Clinical case of eosinophilic granulomatous polyangiitis debuted by myocardial infarction
- Authors: Kryukov E.V.1, Cherkashin D.V.1, Grishaev S.L.1, Turdialieva S.A.1, Mozharovskaya E.A.2, Sharova N.V.1, Kudrina O.M.1, Vorobyov S.L.3
- 
							Affiliations: 
							- S.M. Kirov Military Medical Academy
- Clinical rheumatological hospital No. 25
- National center for clinical morphological diagnostics
 
- Issue: Vol 40, No 2 (2021)
- Pages: 41-48
- Section: Case report
- URL: https://journals.eco-vector.com/RMMArep/article/view/83028
- DOI: https://doi.org/10.17816/rmmar83028
- ID: 83028
Cite item
Full Text
Abstract
The article presents clinical observations demonstrating the difficulties of diagnostic search in establishing the diagnosis of systemic vasculitis associated with antineutrophil cytoplasmic antibodies, which include a rare disease – eosinophilic granulomatosis with polyangiitis (Churg–Strauss syndrome). Carefully collected anamnesis, participation of specialists of different profiles, retrospective analysis of laboratory and instrumental data allowed to verify the diagnosis, to prescribe adequate therapy. The aim of the publication is to discuss the need for early diagnosis of eosinophilic granulomatosis with polyangiitis, which can improve the effectiveness of therapy and improve the overall prognosis for this disease, taking into account modern approaches based on the main provisions of international recommendations that were prepared in 2015 with the participation of leading experts from Europe, USA and Canada and were called to become the basis for choosing a personalized patient therapy strategy. In some cases, the diagnosis of eosinophilic granulomatous polyangiitis is complicated by the diversity of the clinical picture, the non-simultaneous appearance of the main symptoms and the violation of the stages of the process. In the differential diagnosis of systemic vasculitis, assessment of initial clinical manifestations, testing for the presence of antibodies to the cytoplasm of neutrophils, multispiral computed tomography of the chest organs and diagnostic biopsy of the affected tissues are crucial. In the histological conclusion, a picture of focal ulcerative-necrotic lesions of the nasal mucosa with signs of vasculitis and a pronounced eosinophilic cell component of inflammation was noted. The distinctive features of this case include the onset of the disease with the development of myocardial infarction and early damage to the hearing organ in the form of cochlear neuritis, complicated by sensorineural hypoacusis. The combination of high doses of glucocorticosteroids and cyclophosphamide is still the “gold” standard for the treatment of severe cases, but the use of biological agents such as rituximab or mepolizumab seems to be a promising therapeutic alternative (4 figs, bibliography: 3 refs).
Full Text
ВВЕДЕНИЕ
Эозинофильный гранулематозный полиангиит (ЭГПА) относится к системным васкулитам с преимущественным поражением сосудов малого и среднего калибра. Заболевание известно с 1951 г. и впервые было описано J. Churg и L. Strauss [1]. Чаще болеют мужчины (1,1 : 1–3 : 1) в возрасте 35–45 лет [2]. В течении ЭГПА обычно выделяют несколько фаз, следующих друг за другом [3]. В начальную, продромальную фазу развиваются аллергический ринит, синусит (с полипозом носа или без него) и бронхиальная астма (БА), которые персистируют в течение нескольких лет. Вторая фаза болезни характеризуется эозинофилией и эозинофильными инфильтратами в различных органах, включая легкие и желудочно-кишечный тракт (ЖКТ). Последняя фаза ассоциирована с наличием васкулитов, полиорганных поражений и конституциональных симптомов (лихорадка, снижения массы тела, слабость и утомляемость).
Однако диагностику ЭГПА крайне затрудняют полиморфность клинической картины, неодновременное появление основных симптомов и нарушение стадийности процесса.
Ниже представляем клинический случай, демонстрирующий позднюю диагностику атипичного течения ЭГПА.
Больной М., 1953 г. р. (64 года), впервые обратился в клинику военно-морской терапии Военно-медицинской академии в 2007 г. с жалобами на чувство «заложенности» в груди, эпизоды затрудненного дыхания в ночное время или перед пробуждением, малопродуктивный кашель, постоянное нарушение носового дыхания, аносмию, редкие загрудинные боли давящего характера с иррадиацией в правое и левое плечо, появляющиеся при ходьбе на расстояние 150–200 м, продолжающиеся в течение нескольких минут, прекращающиеся при снижении нагрузки, потерю в весе (8 кг за 3 года), снижение слуха, ухудшение зрения.
Из анамнеза: в 1987 г. (в возрасте 34 лет) был диагностирован инфаркт миокарда (ИМ), расцененный как трансмуральный, но к моменту выписки на электрокардиограмме (ЭКГ) оставались признаки мелкоочагового ИМ. Тогда же перенес неврит слухового нерва справа, а через год — двусторонний кохлеарный неврит с развитием стойкой двусторонней сенсоневральной тугоухости. В 1998 г. — повторный Q-инфаркт миокарда в области нижней стенки левого желудочка. В то же время при лабораторных исследованиях определялась эозинофилия крови до 20 %, не имеющая диагностического объяснения.
С 2000 г. пациента беспокоит нарушение носового дыхания, которое расценивалось как аллергический синусит. В это время впервые появляются эпизоды затрудненного дыхания. Выявлена аллергия на пыль, шерсть животных, холодовая реакция. При исследовании уровень иммуноглобулинов Е (IgE) составлял 200 МЕ/мл (норма — 1–87 МЕ/мл), эозинофилия крови до 25 %, впервые был установлен диагноз: БА, смешанная форма (атопическая и инфекционно-зависимая). С 53 лет постоянно ингалирует будесонид 200 мкг/сут и формотерол 12 мкг/сут.
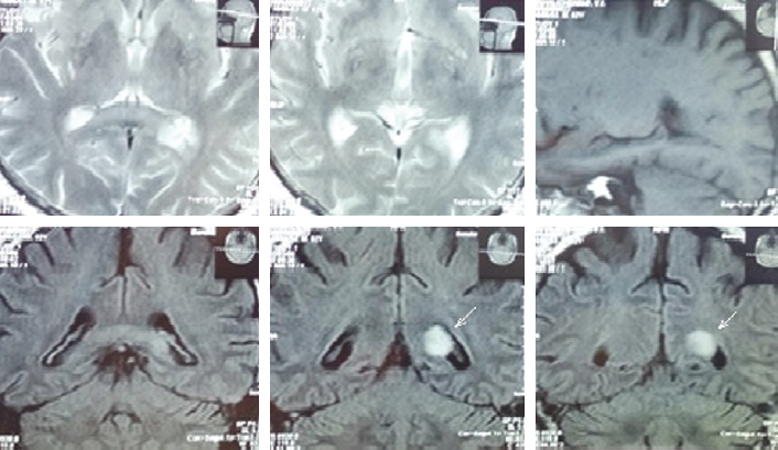
В марте 2006 г. внезапно появились нарушения чувствительности в правой половине лица, тела и конечностей; ухудшение зрения на правый глаз (диагноз офтальмолога: эрозия роговицы, снижение остроты зрения на правый глаз). При магнитно-резонансной томографии (МРТ) данных за острое нарушение мозгового кровообращения (ОНМК) получено не было, однако выявлено глиальное образование размерами 2,3 × 1,5 × 0,8 мм в проекции щипцов мозолистого тела и заднего рога левого бокового желудочка (рис. 1).
Рис. 1. МРТ головного мозга. Выявлено глиальное образование размерами 2,3 × 1,5 × 0,8 мм в проекции щипцов мозолистого тела и заднего рога левого бокового желудочка
С 2013 г. — ежегодные госпитализации в клинику в связи с обострениями БА, для купирования которых требовались короткие курсы парентеральных глюкокортикостероидов (ГКС). В 2014 г. — внегоспитальная пневмония в нижней доле слева при нормальных значениях лейкоцитов и СОЭ, эозинофилия до 12 %, повышение уровня IgE до 252 МЕ/мл. Через 3 года — внегоспитальная пневмония в верхней доле левого легкого. В крови эозинофилия до 25 %, IgE до 535 МЕ/мл.
В марте 2016 г. появились жалобы на онемение в левой стопе. Выполнена МРТ головного мозга, при которой паравентрикулярно в правой лобной доле выявлен участок кистозно-глиозных изменений диаметром 30 мм. МР-картина последствий ОНМК в бассейне правой среднемозговой артерии, дисциркуляторной энцефалопатии, расширение субарахноидального пространства.
Из анамнеза жизни. Наследственная предрасположенность к БА отсутствует. Курил в течение 16 лет по 20 сигарет в день, длительное время имел контакт с СВЧ-облучением. Аллергологический анамнез отягощен: признаки бытовой (домашняя пыль) и эпидермальной (шерсть домашних животных) сенсибилизации.
Объективный статус. Состояние удовлетворительное. Кожные покровы обычного цвета, чистые. Периферических отеков нет. Пульс 82 в мин, ритмичный. Границы сердца не изменены. Тоны сердца ритмичные, акцент II тона над аортой, АД 130 и 80 мм рт. ст. Дыхание через нос затруднено. Число дыхательных движений — 17 в мин. Перкуторно над легкими определяется ясный легочный звук. При аускультации дыхание жесткое, выслушиваются рассеянные сухие свистящие и жужжащие хрипы. Живот мягкий, безболезненный при пальпации. Печень, селезенка не увеличены.
Ретроспективный анализ лабораторно-инструментальных показателей: с 2000 г. (с 47 лет) — эозинофилия до 25 %, максимальное повышение IgE до 535 МЕ/мл, РФ <30 МЕ/мл.
Антитела к антигенам гельминтов не обнаружены. С 53 лет выявлено повышение уровня холестерина до 6,5 ммоль/л, в связи с чем был назначен прием статинов. В 64 года впервые выполнено исследование на наличие антител к цитоплазме нейтрофилов (ANCA), которые не были обнаружены в крови.
На серии ЭКГ в динамике фиксируются рубцовые изменения в области нижней стенки. Эхокардиография: гипокинезия в базальном отделе нижней стенки и нижне-перегородочной области. Общая сократительная функция сохранена. При исследовании функции внешнего дыхания: умеренно выраженные обструктивные нарушения (форсированная жизненная емкость легких (ФЖЕЛ) — 97 %; ФЖЕЛ1–70 %; индекс Генслара — 55 %) с положительным бронходилатационным тестом (прирост объема форсированного выдоха за первую секунду маневра форсированного выдоха (ОФВ1) до 27 %).
При повторных рентгенограммах легких в 2007, 2012, 2014 гг. выявлены признаки умеренного перибронхиального пневмофиброза с элементами преходящей гиповентиляции в средней доле правого легкого и язычковых сегментах левого легкого.
Мультиспиральная компьютерная томография грудной клетки (МСКТ) в марте 2017 г. (в возрасте 63 года): в S4 и S10 справа, в S8 слева выявлены линейные пневмофиброзы, центрилобулярная булла диаметром 7 мм в S1 правого легкого.
На рентгенограмме придаточных пазух носа (ППН) с 2007 по 2016 г. — утолщение слизистой оболочки гайморовых пазух с признаками осумкованной жидкости справа. На МСКТ ППН в марте 2017 г. выявлен левосторонний пансинусит (рис. 2).
Рис. 2. Мультиспиральная компьютерная томография придаточных пазух носа. Выявлен левосторонний пансинусит. Пристеночное утолщение слизистой оболочки правой половины лобной пазухи, правой верхнечелюстной и основной пазухи. Носовой цикл нарушен. Искривление носовой перегородки
В апреле 2017 г. выполнена биопсия слизистой оболочки среднего носового хода с 2 сторон: во фрагментах слизистой оболочки обнаружены очаговые полиповидные выросты и отек, субэпителиальная диффузная лейкоцитарная и лимфоплазмоцитарная инфильтрация, что соответствует картине хронического полипозного синусита.
После комплексного клинико-лабораторного обследования специалистами был поставлен диагноз «хронический полипозный синусит; бронхиальная астма (атопическая, инфекционно-зависимая, гиперреактивность бронхов), частично контролируемая, средней степени тяжести; аллергическая полипозная риносинусопатия».
Неврологом поставлен диагноз «ОНМК в бассейне правой средней мозговой артерии неизвестной давности, сенсорная полинейропатия нижних конечностей».
На основании многообразия клинических проявлений со стороны дыхательной, сердечно-сосудистой, центральной и периферической нервной систем, а также наличия гиперэозинофилии сложилось представление об ЭГПА.
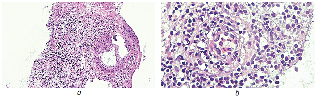
В апреле 2017 г. выполнена биопсия слизистой оболочки среднего носового хода с 2 сторон. При гистологическом исследовании слизистая оболочка была выстлана эпителием респираторного типа, с участком эрозивно-некротического поражения и выраженной лейкоцитарной экссудацией с примесью фибрина; краевой эпителий отличался распространенной плоскоклеточной метаплазией (рис. 3, а), участками склероза и гиалиноза субэпителиальных пространств. В области изъязвления определялась смешанная лимфоплазмоцитарная инфильтрация с примесью нейтрофильных и эозинофильных лейкоцитов, выраженная отечность стромы с расширенными сосудами. Отдельные сосуды венуллярного типа и единичные артериолы — с признаками продуктивного васкулита, большинство венул дилатированы; в просветах большинства — скопления эозинофильных лейкоцитов (рис. 3, б).
Рис. 3. а — эрозивно-некротическое поражение слизистой оболочки носа, распространенная плоскоклеточная метаплазия покровного эпителия; б — плотная лимфоплазмоцитарная инфильтрация слизистой оболочки носа, продуктивный васкулит с преобладанием эозинофильных лейкоцитов
В гистологическом заключении отмечена картина очагового язвенно-некротического поражения слизистой оболочки носа с признаками хронизации воспалительного процесса, продуктивного васкулита и выраженным эозинофильноклеточным компонентом воспаления.
Проведена консультация ревматолога с последующей госпитализацией в ГБУЗ СПб КРБ № 25. Установлен диагноз: эозинофильный гранулематоз с полиангиитом, ANCA негативный, IgE-позитивный, активность умеренная, с поражением сердца (инфаркты миокарда в 1987, 1998 гг.), легких (синдром бронхиальной астмы), лор-органов (аллергический ринит, полипозный синусит, двусторонний кохлеарный неврит с исходом в двустороннюю нейросенсорную тугоухость), периферической и центральной нервной системы (сенсорная полинейропатия, ОНМК неизвестной давности).
Была проведена терапия преднизолоном в дозе 20 мг/сут, продолжена базисная терапия формотерол + будесонид в дозе 24/800 мкг/сут. Через 3 мес лечения у пациента впервые за много лет восстановилось носовое дыхание и обоняние, удалось снизить дозу и кратность приема бронхолитиков и ингаляционных ГКС, по данным спирометрии ОФВ1 сохранялась на уровне 70 % с положительной реакцией на бронхолитики, улучшилась переносимость физических нагрузок (отсутствуют ангинозные приступы), уменьшились неврологические нарушения. В анализах крови — эозинофилов 1 %, СОЭ — 7 мм/ч. На повторной МСКТ придаточных пазух носа — пристеночное утолщение слизистой оболочки пазух носа и решетчатого лабиринта с обеих сторон. Носовой цикл сохранен. Значительная положительная динамика по сравнению с предыдущим исследованием (рис. 4).
Рис. 4. Мультиспиральная компьютерная томография придаточных пазух носа через 3 мес после лечения. В левой верхнечелюстной пазухе остается кистоподобное образование. Носовой цикл сохранен. Значительная положительная динамика
ОБСУЖДЕНИЕ
Классификационные критерии ЭГПА разработаны Американской коллегией ревматологов (American college of Rheumatology) и включают в себя бронхиальную астму, аллергический ринит, эозинофилию более 10 %, системную патологию (множественный мононеврит, легочные инфильтраты, кардиомиопатию) [4]. Наличие 4 и более критериев позволяет поставить диагноз ЭГПА с чувствительностью 85 % и специфичностью 99 % [4, 8].
Приведенное клиническое наблюдение демонстрирует атипичное течение ЭГПА. У нашего пациента отсутствовала четкая стадийность и последовательность развития процесса. Заболевание началось с полиангиита (инфаркта миокарда), который развился за 13 лет до появления ринита, приступов БА и эозинофилии. По данным разных авторов, частота поражения сердца при ЭГПА составляет 28–47 % [4, 8]. Наиболее значимыми считают развивающиеся коронарииты, манифестирующие острые коронарные синдромы как с подъемом сегмента ST, так и без него. По данным аутопсии у 50 % больных ЭГПА выявляют поражения коронарных артерий, не диагностированные при жизни [5, 6]. Кардиомиопатия является основным независимым предиктором смерти у больных с ЭГПА, причем другим независимым параметром неблагоприятного прогноза является молодой возраст [7]. В 48 % случаев главной причиной летальных исходов у пациентов с ЭГПА является сердечная недостаточность [8].
ЭГПА относится к ANCA-ассоциированным васкулитам, однако непосредственно ANCA обнаруживаются лишь у 2/3 (40–60 %) больных, причем для ANCA-негативного ЭГПА характерны легочные инфильтраты и более частое и тяжелое поражение сердца (коронариит, перикардит, нарушение сердечного ритма, сердечная недостаточность) [9, 10], но реже встречаются почечные поражения. При ANCA-негативном варианте чаще выявляется высокий титр IgE.
Течение инфаркта миокарда у описываемого пациента имело свои особенности: трансмуральный инфаркт на фоне терапии гепарином трансформировался в мелкоочаговый (за счет активации фибринолитических свойств крови, иммуносупрессивного действия препарата и улучшения коронарного кровотока). Повышение уровня холестерина и его фракций у пациента М. начинается только с 53 лет, что не подтверждает атеросклеротический генез инфаркта.
К отличительным особенностям данного случая следует отнести раннее поражение органа слуха в виде кохлеарного неврита, осложнившегося нейросенсорной тугоухостью. Хронический отит и ухудшение слуха относят к числу редких и поздних осложнений [11].
Органы дыхания при ЭГПА становятся основной «мишенью». По литературным данным, аллергический ринит встречается более чем у 70 % больных ЭГПА [12, 13]. У большинства пациентов одним из первых проявлений является БА, которая возникает в молодом возрасте, довольно часто без признаков атопии и семейного анамнеза аллергических заболеваний [12]. У больного М. симптомы поражения верхних дыхательных путей (аллергический ринит, поллиноз), приступы БА и эозинофилия появились только через 10 лет от начала васкулита. Как правило, БА с самого начала или на определенном этапе становится сложной для терапии, характеризуется повторными обострениями, требующими назначения системных ГКС. Рецидивы приступов БА возникают при снижении дозы ГКС, предшественником которых служит повышение уровня эозинофилов в периферической крови [14]. В этих случаях именно терапия ингаляционными ГКС, особенно в большой дозе, приводит к задержке диагностики ЭГПА. Функциональные легочные тесты кроме характерных для БА обструктивных изменений могут зафиксировать снижение диффузионной способности легких. Часто у больных с подозрением на ЭГПА выявляют эпизоды эозинофильного поражения легких по типу пневмоний.
На момент постановки диагноза эозинофилию крови (до 75 % и более) [15, 16] выявляют приблизительно у 80 % больных, при этом наблюдают быстрое снижение эозинофилов в ответ на терапию системными ГКС [15]. Более специфичным тестом для диагностики ЭГПА служит цитологический анализ бронхоальвеолярного лаважа (БАЛ) — доля эозинофилов среди всех клеток БАЛ часто превышает 10 % [16, 17]. Сочетание БА с патологией верхних дыхательных путей, в частности аллергическим ринитом и синусопатией, является диагностическим критерием синдрома. По мнению многих авторов [12, 13], аллергический ринит и риносинусопатия являются предиктором более благоприятного течения заболевания [18]. Средний интервал между диагностикой БА и ЭГПА составляет 9 лет [14], хотя в литературе описан случай, когда он составил 50 лет [12]. У пациента М. этот процесс занял около 30 лет.
По данным литературы, при поражении нервной системы чаще встречаются множественные мононевриты с последующим развитием полинейропатии [19, 20]. У каждого 4-го пациента с ЭГПА появляются признаки поражения центральной нервной системы в виде расстройств в эмоциональной сфере, реже развиваются геморрагический инсульт и инфаркт мозга, еще реже инфильтрация основания черепа эозинофильными гранулемами. [11, 12, 20]. У больного М. по мере прогрессирования заболевания произошло развитие поражения центральной (глиальное образование основания мозга и ОНМК) и периферической (полинейропатия) нервной системы. ОНМК было расценено как проявление церебрального полиангиита.
Поражение почек встречаются редко. Относительно часто встречаются васкулиты и эозинофильные инфильтраты ЖКТ, проявляющиеся абдоминальной болью, диареей, желудочно-кишечными кровотечениями. Из поражений скелетно-мышечной системы в фазу васкулитов выявляются миалгии, мигрирующие артралгии, реже — артриты [21]. Вышеописанных проявлений у больного М. выявлено не было.
Благодаря тщательно собранному анамнезу, участию специалистов разного профиля, ретроспективному анализу лабораторных и инструментальных данных удалось верифицировать диагноз.
Комбинация высоких доз ГКС и циклофосфамида по-прежнему является «золотым» стандартом для лечения тяжелых случаев, но перспективной терапевтической альтернативой представляется использование биологических агентов, таких как ритуксимаб или меполизумаб [22, 23]. В настоящее время продолжено наблюдение за больным.
ЗАКЛЮЧЕНИЕ
Описанный случай демонстрирует трудности диагностики ЭГПА, особенности его клинических проявлений, выбора необходимого объема терапии в связи с выраженностью полиорганных поражений. Проявления ЭГПА часто имеют сходство с эозинофильными заболеваниями легких (идиопатическая хроническая эозинофильная пневмония, аллергические бронхолегочные микозы, реакции на лекарственные препараты, идиопатический гиперэозинофильный синдром, паразитарная инвазия, аллергические заболевания) и тяжелой неконтролируемой БА, что существенно затрудняет постановку диагноза. При дифференциальной диагностике системных васкулитов решающее значение имеют оценка начальных клинических проявлений, ANCA-тестирование, МСКТ органов грудной клетки и диагностическая биопсия пораженных тканей.
Случай представляет интерес не только для врачей-ревматологов, в клинической практике которых часто встречаются пациенты с системными васкулитами, но и для терапевтов, пульмонологов, кардиологов, неврологов, отоларингологов.
ДОПОЛНИТЕЛЬНАЯ ИНФОРМАЦИЯ
Источник финансирования. Финансирование данной работы не проводилось.
Конфликт интересов. Авторы декларируют отсутствие явных и потенциальных конфликтов интересов, связанных с публикацией настоящей статьи.
Этическая экспертиза. Проведение исследования одобрено локальным этическим комитетом ФГБВОУ ВО «Военно-медицинская академия имени С.М. Кирова».
Вклад авторов. Все авторы внесли существенный вклад в проведение исследования и подготовку статьи, прочли и одобрили финальную версию перед публикацией.
About the authors
Evgeniy V. Kryukov
S.M. Kirov Military Medical Academy
														Email: grishaev_med@mail.ru
				                	ORCID iD: 0000-0002-8396-1936
				                	SPIN-code: 3900-3441
							Scopus Author ID: 57208311867
							ResearcherId: AAO-9491-2020
				                								
Corresponding Member of the Russian Academy of Sciences, M.D., D.Sc. (Medicine), Professor
Russian Federation, 6, Akademika Lebedeva str., Saint Petersburg, 194044Dmitriy V. Cherkashin
S.M. Kirov Military Medical Academy
														Email: grishaev_med@mail.ru
				                	ORCID iD: 0000-0003-1363-6860
				                	SPIN-code: 2781-9507
																		                								
Honored Doctor of the Russian Federation, M.D., Sc.D. (Medicine), Professor
Russian Federation, 6, Akademika Lebedeva str., Saint Petersburg, 194044Sergey L. Grishaev
S.M. Kirov Military Medical Academy
							Author for correspondence.
							Email: grishaev_med@mail.ru
				                	ORCID iD: 0000-0002-4830-5220
				                	SPIN-code: 3854-1566
																		                								
M.D., D.Sc. (Medicine), Professor
Russian Federation, 6, Akademika Lebedeva str., Saint Petersburg, 194044Sayora A. Turdialieva
S.M. Kirov Military Medical Academy
														Email: grishaev_med@mail.ru
				                	ORCID iD: 0000-0002-9481-8748
				                	SPIN-code: 5970-8341
																		                								
M.D., Ph.D. (Medicine), Associate Professor
Russian Federation, 6, Akademika Lebedeva str., Saint Petersburg, 194044Elena A. Mozharovskaya
Clinical rheumatological hospital No. 25
														Email: grishaev_med@mail.ru
				                	ORCID iD: 0000-0002-1095-3142
				                																			                												                	Russian Federation, 							Saint Petersburg						
Natal’ya V. Sharova
S.M. Kirov Military Medical Academy
														Email: grishaev_med@mail.ru
				                	ORCID iD: 0000-0002-0120-0632
				                	SPIN-code: 5591-9782
																		                								
Honored Worker of Higher School of the Russian Federation, M.D., Ph.D. (Medicine), Associate Professor
Russian Federation, 6, Akademika Lebedeva str., Saint Petersburg, 194044Ol'ga M. Kudrina
S.M. Kirov Military Medical Academy
														Email: grishaev_med@mail.ru
				                	ORCID iD: 0000-0001-9782-8020
				                	SPIN-code: 2986-5318
																		                								
M.D., Ph.D. (Medicine), Associate Professor
Russian Federation, 6, Akademika Lebedeva str., Saint Petersburg, 194044Sergey L. Vorobyov
National center for clinical morphological diagnostics
														Email: grishaev_med@mail.ru
				                	ORCID iD: 0000-0002-7817-9069
				                	SPIN-code: 5920-0603
																		                								
M.D., Ph.D. (Medicine)
Russian Federation, Saint PetersburgReferences
- Churg J, Strauss L. Allergic granulomatosis, allergic angiitis and periarteritis nodosa. Am J Pathol. 1951;27(2):277–301. PMID: 14819261
- Nasonov E.L., ed. Rheumatology: national leadership. Moscow: GEOTAR-Media Publisher; 2010. 464 p. (In Russ.)
- Guillevin L, Cohen P, Gayraud M, et al. Churg-Strauss syndrome. Clinical study and longterm follow-up of 96 patients. Medicine (Baltimore). 1999;78(1):26–37. doi: 10.1097/00005792-199901000-00003
- Masi AT, Hunder GG, Lie JT, et al. The American College of Rheumatology for the classification of Churg-Strouss syndrome (allergic granulomatosis avgiitis). Arthritis Rheum. 1990;33(8):1094–1100. doi: 10.1002/art1780330806
- Korantzopoulos P, Papaioannides D, Siogas K. The heart in Wegener’s granulomatosis. Cardiology. 2004;102(1):7–10. doi: 10.1159/000076995
- Lanham JG, Elkon KB, Pusey CD, et al. Systemic vasculitis with asthma and eosinophilia: a clinical approach to the Churg-Strauss syndrome. Medicine (Baltimore). 1984;63(2):65–81. doi: 10.1097/00005792-198403000-00001
- Savchuk EA, Petrov AV, Ioshina NN, et al. Neurological complications of eosinophilic vasculitis (clinical case). Krymskiy terapevticheskiy zhurnal. 2015; 3(26):69–73. (In Russ.)
- Lie JT, Bayardo RJ. Isolated eosinophilic coronary arteritis and eosinophilic myocarditis. A limited form of Churg-Strauss syndrome. Arch Pathol Lab Med. 1989;113(2):199–201. PMID: 2916909
- Sable-Fourtassou R, Cohen P, Mahr A, et al. Antineutrophil Cytoplasmic Antibodies and the Churg-Strauss. An Intern. Med. 2005; 143(9):632–638. doi: 10.7326/0003-4819-143-9-200511010-00006
- Comarmond C, Pagnoux C, Khellaf M, et al. Eosinophilic granulomatosis with polyangiitis (Churg-Strauss): clinical characteristics and long-term followup of the 383 patients enrolled in the French Vasculitis Study Group cohort. Arthritis Rheum. 2013;65(1):270–281. doi: 10.1002/art37721
- Durel CA, Berthiller J, Caboni S, et al. Long-Term Followup of a Multicenter Cohort of 101 Patients with Eosinophilic Granulomatosis with Polyangiitis (Churg-Strauss). Arthritis Care Res (Hoboken). 2016;68(3):374–387. doi: 10.1002/acr22686
- Baldini C, Della Rossa A, Grossi S, et al. Churs-Strauss syndrome: outcome and long-term follow-up 38 patients from a single Italian centre. Reumatismo. 2009;61(2):118–124. doi: 10.4081/reumatismo.2009.118
- Knyaz’kova II, Shapovalova LV, Korchevskaya AI. Diagnosis of Charge-Strauss Syndrome. Zdorov'ya Ukraïni. 2013;4(29):32–33. (In Russ.)
- Avdeev SN, Karchevskaya NA, Zubairova PI. Sindrom Cherje-Strauss Syndrome as a cause of refractory bronchial asthma. Pul’monologiya i allergologiya. 2009;(1):42–46. (In Russ.)
- Anayev EH, Chuchalin AG. Pulmonary eosinophilia: diagnosis, treatment approaches. Pul’monologiya. 2012;(4):106–115. (In Russ.)
- Kawakami T, Soma Y, Kawasaki K, Kawase A, Mizoguchi M. Initial cutaneous manifestations consistentwith mononeuropathy multiplex in Churg-Strauss syndrome. Arch Dermatol. 2005;141(7):873–878. doi: 10.1001/archderm.141.7.873
- Beketova TV, Volkov MYu, Nasonov EL. International recommendations for the diagnosis and treatment of eosinophilic granulomatosis with polyangiitis // Nauchno-prakticheskaya revmatologiya. 2016;54(2):129–137. (In Russ.) doi: 10.1412/1995-4484-2016-129-137
- Wechsler ME. Pulmonary eosinophilic syndromes. Immunol Allergy Clin N Am. 2007;27:477–492. doi: 10.1016/jiac200707005
- Strizhakov LA, Moiseev SV, Kogan BA. Heart damage in systemic vasculitis: pathogenetic links, the value of risk factors for the development of cardiovascular complications and diagnosis. Terapevticheskiy arkhiv. 2014;12(2):35–42. (In Russ.)
- Greco A, Rizzo MI, De Virgilio A, et al. Churg–Strauss syndrome. Autoimmun Rev. 2015;14(4):341–348. doi: 10.1016/jautrev201412004
- Radenska-Lopovok SG, Kotenko ON, Frolova NF, et al. Rare combination of rheumatic polymyalgia with AA-amyloidosis. Arkhiv patologii. 2017;79(2):53–57. (In Russ.) doi: 10.17116/patol201779253-57
- Guillevin L, Pagnoux C, Seror R, et al. The Five-Factor Score revisited: assessment of prognoses of systemic necrotizing vasculitis based on the French Vasculitis Study Group (FVSG) cohort. Medicine (Baltimore). 2011;90(1):19–27. doi: 10.1097/MD0b013e318205a4c6
- Keogh KA, Specks U. Churg–Strauss syndrome: clinical presentation, antineutrophil cytoplasmic antibodies, and leukotriene receptor antagonists. Am J Med. 2003;115(4):284–290. doi: 10.1016/s0002-9343(03)00359-0
Supplementary files
 
				
			 
					 
						 
						 
									
 
  
  
  Email this article
			Email this article 






 СМИ зарегистрировано Федеральной службой по надзору в сфере связи, информационных технологий и массовых коммуникаций (Роскомнадзор).
 СМИ зарегистрировано Федеральной службой по надзору в сфере связи, информационных технологий и массовых коммуникаций (Роскомнадзор).