Эндоскопическое стентирование как метод выбора устранения синдрома дисфагии при стенозирующих заболеваниях пищевода
- Авторы: Белевич В.Л.1, Бреднев А.О.1, Курлова О.Г.1
-
Учреждения:
- Военно-медицинская академия имени С. М. Кирова
- Выпуск: Том 39, № 3 (2020)
- Страницы: 14-18
- Раздел: Оригинальные исследования
- URL: https://journals.eco-vector.com/RMMArep/article/view/75981
- DOI: https://doi.org/10.17816/rmmar75981
- ID: 75981
Цитировать
Полный текст
Аннотация
Целью нашего исследования стал анализ опыта применения пищеводных стентов при синдроме дисфагии. Основными вопросами, на которые хотели получить ответ: формулировка основных показаний и противопоказаний для стентирования пищевода; оценка эффективности и целесообразности стентирования пищевода саморасширяющимися металлическими стентами у инкурабельных пациентов. На кафедре общей хирургии Военно-медицинской академии имени С. М. Кирова выполнено стентирование 78 пациентам по поводу злокачественных опухолевых процессов и 2 больным с доброкачественной стриктурой пищевода, проходившим лечение в период с 2007 по 2020 г. Группа пациентов включала в себя 61 мужчину (76,3%) и 19 женщин (23,7%). 69 человек обратилось по поводу дисфагии III–IV степени, у 6 имелся трахео-пищеводный, а у 3 — пищеводно-плевральный свищи, образовавшиеся при опухолевом распаде, 2 пациента проходили лечение по поводу ожоговой стриктуры пищевода. Применялись стенты корейской фирмы «M. I. Tech». Установка проводилась короткими эндоскопическими системами доставки малого диаметра. Начало питания, как правило, начиналось на следующие сутки при удовлетворительном стоянии и адекватном расправлении стента, отсутствии смещения. Пациент мог покинуть стационар в этот же день. Питание начиналось с употребления воды и жидкой пищи с постепенным расширением плотности и консистенции продуктов. Минимально инвазивный метод устранения дисфагии у инакурабельных больных это стентирование пищевода саморасширяющимися стентами. Стентирование пищевода обладает меньшим количеством осложнений в отличие от других инвазивных хирургических методов разрешения дисфагии. Преимущество паллиативного лечения опухолевых стенозов и свищей путем стентирования заключается в уменьшении проявлений дисфагии, повышении качества и увеличении продолжительности жизни больных (3 рис., библ.: 15 ист.).
Ключевые слова
Полный текст
ВВЕДЕНИЕ
В хирургической практике приходится сталкиваться с пациентами с нарушением нормального пассажа пищи по верхнему отделу желудочно-кишечного тракта. Наиболее частой причиной развития данного состояния являются объемные патологические процессы, перекрывающие просвет пищевода и кардии. Более редкой причиной могут стать нейрогенные и физиологические нарушения. Специфическим симптомом патологии пищевода является дисфагия, которая в большинстве случаев является следствием его органического поражения неопластическим процессом. Несмотря на свое первоначальное появление в хронологии симптомокомплекса заболевания, дисфагия свидетельствует уже о значительном распространении патологического процесса в средостении и зачастую имеет неблагоприятный прогноз для пациента [1–4].
Малоинвазивные методы лечения приобретают в хирургии все большее значение, потому что позволяют в условиях минимального воздействия на истощенный организм выполнить восстановление нормального функционирования организма, за максимально короткое время получить желаемый результат. Имеющиеся в арсенале хирурга малоинвазивные методы по устранению непроходимости пищевода носят паллиативный характер. Уверенную позицию в этом списке занимает метод восстановления и поддержания проходимости пищевода с помощью саморасширяющихся стентов [5, 6].
В России этот вопрос активно развивается последние два десятка лет. Сформулированы четкие показания, определена методика и выполнены многочисленные научные разработки в этой области. Основным показанием для проведения стентирования являются нерезектабельные злокачественные опухоли пищевода, сопровождающиеся сужением пищевода [7–10]. Имеются также клинические наблюдения использования саморасширяющихся стентов для устранения дисфагии, вызванной доброкачественной стриктурой пищевода [11–13]. Использование стентирования при доброкачественных заболеваниях остается открытым вопросом по причине недостатка данных об отдаленных результатах. Стентирование пищевода обладает меньшим количеством осложнений в отличие от других хирургических методов, решающих проблему дисфагии. Имплантации стента не влияет на риск образования пищеводных свищей, но исключает заброс пищевых масс при их наличии. Осложнения, связанные с установкой стента, включают его миграцию, перфорацию пищевода, дискомфорт загрудинной и кровотечение. Конструктивные особенности стента определяют как его преимущества, так и его недостатки. Случается неполное раскрытие стента, характерное для сетчатых «сверхгибких» эндопротезов. Стенты без покрытия лучше фиксируются к стенке пищевода, но чаще прорастают опухолью, что требует применения аргоноплазменной коагуляции при рецидиве. У некоторых больных встречается обструкция просвета пищевода комками пищи, которая легко устраняется при помощи эндоскопического пособия [14, 15].
ЦЕЛЬ ИССЛЕДОВАНИЯ
Сформулировать основные показания для проведения стентирования пищевода; показать свой опыт применения данной методики; доказать, что стентирование пищевода саморасширяющимися металлическими стентами является методом выбора у инкурабельных пациентов при наличии всех возможностей, имеющихся в хирургическом арсенале в настоящее время.
МАТЕРИАЛЫ И МЕТОДЫ
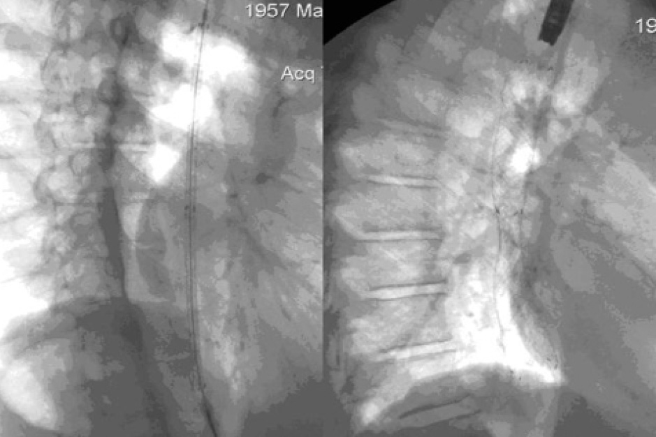
На кафедре общей хирургии Военно-медицинской академии имени С. М. Кирова проведено эндоскопическое стентирование пищевода 78 пациентам, проходившим лечение в период с 2007 по 2020 г. по поводу опухолевого поражения пищевода и кардиального отдела желудка, и 2 пациентам с рубцовой стриктурой пищевода. Группа пациентов включала в себя 61 мужчины и 19 женщин, средний возраст которых составил 64,2 ± 8,6 года. 69 больных имели на момент обращения признаки дисфагии III–IV степени, у 6 выявлен трахео-пищеводный и у 3 — пищеводно-плевральный свищи, образовавшиеся при опухолевом распаде. По данным клинико-инструментальных методов обследования всем онкологическим пациентам установлена IV стадия заболевания с поражением внутригрудных лимфатических узлов, наличием отдаленных метастазов и признаками дисфагии III–IV степени. Такой категории пациентов не показано радикальное хирургическое вмешательство, а циторедуктивные вмешательства операции сопровождаются высоким риском развития осложнений и летального исхода. Основным методом устранения синдрома дисфагии у таких пациентов стало эндоскопическое стентирование пищевода с целью восстановления проходимости пищевода. Длительное поддержание просвета пищевода позволяет поддержать метаболизм организма за счет адекватного естественного поступления питательных веществ, продлить и улучшить качества жизни больного. Диагностика заболевания включала упорядоченный нами алгоритм обследования. Первым этапом проводилось исследование обязательных параметров крови и мочи, рентгенография грудной клетки и брюшной полости, УЗИ, проводилась КТ живота и груди, сцинтиграфия. Также неотъемлемую роль носило рентгенконтрастное и эндоскопическое исследование пищевода, что позволяло определить протяженность, характер и степень сужения. Для гистологической верификации выполнялась биопсия области опухолевого роста, в 77% выявлена аденокарцинома с различной степенью дифференцировки, а в 23% — плоскоклеточный рак. Морфологическая характеристика опухоли не влияла на выбор и тактику паллиативного лечения. После подтверждения и постановки окончательного диагноза проводился подбор необходимого стента по имеющимся параметрам протяженности опухоли и степени сужения просвета пищевода. Для эндоскопического стентирования пищевода мы использовали стенты фирмы «M. I. Tech» (Seoul, Korea), одобренные для применения в клинической практике во всем мировом эндоскопическом сообществе. Отличительными особенностями модельного ряда стентов является наличие покрытия, которое устраняет возможность диффузного прорастания стента, а также наличие рентгенконтрастных меток для удобства контроля положения. Установка производилась короткими эндоскопическими системами доставки малого диаметра по заранее заведенному жесткому проводнику. Для проведения стентирования минимальный диаметр просвета пищевода должен был составлять 6–8 мм. При невозможности проведения системы доставки за опухолевый стеноз, проводили эндоскопическое бужирование, либо баллонную дилатацию до нужных размеров. В случае дисфагии IV степени возникала необходимость в деструкции опухоли, которая осуществлялась использованием аргоноплазменной коагуляции. На этапах освоения методики мы отдавали предпочтение комбинированному рентгеноэндоскопическому методу установки стента. Под эндоскопическим и рентгеноскопическим контролем стент устанавливался на уровне стриктуры, таким образом, чтобы проксимальный конец стента выходил на большое расстояние за зону опухолевого сужения, чем на дистальном конце (рис. 1).
Рис. 1. Эндоскопический и рентгенологический контроль этапа проведения стента и этапа высвобождения стента
В дальнейшем от этой методики отказались и все манипуляции проводились под эндоскопическим контролем с последующим рентгенографическим исследованием, что способствовало снижению уровня воздействия излучения, как на больного, так и на персонал. Все вмешательства осуществлялись под внутривенной анестезией. Адекватное расправление стента, удовлетворительная оценка стояния стента, отсутствие смещения были показанием для начала перорального приема пищи.
РЕЗУЛЬТАТЫ
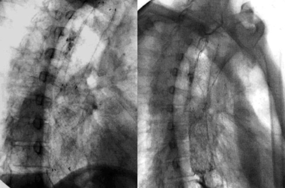
Успешность стентирования пищевода саморасширяющимися стентами составила 100% (технически стенты установлены всем пациентам с первой попытки). Наиболее частой жалобой после проведения стентирования стала загрудинная боль, была отмечена у 62 (77,5%) пациентов. Также мы наблюдали такие грозные осложнения, как перфорация пищевода в результате механического раздвигания стентом тканей опухоли, у 2 (2,5%) пациентов и в 2 (2,5%) случаях наблюдалась миграция стента на 1–2-е сутки. Из поздних осложнений встретились 4 рецидива дисфагии (5,0%) в результате продолженного опухолевого роста над проксимальным участком стента, у 4 (5,0%) пациентов образовался пищеводный свищ (3 трахео-пищеводных свища и 1 пищеводно-плевральный), у 1-го пациента (1,2%) произошло разрушение стента через 2 месяца. В 9 (11,2%) случаях потребовалось рестентирование. Продолжительность жизни после стентирования по поводу злокачественных стриктур составила 6–14 месяцев, медиана 10 месяцев. 2 пациентам проведено стентирование пищевода на фоне постожоговых рубцовых изменений пищевода. Это был первый этап лечения. После нормализации состояния и восстановления пищевого статуса были выполнены пластические операции на пищеводе. В качестве клинического примера приведем интересное наблюдение успешного выполнения стентирования пациенту, перенесшему операцию по поводу рака нижней трети пищевода с наложением эзофагогастроанастамоза. Через полгода после операции у больного возникли жалобы на отхождение мокроты с кровью, дисфагию, кашель, повышение температуры тела. Было проведено обследование, выявлен рецидив рака в зоне желудочного трансплантата с дисфагией III степени. Также в области анастомоза у пациента выявлен бронхо-пищеводный свищ (рис. 2).
Рис. 2. Рентгендиагностика опухоли пищевода и пищеводно-бронхиального свища
Расстояние между свищом и зоной стеноза составило 13 см, что потребовало применения самого длинного стента (максимальная длина в расправленном состоянии 20 см). На контрольном рентгенконтрастном исследовании подтекания в бронхи контраста не отмечено, зона стеноза проходима (рис. 3). Максимальное раскрытие стента происходило не сразу, а в течение нескольких суток. Поэтому динамический рентгенологический контроль является неотъемлемой частью всей методики при установке пищеводных стентов. Рентгенконтрастное исследование выполнялось сразу после окончания стентирования и далее через сутки. Также данное исследование позволяло исключить миграцию стента и перфорацию пищевода.
Рис. 3. Рентгенконтроль сразу после стентирования. Подтекания контрастного вещества за пределы стента не выявлено
Пероральный прием пищи разрешался после констатации факта полного расправления стента и отсутствии смещения по длине. Пациент мог покинуть стационар в этот же день. Первый день он мог употреблять воду и жидкую пищу, в последующие дни, консистенция и плотность продуктов расширялась. Стентирование пищевода выполняли в эндоскопическом кабинете, как правило, в утренние часы. За 10–15 минут производилась премедикация, включающая введение растворов промедола и атропина. Все вмешательства осуществлялись под внутривенной седацией. Для точной детализации успешности проведения стентирования использовались различные параметры: субъективные оценки пациентов (определение степени дисфагии и изменение качества жизни после оперативного вмешательства); параметры опухолевого стеноза, измеренные при помощи рентгенологического и эндоскопического методов; статические наблюдения за количеством осложнений (поздних и ранних); измерения продолжительности жизни пациентов.
ОБСУЖДЕНИЕ
В современном хирургическом сообществе превалирует тенденции к минимизации хирургической агрессии. Этим принципам удовлетворяют эндоскопические методы, которые стали широко применяться в нашей клинической практике, как для восстановления, так и для поддержания энтерального питания у нуждающихся в этом пациентов. Стентирование пищевода — это современный метод эндоскопической хирургии, направленный на восстановление и сохранение просвета пищевода путем установки саморасширяющихся стентов. В большинстве случаев, около 98%, стентирование проводится с целью устранения злокачественной обструкции. Основным поводом для обращения пациентов служит нарастающая дисфагия и связанные с ней алиментарные нарушения, однако, в большинстве случаев стадия процесса не позволяет провести радикальное вмешательство. Роль паллиативного лечения (на примере стентирования) заключается в уменьшении дисфагии, повышении качества и увеличении продолжительности жизни. Лечение дисфагии при неоперабельной карциноме пищевода или рецидиве карциномы на месте анастомоза — важная проблема, требующая решения. При нерезектабельной опухоли, если это выявлено на этапе торакотомии, может быть выполнен обходной анастомоз, но в большинстве случаев хирургами избирается вариант лечения, предусматривающий формирование гастростомы, психологически тяжело воспринимаемой пациентом и часто ведущей к социальной дезадаптации. По данным литературы, результаты паллиативной хирургии неудовлетворительные: после паллиативной резекции пищевода средняя выживаемость пациентов составляет 12,2 месяца (интервал 3–21 мес.), после обходных операций — 11,5 месяцев (интервал 3–18 мес.), после гастростомии — 5 месяцев (интервал 2–12 мес.) [2, 6]. Поэтому остро встает вопрос о целесообразности такой паллиативной хирургии. Чаще всего при запущенном процессе хирурги отдают предпочтение малоинвазивным методам восстановления проходимости пищевода, одним из таких, безусловно, является стентирование пищевода, сохраняющее качество жизни пациентов и позволяющее продолжить проведение химиотерапии.
ВЫВОДЫ
- Стентирование пищевода саморасширяющимися нитиноловыми стентами — это наиболее эффективный минимальноинвазивный метод, используемый для поддержания проходимости пищевода при злокачественной обструкции у пациентов с диагнозом рак пищевода IV стадии, а также методом выбора при лечении инкурабельных пациентов с пищеводными свищами онкологической природы.
- Дополнительными показаниями для установки саморасширяющихся стентов являются: рецидив опухоли и образование свищей в зоне эзофагогастроанастамозов.
- Стентирование саморасширяющимися стентами не требует проведения общей анестезии и сопровождается минимальным количеством послеоперационных осложнений. Начало перорального питания возможно уже с первых суток после проведения вмешательства, улучшение качества жизни и увеличение продолжительности жизни происходит за счет восстановления физиологичного энтерального питания.
- При выборе пищеводных стентов предпочтение следует отдавать покрытым или частично покрытым стентам.
- Стентирование доброкачественных стриктур пищевода может стать подготовительным этап в предоперационной подготовке к основному хирургическому лечению с целью восстановления трофического (пищевого) статуса.
УВЕДОМЛЕНИЕ
Авторы внесли равный вклад в данную работу и сообщают об отсутствии какого-либо конфликта интересов.
ACKNOWLEDGMENT
Authors contributed equally into this work and declare no conflict of interest.
Об авторах
Валерий Леонтьевич Белевич
Военно-медицинская академия имени С. М. Кирова
Автор, ответственный за переписку.
Email: koptata@mail.ru
докт. мед. наук, старший преподаватель кафедры общей хирургии
Россия, 194044, Санкт-Петербург, ул. Академика Лебедева, д. 6Антон Олегович Бреднев
Военно-медицинская академия имени С. М. Кирова
Email: koptata@mail.ru
канд. мед. наук, преподаватель кафедры госпитальной хирургии
Россия, 194044, Санкт-Петербург, ул. Академика Лебедева, д. 6Ольга Георгиевна Курлова
Военно-медицинская академия имени С. М. Кирова
Email: izvestia-rvma@vmeda.ru
врач-эндоскопист кафедры общей хирургии
Россия, 194044, Санкт-Петербург, ул. Академика Лебедева, д. 6Список литературы
- Korolev M. P., Fedotov L. E., Smirnov A. A. Endoprosthetics with self-expanding metal stents in stenotic diseases of the esophagus. Vestnik khirurgii imeni I. I. Grekova. 2010; 169 (1): 58–64. Russian (Королев М. П., Федотов Л. Е., Смирнов А. А. Эндопротезирование саморасширяющимися металлическими стентами при стенотических заболеваниях пищевода. Вестник хирургии имени И. И. Грекова. 2010; 169 (1): 58–64).
- Lazarev A. F., Fokeev S. D. A comparative analysis of radical treatment of esophageal cancer. Rossiyskiy onkologicheskiy zhurnal. 2006; 2: 35–7. Russian (Лазарев А. Ф., Фокеев С. Д. Сравнительный анализ радикального лечения рака пищевода. Российский онкологический журнал. 2006; 2: 35–7).
- Roman L. D., Kotiv B. N., Bisenkov L. N., Shostka K. G., Kostyuk I. P. A Comparative analysis of radical treatment of esophageal cancer. Rossiyskiy onkologicheskiy zhurnal. 2009; 55 (1): 56–9. Russian (Роман Л. Д., Котив Б. Н., Бисенков Л. Н., Шостка К. Г., Костюк И. П. Паллиативные вмешательства в хирургическом лечении рака грудного отдела пищевода. Российский онкологический журнал. 2009; 55 (1): 56–9).
- van Boeckel P. G., Sijbring A., Vleggaar F. P., Siersema P. D. Systematic review: temporary stent placement for benign rupture or anastomotic leak of the oesophagus. Aliment. Pharmacol. Ther. 2011; 33 (12): 1292–301. doi: 10.1111/j.1365-2036.2011.04663.x
- Gallinger Yu. I., Gojello E. A. Endoscopic treatment of esophageal anastomosis strictures. Moscow: Profile Publisher; 2006. 152. Russian (Галлингер Ю. И., Годжелло Э. А. Эндоскопическое лечение стриктур пищеводного анастомоза. М.: Профиль; 2006. 152).
- Skvortsov M. B. Esophageal cancer: surgical treatment. The Siberian Medical Journal. 2011; 4: 21–30. Russian (Скворцов М. Б. Рак пищевода: хирургическое лечение. Сибирский медицинский журнал. 2011; 4: 21–30).
- Khayruddinov R. V. Modern principles of diagnostics and surgical treatment of esophageal cancer. Vestnik khirurgii imeni I. I. Grekova. 2006; 165 (3): 48–51. Russian (Хайруддинов Р. В. Современные принципы диагностики и хирургического лечения рака пищевода. Вестник хирургии имени И. И. Грекова. 2006; 165 (3): 48–51).
- Cook M. B., Wild C. P., Everett S. M., Hardie L. J., Bani-Hani K. E., Martin I. G., Forman D. Risk of mortality and cancer incidence in Barrett,s esophagus. Cancer Epidemiol. Biomarkers Prev. 2007; 16 (10): 2090–6. doi: 10.1158/1055-9965.EPI-07-0432
- Ott C., Ratiu N., Endlicher E., Rath H. C., Gelbmann C. M., Schölmerich J., Kullmann F. Self-expanding Polyflex plastic stents in esophageal disease: various indications, complications, and outcomes. Surg. Endosc. 2007; 21 (6): 889–96. doi: 10.1007/s00464-006-9067-x
- Saito Y., Tanaka T., Andoh A., Minematsu H., Hata K., Tsujikawa T., Nitta N., Murata K., Fujiyama Y. Novel biodegradable stents for benign esophageal strictures following endoscopic submucosal dissection. Dig. Dis. Sci. 2008; 53 (2): 330–3. doi: 10.1007/s10620-007-9873-6
- Ishchenko A. A., Belonogov A. V., Baryshnikov E. S., Dimov A. A. Endosurgical methods for restoring enteral nutrition in inoperable esophageal cancer. Siberian Journal of Oncology. 2008; 1: 62–3. Russian (Ищенко А.А., Белоногов А. В., Барышников Е. С, Димов А. А. Эндохирургические способы восстановления энтерального питания при неоперабельном раке пищевода. Сибирский онкологический журнал. 2008; 1: 62–3).
- Klimashevich A. V. The possibility of treatment of continuously Recurrent esophageal strictures by stenting. Izvestiya vysshikh uchebnykh zavedeniy. Povolzhskiy region. Meditsinskiye nauki. 2011; 3: 81–8. Russian (Климашевич А. В. Возможность лечения непрерывно рецидивирующих стриктур пищевода методом стентирования. Известия высших учебных заведений. Поволжский регион. Медицинские науки. 2011; 3: 81–8).
- Klimashevich A. V., Nikolsky V. I., Bogonina O. V., Antonov V. V. Prevention and treatment of cicatricial strictures of the esophagus. Fundamental’nyye issledovaniya. 2012; 4–1: 63–8. Russian (Климашевич А. В., Никольский В. И., Богонина О. В., Антонов В. В. Профилактика и лечение рубцовых стриктур пищевода. Фундаментальные исследования. 2012; 4–1: 63–8).
- Eloubeidi M. A., Talreja J. P., Lopes T. L., Al-Awabdy B. S., Shami V. M., Kahaleh M. Success and complications associated with placement of fully covered removable self-expandable metal stents for benign esophageal diseases (with videos). Gastrointest. Endosc. 2011; 73 (4): 673–81. doi: 10.1016/j.gie.2010.11.014
- Mosca F., Consoli A., Stracqualursi A., Persi A., Portale T. R. Comparative retrospective study on the use of plastic prostheses and self-expanding metal stents in the palliative treatment of malignant strictures of the esophagus and cardia. Dis. Esophagus. 2003; 16 (2): 119–25. doi: 10.1046/j.1442-2050.2003.00308.x
Дополнительные файлы






