The volume of osteomas in the brain
- Authors: Crown I.M.
- Issue: Vol XX, No 4 (1913)
- Pages: 957-969
- Section: Articles
- Submitted: 15.07.2021
- Published: 15.10.1913
- URL: https://journals.eco-vector.com/1027-4898/article/view/76046
- DOI: https://doi.org/10.17816/nb76046
- ID: 76046
Cite item
Full Text
Abstract
Heteroplastic osteomas, that is, the formation of real bone in the body of a human body is extremely rare, even more often they are embedded in the pia mater and in the substances of the brain.
Keywords
Full Text
Гетеропластическія остеомы т. е. образованія настоящей кости въ органѣ человѣческаго тѣла чрезвычайно рѣдки, еще рѣже онѣ встрѣчаются въ мягкой мозговой оболочкѣ и въ веществѣ мозга.
Rokitansky объ остеомахъ вовсе не упоминаетъ, а Hasse ихъ отрицаетъ совершенно: въ толщѣ мозга лишь въ видѣ исключенія встрѣчаются раковыя опухоли съ окостенѣвшимъ остовомъ или лишь частично окостенѣвшія энхондромы, обычно встрѣчается лишь объизвествленіе бугорковъ и эксудатовъ, равно какъ саркоматозныхъ опухолей; далѣе цистицерковые мѣшки сморщившіеся и обратившіеся въ известковые сростки, объизвестленіе артеріальныхъ сосудовъ и, наконецъ, такъ наз. известковые метастазы, но не костныя опухоли въ собственномъ смыслѣ. Я здѣсь не намѣренъ коснуться болѣе часто встрѣчающихся образованій кости въ твердой мозговой оболочкѣ. Въ новѣйшей монографіи объ опухоляхъ мозга Brunsa мы не находимъ упоминаній о нихъ. Oppenheim цитируетъ 2 случая тератомъ придатка мозга: въ таковыхъ на ряду съ хрящевой тканью, зубами и эпителіальными массами имѣлась также костная ткань. Benjamin считалъ наблюдаемую имъ остеому окостенѣвшей липомой. Siemon описалъ бугорокъ съ послѣдовавшимъ извествленіемъ и окостенѣніемъ.
Bruns упоминаетъ лишь объ остеосаркомахъ. Описанныя въ ветеринарной литературѣ Roth’омъ и Kitt’омъ внутричерепныя зубныя остеомы—„окостенѣвшіе мозги“ старыхъ авторовъ относятся къ области тератологіи въ отдѣлѣ тератомъ зачаточныхъ бороздъ. Немногочисленные, относящіеся къ остеомамъ въ мозгу, случаи приведены въ диссертаціи Пожарійскаго (дисс. Хорьковъ 1904 г.), обогатившаго казуистику 3-мя новыми паталого-анатомическими объектами. Большинство описанныхъ случаевъ приходится на мозжечекъ; Virchow, описавшій 3 остеомы мозжечка уже указалъ на то, что мозжечекъ является излюбленнымъ мѣстомъ остеомъ. Meschede на ряду съ остеомой лѣвой лобной доли, которая прилегла на ограниченномъ участкѣ непосредственно къ поверхности коры и здѣсь была покрыта мягкой мозговой оболочкой, нашелъ полость въ аммоніевѣ рогѣ; послѣднюю нужно разсматривать, какъ неправильность развитія; она была выстлана сплетеніемъ chorioideae en miniature. Въ этомъ случаѣ оказались также многочисленныя (44) бѣлыя пластинки хрящеватой консистенціи, расположенныя по всей длинѣ паутинной оболочки.
Ebstein описалъ совершенно анологичную остеому мозжечка Пожарійскій предполагаетъ, что въ обоихъ случаяхъ исходнымъ пунктомъ костныхъ узловъ была мягкая оболочка а не вещество мозга. Объ остеомахъ мягкихъ мозговыхъ оболочекъ сообщили лишь Вирховъ, Orth, Bensen, Pollack и Пожарійскій. Я нашелъ въ литературѣ еще случай Biddert’а, не упомянутый Пожарійскимъ, въ которомъ локализація остеомы и клиническая картина совершенно соотвѣтствовали нашему случаю; ниже къ этому случаю еще вернусь.
На первомъ международномъ съѣздѣ патологоанатомовъ въ Туринѣ 1911 г. Dürck сообщилъ о случаѣ почти полнаго объизвествленія одного полушарія мозга у 19-ти лѣтняго юноши. Онъ съ рожденія страдалъ поддергиваніями; позже развилась тяжелая эпилепсія—онъ сталъ идіотомъ. Hemiplegia dextra съ контрактурами. Телангіэктазія на лѣвой сторонѣ лица.
При вскрытіи найдено было диффузное образованіе ангіомъ мягкой мозговой оболочки надъ всей лѣвой гемисферой. Весь слой вещества мозга въ centrum semiovale былъ пронизанъ каменообразными отложеніями извести.
Вся кора мозга была пронизана многочисленными песчанистыми отложеніями. Микроскопическое изслѣдованіе, предпринятое послѣ декальцинаціи показало распространенное объизвествленіе сосудовъ, какъ капилляровъ такъ и болѣе крупныхъ артеріальныхъ стволовъ и диффузный слой извести въ веществѣ мозга. Dürck объясняетъ извествленіе значительными неправильностями въ питаніи полушарій, происшедшимъ изъ за развитія angioma racemosum въ мягкой мозговой оболочкѣ. Marchand сообщилъ о подобномъ же случаѣ, въ которомъ также было распространенное извествленіе мозга и angioma racemosum arteriale съ телеангіэктазіею соотвѣтствующей стороны лица.
О петрификаціи гангліозныхъ клѣтокъ и ихъ отростковъ сообщили уже въ 56 г. Virhow, послѣ него много другихъ авторовъ. Отложеніе извести въ периферическихъ нервныхъ волокнахъ наблюдалъ Девицкій.
Перехожу къ нашему случаю:
К. 54 л., безъ занятій, поступилъ въ терапевтическое отдѣленіе Старо-Екатерининской больницы 27 III с. г.. Въ возрастѣ 28-хъ л. онъ заболѣлъ мозговой болѣзнью сопровождавшейся лихорадкой и параличемъ лѣвыхъ конечностей. За послѣдніе три мѣсяца онъ сильно похудалъ, явилась общая слабость, упадокъ силъ, ночные поты и поносъ. Въ настоящее время страдаетъ кашлемъ и одышкой.
Б-ой очень истощенъ, худъ и малокровенъ, языкъ суховатъ, обложенъ, покрыть налетомъ бѣловатаго цвѣта. Лѣвыя конечности рѣзко атрофированы, парализованы. Кости лѣвыхъ конечностей въ сравненіи съ правыми рѣзво отстали въ своемъ развитіи. Лѣвая рука находится въ локтевомъ и лучезапястномъ суставѣ въ состояніи сгибательной контрактуры. Контрактура лѣвой ноги въ колѣнномъ и голеностопномъ суставѣ.
Въ верхнихъ доляхъ легкихъ много влажныхъ звонкихъ хриповъ и бронхіальное дыханіе. Пульсъ очень вялаго наполненія, 84 въ минуту, сердечные тоны чисты, но слабо слышны Кишечникъ при прощупываніи болѣзненъ. Въ мочѣ слѣды бѣлка. Т° 36,7. 28/III. Ціанозъ концевъ пальцевъ рукъ. Сильная одышка. Пульсъ почти непрощупывается. Слабило нѣсколько разъ жидко подъ себя. Агонія. Въ 1 ч. дня exitus.
Трупъ представленъ былъ для изученія спланхнологіи ученицамъ фельдшерскихъ курсовъ при старо-Екатерининской болницѣ. Помощница преподавателя анатоміи отмѣтила, что во внутреннихъ органахъ нѣтъ измѣненій, объясняющихъ смерть. Приглашенный прозекторъ больницы обратилъ вниманіе на атрофію и контрактуру конечностей и произвелъ вскрытіе черепа и позвоночника.
Пользуюсь случаемъ, чтобы выразить многоуважаемому Александру Ивановичу Синеву благодарность за любезно мнѣ предоставленный случай и за фотографическіе снимки препаратовъ.
Мозговыя оболочки не представляютъ ничего особеннаго. Вены мягкой мозговой оболочки слегка расширены. Извилины мозга нормальной конфигураціи. При проведеніи фронтальнаго разрѣза въ области центральной доли ножъ въ области полосатаго тѣла наткнулся на твердое тѣло, занимавшее большую часть nuclei lentiformis et caps. int d. и простирающееся кнаружи въ бѣлое вещество до коры insulae Reilii и книзу почти до согни inf. ventriculi lateralis. Описанное твердое тѣло повсюду внѣдрено въ мозговое вещество, изъ котораго оно не выдѣляется. Его поверхность покрыта выступами и зазубринами. Продольный размѣръ его 2,3 сант.; поперечный почти 2 сант. См. рис. 1.
На поверхности lobi semilunaris post. s. и 1. cuneiform, d. находится также подъ мягкой мозговой оболочкой маленькая костная опухоль длиною въ 0,5 пр. 0,6 сант., проникающая въ вещество мозга.
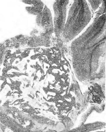
Препаратъ изъ праваго мозжечковаго полушарія: дѣло идетъ о своеобразномъ образованіи, которое какъ инородное тѣло внѣдрилось въ край мозжечка и не находится въ тѣсномъ соединеніи съ веществомъ послѣдняго. Уже макроскопически можно отличить многочисленные болѣе широкія и узкія полосы, окрашенныя въ синій или красный цвѣтъ. Подъ микроскопомъ видно, что опухоль имѣетъ строеніе губчатаго вещества кости съ толстыми перекладинами; виднѣются широкіе, содержащіе известь, костныя перекладины, которыя окружаютъ систему отверстій неправильнаго размѣра, состоящія изъ рыхлой богатой жировыми клѣтками соединительной ткани, въ которой имѣются также лимфоциты болѣе крупнаго и мелкаго размѣра и капиляры разнообразныхъ размѣровъ.
Рис.1
Эта жировая ткань есть костный мозгъ, заполняющій просвѣты губчатаго вещества. Ср. рис. 2. Въ костномъ мозгу виднѣются одиночныя, красныя, содержащія ядра кровяныя тѣльца (нормобласты). У полюса этого образованія, наиболѣе глубоко внѣдреннаго въ мозжечекъ, образованіе кости менѣе замѣтно; здѣсь основа ткани состоитъ изъ плотныхъ, тѣсно сплетенныхъ волоконъ соединительной ткани, въ которой виднѣются одиночные известковые островки; здѣсь дѣло идетъ, стало быть, не о костномъ веществѣ, но объ инкрустаціи соединительной ткани въ видѣ отдѣльныхъ пятенъ. Кромѣ значительныхъ известковыхъ островковъ въ соединительнотканномъ веществѣ находятся еще участки, гдѣ известь расположена въ видѣ зернышекъ и конгломератовъ, диффузно окрашивающихся гематоксилиномъ.
Рис. 2
Также въ краевой зонѣ болѣе крупныхъ объизвествленныхъ участковъ встрѣчаются подобныя известковыя зернышки, безпорядочно расположенныя.
На отдѣльныхъ препаратахъ видна нѣжнозернистая, крошковидная субстанція, не обнаруживающая органическаго строенія и напоминающая „Globularmasse“ описанную Virchow’омъ. Съ одной стороны она граничитъ съ костью, съ соединительно-тканной капсулой. Вещество мозжечка на большомъ протяженіи опухоли отдѣлено отъ вещества послѣдней, какъ бы щелью; у края вещества мозжечка имѣется довольно широкій соединительно тканый покровъ, который въ немногихъ мѣстахъ срощенъ съ наружной стороной описаннаго образованія. Здѣсь отсутствуетъ сѣрый слой коры, кость граничить съ зерновымъ слоемъ. Въ боковыхъ отдѣлахъ костнаго образованія гангліозный слой поврежденъ. Расположенная у мозжечка соединительно тканная перепонка довольно бѣдна ядрами и содержитъ своеобразное скопленіе зернышекъ, напоминающихъ отложенія извести.
На препаратѣ, окрашенномъ по Van Gieson’y виднѣется таже картина, а именно, что опухоль не вездѣ принимаетъ строеніе губчатаго вещества кости, но въ своей правой зонѣ состоитъ изъ плотной соединительной ткани, волокна которой перекрещиваются въ различномъ направленіи, образуя плотное сплетеніе.
Опухоль на другой сторонѣ мозжечка имѣетъ то же строеніе; въ одной и той же пластинкѣ чередуются иногда мѣста, гдѣ имѣется аморфная известь и гдѣ она уже совершенно связана съ основнымъ веществомъ. Вещество мозжечка по его краю мѣстами испещрено. Здѣсь опухоль связана съ мозжечкомъ рыхлой тканью, въ которой содержатся соединительно тканные элементы и гліозныя волокна; внутри этой ткани лежатъ маленькіе островки мозжечковаго вещества— гетеротопія искусственнаго происхожденія.
Соединительно-тканная оболочка, содержащая сосуды окружаетъ опухоль какъ бы капсулой; въ отдѣльныхъ мѣстахъ протянуты широкіе соединительно-тканпые тяжи отъ капсулы къ сосѣднему веществу мозжечка, и отщепляютъ мелкіе островки мозжечковаго вещества отъ рядомъ лежащей ткани.
Исходная точка костныхъ образованій по всей вѣроятности лежала въ мягкой оболочкѣ мозга; тканъ послѣдней столь нѣжна, основа, къ которой прилегаетъ остеома, столь малой прочности, что, какъ указываетъ Пожарійскій, невозможно прослѣдитъ ея анатомическія отношенія. На препаратахъ изъ corpus striatum опухоль имѣетъ приблизительно величину вишневой косточки и лежитъ, какъ инородное тѣло, рѣзко ограниченное въ окружающемъ мозговомъ веществѣ, отъ котораго она все же отдѣлена какъ бы щелью. Строеніе опухоли и здѣсь даетъ картину губчатаго костнаго вещества съ толстыми перекладинами. Большіе участки поперечнаго разрѣза образованы соединительной тканью, подвергшейся разлитому объизвестленію, не обнаруживающей костнаго характера. Вся краевая зона опухоли состоитъ изъ подобной широкой соединительно тканной массы, въ которой произошелъ процессъ диффузнаго объизвсствленія.
Капсула, окружающая кость, состоитъ изъ фиброзноволокнистой, интенсивно окрашенной эозиномъ ткани; волокна ея толсты, гіалиново перерождены, ядра почти отсутствуютъ. Въ отдѣльныхъ мѣстахъ видно, что щель образована искусственно, а что широкіе соединительно тканные тяжи съ расширенными сосудами проникаютъ въ окружающее вещество мозга со стороны капсулы. Между веществомъ мозга и опухолью протянуты мостики рыхлой соединительной ткани. Кромѣ крупныхъ неправильной формы костныхъ перекладинъ находятъ также узкіе костные тяжи. Костный слой выдѣляется своимъ гомогеннымъ основнымъ веществомъ и внѣдренными ядрышками съ типичными отростками; въ костныхъ тѣльцахъ клѣтки большей частью сохранены.
Костныя полости и тѣльца обнаруживаютъ большей частью нормальное строеніе. Клѣтки большей частью ясно зазубрены. Ядра костныхъ тѣлецъ въ отдѣльныхъ мѣстахъ не окрашиваются. Кость какъ видно можетъ также погибнуть, некротизироваться и въ живомъ организмѣ. Говерсовы каналы и пластинки находятся почти вездѣ. Пластинки расположены или параллельно поверхности кости или концентрически. По краю кости только изрѣдка виднѣются единичные остеобласты. Во многихъ мѣстахъ видно, какъ кость безъ рѣзкихъ границъ переходитъ въ окружающую соединительную ткань, и какъ она возникаетъ въ новообразованной соединительной ткани. Очень рѣдко въ единичныхъ мѣстахъ можно констатировать переходъ фибробластовъ въ остеобласты. Развившаяся костная ткань является такимъ образомъ, какъ и нормальная, высокодифференцированнымъ органоиднымъ образованіемъ. Она имѣетъ пластинчатое межклѣточное вещество, костныя тѣльца, лакуны, костно-мозговыя полости и пронизана Говерсовыми каналами. Ни періоста, ни хряща нигдѣ не видно. Нигдѣ нѣтъ слѣдовъ прогрессивнаго процесса. Нигдѣ не видно ни слѣдовъ дальнѣшаго роста кости, ни отпрысковъ описаннаго образованія ни роста опухоли но краямъ. Образованіе производитъ впечатлѣніе, что первичный очагъ подвергся окостенѣнію безъ увеличенія въ объемѣ, окружающее мозговое вещество находится въ состояніи размягченія.
Со стороны спинного мозга слѣдуетъ отмѣтитъ явленія хроническаго лептоменипгита, нисходящее перерожденіе пирамидныхъ путей лѣвой части спиннаго мозга и уменьшеніе гангліозныхъ клѣтокъ въ лѣвой половинѣ спиннаго мозга. Если мы разберемъ гистологическія данныя, то окажется, что всѣ образованія въ corpus striat. dex. и въ обоихъ полушаріяхъ мозжечка обнаруживаютъ однородный характеръ и различаются лишь степенью развитія кости. Количество извести и мертвой объизвествленной ткани превалируетъ въ полосатомъ тѣлѣ и въ лѣвомъ полушаріи мозжечка надъ новообразованной костью, тогда какъ въ правомъ полушаріи кость заполняетъ почти все пространство. Костный мозгъ имѣетъ ясно выраженный характеръ жирового, онъ особенно богатъ жировыми клѣтками.
Это показываетъ, что процессъ уже долгое время заглохъ, за это говоритъ также малое количество остеобластовъ въ полостяхъ костнаго мозга. Во всѣхъ трехъ остеомахъ выступаетъ тѣсная связь между костью и соединительной тканью, кость возникла въ новообразованной соединительной ткани, видно, какъ тяжъ соединительной ткани продолжается въ основное вещество кости, кость отдѣлена отъ мозгового вещества соединительной тканью. Происхожденіе описанной картины можно объяснить слѣдующимъ образомъ: первичные дефекты мозгового вещества обильно замѣщены соединительной тканью, исходящей изъ стѣнокъ сосудовъ—образованіемъ ткани мезодермальнаго происхожденія. Въ этомъ рубцѣ дѣло отчасти дошло до объизвествленія по типу инкрустаціи, и отчасти до окостенѣнія. Объизвествленіе во многихъ мѣстахъ носитъ разлитой характеръ; также образованіе костнаго матеріала неравномѣрно распредѣлено по всей области, но ограничивается отдѣльными участками.
Гетеропластическое образованіе кости находится въ тѣсной связи съ проблемами, касающимися специфичности тканей. Его возникновеніе можно въ нѣкоторыхъ случаяхъ объяснитъ эмбріональными причинами, но гораздо чаще имѣются истинныя метаплазіи соединительной ткани. Уже Virchow ставилъ въ связь гетеропластическія остеомы съ предшествовавшими воспалительными явленіями, обусловившими соединительно-тканныя новообразованія. По поводу остеомы въ мозгу онъ говоритъ, что соединительнотканное вещество образуетъ основу костей. „Эта соединительная ткань является реакціею на раздраженіе нейрогліи и въ этомъ смыслѣ образованіе остеомы является какъ бы концемъ ограниченнаго энцефалита“. Образованіе костей нельзя поставить въ тѣсную связь съ мозговыми кровоизліяніями и различнаго рода энцефалитическими очагами. Противъ этого говоритъ чрезвычайно рѣдкое нахожденіе остеомы въ мозговомъ веществѣ. Патологоанатомическія наблюденія послѣдняго десятилѣтія и экспериментальныя изслѣдованія Sacerdotti и Grattini существенно повліяли на выясненіе этого вопроса. Послѣдніе авторы перерѣзали у кроликовъ сосуды лѣвой почки между двумя лигатурами и получали затѣмъ образованіе настоящей кости со значительнымъ количествомъ мозга и обильнымъ новообразованіемъ межуточной соединительной ткани. Кость тутъ произошла вслѣдствіе непосредственной ткани, какъ это наблюдается при нормальномъ образованіи черепа и почти всѣхъ костей лица. Пожарійскій также съ помощью прекращенія кровообращенія въ почкѣ у кролика получилъ сперва отложеніе извести, а затѣмъ развитіе грануляціонной ткани и наконецъ образованіе кости съ костнымъ мозгомъ. Пожарійскій констатировалъ во всѣхъ органахъ, въ томъ числѣ въ мозгу, исключая лить сердце и почки человѣка, которыхъ онъ не могъ изслѣдовать, образованіе костной ткани. Для образованія послѣдней онъ считаетъ необходимымъ слѣдующія условія; во первыхъ некрозъ ткани или по крайней мѣрѣ склерозъ ея, который такъ рѣзко выраженъ, что сопровождается пропитываніемъ извѣстковыми солями, во вторыхъ послѣ объизвествленія объизвествленныя массы по своимъ химическимъ свойствамъ походятъ на амилоидъ, въ третьихъ въ окружности очага развивается содержащая сосуды грануляціонная ткань.— Непосредственнаго превращенія волоконъ старой соединительной ткани въ межклѣточную субстанцію и клѣтокъ ея въ костныя тѣльца — метаплязіи въ смыслѣ Virchow’a Пожарійскій не наблюдалъ. Кость образуется по Пожарійскому благодаря дѣятельности остеобластовъ, которыя дифференцируются изъ фибробластовъ грануляціонной ткани. Къ подобнымъ выводамъ приходятъ Pollack, Lubarsch, Marchand и друг. Biddert утверждаетъ, что всегда развивается молодая, богатая клѣточными элементами ткань, аналогичная періосту и костному мозгу. Своей дѣятельностью она производитъ кость. Костномозговая ткань просходитъ изъ двухъ источниковъ: во 1) изъ тутъ же образовавшихся клѣтокъ и волокнистыхъ пучковъ и во 2) она можетъ произойти непосредственно изъ крови и косвенно изъ костнаго мозга... мы вѣдь знаемъ, какъ легко элементы костнаго мозга проникаютъ въ кругъ кровообращенія.
Въ нашихъ препаратахъ процессъ поводимому закончился; по крайней мѣрѣ не видно никакихъ слѣдовъ образованія грануляціонной ткани, но и здѣсь ясно замѣтна тѣсная связь между соединительной и костной тканью. Не взирая на приводимые Пожарійскимъ и другими факты намъ все же кажется, что для образованія остеомъ въ мозгу необходимы индивидуальныя предрасположенія, такъ какъ иначе подобное обильное мезодермальное и костное образованіе трудно объяснимо.
Biddert предполагаетъ, что остеомы въ мозгу происходятъ изъ заблудившихся частицъ внутренней надкостницы (твердой мозговой оболочки), которыя затѣмъ окружаются мозговымъ веществомъ. Вкратцѣ упомянемъ, что отдѣльные авторы прибѣгаютъ для объясненія происхожденія окостенѣній къ ученію объ оссифицирующемъ діатезѣ, къ гипотезѣ Cohnheim’a.
Изъ вышеприведеннаго описанія слѣдуетъ, что приведенный нами случай образованія кости въ соединительнотканномъ рубцѣ нельзя причислить къ новообразованіямъ, къ остеомамъ, въ узкомъ смыслѣ слова. То же относится по моему и къ прочимъ, описаннымъ въ литературѣ случаямъ, хотя авторы описываютъ ихъ какъ истинныя опухоли и онѣ какъ таковыя вошли въ учебникъ Biddert’a объ опухоляхъ. Правильнѣе было ихъ обозначить, какъ окостенѣвшія образованія. Не всѣ гетерогенныя образованія въ мозгу, хотя и достигающія значительной величины, заслуживаютъ быть осматриваемыми съ точки зрѣнія онкологіи. Нашъ случаи представляетъ интересъ, какъ благодаря своей локализаціи въ полосатомъ тѣлѣ, такъ особенно и вслѣдствіи нахожденія костныхъ образованій въ трехъ областяхъ мозга.—
Позволю себѣ коснуться въ нѣсколькихъ словахъ клинической картины. Лѣвосторонняя гемиплегія нашего больного обусловилась болѣзнью, перенесенной въ 5-ти лѣтнемъ возрастѣ, на что указываетъ, кромѣ анамнеза, отсталость въ ростѣ костей лѣвыхъ конечностей. Локализацію патологическаго процесса можно съ достовѣрностью предположить въ правомъ полосатомъ тѣлѣ. По всѣмъ вѣроятіямъ дѣло шло объ имѣвшемся когда то энцефалитическомъ очагѣ, въ которомъ постепенно развивалось образованіе костей, въ свою очередь поддерживавш е раздраженіе. Я такимъ же образомъ объясняю себѣ случай Biddert’a который настаиваетъ на томъ, что гемиплегія у его 59 л. больного, страдавшаго съ дѣтства сведеніемъ правыхъ конечностей, обусловливалась остеомой въ лѣвомъ полосатомъ тѣлѣ.
Въ случаѣ Biddert’а интересенъ также тотъ фактъ, что несмотря на значительный объемъ остеомы б-ой занимался тяжелымъ трудомъ и прожилъ до 59 л. Костныя образованія въ можечковыхъ полушаріяхъ нашего б-го повидимому не вызвали особыхъ симптомовъ, что вполнѣ понятно, если припомнимъ, что въ случаѣ Ebstein’а всѣ симптомы отсутствовали, хотя опухоль занимала почти все лѣвое полушаріе мозжечка.
Клиническая картина опухоли мозга отсутствовала, какъ въ моемъ, такь и во всѣхъ остальныхъ трехъ случаяхъ остеомъ въ мозгу, описанныхъ съ изложеніемъ исторіи болѣзни.
About the authors
I. M. Crown
Author for correspondence.
Email: info@eco-vector.com
Russian Federation, Moscow
References
- Biddert; Virch. Arch. 1882, т. 88.
- Cohn; V. A. 106 p. 378.
- Dürck; Centralbl. f. allg. Path. u. path. Anat. 1912.
- Девицкій; 1910. „ „
- Ebsteein; Grosses Osteom der linken Kleinhirnhemisphäre V. A. 1870 I. 49.
- Einer; Ueber Pachymeningitis ossificans J. D. Münhen 1896.
- Frankel; Münch. med. Wochenschr. 1902 № 34.
- Marburg; Endarteriitis Cartilag der grossen Hirngefasse. Centralbl. f. allg Path. u path. Anat. 1902 № 8—9.
- Marchand; Centralbl f. allg. Path. u path. Anat. 1912.
- Meschede; Osteom des grossen Gehirns u Ventrikelbildung v. А j 35.
- Oppenheim; Geschwülste des Gehirns. Nothnagels Handb.
- Pollack; Ueber Knochenbildung in der Lauge v. А. т. 165 p. 129.
- Пожарійскій; Гетеропластическое образованіе кости. Дисс. Харьковъ 1904.
- Пожарійскій; Ziegerls Beitr. т. 38. (подробн. указ. лит.)
- Sacerdotti; u Grattini: Ueber heteroplastische Knochenbildung v. A. j. 168.
- Siemon; Angedehntes Defekt und teilweise verknöcherter Tumor der linken Gehirnhemisphäre J. D. Marburg 1893.
- Virchow: Ueber Metaplasie r. A. 97 p. 410.
- Virchow: Die krankhaften Geschwülste.
- Zander; Ueber die Entwicklung der Osteome der Arachnoidea spinalis.





