Focus on the anti-inflammatory effect of glucocorticosteroids in experimental acute lung injury
- Authors: Voloshin N.I.1, Zamiralova Y.A.1, Pugach V.A.2, Salukhov V.V.1, Tyunin M.A.2, Kharitonov M.A.1, Odintsova I.A.1, Slizhov P.A.1, Minakov A.A.1, Slutskaya D.R.1
-
Affiliations:
- Military Medical Academy
- State Scientific Research Test Institute of the Military Medicine
- Issue: Vol 42, No 2 (2023)
- Pages: 167-176
- Section: Original articles
- URL: https://journals.eco-vector.com/RMMArep/article/view/456457
- DOI: https://doi.org/10.17816/rmmar456457
- ID: 456457
Cite item
Abstract
AIM: Assessment of the effect of various doses of dexamethasone as an inflammation modulator in experimental lipopolysaccharide-induced acute lung injury in rats.
MATERIALS AND METHODS: Acute lung injury in rats was modeled by intratracheal administration of cell wall lipopolysaccharide from the Salmonella enterica. White male rats were divided into groups: a group of intact animals (n = 10); the control group (n = 40), in which the animals were simulated acute lung injury without further treatment and removed from the experiment on day 3; three experimental groups (n = 40), in which, 3 hours after modeling acute lung injury, and then daily once a day for 3 days, dexamethasone solution was administered intraperitoneally in the following doses: in group 1 — 0.52 mg/kg (equivalent to 6.0 mg/day for a person), in group 2 — 1.71 mg/kg (20.0 mg/day for a person), in group 3 — 8.0 mg/kg (94.0 mg/day, pulse therapy for humans). On the 3rd day, blood samples were taken from the caudal vena cava in surviving animals for clinical analysis and evaluation of the function of mitochondria of peripheral blood leukocytes. To determine the severity of local inflammatory reactions and pulmonary edema, bronchoalveolar lavage was performed with the study of an endopulmonary cytogram and an assessment of pathomorphological changes in the lung tissue.
RESULTS: indicate that dexamethasone reduces the amount of lung tissue damage and animal mortality, dose-dependently reduces the functions of mitochondria and the number of lymphocytes and monocytes in peripheral blood, as well as neutrophils, lymphocytes and macrophages in bronchoalveolar lavage samples.
CONCLUSION: The use of dexamethasone at a dose of 0.52 mg/kg (equivalent to 6.0 mg/day for humans) is accompanied by better survival, minimal effect on the viability and functional activity of inflammatory cells. Pulse therapy leads to a significant decrease in the number of immunocompetent cells in bronchoalveolar lavage, mitochondrial dysfunction in the form of a decrease in the ability of these cells to use the reserve power of mitochondrial respiration in response to the action of a stress factor. Excessive inhibition of immunocompetent cells can contribute to the activation of latent and opportunistic infections, which must be taken into account when choosing a dosing regimen for glucocorticosteroids.
Full Text
BACKGROUND
Currently, recommendations in the medical scientific community are contradictory regarding dosing regimens, preferred drug, timing of administration, and duration of glucocorticosteroid (GCS) therapy for severe lung injury associated with diseases such as acute respiratory distress syndrome (ARDS) in adults, severe novel coronavirus infection (NCI), and severe pneumonia.
Clinical studies have indicated a decrease in the risk of death, particularly in ARDS, while taking low GCS doses, and an increase during pulse therapy [1, 2]. For example, a comparison of pulse therapy, performed for several days, with standard doses of GCS equivalent to 0.5–1.5 mg/kg of methylprednisolone revealed increased risks of lethal outcomes during pulse therapy [1, 3].
The high mortality rates (30%–65%) in patients with diseases accompanied by severe lung damage and the lack of highly effective methods of treatment necessitate the search for effective and safe pharmacological therapy [4, 5].
One of the methods to search for the best means of diagnosing, treating, and preventing ARDS in humans is experimental biomodeling of acute lung injury (ALI) in laboratory animals, which exhibited similar clinical manifestations of ARDS to the extent possible [6]. The lipopolysaccharide (LPS)-induced ALI model in laboratory animals is highly reproducible and manifests as diffuse bilateral lung damage, which fully meets modern scientific and experimental requirements [7].
According to modern recommendations, GCSs are part of the complex treatment of ARDS, severe NCI, and severe pneumonia in humans complicated by ARDS and/or septic shock and are being actively studied to evaluate their efficiency in the treatment of experimental ALI in animals [4, 5, 8–10].
The evaluation of the inflammatory response with a whole range of clinical, laboratory, instrumental, and morphological research methods, in our opinion, will complement the understanding of the effect of GCS on the body.
The work aimed to study the effect of various doses of dexamethasone as an inflammation modulator in experimental LPS-induced ALI in mice.
MATERIALS AND METHODS
The study was performed on 170 outbred male mice (age 8–10 weeks, bodyweight 310–320 g). The animals were kept in vivarium conditions in compliance with basic zoohygienic requirements: temperature range of 22°C–24°C, 12 h of daylight, and free access to food and water. The study was performed in accordance with the requirements of the Order of the Ministry of Health of Russia dated April 1, 2016, No. 199n “On approval of the Rules of good laboratory practice.”
ALI was modeled by intratracheal (i/t) administration of LPS of the cell wall of Salmonella enterica (Sigma-Aldrich) at a dose of 20 mg/kg. Before i/t administration, the animals were anesthetized with an intraperitoneal (i/p) injection of Zoletil 100 at a dose of 4.0 mg/kg. In this study, i/t administration of LPS was performed using a probe for rats (MicroSprayer® Aerosolizer, model IA-1B, USA) 5 min after anesthesia induction.
The animals were randomly distributed into five groups, namely, intact group (n = 10), control group with ALI (n = 40), and experimental groups 1–3 (n = 10 in each group) where dexamethasone was administered at doses of 0.52, 1.71, and 8.00 mg/kg, respectively, to animals 3 h after ALI modeling according to the treatment regimen (intraperitoneally once a day for 3 days). Dexamethasone doses were calculated using the interspecies dose transfer taking into account the body surface area and were equivalent to daily doses of GCSs of 6, 20, and 94 mg for humans [11].
On day 3 of the experiment, rat survival was assessed, and after euthanasia of the surviving animals, blood samples were taken from the caudal vena cava for a general blood test and analyzed on an automatic veterinary hematological analyzer (Mythic 18 Vet, Switzerland), and mitochondrial function of leukocytes was assessed using an Agilent Seahorse XF 96 analyzer (USA). Accordingly, peripheral blood leukocytes and lymphocytes were isolated, subsequently inoculated on an XF96 culture microplate at 1.5–2.0 × 104 cells per well, and then incubated for 1 day at a temperature of 37°C in an atmosphere of 5% CO2 in a medium for incubation of XF cells. The cells were washed by removing the nutrient medium twice and replacing it with a nonbuffered medium with pH 7.4, after which the level of basal mitochondrial respiration was measured three times. Further, respiratory modulators were added sequentially to the wells with analyzed cells, namely, (1) ATP synthase inhibitor, oligomycin; (2) protonophore uncoupler, carbonyl cyanide 4 (trifluoromethoxy)phenylhydrazone; and (3) electron transfer inhibitors, rotenone and antimycin A. At each stage, the level of basal mitochondrial respiration was measured three times. Using the data obtained, changes in the rate of oxygen consumption by leukocytes and lymphocytes were plotted in graphs.
After exsanguination, the lung complex was removed and weighed to determine the mass coefficient (LMC). Samples of bronchoalveolar lavage fluid (BALF) were obtained by washing the right lung three times with a sterile phosphate-buffered saline solution, in a volume of 5 mL per 1 kg of animal body weight. Smears were made for cytological examination (Romanowsky–Giemsa stain) from the sample sediment after centrifugation (2 times for 15 min, 1500 rpm), and the total cell count was determined (Automated Cell Counter RWD C100, USA). In smears, the counts of alveolar macrophages, neutrophilic granulocytes, eosinophilic granulocytes, lymphocytes, and epithelial cells were up to 300 cells in total, after which the percentage of each population was determined, and absolute values were calculated.
The left lung of rats was divided into fragments and used for histological examination and assessment of the degree of moisture saturation.
For histological analysis, one fragment of the left lobe of the lungs was fixed in 10% formalin solution. Thin sections of lungs (5 µm thick) were made and stained with hematoxylin and eosin. Morphometric analysis was performed using a Carl Zeiss Scope 1A light microscope with an Axiocam ERc 5s camera and using the ZEN 2.3 morphometric licensed program. To assess the pathomorphological changes in rat lungs, the prepared sections were analyzed over the entire area by the stereometric method at a magnification of ×63 with a grid of 25 squares superimposed on each field of view by counting the structures on their top. The inflammatory intra-alveolar infiltration, inflammatory infiltration of interalveolar septa, emphysematous areas, plethora, thrombosis, and infarctions were analyzed.
To determine the degree of moisture saturation, fragment 2 of the left lung was weighed and then dried in a thermostat at –60°C for 5 days.
Statistical analysis of the results was performed using GraphPad Prism 8.0 to test the hypotheses. The results were presented as median and upper and lower quartiles Me [Q1; Q3]. For multiple comparisons of quantitative variables, the Kruskal–Wallis test with Dunn’s post hoc test was used. The relationship between qualitative indicators (mortality) was assessed by constructing four-field contingency tables and calculating Fisher’s exact test based on them. Differences were considered statistically significant at p < 0.05.
RESULTS AND DISCUSSION
After i/t administration of LPS, bilateral diffuse lung damage was recorded, causing edema with high levels of LMC and degree of water saturation, which was accompanied by the death of 40% of control animals. The mortality in groups 1 (dexamethasone, 0.52 mg/kg) and 2 (dexamethasone, 1.71 mg/kg) was lower at 10% and 15%, respectively (p = 0.0001 and 0.003). The mortality rate in group 3 (dexamethasone 8.0 mg/kg, pulse therapy) was 20%, which was higher than that in the control group and lower than those in comparison groups 1 and 2; however, this difference was not statistically significant. Compared with the control group, groups 1–3 had a decrease in LMC values (p = 0.002, 0.03, and 0.0001, respectively) and degree of lung moisture saturation (p = 0.006, 0.04, and 0.02, respectively).
In the analysis of general blood test indicators, the absolute lymphocyte count decreased in all experimental groups (1–3) after dexamethasone administration in comparison with the control group (p = 0.002, 0.02, and 0.04). The dose-dependent decrease in blood lymphocyte count is most probably associated with the inhibition of lymphopoiesis and apoptosis of lymphocytes under the influence of GCSs. In addition, the absolute counts of granulocytes (p = 0.03, 0.007, and 0.01) and monocytes (p = 0.08, 0.007, and 0.09) increased in experimental groups 1–3, which may be associated with an increase in the mobilization of these cells from the bone marrow and a decrease in the number of receptors for adhesion molecules on the surface of granulocytes and monocytes, leading abnormal migration to the inflammation site [12]. Notably, the total leukocyte count in all groups after dexamethasone administration did not differ from those of the control group.
Although no differences were found in the erythrocyte count between the groups, the ALI group (control group and groups 1–3) had significantly higher hemoglobin concentration than intact animals, which was most probably due to a compensatory response to hypoxemia (p = 0.01, 0.03, 0.02, and 0.008).
The platelet count decreased in the control group and groups 1–3 in comparison with the intact group (p = 0.004, 0.006, 0.002, and 0.001), whereas the maximum decrease in platelet count was determined in group 3 (pulse therapy) (Table 1). Decreased platelet count in the peripheral blood in the presence of ALI and the use of GCSs in animals may indicate their increased consumption during thrombosis.
Table 1. Clinical blood test indicators in rats on day 3 after modeling ALI and treatment with various dexamethasone doses. Me [Q1; Q3]
Indicators | Experimental groups | ||||
Intact group (n = 10) | Control group (no treatment) (n = 24) | Group 1 (D 0.52 mg/kg) (n = 36) | Group 2 (D 1.71 mg/kg) (n = 34) | Group 3 (D 8.0 mg/kg) (n = 32) | |
Leukocytes, 109/L | 7.2 [6.2; 9.1] | 8.6 [7.0; 11.0] | 7.9 [6.9; 8.0] | 8.3 [6.7; 11.0] | 8.5 [7.2; 10.0] |
Lymphocytes, 109/L | 5.2 [4.8; 5.6] | 5.4 [4.6; 5.8] | 1.7*, ** [0.8; 2.2] | 2.1*, ** [1.4; 2.8] | 2.4*, ** [1.6; 3.0] |
Monocytes, 109/L | 0.15 [0.1; 0.2] | 0.4 [0.3; 0.5] | 0.9*, ** [0.7; 1.2] | 1.0*, ** [0.7; 1.3] | 1.0*, ** [1.0; 1.3] |
Granulocytes, 109/L | 1.8 [1.6; 2.6] | 1.5 [1.3; 1.7] | 4.4*, ** [3.3; 5.0] | 4.6*, ** [3.6; 6.0] | 4.1*, ** [3.7; 4.5] |
Erythrocytes, 1012/L | 7.3 [7.2; 7.3] | 7.5 [7.4; 7.7] | 6.9 [6.5; 7.8] | 7.5 [7.2; 8.1] | 7.7 [7.3; 7.9] |
Hemoglobin, g/L | 134.0 [126; 143] | 154.0* [150.0; 160.0] | 156.0* [147.0; 166.0] | 153.0* [147.0; 166.0] | 163.0* [155.0; 164.0] |
Plates, 109/L | 728.0# [711; 783] | 519.0#* [515.0; 592.0] | 548.0#* [506.0; 598.0] | 511.0#* [443.0; 586.0] | 410.0* [335.0; 449.0] |
Note. D, dexamethasone; * differences are statistically significant relative to the intact group; ** differences are statistically significant relative to the control group; # differences are statistically significant relative to group 3 (all p < 0.05, Kruskal–Wallis test). | |||||
On day 3 after ALI modeling, the total cell count in the BALF of the control group was significantly higher than that in the intact group (p = 0.03), which indicates the regular migration of leukocytes (including lymphocytes) to the focus of inflammation of the lung tissue (Table 2).
Table 2. Cytosis and leukocyte count in BALF on day 3 after modeling ALI and treatment with various dexamethasone doses, Me [Q1; Q3]
Indicators | Experimental groups | ||||
Intact group (n = 10) | Control group (no treatment) (n = 24) | Group 1 (D 0.52 mg/kg) (n = 36) | Group 2 (D 1.71 mg/kg) (n = 34) | Group 3 (D 8.0 mg/kg) (n = 32) | |
Total cell count, 106 in 1 mL | 19.7* [18.8; 20.6] | 24.5 [21.2; 26.4] | 22.4 [19.8; 22.9] | 14.0* [13.7; 16.6] | 10.2*, **, *** [9.0;11.4] |
Live cells, 106 in 1 mL | 18.3* [16.5; 18.4] | 23.2 [21.2; 25.6] | 19.0 [17.5; 19.8] | 13.3* [12.4;13.8] | 7.6*, **, *** [5.7; 9.0] |
Total leukocyte count, 106 in 1 mL | 10.3 [9.2; 15.4] | 14.3 [13.0; 17.3] | 12.8 [11.7; 13.7] | 8.3 [7.1; 10.1] | 4.0*, **, *** [3.0; 5.4] |
Count of live leukocytes, 106 in 1 mL | 8.9 [7.6; 10.3] | 9.2 [7.6; 9.6] | 7.2 [4.8; 8.9] | 4.0* [3.0; 5.4] | 2.9*, **, *** [2.1; 3.2] |
Note. D, dexamethasone; * differences are statistically significant relative to the control group; ** differences are statistically significant relative to the group of intact animals; *** differences are statistically significant relative to group 1. | |||||
The total cell count and leukocyte count, including live ones, in the BALF of group 3 was statistically significantly lower than those in the intact and control groups and when compared with group 1 (p = 0.008, 0.001, and 0.0002; p = 0.02, 0.0001, and 0.0002, respectively). In addition, these indicators were lower in group 2 than in the control group (p = 0.02 and 0.007, respectively).
Changes in cytosis and leukocyte count are most probably a consequence of apoptosis of these cells during corticosteroid administration [12].
The absolute neutrophil count in the BALF of group 3 was less than those in the intact group, control group, and group 1 (p = 0.004, 0.0007, and 0.0002), whereas the value was lower in group 2 than in the control group (p = 0.007). Similar changes were noted when analyzing the lymphocyte counts (except for the differences between group 3 and intact group). The macrophage count was the highest in the control group, and a significant dose-dependent decrease in their count was recorded in animal groups administered with dexamethasone at doses of 1.71 and 8.0 mg/kg (p = 0.001 and 0.009).
When studying the count of epithelial cells (a marker of the severity of damage to the bronchial and alveolar epithelium), it significantly increased in the control group and all animals after GCS administration compared with the intact group (p = 0.001, 0.01, 0.02, and 0.05) (Table 3).
Table 3. Cellular composition of BALF on day 3 after modeling ALI and treatment with various dexamethasone doses, Me [Q1; Q3]
Indicators | Experimental groups | ||||
Intact group (n = 10) | Control group (no treatment) (n = 24) | Group 1 (D 0.52 mg/kg) (n = 36) | Group 2 (D 1.71 mg/kg) (n = 34) | Group 3 (D 8.0 mg/kg) (n = 32) | |
Neutrophils, abs. in 10 µL | 7.0 [6.1; 8.9] | 12.0* [11.3; 13.2] | 7.1 [6.2; 7.3] | 5.0**, *** [4.6; 5.4] | 2.1*, **, *** [1.5; 2.9] |
Lymphocytes, abs. in 10 µL | 2.1 [1.2; 3.2] | 3.2 [1.8; 3.2] | 3.2 [2.5; 3.4] | 0.9** [0.7; 0.9] | 1.1**, *** [0.7; 1.3] |
Macrophages, abs. in 10 µL | 0.7**, *** [0.5; 1.3] | 3.1 [2.0; 3.2] | 2.8 [2.1; 3.2] | 1.5** [1.2; 2.0] | 1.3** [0.9; 1.5] |
Epithelium, abs. in 10 µL | 0.4 [0.2; 0.5] | 2.2*, *** [2.0; 3.1] | 1.2* [0.9; 1.4] | 1.2* [1.2; 1.5] | 1.5*, *** [1.4; 2.0] |
Note. D, dexamethasone; * differences are statistically significant relative to the intact group; ** differences are statistically significant relative to the control group; *** differences are statistically significant relative to group 1 (all p < 0,05, Kruskal–Wallis test). | |||||
An analysis of the mitochondrial function revealed that the rate of oxygen consumption by leukocytes (Fig. 1) was significantly lower in groups 2 and 3 than in the intact group (p = 0.001 and 0.0009) and group 3 compared with the control group (p = 0.005).
Fig. 1. Mitochondrial function of peripheral blood leukocytes in rats on day 3 after the modeling of ALI and use of various dexamethasone doses; * differences are statistically significant relative to the intact group (p < 0,05, Kruskal–Wallis test)
Similar dose-dependent changes were registered in the reserve power of mitochondrial respiration. The power was significantly lower in groups 2 and 3 than in the intact and control groups (p < 0.05).
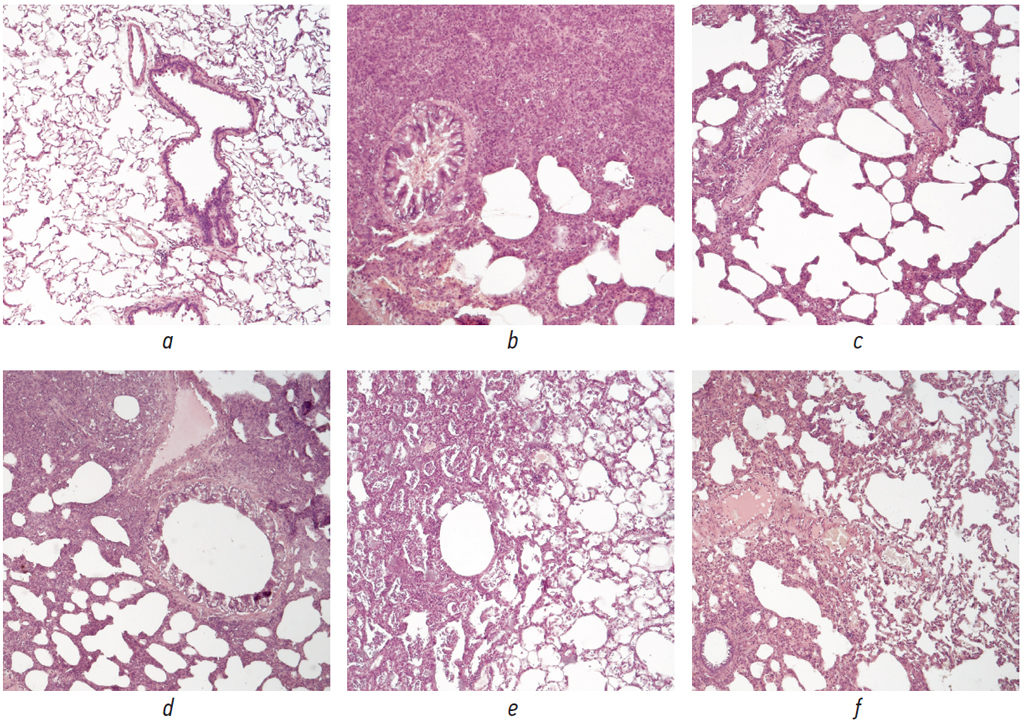
In a pathomorphological study, the histological pattern of lung tissue was first evaluated in the intact group, which showed no pathological changes (Fig. 2a). In the presence of ALI in the control group, pronounced productive inflammatory reaction was determined in the interalveolar septa with interstitial edema and a change in the histological structure was noted in 87% of the studied fields (Fig. 2b). In addition, the thickness of the aero-hematic barrier areas and destruction of the processes of type I alveolocytes increased, which was characterized by a decrease in the aero-hematic histion area. The cellular infiltrate of these zones was represented by the leukocyte group, mainly neutrophils and macrophages. Foci of focal or complete destruction with exposure of the submucosal layer and hemorrhages were noted in the bronchi. Generating and fresh thrombi were recorded in large and medium vessels, whereas single focal hemorrhages were detected in the parenchyma of the examined lung microspecimens. Alveolar collapse was noted in 14% of the visual fields, alternating in 35% with zones of compensatory emphysematous alveolar distension.
Pathomorphological changes in the lungs on day 3 of dexamethasone administration at a dose of 0.52 mg/kg were characterized by inflammatory infiltration of leukocytes and macrophages in the destruction zones and occupied up to 66% of the studied area (Fig. 2c). Vascular thrombosis of 4% and plethora of 8% are much less common than those in the control group (no treatment) and group 3 (pulse therapy) (Fig. 2b, e, f). Areas with interalveolar septa collapse and atelectasis were determined in 2% of the examined area. Sites of increased lung airiness occupy 12% more area than that in the control group.
Fig. 2. Micrographs of rat lungs on experiment day 3; a, normal lung tissue of the control group (without i/t administration of LPS); b, ALI without treatment (control group); c, ALI, group 1 (dexamethasone 0.52 mg/kg); d, ALI, group 2 (dexamethasone 1.71 mg/kg); e, f, ALI, group 3 (dexamethasone 8.0 mg/kg, pulse therapy). Hematoxylin and eosin staining. Magnification, ×50
Regarding pathomorphological changes in the lungs of group 2 (1.71 mg/kg), the decrease in the inflammatory response by 6% relative to group 1 with a dosage of 0.52 mg/kg is the most significant. However, infiltration was pronounced in the peribronchial zones, and leukocyte exudates were determined in the lumen of the bronchi (Fig. 2d). The area of emphysematous sites decreased by 13% relative to the control group. No thromboses were found in large and medium vessels.
In group 3 (8.0 mg/kg), a characteristic pathomorphological change in the lungs on day 3 was a decrease in the inflamed area (Fig. 2e, f), which differed from that in the control group (Fig. 2b) by 33% and by 12% in group 1 (Fig. 2c). In addition, the zones of emphysematous change decreased by 16%, and the plethora of blood vessels decreased by 12%. The number of vascular thromboses detected in the lung parenchyma increased significantly by 11% relative to the control group and by 8% relative to groups 1 and 2.
I/t administration of LPSs to rats led to bilateral diffuse lung injury, which was characterized by severe edema (according to LMC and water saturation) and was accompanied by the death of 40% of animals, which is comparable with the results of modern studies of ALI [6, 7, 9, 13].
In presence of ALI and the use of dexamethasone in all studied doses in rats, positive therapeutic effects were noted, namely, a decrease in mortality, a decrease in the severity of pulmonary edema and leukocyte infiltration of the lung tissue, and a decrease in the number of emphysematous-atelectatic areas.
In BALF of the animals, after modeling ALI and prescribing dexamethasone, a dose-dependent decrease in the lymphocyte count and an increase in the granulocyte and monocyte count in the peripheral blood were recorded, and in BALF, both the total count of live cells and absolute neutrophil, lymphocyte, and macrophage counts decreased. An important pathogenetic factor is also a decrease in functional activity, that is, the ability of leukocytes and lymphocytes of the peripheral blood to respond adequately under stress (in our study, inflammation) according to the assessment of mitochondrial function. Mitochondrial function also dose-dependently increased.
CONCLUSIONS
Dexamethasone is highly effective for the treatment of animals with experimentally modeled LPS-induced ALI and has obvious dose-dependent anti-inflammatory effects.
The use of dexamethasone at a dose of 0.52 mg/kg (equivalent to 6 mg/day for humans) was associated with better survival and minimal effect on the viability and functional activity of inflammatory cells. In turn, the use of 8.0 mg/kg (equivalent to pulse therapy for humans) leads to a maximum decrease in the leukocyte, lymphocyte, and macrophage count in the focus of inflammation.
Against the dose of equivalent pulse therapy with GCSs, numerous thromboses in the lungs were recorded, which, most likely, caused impairments in the hemostasis system and higher animal mortality.
When prescribing GCSs, its adverse effects must be monitored constantly because of the extremely pronounced inhibition of immune cells. Particularly, when using high doses (pulse therapy), the probability of infection and/or activation of latent and opportunistic infections increases.
ADDITIONAL INFORMATION
Conflict of interest. The authors declare no conflict of interest.
Funding. The study had no external funding.
Author contributions. All authors made a significant contribution to the study and preparation of the article, read and approved the final version before its publication.
Ethical considerations. The study was performed in compliance with the principles of the European Convention for the Protection of Vertebrate Animals used for Experimental and other Scientific Purposes (Strasbourg, 1986), in accordance with the rules of good laboratory practice and Directive 2010/63/EU of the European Parliament and of the Council of the European Union of September 22, 2010, on the protection of animals used for scientific purposes. It was also approved by the local ethical committee of the Kirov Military Medical Academy (Protocol No. 258 dated 12/21/2021). The study was performed in accordance with the ARRIVE standards adopted for conducting preclinical animal studies.
About the authors
Nikita I. Voloshin
Military Medical Academy
Author for correspondence.
Email: nikitavoloshin1990@gmail.com
ORCID iD: 0000-0002-3880-9548
SPIN-code: 6061-4342
Scopus Author ID: 57926549500
ResearcherId: HSG-7925-2023
M.D., postgraduate student of Therapy of Doctors Improvement Department
Russian Federation, Saint PetersburgYuliya A. Zamiralova
Military Medical Academy
Email: yulia_nikolaeva@hotmail.com
ORCID iD: 0009-0000-5631-9932
SPIN-code: 7692-9410
ResearcherId: HSG-9775-2023
student
Russian Federation, Saint PetersburgVictoriya A. Pugach
State Scientific Research Test Institute of the Military Medicine
Email: gniiivm_7@mil.ru
ORCID iD: 0000-0003-4290-350X
SPIN-code: 3739-3699
Scopus Author ID: 57195201128
ResearcherId: ACD-0418-2022
Ph.D. (Biology), Senior researcher
Russian Federation, Saint PetersburgVladimir V. Salukhov
Military Medical Academy
Email: vlasaluk@yandex.ru
ORCID iD: 0000-0003-1851-0941
SPIN-code: 4531-6011
Scopus Author ID: 55804184100
M.D., D.Sc. (Medicine), Associate Professor, the Head of Therapy of Doctors Improvement the first Department
Russian Federation, Saint PetersburgMikhail A. Tyunin
State Scientific Research Test Institute of the Military Medicine
Email: gniiivm_7@mil.ru
ORCID iD: 0000-0002-6974-5583
SPIN-code: 6161-7029
Scopus Author ID: 25032311600
M.D., Ph.D. (Medicine), deputy Head of the center
Russian Federation, Saint PetersburgMikhail A. Kharitonov
Military Medical Academy
Email: micjul11@yandex.ru
ORCID iD: 0000-0002-6521-7986
SPIN-code: 7678-2278
Scopus Author ID: 57521284600
ResearcherId: H-6056-2015
M.D., D.Sc. (Medicine), Professor, the Therapy of Doctors Improvement the first Department
Russian Federation, Saint PetersburgIrina A. Odintsova
Military Medical Academy
Email: odintsova-irina@mail.ru
ORCID iD: 0000-0002-0143-7402
SPIN-code: 1523-8394
Scopus Author ID: 6603745712
ResearcherId: 96874
D.Sc. (Biology), Professor, the Head of the Histology with a Course in Embryology Department
Russian Federation, Saint PetersburgPavel A. Slizhov
Military Medical Academy
Email: maidel@bk.ru
ORCID iD: 0000-0001-6885-5273
SPIN-code: 3626-6262
Scopus Author ID: 57203389614
ResearcherId: X-5497-2018
junior researcher of the Department (experimental medicine) of the Research Center
Russian Federation, Saint PetersburgAleksey A. Minakov
Military Medical Academy
Email: minacom@mail.ru
ORCID iD: 0000-0003-1525-3601
SPIN-code: 5344-7883
Scopus Author ID: 57926549400
ResearcherId: HSG-9445-2023
M.D., postgraduate student of Therapy of Doctors Improvement the first Department
Russian Federation, Saint PetersburgDina R. Slutskaya
Military Medical Academy
Email: dina_hanieva@mail.ru
ORCID iD: 0000-0003-3910-2621
SPIN-code: 2546-9393
ResearcherId: 882535
Ph.D. (Biology), Associate Professor, the teacher of Histology with a Course in Embryology Department
Russian Federation, Saint PetersburgReferences
- Edalatifard M, Akhtari M, Salehi M, et. al. Intravenous methylprednisolone pulse as a treatment for hospitalised severe COVID-19 patients: results from a randomised controlled clinical trial. Eur Respir J. 2020;56(6):2002808. doi: 10.1183/13993003.02808-2020
- Stolz E, Klötzsch C, Schlachetzki F, et. al. High-dose corticosteroid treatment is associated with an increased risk of developing cerebral venous thrombosis. Eur Neurol. 2003;49(4):24–78. doi: 10.1159/000070197
- Munch MW, Myatra SN, Vijayaraghavan B, et. al. Effect of 12 mg vs 6 mg of Dexamethasone on the Number of Days Alive Without Life Support in Adults With COVID-19 and Severe Hypoxemia: The COVID STEROID2 Randomized Trial. JAMA. 2021;326(18):1807–1817. doi: 10.1001/jama.2021.18295
- Yaroshetskiy AI, Gritsan AI, Avdeev SN, et. al. Diagnostics and intensive therapy of Acute Respiratory Distress Syndrome Russian. (Clinical guidelines of the Federation of Anesthesiologists and Reanimatologists of Russia). Russian Journal of Anаеsthesiology and Reanimatology. 2020;(2):5–39. (In Russ.) doi: 10.17116/anaesthesiology20200215
- Fan E, Del Sorbo L, Goligher EC, et. al. An Official American Thoracic Society/European Society of Intensive Care Medicine/Society of Critical Care Medicine Clinical Practice Guideline: Mechanical Ventilation in Adult Patients with Acute Respiratory Distress Syndrome. Am J Respir Crit Care Med. 2017;195(9):1253–1263. doi: 10.1164/rccm.201703-0548ST
- Matute-Bello G, Downey G, Moore BB, et. al. Acute Lung Injury in Animals Study Group. An official American Thoracic Society workshop report: features and measurements of experimental acute lung injury in animals. Am J Respir Cell Mol Biol. 2011;44(5):725–738. doi: 10.1165/rcmb.2009-0210ST
- Lin S, Wu H, Wang C, et. al. Regulatory T Cells and Acute Lung Injury: Cytokines, Uncontrolled Inflammation, and Therapeutic Implications. Front Immunol. 2018;9:1545. doi: 10.3389/fimmu.2018.01545
- Salukhov VV, Kharitonov MA, Kryukov EV, et. al. Topical issues of diagnostics, examination and treatment of patients with COVID-19-associated pneumonia in different countries and continents. Meditsinskiy sovet 2020;(21):96–102. (In Russ.) doi: 10.21518/2079-701X-2020-21-96-102
- Salukhov VV, Voloshin NI, Shperling MI. Effectiveness of various regimens of systemic anti-inflammatory therapy with glucocorticoids in the development of acute LPS-induced lung damage in the experiment. Russian Military Medical Academy Reports. 2022;41(2):111–116. (In Russ.) doi: 10.17816/rmmar104619
- Griffiths M, McAuley D, Perkins G, et. al. Guidelines on the management of acute respiratory distress syndrome. BMJ Open Respir Res. 2019;6(1):e000420. doi: 10.1136/bmjresp-2019-000420
- Shekunova EV, Kovaleva MA, Makarova MN, et. al. The choice of dose of the drug for preclinical studies: interspecies transfer of doses. Vedomosti Nauchnogo tsentra ekspertizy sredstv meditsinskogo primeneniya. 2020;10(1):19–28 (In Russ.) doi: 10.30895/1991-2919-2020-10-1-19-28
- Ince LM, Weber J, Scheiermann C. Control of Leukocyte Trafficking by Stress-Associated Hormones. Front Immunol. 2019;9:3143. doi: 10.3389/fimmu.2018.03143
- Qin M, Qiu Z. Changes in TNF-α, IL-6, IL-10 and VEGF in rats with ARDS and the effects of dexamethasone. Exp Ther Med. 2019;17(1):383–387. doi: 10.3892/etm.2018.6926
Supplementary files





