Acute symptomatic epileptic seizures and epilepsy after stroke
- Authors: Prokudin M.Y.1, Tikhomirova O.V.2, Bazilevich S.N.1, Dyskin D.E.1, Tsygan N.V.1,3, Moiseeva A.M.1, Prokudina S.S.4
- 
							Affiliations: 
							- Military Medical Academy
- Nikiforov All-Russian Center of Emergency and Radiation Medicine
- B.P. Konstantinov Petersburg Nuclear Physics Institute, National Research Centre “Kurchatov Institute”
- City polyclinic No. 43
 
- Issue: Vol 41, No 4 (2022)
- Pages: 407-413
- Section: Case report
- URL: https://journals.eco-vector.com/RMMArep/article/view/111881
- DOI: https://doi.org/10.17816/rmmar111881
- ID: 111881
Cite item
Full Text
Abstract
Acute symptomatic epileptic seizures occur within 7 days after the stroke onset. Acute symptomatic epileptic seizures occur in 6.3% of stroke cases: ischemic stroke — 4.2%, cerebral infarction with hemorrhagic transformation — 12.5%, intracerebral hemorrhage — 16.2%. Cumulative risk of subsequent unprovoked epileptic seizure after the first acute symptomatic seizure at follow-up for 10 years is 18.7 %. In acute symptomatic epileptic seizure secondary prevention with antiepileptic drugs usually is not indicated. If antiepileptic drug treatment is initiated after a single acute symptomatic seizure, it should be discontinued after the acute period of the disease. The 10-years risk of subsequent unprovoked epileptic seizures after the single unprovoked epileptic seizure in stroke patients is 71.5%. In this situation the epilepsy diagnosis is reasonable and antiepileptic drug treatment should be initiated. The incidence of epilepsy after acute ischemic or hemorrhagic stroke is identical — 10–12%. The choice of the group of antiepileptic drugs should be based on clinical guidelines for patients with focal forms of epilepsy. Pharmacokinetic interactions between antiepileptic drugs and oral anticoagulants, antiplatelet agents, antihypertensive drugs, and other xenobiotics should be minimized. Thus antiepileptic drugs that induce or inhibit microsomal liver enzymes should also be avoided.
Full Text
Практикующему неврологу следует различать острые симптоматические эпилептические приступы (ОСЭП) и неспровоцированные эпилептические приступы, так как прогноз и тактика ведения пациентов различаются в зависимости от вышеперечисленных видов приступов.
ОСЭП имеют различную природу и возникают в тесной временной связи с острым повреждением центральной нервной системы (ЦНС) вследствие нарушения обмена веществ, воздействия токсических, инфекционных и воспалительных факторов и структурных повреждений головного мозга. Необходимо учитывать, что ОСЭП могут возникать при черепно-мозговых травмах, инфекционных заболеваниях ЦНС, обострении рассеянного склероза, метаболических нарушениях, гипоксическом поражении ЦНС, алкогольной интоксикации, абстиненции (в течение 7–48 ч после прекращения употребления алкоголя) [1]. Таким образом, развитие эпилептического приступа требует поиска его возможных причин, в том числе неотложных состояний. ОСЭП развивается в течение 7 дней после дебюта острого нарушения мозгового кровообращения [1]. Проведение структурной нейровизуализации для исключения острой церебральной патологии у взрослых пациентов с впервые возникшим эпилептическим припадком является обязательным [2].
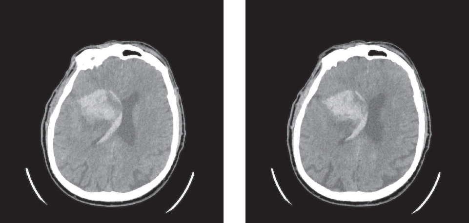
По литературным данным, при мозговых инсультах ОСЭП возникают в 6,3 % случаев (при ишемическом инсульте — 4,2 %, геморрагической трансформации — 12,5 %, внутримозговых кровоизлияниях — 16,2 %). Риск ОСЭП повышают внутримозговое кровоизлияние (отношение шансов (ОШ) 7,2; 95 % доверительный интервал (ДИ) 3,5–14,9); вовлечение коры головного мозга при внутримозговых кровоизлияниях (ОШ 6,0; 95 % ДИ 1,8–20,8) и ишемических инсультах (ОШ 3,1; 95 % ДИ 1,3–7,8); ишемический инсульт с геморрагической трансформацией (ОШ 2,7; 95 % ДИ 0,8–9,6) [3]. Клинический пример — рис. 1.
Рис. 1. Компьютерная томография головы. В базальных ядрах правого полушария визуализируется зона ишемических изменений (размерами 5,2 × 4,9 см) с наличием зоны гиперденсных (геморрагических) изменений (плотностью +60HU – кровь), занимающей более 30 % зоны ишемии, с прорывом крови в правый боковой, III, IV и левый боковой (небольшое количество в области тела и заднего рога) желудочки. Небольшое количество крови в бороздах теменной области с обеих сторон. Пациент Д., 72 года, госпитализирован в неврологический стационар ввиду внезапно развившейся слабости в левой руке и ноге. При осмотре неврологом, по результатам компьютерной томографии головы диагностировано острое нарушение мозгового кровообращения по ишемическому типу кардиоэмболического генеза в бассейне правой средней мозговой артерии (тромбоз М1 сегмента). Проведена системная тромболитическая терапия, локальная эндоваскулярная трансартериальная тромбэкстракция из сегмента М1 правой средней мозговой артерии и сегмента А2 правой передней мозговой артерии. В первые сутки после дебюта инсульта у пациента развился однократный билатеральный тонико-клонический приступ. По результатам компьютерной томографии головы — геморрагическая трансформация (паренхиматозная гематома 2-го типа — внутримозговая гематома в базальных ядрах правого полушария с прорывом крови в вентрикулярную систему, субарахноидальное кровоизлияние)
Повышается частота развития ОСЭП при нарастании тяжести по шкале инсульта Национальных институтов здоровья (NIHSS): 0,6 % при 1–2 баллах, 7 % при более чем 31 балле по шкале NIHSS [4].
ОСЭП развиваются в 34 % случаев церебральных венозных тромбозов [5], что является «красным флагом» для клинициста. Прогностическими факторами, повышающими риск развития ОСЭП при церебральных венозных тромбозах, являются: внутримозговое кровоизлияние (скорректированное ОШ 4,1; 95 % ДИ 3,0–5,5); отек головного мозга или инфаркт мозга без внутримозгового кровоизлияния (скорректированное ОШ 2,8; 95 % ДИ 2,0–4,0); тромбоз верхнего сагиттального синуса (скорректированное ОШ 2,0; 95 % ДИ 1,5–2,6); очаговый неврологический дефицит (скорректированное ОШ 1,9; 95 % ДИ 1,4–2,6); субарахноидальное кровоизлияние (скорректированное ОШ 1,6; 95 % ДИ 1,1–2,5). Хотя, как показывает клиническая практика, даже при отсутствии очаговой неврологической симптоматики причиной ОСЭП может являться венозный тромбоз, что демонстрирует клинический пример (рис. 2).
Рис. 2. Пациентка М., 51 год. Магнитно-резонансная венография головного мозга: магнитно-резонансные признаки снижения тока крови по левому поперечному синусу, нельзя исключить наличие тромботических масс. Магнитно-резонансная картина асимметрии поперечных, сигмовидных синусов и яремных вен (D > S). Анамнез заболевания. На фоне полного благополучия у пациентки развился билатеральный тонико-клонический приступ, сопровождавшийся прикусом языка, непроизвольным мочеиспусканием. Была госпитализирована в неврологический стационар, диагностирован судорожный эпилептический статус, который был купирован внутривенным введением диазепама и вальпроевой кислоты. В последующем в неврологическом статусе рассеянная неврологическая симптоматика, постприступная спутанность сознания (дезориентация во времени, месте, собственной личности, которая сохранялась в течение одного часа). Были выполнены компьютерная томография и компьютерно-томографическая ангиография головного мозга: компьютерно-томографических данных за наличие патологических образований, участков кровоизлияний, ишемии в веществе головного мозга, артериовенозных мальформаций, аневризматических расширений сосудов головного мозга не выявлено. С учетом данных анамнеза и клинической картины, повышения уровня D-димера в плазме крови до 3300 нг/мл, проводился дальнейший диагностический поиск. По результатам магнитно-резонансной венографии диагностирован тромбоз венозного синуса без формирования инфаркта головного мозга
В соответствии с методическими рекомендациями основными базовыми принципами реперфузии при ишемическом инсульте являются восстановление и поддержание системной гемодинамики, а также использование реканализирующих технологий [6]. При анализе большой группы пациентов (n = 135117) было показано, что при проведении тромболизиса частота развития ОСЭП (1,5 %) не отличается от группы пациентов с отсутствием реперфузионной терапии (1,8 %). Тромболитическая терапия в сочетании с механической тромбэктомией также не ассоциируется с более высоким риском развития ОСЭП (1,7 %) [7].
Совокупный риск повторения неспровоцированного эпилептического приступа после первого ОСЭП приступа при последующем наблюдении в течение 10 лет составляет 18,7 % [8]. Таким образом, риски повторения неспровоцированного эпилептического приступа после ОСЭП невысокие и составляют менее 60 %, что не позволяет ставить диагноз «эпилепсия».
Исходя из этого следует рассмотреть практический вопрос: показано ли назначение вторичной профилактики противоэпилептическими препаратами (после ОСЭП при острых нарушениях мозгового кровообращения (ОНМК) по ишемическому или геморрагическому типу) с целью уменьшения риска повторного ОСЭП? Клинические рандомизированные исследования на эту тему отсутствуют.
В соответствии с рекомендациями Europe Stroke Organization (2017 г.) риск повторения ОСЭП после его первого случая низкий. Вторичная профилактика противоэпилептическими препаратами в целом не должна проводиться. Если противосудорожная терапия назначена после однократного ОСЭП, она должна быть прекращена после острой фазы заболевания.
Совершенно иная ситуация при развитии неспровоцированного эпилептического приступа после перенесенного острого нарушения мозгового кровообращения (ОНМК). Риск повторения неспровоцированных приступов после однократного неспровоцированного приступа при последующем наблюдении в течение 10 лет после ОНМК составляет 71,5 % (95 % ДИ 59,7–81,9) [8]. Таким образом, это соответствует практическому клиническому определению эпилепсии. Время возникновения единственного эпилептического приступа для постановки диагноза «эпилепсия» должно составлять не менее чем 1 мес после инсульта [9]. В соответствии с клиническими рекомендациями (Эпилепсия и эпилептический статус у взрослых и детей) поздние приступы (возникшие после 7 сут с момента инсульта) считают проявлением приобретенной предрасположенности головного мозга к возникновению эпилептических приступов, т. е. проявлением постинсультной эпилепсии [10].
Согласно практическому определению Международной противоэпилептической лиги, эпилепсия — это заболевание головного мозга, соответствующее любому из следующих состояний:
- Не менее двух неспровоцированных (или рефлекторных) эпилептических приступов с интервалом более 24 ч.
- Один неспровоцированный (или рефлекторный) эпилептический приступ и вероятность повторных приступов, соответствующая общему риску рецидива (≥60 %) после двух неспровоцированных эпилептических приступов в следующие 10 лет.
- Диагноз эпилептического синдрома.
В данном случае показано назначение противоэпилептических препаратов [9].
Частота развития эпилепсии при ОНМК по ишемическому или геморрагическому типу в анамнезе тождественна и составляет 10–12 % [11]. Наиболее значимыми этиологическими факторами во всех регионах Российской Федерации выступают травмы головы, инсульт, опухоль головного мозга, перинатальная патология и инфекционные заболевания [12]. К выявляемым по данным нейровизуализации факторам развития эпилепсии при ОНМК можно отнести следующие: вовлечение коры (при этом подкорковая, субтенториальная локализация не увеличивает риск эпилепсии); ОНМК в бассейне сонной и средней мозговой артерий; большой объем поражения вещества головного мозга (объем более 70 мл повышает риск развития эпилепсии в 4 раза) [13]. Возможные патогенетические причины, лежащие в основе развития эпилептических приступов у пациентов с ОНМК, выявленные с помощью различных методик структурной и функциональной нейровизуализации, представлены в работе сотрудников кафедры нервных болезней Военно-медицинской академии имени С.М. Кирова [2].
Выбор противоэпилептических препаратов должен основываться на клинических рекомендациях для пациентов с фокальными формами эпилепсии [10]. Однако следует избегать назначения индукторов микросомальных ферментов печени (карбамазепина, фенобарбитала, бензонала, фенитоина и др.). Исключение индукторов микросомальных ферментов печени, таких как карбамазепин и фенитоин, приводит к значимому улучшению биологических маркеров сосудистого риска, а именно снижению уровня общего холестерина (–24,8 мг/дл, p < 0,0001), липопротеидов низкой плотности (–19,9 мг/дл, p < 0,0001), триглицеридов (–47,1 мг/дл, p < 0,0001), С-реактивного белка (–31,4 %, p = 0,027), гомоцистеина (–1,7 мкмоль/л, p = 0,005) [14]. При выборе группы препаратов следует учитывать наличие сопутствующих заболеваний у пациентов с ОНМК. Должны быть сведены к минимуму фармакокинетические взаимодействия между противоэпилептическими препаратами и оральными антикоагулянтами, антиагрегантами, антигипертензивными препаратами и другими ксенобиотиками. Также следует избегать противоэпилептических препаратов, индуцирующих или ингибирующих микросомальные ферменты печени.
ЗАКЛЮЧЕНИЕ
Таким образом, при развитии эпилептического приступа в первую очередь следует исключать острые неврологические заболевания и травмы, осуществлять соответствующий диагностический поиск. Однократный неспровоцированный эпилептический приступ при факте ОНМК в анамнезе является основанием для постановки диагноза «эпилепсия» и начала терапии противоэпилептическими препаратами. При выборе группы противоэпилептических препаратов следует учитывать фокальную форму эпилепсии, коморбидность пациента и возможное фармакокинетическое взаимодействие с препаратами других групп.
ДОПОЛНИТЕЛЬНАЯ ИНФОРМАЦИЯ
Источник финансирования. Финансирование данной работы не проводилось.
Конфликт интересов. Авторы декларируют отсутствие явных и потенциальных конфликтов интересов, связанных с публикацией настоящей статьи.
Вклад авторов. Все авторы внесли существенный вклад в проведение исследования и подготовку статьи, прочли и одобрили финальную версию перед публикацией.
About the authors
Mikhail Yu. Prokudin
Military Medical Academy
							Author for correspondence.
							Email: prmihail@mail.ru
				                	ORCID iD: 0000-0003-1545-8877
				                	SPIN-code: 4021-4432
																		                								
M.D., Ph.D. (Medicine)
Russian Federation, Saint PetersburgOlga V. Tikhomirova
Nikiforov All-Russian Center of Emergency and Radiation Medicine
														Email: 77tn77@gmail.com
				                	ORCID iD: 0000-0003-4722-0900
				                	SPIN-code: 9427-8541
																		                								
M.D., D.Sc. (Medicine)
Russian Federation, Saint PetersburgSergey N. Bazilevich
Military Medical Academy
														Email: 77tn77@gmail.com
				                	ORCID iD: 0000-0002-4248-9321
				                	SPIN-code: 9785-0471
							Scopus Author ID: 6505963201
							ResearcherId: J-1416-2016
				                								
M.D., Ph.D. (Medicine), Associate Professor
Russian Federation, Saint PetersburgDmitriy E. Dyskin
Military Medical Academy
														Email: 77tn77@gmail.com
				                	ORCID iD: 0000-0002-2855-2953
				                	SPIN-code: 6662-9481
							Scopus Author ID: 6602481680
							ResearcherId: J-3336-2016
				                								
M.D., D.Sc. (Medicine), Associate Professor
Russian Federation, Saint PetersburgNikolay V. Tsygan
Military Medical Academy; B.P. Konstantinov Petersburg Nuclear Physics Institute, National Research Centre “Kurchatov Institute”
														Email: 77tn77@gmail.com
				                	ORCID iD: 0000-0002-5881-2242
				                	SPIN-code: 1006-2845
							Scopus Author ID: 37066611200
							ResearcherId: H-9132-2016
				                								
M.D., D.Sc. (Medicine), Associate Professor
Russian Federation, Saint Petersburg; Gatchina, Leningrad regionAnna M. Moiseeva
Military Medical Academy
														Email: 77tn77@gmail.com
				                					                	SPIN-code: 6908-4802
																		                								
the Head of the Neurofunctional Research (video-EEG-monitoring) Department
Russian Federation, Saint PetersburgSvetlana S. Prokudina
City polyclinic No. 43
														Email: 77tn77@gmail.com
				                					                																			                								
M.D., neurologist
Russian Federation, Saint PetersburgReferences
- Beghi E, Carpio A, Forsgren L, et al. Recommendation for a definition of acute symptomatic seizure. Epilepsia. 2010;51(4):671–675. doi: 10.1111/j.1528-1167.2009.02285.x
- Bazilevich SN, Odinak MM, Dyskin DE, et al. The structural and functional neurovisualization in patients with epileptic seizures in cerebro-vascular diseases. Zh Nevrol Psikhiatr Im S S Korsakova. 2008;108(Suppl 2):33–39. (In Russ.)
- Beghi E, D’Alessandro R, Beretta S, et al. Incidence and predictors of acute symptomatic seizures after stroke. Neurology. 2011;77(20):1785–1793. doi: 10.1212/WNL.0b013e3182364878
- Zöllner JP, Misselwitz B, Kaps M, et al. National Institutes of Health Stroke Scale (NIHSS) on admission predicts acute symptomatic seizure risk in ischemic stroke: a population-based study involving 135,117 cases. Sci Rep. 2020;10(1):3779. doi: 10.1038/s41598-020-60628-9
- Lindgren E, Silvis SM, Hiltunen S, et al. Acute symptomatic seizures in cerebral venous thrombosis. Neurology. 2020;95(12): e1706–e1715. doi: 10.1212/WNL.0000000000010577
- Shamalov NA, Khasanova DR, Stakhovskaya LV, et al. Reperfusion therapy for ischemic stroke. Clinical protocol. Moscow: MEDpress-inform Publishing Hause; 2019. 80 p. (In Russ.)
- Zöllner JP, Misselwitz B, Mauroschat T, et al. Intravenous thrombolysis or mechanical thrombectomy do not increase risk of acute symptomatic seizures in patients with ischemic stroke. Sci Rep. 2020;10:21083. doi: 10.1038/s41598-020-78012-y
- Hesdorffer DC, Benn EKT, Cascino GD, Hauser WA. Is a first acute symptomatic seizure epilepsy? Mortality and risk for recurrent seizure. Epilepsia. 2009;50(5):1102–1108. doi: 10.1111/j.1528-1167.2008.01945.x
- Fisher RS, Acevedo C, Arzimanoglou A, et al. ILAE official report: a practical clinical definition of epilepsy. Epilepsia. 2014;55(4): 475–482. doi: 10.1111/epi.12550
- Ayvazyan SO, Akzhigitov RG, Alferova VV, et al. Clinical recommendations. Epilepsy and status epilepticus in adults and children. Ministry of Health of the Russian Federation. 2022 Available at: https://sudact.ru/law/klinicheskie-rekomendatsii-epilepsiia-i-epilepticheskii-status-u/ (accessed 10.10.2022). (In Russ.)
- Holtkamp M, Beghi E, Benninger F, et al. European Stroke Organization guidelines for the management of post-stroke seizures and epilepsy. Eur Stroke J. 2017;2(2):103–115. doi: 10.1177/2396987317705536
- Gekht A.B. Epidemiology and economic aspects of epilepsy. Zh Nevrol Psikhiatr Im S S Korsakova. 2005;105(8):63–65. (In Russ.)
- Galovic M, Ferreira-Atuesta C, Abraira L, et al. Seizures and Epilepsy After Stroke: Epidemiology, Biomarkers and Management. Drugs Aging. 2021;38(4):285–299.
- Mintzer S, Skidmore CT, Abidin CJ, et al. Effects of antiepileptic drugs on lipids, homocysteine, and C-reactive protein. Ann Neurol. 2009;65(4):448–456. doi: 10.1002/ana.21615
Supplementary files
 
				
			 
					 
						 
						 
									
 
  
  
  Email this article
			Email this article 




 СМИ зарегистрировано Федеральной службой по надзору в сфере связи, информационных технологий и массовых коммуникаций (Роскомнадзор).
 СМИ зарегистрировано Федеральной службой по надзору в сфере связи, информационных технологий и массовых коммуникаций (Роскомнадзор).