Clinical and morphological features of coxarthrosis with cystic rearrangement and the quality of secondary fixation of cementless total endoprostheses
- Authors: Nuzhdin V.I.1, Berchenko G.N.1, Kudinov O.A.1
-
Affiliations:
- Central Institute of Traumatology and Orthopedics. N.N. Priorova
- Issue: Vol 10, No 2 (2003)
- Pages: 9-14
- Section: Original study articles
- Submitted: 20.10.2020
- Published: 15.06.2003
- URL: https://journals.eco-vector.com/0869-8678/article/view/48137
- DOI: https://doi.org/10.17816/vto20031029-14
- ID: 48137
Cite item
Full Text
Abstract
Clinical and roentgenologic as well as pathomorphologic peculiarities of III—IV stage of coxarthrosis were studied in 254 patients who underwent surgery at the CITO department of joint replacement. Coxarthrosis with cystic alteration of the articular bone structure has been diagnosed in 56% of patients. Cystic alteration was more often detected in middle (II), the most common degree of articular dysplasia. In the absence of dysplasia or in its marginal degrees the noncystic type of coxarthrosis prevailed. It was shown that in patients with cystic coxarthrosis the progress of pathologic process was faster and such patients more often had concomitant diseases characterized by microcirculatory disturbance. Pathomorphologic examination also showed more marked changes of microcirculatory channel in cystic coxarthrosis bone structure. In 47 patients the comparison of roentgenologic indices of the quality of secondary implant fixation and peculiarities of coxarthrosis ( either with or without cystic alteration) performed 3 to 4 years after uncemented total hip replacement by ESI implant demonstrated reliably better quality and longer fixation of bone tissue to the structured surface of the implant in noncystic type of coxarthrosis.
Keywords
Full Text
Больные коксартрозом составляют основной контингент нуждающихся в тотальном эндопротезировании тазобедренного сустава. Различают первичный деформирующий (идиопатический) и вторичный — диспластический коксартроз [3]. Это деление имеет немаловажное значение для ортопедов, занимающихся эндопротезированием, так как выраженная дисплазия сустава существенно усложняет достижение первичной механически стабильной фиксации имплантата. При использовании современных имплантатов со структурированной поверхностью качество и срок последующей биологической остеоинтеграции, несомненно, зависят от свойств костной структуры. В настоящее время большое внимание уделяется выявлению и медикаментозной коррекции остеопороза, который считается одним из факторов, способных отрицательно влиять на взаимодействие кости и металла. В то же время существует патология костной ткани, роль которой в клинической картине коксартроза, и особенно в «выживаемости» имплантатов, судя по доступной нам литературе, практически не изучалась. Речь идет о кистовидной перестройке тазобедренного сустава.
Материал и методы
Проанализированы данные клинико-рентгенологического обследования 254 больных коксартрозом III-IV стадии, лечившихся в отделении эндопротезирования ЦИТО (1996-2000 гг.). По рентгеновским снимкам выявляли соотношение выраженности дисплазии с наличием или отсутствием кистовидной перестройки тазобедренного сустава. Степень дисплазии оценивали на основании обобщенных критериев [7, 20, 28] (см. таблицу). Шеечно-диафизарный угол больше 130° и избыточную антеторсию шейки бедренной кости, характерные для недоразвития сустава, рассматривали как дополнительные критерии для дифференциации дисплазии I степени и нормальной анатомии тазобедренного сустава.
Критерии определения степени дисплазии тазобедренного сустава
Степень дисплазии тазобедренного сустава | Покрытие головки бедренной кости, % | Величина подвывиха головки бедренной кости, % | Индекс глубины вертлужной впадины | Угол Виберга, град. | Угол вертикального отклонения плоскости входа в вертлужную впадину, град. |
0 | 100-90 | 0 | >0,5 | >25 | >40 |
I | 90-70 | 0-20 | 0,5-0,4 | 25-10 | 40-30 |
II | 70-30 | 20-80 | 0,4-0,2 | 10-(-10) | 30-15 |
III | 30-0 | 80-100 | <0,2 | <(-10) | <15 |
Удаленные во время операций тотального эндопротезирования тазобедренных суставов ткани подвергали фиксации, декальцинации и обезвоживанию с последующей заливкой в целлоидин (приготовление кристеллеровских срезов) или парафин.
Рентгенологические результаты тотального бесцементного эндопротезирования имплантатом ЭСИ были оценены у 47 больных, оперированных в 1996-1997 гг. (39 женщин и 8 мужчин). Возраст пациентов колебался от 30 до 70 лет (средний возраст 56 лет). Срок наблюдения составил от 36 до 50 мес (в среднем 46 мес). Пациенты были разделены на две группы: 1-я группа — 25 больных кокс- артрозом с кистовидной перестройкой (из них 8 получали препараты, улучшающие метаболизм костной ткани — αD3-Тева, оксидевит, препараты кальция, весь период наблюдения); 2-я группа — 22 пациента с коксартрозом без кистовидной перестройки (препаратов не получали).
Качество фиксации имплантатов оценивали в соответствии с классификацией Еngh [22]: I тип — остеоинтеграция (отсутствие рентгенологического просветления вокруг структурированных поверхностей эндопротеза); II тип — стабильная фиброзная фиксация (линии рентгенологического просветления не шире 2 мм, ровные, миграция имплантата отсутствует); III тип — нестабильная фиброзная фиксация (неровные линии просветления шириной более 2 мм, миграция металлоконструкции). Протяженность фиксации ацетабулярного компонента имплантатов анализировали в трех зонах, предложенных De Lee и Charnley [21]. Что касается бедренного компонента, то из семи зон, выделенных Gruen и соавт. [24], использовали только 1, 2, 6 и 7-ю, которые практически полностью соответствуют структурированной поверхности имплантата ЭСИ. Для упрощения описания 1-ю и 2-ю зоны рассматривали как единую первую, а 6-ю и 7-ю — как вторую зону (рис. 1, а). Миграцию имплантата (рис. 1, б) диагностировали по методу Callaghan и соавт. [19].
Рис. 1. Зоны оценки качества фиксации (а) и диагностики смещения (б) тотального эндопротеза тазобедренного сустава (пояснения в тексте).
Положение ацетабулярного компонента определяли по изменению угла инклинации (и) и по смещению более чем на 2 мм проекций центра вращения эндопротеза на горизонтальную или вертикальную оси, проведенные через верхушку «фигуры слезы» (а, b). Миграцию бедренного компонента признавали при вертикальном смещении «подворотниковой» зоны имплантата более чем на 5 мм (с) относительно верхушки малого вертела.
Достоверность различий полученных данных определяли по методу Chisquare с использованием компьютерной программы. При р<0,05 различия считались достоверными.
Результаты
Выявлено достоверное численное преобладание пациентов с диспластической формой коксартроза над больными идиопатическим коксартрозом — соответственно 222 (87,4%) и 32 (12,6%) человека. Более чем у половины всех больных (144 пациента — 56,7%) имелась кистовидная перестройка костей тазобедренного сустава. При диспластическом коксартрозе кисты обнаружены у 137 (61,7%) больных, а при идиопатическом — только у 7 (21,9%). При I степени дисплазии кистозное поражение выявлено у 18 (24%) из 75 пациентов, при II степени — у 118 (85,5%) из 138 больных, при III степени кистозные изменения обнаружены лишь у одного (11,1%) из 9 пациентов. Таким образом, установлено достоверное преобладание случаев коксартроза с кистовидной перестройкой при II, наиболее часто встречающейся степени дисплазии тазобедренного сустава (рис. 2, а) и бескистозной формы коксартроза при 0,I и III степени дисплазии (рис. 2, б, в).
Рис. 2. Рентгенологическая картина коксартроза с разной степенью дисплазии тазобедренного сустава и наличием (а) и отсутствием (б, в) кистовидной перестройки костей. а — II степень, б — I степень, в — III степень дисплазии.
При коксартрозе с кистозными изменениями достоверно чаще (121 больной — 84%) патология достигла степени, требующей оперативной замены сустава, ранее чем через 10 лет от начала заболевания. В группе без кистозной альтерации, напротив, достоверно большая часть пациентов (93 человека — 84,5%) считали себя больными к моменту операции более 10 лет. Выявлено, что гормональное лечение (внутрисуставные инъекции или общее лечение по поводу сопутствующих заболеваний) при коксартрозе с кистами получали 30 (20,8%), а при бескистозной форме коксартроза — 12 (10,9%) пациентов. Что касается частоты сопутствующих заболеваний, характеризующихся расстройством системы микроциркуляции, то варикозная болезнь нижних конечностей отмечена у 18 (12,5%) больных коксартрозом с кистовидной перестройкой и у 5 (4,5%) с бескистозной формой коксартроза, сахарный диабет — соответственно у 14 (9,7%) и у 2 (1,8%) больных.
Патогистологическое исследование выявило при всех формах коксартроза III-IV стадии выраженные дегенеративные изменения суставного хряща — разволокнение и разрыхление всех его слоев, формирование глубоких трещин и фрагментацию, истончение и локальное разрушение, вплоть до образования костных «шлифов». У значительной части больных в субхондральной зоне обнаруживались псевдокисты и истинные кисты. Псевдокисты определялись на месте некротизированных костных трабекул и элементов костного мозга, замещавшихся соединительной тканью различной степени зрелости. В псевдокистах были видны элементы дистрофически-измененных и некротизированных костных трабекул, признаки патологического обызвествления, гиалинизации коллагеновых волокон, а также локальных некрозов соединительной ткани. В некоторых случаях встречались участки хондроидной ткани и гиалинового хряща, расположенные отдельными островками или примыкающие к дистрофически-измененным костным трабекулам (рис. 3), что объяснялось переломами трабекул и их микроподвижностью. Часто определялись выраженные клеточные инфильтраты, представленные полиморфноядерными лейкоцитами, лимфоцитами, гистиоцитами и плазматическими клетками, указывающие на наличие хронического воспалительного процесса. В большинстве случаев в разных участках псевдокист встречались отдельные остеоидные или относительно незрелые костные балочки, что свидетельствовало о процессах реактивного костеобразования.
Рис. 3. Гистологическая картина при диспластическом коксартрозе с кистовидной перестройкой: к остаткам дистрофически-измененной костной трабекулы прилежит гиалиновый хрящ (окраска гематоксилином и эозином, ув. 160).
Для псевдокист и расположенной вблизи них ткани были характерны выраженные расстройства микроциркуляции в виде расширения сосудов и их полнокровия, микрокровоизлияний, отечности ткани, формирования в просвете сосудов микротромбов и сладж-феномена, васкулитов. Микро- циркуляторные изменения были наиболее значительными у больных коксартрозом с кистовидной перестройкой. По-видимому, выраженные расстройства микроциркуляторной системы, влекущие за собой локальное нарушение кровоснабжения, способствовали вторичному некрозу соединительной ткани с последующим формированием в этих участках истинных кист.
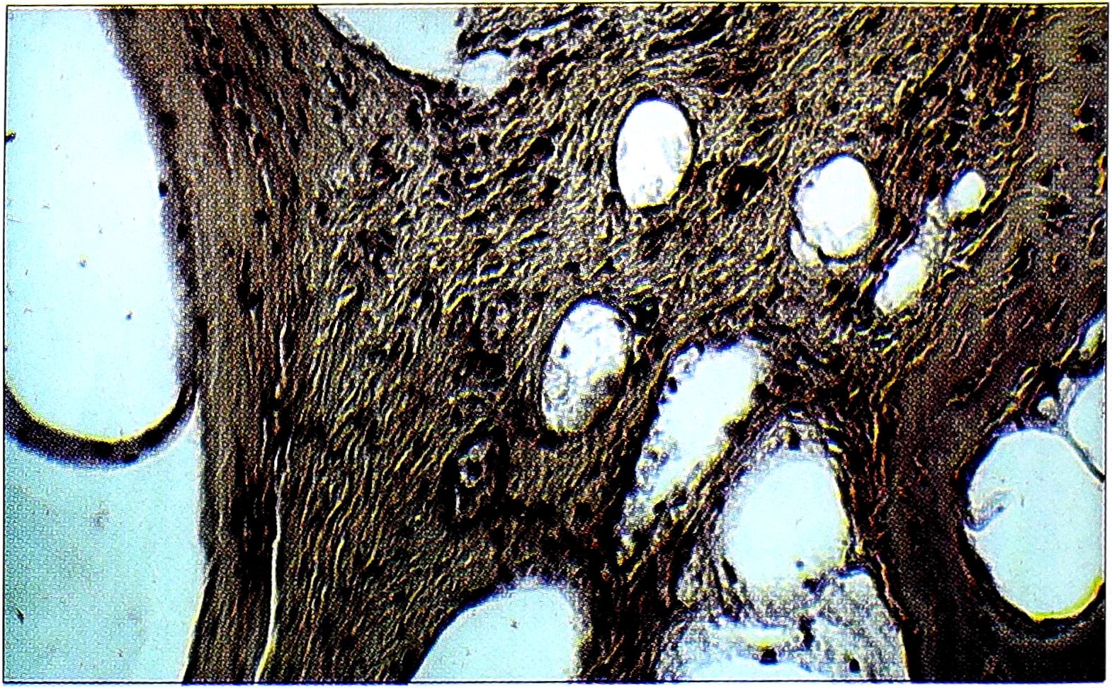
Истинные кисты (рис. 4) чаще располагались в субхондральной зоне, имели диаметр от 2-3 мм до 3 см, лишь в некоторых случаях в их просвете были видны элементы крови. Вблизи истинных кист обычно обнаруживались поля миксоматозной ткани, микрокровоизлияния, а также относительно многочисленные сосуды. В некоторых из этих резко расширенных сосудов наблюдались частичное исчезновение эндотелиальной выстилки и их запустевание, что, возможно, являлось отражением одного из возможных механизмов формирования истинных кист.
Рис. 4. Гистологическая картина при диспластическом коксартрозе с кистовидной перестройкой: вблизи истинной кисты располагаются резко расширенные сосуды, в некоторых из них отмечается исчезновение эндотелиальной выстилки (окраска гематоксилином и эозином, ув. 160).
Анализ рентгенологической картины у больных 1-й группы (коксартроз с кистовидной перестройкой) через 3-4 года после тотального эндопротезирования показал, что у 8 пациентов, которые получали препараты, улучшающие метаболизм костной ткани, наступила остеоинтеграция или стабильная фиброзная фиксация вертлужного компонента имплантата. Двоим из этих больных во время операции проводилась аутопластика крупных кистозных дефектов вертлужной области костной массой, полученной из головки бедренной кости. Другие 17 пациентов принимали препараты непродолжительное время или совсем не получали их. У 10 из них отмечались нестабильная фиброзная фиксация и кистозные полости в двух и даже трех зонах вокруг ацетабулярного компонента (в 3 случаях была обнаружена его миграция). У 4 больных на рентгенограммах выявлены кистозные очаги в одной зоне на фоне стабильной фиброзной фиксации в двух других зонах и у 3 пациентов констатирована остеоинтеграция ацетабулярного компонента эндопротеза (из них двоим производилась аутопластика больших кистозных полостей).
Что касается бедренного компонента, то у 7 больных наступила его остеоинтеграция в обеих зонах, причем 6 из них получали препараты, корригирующие метаболизм костной ткани. У 5 больных остеоинтеграция произошла в одной зоне, тогда как в другой зоне отмечалась стабильная фиброзная фиксация имплантата, еще у 5 пациентов выявлена стабильная фиброзная фиксация в обеих зонах. Из этих 10 пациентов только двое получали упомянутые выше препараты. Наконец, из оставшихся 8 больных у 6 обнаружено оседание бедренного компонента эндопротеза до 1,0 см при нестабильной фиброзной фиксации в одной и стабильной — в другой зоне, у 2 — миграция бедренного компонента на 1,1 и 1,5 см и нестабильная фиброзная фиксация в обеих зонах.
Во 2 - и группе (коксартроз без кистовидной перестройки) у 15 больных ацетабулярный компонент был остеоинтегрирован во всех трех зонах, у 5 констатирована его стабильная фиброзная фиксация, у 2 больных выявлены кистозные очаги в одной зоне вокруг чашки имплантата и остеоинтеграция в двух других зонах. Миграции ацетабулярного компонента не обнаружено ни в одном случае. Бедренный компонент имплантата у 14 пациентов был остеоинтегрирован в обеих зонах. У 4 больных остеоинтеграция наступила только в одной зоне, а в другой имелась стабильная фиброзная фиксация. У остальных 4 пациентов в обеих зонах определялась стабильная фиброзная фиксация. Миграции бедренного компонента не выявлено.
Таким образом, рентгенологические данные свидетельствуют о более низком качестве фиксации имплантатов в 1-й группе больных. Необходимо отметить, что если пациенты этой группы длительно получали препараты, улучшающие метаболизм костной ткани, а также когда применялась аутопластика больших кистозных очагов, в 100% случаев наступила остеоинтеграция или стабильная фиброзная фиксация имплантата.
Обсуждение
Деформирующий коксартроз — широко распространенное полиэтиологическое заболевание, характеризующееся повреждением суставного хряща, прилежащих костной и мягких тканей сустава, с прогрессирующими необратимыми структурными изменениями [3, 35]. Кистовидную перестройку костей, образующих тазобедренный сустав, как правило, считают сопутствующей патологией, развивающейся на фоне артрозных изменений, и, следовательно, симптомом коксартроза [7, 9, 11, 12, 16]. Появление кист объясняют разрушающим действием на костные трабекулы суставной жидкости, проникающей через дефекты хряща [26, 34]. Есть мнение, что кисты возникают в результате нарушения ремоделирования кости, происходящего под действием стрессового давления, которое концентрируется в местах неровности хрящевого покрова и превосходит предел физиологической прочности кости [23, 27, 32]. В то же время некоторые авторы описывают клинические случаи появления кист в тазобедренных суставах без симптомов коксартроза, когда своевременное оперативное лечение кистозных очагов предотвращало развитие артроза [9, 27, 31]. Появление кист до артроза объясняют переломами отдельных трабекул (на фоне остеопороза, повторяющихся микротравм, чрезмерной нагрузки) и их последующим лизисом с формированием кистозных полостей [9, 11, 14, 23, 27, 33] или считают результатом локального некроза кости на фоне нарушений микроциркуляции [6, 10-12, 16]. Таким образом, природа кистовидной перестройки и ее причинно-следственная связь с коксартрозом остаются неясными и диску- табельными.
Для поддержания механического равновесия в тазобедренном суставе необходимо горизонтальное положение ацетабулярной «вес несущей поверхности» (WBS) — воображаемой плоскости на стандартной рентгенограмме, проходящей через медиальную и латеральную точки крыши вертлужной впадины. Это соответствует физиологическому уровню давления головки бедренной кости на костно-хрящевые структуры вертлужной впадины. По расчетам ряда ученых [18, 28], нагрузка на кость и хрящевую поверхность тазобедренного сустава возрастает от нормальной до максимальной по мере увеличения отклонения WBS от горизонтали с 0 до 16°. При более вертикальном положении крыши впадины уже действует сила, выталкивающая находящуюся в положении подвывиха головку бедренной кости кнаружи и вверх, а давление на вертлужную впадину уменьшается. Таким образом, максимальному давлению подвергается умеренно наклонная крыша впадины, характерная для средней — II степени дисплазии сустава (угол наклона WBS в пределах 16°). Кроме того, II степень дисплазии тазобедренного сустава, в отличие от 0-I степени, характеризуется существенным уменьшением нагружаемой поверхности вертлужной впадины, что увеличивает давление головки на единицу площади. При III степени дисплазии площадь впадины еще меньше, но и головка из-за значительного подвывиха больше давит на капсулу, чем на костно-хрящевые структуры вертлужной впадины.
Анализ данных рентгенологического обследования наших пациентов выявил некоторые особенности развития и течения патологического процесса при разных формах коксартроза, не противоречащие приведенным выше расчетам. Так, мы установили, что число больных коксартрозом, развившимся на фоне II степени дисплазии, превалирует над числом пациентов с О, I (угол наклона WBS < 16°) и III (угол наклона WBS > 16°) степенями дисплазии. Достоверно большая частота коксартроза с кистовидной перестройкой при II степени дисплазии, в отличие от преимущественно бескистозной формы коксартроза на фоне О, I и III степеней, указывает на возможное участие патологически усиленной нагрузки не только в разрушении хрящевого покрова, но и в развитии кистозного поражения костной ткани [10, 11, 14].
При анализе клинических данных выявлено, что для коксартроза с кистовидной перестройкой характерно более быстрое прогрессирование по сравнению с коксартрозом без кистовидных изменений. У пациентов с кистовидной перестройкой выше процент сопутствующих заболеваний, сопровождающихся расстройством микроциркуляции, а в анамнезе у них чаще имеет место общее или внутрисуставное применение гормональных препаратов.
По данным патогистологического исследования, формирование кист костей тазобедренного сустава характеризуется сочетанием дегенеративных и репаративных процессов. Эти изменения проявляются резорбцией дистрофически-измененных и некротизированных костных трабекул, замещением их соединительной тканью, ее частичным обызвествлением, гиалинизацией, формированием вторичных некрозов и истинных кист, немногочисленных новообразованных костных трабекул. Наличие выраженных расстройств микроциркуляторного русла, приводящих к вторичному некрозу соединительной ткани, а также расширенных и запустевающих более крупных сосудов дает основание для предположения об ишемическом происхождении кист костей тазобедренного сустава. Нарушения микроциркуляторного русла в зонах кистовидной перестройки костной ткани выражены в значительно большей степени, чем микроциркуляторные изменения при коксартрозе без кистовидной альтерации [2, 10, 11, 14].
Мы предполагаем, что механизм формирования кистозных изменений состоит в сочетании действия повышенной нагрузки на кость, возникающей вследствие нарушений анатомического строения сустава, и сопутствующих микроциркуляторных расстройств, вероятно, усиливающихся под действием патологических напряжений. Тот факт, что кистовидное поражение тазобедренного сустава при отсутствии признаков коксартроза встречается реже, чем кисты при коксартрозе, можно объяснить амортизирующей функцией сохранного хрящевого покрова, нивелирующего патологическое давление на кость.
Каким образом механическое воздействие может изменять микроциркуляцию? Как известно, остеоциты находятся в соединенных между собой отростками костных лакунах и питание получают не непосредственно от капилляров центральных каналов, поскольку контактируют не с ними, а с тканевой жидкостью [16, 30]. Последняя циркулирует между лакунами по канальцам, проходящим в отростках. Механические напряжения, деформирующие упругую костную структуру, создают градиент давления несжимаемой тканевой жидкости. Перепады давления этой жидкости, окружающей сосуды микроциркуляторного русла, могут изменять характеристики кровотока в них и транспорт питательных веществ от капилляров к остеоцитам, что ведет к соответствующим изменениям трофики и ремоделированию кости, т.е. к появлению зон остеосклероза или, напротив, остеолиза. Таким путем осуществляется физиологическое ремоделирование костной ткани, поскольку кость постоянно испытывает изменяющуюся нагрузку. Так должна происходить и патологическая перестройка, если механическое напряжение выходит за физиологически допустимые границы упругих деформаций костной структуры [1, 5, 6, 15, 23].
Существуют две основные теории, объясняющие причины нестабильности эндопротезов, — за исключением случаев развития нестабильности конструкции на фоне явных или скрытых инфекционных осложнений, выраженного остеопороза, первичной нестабильной установки имплантата или применения технически несовершенных эндопротезов. Согласно первой из них остеолиз вокруг имплантатов развивается под индуцирующим влиянием частиц износа материалов пары трения [4, 8, 13, 15, 17, 21, 29]. Вторая теория объясняет остеолитические изменения механическим давлением металлических конструкций на кость. Под воздействием циклических физиологических нагрузок в костной ткани вокруг имплантатов постоянно происходят перестроечные процессы, которые могут декомпенсироваться при превышении допустимого уровня воздействий и привести к существенному ослаблению костной ткани за счет потери ее минеральной составляющей и, соответственно, к нестабильности конструкций [8, 13, 15]. В основе перестроечных процессов костной структуры может лежать градиент давления, возникающий в тканевой жидкости кости или соединительнотканной капсулы (образующейся между металлом и костью в случае фиброзной фиксации эндопротеза) под воздействием имплантата [13, 17, 34]. Постоянные изменения давления в тканевой жидкости, влияя на состояние микроциркуляции, приводят к нарушениям трофики и остеолизу. Эти параллели с предполагаемым механизмом развития кистозной перестройки подтверждаются сходствами, обнаруженными некоторыми исследователями в гистологической картине и биохимических показателях тканей очагов кистовидной перестройки и остеолитических очагов, образующихся вокруг нестабильного эндопротеза [25]. Очевидно, что порог сопротивления нагрузкам определяется состоянием костной ткани и ее регенераторными способностями, зависящими от трофики, которая может изменяться при разных заболеваниях. Логично предположить, что наличие кистовидной перестройки костной структуры свидетельствует о снижении этого порога.
Полученные нами результаты подтверждают негативное влияние трофических нарушений, сопровождающих кистовидную перестройку костной ткани, на качество биологической фиксации имплантатов и позволяют рекомендовать постоянную медикаментозную коррекцию минерального обмена у пациентов, перенесших тотальное бесцементное эндопротезирование по поводу коксартроза с кистовидной перестройкой. У этой категории больных при имплантации искусственного сустава необходимо проводить аутопластику крупных кистозных полостей вертлужной впадины [10, 11, 14].
About the authors
V. I. Nuzhdin
Central Institute of Traumatology and Orthopedics. N.N. Priorova
Email: info@eco-vector.com
Russian Federation, Moscow
G. N. Berchenko
Central Institute of Traumatology and Orthopedics. N.N. Priorova
Email: info@eco-vector.com
Russian Federation, Moscow
O. A. Kudinov
Central Institute of Traumatology and Orthopedics. N.N. Priorova
Author for correspondence.
Email: info@eco-vector.com
Russian Federation, Moscow
References
- Бережный А.П. Кисты костей у детей и подростков. Дис. ... д-ра мед. наук. — М., 1985.
- Берман А.М. //Актуальные вопросы травматологии и ортопедии: Сб. трудов ЦИТО. — 1973. — Вып. 8. — С. 53-56.
- Берченко Г.Н. //Патология: Руководство /Под ред. М.А. Пальцева, В.С. Паукова, Э. Улумбекова. — М., 2002. — С. 565-597.
- Берченко Г.Н., Кудинов О.А. //Современные технологии в травматологии и ортопедии: Науч. конф. — М., 1999. — С. 194-195.
- Богоявленский И.Ф. Патологическая функциональная перестройка костей скелета. — Л., 1976.
- Бруско А.Т., Омелъчук В.П. //Вестн. травматол. ортопед. — 1999. — N 1. — С. 29-34.
- Гурьев В.Н. Двусторонний коксартроз и его оперативное лечение. — Таллин, 1975.
- Загородний Н.В. Эндопротезирование при повреждениях и заболеваниях тазобедренного сустава: Автореф. дис. ... д-ра мед. наук. — М., 1998.
- Косинская Н.С. Дегенеративно-дистрофические поражения костно-суставного аппарата (клиническая рентгенодиагностика и экспертиза трудоспособности). — М., 1961.
- Кудинов О.А., Нуждин В.И., Берченко Г.Н., Попова Т.П., Хоранов Ю.Г. //Современные технологии в травматологии и ортопедии: Науч. конф. — М., 1999. — С. 127.
- Кудинов О.А. Клинико-рентгенологические и патоморфологические сопоставления при дегенеративнодистрофических заболеваниях тазобедренного сустава в клинике эндопротезирования: Дис. ... канд. мед. наук. — М., 2000.
- Кулиш Н.И., Дувидзон А.Д., Канзюба А.И., Ефименко В. И. //Ортопедия, травматология и протезирование: Республ. межвед. сб. — Киев, 1985. — Вып. 15. —с 32-36.
- Нуждин В.И., Попова Т.П., Хоранов Ю.Г., Кудинов О.А., Каграманов С.В. //Эндопротезирование крупных суставов: Симпозиум с междунар. участием. — М„ 2000. — С. 79-83.
- Шапошников Ю.Г., Берченко Г.Н., Кудинов О.А. //Наследственные заболевания скелета: Материалы Всесоюз. науч.-практ. конф. — М., 1998. — С. 138.
- Шерепо К.М. Асептическая нестабильность при тотальном эндопротезировании тазобедренного сустава: Дис. ... д-ра мед. наук. — М., 1990.
- Шумада И.В., Суслова О.Я., Стецула В.И., Мороз Н.Ф., Катонин К.И., Жиля Ю.С. //Ортопед. травматол. — 1980. — N 7. — С. 33-37.
- Aspenberg P. et al. //Clin. Orthop. — 1998. — N 352. — P. 75-80.
- Bombelli R. et al. //Ibid. — 1984. — N 182. — P. 69-79.
- Callaghan J.J., Salvati E.A., Pellicci P.M. et al. //J. Bone Jt Surg. — 1985. — Vol. 67A. — P. 1074-1085.
- Cooperman D.R., Wallnsten R., Stulberg S.D. //Clin. Orthop. — 1983. — N 175. — P. 79-86.
- De Lee J.G., Charnley J. //Ibid. — 1976. — N 121. — P. 20-32.
- Engh C.A., Hooten J.P., Zettl-Schaffer K.F. //Ibid. — 1994. — N 298. — P. 89-96.
- Evans E.B., Eggers G.W., Butter J.K. //J. Bone Jt Surg.- 1960. — Vol. 42A, N 7. — P. 737-758.
- Gruen T.A., McNiece G.M., Amstutz H.C. //Clin. Orthop. - 1979. — N 141. — P. 17-27.
- Komiya S., Inoue A., Sasaguri Y., Minamitani K., Morimatsu M. //Ibid. — 1992. — N 284. — P. 273-282.
- Landell J.W. //J. Bone Jt Surg. — 1953. — Vol. 35B, N 4. — P. 643-648.
- Lloyd-Roberts G.C. //Ibid. — 1955. — Vol. 37B, N. 1. — P. 8-47.
- Maistrelli G., Gerundini M., Bombelly R. //Canad. Orthop. Rev. — 1986. — Vol. 15, N 5. — P. 271-279.
- Maloney W.J., Galante J.O., Anderson M. et al. //Clin. Orthop. — 1999. — N 369. — P. 157-165.
- Moller S.F., Robertsen K., Bunger C., Hansen E.S. //Ibid. — 1997. — N 334. — P. 15-23.
- Morrissy R.T., Rock L., Rhansas A. //J. Bone Jt Surg. — 1979. — Vol. 61A, N 4. — P. 609-611.
- Ondrouch A.S. //Ibid. — 1963. — Vol. 45B. — P. 755- 760.
- Pugh J.W., Radin E.L., Rose R.M. //Ibid. — 1974. — Vol. 56A. — P. 313-321.
- Schmalzried T.P. //Ibid. — 1997. — Vol. 79A. — P. 447- 452.
- Vikkula M. The Human type II collagene and cartilage diseases. — 1993, Helsinki. — P. 1-12.
Supplementary files
