Manifestations of toxic pulmonary edema during respiratory support in an experiment
- Authors: Yaroshenko D.M.1, Khovpachev A.A.1, Ilatovskaya J.D.2, Gracheva G.Y.2,3, Tolkach P.G.1, Basharin V.A.1
-
Affiliations:
- Military Medical Academy
- Veterinary Clinic of Oncology, Traumatology and Intensive Care of Dr. Sotnikov
- Saint Petersburg State University of Veterinary Medicine
- Issue: Vol 43, No 3 (2024)
- Pages: 321-330
- Section: Original articles
- URL: https://journals.eco-vector.com/RMMArep/article/view/634061
- DOI: https://doi.org/10.17816/rmmar634061
- ID: 634061
Cite item
Abstract
BACKGROUND: Currently, respiratory support is successfully used to treat pulmonary edema of non-toxic origin. The manifestations of pulmonary edema of non-toxic origin and toxic pulmonary edema have similar features, so respiratory support can be effective in treating the latter.
AIM: To describe the manifestations of toxic pulmonary edema in rabbits and demonstrate the effectiveness of artificial pulmonary ventilation with support of positive end-expiratory pressure (PEEP) in case of severe intoxication with thermal destruction products of fluoroplastic-4.
MATERIALS AND METHODS: Three rabbits were used in the study: rabbit N 1 (control), rabbit N 2 (intoxication) and rabbit N 3 (treatment). Rabbits N 2 and 3 were subjected to severe intoxication with thermal destruction products of fluoroplastic-4 (1,5 HLC50, 15 min). For treatment, rabbit N 3 (treatment), an hour after exposure, underwent mechanical ventilation with PEEP (pressure-controlled mode; oxygen fraction — 0,3; starting PEEP — 5 cm H2O, tidal volume — 20–25 ml). At various times, chest radiography was performed, oxygenation index, hemoglobin saturation (SaO2), and partial pressure of carbon dioxide in exhaled air (PetCO2) were determined. Posthumously, pathological changes in lung tissue, pulmonary coefficient were determined, and histological examination was performed.
RESULTS: Exposure of rabbit N 2 (intoxication) to the thermal destruction products of fluoroplastic-4 led to the sequential formation of the interstitial and alveolar phases of toxic pulmonary edema, which contributed to its death 13 hours after exposure. As SaO2 decreased and PetCO2 increased (3 and 5 hours after exposure), in rabbit N 3 (treatment), during respiratory support, PEEP was increased twice by 2 cm H2O (maintaining a given respiratory volume), which led to the normalization of the studied parameters. On the 7th day after exposure, the condition of rabbit N 3 (treatment) did not differ from the condition of rabbit N 1 (control); no pathological changes in the respiratory system were detected.
CONCLUSION: Carrying out mechanical ventilation with PEEP, started an hour after exposure (with a stepwise increase in PEEP as the condition worsens), is effective for correcting toxic pulmonary edema in rabbits caused by severe intoxication with the thermal destruction products of fluoroplastic-4.
Full Text
BACKGROUND
The management of toxic pulmonary edema is critical. Various pharmacological strategies to interrupt the pathogenetic cascades in the lung tissue, such as the use of corticosteroids, cellular antioxidant defense stimulators, and anti-inflammatory drugs, have been proposed [1–3]. However, these treatment options showed low efficacy in experimental models of toxic pulmonary edema [4, 5]. In 2009, global guidelines excluded systemic corticosteroids for the treatment of acute respiratory distress syndrome (ARDS) caused by direct lung injury [6]. The 2020 Russian clinical guidelines for ARDS treatment recommended the use of low-dose corticosteroids for community-acquired pneumonia and/or septic shock, but did not advise the use of noncorticosteroid anti-inflammatory drugs [7].
Respiratory support consisting of mechanical ventilation with maintenance of positive end-expiratory pressure (PEEP) has been successfully used worldwide for treating nontoxic pulmonary edema [4, 7–9]. Nontoxic pulmonary edema and pulmonary edema induced by pulmonary toxicants have common manifestations. Therefore, respiratory support may be an effective strategy for toxic pulmonary edema treatment [10]. In the Russian literature, the use of mechanical ventilation in toxic pulmonary edema treatment has been recommended [2, 4]. However, no experimental confirmation of its effectiveness was found in the available literature. In the international literature, some studies have shown the effectiveness of respiratory support in the treatment of phosgene-induced toxic pulmonary edema [5, 10].
This study aimed to describe the manifestations of toxic pulmonary edema in rabbits and demonstrate the efficacy of mechanical ventilation with PEEP in treating severe intoxication with the thermal degradation products of fluoropolymer4.
MATERIALS AND METHODS
Three male Soviet chinchilla rabbits were used. The study was conducted in accordance with the regulations for laboratory animal experiments [11]. The animals were divided as follows: rabbit 1, control; rabbit 2, intoxication; and rabbit 3, intoxication and treatment. Rabbit 1 breathed atmospheric air in the inhalation chamber for 15 minutes. Rabbits 2 and 3 were exposed to static inhalation intoxication with the thermal degradation products of fluoropolymer4 for 15 minutes at a concentration of 1.5 HLC50. After exposure, rabbit 2 breathed atmospheric air, and rabbit 3 received respiratory support 1 hour after exposure.
To induce anesthesia, rabbit 3 received intravenous solutions of tiletamine + zolazepam (Zoletil 100, Virbac, France, 15 mg/kg) and pipecuronium bromide (1 mg). After achieving sedation and muscle relaxation, tracheal intubation was performed (endotracheal cuffed tube 3.0). Mechanical ventilation was conducted using Mindray SynoVent E3 (China) in the forced ventilation mode with pressure control. Ventilation was started with the following parameters: fraction of inspired oxygen, 30%; PEEP, 5 cm H2O; support pressure, 13–15 cm H2O; and respiratory rate, 35–40/min. In this setting, the tidal volume was 20–25 mL, and minute ventilation was 0.7–1.0 L/min, which are physiological values for rabbits. Anesthesia was maintained with intravenous tiletamine + zolazepam (Zoletil 100, Virbaс, France, 5 mg × h/kg, via an infusion pump) and pipecuronium bromide (0.5 mg, when spontaneous breathing occurred). Eight hours after exposure, with spontaneous breathing recovery, rabbit 3 was extubated and then breathed atmospheric air.
The oxygenation index (OI) (ratio of arterial oxygen partial pressure to fraction of inspired oxygen) was calculated for all rabbits before exposure (background) and 1 and 6 hours following exposure [7]. Arterial oxygen partial pressure was determined using an EasyStat stationary blood gas analyzer (USA). At 1 hour and 6 hours after exposure, rabbits 2 and 3 underwent anteroposterior and lateral chest radiographs using a Sedecal Neovet F veterinary radiographer (Spain). In rabbit 3, chest radiography and OI determination were repeated 7 days after exposure.
In rabbits 2 and 3, blood hemoglobin saturation and partial pressure of carbon dioxide in expired air were monitored before exposure, 1 hour after exposure, and during respiratory support using a Mindray uMEC12vet veterinary monitor (China). Additionally, auscultation was performed.
After rabbit 2 died, its thoracic cavity was opened. Macroscopic lesions were detected in the lungs, a lung ventilation coefficient was determined, and specimens were prepared for histology. Rabbits 1 and 3 were sacrificed on day 7 after exposure, and the lung ventilation coefficient was determined, and lung specimens were prepared for histology. Slides were examined using a Leica DM1000 light optical microscope (Germany), and qualitative lung tissue changes were assessed and photographed.
Table 1 shows the general scheme of the experiment.
Table 1. General scheme of the experimental study
Таблица 1. Общая схема экспериментального исследования
Time after exposure | Experimental animal | ||
rabbit 1 (control) | rabbit 2 (intoxication) | rabbit 3 (treatment) | |
background | Determination of OI, SaO2, PetCO2 | ||
00.00 | – | Intoxication with thermal degradation products of fluoropolymer4 (1.5 HLC50) | |
1 h | – | Determination of OI | |
Chest radiography | |||
1,1 h | – | – | Start of mechanical ventilation |
6 h | – | Determination of OI | |
Chest radiography | |||
8 h | – | – | End of mechanical ventilation, transition to independent breathing |
13 h | – | Death | – |
day 7 | Sacrifice | – | Determination of OI |
Chest radiography | |||
Sacrifice | |||
Note. SaO2, the percentage of oxygen-containing hemoglobin in the blood (oxygen saturation); PetCO2, partial pressure of end-tidal carbon dioxide. | |||
FINDINGS AND DISCUSSION
During the first hour after removal from the inhalation chamber, the condition of the rabbits 2 and 3, which were exposed to the thermal degradation products of fluoropolymer4, did not differ from that of rabbit 1. One hour after exposure, OI decreased, whereas SaO2 and PetСO2 were similar to background values (Table 2). Auscultation of the rabbits did not reveal any wheezing.
Table 2. Monitoring chart of the condition of rabbits 2 and 3, exposed to intoxication by thermal destruction products of fluoroplastic-4 (1,5 HLC50)
Таблица 2. Карта наблюдения за состоянием кроликов 2 и 3, подвергшихся интоксикации продуктами термодеструкции фторопласта-4 (1,5 HLC50)
Time after exposure | Parameter | |||||
rabbit 2 (intoxication, FiO2 — 0.21) | rabbit 3 (treatment, during mechanical ventilation, FiO2 — 0.3) | |||||
SaO2, % | PetCO2, mmHg | Oxygenation index | SaO2, % | PetCO2, mmHg | Oxygenation index | |
background | 98 | 34 | 390 | 98 | 36 | 380 |
1 h | 98 | 36 | 347 | 99 | 35 | – |
Start of mechanical ventilation | ||||||
100 | 37 | 366 | ||||
2 h | 92 | 35 | – | 98 | 38 | – |
3 h | 84 | 37 | – | 91 | 37 | – |
4 h | 82 | 41 | – | 98 | 36 | – |
5 h | 76 | 43 | – | 95 | 34 | – |
6 h | 74 | 43 | 250 | 99 | 35 | 340 |
7 h | 74 | 45 | – | 99 | 36 | – |
8 h | 72 | 45 | – | 99 | 36 | – |
End of mechanical ventilation | ||||||
96 | 32 | – | ||||
9 h | 70 | 49 | – | 97 | 33 | – |
13 h | Death | 95 | 34 | – | ||
day 7 | – | 98 | 35 | 390 | ||
Sacrifice | ||||||
Note. SaO2, the percentage of oxygen-containing hemoglobin in the blood (oxygen saturation); PetCO2, partial pressure of end-tidal carbon dioxide; FiO2, fraction of inspired oxygen. | ||||||
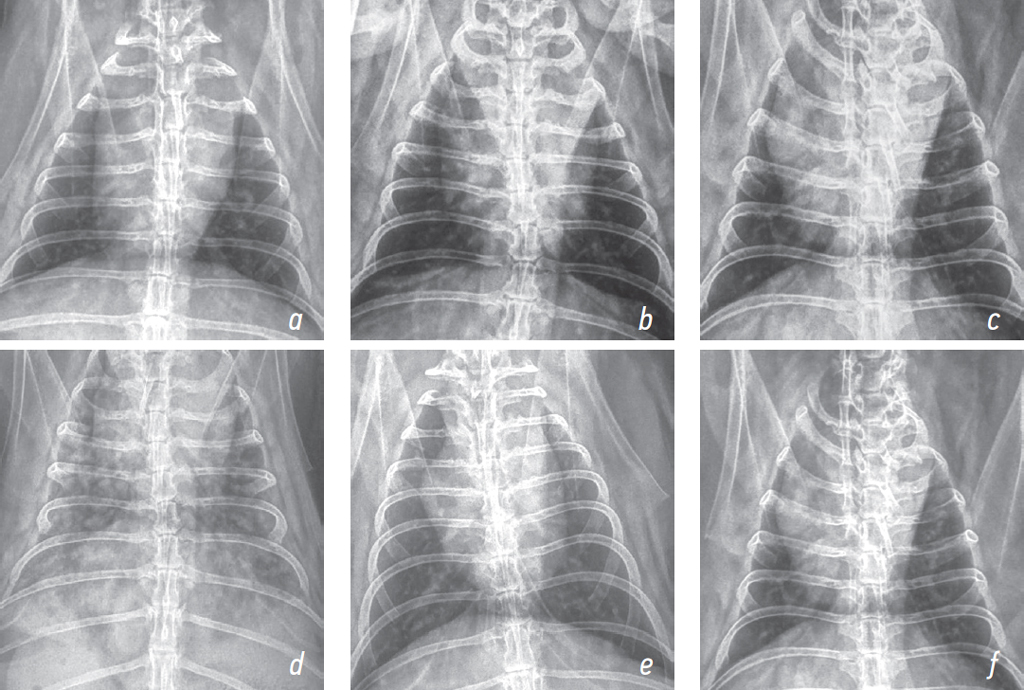
Plain chest radiography of rabbit 1 showed preserved lung fairness, normally visualized cardiovascular structures, smooth and clear diaphragmatic dome, and preserved cardiosternal contact. An hour after exposure, areas of interstitial shadowing and prominent bronchopulmonary pattern were noted on plain chest radiographs of rabbits 2 and 3 (Figs. 1 and 2).
Fig. 1. Radiographs of the chest organs of rabbits in a direct projection at various times after exposure to the thermal destruction products of fluoroplastic-4 (1,5 HLC50); a — rabbit 1 (control), b — rabbit 2 (intoxication, 1 hour), c — rabbit 3 (treatment, 1 hour), d — rabbit 2 (intoxication, 6 hours), e — rabbit 3 (treatment, 6 hours), f — rabbit 3 (treatment, 7 days)
Рис. 1. Рентгенограммы органов грудной клетки кроликов в прямой проекции в различные сроки после воздействия продуктов термодеструкции фторопласта-4 (1,5 HLC50); a — кролик 1 (контроль), b — кролик 2 (интоксикация, 1 ч), c — кролик 3 (лечение, 1 ч), d — кролик 2 (интоксикация, 6 ч), e — кролик 3 (лечение, 6 ч), f — кролик 3 (лечение, 7-е сут)
Fig. 2. X-rays of the chest organs of rabbits in lateral projection at various times after exposure to the thermal destruction products of fluoroplastic-4 (1,5 HLC50); a — rabbit 1 (control), b — rabbit 2 (intoxication, 1 hour), c — rabbit 3 (treatment, 1 hour), d — rabbit 2 (intoxication, 6 hours), e — rabbit 3 (treatment, 6 hours), f — rabbit 3 (treatment, 7 days)
Рис. 2. Рентгенограммы органов грудной клетки кроликов в боковой проекции в различные сроки после воздействия продуктов термодеструкции фторопласта-4 (1,5 HLC50); a — кролик 1 (контроль), b — кролик 2 (интоксикация, 1 ч), c — кролик 3 (лечение, 1 ч), d — кролик 2 (интоксикация, 6 ч), e — кролик 3 (лечение, 6 ч), f — кролик 3 (лечение, 7-е сут)
Three hours after exposure, rabbit 2 showed decreased SaO2 (84%) and increased PetCO2 (37 mmHg). Six hours after exposure, more changes were found in the evaluated parameters and OI decreased. In rabbit 3, SaO2 decreased to 91% 3 hours after exposure. PEEP was increased by 2 cm H2O, leading to increased SaO2 to 98%. Five hours after exposure, SaO2 decreased again (95%), and a further increase in PEEP of 2 cm H2O resulted in increased SaO2 to background levels (99%). Six hours after exposure, the OI was higher compared to that of rabbit 2.
Radiography was performed 6 hours following exposure. Plain chest radiography of rabbit 2 showed diffuse alveolar opacities, most prominent in the middle and caudal lobes, and notable bronchopulmonary pattern. Plain chest radiography of rabbit 3 showed a moderately prominent bronchopulmonary pattern and normal lung airiness (Figs. 1 and 2).
Tracheal extubation was performed in rabbit 3, 8 hours after exposure, when spontaneous breathing was restored. When breathing atmospheric air, SaO2 and PetCO2 did not differ from background values. Auscultation revealed isolated fine rales. Eight hours after exposure, rabbit 2 showed decreased SaO2 to 70% and increased PetCO2 to 49 mmHg (Table 2). Auscultation revealed coarse rales over all lung fields.
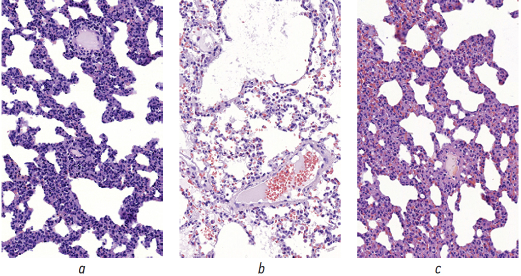
In rabbit 2, 13 hours after exposure, sharply increased motor activity, gurgling breathing, foamy discharge from the mouth and nose, and convulsions were observed, leading to death. Macroscopic examination revealed enlarged lungs with smoothed interlobar folds, lung surface hemorrhages, and foamy discharge from the trachea and at the incision (Fig. 3). The lung ventilation coefficient was 11.8 relative units. Histological examination revealed thinning of the interalveolar septa walls, homogeneous contents, and erythrocytes and neutrophils in the alveolar cavity (Fig. 4).
Fig. 3. Macropreparations of rabbit lungs obtained after exposure to the thermal destruction products of fluoroplastic-4 (1.5 HLC50). Rabbit 1 (a) and 3 (c) — lungs were obtained 7 days after exposure, rabbit 2 (b) — after death (13 hours after exposure)
Рис. 3. Макропрепараты легких кроликов, полученные после воздействия продуктов термодеструкции фторопласта-4 (1,5 HLC50). Кролик 1 (a) и 3 (c) — легкие получены на 7 сут после воздействия, кролик 2 (b) — после летального исхода (через 13 ч после воздействия)
Fig. 4. Histological preparations of rabbit lungs obtained after exposure to the thermal destruction products of fluoroplastic-4 (1,5 HLC50). Rabbits 1 (a) and 3 (c) — lungs were obtained 7 days after exposure, rabbit 2 (c) — after death (13 hours after exposure). Hematoxylin-eosin staining, magnification ×40
Рис. 4. Гистологические препараты легких кроликов, полученные после воздействия продуктов термодеструкции фторопласта-4 (1,5 HLC50). Кролик 1 (a) и 3 (c) — легкие взяты на 7 сут после воздействия, кролик 2 (b) — после летального исхода (через 13 ч после воздействия). Окраска гематоксилином и эозином, ув. об. ×40
On day 7 after exposure, the gas exchange parameters (i. e., SaO2, PetCO2, and OI) in rabbit 3 did not differ from background values. Plain chest radiography demonstrated normal lung airiness with no areas of interstitial shadowing (Figs. 1 and 2). Auscultation revealed no wheezing. After radiography, rabbits 3 and 1 were sacrificed and their lungs were removed.
The lungs of rabbit 1 (control) were pink, folds were visible between the lobes, and no foamy discharge was observed at the incision (Fig. 3). The lung ventilation coefficient was 5.6 relative units. Slides showed normal histoarchitecture of lung tissue (Fig. 4). The lungs of rabbit 3 were slightly enlarged and pinkish, with isolated hemorrhagic lesions on the surface; no foamy discharge from the trachea was seen at the incision (Fig. 3). The lung ventilation coefficient was 6.9 relative units. Microscopic examination showed moderate thickening of the interalveolar septa filled with erythrocytes, and the alveolar cavities were clear.
DISCUSSION
Respiratory support is a crucial method for the treatment of nontoxic pulmonary edema [7, 8]. However, data on its efficacy in treating toxic pulmonary edema are theoretical [2, 4]. In our experimental study, rabbits were exposed to the thermal degradation products of fluoropolymer4. According to the literature, toxicity of the thermal degradation products of fluoropolymers is caused by the presence of perfluoroisobutylene in their composition, which induces an acylating effect [12]. An experimental study has demonstrated that intoxication of experimental animals with the thermal degradation products of fluoropolymer4 results in the formation of toxic pulmonary edema [13].
No signs of intoxication were observed in the rabbits during the first hour after exposure. However, plain chest radiography showed typical signs in the interstitial phase of toxic pulmonary edema [14], and the OI was decreased. Moreover, 3–8 hours after intoxication, the condition of rabbit 2 deteriorated, as evidenced by a gradual decrease in arterial blood oxygenation and increased carbon dioxide concentration in the expired air. Such changes are associated with a disruption of gas exchange due to increased thickness of the aerohematous barrier caused by fluid release from the interstitial space into the alveolar space [14]. Notably, no external manifestations of intoxication or auscultatory changes were observed during this period. Postmortem examination of the macroscopic and histologic lung specimens of rabbit 2 indicated alveolar toxic pulmonary edema [14]. Therefore, the death of rabbit 2 was caused by acute respiratory failure due to development of toxic pulmonary edema.
During mechanical ventilation with PEEP, decreased SaO2 and increased PetCO2 were observed 3 and 5 hours after exposure in rabbit 3. Increasing PEEP by 2 cm H2O led to normalization of gas exchange in both cases. The OI (6 hours after exposure) did not differ much from background values. Mechanical ventilation with a twofold increase in PEEP (while maintaining the prescribed tidal volume) prevented toxic manifestations in the lung tissue. Six hours after exposure, lung radiographs of rabbit 3 showed interstitial edema, whereas the lung radiographs of rabbit 2 revealed alveolar edema.
After rabbit 3 was transferred to independent breathing, gas exchange parameters (i.e., SaO2 and PetCO2) corresponded to background values. During the 7-day followup, the condition of rabbit 3 did not differ from that of rabbit 1. Histological examination did not reveal any significant abnormalities in the lung tissue of rabbit 3. Therefore, early initiation of mechanical ventilation with PEEP (1 hour after exposure) with a stepwise increase in PEEP as the condition worsens is effective in treating toxic pulmonary edema induced by thermal degradation products of fluoropolymer4.
The protective effect of mechanical ventilation with PEEP during the development of toxic pulmonary edema is related to the fact that the positive pressure in the airways leads to increased alveolar pressure, which in turn prevents excessive fluid flow from the vessels into the interstitium. Collapsed alveoli expansion due to increased airway pressure contributes to increased alveolar ventilation and improved gas exchange [7–9]. These mechanisms may contribute to normalization of the condition of rabbit 3, which received postexposure respiratory support in the presented regimen.
CONCLUSION
Our experimental study showed that changes in chest radiography and a decrease in the OI 1 one hour after exposure and changes in SaO2 and PetCO2 3 hours after exposure should be considered as manifestations of toxic pulmonary edema. Mechanical ventilation with PEEP, starting 1 hour after exposure (with gradual increases in PEEP as the condition worsens), is effective in the treatment of rabbits with toxic pulmonary edema induced by severe intoxication with thermal degradation products of fluoropolymer4. Therefore, mechanical ventilation with PEEP may be a promising approach to the treatment of toxic pulmonary edema of various origins.
About the authors
Dmitry M. Yaroshenko
Military Medical Academy
Author for correspondence.
Email: yaroshenko-spb@yandex.ru
ORCID iD: 0000-0003-2305-6093
SPIN-code: 1875-4797
Russian Federation, Saint Petersburg
Alexey A. Khovpachev
Military Medical Academy
Email: khovpachev@gmail.com
ORCID iD: 0009-0002-5780-1557
SPIN-code: 6189-3624
MD, Cand. Sci. (Medicine)
Russian Federation, Saint PetersburgJulia D. Ilatovskaya
Veterinary Clinic of Oncology, Traumatology and Intensive Care of Dr. Sotnikov
Email: yulia.icu@mail.ru
ORCID iD: 0009-0005-8527-0003
Russian Federation, Saint Petersburg
Galina Y. Gracheva
Veterinary Clinic of Oncology, Traumatology and Intensive Care of Dr. Sotnikov; Saint Petersburg State University of Veterinary Medicine
Email: grachevaicuvet@mail.ru
ORCID iD: 0009-0007-0589-1753
Russian Federation, Saint Petersburg; Saint Petersburg
Pavel G. Tolkach
Military Medical Academy
Email: pgtolkach@gmail.com
ORCID iD: 0000-0001-5013-2923
SPIN-code: 4304-1890
MD, Dr. Sci. (Medicine)
Russian Federation, Saint PetersburgVadim A. Basharin
Military Medical Academy
Email: basharin1@mail.ru
ORCID iD: 0000-0001-8548-6836
SPIN-code: 4671-8386
MD, Dr. Sci. (Medicine), Professor
Russian Federation, Saint PetersburgReferences
- Cao Ch, Zhang L, Shen J. Phosgene-Induced acute lung injury: Approaches for mechanism-based treatment strategies. Front Immunol. 2022;13:917395. doi: 10.3389/fimmu.2022.917395
- Chepur SV, Chubar OV, Bykov VN, et al. Methodological recommendations for the treatment of respiratory failure in those affected by poisonous and highly toxic substances at the stages of medical evacuation. Saint Petersburg: State Research and Testing Institute of Military Medicine of the Ministry of Defense of the Russian Federation Publishing Hоuse; 2016. 55 p. (In Russ.) EDN: TKWCDM
- Yang L.M., Zhao J., Wang H.T. et al. [The protective effect of N-acetylcysteine on acute lung injury induced by PFIB inhalation]. Zhonghua Lao Dong Wei Sheng Zhi Ye Bing Za Zhi. 2017;35(7):481–486. [Article in Chinese] doi: 10.3760/cma.j.issn.1001-9391.2017.07.001
- Basharin VA, Chepur SV, Shchegolev AV, et al. The role and place of respiratory support in the treatment regimens for acute pulmonary edema caused by inhalation of toxic substances. Military Medical Journal. 2019;340(11):26–32. (In Russ.) EDN: JPJONV doi: 10.17816/RMMJ81664
- Li W, Rosenbruch M, Pauluhn J. Effect of PEEP on phosgene-induced lung edema: Pilot study on dog susing protective ventilation strategies. Experimental and Toxicologic Pathology. 2015;67(2): 109–116. doi: 10.1016/j.etp.2014.10.003
- Crawford MH. The ESC Textbook of Acute and Intensive Cardiac Care. Circulation. 2012;125(4):e298–e298. doi: 10.1161/circulationaha.111.031526
- Yaroshetsky AI, Gritsan AI, Avdeev SN, et al. Diagnostics and intensive therapy of acute respiratory distress syndrome (clinical guidelines of the federation of anesthesiologists and reanimatologists of Russia). Russian journal of anesthesiology and reanimatology. 2020;(2):5–39. (In Russ.) EDN: KAMAJL doi: 10.17116/anaesthesiology20200215
- Graham S, Fairhall S, Rutter S, et al. Continuous positive airway pressure: an early intervention to prevent phosgene-induced acute lung injury. Toxicol Lett. 2018;293:120–126. doi: 10.1016/j.toxlet.2017.11.001
- Mistry S, Scott TE, Jugg BJ, et al. An in-silico porcine model of phosgene-induced lung injury predicts clinically relevant benefits from application of continuous positive airway pressure up to 8 h post exposure. Toxicol Lett. 2024;391:45–54. doi: 10.1016/j.toxlet.2023.12.005
- Parkhouse DA, Brown RF, Jugg BJ, et al. Protective ventilation strategies in the management of phosgene-induced acute lung injury. Mil Med. 2007;172(3):295–300. doi: 10.7205/milmed.172.3.295
- Directive 2010/63/EU of the European Parliament and of the Council on the protection of animals used for scientific purposes NP association of specialists in working with laboratory animals. Saint Petersburg: Rus-LASA Publ.; 2012.
- Panshin YuA, Malkevich SG, Dunaevskaya TsS. Fluoroplastics. Leningrad: Khimiya Publ.; 1978. 232 p. (In Russ.)
- Tolkach PG, Basharin VA, Chepur SV, et al. Evaluation of the effectiveness of sedative medicals for the correction of toxic pulmonary edema during intoxication products of pyrolysis of fluoroplast-4. Biology Bulletin Reviews. 2021;141(1):32–39. (In Russ.) EDN: MBZXYP doi: 10.31857/S0042132421010245
- Basharin VA, Chepur SV, Tolkach PG, et al. Toxicology of pulmonary toxicants. SPb.: Levsha. Saint Petersburg Publishing House; 2021. 88 p. (In Russ.) EDN: YEWREL
Supplementary files







