On methods of blood pressure measurement: to 120th anniversary of N.S. Korotkoff’s discovery
- 作者: Korovin A.E.1,2, Nemeshev I.D.3, Ovchinnikov D.V.2, Polyanichko M.V.4, Mylnikov S.V.5, Churilov L.P.1
-
隶属关系:
- Saint Petersburg State University
- Military Medical Academy
- Sechenov University
- Lesgaft National State University of Physical Education, Sport and Health
- Eco-Vector LLC
- 期: 卷 44, 编号 4 (2025)
- 页面: 485-493
- 栏目: History of medicine
- URL: https://journals.eco-vector.com/RMMArep/article/view/693531
- DOI: https://doi.org/10.17816/rmmar693531
- EDN: https://elibrary.ru/NQFUSN
- ID: 693531
如何引用文章
详细
This study presents a comprehensive historical and scientific analysis of the evolution of blood pressure measurement methods, dedicated to the 120th anniversary of the fundamental discovery made by Russian physician Nikolai S. Korotkoff. In 1905, he introduced the auscultatory method, which became a turning point in the development of cardiology and general medical diagnostics. The work covers more than two centuries of scientific progress—from the first invasive experiments by Stephen Hales in the 18th century, when blood pressure measurement required direct vascular access in animals, through the fundamental contributions by Bernoulli and Poiseuille that established the theoretical basis for understanding blood flow, to the development of the first non-invasive sphygmomanometers in the 19th century. Special attention is given to the contributions by Vierordt, Marey, and Riva-Rocci, whose developments created the technological foundation for Korotkoff’s discovery. A central part of this study is devoted to the detailed analysis of the revolutionary auscultatory method, which was initially met with skepticism by the medical society, but due to its simplicity, accuracy, and reproducibility, rapidly gained worldwide recognition and became the gold standard in clinical practice. From a modern scientific standpoint, the hemodynamic and biomechanical basis of Korotkoff sounds is described, explaining the physical nature of their appearance related to the transition of blood flow from laminar to turbulent during gradual arterial decompression. Advantages and limitations of the method are analyzed, considering it not only as a historical phenomenon but also as a current diagnostic tool retaining relevance in contemporary medicine. Particular emphasis is placed on the influence of the Korotkoff method on subsequent technologies for blood pressure measurement, including the oscillometric method, which dominates modern automatic and semi-automatic blood pressure meters but still requires calibration and validation against the auscultatory reference standard. The study highlights that Korotkoff’s discovery remains one of the most significant contributions of a Russian scientist to global medical science, preserving its practical and methodological value even 120 years after its introduction.
全文:
ВВЕДЕНИЕ
В 2025 г. исполняется 120 лет знаменательного открытия русским врачом, хирургом Военно-медицинской академии Н.С. Коротковым звукового метода измерения артериального давления у человека.
Метод Н.С. Короткова благодаря своей простоте, точности и доступности в настоящее время используется во врачебной практике всех стран, являясь общепризнанным мировым стандартом при измерении и оценке артериального давления (АД). Он ознаменовал новую эпоху в изучении функционального состояния сердечно-сосудистой системы у здоровых и больных людей. Метод прочно вошел в клиническую практику в различных условиях работы врача и исследователя, заложив начало учения о гипертонической болезни и других формах нарушения регуляции АД.
ОБ ИЗУЧЕНИИ КРОВЯНОГО ДАВЛЕНИЯ. ПРЕДПОСЫЛКИ РЕВОЛЮЦИОННОГО ОТКРЫТИЯ
В 1733 г. выдающийся британский естествоиспытатель и изобретатель, священник англиканской церкви Стивен Хейлс (1677–1761) опубликовал результаты первых острых экспериментов по измерению «силы крови», то есть кровяного давления у животных, методом канюлирования артерий, проводившихся им с 1727 г. Он также описал на этих моделях клинику постгеморрагического шока, точно оценил в своих опытах величину сердечного выброса и сформулировал признаваемые и поныне представления о роли клапанов сердца и значении трения крови в сосудах для определения периферического сопротивления, а также о роли эластической силы артерий в обеспечении тока крови в диастолу [1, 2]. Через несколько лет молодой академик Санкт-Петербургской академии наук и профессор физиологии Петербургского университета Даниил Бернулли (1700–1782), математик, физик и врач, исследовал законы, управляющие кровяным давлением, в своей книге «Hydrodynamica, sive de viribus et motibus fluidorum» вместе с другим петербургским академиком, также избранным по кафедре физиологии, математиком Леонардом Эйлером (1707–1783). Они выяснили связь между скоростью кровотока и давлением движущейся жидкости, что и формулирует закон Бернулли, гласящий, что с увеличением скорости жидкости давление, оказываемое ею, уменьшается. Бернулли проткнул трубку, по которой текла жидкость, другой тонкой трубочкой и обнаружил, что высота подъема жидкости в пунктирующей трубочке зависит от скорости ее движения в трубке пунктированной [3]. Именно этот принцип затем более века использовался для острого измерения кровяного давления. Далее Жан Леонард Мари Пуазейль (1797–1861) изобрел «гемодинамометр» то есть U-образный ртутный манометр и применил его для острого измерения кровяного давления у животных, причем это привело к открытию важнейшего закона гемодинамики (рис. 1). В своей диссертации ученый измерил расширение артерии, вызванное пульсом, и исследовал капиллярный кровоток, придя к выводу, что объемная скорость течения крови через сосуд пропорциональна четвертой степени его радиуса и зависит от разницы давлений на его концах [4]. Закон Пуазейля имеет огромное значение не только для физиологии, но и для всей гидродинамики. В практическом виде он формулируется следующим образом: «Поток вязкой несжимаемой жидкости через длинную тонкую цилиндрическую трубку, при установившимся ламинарном течении, прямо пропорционален радиусу трубки в 4-й степени и обратно пропорционален коэффициенту вязкости жидкости»:
,
где Q — объем жидкости через единицу длины трубки за единицу времени; l — длина трубки; R — радиус трубки; η — вязкость жидкости; ΔP — перепад давления на концах трубки. В медицине закон позволяет судить об изменении объемного расхода жидкости при изменении диаметра сосудов, например при их сужении вследствие атеросклеротического поражения.
Рис. 1. Манометр Пуазейля (источник: Gscheidlen R. Physiologische Methodik: ein Handbuch der Praktischen Physiologie. Braunschweig: Friedrich Vieweg and Son. 1876, p. 622, fig. 455).
В 1848 г. немецкий физиолог Карл Людвиг (1816–1895) соединил ртутный гемодинамометр Пуазейля с заводным вращающимся барабаном, обернутым бумажной лентой, и с пером, назвав устройство кимографом (от греч. κῦμα, волна или зыбь + γραφή, письмо), и получил первые графические записи динамики артериального кровяного давления (рис. 2).
Рис. 2. Кимограф Людвига (источник: Ludwig C. Lehrbuch der Physiologie des Menschen. Band 2: Aufbau und Verfall der Säfte und Gewebe. Thierische Wärme. 2 Auflage. Heidelberg: Akademische Verlagsbuch-Handlung C.F. Winter. 1856. S. 122).
Опыты с кимографом на животных позволили ему обнаружить ряд закономерных связей между дыхательными процессами и давлением крови. Помимо этого, именно ему принадлежит создание «часов Людвига», — прибора, позволяющего измерять еще один ключевой гемодинамический показатель — скорость движения крови. Однако все это достигалось по-прежнему в остром опыте с канюлированием артерий, что не годилось для клинических целей [5]. Но для внедрения в клиническую практику методика должна была быть неинвазивной. И немецкий физиолог Карл Фирордт (1818–1884) усовершенствовал метод Людвига, предложив в 1854 г. косвенное измерение АД с использованием принципа механического противодавления на лучевую артерию, уравновешивающего давление крови в последней до прекращения пульсации за счет воздействия извне, что давало возможность неинвазивных измерений. Свой прибор он назвал сфигмографом (греч. σφυγμός, пульс + γραφή, письмо).
В истории медицины считается, что сфигмограф Фирордта стал первой попыткой неинвазивного измерения АД. Однако первое точное измерение АД у человека было выполнено все же инвазивным путем, за 18 лет до рождения в купеческой семье в Курске будущего врача Николая Сергеевича Короткова (1874–1920). Это сделал в 1856 г. лионский хирург Жан Февр (1824–1871). Он на операции ампутации канюлировал бедренную артерию пациента и подключил ее к ртутному манометру Пуазейля, установив, что артериальное давление в бедренной артерии составляет 120 мм рт. ст., а в плечевой — чуть ниже: 115–120 мм рт. ст. [6]. В 1860 г. французский физиолог Этьен Жюль Марей (1830–1904) значительно усовершенствовал сфигмограф Фирордта, представив его портативный вариант в Биологическом обществе Парижа и даже при дворе императора Наполеона III (рис. 3). Успеху изобретения способствовало одно трагическое обстоятельство: демонстрируя прибор, ученый с его помощью обнаружил у добровольца-придворного аритмию, и об ее опасности во всеуслышание предупредил. Через несколько дней несчастный скончался от сердечного приступа. Общественность уверовала в полезность и мощь нового медицинского изобретения, а Марей удостоился премии Французской академии наук.
Рис. 3. Сфигмограф Марея [7] (fig. 7).
Сфигмограф Марея даже использовался в первом «детекторе лжи», с которым экспериментировал известный криминалист Чезаре Ломброзо (1835–1909) [7]. Кроме портативного сфигмографа Марей изобрел первый аппарат, пригодный для измерения как систолического, так и диастолического давления, — плетизмограф, основанный на принципе регистрации расслабления артериальной стенки. Он применил принцип противодавления Фирордта, но в его аппарате рука была заключена в стеклянную камеру, наполненную водой, которая подключалась как к сфигмографу, так и к кимографу, который регистрировал пульсации артерий. Устройство, однако, было слишком сложным и громоздким для практики повседневного использования большинством врачей.
Из числа разных манометров более значительное распространение получил сфигмоманометр (греч. σφυγμός, пульс + μανός, неплотный + μετρέω, измеряю) венского врача и патолога Карла Самюэля Риттера фон Баша (1837–1905), созданный им в 1881 г. Надо сказать, что и здесь помогло покровительство венценосных особ (поистине физиологам в ту пору оно было так же кстати, как и мастерам оперы!). Ученый был другом и личным врачом эрцгерцога Фердинанда Максимилиана Австрийского. Его августейший пациент стал на короткое время императором Мексики, куда врач его и сопроводил. Максимилиан I, увы, не удержал трон и через 3 года был казнен республиканскими победителями в гражданской войне, а доктор защищал друга до последнего и сам едва избежал гибели, а затем сопровождал на родину тело свергнутого императора. По возвращении в Вену брат погибшего, император Франц-Иосиф I, пожаловал врачу дворянство и щедро поддержал его научные изыскания [8]. В технику измерений фон Баш ввел два новых приема: первый — давление на конечность резиновым мешком с жидкостью и второй — соединение ртутного манометра с этим мешком, что позволяло регистрировать давление, необходимое для пережатия артерии. В сфигмоманометре фон Баша не было громоздких приспособлений Марея, достоинство этого прибора заключалось в его простоте. Именно аппарат фон Баша использовали при проведении первых исследований гемодинамической патологии в клинической практике. Исследования показали, что пациенты, страдающие атеросклерозом, имеют повышенное кровяное артериальное давление, что коррелировало с физическими законами гемодинамики, открытыми Пуазейлем, а у больных с лихорадкой давление было пониженным, что подтверждало клинические наблюдения. При этом прибор с точностью показывал пока что только верхнее систолическое давление. Но даже с учетом такого постепенного и на первый взгляд закономерного развития идеи об инструментальной методике измерения АД врачам профессионально присуща осторожность. Практическая медицина относительно консервативна, что иногда бывает полезно, а иногда задерживает внедрение новшевств. В практике метод фон Баша широкого признания не получил. Курьезно, но «British Medical Journal» писал, например, об этой инновации: «…используя сфигмоманометр, мы обедняем наши чувства и ослабляем остроту клинического восприятия» [9]. Французский кардиолог Пьер Потен в 1889 г. заменил воду в мешке фон Баша воздухом для сжатия, который также, оказывая давление на руку, позволял менять положение ртути в сфигмоманометре, регистрируя систолическое давление, что сделало аппарат более пригодным для клинического использования. Наконец, другой представитель венской школы, австрийский патофизиолог и врач Густав Гертнер (1855–1937), изобрел полую резиновую манжету для измерения давления в приборе, названном им тонометром. Манжета накладывалась на палец [10]. А в 1896 г. итальянский патолог и педиатр из Турина Сципионе Рива-Роччи (1863–1937) создал устройство из пневматической манжеты с грушей для надувания, передавливающей плечевую артерию, и ртутного манометра, также введя в практику метод круговой компрессии и отслеживания пульса для фиксации уровня кровяного АД [11]. Устройство Рива-Роччи было более удобно в применении. Это закрепило измерение кровяного давления в клинике как основной метод оценки функционального состояния системы кровообращения (рис. 4).
Рис. 4. Сфигмоманометр Рива-Роччи (источник: Janeway T. The Clinical Study of Blood Pressure. New York and London: D. Appleton and Company; 1904. 300 p.).
В эти годы (1893–1898) Н.С. Коротков учится сначала в Императорском Харьковском, а затем в Императорском Московском университете, который и заканчивает со званием «лекаря с отличием», и становится уездным врачом. Затем он специализировался как хирург, служил в Русской армии во время боксерского восстания в Китае, был врачом Красного Креста, удостоился ордена Св. Анны III степени «за выдающиеся труды в помощи больным и раненым солдатам», а на обратном пути обогнул на пароходе Евразию. В 1903 г. по приглашению профессора С.П. Федорова (1869–1936) Н.С. Коротков становится ассистентом в его клинике в Императорской Военно-медицинской академии, затем, находясь в Харбине, участвует в Русско-японской войне в качестве старшего хирурга госпиталя Красного Креста, занимается сосудистой хирургией и начинает собирать материал для докторской диссертации. К этому времени в клинике Императорской Военно-медицинской академии как раз практиковалось измерение АД в плечевой артерии с помощью аппарата Рива-Роччи. Но контроль компрессии по пульсу для фиксации уровня кровяного АД был далеко не идеальным способом. Измерения приходилось делать несколько раз, чтобы получить средний показатель. Узкая манжета Рива-Роччи (шириной всего 5 см) давала неточные данные. И хотя точность удалось в некоторой степени улучшить, когда в 1901 г. немецкий врач Генрих фон Реклингхаузен предложил перейти на манжету шириной 12 см, но оставался главный недостаток — при контроле компрессии по пульсу не было возможности судить о диастолическом давлении. Метод пока что был единственным доступным для повседневной практики способом оценить кровяное давление (рис. 5).
Рис. 5. Принцип «непрямого» измерения артериального давления с помощью сфигмоманометра (источник: Nichols WW, O’Rourke MF. McDonald’s Blood Flow in Arteries. 4th edition. New York: Oxford University Press, Inc. 1998. P. 132).
РЕВОЛЮЦИОННОЕ ОТКРЫТИЕ. МЕТОД Н.С. КОРОТКОВА
8 ноября 1905 г. на научной конференции врачей Клинического военного госпиталя Императорской военно-медицинской академии хирург Николай Сергеевич Коротков сделал краткий доклад: «К вопросу о методах исследования кровяного давления» [12]. Он заметил, что если наложить на плечо манжету Рива-Роччи и быстро поднять в ней давление до исчезновения пульса на лучевой артерии, то никакие звуки в плечевой артерии не прослушиваются. Однако при постепенном снижении давления сначала появляются короткие тихие звуки, затем, при дальнейшем падении уровня ртути в манометре, выслушиваются шумы и громкие звуки, интенсивность которых постепенно уменьшается, и в конце концов все звуки полностью пропадают. Именно такое закономерное чередование звуков, впервые открытое Коротковым, и легло в основу звукового метода измерения АД у человека [13]. Эксперименты, проведенные на животных, дали положительные результаты. Н.С. Коротков заметил, что использование бинаурального стетоскопа с тонометром Гертнера значительно упрощает процедуру и предложил свой революционный способ измерения АД, уместив его описание всего на одной странице текста — в 281 слово (рис. 6).
Рис. 6. Принцип звукового измерения артериального давления [18].
Современные радетели наукометрических показателей, а также администраторы от науки, ретиво измеряющие «Хирши» ученых, порой пренебрежительно относятся к такому научному жанру, как тезисы конференций, официально выводя их за скобки и не учитывая при оценке итогов научных поисков. Существуют даже формальные инструкции на этот счет, в которых тезисы a priori расцениваются как нечто второсортное. Для тех, кто так считает, весьма поучительно, с нашей точки зрения, будет узнать, что одна из самых цитируемых в мире на протяжении 120 лет отечественных научных работ, публикация, определившая мировой приоритет русского врача, который не менее известен в мировом научном сообществе, чем И.П. Павлов и И.И. Мечников, — это именно тезисы локальной научно-практической конференции. Дело не в жанре и не в размере написанного, а в научном содержании.
ОБЩИЕ ПРИНЦИПЫ ГИДРОДИНАМИКИ В ПРИЛОЖЕНИИ К ДВИЖЕНИЮ КРОВИ ПО СОСУДАМ. БИОФИЗИЧЕСКАЯ ПРИРОДА ТОНОВ КОРОТКОВА
Характер течения жидкости по сосудам может быть ламинарным или турбулентным. Если слои жидкости движутся параллельно друг другу, не смешиваясь между собой, то такое течение называют ламинарным. Если же ток жидкости сопровождается перемешиванием слоев, обусловленным образованием вихрей в ней, то течение называют турбулентным. Переход одного вида течения в другой определяется числом Рейнольдса (Re):
,
где ρ — плотность жидкости; υ — линейная скорость движения жидкости; d — диаметр сосуда; η — вязкость жидкости.
Для каждой жидкости существует критическое значение числа Рейнольдса (Reкр), которое является условной границей, дифференцирующей тип течения жидкости. При Rе > Reкр говорят о турбулентном типе течения, при Rе < Reкр — о ламинарном.
Работа сердца и передвижение крови по сосудам сопровождаются ритмическими изменениями объема артериальных сосудов и кровяного давления. Принято выделять три группы показателей, интегрально характеризующих кровообращение. Первую группу составляет скорость кровотока, вторую — кровяное давление, третью — общее периферическое сопротивление сосудов [13, 14]. В основе рассматриваемого нами метода Н.С. Короткова — измерение минимального давления, которое необходимо приложить снаружи, чтобы сжать артерию до прекращения в ней кровотока. Н.Н. Савицкий в своей монографии приводит данные о том, что при соблюдении определенных условий давление в манжете без заметных потерь передается на расположенную под манжетой артерию [15]. Г.М. Яковлев указывает, что при постепенном подъеме давления в компрессионной манжете выше систолического гемодинамика участка конечности представляется в виде спавшихся вен и артерий, а также депонированной крови в капиллярном русле [12]. Это приводит к постепенным изменениям тока крови вплоть до полного смыкания пульсирующих артерий. С этого момента и начинается измерение АД по методу Н.С. Короткова.
При снижении давления в манжете до систолического первым событием становится короткое раскрытие сосудов за счет преодоления суммой собственного гидростатического и динамического давлений крови внешнего давления (манжеты). Этот процесс сопровождается коротким звуком, или «тоном». Каждая последующая пульсовая волна при дальнейшем снижении давления лавинообразно удлиняет период раскрытия сосудов, что приводит к усилению звука. Это происходит до момента полного раскрытия артерий или до снижения давления в манжете до диастолического. В этот момент происходят становление нормального тока крови и постепенное восстановление условно-стационарного типа течения жидкости. Одновременно с этим происходит резкий выброс избыточного объема крови, что приводит к локальным завихрениям жидкости в объеме сосуда и проецируется на стенки сосуда в форме «вибраций», что выслушивается как второй тон (диастолический).
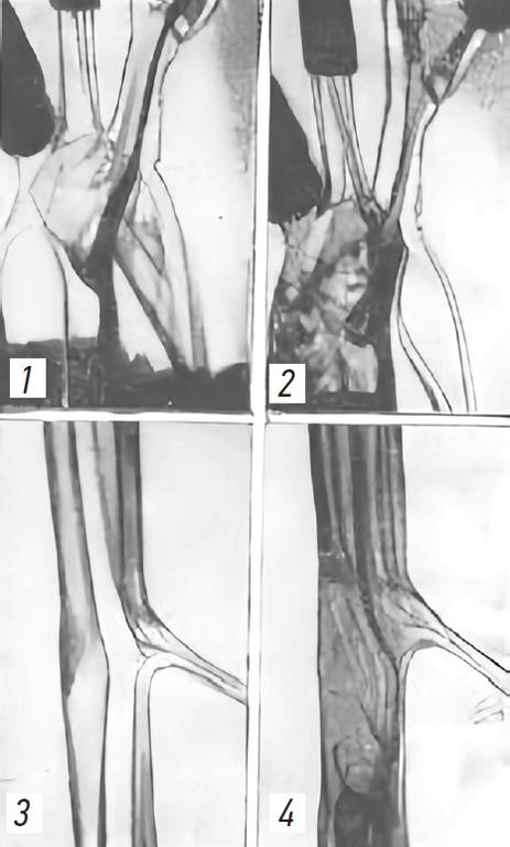
При резком выбросе крови при восстановлении нормального кровотока в артерии резко повышается градиент линейной скорости движения жидкости, что приводит к формированию локальных завихрений в толще жидкости и моментному проявлению турбулентного типа течения (рис. 7) [14, 15].
Рис. 7. Переход ламинарного типа течения в турбулентный в «дуге» аорты (1, 2) и в области брюшной аорты (3, 4) (по Савицкому И.Л. 1974) [15] (рис. 11).
Существенным недостатком метода, однако, остается невозможность непрерывного мониторирования кровяного давления в течение длительного времени. Основным препятствием для этого является венозный блок, возникающий ниже манжеты при продолжительной компрессии [16, 17].
МЕТОД КОРОТКОВА. НАЧАЛО НОВОЙ ЭПОХИ
Докторскую диссертацию Н.С. Коротков защитил в Военно-медицинской академии лишь в 1910 г., через пять лет после открытия им звукового метода определения АД [18]. Интересно, что когда Коротков предложил в 1905 г. свой аускультативный метод, то первой реакцией медицинского сообщества были скепсис, недоверие и настороженность по отношению к такой смелой идее русского врача. Такая критика была неудивительна, так как врачи, воспитанные на классических традициях того времени, не понимавшие природы происхождения «тонов Короткова», ставящие при постановке диагноза во главу угла только непосредственный контакт с пациентом, очень настороженно относились к таким революционным для того времени идеям. Однако это не помешало молниеносному распространению метода Короткова. Началась новая эпоха изучения функционального состояния сердечно-сосудистой системы, основанная на новом принципе измерения АД. Н.С. Коротков, провозвестник этой новой эпохи, оставался прежде всего практическим врачом. Служа своему делу и пациентам, он работал хирургом в отдаленных, мало обжитых районах России: в Витимско-Олекминском горнопромышленном округе и на Ленских золотых приисках, а когда разразилась Первая мировая война, стал хирургом при Благотворительном доме для солдат инвалидов в Царском Селе. После открытия Больницы имени Мечникова в Петрограде он был ее главным врачом до самой своей безвременной кончины от туберкулеза легких в 1920 г. Коротка была жизнь доктора Короткова, но бесконечно длится его научная слава, пусть судьба после его замечательного открытия и не дала ему продолжить научный путь.
120 ЛЕТ С РЕВОЛЮЦИОННОГО ОТКРЫТИЯ Н.С. КОРОТКОВА
В наше время актуальным остается вопрос, особенно интересный в свете приблизившейся знаменательной даты — 120-летия с открытия Н.С. Коротковым в ноябре 1905 г. звукового метода измерения АД у человека. Почему метод измерения АД по Короткову остается актуальным до сих пор? Может ли современная наука продолжить дело великого врача и дополнить существующий метод, ставший эталонным [16, 19]?
Метод Н.С. Короткова позволяет с высокой точностью определить один из ключевых гемодинамических параметров — АД. Простота и доступность измерения столь важного гомеостатического показателя делают метод Короткова незаменимым в клинической практике. Однотипность и неизменность биофизических процессов, формирующих тоны Короткова, описанные выше, обеспечивают легкую воспроизводимость и стандартизированность измерения АД, что позволяет применять звуковой метод измерения кровяного давления в любых условиях и использовать как в рутинной практике врача, так и в ходе различных функциональных исследований сердечно-сосудистой системы. В наше время уже не возникает вопросов о природе тонов Короткова и метод является золотым стандартом функционального исследования системы кровообращения в клиниках и научно-исследовательских учреждениях по всему миру [19].
Но, как описывалось выше, существенным недостатком метода являлась невозможность непрерывного мониторирования кровяного давления в течение длительного времени. Технологический прогресс в области электроники привел в начале ХХ в. к созданию полуавтоматических тонометров, впоследствии ставших прототипом суточных мониторов АД, которые уже в наше время помогли решить эту проблему. С 70-х гг. XX в. внедрялись новые подходы к измерению АД, выступавшие порой в роли альтернатив классическому пальпаторному и «золотому» аускультативному методу.
В частности, появился метод осциллометрии, основанный на регистрации и анализе изменений амплитуды микропульсаций давления воздуха в манжете. Микропульсации — это переданные на манжету колебательные движения стенки артерии, формируемые в результате возникновения локальных завихрений и проявления турбулентного типа течения крови при ступенчатом снижении давления на сосудистую стенку. Метод позволил определять АД даже при слабых тонах Короткова и при выраженном «аускультативном провале» (рис. 8).
Рис. 8. Коротков Николай Сергеевич. Русский врач, хирург Военно-медицинской академии (1874–1920) (из фонда Военно-медицинской академии).
ЗАКЛЮЧЕНИЕ
Технологии не стоят на месте, их развитие продолжается, но очевидным остается тот факт, что судьбоносное открытие Н.С. Короткова послужило важнейшей отправной точкой, без которой сейчас уже невозможно помыслить современную биомедицинскую науку и практическую медицину.
Изучая историю измерения артериального кровяного давления, мы видим, что в этом долгом и плодотворном процессе участвовали, внося неоценимый вклад, представители научно-медицинских сообществ и школ разных стран. И нужно отметить, что эта история представляет собой яркую иллюстрацию замечательной мысли врача-писателя, старшего современника Н.С. Короткова — Антона Павловича Чехова (1860–1904): «Национальной науки нет, как нет национальной таблицы умножения. Что же национально — то уже не наука».
ДОПОЛНИТЕЛЬНАЯ ИНФОРМАЦИЯ
Вклад авторов. А.Е. Коровин — определение концепции, работа с данными, визуализация, пересмотр и редактирование рукописи; С.В. Мыльников — определение концепции, визуализация, написание черновика рукописи; И.Д. Немешев — работа с данными, визуализация и написание черновика рукописи; Д.В. Овчинников — определение концепции, работа с данными, визуализация, пересмотр и редактирование рукописи; М.В Поляничко — редактирование и перевод рукописи; Л.П. Чурилов — определение концепции, работа с данными, визуализация, пересмотр и редактирование рукописи. Все авторы одобрили рукопись (версию для публикации), а также согласились нести ответственность за все аспекты работы, гарантируя надлежащее рассмотрение и решение вопросов, связанных с точностью и добросовестностью любой ее части.
Раскрытие интересов авторов. Авторы заявляют об отсутствии отношений, деятельности и интересов за последние три года, связанных с третьими лицами (коммерческими и некоммерческими), интересы которых могут быть затронуты содержанием статьи.
Источник финансирования. Авторы заявляют об отсутствии внешнего финансирования при проведении исследования.
Доступ к данным. Все данные, полученные в настоящем исследовании, доступны в статье.
Генеративный искусственный интеллект. При создании настоящей статьи технологии генеративного искусственного интеллекта не использовали.
ADDITIONAL INFO
Author contributions: A.E. Korovin: conceptualization, data curation, visualization, writing — review & editing; S.V. Mylnikov: conceptualization, visualization, writing — original draft; I.D. Nemeshev: data curation, visualization, writing — original draft; D.V. Ovchinnikov: conceptualization, data curation, visualization, writing — review & editing; M.V. Polyanichko: writing — review & editing; L.P. Churilov: conceptualization, data curation, visualization, writing — review & editing. All authors have approved the publication version and also agreed to be responsible for all aspects of the each part of the work and ensured reliable consideration of the issues related to the accuracy and integrity.
Disclosure of interests: The authors have no relationships, activities, or interests over the past three years related to for-profit or not-for-profit third parties whose interests may be affected by the content of the article.
Funding sources: The study was not supported by any external sources of funding.
Data availability statement: All the data obtained in this study is available in the article.
Generative AI: Generative AI technologies were not used for this article creation.
作者简介
Aleksandr Korovin
Saint Petersburg State University; Military Medical Academy
Email: korsyrik@mail.ru
ORCID iD: 0000-0001-5507-6975
SPIN 代码: 6157-4453
MD, Dr. Sci. (Medicine), Associate Professor
俄罗斯联邦, Saint Petersburg; Saint PetersburgIvan Nemeshev
Sechenov University
Email: ivan.nemeshev@mail.ru
ORCID iD: 0000-0003-2655-8857
SPIN 代码: 6847-8947
Рostgraduate Student
俄罗斯联邦, MoscowDmitriy Ovchinnikov
Military Medical Academy
Email: marianiks777@gmail.com
ORCID iD: 0000-0001-8408-5301
SPIN 代码: 5437-3457
MD, Cand. Sci. (Medicine), Associate Professor
俄罗斯联邦, Saint PetersburgMaria Polyanichko
Lesgaft National State University of Physical Education, Sport and Health
编辑信件的主要联系方式.
Email: marianiks777@gmail.com
ORCID iD: 0009-0009-7529-6452
SPIN 代码: 3375-5520
Cand. Sci. (Pedagogical), Associate Professor
俄罗斯联邦, Saint PetersburgSergey Mylnikov
Eco-Vector LLC
Email: s.mylnikoff@eco-vector.com
SPIN 代码: 8162-6020
俄罗斯联邦, Saint Petersburg
Leonid Churilov
Saint Petersburg State University
Email: l.churilov@spbu.ru
ORCID iD: 0000-0001-6359-0026
SPIN 代码: 8879-0875
MD, Cand. Sci. (Medicine), Associate Professor
俄罗斯联邦, Saint Petersburg参考
- Lewis O. Stephen Hales and the measurement of blood pressure. J Hum Hypertens. 1994;8(12):865–871. PMID: 7884783
- Hales S. Statistical essays: Containing haemostaticks, or an account of some hydraulick and hydrostatical experiments on the blood and blood-vessels of animals. 2 etc. London: Innys & Manby; 1733.
- Bernoulli D. Hydrodynamica, sive de viribus et motibus fluidorum commentarii. Opus academicum ab auctore, dum Petropoli ageret, congestum. Strassburg, Johann Reingold, 1738. In: Hydrodynamics or Commentaries on Forces and Motions of Fluids. An academic work written by the author while he was engaged at St. Petersburg / Translated from the latin by Thomas Carmody and Helmut Kobus New York: Dover Publications, Inc.; 1968. P. 450.
- Poiseuille JLM. Recherches sur la force du cœur aortique. Paris: Didot le Jeune; 1828.
- Simmons JG. Carl Ludwig An «Integrated Approach» to Physiology. In: Doctors and Discoveries: Lives That Created Today’s Medicine. Part II. The Principal Transformations. Boston; New York: Houghton Mifflin Co.; 2002. P. 80–83.
- Faivre J. Etudes expérimentales sur les lésions organiques du cœur. Lyon: Imprimerie D’Aime Vingtrinier; 1856.
- Karamanou M, Papaioannou TG, Tsoucalas G, et al. Blood pressure measurement: lessons learned from our ancestors. Curr Pharm Des. 2015;21(6):700–704. doi: 10.2174/1381612820666141023163313
- Soto-Perez-de-Celis E. Karl Samuel Ritter Von Basch: the sphygmomanometer and the Empire. J Hypertens. 2007;25(7):1507–1509. doi: 10.1097/HJH.0b013e3280d94324
- Booth J. A short history of blood pressure measurement. Proc R Soc Med. 1977:70(11):793–799. doi: 10.1177/003591577707001112
- Gaertner G. Über einen neuen Blutdruckmesser (Tonometer). 1899. (In German)
- Roguin A. Scipione Riva-Rocci and the men behind the mercury sphygmomanometer. Int J Clin Pract. 2006;60(1):73–79. doi: 10.1111/j.1742-1241.2005.00548.x
- Yakovlev GM. Sound method of measuring arterial pressure of N.S. Korotkov and the views of N.N. Savitsky. Arterial hypertension. 2005;11(2):79–81. (In Russ.) EDN: RMNFQL
- Korotkov NS. To the question of methods of determining the blood pressure. Russian Military Medical Academy Reports. 1905;11(4):365. (In Russ.) doi: 10.17816/rmmar692969
- Samoilov VO. Medical biophysics: textbook for universities. 3rd ed., corrected. and additional. Saint Petersburg: SpetsLit; 2013. 591 p. (In Russ.)
- Savitsky IL. Biographical foundations of blood circulation and clinical methods of studying hemodynamics. Lenengrad: Meditsina; 1974. (In Russ.)
- Popov SE. Saint Petersburg doctor N.S. Korotkoff is the founder of a new epoch in the development of world medicine. Arterial’naya Gipertenziya (Arterial Hypertension). 2005;11(2):71–74. EDN: PTBMVO
- Solntseva TD, Sivakova OA, Chazova IE. From pulse palpation to cuffless measurement: the evolution of methods for determining blood pressure. Terapevticheskiy arkhiv. 2021;93(4):526–531. doi: 10.26442/00403660.2021.04.200690 EDN: HBCFPO
- Korotkov NS. Experiment in Determining the Strength of Arterial Collaterals [dissertation]. Stain Petersburg: P.P. Soikin Printing House; 1910. 154 p. (In Russ.)
- Popov SE. Doctor Nikolai Korotkov. Saint Petersburg: Lenizdat; 1996. (In Russ.)
补充文件










