Features of clinical and morphological diagnosis of esthesioneuroblastoma
- Authors: Speransky D.L.1,2, Ermilov V.V.3, Shatalova O.V.3, Speransky L.D.3, Suchilina O.V.4
-
Affiliations:
- Институт непрерывного медицинского и фармацевтического образования
- Волгоградский государственный медицинский университет
- Volgograd State Medical University
- Volgograd Regional Clinical Oncology Dispensary
- Issue: Vol 21, No 2 (2024)
- Pages: 87-91
- Section: Original Researches
- URL: https://journals.eco-vector.com/1994-9480/article/view/634740
- DOI: https://doi.org/10.19163/1994-9480-2024-21-2-87-91
- ID: 634740
Cite item
Full Text
Abstract
The incidence of malignant neoplasms in Russia and the world is growing, and among the many malignant tumors of the main localizations, there are rare forms of cancer, mentioned in the literature as a description of single cases. Such diseases include a malignant neuroepithelial tumor arising from the olfactory neuroepithelium of the nasal cavity – esthesioneuroblastoma (ENB), which accounts for only 3 to 6% of cases of malignant neoplasms of the nasal cavity and paranasal sinuses. In due to the rarity of this disease, there are certain difficulties in the clinical and morphological diagnosis of ENB, there is no coding of it in the ICD, and there are no uniform standards of treatment. The article presents the results of a retrospective analysis of the features of clinical and morphological diagnosis of esthesioneuroblastoma. The study was conducted using the database of the Volgograd Regional Clinical Oncology Dispensary from 2003 to 2023. At the initial histological examination, the diagnosis of esthesioneuroblastoma was established only in 6 patients (66.6 %), in three patients (33.4 %) other forms of the malignant process were diagnosed, which did not correspond to clinical manifestations. Immunohistochemical (IHC) data confirm the greatest correspondence of the immunophenotype to olfactory neuroblastoma, G3 (according to Hyams) M9522/33. The study showed that the use of IHC for differential diagnosis is mandatory and allows for more accurate identification of esthesioneuroblastoma.
Full Text
В настоящее время сводные статистические данные о ЭНБ, опубликованные отдельными авторами, клиниками и департаментами, свидетельствуют о зарегистрированных 2 145 случаях этого заболевания во всем мире. Так как результаты исследований ЭНБ в основном носят описательный характер клинических данных, которые до настоящего времени не систематизированы и не отражают особенностей клинических проявлений этого заболевания в зависимости от распространенности опухолевого процесса и морфологических характеристик, что крайне необходимо для своевременной и правильной диагностики, от качества которой зависит и результат лечения.
Классификация синоназальных опухолей с нейроэндокринной дифференцировкой учитывает их нейроэктодермальное и эпителиальное происхождение, из которых проявляются обонятельные нейробластомы (ОНБ) (также известные как эстезионейробластомы) и нейроэндокринные карциномы соответственно. Однако классификация и номенклатура по-прежнему остаются предметом постоянных споров. Хотя классификация нейроэндокринной карциномы хорошо известна, текущая номенклатура и классификация ОНБ остаются сложной задачей, поскольку ее точное происхождение и морфологические особенности недостаточно изучены, что отчасти объясняется низкой заболеваемостью. В еще более редких случаях в литературе описаны синоназальные опухоли со смешанными нейроэндокринными и ненейроэндокринными особенностями, что еще больше усложняет классификацию опухолей.
Морфологические исследования структурных вариантов ЭНБ (ОНБ) за последнее десятилетие выявили экспрессию маркеров невральной дифференцировки, подтверждающих нейроэктодермальную природу, и определили гистопатологические особенности опухоли [1, 2, 3, 4].
ЦЕЛЬ РАБОТЫ
Представить результаты ретроспективного исследования особенностей клинической и морфологической диагностики эстезионейробластомы.
МЕТОДИКА ИССЛЕДОВАНИЯ
Ретроспективное исследование проведено с использованием базы данных ГБУЗ Волгоградский областной клинический онкологический диспансер с 2003 по 2023 г. За этот период выявлено 9 пациентов с гистологически подтвержденным диагнозом эстезионейробластомы. Степень распространенности опухоли оценивали по схеме, предложенной в 1976 г. Kadish S. и соавт. и дополненной в 1993 г. Morita A. и соавт., а также с использованием классификации TNM. Для морфологической верификации злокачественного процесса использовали гистологическое исследование с оценкой степени дифференцировки опухоли по Hyams и иммуногистохимическое исследование с использованием антител к Keratin.Pan (AE/AE3), CD45 (Cocktail), Synaptophysin (SP11), ChromograninA (SP12), CD56 (56C04), Ki-67 (30-9), p63 (7JUL)RTU, S100, INI1, CD99 (HO36-1.1), а также с применением доставки с антителами к EMA (E29), TTF1 (8G7G3/1).
РЕЗУЛЬТАТЫ ИССЛЕДОВАНИЯ И ИХ ОБСУЖДЕНИЕ
К сожалению, по данным литературы, ЭНБ диагностируется на поздней стадии более чем у 80 % больных и имеет характер сочетанного поражения полости носа, околоносовых пазух (ОНП), костных и мягкотканных структур лицевого черепа, нередко полости черепа и мозга. Подобное положение требует использования достоверных методов клинической и морфологической диагностики и эффективных подходов к лечению, с использованием, по возможности и в зависимости от степени распространенности процесса, хирургических, лекарственных и лучевых методов [2, 4, 5].
В нашем исследовании (табл.) возраст больных колебался от 21 до 69 лет, медиана – 50,2 года. Больных мужчин было 3 (33,3 %), женщин – 6 пациенток (66,7 %). Только у двоих пациентов (22,2 %) с ЭНБ были ранние формы злокачественного процесса (стадия А и В) – Стадия А по Kadish выявлена в 1 случае (11,1 %), стадия В – у 1 пациента (11,1%); у 7 (77,8 %) – местнораспространенный или метастатический рак (стадии C и D) – преобладала стадия С – 5 пациентов (55,6 %). Стадия D диагностирована у 2 больных (22,2 %).
Распределение больных по полу, возрасту и степени распространенности процесса
№ | Пол | Возраст | МКБ 10 | Стадия по TNM | Стадия по Kadish – Morita |
1 | М | 69 | С 30.0 | T4N2M0 | D |
2 | М | 21 | С 30.0 | T4N2M1 | D |
3 | Ж | 64 | С 31.1 | T4N0M0 | C |
4 | Ж | 31 | С 31.3 | T4N0M0 | C |
5 | Ж | 62 | С 31.8 | T4N0M0 | C |
6 | Ж | 22 | С 30.0 | T2N0M0 | С |
7 | М | 61 | С 79.3 | T4N0M0 | С |
8 | Ж | 53 | С 31.0 | T2N0M0 | B |
9 | Ж | 69 | С 30.0 | T2N0M0 | A |
В клинической картине практически у всех больных преобладали чувство заложенности носа, различные нарушения обоняния, носовые кровотечения, головные боли. Для постановки диагноза, оценки распространенности опухолевого процесса и диспансерном наблюдении применяли визуальные (эндоскопические) методы диагностики, ультрасонографию, рентгеновскую компьютерную и магнитно-резонансную томографию. Морфологический диагноз устанавливали на основании гистологического и иммуно-гистохимического исследований.
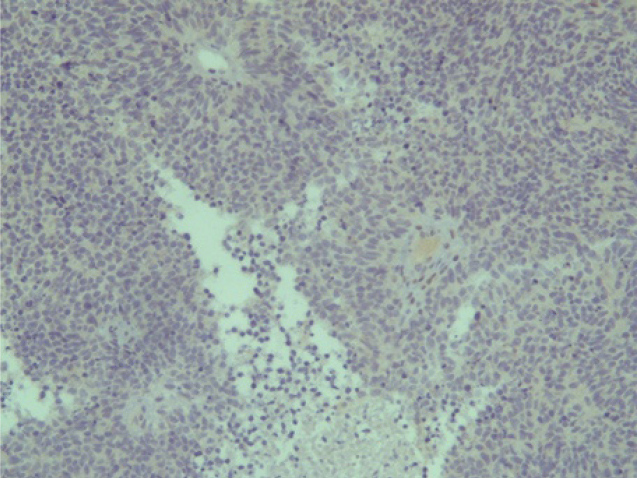
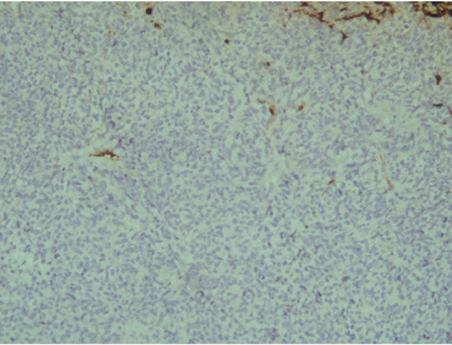
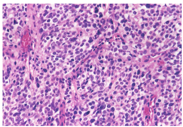
Опухоль с одинаковой частотой локализовалась в правой и левой половинах носа. Но из-за близости соседних анатомических структур и особенностей местнодеструирующего роста опухоли, у двух пациентов первичный очаг изначально диагностировали интракраниально (22,2 %), у двух – в верхнечелюстной пазухе (22,2 %), у одного – в носоглотке (11,1 %) и у двух пациентов (22,2 %) из-за степени распространенности процесса было невозможно анатомически точно определить область первичного возникновения опухоли. В таких ситуациях единственным способом верификации морфологической принадлежности злокачественного процесса является гистологическое исследование (рис. 1).
Эстезионейробластома по своей гистологической структуре напоминает лимфосаркому или симпатобластому и представлена комплексами гиперхромных клеток со структурами типа ложных розеток и скудным нейрофибриллярным матриксом, выраженным полиморфизмом [3, 6].
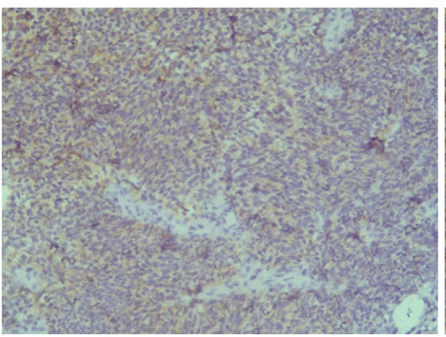
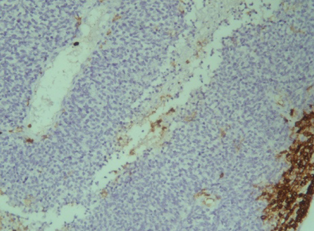
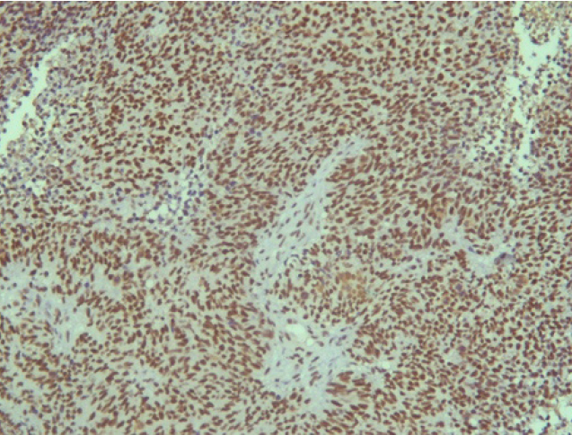
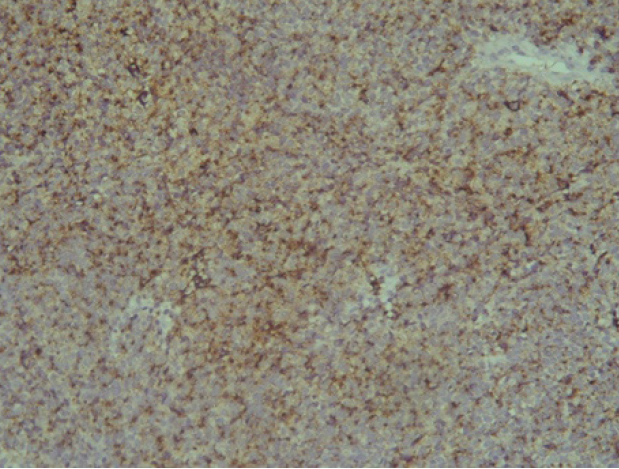
Поэтому при первичном гистологическом исследовании диагноз эстезионейробластомы был установлен только у 6 пациентов (66,6 %), у троих больных (33,4 %) были диагностированы другие формы злокачественного процесса, что не соответствовало клиническим проявлениям. Во всех случаях проводили иммуногистохимическое (ИГХ) исследование. ИГХ-исследование проводили на срезах с парафиновых блоков с использованием антител к Keratin.Pan (AE/AE3), CD45 (Cocktail), Synaptophysin (SP11), ChromograninA (SP12), CD56 (56C04), Ki-67 (30-9), p63 (7JUL)RTU, S100, INI1, CD99 (HO36-1.1). Также выполняли доставку с антителами к EMA (E29), TTF1 (8G7G3/1). В диагностических материалах была отмечена положительная экспрессия Synaptophysin, ChromograninA, CD56, Ki-67 (до 90% ядер), INI1 (рис. 2–6).
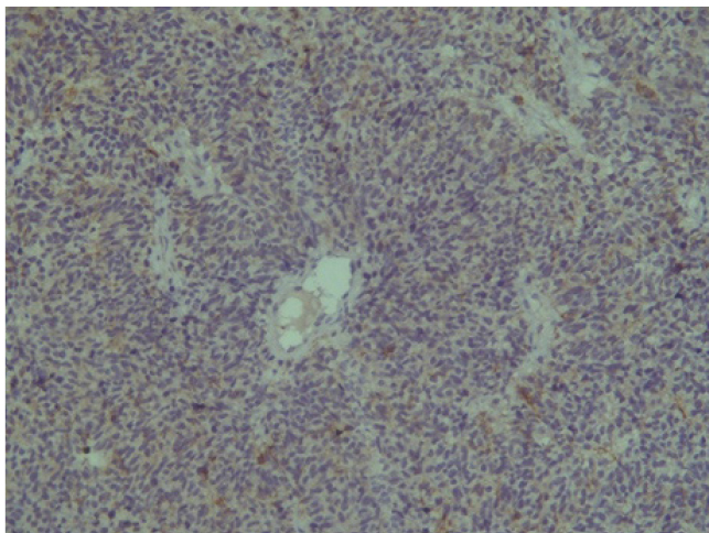
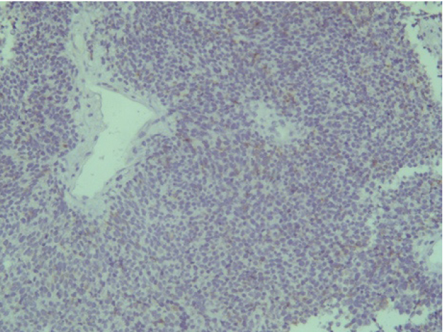
Отрицательная экспрессия была отмечена в диагностических образцах с использованием антител к Keratin.Pan, CD45, p63, S100, EMA (E29), TTF1(рис. 7–12).
Рис. 1. Ольфакторная нейрогенная опухоль полости носа (эстезионейробластома, клеточный полиморфизм) ×320 (окраска Г-Э)
Рис. 2. Synaptophysin [SP 11] ×200
Рис. 3. Chromagranin A [SP 12] ×200
Рис. 4. CD 56 [56C04] ×200
Рис. 5. Ki-67 [30-9] (90%) ×200
Рис. 6. INI 1 ×200
Рис. 7. Keratin.Pan [AE/AE3] ×200
Рис. 8. CD 45 [Cocktail] ×200
Рис. 9. p63 [7JUL] RTU ×200
Рис. 10. S100 ×200
Рис. 11. EMA [E29] ×200
Рис. 12. TTF1 [8G7G3/1] ×200
Эти результаты иммуногистохимического исследования подтверждают наибольшее соответствие иммунофенотипа опухоли – ольфакторной нейробластоме (G3 по Hyams) М9522/33.
ЗАКЛЮЧЕНИЕ
Сложности клинической и морфологической диагностики опухолей полости носа и близлежащих анатомических структур могут приводить к неправильной трактовке диагноза, что соответственно негативно влияет на выбор оптимальной тактики и результаты лечения. При первичном обследовании необходимо обязательное морфологическое подтверждение диагноза ЭНБ с ИГХ исследованием, указанием степени морфологической дифференцировки (G) Hyams и индекса пролиферативной активности Ki-67 [1, 2, 3, 6, 7].
Исследования иммуногистохимической панели показали, что в клетках ЭНБ, как и в других опухолях нейроэктодермального генеза, определяется экспрессия нейрон-специфической энолазы (NSE), синаптофизина, хромогранина, S-100 протеина, и не выражена экспрессия эпителиальных маркеров [8, 9].
Использование иммуногистохимических методов исследования является необходимым при затруднениях в установлении диагноза на светооптическом уровне в случаях низкодифференцированных и недифференцированных синоназальных карцином и других, имеющих общий с ЭНБ фенотип, мелко-круглоклеточных опухолей. ИГХ и цитогенетические (ЦГ) исследования, предпринятые в последнее десятилетие, определили новые опухолевые маркеры для ЭНБ (кальретин, Bcl-2, SSTR2А), которые расширили применяемую в настоящее время дифференциально диагностическую панель [8].
В последнее время значительное большинство авторов считают дифференцировку опухоли важнейшим фактором прогноза [7, 10]. Одним из способов определения злокачественности является изучение пролиферативной активности опухолевых клеток – индекс Ki-67 (клон MIB-1) [2, 8].
Изучение степени дифференцировки ЭНБ, предпринятое в 1983 году V. J. Hyams, привело к созданию патоморфологической классификации, выделяющей 4 степени злокачественности опухоли, влияющей на течение заболевания, лечение и прогноз [2, 8, 10].
Обязательное использование для дифференциальной диагностики иммуногистохимического исследования позволяет более точно идентифицировать эстезионейробластому, что дает возможность скорректировать тактику ведения таких пациентов и улучшить прогноз.
About the authors
Dmitry L. Speransky
Институт непрерывного медицинского и фармацевтического образования; Волгоградский государственный медицинский университет
Author for correspondence.
Email: d_speransky@mail.ru
Doctor of Medical Sciences; Professor of the Department of Oncology, Hematology and Transplantology
Russian Federation, Institute of Continuing Medical and Pharmaceutical Education; Volgograd State Medical University, VolgogradViktor V. Ermilov
Volgograd State Medical University
Email: vladimirovich2001@hotmail.com
Doctor of Medical Sciences, Professor of the Department of Forensic Medicine
Russian Federation, VolgogradOlga V. Shatalova
Volgograd State Medical University
Email: shov_med@mail.ru
Doctor of Medical Sciences, Professor of the Department of Clinical Pharmacology and Intensive Care
Russian Federation, VolgogradLeonid D. Speransky
Volgograd State Medical University
Email: leonsamurai1@mail.ru
Assistant at the Department of Oncology
Russian Federation, VolgogradOlga V. Suchilina
Volgograd Regional Clinical Oncology Dispensary
Email: desireo@mail.ru
Head of the Pathology Department
Russian Federation, VolgogradReferences
- Ivantsov A.O., Matsov D.E. Possibilities of immuno-histochemical research in the diagnosis of tumors. Prakticheskaya onkologiya = Practical oncology. 2011;4(12):185–193. (In Russ.).
- Ohanyan E.R. Esthesioneuroblastoma. Prognosis factors and treatment tactics. Dissertation abstract of the Candidate of Medical Sciences. Moscow, 2022. 24 p. (In Russ.).
- Speransky D.L., Ermilov V.V., Suchilina O.V. Morfo-logicheskye osobennosti diagnostiki ol’faktornoy neĭroblastomy. [Morphological features of the diagnosis of olfactory neuroblastoma. Lekarstvennyi vestnik. 2023;24(4):39–41. (In Russ.).
- Tabolinovskaya T.D., Mudunov A.M., Alieva S.B. et al. Esthesioneuroblastoma (clinical course, long-term results). Opukholi golovy i shei = Head and neck tumors. 2016;1(6):13–27. (In Russ.).
- Ognerubov N.A., Antipova T.S., Ognerubova M.A. Esthesioneuroblastoma. Retrospective analysis of 10 observations. CONSILIUM MEDICUM. 2022;24(9):618–624. (In Russ.).
- Ermilov V.V., Bukatin M.V., Zatyamina M.S. et al. Comparative morphological characteristics of the proliferative activity and DNA content in the nuclei of cells of different lung cancer phenotypes. Vestnik Volgogradskogo gosudarstvennogo medicinskogo universiteta = Journal of Volgograd State Medical University. 2023;20(2):125–130. (In Russ.). doi: https://doi.org//10.19163/1994-9480-2023-20-2-125-130.
- Tabyaoui I., Tahiri-Jouti N., Serhier Z. et al. Immunohistochemical expression of CD44s in human neuroblastic tumors: moroccan experience and highlights on current data. DiagnPathol. 2013;8:39–47.
- Czapiewski P. Kunc M., Haybaeck J. Genetic and molecular alterations in olfactory neuroblastoma: implications for pathogenesis, prognosis and treatment. Oncotarget. 2016; 7(32):52584–52596.
- Bouziane A., Aassouani F., Kaoutar S. et al. Olfactory Esthesioneuroblastoma: Study of 6 Cases and Rewiew of the Literature. Medical Reports and Case Studies. 2021; 6(S4):008–012.
- Singh S., Ranjan R., Singh M.K. et al. Correlating the treatment outcome with tumor staging, grading, and various treatment modalities in patients with esthesioneuroblastoma. South Asian J Cancer. 2019;8(2):124–126.
Supplementary files















