The phenomenon of metorhisis and embryonic organogenesis
- Authors: Akhmatov A.V.1, Spirina Y.S.1, Ledneva D.S.1, Aptekar I.A.1, Markov A.A.1, Steblyuk A.N.2, Shidin V.A.1, Soloviev G.S.1, Nurgalieva A.R.3, Solovyova O.G.1
-
Affiliations:
- Tyumen State Medical University
- Eye Microsurgery named after Academician S.N. Fedorov
- Muzhevskaya Central District Hospital
- Issue: Vol 21, No 4 (2024)
- Pages: 143-148
- Section: Original Researches
- URL: https://journals.eco-vector.com/1994-9480/article/view/646465
- DOI: https://doi.org/10.19163/1994-9480-2024-21-4-143-148
- ID: 646465
Cite item
Full Text
Abstract
The article focuses on the importance of metorhisis as a mechanism of embryonic organogenesis, for which the dynamics of the morphometric dynamics of the epithelium and the underlying mesenchyme of embryonic organs are traced.
Material and methods: Using the methods of light and electron microscopy, the mechanism and local transformation of the epithelial lining of the stomodeum, Rathke’s pouch (RP) and the pharyngeal gut of the human embryo [a total of 127 embryos at Carnegie stages 12–23 (SC)] were studied in women with their informed consent in health care facilities in Tyumen.
Results: In the head section of the human embryo, the initiation of methorosis is localized in the CR zone; parallel differentiation of the epithelial and mesenchymal components of living organs is observed – the stomodeum, CR, pharyngeal intestine, and pituitary gland.
Keywords
Full Text
Феномен меторизиса (М), как один из механизмов эволюционирования тканей, был предложен российским академиком В.М. Шимкевичем [1]. Однако автор не обозначил механизма формирования феномена М. Значение меторизиса проявляется при анализе трансформации тканевого состава ряда органов за счет перемещения и расширения границ отдельной ткани в составе органа: врастание волокон миокарда в устье полых и легочных вен у человека [2], формирование «резервных» клеток мезонефробластического дифферона в эпителии шейки матки и влагалища [3], «оккупация» сформированной тканью новых пространств в развивающемся органе [4]. Несомненно, что действующим началом в инициации М, как и других механизмов органогенеза, являются регуляторные факторы сигнальных путей [5, 6, 7, 8]. Локация подобных факторов и феномена М выявляется при гистологическом исследовании изучаемых объектов.
ЦЕЛЬ РАБОТЫ
Выявить источник и механизм меторизиса при формировании анизоморфных эпителиев глоточной кишки и ее производных у эмбриона человека.
МЕТОДИКА ИССЛЕДОВАНИЯ
Эмбрионов человека (всего 127, не менее 4 на каждой СК) получали при проведении медицинских абортов по социальным показаниям у анамнестически здоровых женщин с их информированного согласия в ЛПУ г. Тюмени. Возраст зародыша определяли с учетом сведений акушерского анамнеза, ультразвукового исследования, морфометрии, визуального осмотра. Материал фиксировали в 10%-м нейтральном формалине, заливали в парафин. Срезы окрашивали гематоксилином Майера и эозином, ШИК-методом по Мак-Манусу. Для электронно-микроскопического исследования материал фиксировали в 5%-м растворе параформальдегид-глутаральдегидной смести, дофиксировали в 1%-м растворе OsO4 при температуре +4 °С, заливали в аралдит. Срезы контрастировали уранил-ацетатом. Электроннограммы готовили на электронном микроскопе JEM-1011 (JEOL, Япония) в Сибирском отделении РАН г. Тюмени.
Стадии эмбриогенеза обозначали по Карнеги [9]. Материал был подвергнут статистической обработке с использование методов описательной статистики и параметрического анализа. Использовали t-критерий Стьюдента. Проведение исследования согласовано с ЛЭК и не противоречило действующему законодательству РФ.
РЕЗУЛЬТАТЫ ИССЛЕДОВАНИЯ И ИХ ОБСУЖДЕНИЕ
У зародыша 12 СК проявляется сегментарное строение тела, особенно выраженное в хвостовом отделе. Между метамерными кольцами выявляются щелевидные углубления. В туловищном отделе сформирован сердечно-пупочный выступ, зачатки рук, структуры жаберного аппарата: висцеральные дуги, жаберные щели. Четко определяются контуры челюстной (первой), гиоидной (второй) и глоссо-фарингеальной (третьей) дуг. Жаберная щель между третьей и четвертой (фарингеальной) дугами выражена слабо. Сформирован дорзальный комплекс осевых органов. Процессы нейруляции не завершены. Передний нейропор начинает нивелировать на 12а СК, задний – на 12б СК. В зоне переднего нейропора отмечаются контакты стенок ствола мозга (рис. 1).
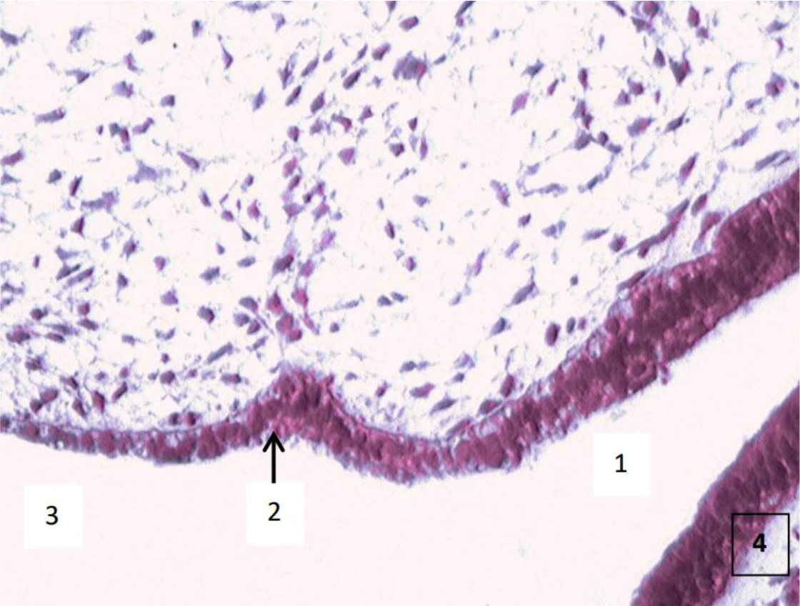
Компоненты жаберного аппарата участвуют в построении глоточной кишки и ее производных. Диссоциация хорды на уровне орофарингеальной мембраны позволило сформироваться стомодеальному карману и карману Ратке – источнику развития аденогипофиза (рис. 2).
Первичный стомодеальный инвагинат преобразуется в расширяющийся карман и углубляется. Мозговые пузыри устанавливают анатомические контакты с прилежащими эмбриональными зачатками, участвуют в формировании хрусталиковых плакод, зрительных нервов, глазных яблок, сенсорного отдела обонятельного анализатора нейрогипофиза.
Зоны контактов обеспечивают органопексию ствола головного мозга в «подвешенном» состоянии, участвуют в формировании изгибов, регулируют расстояние между глазными яблоками. Особенностью развития КР является механизм установления анатомической связи эпителия стомодеума со стенкой промежуточного мозгового пузыря и последующего перемещения этого межтканевого тандема в ростовых процессах головного мозга.
На заключительной стадии сомитного периода (14СК) КР представлен инвагинатом эпителия из полости стомодеума в зоне контакта со стенкой промежуточного мозга. Формирование КР сопровождается трансформацией эпителия из однослойного изоморфного в псевдомногорядный, многорядный мерцательный, многослойный плоский неороговевающий. В этой зоне инициируется процесс М. Наиболее демонстративно М проявляется в области перехода задней стенки КР в эпителий дорзальной стенки глоточной кишки. Дно КР приобретает бокаловидные контуры и обрастает воронку мозга (рис. 3).
Карман Сесселя в гистологическом препарате ограничивает нарастающий пласт многослойного эпителия, который смещается с задней стенки КР на дорзальную стенку глоточной кишки. Перемещение многорядного эпителия по градиенту роста КР сопровождается активизацией апоптоза, пролиферацией клеток в составе пласта и мезенхиме, а также формированием эпителиоцитов качественно новой генерации, потерявших связь с базальной пластинкой эпителия и участвующих в восполнении дефектов в нишах апоптоза (рис. 4).
Эпителий кармана Ратке становится зоной формирования анизоморфных эпителиев глоточной кишки и ее производных. Дискутабельность о судьбе кармана Сесселя [10] сохраняется и по настоящее время, так как анализ гистологического строения эпителия и подлежащей мезенхимы кармана показывает наличие оригинального мезенхимного тяжа, назначение которого не раскрыто. Не исключено его участие в формировании хрящевой основы турецкого седла, в построении прехордальной пластинки либо выполнение роли проводника при возможном разрастании кармана.
Начиная с 15 СК в эпителии КР выявляются мерцательные клетки и макрофаги моноцитарного генеза. Эпителий преобразуется в полидифферонную структуру. В составе выстилки передней, а затем дна и задней стенки КР, начиная с 19 СК, выявляются дифференцирующиеся аденоциты и аденотропоциты (рис. 5).
После 20 СК полость КР изолируется от глоточной кишки. На заключительных стадиях эмбрионального периода (21–23 СК) КР вступает в фазу дефинитивного органогенеза, в нем формируются дочерние инвагинаты – источник эпителиальных тяжей аденогипофиза. По всей вероятности, продуцентом сигнальных молекул, обеспечивающих органотипическую дифференцировку эпителия КР, следует обозначить промежуточный мозговой пузырь – участник основных процессов органогенеза в зонах контаминации ствола головного мозга с прилежащими эмбриональными зачатками экто-, энто- и мезенхимального генеза.
Динамика показателей морфометрии была представлена в виде репрезентативной выборки из полного набора эмбрионов на 12–14, 15–18, 19–23 СК. Усредненные показатели позволили выявить вектор органогенезов и органотипической дифференцировки тканей (эпителия и мезенхимы) эмбриональных зачатков в головном отделе зародыша человека (табл. 1–3).
Таблица 1
Результаты морфометрии показателей эпителия и мезенхимы вентральной стенки стомодеума на сомитных и постсомитных стадиях эмбриогенеза (M ± m)
Структуры и параметры | Стадии Карнеги | ||
12–14 | 15–18 | 19–23 | |
Площадь клеток эпителия, мкм² | 48,1 ± 0,5 | 38,1 ± 0,4 | 35,1 ± 0,3 |
Площадь ядер клеток эпителия, мкм² | 27,5 ± 0,5 | 26,3 ± 0,4 | 23,2 ± 0,3 |
Высота эпителиального пласта, мкм | 13,4 ± 0,4 | 17,4 ± 0,5 | 19,7 ± 0,5 |
Число клеток эпителия на ١٠٠٠ мкм² | 18,2 ± 0,5 | 17,1 ± 0,5 | 15,2 ± 0,2 |
Площадь клеток мезенхимы, мкм² | 32,5 ± 0,4 | 29,6 ± 0,4 | 29,1 ± 0,6 |
Площадь ядер клеток мезенхимы, мкм² | 28,6 ± 0,2 | 24,6 ± 0,2 | 16,3 ± 0,5 |
Число клеток мезенхимы на ١٠٠٠ мкм² | 13,1 ± 0,4 | 20,2 ± 0,5 | 26,4 ± 0,4 |
Таблица 2
Результаты морфометрии показателей эпителия и мезенхимы дорзальной стенки стомодеума на сомитных и постсомитных стадиях эмбриогенеза (M ± m)
Структуры и параметры | Стадии Карнеги | ||
12–14 | 15–18 | 19–23 | |
Площадь клеток эпителия, мкм² | 28,2 ± 0,7 | 26,8 ± 0,5 | 26,1 ± 0,3 |
Площадь ядер клеток эпителия, мкм² | 21,5 ± 0,3 | 20,3 ± 0,2 | 21,5 ± 0,4 |
Высота эпителиального пласта, мкм | 12,9 ± 0,6 | 16,1 ± 0,4 | 25,7 ± 0,2 |
Число клеток эпителия на 1000 мкм² | 24,2 ± 0,3 | 21,3 ± 0,5 | 19,5 ± 0,3 |
Площадь клеток мезенхимы, мкм² | 25,4 ± 0,2 | 19,3 ± 0,2 | 20,1 ± 0,5 |
Площадь ядер клеток мезенхимы, мкм² | 21,2 ± 0,4 | 17,6 ± 0,4 | 15,3 ± 0,3 |
Число клеток мезенхимы на 1000 мкм² | 7,3 ± 0,6 | 12,5 ± 0,5 | 18,4 ± 0,2 |
Таблица 3
Результаты морфометрии показателей эпителия и мезенхимы глоточной кишки на сомитных и постсомитных стадиях эмбриогенеза (M ± m)
Структуры и параметры | Стадии Карнеги | ||
12–14 | 15–18 | 19–23 | |
Площадь клеток эпителия, мкм² | 28,4 ± 0,6 | 27,4 ± 1,3 | 28,5 ± 2,4 |
Площадь ядер клеток эпителия, мкм² | 22,6 ± 0,8 | 18,5 ± 0,8 | 16,9 ± 0,6 |
Высота эпителиального пласта, мкм | 14,9 ± 0,7 | 54,3 ± 6,2 | 38,5 ± 2,2 |
Число клеток эпителия на 1000 мкм² | 26,2 ± 0,5 | 27,5 ± 0,5 | 28,7 ± 0,7 |
Площадь клеток мезенхимы, мкм² | 23,2 ± 0,6 | 20,3 ± 0,6 | 18,4 ± 0,6 |
Площадь ядер клеток мезенхимы, мкм² | 7,8 ± 0,9 | 12,5 ± 3,3 | 15,3 ± 2,5 |
Результаты морфометрии послужили основанием для обозначения КР как источника анизоморфных эпителиев в полостях головного отделах эмбрионов и объективного существования меторизиса, механизма эволюционирования гисто- и органогенезов. Динамика структурной характеристики эпителия и подлежащей мезенхимы КР и компонентов глоточной кишки легла в основу расшифровки меторизиса и позволила рассматривать М как механизм эволюционирования эмбриональных органогенезов.
ЗАКЛЮЧЕНИЕ
В головном отделе эмбриона человека инициация меторизиса локализуется в зоне формирования КР, характеризуется параллельной дифференцировкой эпителиального и мезенхимального компонентов развивающихся органов – стомодеума, КР, глоточной кишки, гипофиза. Меторизис, наряду с эволюционированием эмбриональных тканей, обеспечивает механизмы эволюционирования эмбриональных органогенезов.
Конфликт интересов. Авторы декларируют отсутствие явных и потенциальных конфликтов интересов, связанных с публикацией настоящей статьи.
Competing interests. The authors declare that they have no competing interests.
About the authors
Alexander V. Akhmatov
Tyumen State Medical University
Email: ska-87@inbox.ru
Candidate of the Department of Histology with Embryology
Russian Federation, TyumenYulia S. Spirina
Tyumen State Medical University
Email: matusevichsl@tyumsmu.ru
Candidate of the Department of Histology with Embryology
Russian Federation, TyumenDaria S. Ledneva
Tyumen State Medical University
Email: lednyova2011@mail.ru
Assistant at the Department of Histology and Embryology
Russian Federation, TyumenIgor A. Aptekar
Tyumen State Medical University
Email: aptekar72@mail.ru
Candidate of Medical Sciences, Candidate of the Department of Histology with Embryology
Russian Federation, TyumenAlexander A. Markov
Tyumen State Medical University
Email: markova@tyumsmu.ru
Candidate of Medical Sciences, Director of the Scientific Research Institute of Medical Biotechnologies and Biomedicine
Russian Federation, TyumenAlexander N. Steblyuk
Eye Microsurgery named after Academician S.N. Fedorov
Email: steblyuk@bk.ru
Candidate of Medical Sciences, Ophthalmologist
Russian Federation, KrasnodarVladimir A. Shidin
Tyumen State Medical University
Author for correspondence.
Email: vshidin@mail.ru
Doctor of Medical Sciences, Associate Professor, Professor of the Department of Histology and Embryology
Russian Federation, TyumenGeorgy S. Soloviev
Tyumen State Medical University
Email: solovyev@tyumsmu.ru
Doctor of Medical Sciences, Professor, Acting Head of the Department of Histology and Embryology
Russian Federation, TyumenAliya R. Nurgalieva
Muzhevskaya Central District Hospital
Email: aar-0402@mail.ru
Deputy Chief Medical Officer
Russian Federation, MuzhiOlga G. Solovyova
Tyumen State Medical University
Email: solog.fedor@mail.ru
MD, Associate Professor, Professor of the Department of Histology and Embryology
Russian Federation, TyumenReferences
- Szymkiewicz, V.M. Metorizis as embryological principle. Izvestiya Imperatorskoi Akademii nauk = News of the Imperial Academy of Sciences. Ser. 6. 1908:997–1008. (In Russ.).
- Rusakov D.Yu., Yamshchikov N.V., Tulaeva O.N. et al. Histogenesis and structural organization of cardiac muscle tissue in the walls of human hollow and pulmonary veins. Morfologiya = Morphology. 2015;148(6):38–42. (In Russ.).
- Zheglova M.Yu., Danilov R.K. Cytochemical chara-cterization of reactive changes of cervical epitheliocytes in ectropion. Voprosy morfologii XXI veka. Sbornik nauchnykh trudov. Vyp. 4. Gistogenez, reaktivnost’ i regeneratsiya tkanei = Issues of morphology of the XXI century. Collection of scientific papers. No. 4. Histogenesis, reactivity, and tissue regeneration. St. Petersburg, 2015:122–127.
- Kempermann G., Gage F.H., Aigner L. et al. Human Adult Neurogenesis: Evidence and Remaining Questions. Cell Stem Cell. 2018;23(1):25–30.
- Lavoie H., Gagnon J., Therrien M. ERK signalling: a master regulator of cell behaviour, life and fate. Nature Reviews Molecular Cell Biology. 2020;21(10):607–632. doi: 10.1038/s41580-020-0255-7.
- Matsuda M., Yamanaka Y., Uemura M. et al. Recapitulating the human segmentation clock with pluripotent stem cells. Nature. 2020;580(7801):124–129. doi: 10.1038/s41586-020-2144-9.
- Rayon T., Stamataki D., Perez-Carrasco R. et al. Species-specific pace of development is associated with differences in protein stability. Science. 2020;369(6510):eaba7667. doi: 10.1126/science.aba7667.
- Sonnen K.F., Janda C.Y. Signalling dynamics in embryonic development. Biochemical Journal. 2021;478(23): 4045–4070. doi: 10.1042/BCJ20210043.
- Savelyev S.V. Stages of embryonic development of the human brain. Moscow, VEDI, 2002. 112 p. (In Russ.).
- Korolev V.A., Pototskaya O.Yu. Prechordal and myo-epicardial plates: terminological aspects, definition problems. Morfologiya = Morphology. 2015;148(4):62–69. (In Russ.).
Supplementary files








