3–0, Polysorb 3–0, etc.) with an atraumatic needle ensures long-term tissue fixation, which provides good healing of the postoperative wound. Management of the postoperative period individually depends on the clinical case and the method of surgical treatment. A tampon in the vagina is placed for no more than 24 hours. Laxatives can be prescribed to prevent straining in the early postoperative period. Long-term drainage of the bladder is usually not required after cyst removal without opening the urethra.
A histological examination of the cyst wall/diverticulum shall necessarily be performed in each case to rule out a malignant tumor in the resected cyst.
CONCLUSIONS
MRI of the pelvic organs is advisable if the size of the cyst is greater than 5 cm. Treatment of paraurethral cysts should be surgical and as radical as possible.
About the authors
Margarita N. Slesarevskaya
Academician I.P. Pavlov First Saint Petersburg State Medical University of the Ministry of Healthcare of the Russian Federation
Email: mns-1971@yandex.ru
Candidate of Medical Science, Senior Research Fellow, Urology Research Center
Russian Federation, Saint-PetersburgYulia A. Ponomareva
Academician I.P. Pavlov First Saint Petersburg State Medical University of the Ministry of Healthcare of the Russian Federation
Email: uaponomareva@mail.ru
Candidate of Medical Science, Head of the Urological Unit, Urology Research Center
Russian Federation, Saint PetersburgPetr V. Sozdanov
Academician I.P. Pavlov First Saint Petersburg State Medical University of the Ministry of Healthcare of the Russian Federation
Author for correspondence.
Email: petr.sozdanov@mail.ru
Clinical Resident, Urology Department
Russian Federation, Saint PetersburgAlexey G. Tyurin
Academician I.P. Pavlov First Saint Petersburg State Medical University of the Ministry of Healthcare of the Russian Federation
Email: thurin@inbox.ru
Candidate of Medical Science, Associate Professor of the Department of Pathological Anatomy
Russian Federation, Saint PetersburgAnastasia M. Sycheva
Academician I.P. Pavlov First Saint Petersburg State Medical University of the Ministry of Healthcare of the Russian Federation
Email: kaf.patanat@spb-gmu.ru
Pathologist, Pathology Department
Russian Federation, Saint PetersburgIgor V. Kuzmin
Academician I.P. Pavlov First Saint Petersburg State Medical University of the Ministry of Healthcare of the Russian Federation
Email: kuzminigor@mail.ru
Doctor of Medical Science, Professor, Urology Department
Russian Federation, Saint PetersburgReferences
- Raz S., Rodriguez L. Female Urology. Edition 3rd. Philadelphia: W.B.Saunders Company; 2008. 1056 p.
- Sharifi-Aghdas F, Ghaderian N. Female paraurethral cysts: experience of 25 cases. BJU Int. 2004; 93(3): 353-356. https://doi.org/10.1111/j.1464-410x.2003.04615.x.
- Deppisch LM. Cysts of the vagina: Classification and clinical correlations. Obstet Gynecol. 1975; 45(6): 632-637. https://doi.org/10.1097/00006250-197506000-00007.
- Leach GE, Sirls LT, Ganabathi K, Zimmern PE. L N S C3: a proposed classification system for female urethral diverticula. Neurourol Urodyn. 1993;12(6):523-531. https://doi.org/10.1002/nau.1930120602.
- Слесаревская М.Н., Аль-Шукри С.Х., Соколов А.В., Кузьмин И.В. Клиническое течение и хирургическое лечение парауретральных кистозных образований у женщин // Урологические ведомости. – 2019. – Т. 9. – № 4. – С. 5–10. [Slesarevskaya MN, Al-Shukri SKh, Sokolov AV, Kuzmin IV. Clinical course and surgical treatment of paraurethral cysts in women. Urologicheskie vedomosti. 2019;9(4):5-10. (In Russ.)]. https://doi.org/10.17816/uroved945-10.
- Blaivas JG, Flisser AJ, Bleustein CB, Panagopoulos G. Periurethral masses: etiology and diagnosis in a large series of women. Obstet Gynecol. 2004;103(5 Pt1):842-847. https://doi.org/10.1097/01.AOG.0000124848.63750.e6.
- Das SP. Paraurethral cysts in women. J Urol. 1981;126(1):41-43. https://doi.org/10.1016/s0022-5347(17)54369-4.
- Пушкарь Д.Ю., Раснер П.И., Гвоздев М.Ю. Парауретральная киста // Русский медицинский журнал. – 2013. – № 34. – C. 9. [Pushkar DJu, Rasner PI, Gvozdev MYu. Parauretralnaya kista. Russkiy meditsinskiy zhurnal. 2013;(34):9. (In Russ.)]
- Shah SR, Biggs GY, Rosenblum N, Nitti VW. Surgical management of Skene’s gland abscess/infection: a contemporary series. Int Urogynecol J. 2012;23(2):159-164. https://doi.org/10.1007/ s00192-011-1488-y.
- Имамвердиев С.Б., Бахышов А.А. Оперативное лечение парауретральных кист у женщин // Урология. – 2010. – № 2. – С. 40–42. [Imamverdiev SB, Bahyshov AA. Surgical treatment of paraurethral cysts in women. Urologiia. 2010;(2):40-42. (In Russ.)]
- Пушкарь Д.Ю., Касян Г.Р. Ошибки и осложнения в урогинекологии. М.: ГЭОТАР-Медиа, 2017. – 384 с. [Pushkar DJu, Kasjan GR. Oshibki i oslozhnenija v uroginekologii. M: GEOTAR-Media, 2017. 384 p. (In Russ.)]
Supplementary files




















