Photodynamic therapy in combined treatment of cholangiocellular carcinoma (case report)
- Authors: Alentyev S.A.1, Kotiv B.N.1, Shershen D.P.1, Boyarinov D.2, Plotnikova D.Y.1, Molchanov A.A.1
-
Affiliations:
- S. M. Kirov Military Medical Academy
- I. I. Mechnikov North-West State Medical University
- Issue: Vol 39, No 3 (2020)
- Pages: 96-99
- Section: Original articles
- URL: https://journals.eco-vector.com/RMMArep/article/view/64992
- DOI: https://doi.org/10.17816/rmmar64992
- ID: 64992
Cite item
Full Text
Abstract
In this article a case report of an effective combined treatment of a patient with locally advanced cholangiocellular cancer who underwent neoadjuvant regional chemotherapy, extended surgery, adjuvant regional chemotherapy, as well as a set of minimally invasive endoscopic and percutaneous endobiliary techniques, which allowed the progression of the disease, including to increase the patient´s survival rate is presented. (5 figs, bibliography: 5 refs).
Full Text
ВВЕДЕНИЕ
Неуклонно растет число пациентов со злокачественными новообразованиями печени и желчных протоков. Холангиоцеллюлярный рак является вторым по распространенности злокачественным новообразованием печени, составляя приблизительно 15% всех первичных опухолей печени и 3% рака желудочно-кишечного тракта [1]. Лечение данной категории больных представляет определенные трудности. Частота рецидивов после выполнения радикального оперативного вмешательства составляет более 50% [2]. При этом пятилетней выживаемости удается достичь лишь в трети случаев, медиана выживаемости составляет 19 мес. [3]. Большое значение в настоящее время имеют минимально инвазивные вмешательства, проводимые наряду с хирургическим лечением и химиотерапией. Применение комбинированных методов лечения, в том числе с использованием методов локального воздействия, позволяет достичь максимальной выживаемости [4].
ЦЕЛЬ
Показать возможности миниинвазивных методик в комбинированном лечении пациентов с холангиоцеллюлярным раком, осложненным механической желтухой.
РЕЗУЛЬТАТЫ
Клинический случай. Пациентка Д., 66 лет. При плановом обследовании по поводу желчекаменной болезни в январе 2018 г. было выявлено новообразование S7, S8 печени с переходом на S4. По данным КТ: в S7, S8 и S4 печени визуализировалось овальное образование неоднородной структуры, гиподенсное относительно паренхимы печени, при введении контрастного вещества отмечалось его накопление периферическими отделами с распространением к центру. Размер образования 6,8 × 7,3 × 8,2 см, объем образования 270 мл (27% от объема правой доли). Образование прорастает в купол диафрагмы. Проведена предоперационная селективная артериальная химиоинфузия с введением 150 мг оксалиплатина и 1500 мг гемцитабина. Осложнений не наблюдалось. В феврале 2018 г. выполнено оперативное лечение — расширенная правосторонняя гемигепатэктомия с резекцией диафрагмы справа с лимфодиссекцией ворот печени по ходу общей печеночной артерии.
По данным гистологического исследования послеоперационного материала — холангиоцеллюлярный рак печени (опухолевые узлы 7 × 8 × 4 см и 0,7 см в диаметре с инвазией в диафрагму). В лимфатических узлах и жировой клетчатке метастазов не выявлено. Послеоперационный диагноз: холангиоцеллюлярная карцинома S7, S8, S4 печени рТ4N0M0. Послеоперационный период без осложнений. В послеоперационном периоде проведена селективная артериальная химиоинфузия с введением 150 мг оксалиплатина и 1500 мг гемцитабина.
Пациентка взята под динамическое наблюдение. В апреле 2018 г. отмечено прогрессирование заболевания — местный рецидив в виде опухолевой стриктуры в верхней трети гепатикохоледоха. При холангиографии — внутрипеченочные желчные протоки не расширены, в проекции ворот печени определяется опухолевая стриктура протяженностью 1 см. Выполнено эндоскопическое назобилиарное дренирование внутрипеченочных желчных протоков с последующим эндоскопическим раздельным стентированием сегментарных протоков временными стентами диаметром 8,5 F, длиной 14 см. В удовлетворительном состоянии пациентка выписана. В мае 2018 г. пациентке чрескожно через правую внутреннюю яремную вену в верхнюю полую вену имплантирована инфузионная венозная порт-система Tita Jet Light Set. В последующем проведено 14 курсов лечебной полихимиотерапии по схеме FOLFIRI плюс бевацизумаб с признаками частичного ответа опухоли. В сентябре 2018 г., а затем в январе 2019 г. в плановом порядке пациентке выполнялось эндоскопическое рестентирование гепатикохоледоха временными билиарными стентами. В апреле 2019 г. развилось осложнение в виде дислокации стента. По данным КТ стент определялся в просвете тонкой кишки, отмечалось циркулярное утолщение стенок горизонтальной и восходящей частей двенадцатиперстной кишки, а также проксимальной половины тонкой кишки до уровня расположения стента, уплотнение прилежащей к стенкам кишки клетчатки. С учетом развития спаечной болезни, инфильтрата брюшной полости выполнены лапаротомия, энтеролиз, энтеротомия, удаление инородного тела тонкой кишки, санация и дренирование брюшной полости Послеоперационный период без особенностей.
В октябре 2019 г. у пациентки появилась жалобы на желтушность кожного покрова и слизистых, общую слабость, умеренную, ноющую боль в эпигастральной и правой подреберной областях, повышение температуры тела до фебрильных цифр. Больная была госпитализирована с диагнозом «механическая желтуха, холангит». Попытки эндоскопического редренирования желчных протоков оказались безуспешны. При выполнении чрескожной чреспеченочной холангиографии в месте слияния культи правого долевого и левого долевого протоков с переходом на гепатикохоледох определялась злокачественная стриктура (Bismuth II). Контрастный препарат в гепатикохоледох, двенадцатиперстную кишку не поступал. Выполнено чрескожное чреспеченочное наружновнутреннее дренирование желчных протоков единственной левой доли печени. Установлен желчный дренаж диаметром 8,5 F (рис. 1).
Рис. 1. Чрескожное чреспеченочное наружновнутреннее дренирование желчных протоков единственной левой доли печени
Послеоперационный период без осложнений. Проводилась комплексная консервативная терапия. Удалось добиться уменьшения симптомов механической желтухи, холангит был купирован. В декабре 2019 г. в плановом порядке выполнено чрескожное чреспеченочное наружновнутреннее редренирование желчных протоков единственной левой доли печени, а также при помощи эндоскопических щипцов из зоны стриктуры взята чрескожная чреспеченочная эндобилиарная биопсия (рис. 2).
Рис. 2. Чрескожная чреспеченочная эндобилиарная биопсия опухоли гепатикохоледоха
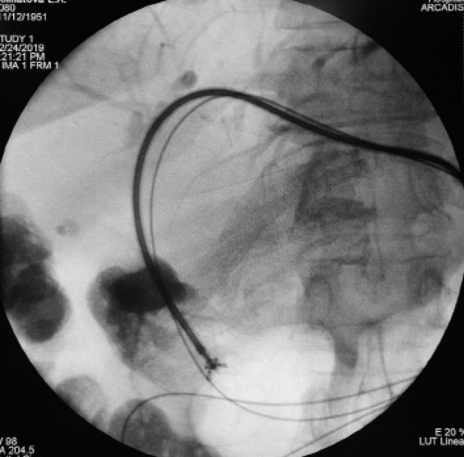
Заключение гистологического исследования: на фоне муцина гландулярный эпителий протокового типа и пласты деформированных атипичных клеток аденогенной карциномы. Принято решение о выполнении фотодинамической терапии. В плановом порядке в январе 2020 г. больной проведена чрескожная чреспеченочная эндобилиарная фотодинамическая терапия холангиокарциномы гепатикохоледоха (рис. 3, 4).
Рис. 3. Чрескожная чреспеченочная эндобилиарная фотодинамическая терапия холангиокарциномы. Стрелкой указан кончик микрокатетера (начало процедуры)
Рис. 4. Чрескожная чреспеченочная эндобилиарная фотодинамическая терапия холангиокарциномы. Стрелкой указан кончик микрокатетера (конец процедуры)
При этом использовали фотосенсибилизатор второго поколения «Радахлорин®», который вводили за 2 ч до светового воздействия. Облучение опухоли проводилось с использованием гибкого оптоволоконного световода через интродьюсер 7 F в непрерывном режиме, с длиной волны 662 нм и мощностью излучения 1 W. Общая доза облучения составила 700 Дж, суммарная экспозиция — 11 мин 40 с. По завершении сеанса восстанавливалось наружновнутреннее холангиодренирование. Послеоперационный период гладкий.
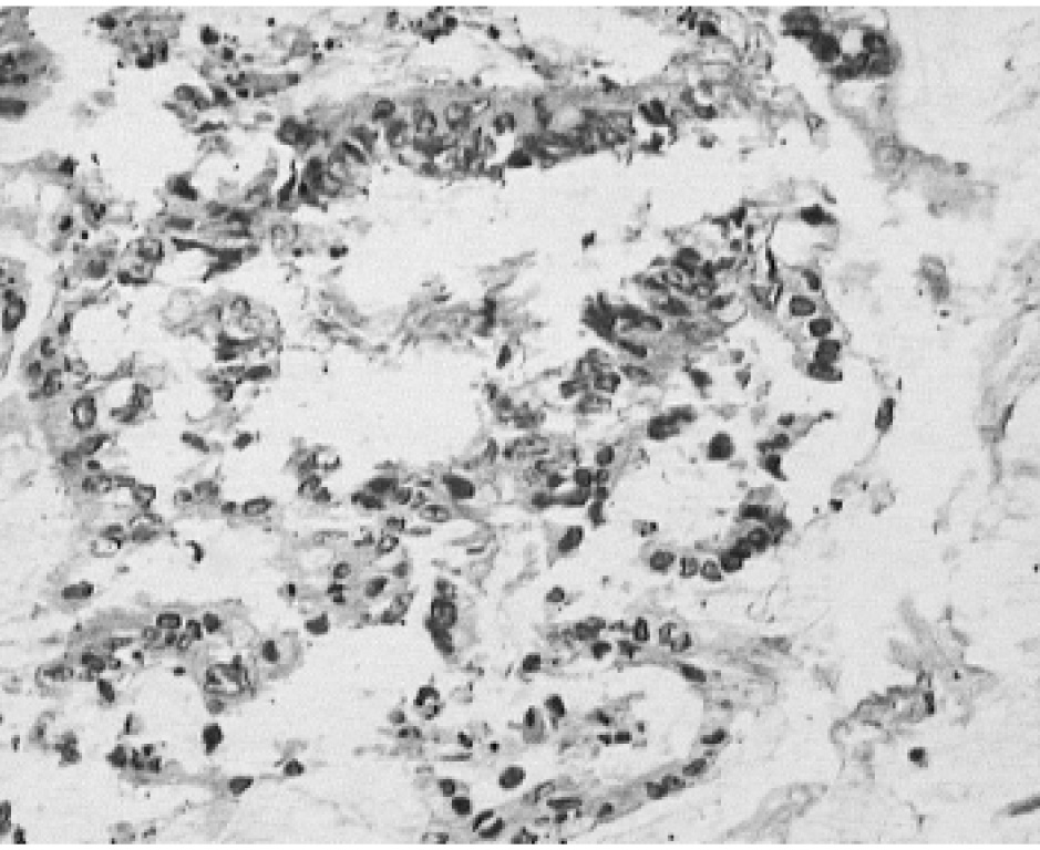
Через месяц выполнено чрескожное чреспеченочное стентирование гепатикохоледоха с установкой металлического саморасширяющегося стента Hanarostent SHS-10-100-060 (размер стента 10 на 100 мм). На первом этапе процедуры также была проведена повторная эндобилиарная биопсия из области опухолевой стриктуры. По данным гистологического исследования выявлен некроз опухолевой ткани, отмечена III степень лечебного патоморфоза по классификации O. Dworak и соавт. (рис. 5) [5].
Рис. 5. Микрофото. Ув.×250. Окраска гематоксилин и эозин. Некроз холангиокарциномы после ФДТ — III степень лечебного патоморфоза по классификации O. Dworak и соавт. [5]
Послеоперационный период без особенностей. В июне 2020 г. в связи с недостаточной декомпрессией желчных протоков выполнено чрескожное чреспеченочное рестентирование гепатикохоледоха с установкой металлического саморасширяющегося стента по методике стен в стент из холедоха в двенадцатиперстную кишку. В послеоперационном периоде пациентке проводится полихимиотерапия по схеме XELOX плюс бевацизумаб. Выживаемость от момента постановки диагноза составляет 32 мес.
Таким образом, клиническое наблюдение демонстрирует высокую эффективность и безопасность сочетанного применения малоинвазивных технологий. Благодаря комплексному подходу удалось увеличить выживаемость пациентки с местнораспространенным холангиоцеллюлярным раком, несмотря на рецидив после радикального оперативного лечения.
УВЕДОМЛЕНИЕ
Авторы внесли равный вклад в данную работу и сообщают об отсутствии какого-либо конфликта интересов.
ACKNOWLEDGMENT
Authors contributed equally into this work and declare no conflict of interest.
About the authors
Sergey A. Alentyev
S. M. Kirov Military Medical Academy
Author for correspondence.
Email: koptata@mail.ru
M. D., D. Sc. (Medicine), Associate Professor, Associate Professor of the General Surgery Department
Russian Federation, bld. 6, Akademika Lebedeva str., Saint Petersburg, 194044Bogdan N. Kotiv
S. M. Kirov Military Medical Academy
Email: koptata@mail.ru
M. D., D. Sc. (Medicine), Professor, Deputy Head of the Academy for Academic and Scientific Work
Russian Federation, bld. 6, Akademika Lebedeva str., Saint Petersburg, 194044Dmitriy P. Shershen
S. M. Kirov Military Medical Academy
Email: koptata@mail.ru
M. D., Ph. D. (Medicine), Senior Lecturer of the General Surgery Department
Russian Federation, bld. 6, Akademika Lebedeva str., Saint Petersburg, 194044Dmitry Boyarinov
I. I. Mechnikov North-West State Medical University
Email: koptata@mail.ru
M. D., Ph. D. (Medicine), Associate Professor of the General Surgery Department
Russian Federation, bld. 6, Akademika Lebedeva str., Saint Petersburg, Russia, 194044Darya Y. Plotnikova
S. M. Kirov Military Medical Academy
Email: koptata@mail.ru
Resident of the General Surgery Department
Russian Federation, bld. 6, Akademika Lebedeva str., Saint Petersburg, 194044Alexander A. Molchanov
S. M. Kirov Military Medical Academy
Email: koptata@mail.ru
the Head of the Clinic General Surgery Department
Russian Federation, bld. 6, Akademika Lebedeva str., Saint Petersburg, 194044References
Supplementary files








