Chorionic bump: ultrasound predictor of adverse pregnancy outcome
- 作者: Zheleznyak I.S.1, Ryazanov V.V.1,2, Sadykova G.K.1,2, Boykov I.V.1, Glebov S.G.2, Kuznetsova N.Y.3, Latysheva A.Y.1, Postanogov R.A.2
-
隶属关系:
- Military Medical Academy
- Saint Petersburg State Pediatric Medical University
- Scientific Research Institute of Pulmonology
- 期: 卷 42, 编号 3 (2023)
- 页面: 303-309
- 栏目: Reviews
- URL: https://journals.eco-vector.com/RMMArep/article/view/546120
- DOI: https://doi.org/10.17816/rmmar546120
- ID: 546120
如何引用文章
全文:
详细
For the first time R. Harris et al. in 2006 a chorionic bump was described, detected by ultrasound examination in the first trimester of pregnancy, having characteristic ultrasound signs and localization. Modern knowledge about the etiology and clinical significance of chorionic bump for predicting the outcome of pregnancy is insufficient and contradictory. Inconsistency of the data may be due to the rarity of occurrence, a small sample of the studied groups, the lack of histopathological studies. Among doctors who make ultrasound investigations there is a low awareness of chorionic bump and as a result an erroneous interpretation of sonography data. Nevertheless, there is more and more evidence that this sign is a predictor of an adverse outcome of pregnancy. Doctors who make ultrasound investigations in the first trimester of pregnancy should be aware of the chorionic bump and be able to differentiate it with other pathological conditions. If a chorionic bump is detected, ultrasound examination in dynamics should be recommended. Based on the study of domestic and foreign literature, this scientific review presents modern ideas about the pathomorphology of chorionic bump, informations about significance in terms of predicting the outcome of pregnancy, and the main aspects of ultrasound diagnostics and differential diagnosis of this pathology.
全文:
Первый триместр беременности является важным периодом с точки зрения прогноза ее исхода. От 15 до 25 % беременностей прерываются на ранних сроках [1].
Широко известны ультразвуковые предикторы неблагоприятного исхода беременности, выявляемые на ее ранних сроках [1–5]:
1) аномальное плодное яйцо (размер, не соответствующий акушерскому сроку, неправильная форма);
2) аномальный желточный мешок (отсутствие, размер, не соответствующий акушерскому сроку, неправильная форма, изменения эхогенности, наличие включений);
3) низкая имплантация плодного яйца в полости матки;
4) брадикардия эмбриона (частота сердечных сокращений менее 85 уд./мин);
5) несоответствие размеров плодного яйца и эмбриона (разница между плодным яйцом и копчико-теменным размером эмбриона менее 5 мм);
6) рост плодного яйца или эмбриона менее 0,7 мм в день.
Каждый из перечисленных предикторов неблагоприятного исхода беременности имеет ограниченное прогностическое значение. Поэтому важно при сомнениях по поводу жизнеспособности эмбриона выполнить контрольное ультразвуковое исследование (УЗИ).
Малоизвестным ультразвуковым предиктором неблагоприятного исхода беременности на ранних сроках является хориальное выпячивание (ХВ). В 2006 г. R. Harris et al. на основании проспективного анализа серии из 15 случаев впервые описали локальное выпячивание хориодецидуальной ткани в плодное яйцо в первом триместре и для обозначения этого патологического состояния предложили термин «сhorionic bump» [1].
В нашей стране для обозначения этой патологии Н.А. Алтынник и соавт. [6] предложили использовать термин «хориальное выпячивание». В интернет-публикациях можно столкнуться с используемыми синонимами для обозначения данного состояния, такими как хорионическая шишка, хорионический бугорок, хорионическая неровность. А некоторые авторы используют англоязычную версию — сhorionic bump. В нашей статье используется термин «хориальное выпячивание» (ХВ).
Согласно большинству литературных источников, распространенность ХВ составляет от 1,5 : 1000 до 7 : 1000 [1, 2, 6–10]. Только в исследовании J.R. Wax et al. 2017 г. отмечается самая высокая встречаемость ХВ (23 : 1000) с высокой частотой анеуплоидии [11].
По мнению ряда авторов, небольшая распространенность ХВ может быть обусловлена неосведомленностью об этом патологическом состоянии специалистов, проводящих УЗИ, постановкой ошибочных диагнозов: погибшего эмбриона, субхориальной гематомы [4, 7]. К примеру, в обзоре Y. Sana et al. 2013 г. у пациентки после экстракорпорального оплодотворения ХВ ошибочно было принято за второй, нежизнеспособный эмбрион, а у другой пациентки ХВ было расценено как эмбрион без сердечной деятельности и была диагностирована неразвивающаяся беременность [7].
Учитывая невозможность получения патогистологического подтверждения в большинстве случаев и то, что большинство пациенток в первом триместре проходят только УЗИ, этиология ХВ в настоящее время остается неизученной.
Авторы термина первыми предположили, что ХВ может представлять собой гематому или небольшой участок кровоизлияния из развивающегося межворсинчатого пространства или хорионической пластинки, выпячивающегося в плодное яйцо, либо может быть погибшим эмбрионом [1].
Преобладает гипотеза, согласно которой ХВ представляет собой гематому. Эта теория подтверждается визуализационными признаками, а именно:
1) сонографическими: завихрение эхосигналов в выпячивании в режиме реального времени; отсутствие васкуляризации при цветовом и энергетическом допплеровском картировании; тенденция к уменьшению размеров выпячивания у большинства пациенток с течением времени при динамическом УЗИ;
2) магнитно-резонансными: гиперинтенсивность на T1-взвешенных изображениях.
Авторы также предположили, что гематома по происхождению наиболее вероятно является артериальной, что объясняет выпуклую форму и, по их мнению, плохой прогноз [1].
Эта теория подтверждается последующими результатами сонографических данных, а также одним случаем сонографической и гистопатологической корреляции, опубликованным в литературе [2].
На сегодняшний день в большинстве сообщений описывается спонтанное разрешение ХВ в подавляющем большинстве случаев, что также подтверждает гипотезу о том, что ХВ представляет собой хориодецидуальную гематому.
Также подтверждением того, что возможным морфологическим субстратом ХВ является кровоизлияние, служат две последние публикации. В одном из наблюдений по данным сонографии ХВ трансформировалось в субамниотическую кисту, а такие кисты чаще всего являются следствием субамниотических гематом [6]. В другом случае по данным сонографии ХВ прогрессировало от гетерогенной выпуклости в первом триместре до субамниотической гематомы во втором триместре, размер которой оставался стабильным при последующих УЗИ. После рождения ребенка при осмотре плаценты рядом с местом прикрепления пуповины обнаружили субамниотическую гематому [3].
C. Baalmann et al. на основании гистопатологических данных предположили другой механизм, в котором обширный некроз децидуализированного эндометрия с возможным последующим кровоизлиянием играет важную роль в формировании ХВ [12].
Y. Lu et al. считают, что существует тесная связь между внутриматочными оперативными вмешательствами с частотой ХВ, что указывает на причинно-следственную связь. Авторы предполагают, что образование ХВ связано с повреждением эндометрия, внутриматочными спайками или воспалением, вследствие внутриматочных манипуляций. При имплантации плодного яйца хорион будет растягиваться из-за аномального напряжения в месте повреждения, вызывая локальный отек или кровоизлияние, а затем формируется ХВ [10].
Ряд авторов при обсуждении ХВ задавались вопросом: чем отличается ХВ от субхориональной гематомы? Они пришли к выводу, что ключевым визуализационным признаком при дифференциальной диагностике хорионического выпячивания от субхориального кровоизлияния является расположение. ХВ представляют собой выпячивание хориодецидуальной поверхности в сторону плодного яйца. При субхориальных кровоизлияниях происходит отслоение хорионической оболочки от децидуальной оболочки, что приводит к скоплению крови между хорионом и децидуальной оболочкой [2, 4, 13].
Для понимания этиологии ХВ необходимо больше сопоставлений визуализационных данных с гистопатологическими исследованиями.
С момента первого описания R. Harris et al. ХВ связывают с неблагоприятными исходами беременности, с более низкой частотой живорождения у пациенток с хорионическим выпячиванием. Однако по мере накопления информации появились противоречивые данные, свидетельствующие о том, что ХВ незначительно увеличивает риск неблагоприятных исходов беременности. Так, частота благоприятных исходов беременности в первом триместре составляет от 47 [1] до 65 % [2, 4, 7, 8, 10] и даже до 83 %, если в остальном беременность была нормальной. В последнем случае авторы подразумевают наличие на момент выявления ХВ нормального плодного яйца и желточного мешка, эмбриона с сердцебиением [2]. С данными E. Arleo et al. согласуются результаты анализа отечественных авторов, которые сообщают о 87,5 % благоприятных случаев перинатального исхода при обнаружении ХВ в первом триместре [6]. В исследовании на 11–13-й нед беременности не подтверждается связь между ХВ и неблагоприятным исходом беременности, поскольку все случаи закончились рождением живых здоровых детей. Сами авторы предполагают, что это может быть связано с тем, что предыдущие исследования были основаны на более ранних сроках беременностях и в более гетерогенной популяции, которая включала значительное число случаев с анэмбрионией, эмбрионом без определяемого сердцебиения и внематочной беременностью [9].
M. Silva et al. утверждают, что ХВ связан не только с более высокой частотой невынашивания беременности, но и со значительным увеличением частоты плацентарно-опосредованных заболеваний во втором и третьем триместрах беременности [5]. Исследование Y. Lu et al. также показало больший риск для эмбриона с ХВ, обнаруженным в начале первого триместра (менее 56 дней беременности) [10].
Пациентки с ХВ могут быть бессимптомными или жаловаться на боли в нижних отделах живота, кровотечение из половых путей, рвоту [1, 2, 4, 11].
Основным визуализационным методом, при котором выявляется ХВ, является УЗИ.
Показаниями для проведения УЗИ были определение срока беременности, оценка жизнеспособности эмбриона, вагинальные кровотечения, боль в нижних отделах живота [1, 2].
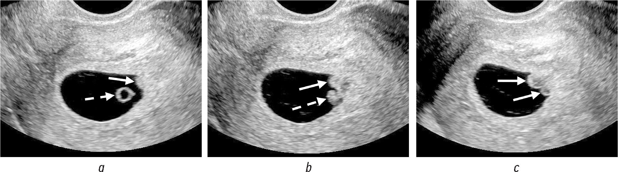
Наиболее частые и характерные сонографические признаки ХВ (рис. 1, а, b; рис. 2, а–c) [1, 2, 4, 6, 10–12]:
Рис. 1. На трансвагинальных сонограммах (а, b) визуализируется солитарное хориальное выпячивание (стрелки) солидной эхоструктуры, однородно повышенной эхогенности, сопоставимое по эхогенности с хорионом
Рис. 2. На последовательных трансвагинальных сонограммах визуализируются желточный мешок (а, пунктирная стрелка), эмбрион (b, пунктирная стрелка), два ХВ частично (a и b, сплошные стрелки) и полностью (c, сплошные стрелки), гипоэхогенные в центральной части с периферическим гиперэхогенным ободком
1) выпячивание хориона в полость плодного яйца в первом триместре;
2) выпячивание локализуется в месте прикрепления пуповины к хориону или в непосредственной близости;
3) форма выпячивания овоидная или полипоподобная;
4) выпячивание чаще образует острые углы с поверхностью хориона;
5) выпячивание имеет разную эхоструктуру и эхогенность: солидную или жидкостную, от гипоэхогенных до гиперэхогенных, часто в виде центральной гипоэхогенной области с периферическим гиперэхогенным ободком;
6) хориальное выпячивание бессосудистое при цветовом и/или энергетическом допплеровском картировании;
7) в режиме реального времени в выпячивании визуализируется завихрение эхосигналов;
8) чаще одиночное, реже множественное.
Y. Lu et al. не выявили взаимосвязи между эхоструктурой ХВ (солидная и жидкостная) и частотой неблагоприятных исходов беременности [10].
При анализе публикаций минимальный гестационный срок беременности на момент выявления ХВ при УЗИ составил 5,2 нед [2].
По литературным данным, линейный размер ХВ варьировал от минимального 5 мм до максимального 40 мм [1, 2, 4, 6, 12].
Согласно данным доступной литературы, не выявлена какая-либо значимая корреляция между линейными размерами или объемом ХВ и исходом беременности [1, 2]. Y. Lu et al. рассчитали отношение размера ХВ к размеру плодного яйца и пришли к выводу, что пациентки с большим ХВ по отношению к размеру плодного яйца, как правило, имеют более высокий риск неблагоприятных исходов беременности [10].
На сегодняшний день описывается спонтанное разрешение ХВ в подавляющем большинстве случаев при динамическом УЗИ.
Противоречивы данные о корреляции увеличения размеров ХВ и благоприятного исхода беременности. R. Harris et al. говорят о нежизнеспособной беременности в случаях увеличения размеров ХВ. Другие авторы, однако, показывают, что в случае значительного увеличения ХВ в динамике нет неблагоприятного воздействия на эмбрион на ранних сроках беременности [3].
По мнению отдельных авторов, для прогноза имеет значение не размер ХВ, а количество. Так, все 4 беременности (100 %) с более чем одним бугорком были нежизнеспособными [2]. Y. Lu et al. также отмечают более высокую частоту (77,8 %) неблагоприятных исходов беременности у пациенток с более чем одним ХВ. В настоящее время остается неясным, почему множественные ХВ предвещают нежизнеспособность эмбриона.
Y. Lu et al. считают, что в прогнозе исхода беременности важна не отдельная оценка количества и размеров ХВ, а совокупная оценка количества ХВ и отношение размера ХВ к размеру плодного яйца [10].
ХВ может быть изолированной находкой [1, 6]. E. Arleo et al. сообщают о выявлении с ХВ субхориальных гематом, при этом у всех женщин были живорождения [2].
При УЗИ исследовании необходимо дифференцировать ХВ с погибшим эмбрионом, аномальным желточным мешком, субхориальной гематомой. В случае дифференциальной диагностики с эмбрионом и желточным мешком ключевой признак — локализация: эмбрион всегда расположен внутри амниона, а желточный мешок — кнаружи; они не соприкасаются с хорионом. При дифференциальной диагностике ХВ с субхориальной гематомой важно оценить не только локализацию, но также эхогенность и форму: ХВ часто по эхогенности сопоставимо с эхогенностью хориона и имеет округлую форму; субхориальная гематома — гипоэхогенная и полулунной формы [14].
ЗАКЛЮЧЕНИЕ
ХВ — редкая патология, которая обнаруживается в первом триместре беременности при УЗИ.
На сегодняшний день низкая распространенность ХВ может быть также обусловлена неосведомленностью об этом патологическом состоянии врачей, проводящих УЗИ в первом триместре беременности. ХВ хотя и имеет характерный вид и локализацию, может стать серьезной диагностической проблемой для врача, впервые с ним столкнувшегося в ходе УЗИ. В результате это может привести к неправильной интерпретации сонографических данных с последующей ошибочной тактикой ведения пациентки.
На сегодняшний день достоверно не известны этиология и патоморфология ХВ. Несмотря на противоречивые результаты исследований о клиническом значении ХВ, частота неблагоприятных исходов беременности у пациенток с этой патологией, особенно на ранних сроках, высока.
Врачи, которые проводят УЗИ в ранние сроки беременности, должны знать об этом предикторе и уметь дифференцировать его от других патологических состояний. Правильная ультразвуковая диагностика играет решающую роль в определении тактики ведения пациенток в ранние сроки беременности.
ДОПОЛНИТЕЛЬНАЯ ИНФОРМАЦИЯ
Источник финансирования. Финансирование данной работы не проводилось.
Конфликт интересов. Авторы декларируют отсутствие явных и потенциальных конфликтов интересов, связанных с публикацией настоящей статьи.
Этическая экспертиза. Этическая экспертиза не проводилась, так как статья носит обзорный характер и не содержит каких-либо исследований с участием людей или животных в качестве объектов изучения.
Вклад авторов. Все авторы внесли существенный вклад в проведение исследования и подготовку статьи, прочли и одобрили финальную версию перед публикацией.
作者简介
Igor Zheleznyak
Military Medical Academy
Email: igzh@bk.ru
ORCID iD: 0000-0001-7383-512X
SPIN 代码: 1450-5053
M.D., D.Sc. (Medicine), Professor
俄罗斯联邦, Saint PetersburgVladimir Ryazanov
Military Medical Academy; Saint Petersburg State Pediatric Medical University
Email: 79219501454@yandex.ru
ORCID iD: 0000-0002-0037-2854
SPIN 代码: 2794-6820
M.D., D.Sc. (Medicine)
俄罗斯联邦, Saint Petersburg; Saint PetersburgGulnaz Sadykova
Military Medical Academy; Saint Petersburg State Pediatric Medical University
Email: kokonya1980@mail.ru
ORCID iD: 0000-0002-6791-518X
SPIN 代码: 3115-7430
M.D., Ph.D. (Medicine)
俄罗斯联邦, Saint Petersburg; Saint PetersburgIgor Boykov
Military Medical Academy
Email: qwertycooolt@mail.ru
ORCID iD: 0000-0001-9594-9822
SPIN 代码: 1453-8437
M.D., D.Sc. (Medicine); Professor
俄罗斯联邦, Saint PetersburgSergey Glebov
Saint Petersburg State Pediatric Medical University
Email: sergey1990glebov@mail.ru
ORCID iD: 0009-0006-0446-5050
3rd year student
俄罗斯联邦, Saint PetersburgNatalya Kuznetsova
Scientific Research Institute of Pulmonology
Email: kznnataly@mail.ru
ORCID iD: 0009-0005-1057-5048
M.D., Ph.D. (Medicine)
俄罗斯联邦, MoscowAnastasiya Latysheva
Military Medical Academy
Email: vaska.petrova@yandex.ru
ORCID iD: 0000-0003-3677-8765
SPIN 代码: 6793-1985
M.D., Ph.D. (Medicine)
俄罗斯联邦, Saint PetersburgRoman Postanogov
Saint Petersburg State Pediatric Medical University
编辑信件的主要联系方式.
Email: r.a.postanogov@yandex.ru
ORCID iD: 0000-0002-0523-9411
SPIN 代码: 8686-1597
radiologist; address
俄罗斯联邦, Saint Petersburg参考
- Harris RD, Couto C, Karpovsky C, et al. The chorionic bump: a first-trimester pregnancy sonographic finding associated with a guarded prognosis. J Ultrasound Med. 2006;25(6):757–763. doi: 10.7863/jum.2006.25.6.757
- Arleo EK, Troiano RN. Chorionic bump on first-trimester sonography: not necessarily a poor prognostic indicator for pregnancy. J Ultrasound Med. 2015;34(1):137–142. doi: 10.7863/ultra.34.1.137
- Galleguillos C, Sepulveda W. Chorionic bump: Progression to a subamniotic hematoma. J Ultrasound Med. 2022;30(Pt 1):90–93. doi: 10.1177/1742271X211008565
- Yousaf A, Tayyab A, Anil MSU, et al. Chorionic Bump: Radiologic Features and Pregnancy Outcomes. Cureus. 2020;12(11): e11480. doi: 10.7759/cureus.11480
- Silva MC, Sepulveda-Martinez A, Guinez R, et al. Chorionic bump: an early ultras und marker for adverse obstetric outcome. Gynecol Obstet Invest. 2019;84(5):237–241. doi: 10.1159/000493477
- Altynnik NA, Medvedev MV, Voityuk EG. Chorial protrusion: analysis of 16 observations and literature review. Prenatal diagnostics. 2018;17(2):116–121. (In Russ.)
- Sana Y, Appiah A, Davison A, et al. Clinical significance of first-trimester chorionic bumps: a matched case-control study. Ultrasound Obstet Gynecol. 2013;42(5):585–589. doi: 10.1002/uog.12528
- Younesi L, Shahnazari R. Chorionic Bump in First-trimester Sonography. J Ultrasound Med. 2017;25(Pt 4):221–226. doi: 10.1016/j.jmu.2017.04.004
- Sepulveda W. Chorionic bump at 11 to 13 weeks’ gestation: Prevalence and clinical significance. Prenat Diagn. 2019;39(Pt 6): 471–476. doi: 10.1002/pd.5454
- Lu Y, Wu Y, Huang F, Ren M. A single-center retrospective study of the clinical significance of chorionic bump at early stage of gestation. Am J Reprod Immunol. 2021;85(3):e13346. doi: 10.1111/aji.13346
- Wax JR, Cartin A, Litton C, et al. First-trimester chorionic bump —Association with fetal aneuploidy in a high-risk population. J Clin Ultrasound. 2017;45(1):3–7. doi: 10.1002/jcu.22417
- Baalmann CG, Galgano SJ, Pietryga JA, et al. A Case of a Chorionic Bump: New Sonographic-Histopathologic Findings With Review of the Literature. J Ultrasound Med. 2017;36(Pt 9):1968–1970. doi: 10.1002/jum.14240.
- Carvalho RS, Osório M, Brito C, et al. Chorionic bump in a pregnant patient with a history of infertility. BMJ Case Rep. 2018;2018: bcr2018225091. doi: 10.1136/bcr-2018-225091
- Woodward PJ, Kennedy A, Sohaey R. Diagnosis Imaging: Obstetrics. Amsterdam: Elsevier Science; 2016. 1240 p.
补充文件





