The correction of experimental ulcerative colitis by melaxen
- Authors: Lyashev A.Y.1, Mal G.S.1, Solin A.V.2, Zatolokina M.A.1,3, Serikov V.S.1, Lyashev Y.D.1, Spiridonov K.D.1, Spiridonov D.D.1, Tverskoy A.V.2
- 
							Affiliations: 
							- Kursk State Medical University
- Belgorod State National Research University
- I.S. Turgenev Orel State University
 
- Issue: Vol 22, No 2 (2025)
- Pages: 132-136
- Section: Original Researches
- URL: https://journals.eco-vector.com/1994-9480/article/view/687641
- DOI: https://doi.org/10.19163/1994-9480-2025-22-2-132-136
- ID: 687641
Cite item
Full Text
Abstract
Introduction: Insufficient effectiveness of existing methods of ulcerative colitis treatment determines the need to introduce new methods of its therapy. The drug melaxen, the active substance of which is melatonin, has a unique set of pharmacological effects, which determines the prospects for its use in the ulcerative colitis treatment. Aim of the study: the investigation of melaxen effect on clinical and morphological manifestations of ulcerative colitis in mice. Materials and methods: Ulcerative colitis in mice was simulated by replacing drinking water with a 5 % solution of dextran sodium sulfate for 5 days. Results. A decrease in the disease activity index, the prevalence of ulcers and infiltrates in the colonic wal, a decrease in pathological shortening of the colon in mice with ulcerative colitis treated with melaxen were shown. Conclusion: The effect of melaxen was higher than one of the reference drug sulfasalazine, which was manifested by a decrease in pathological shortening of the colon.
Full Text
Несмотря на большое число исследований, посвященных исследованию этиологии и патогенеза язвенного колита (ЯК), различные аспекты проблемы остаются не до конца изученными. До настоящего времени не установлены микроорганизмы, определяющие возникновение и развитие ЯК. Патогенез этого заболевания связывают с нарушением барьерных свойств слизистой кишечника, что приводит к пенетрации патогенной и облигатной микрофлоры из просвета кишечника в слизистую оболочку и подслизистый слой, активации макрофагов, нейтрофилов, моноцитов и развитию иммунного воспаления с последующим разрушением крипт и образованием язв и инфильтратов. Нарушения состава микрофлоры играют важную роль в развитии заболеваний кишечника [1], включая ЯК. Многие авторы отмечают недостаточную эффективность существующих методов лечения ЯК. В связи с этим поиск новых методов терапии этого заболевания представляет несомненный интерес.
Препарат «Мелаксен», действующим веществом которого является гормон мелатонин, хотя и был предложен как препарат для коррекции нарушений сна и циркадных ритмов, обладает уникальной совокупностью фармакологических эффектов [2], что открывает перспективы изучения его терапевтического действия при ЯК. Ранее показана эффективность мелатонина при декстран-индуцированном ЯК у мышей, причем механизм действия гормона авторы связывают с нарушением экспрессии и взаимодействия между EZH2 (гистон-лизин метилтрансферазой) и индуцибельной синтазой оксида азота 2 [3]. Гормон оказывает корригирующее влияние на течение ЯК, влияя на продукцию и активность ключевого фактора патогенеза ЯК NF-kB [4], а также проявляя антиоксидантное действие [5]. Однако данные о фармакологических эффектах мелаксена при ЯК отсутствуют.
ЦЕЛЬ РАБОТЫ
Изучение влияния мелаксена на клинические и морфологические проявления ЯК у мышей.
МЕТОДИКА ИССЛЕДОВАНИЯ
Исследования выполнены на 78 мышах-самцах Balb/C весом 21–23 г. Животные были разделены на следующие группы: 1) интактная – 6 мышей; 2) ЯК + физраствор внутрижелудочно – 24 мыши; 3) ЯК + мелаксен – 24 мыши; 4) ЯК + сульфасалазин – 24 мыши. ЯК моделировали заменой питьевой воды 5%-м раствором декстрана сульфата натрия (ДСН) (Mr = 40000, Pan Reac-Appli Сhem, ФРГ) в кипяченой воде на 5 суток [6]. Животных выводили из эксперимента на 5, 7-е и 28-е сутки цервикальной дислокацией под хлоргидратным наркозом и определяли: индекс активности болезни (ИАБ) с использованием 3 параметров: потеря веса, консистенция стула, ректальные кровотечения [6]. Баллы для каждого показателя (от 0 до 4) суммировали, максимальное значение индекса соответствует 12. Наличие крови в фекалиях выявляли с помощью бензидиновой реакции. Световую микроскопию проводили на микроскопе Nicon Eclipse Ni с использованием программного обеспечения NIS Elements AR. Для оценки выраженности язвенно-некротического процесса на гистологических препаратах дистального отдела ободочной кишки, окрашенных гематоксилином и эозином, измеряли распространенность язв слизистой оболочки толстого кишечника и воспалительных инфильтратов в собственной пластинке слизистой оболочки, длину мышечной пластинки. В программе Microsoft Office Excell 2020 рассчитывали распространенность воспалительных изменений в процентах от длины мышечной пластинки.
Мелаксен применяли внутрижелудочно в виде суспензии в физиологическом растворе в дозе 0,5 мг/кг в объеме 0,3 мл в течение 7 суток с начала моделирования ЯК. Выбор дозы основывается на данных литературы о высокой эффективности мелаксена в этой дозе [7]. Сульфасалазин («КРКА», Словения) вводили мышам внутрижелудочно в виде суспензии в физрастворе в дозе 200 мг/кг в объеме 0,3 мл семикратно с начала моделирования ЯК. Физраствор вводили внутрижелудочно (0,3 мл) 1 раз в сутки 7 дней. Эксперименты проведены с соблюдением принципов гуманного отношения к лабораторным животным [8], Правил надлежащей лабораторной практики в Российской Федерации (Приказ МЗ РФ № 199н от 01.04.2016 г.) и одобрены Региональным этическим комитетом КГМУ (протокол заседания секции доклинических исследований РЭК № 1 от 03.04.2023).
Непараметрический U-критерий Манна – Уитни использовали для проверки статистических гипотез при p ≤ 0,05. Материал представлен как медиана (Me), нижний (Ql) и верхний (Q3) квартили. Статистическая обработка выполнена с помощью программного обеспечения Statistica версия 13.
РЕЗУЛЬТАТЫ ИССЛЕДОВАНИЯ И ИХ ОБСУЖДЕНИЕ
Индекс активности болезни на 5–7-е сутки у мышей контрольных групп с ЯК существенно не изменялся и составил от 6 до 7 баллов. Установлено уменьшением длины толстого кишечника на 31,0 и 34,7 % соответственно на 5-е и 7-е сутки по сравнению с интактными мышами (p = 0,00094) (табл.). При введении суспензии мелаксена мышам с ЯК на 5-е и 7-е сутки эксперимента установлено статистически достоверное снижение ИАБ – на 34,7 % (p = 0,0357) и 35,7 % (p = 0,0074) соответственно по сравнению с мышами контрольной группы, а также уменьшение патологического укорочения толстого кишечника на 26,9 и 25,1% (p = 0,00094). Использование препарата сравнения сульфасалазина у мышей с ЯК приводило к снижению ИАБ на 20,0 % (p = 0,0406) только на 7-е сутки эксперимента, уменьшению патологического укорочения толстого кишечника на 11,1 % (p = 0,0014) и 9,1 % (p = 0,0074) по сравнению с контрольной группой на 5-е и 7-е сутки эксперимента. На 28-е сутки при развитии хронического ЯК не установлено значимых различий ИАБ в контрольной группе, группе ЯК + мелаксен, группе ЯК + сульфасалазин.
Влияние мелаксена и сульфасалазина на ИАБ, длину толстого кишечника, распространенность язв и инфильтратов у мышей с язвенным колитом
| Экспериментальная группа | Срок эксперимента, сутки | Индекс активности болезни, баллы | Длина кишечника, см | Распростра-ненность язв, % | Распростра-ненность инфильтратов, % | 
| 1. Интактная группа | – | – | – | – | |
| 2. Контрольная группа | 5 | p = 0,00094 | |||
| 7 | p = 0,00094 | ||||
| 28 | – | p = 0,3184 | |||
| 3. Группа язвенный колит + мелаксен | 5 | p = 0,0357* | p = 0,0094* p = 0,00161 | p = 0,0039 | p = 0,0831 | 
| 7 | p = 0,0074* | p = 0,00094* p = 0,00191 | p = 0,0009 | p = 0,0009 | |
| 28 | – | p = 0,01811 | p = 0,0136 | p = 0,0028 | |
| 4. Группа язвенный колит + сульфасалазин | 5 | p = 0,6365* | p = 0,0014 | p = 0,0009 | p = 0,8748 | 
| 7 | p = 0,0406* | p = 0,0074 | p = 0,0009 | p = 0,0014 | |
| 28 | – | p = 0,0587 | p = 0,1152 | p = 0,0054 | 
* p < 0,05 по сравнению с контрольной группой; 1 p < 0,05 по сравнению с группой ЯК + сульфасалазин.
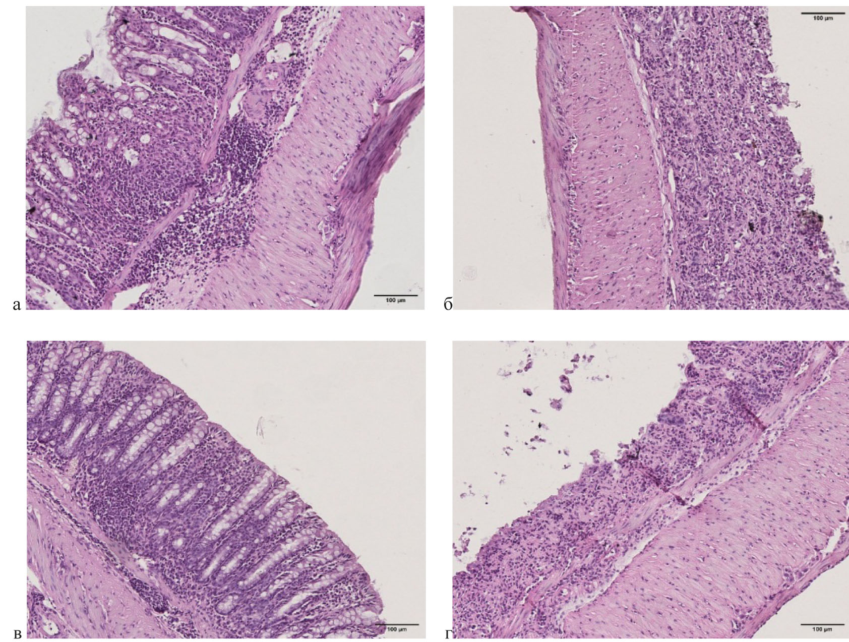
Моделирование мышам Balb/C ДСН-индуцирован-ного ЯК приводило к формированию язв слизистой оболочки толстого кишечника и инфильтратов в собственной пластинке слизистой оболочки (СПСО) и подслизистом слое (рис.). Медиана распространенности язв слизистой оболочки составила на 5-е и 7-е сутки эксперимента 11,39 и 24,20 % соответственно. У мышей с хроническим ЯК наличие язв отмечено у всех животных, однако медиана распространенности имела очень низкое значение 0,92 %. Аналогичная динамика установлена при анализе распространенности инфильтратов в СПСО. На 5-е и 7-е сутки показатели в контрольной группе составили 26,85 и 54,62 % соответственно. У мышей с хроническим ЯК величина показателя распространенности составила 26,35 %.
Рис. Язвы и инфильтраты ободочной кишки самцов мышей Balb/C с экспериментальным язвенным колитом: а – воспалительный инфильтрат в подслизистом слое, контрольная группа; б – язва слизистой оболочки ободочной кишки, контрольная группа; в – воспалительный инфильтрат в подслизистом слое, группа язвенный колит + мелаксен; г – язва слизистой оболочки ободочной кишки, группа язвенный колит + мелаксен. Бар – 100 µm. Окраска гематоксилин + эозин
Корригирующее действие мелаксена на развитие экспериментального ЯК на 5-е сутки проявлялось уменьшением распространенности язв слизистой оболочки на 36,0 % (p < 0,05). На 7-е сутки эксперимента отмечено статистически достоверное снижение обоих изучаемых показателей: распространенности язв в 2,3 раза и инфильтратов – на 53,5 % (p < 0,05). На 28-е сутки (хронический ЯК) язвы слизистой выявлены только у 2 из 8 животных (25 %), а медиана в 3,4 раза ниже, чем в контрольной группе (p < 0,05).
Препарат сравнения сульфасалазин также оказывал терапевтическое действие на течение ЯК. На 5-е сутки установлено только уменьшение распространенности язв на 46,5 % (p < 0,05).
На 7-е сутки распространенность язв в 2,1 раза, а инфильтратов СПСО – на 43,0 % меньше, чем в контрольной группе (p < 0,05). Из 8 мышей с хроническим ЯК только у 3, получавших сульфасалазин, наблюдалось наличие язв слизистой, однако медиана не отличалась достоверно от показателя контрольной группы. Распространенность инфильтратов на 27,7 % меньше, чем в контрольной группе (p < 0,05).
В работе установлено терапевтическое действие препарата «Мелаксен» на клинические и морфологические проявления экспериментального ЯК, что проявляется уменьшением ИАБ, распространенности язв и инфильтратов в стенке кишечника. При этом указанный эффект препарата выше, чем у сульфасалазина, широко применяемого при лечении ЯК, и это подтверждается значимыми различиями патологического укорочения толстого кишечника у мышей с ЯК, получавших мелаксен и сульфасалазин. Известно, что мелатонин синтезируется энтерохромаффинными клетками кишечника, причем ее уровень в 400 раз превышает аналогичный показатель эпифиза [9]. При введении экзогенного мелатонина он накапливается в стенке кишечника [9]. Ранее показано, что введение мелатонина снижает секрецию провоспалительных цитокинов и активность миелопероксидазы у мышей с ожирением и ЯК. По-видимому, терапевтический эффект препарата мелаксен при ДСН-индуцированном колите у мышей связан с подавлением продукции провоспалительных интерлейкинов и миелопероксидазы. Также установлено, что мелатонин корригирует состав микробиоты и усиливает образование окклюдинов, оказывает антиоксидантное действие [5].
ЗАКЛЮЧЕНИЕ
Полученные данные позволяют сделать вывод о наличии у мелаксена корригирующего влияния на развитие экспериментального ЯК, что проявляется уменьшением ИАБ, патологического укорочения толстого кишечника, распространенности язв и инфильтратов в стенке толстого кишечника. Механизм фармакологического эффекта мелаксена связан, по-видимому, с подавлением продукции провоспалительных цитокинов, активности миелоперксидазы, антиоксидантным действием препарата.
About the authors
Andrey Yu. Lyashev
Kursk State Medical University
							Author for correspondence.
							Email: andr.liashev@yandex.ru
				                					                																			                								
attached to the Department of Pharmacology
Russian Federation, KurskGalina S. Mal
Kursk State Medical University
														Email: malgs@kursksmu.net
				                					                																			                								
Doctor of Medical Sciences, Professor, Head of the Department of Pharmacology
Russian Federation, KurskAlexey V. Solin
Belgorod State National Research University
														Email: medps@yandex.ru
				                					                																			                								
MD, Associate Professor, Professor of the Department of Anatomy and Histology
Russian Federation, BelgorodMaria A. Zatolokina
Kursk State Medical University; I.S. Turgenev Orel State University
														Email: marika1212@mail.ru
				                					                																			                								
Doctor of Medical Sciences, Professor of the Department of Histology, Embryology, Cytology, Kursk State Medical University; Head of the Department of Histology, Cytology and Embryology, Medical Institute, I.S. Turgenev Orel State University
Russian Federation, Kursk; OrelVadim S. Serikov
Kursk State Medical University
														Email: serikov-stom@yandex.ru
				                					                																			                								
Candidate of Medical Sciences, Associate Professor of the Department of Pediatric Dentistry
Russian Federation, KurskYuri D. Lyashev
Kursk State Medical University
														Email: ylyashev@yandex.ru
				                					                																			                								
Doctor of Medical Sciences, Professor, Professor of the Department of Pathophysiology
Russian Federation, KurskKirill D. Spiridonov
Kursk State Medical University
														Email: kirill.spiridonov.2012@bk.ru
				                					                																			                								
6th year, Faculty of Medicine, 7th group
Russian Federation, KurskDaniil D. Spiridonov
Kursk State Medical University
														Email: d.spiridonov2112@gmail.com
				                					                																			                								
6th year, Faculty of Medicine, 7th group
Russian Federation, KurskAlexey V. Tverskoy
Belgorod State National Research University
														Email: tverskoy@bsu.edu.ru
				                					                																			                								
Candidate of Medical Sciences, Associate Professor, Head of the Department of Human Anatomy and Histology, Medical Institute
Russian Federation, BelgorodReferences
- Zhao Z.-X., Yuan X., Cui Y.-Y., Liu J., Shen J., Jin B.-J. et al. Melatonin Mitigates Oxazolone-Induced Colitis in Microbiota-Dependent Manner. Frontiers in Immunology. 2022;12:783806.
- Lebedenko A.A., Semernik O.E., Emelyanova V.V., Kazimurzaeva K.S., Rudyakova V.S. The role of melatonin in the immune response regulation] Vestnik Volgogradskogo gosudarstvennogo meditsinskogo universiteta = Journal of Volgograd State Medical University. 2021;2(78):3–8. (In Russ.).
- Smirnova Yu.D., Gryaznova M.V., Burakova I.Yu., Syromyatnikov M.Yu., Sviridova T.N., Lebedeva O.P. et al. Study of microbiome aberrations in patients with irritable bowel syndrome with diarrhea by next-generation sequencing. Research Results in Biomedicine. 2023;4 (9):446–460.
- Pan S., Hong F., Li L., Guo Y., Qiao X., Zhang J. et al. Melatonin Attenuates Dextran Sodium Sulfate Induced Colitis in Obese Mice. Pharmaceuticals. 2021;8 (14):822.
- Jena G., Trivedi P.P. A Review of the Use of Melato-nin in Ulcerative Colitis. Inflammatory Bowel Diseases. 2014;3(20):553–563.
- Blagov A.V., Orekhova V.A., Sukhorukov V.N., Melnichenko A.A., Orekhov A.N. Potential Use of Antioxidant Compounds for the Treatment of Inflammatory Bowel Disease. Pharmaceuticals (Basel). 2023;8(16):1150.
- Kaminskaya O. V., Beyer E. V., Elbekyan K. S., Arusha-nian E.B. Influence of phenazepam, melatonin and their combina-tion on the level of antioxidant enzymes in the forebrain of stressed rats. Meditsinskii vestnik Severnogo Kavkaza = Medical News of North Caucasus. 2021; 3(16):306–307. (In Russ.).
- Khomyakova T.I., Zolotova N.A., Hochanskiy D.N., Khomyakov Yu.N. Modelling of acute and chronic colitis in mice. Lecheniye i Pprofilaktika = Therapy and Prophylaxis. 2013;3(7):148–159. (In Russ.).
- Sardoiwala M.N., Mohanbhai S.J., Kushwaha A.C., Dev A., Biswal L., Sharma S.S. et al. Melatonin mediated inhibition of EZH2-NOS2 crosstalk attenuates inflammatory bowel disease in preclinical in vitro and in vivo models. Life Science. 2022;302:120655.
Supplementary files
 
				
			 
					 
						 
						 
									




