Ischemic stroke in combat conditions. Vasculocerebral injury
- Authors: Litvinenko I.V.1, Tsygan N.V.1, Kolomentsev S.V.1, Golokhvastov S.Y.1, Andreev R.V.1, Odinak M.M.1, Svistov D.V.1, Savello A.V.1, Kitachev K.V.1, Nikishin V.O.1
-
Affiliations:
- Military Medical Academy
- Issue: Vol 44, No 4 (2025)
- Pages: 367-380
- Section: Conference Proceedings
- Submitted: 14.10.2025
- Accepted: 27.10.2025
- Published: 05.11.2025
- URL: https://journals.eco-vector.com/RMMArep/article/view/693124
- DOI: https://doi.org/10.17816/rmmar693124
- EDN: https://elibrary.ru/JJJOYV
- ID: 693124
Cite item
Abstract
During armed conflicts, the incidence of ischemic stroke among military personnel increases substantially compared with peacetime. In addition to the elevated risk of combat-related injuries, military service members are exposed to intense physical and emotional stress and extreme environmental factors, which contribute to the toll of both common (atherosclerotic arterial changes, diabetes mellitus, obesity, cardiovascular diseases) and specific risk factors more typical of young adults (cardiac sources of embolism, non-inflammatory and inflammatory arteriopathies, coagulation disorders), as well as generate additional stroke risk factors unique to combat conditions. Firearm injuries have a special place in the pathogenesis of combat-related ischemic stroke. We have proposed and substantiated the term vasculocerebral injury. It is a distinct type of combat firearm injury, representing a cascade of sequential interrelated pathological changes occurring in the damaged major precerebral arteries (aorta, brachiocephalic trunk, common and internal carotid arteries, vertebral arteries), cerebral arteries, their vascular territories, blood cellular elements, and surrounding tissues as a result of the complex damaging effect of a high-energy projectile (shock wave, lateral impact energy, vortex flow), ultimately leading to pathophysiologically heterogeneous secondary acute cerebrovascular lesions, including ischemic stroke. Clinical cases of vasculocerebral injury are presented. Early identification of cervical and cranial vascular injuries contributes to timely and optimal treatment tactic selection (surgical, conservative, including differentiated antithrombotic therapy) and improves ischemic stroke prevention during combat operations.
Full Text
During active combat, the incidence of ischemic stroke among service members is higher than during peacetime. In some cases, ischemic stroke results from injuries and trauma sustained during combat missions. Military personnel face increased risk of combat injuries, intense physical and emotional stress, and extreme factors that may lead to failure of adaptive mechanisms, including cardiovascular capacity. The severity of physical and emotional stress experienced by a combatant and the degree of exposure to extreme conditions are proportional to their proximity to the line of direct combat engagement. These characteristics manifest major risk factors for ischemic stroke and introduce additional risks specific to combat conditions (Fig. 1).
Fig. 1. Additional risk factors for ischemic stroke in combat conditions.
The ratio of ischemic strokes resulting from major risk factors to those resulting from injuries and trauma varies based on several factors. These factors include the nature of combat operations, types of weapons used, age characteristics of combatants, climatic conditions, quality of nutrition, availability of water supplies, and capability for evacuation and medical care access.
Despite the young average age of service members (mostly individuals aged <45 years), approximately one-third of their ischemic strokes are associated with atherosclerosis, as the prevalence of major, modifiable vascular risk factors in young patients has increased over recent decades [1–4].
Elevated blood pressure and hypertension that first develops during combat operations both result from impaired adaptive responses to environmental conditions in individuals with genetically predetermined abnormalities of blood pressure regulation. Under constant combat stress conditions (acute and chronic), an imbalance between the pressor and depressor mechanisms of neurohumoral regulation affects circulating blood volume, cardiac output, arteriolar tone, and vascular wall condition. Subsequently, hypertension or the decompensation of preexisting hypertension may develop due to excessive physical strain (especially in individuals with low exercise tolerance), emotional overload, sleep–wake cycle disruption, chronic sleep deprivation, water–electrolyte imbalances (e.g., dehydration), irregular intake of previously prescribed medications (e.g., antithrombotic, antihypertensive, and antiarrhythmic agents), smoking, use of psychostimulants and energy drinks, alcohol abuse, and excessive coffee consumption.
Other causes of ischemic stroke in young individuals include conditions more typical in older adults, such as diabetes mellitus, obesity, and heart disease. Under specific circumstances wherein rapid reinforcement of the armed forces is required, the average age of military personnel (particularly enlisted personnel and junior command staff) may increase. This leads to a higher prevalence of known (but not disqualifying for military service) chronic diseases and previously undiagnosed conditions that are risk factors for ischemic stroke. These factors should be considered when planning medical support for daily military operations and preparing units for specialized tasks. Stroke occurrence during a combat mission poses risks to the individual and the entire unit, as 70%–90% of cases involve motor deficits that require external assistance for evacuation.
Moreover, the causes of stroke in young military personnel may include diseases and conditions that occur predominantly in this age group and are relatively uncommon in the general population:
- Cardiac sources of embolism (patent foramen ovale, cardiomyopathies, infectious and noninfectious endocarditis, intracardiac tumors [myxomas], valvular heart disease, myocarditis, and intracardiac thrombus)
- Noninflammatory arteriopathies (spontaneous dissection associated with fibromuscular dysplasia, reversible cerebral vasoconstriction syndrome, moyamoya disease, Fabry disease, CADASIL, CARASIL; etc.)
- Inflammatory arteriopathies (primary angiitis of the central nervous system; giant cell arteritis; vasculitis associated with diffuse connective tissue diseases; and infectious vasculitis in the context of syphilis, tuberculosis, other bacterial infections, varicella-zoster virus infection, HIV infection, etc.)
- Coagulation system disorders leading to thrombophilic states (antiphospholipid syndrome; sickle cell disease; polycythemia vera; essential thrombocythemia; hereditary thrombophilias associated with protein C and S deficiencies; mutations in genes encoding coagulation factor V [Leiden mutation], prothrombin, and antithrombin III; folate cycle abnormalities; etc.)
- Migraine (predominantly in female service members), mitochondrial disease (MELAS), use of psychoactive substances, HIV infection, and cerebral venous thrombosis.
Regardless of age, oncologic vigilance is required in patients with ischemic stroke because of the nearly twofold increase in stroke risk among individuals with cancer [5, 6].
Gunshot wounds and injuries play a key role in the pathogenesis of ischemic stroke occurring in combat conditions, as their prevalence naturally increases during armed conflicts. Injuries to certain anatomical regions and internal organs (e.g., the face, neck, cervical spine, chest, and heart) may carry direct and indirect risks for the development of ischemic stroke, the study of which is of particular interest in military neurology. A distinctive feature of modern warfare is the potential use of high-precision missile and artillery weapons by the parties in conflict and engagement of targets at considerable distances from the line of contact. This significantly increases the number of individuals with gunshot wounds among combatants near and away from the line of contact, those supporting the conflicting parties (e.g., volunteers, medical facility personnel, firefighters, and others), and civilians.
Notably, neck wounds pose the highest risk of ischemic stroke, although they occur less frequently during hostilities than injuries to other anatomical regions. Most sources estimate that neck wounds account for 0.5%–2% of all combat-related injuries [7–9]. During medical evacuation, neck injuries account for 1.7%–4.9% of all fatal outcomes [10]. Vascular injuries in neck wounds occur in 5%–13% of cases during wartime [11], and up to 95% of wounded individuals with vascular injuries of the neck die at the scene or during transport to medical facilities; among those who undergo surgical treatment, mortality ranges from 14% to 40% [12, 13].
According to Zavrazhnov (2005), the characteristics of modern neck wounds in military and civilian settings include the following:
- A high proportion of multiple (25%–31%) and combined (54%–66%) injuries by localization;
- The presence of multi-organ (16%–26%), severe (40%–45%), and extremely severe (11%–14%) neck injuries [10].
Direct carotid artery injury carries high mortality due to rapid and massive blood loss and hemorrhagic shock. Injury to the carotid artery results in heavy external pulsatile bleeding or profuse bleeding into the soft tissues, leading to pulsatile hematoma and neck edema. Modern firearms and projectiles can change trajectory upon entering body tissues; thus, vigilance regarding asymptomatic injuries of the precerebral arteries is critical in cases of direct neck wounds and wounds of the maxillofacial region, chest, upper extremities, back, and abdomen. In specialized surgical hospitals, the frequency of these asymptomatic injuries in such regions ranges from 7% to 38% [14, 15].
Despite long-standing research into the possibilities and tactics of providing care to patients with neck wounds, studies on the epidemiology of ischemic stroke associated with gunshot trauma is limited. In most sources, interest in studying stroke in the context of major neck artery injuries is associated with establishing an effective surgical intervention strategy and preventing perioperative complications. Available material is primarily based on experience gained from treating patients with stab or blunt neck injuries in peacetime. Studies on the causes of stroke in gunshot injuries to the precerebral arteries are scarce.
Data on the frequency of stroke in major cervical vessel injuries vary widely and demonstrate a favorable temporal trend, with decreasing incidence and improved survival, which can be explained by advances in medical care.
According to Ramadan et al., internal carotid artery injuries were less common than common carotid artery injuries, but were associated with higher mortality (18%–21%) and a higher rate of stroke (41%) [16].
In a study by Trunin et al. of 496 patients with neck injuries (stab and cut wounds, 92.5%; gunshot and shrapnel wounds, 5.9%), injuries of the common, external, and internal carotid arteries and their branches occurred in 16% of cases, while vertebral artery injuries occurred in 1.2% of cases. Cerebral perfusion disorders were diagnosed in 20% of patients with common or internal carotid artery injuries [17].
According to Plotkin et al.’s study of 4723 patients (National Trauma Data Bank, USA; observation period, 2007–2018; 55.7% gunshot wounds, 44.1% stab wounds), penetrating carotid artery injuries (e.g., the external carotid arteries) were accompanied by stroke in 6% of cases and death in 22% of cases. In the group of patients with injuries of the common and internal carotid arteries, the stroke rate was 9.8% [8].
The incidence of vertebral artery injury in closed cervical spine trauma is 0.53% [18]. In a meta-analysis of 523 patients, Goyal et al. found that approximately 9% of closed vertebral artery injuries resulting from cervical spine trauma led to ischemic stroke [19]. Moreover, Wathen reported that among 67 patients with gunshot wounds to the cervical spine, 40 (59.7%) had concomitant cerebrovascular disorders [20].
Noteworthy are data from a comparative study of treatment and outcomes in 157 patients (56 [35.7%] service members and 101 [64.3%] civilians) with penetrating carotid artery injuries from the US Department of Defense Trauma Registry (2002–2015) and the American Association for the Surgery of Trauma Vascular Injury Registry (2012–2018). With comparable mortality rates (12.5% and 17.8%, respectively; p = 0.52), the frequency of stroke was higher among service members (41.1% and 13.9%, respectively; p < 0.001). The authors correlate this difference with the greater severity of injuries in patients with gunshot trauma.
Given the numerous features and complexity of the pathogenesis of ischemic stroke developing as a consequence of traumatic injury to the major precerebral arteries (the aorta, brachiocephalic trunk, common and internal carotid arteries, and vertebral arteries) caused by gunshot wounds to the face, neck, and chest, these patients should be classified as a separate group: patients with vasculocerebral trauma.
Vasculocerebral trauma is a distinct type of combat-related gunshot injury characterized by sequential, interrelated pathologic changes. These changes develop within a damaged major precerebral artery (e.g., the aorta, brachiocephalic trunk, common and internal carotid arteries, and vertebral arteries) or cerebral artery, the arteries of its vascular territory, and the formed elements of the blood and surrounding tissues, all resulting from the injuring effects of a high-energy projectile (blast wave, projectile impact, lateral energy, and vortex flow). These processes lead to the development of pathogenetically heterogeneous secondary acute cerebrovascular injury, including ischemic stroke (Fig. 2).
Fig. 2. Pathogenesis of vasculocerebral injury.
The damaging effect of a high-energy gunshot projectile consists of four components:
- Blast wave;
- Projectile impact;
- Lateral energy;
- Vortex flow.
Each of these components carries a risk of precerebral artery injury and may lead to ischemic stroke.
The effects of the blast wave and direct projectile injury may cause open (through-and-through, tangential, or lateral) mechanical arterial damage, including incomplete transverse or complete arterial transection. In such cases, the risk of ipsilateral ischemic brain injury is associated with cerebral hypoperfusion due to acute massive hemorrhage from the injured artery and with emergency hemostatic measures (digital compression and wound packing). Simple external pressure dressings are ineffective for controlling carotid artery bleeding, and tight neck bandages may cause tracheal compression and respiratory compromise. Direct pressure on the common carotid artery may reduce bleeding. However, this maneuver is not always technically feasible, and prolonged compression is associated with the risk of cardiac and respiratory arrest and hypoperfusion ischemic brain injury. Therefore, wound packing combined with local pressure remains the simplest method of temporary hemostasis, although it also carries ischemic brain injury risk. Concomitant injury to the internal jugular vein may cause pulmonary air embolism with severe consequences. In the presence of a patent foramen ovale or other atrial septal defects, it may result in paradoxical cerebral embolism from the right cardiac chambers and the development of ischemic stroke.
Closed precerebral artery injury caused by lateral strike energy and the cavitation effect can lead to a temporary pulsatile cavity. This may result in contusion, rupture, or fragmentation of the entire vessel wall or its layers, leading to the development of dissection (acute or subacute), complete or incomplete vessel rupture, compression, avulsion of collateral branches, vasospasm, vascular contusion, and air embolism.
Furthermore, closed carotid artery injuries involving transmural defects of the vascular wall my lead to bleeding in the intermuscular spaces of the neck, pulsatile hematomas, or pseudoaneurysms.
Direct mechanical injury to the arterial wall with partial preservation of anatomical integrity and contusion or rupture of individual wall layers may cause dissections, floating intra-arterial thrombi, and an increased risk of ischemic stroke. Carotid artery dissection is the penetration of blood from the arterial lumen into the vessel wall through an intimal tear, forming an intramural hematoma or a false lumen within the wall.
Blood accumulation within the arterial wall, especially in the subintimal layer, leads to stenosis or occlusion of the arterial lumen, while extension of blood toward the outer layer (adventitia) results in pseudoaneurysm or a true dissecting aneurysm in which thrombi may form. A floating thrombus in the lumen of a precerebral artery is a source of arterioarterial embolism and a potential cause of arterial occlusion.
Clinical Case 1: a 63-year-old man with a mine-blast injury and shrapnel gunshot wounds to the head, neck, chest, abdomen, and extremities:
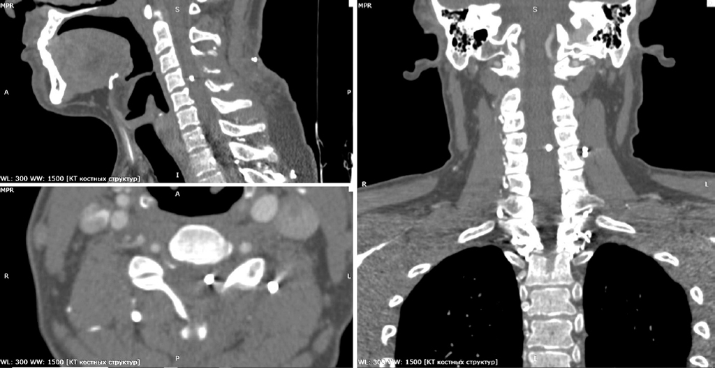
- Comminuted gunshot fractures of the right transverse and superior articular processes of the C6 vertebra and inferior articular process of the C5 vertebra;
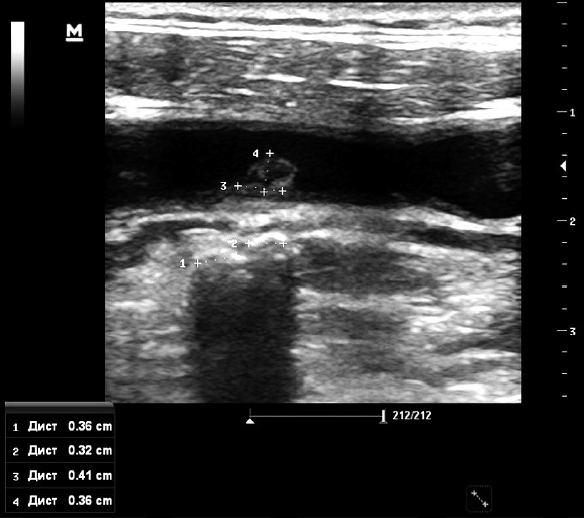
- Floating thrombus of the right common carotid artery (Figs. 3 and 4);
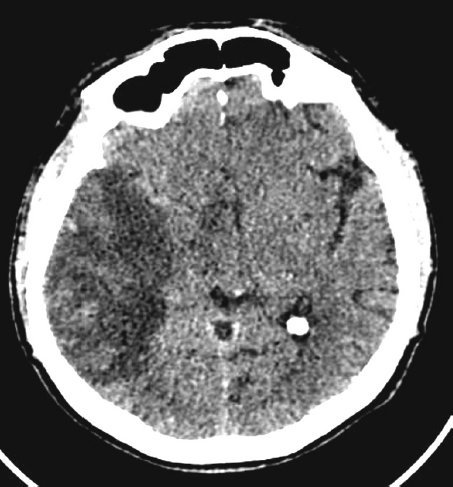
- Ischemic stroke in the territory of the right middle cerebral artery (from the time of injury) due to arterioarterial embolism, with development of left-sided hemiparesis and left homonymous hemianopia (Fig. 5);
- Asymptomatic traumatic occlusion of the right vertebral artery;
- Multiple metallic foreign bodies in the soft tissues of the head and neck (including the wall of the right common carotid artery), chest, and extremities.
Other potential causes of ischemic stroke may include the following:
- Reflex spasm of a precerebral artery, which may lead to distal hypoperfusion and thrombosis;
- Rupture of a preexisting atherosclerotic plaque with subsequent embolization of plaque fragments or occlusion at the site of injury.
Fig. 3. Duplex ultrasonography of the cervical vessels. Foreign bodies (fragments and markers 1 and 2) adjacent to the posterior wall of the right common carotid artery. Floating intraluminal thrombus of the posterolateral wall of the middle third of the right common carotid artery (markers 3 and 4). Nonstenotic carotid atherosclerosis.
Fig. 4. At the First Clinic of Advanced Surgical Training, Military Medical Academy, the patient underwent thrombectomy of the right common carotid artery: a, penetrating shrapnel injury to the posterior wall of the middle third of the right common carotid artery with mural thrombus formation; b, removed thrombus.
Fig. 5. Computed tomography of the head. Signs of cerebral infarction (extensive hypodense area) in the right middle cerebral artery. Midline shift to the left by 6 mm.
Vortex flow, which is the third stage of the air stream accompanying projectile flight, may lead to cerebral embolism by particles of soil, clothing, air, and fragments of damaged body tissues, and to secondary vascular injury by bone fragments.
In trunk and extremity injuries, the main mechanism of damage to the vascular wall of the brachiocephalic arteries is secondary hemodynamic shock. This shock results from the high velocity of projectiles and their noncontact (lateral aerodynamic impact) and contact (hydrodynamic impact) effects. Distal to the projectile’s impact site, remote injury of the intracranial segment of the internal carotid artery or its branches may occur; this often manifests as vascular wall dissection or rupture, most frequently within the arterioles and capillaries.
Clinical Case 2: a 31-year-old man with a mine-blast injury and shrapnel gunshot wounds to the neck, spine, and extremities:
- Blind penetrating shrapnel gunshot wound to the spine with a metallic foreign body (3 × 4 mm) in the spinal canal at the C4 vertebra (Fig. 6);
- Vertebrospinal injury with spinal cord contusion at the C5–C6 level (ASIA C), with development of left-sided hemiparesis, conductive-type superficial and deep sensation disorders, and centrally mediated pelvic organ function impairment;
- Dissection of the left middle cerebral artery with formation of 52% diameter stenosis (Figs. 7 and 8);
- Development (1 month after injury) of recurrent transient ischemic attacks in the territory of the left middle cerebral artery, with transient right-sided hemiparesis, right-sided hemihypesthesia, and aphasia;
- Multiple metallic foreign bodies in the soft tissues of the neck and extremities.
Fig. 6. Computed tomography of the neck. Postoperative (decompressive interlaminectomy) defect of the left C4 and C5 vertebral arches. Metallic foreign body (3 × 4 mm) projected within the spinal cord. Two metallic foreign bodies in the paravertebral soft tissues at the level of the C5 vertebra.
Fig. 7. Duplex ultrasonography of the cerebral vessels. Stenosis of the M1 segment of the left middle cerebral artery by 52% in diameter.
Fig. 8. At the Clinic of Neurosurgery, Military Medical Academy, the patient underwent selective cerebral angiography. Investigation revealed stenosis (most possibly due to dissection) of the M1 segment of the left middle cerebral artery of more than 50% distal to the origin of the perforating arteries. Additionally, a traumatic aneurysm of the ascending deep cervical artery up to 4 mm in diameter was detected.
Bullet arterial embolism is a traumatic intravascular penetration, migration, and embolization of a projectile or its fragments through the vascular network to distal segments. To date, fewer than 200 such cases have been reported, with bullet embolism of the carotid arteries accounting for approximately 25%. In most cases (>80%), carotid artery embolism was caused by low-velocity, small-caliber projectiles (air gun pellets or shotgun pellets). However, cases of carotid artery embolism caused by standard military firearm bullets, such as a 7.62 mm bullet, have also been reported [21–23].
A crucial mechanism of stroke development in gunshot wounds to the neck is alteration of blood flow velocity parameters in the precerebral vessels and their dependence on the cardiac cycle (systole and diastole). A sudden, marked acceleration of arterial flow during injury may increase the risk of endothelial injury in distal segments of the precerebral and vertebral arteries (relative to the site of kinetic energy transfer of the projectile) via a barotrauma mechanism, contributing to the development of mural thrombosis and arterioarterial embolism. The vascular segments most vulnerable to remote injury are the common carotid artery bifurcation, distal segments of the internal carotid artery, and proximal segments of the cerebral arteries.
Another potential mechanism of cerebral ischemic injury of the hydraulic shock type may be a hemodynamically significant sudden increase in arterial pressure in the intracranial arteries, with subsequent vasospasm or hemorheological micro-occlusion. The role of local intravascular thrombosis resulting from damage to formed blood elements (primarily platelets) during arterial injury is unclear.
Closed injury of the common carotid and vertebral arteries accompanied by dissection may result from closed neck trauma due to abrupt excessive head movements (e.g., blast wave exposure, behind-armor injury, and whiplash injury), blunt impacts, falls, prolonged forced positions, and compression of the neck by uniform elements or equipment.
The heterogeneous mechanisms of vasculocerebral injury described above (hypoperfusion, arterioarterial embolism, and thrombosis) may lead to ischemic stroke immediately after injury or in a delayed manner (in cases of clinically occult injury of a precerebral or cerebral artery). Therefore, in individuals wounded in the neck region, some strokes develop subsequently, during medical evacuation or hospitalization in military medical organizations of the Ministry of Defense of the Russian Federation and healthcare institutions of the Ministry of Health of the Russian Federation. Thus, in patients with occult precerebral or cerebral artery injury, in-hospital ischemic stroke (a specific form of vasculocerebral injury) can be prevented by timely diagnosis and initiation of preventive therapy. In addition, in-hospital stroke may occur perioperatively: during carotid artery ligation, thrombosis after placement of a vascular suture or performance of a bypass procedure, and during surgical procedures in other anatomical regions.
The development of ischemic injury in vasculocerebral trauma depends on several factors, including the pathogenetic mechanism, rate of occlusion formation, and reserve of collateral circulation, which is determined by the anatomical features of the circle of Willis (completeness) and reactivity of cerebral circulation. In military neurology practice, the absence of cerebral ischemic injury zones and the formation of acute asymptomatic cerebral infarctions against thrombosis of major cerebral arteries due to gunshot wounds to the neck are regularly observed.
In injuries (particularly closed injuries) of the common or internal carotid arteries, severe neurological deficit resulting from acute cerebrovascular compromise may be clinically misinterpreted as a manifestation of traumatic brain injury, which is frequently encountered in combat settings in patients with combined injuries.
In combat conditions, in addition to somatic causes, cardiac rhythm disturbances and cardioembolic ischemic stroke may develop from myocardial contusion caused by chest injuries and wounds, leading to electrical instability of the myocardium. Sinus tachycardia, atrial fibrillation, ventricular and atrial extrasystoles, and disturbances of atrioventricular and intraventricular conduction reflect the severity of myocardial electrical instability. Injuries in the pericardium and in the heart itself are distinguished. Large pericardial wounds may cause severe complications associated with cardiac dislocation into the pericardial defect and its strangulation. Cardiac wounds may be penetrating or nonpenetrating into the cardiac chamber. Cardiac injury often occurs alongside chest injuries and penetrating injury to one of the pleural cavities and the lung, frequently resulting in hemothorax and pneumothorax. In gunshot wounds to the heart, a zone of contusional damage forms around the wound tract, accompanied by marked and prolonged hemodynamic disturbances and severe rhythm disorders with manifestations of cardiovascular insufficiency. Traumatic cardiac rhythm disturbances typically develop within the first several hours or within 24–48 h following injury [24–29].
Penetrating cardiac injuries are associated with high mortality. In a study of 1198 cases by Darshan (2003–2013, South Africa), 94% of patients with penetrating cardiac injuries died at the prehospital stage. Among survivors, ischemic stroke is a rare but severe complication that determines subsequent prognosis. The pathogenesis of stroke is associated with cardioembolism and has several mechanisms. Myocardial injury with local thrombotic reaction may lead to thrombus formation in the left ventricle and serve as a source of cardiocerebral embolism. In rare cases, this may result in posttraumatic left ventricular pseudoaneurysm. Thrombus formation in the left atrium is usually a late manifestation of penetrating cardiac injury and may be associated with posttraumatic atrial fibrillation. In 4.5% of patients with penetrating cardiac injuries, a traumatic ventricular septal defect may develop, which may lead to paradoxical cerebral embolism and ischemic stroke.
In gunshot wounds to the skull, passage of the wounding projectile through the lateral fissure of the brain may be accompanied by injury to the M1 and M2 segments of the middle cerebral artery, anterior cerebral artery branches, intracranial segments of the internal carotid artery, arteries of the vertebrobasilar system, and cavernous or other venous sinuses. In addition to intracranial hemorrhage caused by vascular wall rupture, injury to intracranial vessels may be accompanied by traumatic occlusion, which can lead to secondary ischemic injury, the clinical significance of which may exceed the deficit directly caused by the wound itself. When neurological symptoms appear late after a gunshot craniocerebral injury, the development of posttraumatic arteriovenous fistulas should be ruled out. Traumatic brain injury leads to aneurysm in 0.4%–0.7% of cases [30].
The preferred method for the instrumental diagnosis of ischemic stroke in patients with neck wounds and injuries is noncontrast computed tomography (CT) of the head and neck with CT angiography of the head and neck vessels.
Several criteria have been developed for diagnosing brachiocephalic vessel injury in blunt neck trauma: the Denver criteria (1996; last updated 2012), modified Memphis criteria (2010), and Boston criteria (2016). These criteria largely overlap and complement each other and represent a set of screening criteria used to determine indications for angiographic neuroimaging of the neck vessels.
In the Denver criteria (2012), indications for CT angiography are defined based on clinical findings and the risk of brachiocephalic artery injury, taking into account the mechanism of trauma [31]:
- Signs and symptoms:
- Suspected arterial bleeding from the neck, nose, or mouth;
- Cervical vascular bruit on auscultation in patients aged <50 years;
- Expanding cervical hematoma;
- Focal neurologic deficit (transient ischemic attack, hemiparesis, signs of vertebrobasilar circulation involvement, and Horner’s syndrome)
- Neurologic deficit inconsistent with head CT findings;
- Imaging evidence of stroke on CT or magnetic resonance imaging (MRI)
- Risk factors for brachiocephalic artery injury — high-energy trauma plus any of the following:
- Le Fort II or III midface fracture with displacement;
- Mandibular fracture;
- Complex skull fracture (e.g., involving the frontal bone and orbit);
- Basilar skull fracture (sphenoid, temporal, or frontal bone fracture or occipital condyle fracture);
- Scalp avulsion;
- Cervical spine fracture, subluxation, or ligamentous injury at any level;
- Severe traumatic brain injury with impaired consciousness and a Glasgow Coma Scale score <6;
- Hanging attempt with hypoxic–ischemic brain injury;
- Inertial injury due to abrupt deceleration with impact of the neck or face against an obstacle, seatbelt marks with significant soft-tissue swelling, pain, or altered mental status;
- Traumatic brain injury combined with chest injury;
- Upper rib fractures;
- Thoracic vascular injuries;
- Blunt cardiac trauma.
Meeting any of the above criteria is an indication for CT angiography of the brachiocephalic arteries to exclude traumatic injury.
The modified Memphis criteria additionally identify the following indications for CT or MR angiography [32]:
- Fracture of the skull base involving the carotid canal;
- Fracture of the skull base involving the petrous portion of the temporal bone.
The Boston criteria define the timing of CT angiography in patients with blunt neck trauma [33, 34]. Two patient groups are distinguished: those with urgent indications (CT angiography should be performed on admission) and those with delayed indications (CT angiography should be performed within the first 24–48 h after presentation) for vascular imaging. According to these criteria, only the second group includes patients with diffuse axonal injury, hanging, severe combined head and chest trauma, and impaired consciousness with a Glasgow Coma Scale score <6.
The Biffl classification (1999), based on neuroimaging (CT and MR angiographic) features of brachiocephalic artery injury, has crucial prognostic value for ischemic stroke [35]:
- Grade I: minimal luminal irregularity, intramural hematoma, or dissection with luminal narrowing <25%;
- Grade II: intramural hematoma or dissection with luminal narrowing >25%, intraluminal thrombus, or raised intimal flap;
- Grade III: pseudoaneurysm;
- Grade IV: occlusion;
- Grade V: transection with free extravasation.
Based on the Biffl classification, small arteriovenous fistulas correspond to grade II and large arteriovenous fistulas to grade V. This classification demonstrates prognostic significance: the risk of stroke increases with increasing severity of carotid artery injury (grade I, 8%; grade II, 14%; grade III, 26%; grade IV, 50%; and grade V, 100%). In contrast, the risk of stroke does not show a consistent correlation with increasing severity of vertebral artery injury (grade I, 6%; grade II, 38%; grade III, 27%; grade IV, 28%; and grade V, no precise data, but the risk of stroke is considered substantial) [35, 36].
Duplex scanning of the neck and head vessels is an independent adjunct diagnostic method and should be used in addition to CT angiography, owing to its high sensitivity for detecting intraluminal floating thrombi and vessel wall dissections and its ability to assess intravascular blood flow velocity. The use of MRI is limited because of the frequent presence of metallic fragments in wounded patients. When dissections, pseudoaneurysms, or floating thrombi are identified, selective cerebral angiography is required to determine further treatment.
Many post-injury ischemic strokes occur during medical care, with the highest risk associated with surgical treatment of gunshot neck injuries. Neck trauma may be accompanied by injuries to the jugular veins, esophagus, trachea, thyroid gland, spine, brain, and spinal cord; these associated injuries may determine the surgical approach for managing injuries of the major cervical arteries. Plotkin et al. revealed the following:
- Concomitant jugular vein injuries occur more often in stab and slash neck wounds (29.3% and 19.7%, respectively).
- Brain injuries occur more often in gunshot neck wounds (73.8% and 19.7%, respectively).
- Spinal cord injuries are also more frequent in gunshot neck wounds (7.6% and 1.2%, respectively).
- In stab and gunshot neck wounds, the incidence of airway injuries (14.3% and 14.8%, respectively) and esophageal injuries (0.7% and 1%, respectively) is comparable [8].
In determining the surgical strategy for carotid artery injuries, the surgeon’s primary task is to save the patient’s life, whereas assessment of perioperative stroke risk is secondary. For the prevention of cerebral ischemic injury, reconstructive surgical interventions aimed at restoring the integrity of the damaged vascular wall and preserving distal blood flow (vascular suturing and use of synthetic patches) appear preferable. Other surgical methods include temporary shunting, particularly in critically ill patients, and ligation of the artery in cases of technical difficulty in vessel restoration (e.g., extensive injuries and wounds of zones I and III of the neck). However, despite data on high mortality in penetrating neck injuries, the advantages of one type of surgical intervention over another remain unclear. According to published data, the results of surgical treatment vary: some studies reported improvement in neurological function after reconstructive interventions, whereas others did not find a significant difference compared with ligation.
According to Plotkin et al., in evaluating outcomes of surgical treatment in patients with isolated injuries of the common and internal carotid arteries, no differences in stroke incidence were identified between groups undergoing reconstructive procedures (483 patients) and ligation (239 patients) (9.3% vs 10.9%, respectively; p = 0.507) [8]. Factors associated with stroke development included preinjury neurological deficit, low Glasgow Coma Scale score, and injury severity, which is consistent with results reported by O’Banion et al. [37]. In a retrospective study of 46 patients (27 gunshot and 19 stab neck wounds, during combat operations [1999–2002] and in peacetime [2003–2009]), Reva et al. (2011) found that neurological deficits developed in 56% of patients after vessel ligation [38].
Compared with arterial ligation, reconstructive carotid artery procedures were not associated with a decrease in postoperative stroke incidence, but were associated with lower in-hospital mortality (45% vs 17.5%, respectively), consistent with the findings of Reva et al. (44% vs 24%, respectively) [38].
In other studies, the incidence of stroke in patients undergoing ligation for penetrating carotid artery injuries varies widely. In an analysis of treatment outcomes of 56 military personnel with injuries of the common and internal carotid arteries sustained during combat operations (2002–2015) in Iraq and Afghanistan (US Department of Defense Trauma Registry), White et al. noted that the risk of stroke was higher after carotid artery ligation than after reconstructive procedures (89% vs 33%, respectively; p = 0.003). Mortality in patients with stroke was 41.2%. In all cases, stroke was associated with ligation of the internal carotid artery, and 10 of 17 survivors showed persistent neurological deficits. These discrepancies may be attributed to differences in care between peacetime and combat settings, features of evacuation, availability of medical resources, and the nature of concomitant injuries [9].
The feasibility of reperfusion therapies for ischemic stroke (systemic thrombolysis and endovascular thrombectomy) during combat operations is limited. The main obstacles include logistical difficulties (transport to a hospital within the therapeutic window), limited available instrumental diagnostics, and the presence of clinical contraindications (ongoing surgical conditions).
The conservative management of ischemic stroke is performed in accordance with current clinical guidelines. Patients with suspected stroke should be evacuated to medical facilities with access to a neurologist. After instrumental confirmation, patients with ischemic stroke should be transferred for further evaluation and treatment to intensive care units and neurology departments.
In gunshot wounds and head, chest, and neck injuries, as well as in polytrauma, vigilance is required regarding injury to the heart, aorta, and precerebral and cerebral arteries as potential causes of ischemic stroke. Ischemic stroke may result from direct wounding or injury to major neck and cerebral vessels accompanied by dissection or aneurysm and subsequent occlusion of the injured artery and from alterations in the coagulation system due to massive damage to other organs and systems and a potentially prothrombotic systemic inflammatory response characteristic of wounds and polytrauma. In cases of cardiovascular injury, bullet or shrapnel emboli are rare but possible causes of ischemic stroke.
Upon hospitalization, patients with wounds and injuries should undergo screening CT, in some cases including CT angiography of the neck and head vessels. In addition, ultrasound duplex scanning of the neck and cerebral vessels is informative. In cases of suspected arterial dissection, selective cerebral angiography is indicated.
Early detection of injuries to the neck and head vessels contributes to the timely and optimal choice of treatment strategy (surgical and conservative management, including differentiated antithrombotic therapy) and improves prevention of ischemic stroke during combat conditions.
ADDITIONAL INFO
Author contributions: I.V. Litvinenko: conceptualization, data curation, writing—review & editing; N.V. Tsygan: conceptualization, data curation, visualization, writing—original draft, writing—review & editing, validation; S.V. Kolomentsev: conceptualization, data curation, visualization, writing—original draft, writing—review & editing; S.Yu. Golokhvastov: conceptualization, data curation, visualization, writing—original draft, writing—review & editing; R.V. Andreev: writing—review & editing; M.M. Odinak: conceptualization, writing—review & editing; D.V. Svystov, К.V. Kitachev: conceptualization, writing—review & editing; A.V. Savello: visualization, writing—original draft, writing—review & editing; V.O. Nikishin: writing—original draft, writing—review & editing. All authors approved the manuscript (the version for publication) and agree to be accountable for all aspects of this work, guaranteeing appropriate review and resolution of questions related to the accuracy and integrity of any part of it.
Funding sources: This work received no funding.
Conflict of Interests: The authors declare no actual or potential conflicts of interest related to the publication of this article.
Statement of originality: The clinical examples, graphics, and tables presented in this article are new. A concept has been developed and presented that summarizes many years of experience and perspectives on ischemic stroke in combat settings.
Data access: The authors report that all data are presented in the article and/or its appendices.
Generative AI: Generative AI technologies were not used for this article creation.
Provenance and peer-review: The manuscript was submitted to the journal’s editorial board voluntarily.
About the authors
Igor V. Litvinenko
Military Medical Academy
Email: izvestiavmeda@mail.ru
ORCID iD: 0000-0001-8988-3011
SPIN-code: 6112-2792
MD, Dr. Sci. (Medicine), Professor
Russian Federation, Saint PetersburgNikolay V. Tsygan
Military Medical Academy
Email: izvestiavmeda@mail.ru
ORCID iD: 0000-0002-5881-2242
SPIN-code: 1006-2845
MD, Dr. Sci. (Medicine), Professor
Russian Federation, Saint PetersburgSergey V. Kolomentsev
Military Medical Academy
Email: izvestiavmeda@mail.ru
ORCID iD: 0000-0002-3756-6214
SPIN-code: 6439-6701
MD, Cand. Sci. (Medicine)
Russian Federation, Saint PetersburgSergey Yu. Golokhvastov
Military Medical Academy
Email: izvestiavmeda@mail.ru
ORCID iD: 0000-0001-5316-4832
SPIN-code: 2515-2435
MD, Cand. Sci. (Medicine)
Russian Federation, Saint PetersburgRuslan V. Andreev
Military Medical Academy
Email: izvestiavmeda@mail.ru
ORCID iD: 0000-0002-4845-5368
MD, Cand. Sci. (Medicine)
Russian Federation, Saint PetersburgMiroslav M. Odinak
Military Medical Academy
Email: izvestiavmeda@mail.ru
ORCID iD: 0000-0002-7314-7711
SPIN-code: 1155-9732
Corresponding Member of the Russian Academy of Sciences, MD, Dr. Sci. (Medicine), Professor
Russian Federation, Saint PetersburgDmitriy V. Svistov
Military Medical Academy
Email: izvestiavmeda@mail.ru
ORCID iD: 0000-0002-3922-9887
SPIN-code: 3184-5590
MD, Cand. Sci. (Medicine), Associate Professor
Russian Federation, Saint PetersburgAleksandr V. Savello
Military Medical Academy
Email: izvestiavmeda@mail.ru
ORCID iD: 0000-0002-1680-6119
SPIN-code: 3185-9332
MD, Dr. Sci. (Medicine), Professor
Russian Federation, Saint PetersburgKirill V. Kitachev
Military Medical Academy
Author for correspondence.
Email: izvestiavmeda@mail.ru
ORCID iD: 0000-0002-3244-9561
MD, Cand. Sci. (Medicine)
Russian Federation, Saint PetersburgVasiliy O. Nikishin
Military Medical Academy
Email: izvestiavmeda@mail.ru
ORCID iD: 0009-0009-1239-9796
SPIN-code: 9295-5923
MD
Russian Federation, Saint PetersburgReferences
- Ma Z, He W, Zhou Y, et al. Global burden of stroke in adolescents and young adults (aged 15–39 years) from 1990 to 2019: a comprehensive trend analysis based on the global burden of disease study 2019. BMC Public Health. 2024;24(1):2042. doi: 10.1186/s12889-024-18415-5
- Satapathy P, Chauhan S, Gaidhane S, et al. Burden of stroke in adolescents and young adults (aged 15–39 years) in South East Asia: a trend analysis from 1990 to 2021 based on the global burden of disease study 2021. Front Stroke. 2025;4:1503574. doi: 10.3389/fstro.2025.1503574
- Nikishin VO, Golokhvastov SYu, Litvinenko IV, et al. Ischemic stroke in young adults: risk factors and etiopathogenetic features. Bulletin of the Russian Military Medical Academy. 2020;(S3):68–71. doi: 10.32863/1682-7392-2020-3-71-68-71 EDN: ADIOQL
- Golokhvastov SYu, Yanishevsky SN, Tsygan NV, et al. Risk factors and features of ischemic stroke in young adults. Russian Military Medical Academy Reports. 2021;40(S4):27–31. EDN: HATTMN
- Terada H, Nakamura K, Fujita S, et al. Incidence and risk factors for ischemic stroke in patients with cancer: a retrospective observational study. Thromb Res. 2025;240:109455. doi: 10.1016/j.thromres.2025.109455
- Kawano T, Mackman N. Cancer patients and ischemic stroke. Thromb Res. 2024;237:155–162. doi: 10.1016/j.thromres.2024.02.013
- Bürger M, Kapahnke S, Rusch M, et al. European Society for Vascular Surgery (ESVS): Clinical Practice Guidelines on the Management of Vascular Trauma 2025 — what’s new and interesting? Gefässchirurgie. 2025;30(1):1–7. doi: 10.1007/s00772-025-01589-7
- Plotkin A, Weaver FA, Owattanapanich N, et al. Epidemiology, repair technique, and predictors of stroke and mortality in penetrating carotid artery injuries. J Vasc Surg. 2023;78(4):920–928. doi: 10.1016/j.jvs.2023.06.019
- White PW, Walker PF, Bozzay JD, et al. Management and outcomes of wartime cervical carotid artery injury. J Trauma Acute Care Surg. 2020;89 (2 Suppl 2):S225–S230. doi: 10.1097/TA.0000000000002755
- Zavrazhnov AA, Samokhvalov IM, Eroshenko AV. Surgical strategy for wound to the neck under conditions of medical institutions in peace time. Vestnik Khirurgii. 2006;165(5):50–55. EDN: KVKWAV
- Katoch R, Gambhir R. Warfare vascular injuries. Med J Armed Forces India. 2010;66(4):338–341. doi: 10.1016/S0377-1237(10)80013-9
- Burlew CC, Biffl WL, Moore EE, et al. Blunt cerebrovascular injuries: redefining screening criteria in the era of noninvasive diagnosis. J Trauma Acute Care Surg. 2012;72(2):330–337. doi: 10.1097/TA.0b013e3182426d58
- LeBlang SD. Noninvasive imaging of cervical vascular injuries. AJR Am J Roentgenol. 2000;174(5):1269–1276. doi: 10.2214/ajr.174.5.1741269
- Expert Panel on Neurologic Imaging; Schroeder JW, Ptak T, Corey AS, et al. ACR Appropriateness Criteria® Penetrating Neck Injury. J Am Coll Radiol. 2017;14(11 Suppl):S500–S505. doi: 10.1016/j.jacr.2017.08.048
- Saito N, Hito R, Burke PA, Sakai O. Imaging of penetrating injuries of the head and neck: current practice at a level I trauma center in the United States. Keio J Med. 2014;63(2):23–33. doi: 10.2302/kjm.2013-0003-CR
- Ramadan F, Rutledge R, Oller D, et al. Carotid artery trauma: a review of contemporary trauma center experiences. J Vasc Surg. 1995;21:46–55. doi: 10.1016/S0741-5214(95)70250-9
- Trunin EM, Mikhaylov AP, Danilov AM, et al. Treatment of main neck vessel injuries. Vestnik of Saint Petersburg University. Series 11. Medicine. 2007;(4):82–88. EDN: RTSHTJ
- Chadi T, Anthony D. Fatal vertebral artery injury in penetrating cervical spine trauma. Case Rep Neurol Med. 2015;2015:5. doi: 10.1155/2015/909376
- Goyal K, Sunny JT, Gillespie CS, et al. A systematic review and meta-analysis of vertebral artery injury after cervical spine trauma. Global Spine J. 2023;14(4):1356–1368. doi: 10.1177/21925682231209631
- Wathen C, Santangelo G, Muhammad N, et al. Management and outcomes of cerebrovascular injuries after gunshot wounds to the cervical spine. Clin Neurol Neurosurg. 2024;233:108376. doi: 10.1016/j.clineuro.2024.108376
- Mingo M, Cao D, Ezepue C, et al. Embolic shotgun pellet to the left middle cerebral artery causing hemiplegia and aphasia with near complete clinical recovery on nonoperative management. Cureus. 2020;12(11):e11677. doi: 10.7759/cureus.11677
- Gomez D, Rajeeth G, Pirakash P, Attanayake D. Air rifle wound to the chest and pellet embolism to the intracranial internal carotid artery with a middle cerebral artery territory infarct: a case report and review of literature. Int J Surg Case Rep. 2023;113:109076. doi: 10.1016/j.ijscr.2023.109076
- Ongom PA, Kijjambu SC, Jombwe J. Atypical gunshot injury to the right side of the face with the bullet lodged in the carotid sheath: a case report. J Med Case Rep. 2014;8:29. doi: 10.1186/1752-1947-8-29
- Maksimov DA, Boyarintsev VV, Stazhadze LL, et al. Heart injury mechanisms in blunt chest trauma. pathophysiological features, clinical manifestations and treatment strategy. Kremlin Medicine Journal. 2019;3:98–108. EDN: CVOMHQ
- Savvin Yu, Kudryavtsev BP, Krasnov SA, Poyarkov AM. Clinical Guidelines for Medical Care of Chest Injury Victims in Emergency Situations. In: Clinical guidelines for polytrauma. Moscow: Federal State Budgetary Institution “All-Russian Center for Disaster Medicine “Zashchita” of the Federal Medical and Biological Agency; 2016. P. 31–49. (In Russ.) EDN: YKHHDD
- Reddy D, David JJ, Muckart DJJ. Holes in the heart: an atlas of intracardiac injuries following penetrating trauma. Interact Cardiovasc Thorac Surg. 2014;19(1):56–63. doi: 10.1093/icvts/ivu077
- Jendoubi A, Bourguiba B, Gaja A, Houissa M. Stroke complicating penetrating heart injury: keys to the diagnostic workup and management. Saudi J Anaesth. 2017;11(2):239–241. doi: 10.4103/1658-354X.203030
- Dunne B, Tan D, Ihdayhid A, et al. Penetrating cardiac injury managed without surgery but with systemic heparinisation. Heart Lung Circ. 2015;24:e210–e213. doi: 10.1016/j.hlc.2015.04.003
- De Bruin G, Pereira da Silva R. Stroke complicating traumatic ventricular septal defect. J Emerg Med. 2012;43(6):987–988. doi: 10.1016/j.jemermed.2011.10.031
- Babichev KN, Savello AV, Sadkovskaya EK, et al. Traumatic intracranial aneurysms following combat cranial injuries. Zh Vopr Neirokhir Im N N Burdenko. 2023;87(6):25–32. doi: 10.17116/neiro20238706125 EDN: BPGXYG
- Geddes AE, Burlew CC, Wagenaar AE, et al. Expanded screening criteria for blunt cerebrovascular injury: a bigger impact than anticipated. Am J Surg. 2016;212(6):1167–1174. doi: 10.1016/j.amjsurg.2016.09.016
- Ciapetti M, Circelli A, Zagli G, et al. Diagnosis of carotid arterial injury in major trauma using a modification of Memphis criteria. Scand J Trauma Resusc Emerg Med. 2010;18(1):61. doi: 10.1186/1757-7241-18-61
- Nagpal P, Policeni BA, Bathla G, et al. Blunt cerebrovascular injuries: advances in screening, imaging, and management trends. Am J Neuroradiol. 2018;39(3):406–414. doi: 10.3174/ajnr.A5486
- Malhotra A, Wu X, Seifert K. Blunt cerebrovascular injuries: advances in screening, imaging, and management trends. AJNR Am J Neuroradiol. 2018;39(9):E103. doi: 10.3174/ajnr.A5733
- Biffl WL, Moore EE, Offner PJ, et al. Blunt carotid arterial injuries: implications of a new grading scale. J Trauma Acute Care Surg. 1999;47(5):845–853. doi: 10.1097/00005373-199911000-00003
- Liang T, Tso DK, Chiu RY, Nicolaou S. Imaging of blunt vascular neck injuries: a clinical perspective. AJR Am J Roentgenol. 2013;201(4):893–901. doi: 10.2214/AJR.12.9625
- O’Banion LA, Dirks RC, Siada SS, et al. Risk factors for stroke in penetrating carotid trauma: an analysis from the PROOVIT Registry. J Trauma Acute Care Surg. 2022;92(5):717–722. doi: 10.1097/TA.0000000000003512
- Reva VA, Pronchenko AA, Samokhvalov IM. Operative management of penetrating carotid artery injuries. Eur J Vasc Endovasc Surg. 2011;42(1):16–20. doi: 10.1016/j.ejvs.2011.01.025
Supplementary files











