Мальротация кишечника у новорожденных и детей раннего возраста: сравнительные возможности ультразвукового и рентгенологического методов исследования
- Авторы: Анпилогова К.С.1, Филин Я.А.1, Полякова Е.В.1, Сухоцкая А.А.1, Себелев К.И.1, Труфанов Г.Е.1
-
Учреждения:
- НМИЦ им. В.А. Алмазова Минздрава России
- Выпуск: Том 43, № 3 (2024)
- Страницы: 251-259
- Раздел: Оригинальные исследования
- URL: https://journals.eco-vector.com/RMMArep/article/view/634364
- DOI: https://doi.org/10.17816/rmmar634364
- ID: 634364
Цитировать
Аннотация
Актуальность. Мальротация кишечника — врожденная патология, которая возникает в результате аномальной фиксации и вращения средней кишки во время развития плода. Данное патологическое состояние чаще всего диагностируется в течение первого месяца жизни и часто проявляется наличием срыгиваний, беспокойством, рвотой с примесью желчи, низкими весовыми прибавками. Узкий корень брыжейки упрощает образование заворота средней кишки, что может вести к ишемии и некрозу и требует срочного хирургического вмешательства. Для диагностики мальротации в настоящее время используется ультразвуковое исследование и рентгенологическое исследование с контрастом.
Цель исследования. Улучшение диагностики мальротации кишечника у новорожденных и детей раннего возраста путем проведения сравнительного анализа возможностей рентгенологического и ультразвукового методов исследования при их комплексном использовании.
Материалы и методы. Проанализированы данные 112 пациентов возрастом от суток с момента рождения до 3 месяцев 26 дней в период с 2016 по 2024 г. с ультразвуковыми признаками мальротации, выявленными с помощью микроконвексного и линейного датчиков. 50 детей далее наблюдались с данным предварительным или окончательным диагнозом. Пассаж контрастного препарата и ирригографии проводились на аппарате AXIOM Luminos DRF (Siemens) с получением от 1 до 15 рентгенограмм и до восьми серий рентгеноскопии.
Результаты. Наиболее частый ультразвуковой признак мальротации — атипичное расположение мезентериальных сосудов, рентгенологический — левостороннее расположение толстой кишки и высокое стояние слепой кишки. Оценка расположения дуоденоеюнального перехода в большинстве случаев оказалась затруднительной. Операция была произведена 17 детям, одному из них по поводу заподозренной кишечной непроходимости, при этом у четырех пациентов обнаружена кольцевидная поджелудочная железа. Диагноз мальротации был поставлен 40 детям из 50, в четырех случаях это разнилось с результатами рентгенологического исследования. У 12 пациентов выявлено сопутствующее аномальное расположение внутренних органов.
Заключение. Следует рассмотреть возможность скринингового ультразвукового обследования всех новорожденных, так как патология может протекать асимптомно. Важно выносить подозрение на мальротацию в диагноз в связи с возможной манифестацией патологии в более позднем возрасте. Полностью отказаться от рентгенологического исследования с контрастом в диагностике мальротации в настоящее время не представляется возможным.
Ключевые слова
Полный текст
АКТУАЛЬНОСТЬ
Мальротация кишечника — врожденный порок развития, вызванный аномальным вращением и фиксацией средней кишки в процессе эмбриогенеза.
Частота встречаемости мальротации в среднем составляет 1 : 500, при этом клинические проявления сопровождают ее реже — 1 : 6000; в 80 % случаев данное патологическое состояние манифестирует в первый месяц жизни [1].
Мальротация часто ассоциируется с другими заболеваниями, такими как болезнь Гиршпрунга, атрезия пищевода, билиарная атрезия, кольцевидная поджелудочная железа, мекониевый илеус, дупликатуры кишечника, брыжеечные кисты, дивертикул Меккеля, атрезия ануса и различные урологические аномалии [2].
В норме на четвертой неделе гестации начинается выход быстро растущих в длину петель средней кишки во внезародышевую полость, после чего предартериальная и постартериальная части кишки совершают три поворота вокруг верхней брыжеечной артерии (ВБА) против часовой стрелки до и после возвращения в брюшную полость, заканчивая свой поворот на 270° к десятой неделе гестации [3]. Это позволяет дуоденоеюнальному переходу расположиться слева от ВБА, а илеоцекальному углу — справа. После завершения процесса ротации связка Трейтца фиксирует брыжейку к задней стенке брюшной полости, что предотвращает заворот средней кишки вокруг узкого основания ее брыжейки.
В зависимости от времени возникновения порока развития может возникнуть несколько форм ротационных аномалий, включая отсутствие ротации, неполную ротацию, обратную ротацию, гиперротацию и внутренние грыжи.
При неполной ротации может возникнуть непроходимость двенадцатиперстной кишки из-за тяжей Ледда, которые образуются между толстой кишкой и брыжейкой, а сужение места прикрепления брыжейки облегчает ротацию средней кишки вокруг ВБА. Заворот средней кишки (синдром Ледда) — серьезное осложнение, возникающее при закручивании кишечника по часовой стрелке вокруг ВБА [4]. У пациентов могут быть срыгивания, рвота с примесью желчи, позднее появление переходного стула, сложности в налаживании энтерального питания, низкие весовые прибавки, беспокойство. Если позволить ишемии прогрессировать, могут развиться некроз кишки, перитонит и гиповолемический шок с высоким риском летального исхода или инвалидизации [2].
В настоящее время активно обсуждается снижение лучевой нагрузки на новорожденных и детей раннего возраста, так как они особенно чувствительны к ионизирующему излучению [5].
Многие авторы обсуждают возможность диагностики мальротации исключительно с помощью ультразвукового исследования (УЗИ) [6–8]. Однако некоторые из них не перестают подчеркивать важность использования рентгеновского метода в случае неубедительных результатов УЗИ, так как даже один пропущенный случай столь серьезной патологии является слишком высокой ценой [9, 10].
Цель исследования — улучшение диагностики мальротации кишечника у новорожденных и детей раннего возраста путем проведения сравнительного анализа возможностей рентгенологического и ультразвукового методов исследования при их комплексном использовании.
МАТЕРИАЛЫ И МЕТОДЫ
Ультразвуковые и рентгенологические исследования проводили на базе федерального перинатального центра ФГБУ «Национальный медицинский исследовательский центр им. В.А. Алмазова» Минздрава России. Исследование включало ретроспективный этап обработки информации о пациентах в период с ноября 2016 по сентябрь 2020 г., а также проспективный этап с сентября 2020 по май 2024 г.
Были проанализированы данные 112 пациентов, у которых по результатам УЗИ была заподозрена мальротация кишечника. В исследование были включены 50 пациентов, из них у 45, кроме УЗИ, дополнительно проведено рентгенологическое исследование с контрастным препаратом: 21 пациенту дополнительно выполнены и ирригография, и пассаж контрастного препарата, 23 детям — только ирригография, троим — только пассаж. У двух пациентов диагноз поставлен только на основании рентгенологического обследования и клинической картины, при этом по данным УЗИ у одного ребенка данные о взаиморасположении сосудов отсутствовали (вероятно, оно было нормальным или визуализация была затруднена), а у двух — расположение мезентериальных сосудов выглядело нормальным. Еще у двух пациентов УЗИ оказалось достаточно для показаний к экстренной операции на основании также анализа клиники и обзорной рентгенографии, а у одного пациента мальротация выявлена в момент операции по устранению врожденной высокой кишечной непроходимости.
У 47 пациентов (94 %) диагноз мальротации был заподозрен по результатам УЗИ и рентгенологического исследования, а еще у двух (4 %) — по клинической и рентгенологической картине.
Возраст пациентов составил от суток с момента рождения до 3 месяцев 26 дней на момент проведения ультразвукового исследования при отсутствии дальнейшего рентгенологического исследования с контрастом или на момент проведения рентгенологического исследования.
Рентгенологическое исследование органов брюшной полости начинали с выполнением нативного исследования органов брюшной полости (обзорная рентгенограмма) на аппарате AXIOM Luminos DRF (Siemens) с последующим проведением пассажа контрастного препарата в вертикальном положении пациента и/или ирригографии в горизонтальном положении. В качестве контраста использовались йодсодержащие неионные водорастворимые контрастные препараты, разведенные в соотношении 1 : 1 в физиологическом растворе для ирригографии, в детской смеси, растворе глюкозы, грудном молоке или воде для пассажа. Проводилось до восьми серий рентгеноскопии, количество рентгенограмм на одно исследование составило от 1 до 15 изображений.
Ультразвуковое исследование органов брюшной полости проводилось в режиме сканирования «абдоминальный» или «неонатальный» с помощью неонатального микроконвексного датчика частотой 10–11 МГц. Использовались В-режим, цветовое допплеровское сканирование и импульсно-волновая допплерометрия (как вспомогательный метод обследования). Также проводилась оценка петель кишечника с помощью линейного датчика частотой 10–12 МГц.
РЕЗУЛЬТАТЫ И ОБСУЖДЕНИЕ
При проведении ирригографии оценивалась топография толстой кишки. При визуализации верхних отделов желудочно-кишечного тракта основное внимание обращалось на расположение дуоденоеюнального перехода относительно средней линии (тени позвоночного столба).
Рентгенологические признаки мальротации и частота их встречаемости у пациентов указаны в таблицах 1 и 2.
Таблица 1. Частота встречаемости рентгенологических признаков мальротации при проведении ирригографии (n = 44)
Table 1. Frequency of occurrence of radiologic signs of malrotation during irrigography (n = 44)
Рентгенологические признаки мальротации | Количество пациентов | |
абс. | % | |
Левосторонне расположенная толстая кишка | 13 | 30 |
Высокое стояние слепой кишки | 17 | 39 |
Высокое и срединное стояние слепой кишки | 8 | 18 |
Высокое и левостороннее положение слепой кишки | 3 | 7 |
Атипичное положение толстой кишки | 6 | 14 |
Положение слепой кишки в левой подвздошной области | 1 | 2 |
Норма | 8 | 18 |
Всего выявленных аномалий расположения толстой кишки | 36 | 82 |
Всего обследованных детей | 44 | 100 |
Таблица 2. Варианты расположения дуоденоеюнального перехода при проведении пассажа контрастного препарата у детей с подозрением на мальротацию (n = 24)
Table 2. Variants of duodenojejunal junction location during contrast passage in children with suspected malrotation (n = 24)
Расположение дуоденоеюнального перехода | Количество пациентов | |
абс. | % | |
Справа от позвоночного столба | 9 | 38 |
По средней линии | 2 | 8 |
Слева от позвоночного столба (норма) | 4 | 17 |
Отсутствие отчетливой визуализации положения перехода | 13 | 54 |
Всего выявленных признаков атипичного расположения дуоденоеюнального перехода | 11 | 46 |
Всего обследованных детей | 24 | 100 |
Из таблиц 1 и 2 следует, что наиболее часто встречающимися рентгенологическими признаками являлись левосторонне расположенная толстая кишка (30 %) и высокое стояние слепой кишки (39 %) (рис. 1).
Рис. 1. Левостороннее расположение толстой кишки (слева), высокое расположение слепой кишки (справа) у новорожденных, ирригография
Fig. 1. Left-sided location of the colon (left), high location of the cecum (right) in neonates, irrigography
В восьми случаях (18 %) левостороннее расположение толстой кишки сочеталось с атипичным расположением слепой кишки (высокое стояние или высокое и срединное положение) (рис. 2).
Рис. 2. Высокое и срединное положение слепой кишки у новорожденного, ирригография
Fig. 2. High and medial position of the cecum in a newborn, irrigography
Следует помнить, что по статистике у детей с мальротацией в 20 % случаев положение слепой кишки нормальное, при этом в норме у новорожденных положение слепой кишки очень вариабельно, поэтому этот признак следует сопоставлять с остальными клиническими и диагностическими данными [4].
Положение дуоденоеюнального перехода при проведении пассажа контрастного вещества оценить в большинстве случаев затруднительно, так как он экранировался контрастом в желудке или определялся поворотом тела новорожденного, на фоне которого нельзя было достоверно сделать выводы об отсутствии или наличии его атипичного расположения (рис. 3).
Рис. 3. Вероятно расположенный правее левой ножки тела позвонка дуоденоеюнальный переход, рентгеноскопия
Fig. 3. Duodenojejunal junction probably located to the right of the left vertebral body pedicle, fluoroscopy
У двоих детей отсутствовали ультразвуковые признаки, указывавшие на мальротацию. В одном случае взаиморасположение мезентериальных сосудов представлялось типичным (рис. 4), во втором получена информация только о наличии жидкости и расширенных петлях кишечника.
Рис. 4. Нормальное расположение мезентериальных сосудов у новорожденного, В-режим
Fig. 4. Normal location of mesenteric vessels in a newborn, B-mode
У одного пациента оценка взаиморасположения мезентериальных сосудов не представлялась возможной на фоне экранирования петлями кишечника, однако было выявлено преимущественное положение тонкой кишки справа, толстой — в области левого подреберья, что не позволило исключить наличие мальротации, а также в одном случае ультразвуковая картина указывала на высокую кишечную непроходимость.
Главный ультразвуковой признак, демонстрирующий наличие заворота средней кишки, так называемый whirlpool sign, или симптом водоворота (рис. 5), представляющий собой оборот брыжейки и ВБВ вокруг ВБА, частично или полноценно наблюдался у трех из четырех пациентов, которым интраоперационно был поставлен синдром Ледда.
Рис. 5. Whirlpool sign, или симптом водоворота, выявленный у новорожденного, цветовое допплеровское сканирование
Fig. 5. Whirlpool sign, or whirlpool symptom, detected in a newborn, color Doppler imaging
Данное состояние в трех случаях ликвидировано одноименной операцией, в четвертом случае были рассечены брюшные тяжи, расправлены брыжейка тонкой кишки, фиксирована в правом фланке живота восходящая ободочная кишка. От расположения толстой кишки в левый фланк было принято воздержаться в связи с правильной фиксацией поперечно-ободочной кишки и связки Трейтца. В остальных случаях атипичное взаиморасположение сосудов состояло преимущественно в правостороннем расположении артерии относительно вены (рис. 6).
Рис. 6. Атипичное расположение мезентериальных сосудов: артерия (сосуд с толстой, гиперэхогенной стенкой) расположена дорзальнее, правее; вена (сосуд с тонкой стенкой) — вентральнее и левее
Fig. 6. Atypical location of mesenteric vessels: the artery (vessel with a thick, hyperechogenic wall) is located dorsally, to the right; the vein (vessel with a thin wall) — ventrally and to the left
Остальные ультразвуковые признаки, указывавшие на вероятное наличие мальротации, представлены в таблице 3.
Таблица 3. Частота встречаемости ультразвуковых признаков мальротации с диагностированной врожденной патологией или с подозрением на нее (n = 48)
Table 3. Frequency of ultrasound signs of malrotation in diagnosed or suspected congenital pathology (n = 48)
Ультразвуковые признаки мальротации | Количество пациентов | |
абс. | % | |
Атипичное расположение мезентериальных сосудов (ВБА расположена правее ВБВ) | 35 | 73 |
Неполный оборот (круговое движение) ВБВ вокруг ВБА | 6 | 13 |
Симптом водоворота (whirlpool sign) | 1 | 2 |
Обратное расположение ВБА и ВБВ | 2 | 4 |
ВБВ совершает перекрест с ВБА | 1 | 2 |
Атипичное расположение третьей части двенадцатиперстной кишки | 1 | 2 |
Расположение тонкой кишки справа, толстой кишки в области левого подреберья | 1 | 2 |
Без изменений | 1 | 2 |
У двух пациентов выводы о наличии мальротации были сделаны только на основе клинической картины и проведенного УЗИ. В первом случае у ребенка верхняя брыжеечная вена (ВБВ) делала неполное кольцо вокруг верхней брыжеечной артерии, клинически наблюдался только синдром срыгиваний. Причиной невыполнения контрастного рентгенологического исследования стало тяжелое состояние пациента: у него наблюдались множественные врожденные аномалии развития, тяжесть состояния определял порок сердца, выполнены две операции на сердце, смерть наступила на втором месяце жизни. Таким образом, были все основания предполагать у ребенка врожденные пороки развития желудочно-кишечного тракта, синдром мальротации был вынесен в диагноз под вопросом.
Второй случай представлен мальротацией с заворотом, при УЗИ ВБВ была расположена циркулярно вокруг ВБА. Клинически отмечались срыгивания, отсутствие стула с третьего дня жизни, рвота, застойное содержимое в желудке. Выполнена операция Ледда, ликвидирован неосложненный заворот средней кишки и стеноз двенадцатиперстной кишки брюшинными тяжами.
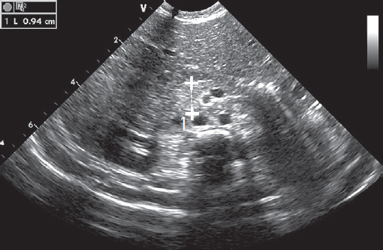
Одна из операций проведена на предмет высокой кишечной непроходимости, на УЗИ визуализировалась дилатированная двенадцатиперстная кишка — было высказано предположение о ее атрезии (рис. 7). Операция прошла без предварительного рентгенологического дообследования. При ревизии купол слепой кишки оказался высоко фиксирован эмбриональными тяжами к двенадцатиперстной кишке, тонкая и толстая кишка имели общую брыжейку, кишка спавшаяся, брыжейка перекручена на 180о. Тупо и остро разделены эмбриональные тяжи. При выделении от тяжей двенадцатиперстной кишки выявлена кольцевидная поджелудочная железа, фиксировавшая и сужавшая просвет кишки.
Рис. 7. Пример расширения двенадцатиперстной кишки у новорожденного на УЗИ, В-режим (слева). Второй сегмент двенадцатиперстной кишки у здорового новорожденного (справа)
Fig. 7. Example of duodenal dilatation in a newborn on ultrasound, B-mode (left). Second segment of the duodenum in a healthy newborn (right)
Визуализация третьего сегмента двенадцатиперстной кишки линейным датчиком 10–12 МГц в норме возможна всегда при достаточном опыте работы. Врачи не описывали третий сегмент в протоколе в большинстве случаев, если визуализировали его на месте и не было атипичного расположения сосудов брыжейки. Если сосуды расположены атипично, то третьего сегмента практически никогда нет в аорто-мезентериальном пространстве, поэтому врачи также не указывают его в заключении. Только если третий сегмент визуализируется на месте при атипичном взаиморасположении сосудов, это отмечается в протоколе, так как не является логичным.
Ультразвуковые и рентгенологические признаки у 30 пациентов (60 %) оказались случайной находкой при проведении исследования органов брюшной полости по поводу других патологий, так как у детей отсутствовали клинические признаки нарушений со стороны желудочно-кишечного тракта. Симптомы, указывавшие на патологию ЖКТ, у остальных 20 детей включали в себя срыгивания, задержку стула, вздутие живота, плохую прибавку в весе, неэффективное кормление.
Операции по ликвидации порока ротации и/или фиксации средней кишки с 2017 по 2024 г. проведены 17 детям (34 %) из 50. У четырех пациентов (24 %) интраоперационно обнаружена кольцевидная поджелудочная железа.
Диагноз мальротация из 50 обследованных детей был поставлен 40 пациентам (80 %), шестерым из них (15 %) — под вопросом. Один из пациентов при этом не имел рентгенологических признаков наличия мальротации, трем детям, у которых такие признаки отмечались, данное патологическое состояние не было вынесено в диагноз, как и ребенку, мальротация у которого выявлена в момент операции по поводу кишечной непроходимости.
У 12 пациентов (24 %) обнаружено сопутствующее аномальное расположение внутренних органов (situs ambiguus, situs inversus), десятерым из них (83 %) был поставлен диагноз мальротация.
При выписке у большинства детей (78 %) прогноз был благоприятным, однако 6 пациентов (12 %) являются инвалидами, пятеро детей (10 %) умерли.
Из 112 пациентов с ультразвуковыми признаками мальротации данный диагноз поставлен 37 детям (33 %) на основании клинической картины и результатов рентгенологического и/или ультразвукового исследования. Чувствительность данного метода достигает 100 %, однако специфичность составляет всего 1,3 % (табл. 4).
Таблица 4. Частота встречаемости ультразвуковых признаков мальротации с диагностированной врожденной патологией или с подозрением на нее (n = 48)
Table 4. Ultrasound data for calculating the sensitivity and specificity of the method
Результат | Больные | Здоровые |
Положительный результат теста | 37 | 75 |
Отрицательный результат теста | 0 | 1 |
Полученные данные не отражают истинную информативность УЗИ, так как в настоящее время практически всем пациентам с подозрением на мальротацию проводится ирригография. Однако, если ирригография выполняется недостаточно корректно (кишка заполняется контрастным препаратом частично) и у пациента нет клинической симптоматики кишечной непроходимости, дети могут быть недообследованными и диагноз мальротация в таком случае не выставляется.
ЗАКЛЮЧЕНИЕ
В связи с большим количеством детей, у которых отсутствуют клинические признаки мальротации, рационально рассмотреть возможность скринингового ультразвукового исследования органов брюшной полости с оценкой взаимного расположения мезентериальных сосудов при плановом осмотре новорожденного в месяц. Специалисту следует оценить данные структуры и при необходимости рекомендовать консультацию детского хирурга. При выявлении данной патологии или подозрении на нее важно, чтобы диагноз был озвучен родителям ребенка и отмечен в заключении, так как эта информация может помочь в проведении дифференциального диагноза в случае более поздней манифестации симптомов.
Формирование группы пациентов для дальнейшего рентгенологического обследования должно происходить на основе данных УЗИ, однако диагноз может быть подтвержден только в рамках комплексного обследования, при этом необходимо следить за корректным проведением диагностических исследований (правильное положение пациента, полное заполнение толстой кишки контрастным веществом). Поэтому, несмотря на стремление к снижению лучевой нагрузки на пациентов, которое следует осуществлять в первую очередь путем уменьшения количества рентгенограмм и серий рентгеноскопий на одного ребенка, полностью отказаться от рентгенологического метода исследования с использованием контрастного препарата в диагностике столь серьезного патологического состояния в настоящее время не представляется возможным.
ДОПОЛНИТЕЛЬНАЯ ИНФОРМАЦИЯ
Источник финансирования. Финансирование данной работы не проводилось.
Конфликт интересов. Авторы декларируют отсутствие явных и потенциальных конфликтов интересов, связанных с публикацией настоящей статьи.
Участие авторов. Все авторы внесли существенный вклад в проведение исследования и написание статьи, прочли и одобрили направление рукописи на публикацию.
Этическая экспертиза. Исследование проводилось в рамках диссертационной работы, одобренной этическим комитетом ФГБУ «НМИЦ им. В.А. Алмазова», выписка № 0310–22 из протокола заседания ЛЭК № 10-22 от 03.10.2022.
Об авторах
Кристина Сергеевна Анпилогова
НМИЦ им. В.А. Алмазова Минздрава России
Автор, ответственный за переписку.
Email: kristina-anp@mail.ru
ORCID iD: 0000-0002-1128-1587
аспирант кафедры лучевой диагностики
Россия, Санкт-ПетербургЯна Альбертовна Филин
НМИЦ им. В.А. Алмазова Минздрава России
Email: filin_yana@mail.ru
ORCID iD: 0009-0009-0778-6396
Россия, Санкт-Петербург
Елена Владимировна Полякова
НМИЦ им. В.А. Алмазова Минздрава России
Email: polenav@mail.ru
ORCID iD: 0009-0009-2359-6330
врач ультразвуковой диагностики
Россия, Санкт-ПетербургАнна Андреевна Сухоцкая
НМИЦ им. В.А. Алмазова Минздрава России
Email: sukhotskaya_aa@almazovcentre.ru
ORCID iD: 0000-0002-8734-2227
канд. мед. наук, доцент, заведующая отделением детской хирургии пороков развития и приобретенной патологии для новорожденных и детей грудного возраста
Россия, Санкт-ПетербургКонстантин Иванович Себелев
НМИЦ им. В.А. Алмазова Минздрава России
Email: ki_sebelev@list.ru
ORCID iD: 0000-0003-0075-7807
докт. мед. наук, профессор кафедры лучевой диагностики и медицинской визуализации с клиникой Института медицинского образования
Россия, Санкт-ПетербургГеннадий Евгеньевич Труфанов
НМИЦ им. В.А. Алмазова Минздрава России
Email: trufanovge@mail.ru
ORCID iD: 0000-0002-1611-5000
докт. мед. наук, профессор
Россия, Санкт-ПетербургСписок литературы
- Морозов Д.А., Пименова Е.С., Таточенко В.К. и др. Хирургическое лечение редкого сочетания мальротации кишечника со вторичной лимфангиэктазией // Вестник Российской академии медицинских наук. 2015. T. 70, № 1. C. 56–62. EDN: TKUYUB doi: 10.15690/vramn.v70i1.1232
- Bass L.M., Wershil B.K. Anatomy, histology, embryology, and developmental anomalies of the small and large intestine. In: Feldman M., Friedman L.S., Brandt L.J., eds. Sleisenger and Fordtran’s gastrointestinal and liver disease: Pathophysiology, Diagnosis, Management. Philadelphia, PA: Elsevier, 2015. P. 1649–1678.
- Тошматов Х.З., Тошбоев Ш.О. Аномальный эмбриогенез — как патогенетический фактор развития мальротации кишечника // Universum: химия и биология. 2021. № 3–1 (81). C. 25–27. EDN: LXDOUT
- Kim J., Yoo S.Y., Jeon T.Y., et al. Malrotation and Midgut Volvulus in Children: Diagnostic Approach, Imaging Findings, and Pitfalls // Journal of the Korean Society of Radiology. 2024. Vol. 85, N 1. P. 124–137. doi: 10.3348/jksr.2023.0002
- Фокин А.В., Алексеева Л.Н., Ваганов А.А., и др. Магнитно-резонансная томография всего тела у детей // Педиатрический вестник Южного Урала. 2018. № 2. C. 72–80. EDN: POIAIT
- Zhou L.Y., Li S.R., Wang W., et al. Usefulness of sonography in evaluating children suspected of malrotation: comparison with an upper gastrointestinal contrast study // Journal of Ultrasound in Medicine. 2015. Vol. 34, N 10. P. 1825–1832. doi: 10.7863/ultra.14.10017
- Binu V., Nicholson C., Cundy T., et al. Ultrasound imaging as the first line of investigation to diagnose intestinal malrotation in children: safety and efficacy // Journal of Pediatric Surgery. 2021. Vol. 56, N 12. P. 2224–2228. doi: 10.1016/j.jpedsurg.2021.04.009
- Yousefzadeh D.K., Kang L., Tessicini L. Assessment of retromesenteric position of the third portion of the duodenum: an US feasibility study in 33 newborns // Pediatric radiology. 2010. Vol. 40, N 9. P. 1476–1484. doi: 10.1007/s00247-010-1709-4
- Тошматов Х.З., Эргашев Б.Б., Ажимаматов Х.Т., Тошбоев Ш.О. Современные методы диагностики мальротации кишечника в педиатрической хирургии // Новый день в медицине. 2020. № 1 (29). P. 413–416. EDN: AATEIY
- Strouse P.J. Ultrasound for malrotation and volvulus: has the time come? // Pediatric radiology. 2021. Vol. 51, N 4. P. 503–505. doi: 10.1007/s00247-020-04919-3
Дополнительные файлы










