Transjugular intrahepatic portosystemic shunting in combined treatment of a patient with decompensated liver cirrhosis and malignant neoplasm of the uterus (clinical case)
- Authors: Alentyev S.A.1, Onnicev I.E.1, Berlev I.2, Muzharovskiy A.L.1
-
Affiliations:
- S. M. Kirov Military Medical Academy
- N. N. Petrov National Medical Research Center of Oncology of the Ministry
- Issue: Vol 39, No 3 (2020)
- Pages: 91-95
- Section: Original articles
- Submitted: 09.04.2021
- Published: 07.10.2020
- URL: https://journals.eco-vector.com/RMMArep/article/view/64991
- DOI: https://doi.org/10.17816/rmmar64991
- ID: 64991
Cite item
Full Text
Abstract
Nowadays the treatment of patients with malignant neoplasms of the abdominal organs against the background of decompensated liver cirrhosis is largely an unsolved problem. Complications of portal hypertension syndrome such as ascites, hypersplenism, recurrent bleeding from the veins of the esophagus prevent the implementation of radical surgical treatment. Low trauma of endovascular methods of treatment, low level of complications and mortality are the main advantages of interventional techniques that make it possible to prepare a patient with portal hypertension syndrome for further radical treatment of oncological disease. The presented clinical case describes the results of a combined approach to the treatment of a patient with complications of portal hypertension syndrome and a competing disease — a giant tumor of the uterus. The patient was denied in surgical treatment for the neoplasm due to the presence of decompensated cirrhosis. Liver transplantation is not possible due to the presence of cancer. Transjugular intrahepatic portosystemic shunting led to relief of diuretic-resistant ascites, regression of the degree of esophageal varicose veins, which made it possible to remove the tumor with extirpation of the uterus with appendages. Up to now the observation period for the patient is more than 12 years (4 figs, bibliography: 7 refs).
Full Text
ВВЕДЕНИЕ
На сегодняшний день в мире проживает более 500 миллионов человек, инфицированных вирусами гепатита B и С [1, 2], что объясняет большое количество пациентов, страдающих от осложнений синдрома портальной гипертензии, обусловленного декомпенсированным циррозом печени. Проблема лечения осложнений синдрома портальной гипертензии является предметом оживленных дискуссий в отечественной и зарубежной литературе [3–5]. Низкая эффективность лечения, тяжелое течение основного заболевания и неблагоприятный прогноз определяют высокую степень актуальности этой проблемы.
Внутрипеченочный блок портального кровотока является самой распространенной причиной развития пищеводных кровотечений и асцита [3, 6]. В настоящее время единственным радикальным способом лечения при циррозе печени является ее трансплантация. Однако многие пациенты не доживают до оперативного вмешательства и погибают от прогрессирующих осложнений портальной гипертензии, нарастающей печеночной недостаточности, находясь на листе ожидания. Варикозное расширение вен пищевода и желудка, кровотечения из них, диуретикорезистентный асцит, гиперспленизм являются опасными проявлениями портальной гипертензии, которые усложняют лечение сопутствующих заболеваний [5, 7]. Пациенты с декомпенсированным циррозом не переносят традиционные варианты оперативного лечения синдрома портальной гипертензии. В то же время наличие конкурирующего злокачественного заболевания у таких больных в большинстве случаев обрекает их на гибель. Малая травматичность эндоваскулярных методов лечения, хорошая их переносимость, низкий уровень осложнений и летальности — основные преимущества интервенционных методик, позволяющие подготовить пациента с синдромом портальной гипертензии к дальнейшему радикальному лечению онкологического заболевания.
ЦЕЛЬ
Продемонстрировать возможности интервенционной хирургии в комбинированном лечении декомпенсированного цирроза печени у больных со злокачественными новообразованиями органов брюшной полости и малого таза, когда осложнения синдрома портальной гипертензии являются противопоказаниями к выполнению радикального оперативного лечения.
МАТЕРИАЛЫ И МЕТОДЫ
Использованы результаты комбинированного лечения пациентки клиники общей хирургии ВМедА с осложнениями синдрома портальной гипертензии на фоне декомпенсированного цирроза печени при наличии новообразования матки.
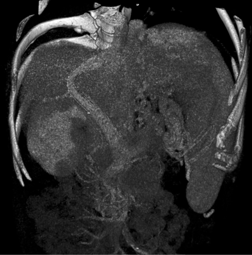
Рис. 1. Контрольная портография после выполнения TIPS
РЕЗУЛЬТАТЫ
Клинический случай. Больная К., 50 лет, история болезни № 8518, наблюдалась в клинике по поводу цирроза печени класса С (Child-Pugh), (anti-HCV+) синдрома портальной гипертензии, варикозного расширения вен пищевода 4-й ст., рецидивирующих пищеводных кровотечений, спленомегалии, гиперспленизма, напряженного диуретикорезистентного асцита. Конкурирующее заболевание — гигантская опухоль брюшной полости и малого таза. Из анамнеза: пациентка многократно госпитализировалась в хирургические стационары города по поводу напряженного диуретикорезистентного асцита на фоне цирроза печени, рецидивирующих пищеводных кровотечений. Больной выполнялись многократные лапароцентезы (в период с 09.2006 по 10.2007 г. 1 раз в 2 мес.). Кроме того, больная с 2006 г. наблюдалась в НИИ онкологии имени Н. Н. Петрова по поводу новообразования малого таза, брюшной полости (новообразование тела матки, ацикличные маточные кровотечения). В оперативном лечении больной отказано в связи с наличием цирроза печени класса С (Child-Pugh), диуретикорезистентного асцита, гиперспленизма, тромбоцитопении тяжелой степени, выраженного варикозного расширения вен пищевода с высоким риском кровотечений, печеночной недостаточности.
В клиниках общей хирургии и госпитальной хирургии ВМедА больной выполнены 2 операции криосорбции, ультрафильтрации и реинфузии асцитической жидкости, 2 сеанса эндоскопического лигирования вен пищевода. С целью коррекции тромбоцитопении пациентке 12.02.2008 г. произведена эмболизация селезеночной артерии с положительным эффектом. Уровень тромбоцитов в периферической крови повысился с 25–40 × 109/л до 75–100 × 109/л. Однако асцитический синдром у больной не купировался. Решением консилиума традиционные шунтирующие операции у пациентки признаны невозможными в связи с декомпенсацией цирроза печени и наличием гигантской опухоли брюшной полости и малого таза (более 20 см в диаметре). В то же время оперативное лечение по поводу опухоли было связано с высоким риском в связи с наличием диуретикорезистентного асцита, выраженного варикозного расширения вен пищевода, печеночной недостаточности. Кроме того, больной было отказано в постановке на лист ожидания трансплантации печени из-за наличия опухоли. Учитывая рецидивирующее течение диуретикорезистентного асцита, высокий риск рецидива пищеводных кровотечений, пациентке 05.03.2008 г. выполнено трансъюгулярное интрапеченочное портосистемное шунтирование (TIPS) под местной анестезией (рис. 1).
Особенностью оперативного вмешательства было проведение транспеченочной пункции воротной вены при смещенной печени (за счет опухоли больших размеров). Кроме того, у пациентки отмечены выраженная деформация и смещение верхней брыжеечной вены, ствола воротной вены. После установки стента произошло снижение портального давления с 550 до 280 мм вод. ст. Послеоперационный период протекал без осложнений. У пациентки отмечено купирование диуретикорезистентного асцита. Варикозное расширение вен пищевода снизилось до 1–2 ст.
Через 2 мес. (07.05.2008 г.) пациентка оперирована по поводу гигантской опухоли малого таза и брюшной полости (рис. 2). Интраоперационно опухоль исходила из матки и занимала большую часть брюшной полости со смещением петель тонкой кишки влево и вверх, дислокацией печени вверх. Регионарных и отдаленных метастазов не выявлено.
Рис. 2. Интраоперационное фото. Опухоль диаметром до 30 см исходит из матки
Выполнено удаление опухоли с экстирпацией матки с придатками Piver I тип (рис. 3 А, Б). Масса удаленной опухоли — 3800 г. Гистологическое заключение — лейомиосаркома матки I стадии на фоне множественных миоматозных узлов (T1bN0M0). Послеоперационный период протекал без осложнений. Прогрессирования асцита не отмечено.
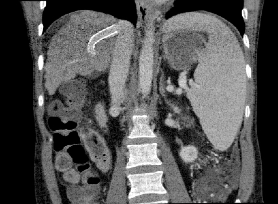
Пациентка наблюдается в течение 12 лет. При регулярных контрольных обследованиях признаков рецидива онкологического заболевания не выявлено. В 2017 г. пациентка прошла полный курс безинтерфероновой терапии противовирусными препаратами прямого действия по поводу хронического вирусного гепатита С. На фоне элиминации вируса отмечена положительная динамика в функциональных показателях печени. У пациентки на настоящий момент печеночная недостаточность класса А (Child-Pugh). При выполнении контрольной КТ-ангиографии TIPS проходим (рис. 4 А, Б). Асцита нет. Варикозное расширение вен пищевода 1-й ст. Прогрессирования печеночной энцефалопатии не отмечено. Пациентка профилактически получает препараты лактулозы и орнитина.
ЗАКЛЮЧЕНИЕ
Данное клиническое наблюдение демонстрирует миниинвазивность и широкие возможности современной интервенционной хирургии, что позволяет эффективно применять эндоваскулярные методики в лечении и профилактике осложнений синдрома портальной гипертензии, в том числе у пациентов с онкологической патологией.
УВЕДОМЛЕНИЕ
Авторы внесли равный вклад в данную работу и сообщают об отсутствии какого-либо конфликта интересов.
ACKNOWLEDGMENT
Authors contributed equally into this work and declare no conflict of interest.
СПИСОК ЛИТЕРАТУРЫ / REFERENCES
About the authors
Sergey A. Alentyev
S. M. Kirov Military Medical Academy
Author for correspondence.
Email: koptata@mail.ru
M. D., D. Sc. (Medicine), Associate Professor, Associate Professor of the General Surgery Department
Russian Federation, bld. 6, Akademika Lebedeva str., Saint Petersburg, 194044Igor E. Onnicev
S. M. Kirov Military Medical Academy
Email: koptata@mail.ru
M. D., D. Sc. (Medicine), Senior Lecturer of the General Surgery Department
Russian Federation, bld. 6, Akademika Lebedeva str., Saint Petersburg, 194044Igor Berlev
N. N. Petrov National Medical Research Center of Oncology of the Ministry
Email: koptata@mail.ru
M. D., D. Sc. (Medicine), Professor, the Head of the Scientific Gynecological Oncology Department
Russian Federation, bld. 68A, Leningradskaya str., Pesochny settlement, Saint Petersburg, 197758Anton L. Muzharovskiy
S. M. Kirov Military Medical Academy
Email: koptata@mail.ru
M. D., Ph. D. (Medicine), Surgeon of the General Surgery Department
Russian Federation, bld. 6, Akademika Lebedeva str., Saint Petersburg, 194044References
Supplementary files









