Diagnostics and treatment of bladder diverticula
- 作者: Sivakov A.A.1, Protoshchak V.V.2, Gozalishvili S.M.2, Osipov A.V.1, Shanava G.S.1,3, Ismailov K.I.1, Movsisyan A.T.1
-
隶属关系:
- I.I. Dzhanelidze Saint Petersburg Research Institute of Emergency Care
- Kirov Military Medical Academy
- Almazov National Medical Research Centre
- 期: 卷 13, 编号 2 (2023)
- 页面: 177-185
- 栏目: Сlinical observations
- ##submission.dateSubmitted##: 25.06.2023
- ##submission.dateAccepted##: 28.06.2023
- ##submission.datePublished##: 18.07.2023
- URL: https://journals.eco-vector.com/uroved/article/view/508768
- DOI: https://doi.org/10.17816/uroved508768
- ID: 508768
如何引用文章
详细
Diverticula of the bladder in adults in most cases are secondary and develop against the background of bladder outlet obstruction. Their true prevalence is unknown. More often, they are small in size and clinically asymptomatic. In cases where the diverticulum of the bladder is complicated by a chronic recurrent infection, stones, tumor or hydronephrosis on the side of the lesion, diverticulectomy is indicated. Approaches to diagnosis and treatment options for this pathology are considered on several clinical examples.
全文:
ВВЕДЕНИЕ
Дивертикул мочевого пузыря (от лат. diverticulum — дорога в сторону) — это выпячивание стенки органа в наружном направлении. Первое описание алгоритма диагностики и лечебной тактики при данной патологии относится ко второй половине XVIII в. (1769) и принадлежат Джованни Баттиста Морганьи [1].
За счет выпячивания стенки мочевого пузыря формируется дополнительная полость, сообщающаяся с ним посредством шейки. Дивертикулы мочевого пузыря (ДМП) могут быть как истинными, представляющими собой врожденную аномалию мочевыделительной системы, так и приобретенными, то есть возникшими на фоне инфравезикальной обструкции. Врожденный (истинный) дивертикул мочевого пузыря включает в себя всю толщу стенки органа, в то время как приобретенный — это выпячивание лишь слизистой оболочки мочевого пузыря [2].
Врожденные (истинные) ДМП характерны для детей, с частотой встречаемости до 1,7 % согласно современным данным, наблюдаются чаще у мальчиков и достигают пика выявления к 10-летнему возрасту. ДМП возникают из-за гипоплазии мышечного слоя стенки мочевого пузыря, располагаясь в 90 % случаев на боковой стенке в непосредственной близости к устьям мочеточников [3, 4]. Среди врожденных ДМП наиболее часто встречается дивертикул Хатча. Он характеризуется парауретеральным расположением и образуется при сниженном тонусе мышечного слоя стенки мочевого пузыря на уровне интрамурального отдела мочеточника, наблюдается при наследственных заболеваниях, характеризующихся слабостью мышечной и соединительной ткани — синдроме Элерса – Данлоса [5, 6].
Приобретенные, или ложные, ДМП всегда связаны с нарушением оттока мочи из мочевого пузыря и могут являться осложнениями доброкачественной гиперплазии и рака предстательной железы, стриктуры уретры, нейрогенных дисфункций нижних мочевых путей и других заболеваний. Распространенность приобретенных ДМП трудно оценить, так как зачастую они протекают бессимптомно и становятся случайной находкой при обследовании по поводу другой патологии [7]. Клинические проявления ДМП разнообразны и неспецифичны. Наиболее распространенными признаками ДМП являются боль в надлобковой области, ослабление струи мочи, чувство неполного опорожнения мочевого пузыря, инфекции нижних мочевых путей. По данным литературы, при дивертикулах большого размера (более 5 см в диаметре) возрастает риск развития острой задержки мочи [8].
Диагностика ДМП обычно не составляет труда и включает такие инструментальные методы, как ультразвуковое исследование, компьютерная (магнитно-резонансная) томография малого таза с контрастным усилением, цистография и цистоскопия (рис. 1).
Рис. 1. Методы визуализации дивертикулов мочевого пузыря: a — ультразвуковое исследование мочевого пузыря; b — нисходящая цистография; c — компьютерная томография с 3D-реконструкцией; d — цистоскопия. На рисунках a, b и c стрелками указаны дивертикулы мочевого пузыря, на рисунке d стрелкой указана шейка дивертикула мочевого пузыря / Fig. 1. Methods of visualization of bladder diverticula: a — ultrasound examination of the bladder; b — descending cystography; c — computed tomography with 3D reconstruction; d — cystoscopy. In Figures a, b, and c, the arrows indicate bladder diverticula; in Figure d, the arrow indicates the neck of the bladder diverticulum
Консервативное лечение ДМП не проводится. Хирургическое лечение требуется в тех случаях, когда ДМП осложняется рецидивирующей инфекцией, не поддающейся адекватной терапии, камнеобразованием, развитием в нем опухоли, ухудшением выделительной функции почки на стороне поражения. Одним из показаний к хирургическому лечению может служить неопорожняющийся дивертикул с большим количеством в нем остаточной мочи. Подходы к хирургическому лечению разнообразны: классическая дивертикулэктомия открытым или лапароскопическим доступом, использование роботической техники. Описаны и трансуретральные подходы к хирургическому лечению: инцизия шейки ДМП, фульгурация, при этом трансуретральные методы хирургического лечения ДМП эффективны при объеме дивертикула менее 300 мл [9].
КЛИНИЧЕСКИЕ СЛУЧАИ
Клинический пример № 1
Пациент Т., 37 лет, обратился за медицинской помощью с жалобами на учащенное мочеиспускание, ослабление струи мочи. Из анамнеза известно, что при прохождении планового обследования в общем анализе мочи выявлена лейкоцит- и эритроцитурия. Пациенту проведен дополнительный стандарт лабораторных исследований. Заполнен опросник IPSS, по данным которого пациент набрал 4 балла, что расценивалось как легкая симптоматика, по шкале QoL — 2 балла. Несмотря на удовлетворительную субъективную оценку мочеиспускания, показатели уро флоуметрии были ниже пороговых значений: максимальная скорость мочеиспускания — 7,1 мл/с, средняя — 3,8 мл/с. По данным ультразвукового исследования выявлены множественные (3) дивертикулы мочевого пузыря, размерами 40 мм, 21 мм и 15 мм, объем предстательной железы 25 см3, объем остаточной мочи 150 мл, также в одном из дивертикулов выявлен камень. После выполнения внутривенной урографии и компьютерной томографии наличие множественных дивертикулов мочевого пузыря и камня одного из них было подтверждено (рис. 2).
Рис. 2. Результаты обследования больного Т., 37 лет: a — ультразвуковая картина мочевого пузыря с дивертикулами; b — нисходящая цистография, камень в дивертикуле мочевого пузыря; с — компьютерная томография-урография с 3D-реконструкцией, камень дивертикула правой боковой стенки мочевого пузыря (указан стрелкой) / Fig. 2. The results of the examination of the patient T., 37 years old: a — ultrasound picture of the bladder with bladder diverticula; b — descending cystography, bladder diverticulum stone; c — computed tomography-urography with 3D reconstruction, stone in the diverticulum of the right lateral wall of the bladder (indicated by an arrow)
С целью уточнения причины хронической задержки мочи пациенту проведено комплексное уродинамическое исследование, во время которого выявлены признаки дисфункционального мочеиспускания. Установлен диагноз: «Идиопатическая дисфункция нижних мочевых путей. Ранняя высокоамплитудная терминальная гиперактивность детрузора (высокий риск поражения верхних мочевых путей). Дисфункциональное мочеиспускание. Дивертикулы (3) мочевого пузыря. Камень дивертикула мочевого пузыря».
Пациенту проведена трансуретральная лазерная цистолитотрипсия с инцизией устья дивертикула. Учитывая выполненную литотрипсию, а также отсутcтвие хирургической причины инфравезикальной обструкции и наличие множественных (3) дивертикулов, от дивертикулэктомии решено отказаться. Назначены медикаментозное лечение (М-холиноблокаторы) и интермиттирующая самокатетеризация мочевого пузыря.
Клинический пример № 2
Пациент О., 68 лет, обратился за медицинской помощью с жалобами на ослабление струи мочи, чувство неполного опорожнения мочевого пузыря, постмикционный дриблинг. Из анамнеза известно, что на протяжении последних 4 лет принимал альфа-адреноблокаторы без выраженной положительной динамики. Поводом для обращения послужило усиление дизурии.
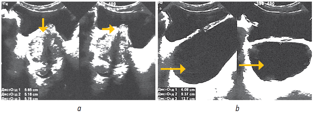
Пациент дообследован (рис. 3, 4). Лабораторные исследования выполнены в стандартном предоперационном объеме. Уровень простатического специфического антигена составил 1,27 нг/мл. При бактериологическом исследовании мочи роста микрофлоры не обнаружено. По данным опросника IPSS — 26 баллов, что соответствует тяжелой симптоматике, качество жизни (QoL) оценено в 4 балла. По данным ультразвукового исследования (рис. 3) объем предстательной железы составил 88 см3, интравезикальная протрузия простаты — Grade III (31 мм); объем мочевого пузыря 300 мл, объем остаточной мочи 132 мл, ДМП объемом 400 мл, опорожняющийся неудовлетворительно (300 мл).
Рис. 3. Ультрасонограмма пациента О., 68 лет: a — гиперплазия предстательной железы, стрелками указана ее «средняя доля»; b — дивертикул мочевого пузыря, указан стрелками / Fig. 3. Ultrasonogram of patient O., 68 years old: a — prostatic hyperplasia, arrows indicate the “middle lobe” of the prostate; b — bladder diverticulum, indicated by arrows
Рис. 4. Результаты обследования пациента О., 68 лет: а — экскреторная урография, выделительная функция почек нормальная; b — нисходящая цистография, определяется дивертикул, превосходящий по объему мочевой пузырь (указан стрелкой) / Fig. 4. The results of the examination of the patient O., 68 years old: a — intravenous urography, the excretory function of the kidneys is normal; b — descending cystography, the diverticulum is determined, exceeding the volume of the bladder (indicated by an arrow)
На основании обследования установлен диагноз: «Доброкачественная гиперплазия предстательной железы. Дивертикул мочевого пузыря». С учетом наличия доброкачественной гиперплазии предстательной железы и большого размера дивертикула с неудовлетворительным опорожнением выполнено хирургическое лечение в объеме: дивертикулэктомия, чреспузырная аденомэктомия. Послеоперационный период протекал гладко. Цистостомический дренаж удален на 10-е сутки после операции, уретральный катетер — на 4-е сутки. После удаления дренажей цистостома зажила, самостоятельное мочеиспускание восстановлено в полном объеме с хорошими уродинамическими показателями.
Клинический пример № 3
Пациент И., 37 лет. Обратился за медицинской помощью с жалобами на ослабление струи мочи, мочеиспускание по каплям, необходимость натуживания при мочеиспускании на протяжении последних 12 мес. По данным ультразвукового исследования диагностирована хроническая задержка мочи, объемом более 300 мл, ДМП по задней поверхности, объем предстательной железы 22 см3.
С целью дообследования пациенту выполнена магнитно-резонансная томография, уретроцистоскопия (рис. 5).
Рис. 5. Результаты обследования пациента И., 37 лет: a — магнитно-резонансная томография, стрелкой указан дивертикул мочевого пузыря; b — цистоскопия, стрелкой указана шейка дивертикула мочевого пузыря / Fig. 5. The results of the examination of patient I., 37 years old: a — magnetic resonance imaging, the arrow indicates the bladder diverticulum; b — cystoscopy, the arrow indicates the neck of the bladder diverticulum
Показатели урофлоуметрии были ниже пороговых значений: максимальная скорость мочеиспускания — 14,7 мл/с, средняя — 7,5 мл/с. Для уточнения причины хронической задержки мочи выполнено комплексное уродинамическое исследование, по данным которого выявлены незначительное снижение сократительной способности мочевого пузыря, признаки детрузорно-сфинктерной диссинергии, миофасциальный синдром. На основании обследования установлен диагноз: «Идиопатическая дисфункция нижних мочевых путей. Детрузорно-сфинктерная диссинергия. Миофасциальный синдром. Дивертикул мочевого пузыря. Хроническая задержка мочи».
С учетом наличия единичного дивертикула большого объема принято решение о проведении двухэтапного лечения. На первом этапе выполнена лапароскопическая дивертикулэктомия с цистостомией (рис. 6). После операции пациент был выписан в удовлетворительном состоянии с цистостомическим дренажем.
Рис. 6. Пациент И., 37 лет. Интраоперационная картина: этап лапароскопической дивертикулэктомии. Стрелкой указан дивертикул мочевого пузыря / Fig. 6. Patient I., 37 years old. Intraoperative picture: stage of laparoscopic diverticulectomy. The arrow indicates the bladder diverticulum
Спустя 3 мес. вторым этапом была устранена непосредственная причина хронической задержки мочи и формирования дивертикула — хемоденервация наружного и внутреннего сфинктеров уретры ботулиническим токсином типа А (рис. 7). Послеоперационный период протекал гадко. Пациент выписан с восстановленным самостоятельным мочеиспусканием.
Рис. 7. Пациент И., 37 лет. Этапы хемоденервации: a — промежностный; b — трансуретральный / Fig. 7. Patient I., 37 years old. Stage of chemodenervation: a — perineal; b — transurethral
Клинический пример № 4
Пациент Н., 49 лет, обратился за медицинской помощью с жалобами на ослабление струи мочи, чувство неполного опорожнения мочевого пузыря, примесь крови в моче с периодическим выделением сгустков крови. Из анамнеза известно, что на протяжении последних трех лет отмечает данные жалобы, ранее не обследовался.
Пациент дообследован. Лабораторные, инструментальные методы диагностики выполнены в стандартном предоперационном объеме. По данным опросника IPSS пациент набрал 18 баллов — умеренная степень тяжести, качество жизни (QoL) — 5 баллов. По данным ультразвукового исследования объем предстательной железы в норме 29 см3 с единичными кальцинатами до 0,4 см, объем мочевого пузыря 560 мл, остаточная моча 300 мл, ДМП объемом 130 мл, с наличием в нем бугристого гиперэхогенного образования размерами 3,5 × 2,4 см.
При магнитно-резонансной томографии определялся ДМП по задней стенке латеральнее устья левого мочеточника, с солидным образованием по типу «цветной капусты» по заднелатеральной стенке дивертикула, размерами 2,7 × 1,7 × 2,5 см, VI-RADS4, объем предстательной железы 31 см3 (рис. 8).
Рис. 8. Пациент Н., 49 лет. Магнитно-резонансная томография: a — дивертикул мочевого пузыря (указан стрелкой); b — новообразование дивертикула мочевого пузыря (указано стрелкой) / Fig. 8. Patient N., 49 years old. Magnetic resonance imaging: a — bladder diverticulum (indicated by an arrow); b — neoplasm of the bladder diverticulum (indicated by the arrow)
При уретроцистоскопии на задней стенке мочевого пузыря слева определялся дивертикул, на стенке которого выявлено бугристое образование размерами 1,5 × 2,5 см на широком основании, легко кровоточащее при прикосновении инструментом. На основании проведенного обследования установлен диагноз: «Новообразование дивертикула мочевого пузыря, хроническая задержка мочи». В связи с развившимся внутрипузырным кровотечением и неэффективностью гемостатической терапии выполнена операция в объеме: ревизия мочевого пузыря, катетеризация левого мочеточника, иссечение дивертикула мочевого пузыря с новообразованием, эпицистостомия. Послеоперационный период протекал без особенностей. По результатам гистологического исследования: высокодифференцированный плоскоклеточный ороговевающий рак с единичным очагом прорастания в верхние слои мышечной оболочки на фоне хронического цистита с очагами плоскоклеточной метаплазии. Пациент после выписки из стационара направлен для продолжения лечения к онкологу по месту жительства.
ЗАКЛЮЧЕНИЕ
Несмотря на редкую встречаемость, ДМП представляют собой актуальную проблему. ДМП может служить источником рецидивирующей инфекции, камнеобразования, формирования новообразований. В настоящий момент существует единый подход к диагностике ДМП, однако выбор хирургической тактики требует индивидуального подхода в лечении каждого пациента с данной патологией.
ДОПОЛНИТЕЛЬНАЯ ИНФОРМАЦИЯ
Вклад авторов. Все авторы внесли существенный вклад в разработку концепции, проведение исследования и подготовку статьи, прочли и одобрили финальную версию перед публикацией. Личный вклад каждого автора: А.А. Сиваков — разработка концепции и дизайна исследования, редактирование текста рукописи; В.В. Протощак — разработка концепции и дизайна исследования, редактирование текста рукописи; С.М. Гозалишвили — сбор материала, написание текста рукописи; А.В. Осипов — разработка концепции и дизайна исследования, редактирование текста рукописи; Г.Ш. Шанава — написание текста рукописи, редактирование статьи; К.И. Исмаилов — сбор материала; редактирование статьи; А.Т. Мовсисян — сбор материала, редактирование статьи.
Источник финансирования. Авторы заявляют об отсутствии внешнего финансирования при проведении исследования.
Конфликт интересов. Авторы декларируют отсутствие явных и потенциальных конфликтов интересов, связанных с публикацией настоящей статьи.
Информированное согласие на публикацию. Авторы получили письменное согласие пациентов на публикацию медицинских данных и фотографий.
ADDITIONAL INFORMATION
Authors' contribution. Thereby, all authors made a substantial contribution to the conception of the study, acquisition, analysis, interpretation of data for the work, drafting and revising the article, final approval of the version to be published and agree to be accountable for all aspects of the study. Personal contribution of each author: A.A. Sivakov — concept and design development; editing the text of the manuscript; V.V. Protoshchak — concept and design development; editing the text of the manuscript; S.M. Gozalishvili — collection of material, writing the text of the manuscript; A.V. Osipov — concept and design development; editing the text of the manuscript; G.Sh. Shanava — writing the text of the manuscript, editing the text of the manuscript; K.I. Ismailov — collection of material, editing the text of the manuscript; A.T. Movsisyan — collection of material, editing the text of the manuscript.
Funding source. This study was not supported by any external sources of funding.
Competing interests. The authors declare that they have no competing interests.
Consent for publication. Written consent was obtained from the patients for publication of relevant medical information within the manuscript.
作者简介
Alexey Sivakov
I.I. Dzhanelidze Saint Petersburg Research Institute of Emergency Care
Email: alexei-sivakov@mail.ru
SPIN 代码: 3064-8134
MD, Cand. Sci. (Med.), assistant professor, head of the Urological Unit
俄罗斯联邦, 3A Budapeshtskaya st., Saint Petersburg, 192242Vladimir Protoshchak
Kirov Military Medical Academy
Email: protoshakurology@mail.ru
ORCID iD: 0000-0002-4996-2927
SPIN 代码: 6289-4250
MD, Dr. Sci. (Med.), professor, head of Department of Urology and Clinic of Urology
俄罗斯联邦, Saint PetersburgSergei Gozalishvili
Kirov Military Medical Academy
Email: gozalishwili@mail.ru
SPIN 代码: 8838-2460
oncologist, Clinic of Urology
俄罗斯联邦, Saint PetersburgAlexey Osipov
I.I. Dzhanelidze Saint Petersburg Research Institute of Emergency Care
Email: Osipovav@mail.ru
ORCID iD: 0000-0003-1533-6343
SPIN 代码: 6196-3660
MD, Dr. Sci. (Med.), assistant professor, head of the Department of Emergency Surgery
俄罗斯联邦, 3A Budapeshtskaya st., Saint Petersburg, 192242Gocha Shanava
I.I. Dzhanelidze Saint Petersburg Research Institute of Emergency Care; Almazov National Medical Research Centre
Email: dr.shanavag@mail.ru
SPIN 代码: 1706-7410
MD, Cand. Sci. (Med.), urologist, assistant professor of the Department of Urology with Course of Robotic Surgery and Clinic
俄罗斯联邦, 3A Budapeshtskaya st., Saint Petersburg, 192242; Saint PetersburgKirill Ismailov
I.I. Dzhanelidze Saint Petersburg Research Institute of Emergency Care
Email: ismailov@mail.ru
SPIN 代码: 4437-1965
urologist
俄罗斯联邦, 3A Budapeshtskaya st., Saint Petersburg, 192242Arutyun Movsisyan
I.I. Dzhanelidze Saint Petersburg Research Institute of Emergency Care
编辑信件的主要联系方式.
Email: movs@mail.ru
SPIN 代码: 2305-0087
junior research associate, Department of Emergency Surgery
俄罗斯联邦, 3A Budapeshtskaya st., Saint Petersburg, 192242参考
- Kretova GI, Ledneva VS, Ulyanova LV, et al. Great names in the history of world and domestic medicine. Molodezhnyi innovatsionnyi vestnik. 2021;10(S2):56–58. (In Russ.)
- Kagantsov IM, Sizonov VV, Dubrov VI, et al. Laparoscopic resection of a bladder diverticulum in children. Russian Journal of Pediatric Surgery, Anesthesia and Intensive Care. 2019;9(3):51–57. (In Russ.)
- Katibov MI, Bogdanov AB. Congenital anomalies of the bladder: world and national data. Experimental and Clinical Urology. 2021; 14(2):74–82. (In Russ.) doi: 10.29188/2222-8543-2021-14-2-74-81
- Vrublevskii SG, Vrublevskaya EN, Vrublevskii AS, et al. Ehndovideokhirurgicheskoe lechenie divertikulov mochevogo puzyrya u detei. Materials of thе XI All-Russian Scientific and Practical Forum with international participation “Emergency Pediatric Surgery and Traumatology” dedicated to the 20th anniversary Research Institute of Emergency Pediatric Surgery and Traumatology DZM, 100th anniversary of the birth of Academician of the USSR Academy of Medical Sciences, RAS Yu.F. Isakov, February 15–17, 2023, Moscow. Russian Journal of Pediatric Surgery. 2023;27(1):1–238. (In Russ.) doi: 10.55308/1560-9510-2023-27-1-spl-1-238
- Abou Zahr R, Chalhoub K, Ollaik F, Nohra J. Congenital bladder diverticulum in adults: a case report and review of the literature. Case Rep Urol. 2018;2018:9748926. doi: 10.1155/2018/9748926
- Mordovtseva VV, Glad’ko VV. Sindrom Chernogubova – Ehlersa – Danlosa na styke klinicheskikh spetsial’nostei. Vestnik Meditsinskogo instituta nepreryvnogo obrazovaniya. 2023;3(1):24–29. (In Russ.)
- Favorito LA. Bladder diverticula with more than 5 cm increases the risk of acute urinary retention in BPH. Int Braz J Urol. 2018;44(4):662–663. doi: 10.1590/S1677–5538.IBJU.2018.04.01
- Protoshchak VV, Paronnikov MV, Babkin PA, Kiselev AO. Quality of life of urological patients. Urologiia. 2018;(5):160–169. (In Russ.)
- Thüroff JW, Roos FC, Thomas C, et al. Surgery illustrated — surgical Atlas: Robot-assisted laparoscopic bladder diverticulectomy. BJU Int. 2012;110(11):1820–1836. doi: 10.1111/j.1464–410X.2012.11576.x
补充文件










