On the question of the origin of vaginal cysts. Cyst of the anterior vaginal wall
- Authors: Khomitskiy P.V.1
-
Affiliations:
- Gynecological clinic prof. V.F.Snegireva at Moscow University
- Issue: Vol 8, No 12 (1894)
- Pages: 1054-1061
- Section: Articles
- Submitted: 12.12.1894
- Accepted: 18.09.2020
- Published: 12.12.1894
- URL: https://journals.eco-vector.com/jowd/article/view/44389
- DOI: https://doi.org/10.17816/JOWD8121054-1061
- ID: 44389
Cite item
Full Text
Abstract
On the 20th of January of this year, I was invited to visit a sick woman, the sister of one of my Moscow comrades. A sick, intelligent person, 38 years old, came for treatment from the Chernigov province, comes from a very healthy family.
Full Text
Въ 20-хъ числахъ января настоящаго года я былъ приглашенъ къ больной, сестрѣ одного изъ московскихъ товарищей. Больная, интеллигентная особа, 38-ми лѣтъ, пріѣхала для лѣченія изъ Черниговской губерніи, происходитъ изъ очень здоровой семьи; въ дѣтствѣ перенесла корь, на 23-мъ году нетяжелый брюшной тифъ, на 28-мъ—дифтеритъ съ послѣдующимъ параличемъ n—vі facialis dextri, прошедшимъ при лѣченіи; съ дѣтства страдаетъ двухсторонней hemicrani’ей. Менструировала до послѣднихъ двухъ лѣтъ совершенно правильно, а за послѣдніе два года регулы стали запаздывать, ходятъ мѣсяца черезъ 2—3, но такъ-же, какъ и раньше, по 5—6 дней, безболѣзненно, 10 лѣтъ была замужемъ за первымъ мужемъ, но не имѣла coitus’a и никакого полового желанія; 7 лѣтъ назадъ вышла замужъ вторично и съ тѣхъ поръ начала сношеніе, относясь къ нему со страхомъ и отвращеніемъ. 2 раза родила безъ послѣдующихъ заболѣваній, только первые роды были очень продолжительны: трое сутокъ. Послѣдняго родила 11/2 года тому назадъ. Перваго ребенка выкормила сама, а второго кормила только 3 мѣсяца, страдая нервнымъ разстройствомъ; вообще, больная — крайне нервна и о своемъ состояніи не можетъ говорить иначе, какъ со слезами и какой-то робостью. За послѣдніе 2 года coitus отсутствуетъ за невозможностью совершать оный. Кровотеченіями и бѣлями никогда не страдала. Иногда чувствуетъ незначительныя, тянущія боли въ поясницѣ и внизу живота при движеніяхъ. Шесть лѣтъ назадъ, вскорѣ послѣ первыхъ родовъ, стала замѣчать выхожденіе чего-то изъ влагалища. До послѣдняго года, при покойномъ положеніи больной на спинѣ, опухоль эта самопроизвольно вправлялась. При попыткахъ къ мочеиспусканію, больная должна была выводить опухоль наружу; само мочеиспусканіе учащено; на ходу при позывахъ моча выдѣляется непроизвольно, если больная медлитъ мочиться; мочеиспусканіе не вліяло и не вліяетъ ни на форму, ни на размѣры опухоли. За послѣдній годъ опухоль не вправляется ни самостоятельно, ни насильственно, и за это время она значительно увеличилась, оставаясь, какъ и раньше, совершенно безболѣзненной.
При осмотрѣ оказалось: изъ половой расщелины непосредственно подъ мочеиспускательнымъ отверстіемъ свѣшивается мягкая, зыблющаяся, величиной съ кулакъ, опухоль съ тонкими, гладкими, темнокрасными стѣнками, мало подвижная у своего широкаго основанія; книзу (кзади) она безъ ясныхъ границъ прикрѣпляется къ маткѣ, передняя губа которой совсѣмъ изглажена. Наружное маточное отверстіе сагитально-щелевидно съ мелкими, старыми рубчиками по окружности. Промежность разорвана во 2-й степени; матка плотно прилегаетъ къ ней. Приподнявъ матку кверху, съ трудомъ и нѣкоторой болѣзненностью для больной удалось ввести палецъ по задней стѣнкѣ влагалища и нащупать удлиненную шейку матки; но задній сводъ такимъ путемъ не достигся. При наружномъ изслѣдованіи дно матки въ плоскости тазоваго входа не находится.
Попытка вправить опухоль оказалась недостижимой. Инструментальнаго изслѣдованія пузыря и матки произведено не было: во первыхъ, въ виду исключительной нервозности больной, а во вторыхъ потому, что за два дня передъ тѣмъ она была изслѣдована опытнымъ гинекологомъ подъ бромъ-этиловымъ наркозомъ, и все-таки ему не удалось ни катетеризировать пузырь, ни вправить опухоль. Не смотря на соблазнительную простоту напрашивавшагося самого собой діагноза cystocele, онъ не былъ окончательно установленъ вслѣдствіе полной независимости и неизмѣняемости опухоли отъ мочеиспусканія, необходимости со стороны больной за первое время ея существованія выводить ее наружу для опорожненія пузыря, (явленіе обратное наблюдаемому при cystocele, гдѣ иногда необходимо вправленіе при попыткахъ къ мочеиспусканію), затѣмъ вслѣдствіе невозможности катетеризаціи неудавшейся въ рукахъ опытнаго товарища даже подъ наркозомъ.
Не теряя надежды на хотя относительное вправленіе и болѣе точное выясненіе такимъ путемъ происхожденія опухоли, больной было рекомендовано покойное положеніе на спинѣ съ приподнятымъ тазомъ и прикладываніе компрессовъ изъ свинцовой примочки со льдомъ. Опухоль ни мало не втянулась, а пришедшіе черезъ два дня регулы сдѣлали ее какъ-бы больше и еще неуступчивѣй. Изслѣдованная за это время моча оказалась высокаго удѣльнаго вѣсу, 1029, отъ обильнаго содержанія мочекислыхъ солей, безъ всякихъ патологическихъ примѣсей.
5-го февраля больная была показана проф. Владиміру Федоровичу Снегиреву, которымъ высказано было предположеніе существованія кисты передней стѣнки влагалища, и больная принята въ клинику для оперативнаго пособія. При наблюденіи ея до операціи катетеризація ни разу не удалась, при зондированіи-же матки, она опредѣлилась въ легкой подвижной ретроверсіи съ полостью, увеличенной въ длину до 12 ctm. и расширенной. Задній сводъ ручнымъ изслѣдованіемъ все-же не достигался отъ стѣсненія влагалищнаго входа отодвинутой кзади маткой опухолью, что, конечно, ясно указало увеличеніе средней части маточной шейки. 8-го февраля подъ полнымъ наркозомъ Владиміромъ Федоровичемъ произведена операція по методу полнаго изсѣченія кисты. Вслѣдствіе тонкости стѣнокъ, при вылущеніи въ нижней части, оболочка вскрылась, и черезъ образовавшійся просвѣтъ вылилась большая часть содержимаго кисты: темнобурая, отъ бывшаго, вѣроятно, въ полость ея кровоизліянія, жидкость, щелочной реакціи, свернувшаяся при отстаиваніи. Микроскопически въ ней нашли: безцвѣтные и красные кровяные шарики, по большей части, измѣненные, фибринъ и зернистые шары. Получившійся по отнятіи кисты продольнолинейный разрѣзъ соединенъ неприрывнымъ кетгутовымъ швомъ. При зондированіи уретры зондъ проникалъ сантиметра на 3 подъ основаніе кисты книзу въ бывшее urethrocele, препятствовавшее катетеризаціи.
При хорошемъ послѣопераціонномъ теченіи (prima intentio) больная съ 18-го февраля начала ходить. Катетеризація свободна. 20 февраля сдѣлана amputatio colli uteri et perineoraphia по Lawson-Tait’y. 10 марта больная выписалась вполнѣ здоровой: матка высоко подтянулась, кверху, инвольвировалась, лежитъ въ антеверсіи, влагалище свободно, мочеиспусканіе совершенно правильно.
Случай нашъ имѣетъ большой интересъ, во первыхъ, какъ представлявшій значительныя діагностическія трудности; во вторыхъ, urethrocele, бывшее у нашей больной — явленіе рѣдкое, Winckel 1) напр., въ своемъ спеціальномъ руководствѣ болѣзней женскихъ, мочеиспускательнаго канала и пузыря приводитъ всего 4 случая; въ третьихъ ― киста была величиной съ кулакъ, занимала всю переднюю стѣнку влагалища — такая величина влагалищной кисты также рѣдкость; въ четвертыхъ — кисты влагалища сами по себѣ — явленіе далеко не частое, представляющее казуистическій интересъ, и наконецъ, анатомическое происхожденіе ихъ до сихъ поръ не выяснено въ достаточной мѣрѣ.
Изъ кистъ влагалища, прежде всего слѣдуетъ совершенно исключить воздушныя кисты kolpohyperplasiae cysticae Winckel’я, или vaginitis vesiculosa Schmolling’а или vaginitis emphysematosa Zweifel’я и мѣшетчатыя опухоли съ атероматознымъ и дермоиднымъ содержимымъ, выдающіяся во влагалищный просвѣтъ, но берущія начало не изъ влагалищной стѣнки, а изъ соединительной ткани таза. Хотя собственно кисты влагалища и рѣдкое образованіе, но казуистическихъ сообщеній о нихъ не мало; такъ уже въ 1871 году Winckel’ю 2) удалось собрать 50 случаевъ, а съ тѣхъ поръ иностранными, а отчасти и нашими русскими авторами [3]), сдѣлано много сообщеній по тому же предмету.
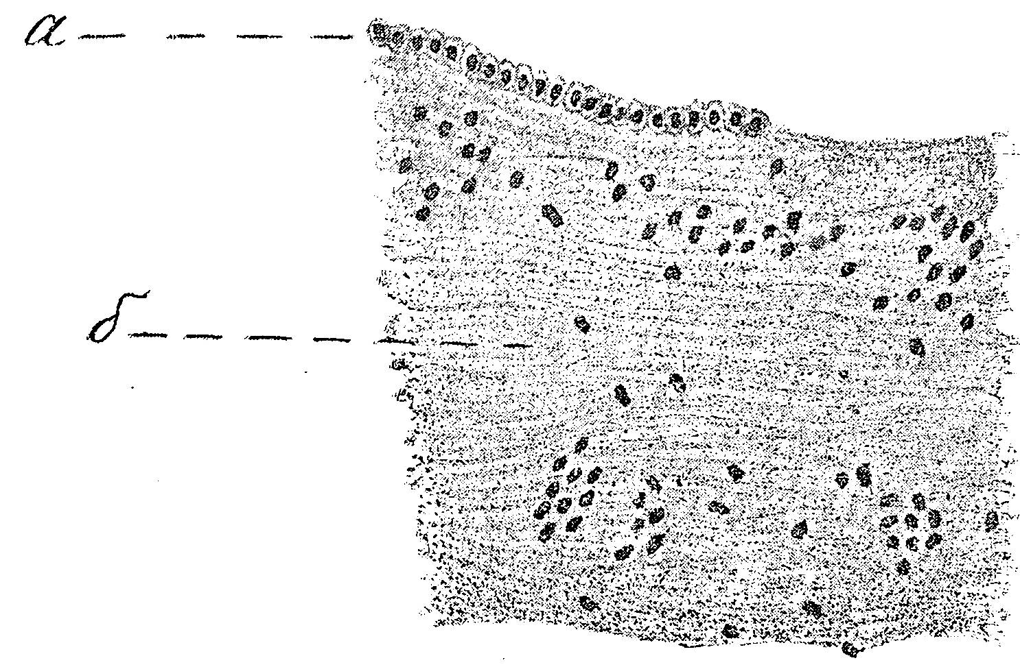
Рис. 1
Рис. 2
ОБЪЯСНЕНІЕ РИСУНКОВЪ:
- Внутренняя поверхность кисты, покрытая цилиндрическимъ эпителіемъ: а—цилиндрическій эпителій.
b—соединительная ткань.
- Наружная поверхность кисты, покрытая слизистой оболочкой влагалища:
с—многослойноплоскій эпителій.
d—базальный его слой, при поверхностномъ наблюденіи по высотѣ напоминающій цилиндрическій эпителій.
е -слизиста оболочка влагалища съ сосочкомъ.
Препараты окрашены гематоксилиномъ и эозиномъ.
Увеличеніе: Hartnack 8yst. 7., Ос. 3.
Какъ происхожденіе, такъ видъ, положеніе, строеніе, содержимое и величина кистъ весьма различны. Изъ 50 случаевъ Winckel’я въ 42 кисты принадлежали нерожавшимъ особамъ; нѣкоторые находили ихъ даже у новорожденныхъ дѣвочекъ; Huguier же [4]) по своимъ наблюденіямъ, главнымъ источникомъ происхожденія влагалищныхъ кистъ считалъ родовую травму; такого же взгляда держится и Thorn [5]), наблюдавшій ихъ чаще у рожавшихъ и смотрящій на нихъ, какъ на травматическіе экстравазаты лимфы или крови вслѣдствіе могущаго быть при родахъ травматическаго раздѣленія тканей; также и Eustache [6]) всѣ кисты влагалища ставитъ въ тѣсную зависимость отъ всякаго рода влагалищныхъ раздраженій, могущихъ будто бы давать въ клѣтчаткѣ новыя слизистыя сумки съ переходомъ ихъ въ гигромы. Kleinwaechter [7]) раздѣляетъ кисты на прирожденныя (congenita) и пріобрѣтенныя (aquisita), относя къ первымъ тѣ, которыя произошли изъ Мюллерова или Гертнерова хода, а ко вторымъ — всѣ остальныя. Veit [8]) на томъ основаніи, что у нѣкоторыхъ животныхъ, какъ у коровъ и свиней, находили во всю жизнь Гертнеровы каналы, какъ эмбріональный зачатокъ выводныхъ протоковъ Вольфовыхъ тѣлъ, первый сталъ разсматривать влагалищныя кисты, какъ рудиментарный остатокъ Вольфова хода. Съ его мнѣніемъ во многихъ случаяхъ
соглашаются Virchow [9]), Graefe [10]), Richelot [11]), V. Chalot [12]), а также W. A. Freund [13]), который вмѣстѣ съ Kaltenbach’омъ, Graefe и К. Славянскимъ [14]) признаютъ также возможнымъ происхожденіе влагалищныхъ кистъ изъ рудиментовъ Мюллерова хода.
Кисты, развившіяся изъ Мюллерова хода, необязательно располагаются съ боковъ columnarum rugarum vaginae, но могутъ находиться и на передней и на задней стѣнкѣ влагалища, такъ какъ въ эмбріональномъ періодѣ возможно спиральное расположеніе другъ къ другу Мюллер овыхъ ходовъ и послѣдующая ихъ атрезія по мѣстамъ. Выше сводовъ эти кисты, очевидно, не могутъ достигать, а кисты Гертнеровыхъ каналовъ вдаются и въ широкую связку.
Klebs допускаетъ происхожденіе влагалищныхъ кистъ изъ расширенныхъ лимфатическихъ сосудовъ между щелями соединительной ткани.
Что касается взгляда на влагалищныя кисты, какъ на ретенціонныя железистыя образованія, то мнѣнія объ этомъ авторитетныхъ ученыхъ раздѣляются.
Большинство гинекологовъ и анатомовъ, какъ Kiwisch [15]), Kölliker, Eustache и др. признаютъ, что слизистая оболочка влагалища железъ не имѣетъ, что обычно наблюдаемый въ незначительномъ количествѣ влагалищный секретъ состоитъ изъ поверхностно слущившагося (многослойно) — плоскаго эпителія и тканевого пропота, какъ это обстоятельно разработано и изложено Döderlein’омъ 16) въ его работѣ.
Нѣкоторые, какъ Graife [17]) и Славянскій [18]) полагаютъ, что железы во влагалищной слизистой оболочкѣ могутъ быть,
но какъ явленіе, во всякомъ случаѣ, рѣдкое, исключительное. Другіе, какъ Luschka, Richet, Hyrtl, Henle, Ladreit de la Charnière, Huguier, а въ особенности von Preuschen [19]) на основаніи тщательнѣйшихъ и многолѣтнихъ (70—77) изслѣдованій съ положительностью утверждаютъ о существованіи железъ въ толщѣ слизистой оболочки рукава. Послѣдній (von Preuschen) описываетъ эти железы подобно сальнымъ железамъ, построенными изъ пальцевидныхъ трубокъ, выстланныхъ простымъ слоемъ мерцательнаго цилиндрическаго эпителія, оканчивающихся по нѣскольку однимъ общимъ широкимъ концомъ (cryptae), покрытымъ уже плоскимъ, а не цилиндрическимъ эпителіемъ, такъ что присутствіе послѣдняго на внутренней поверхности кистозной стѣнки нѣкоторые, какъ Улезко-Строганова [20]), признаютъ согласно этому необязательнымъ для доказательства железистаго происхожденія кисты: киста можетъ возникнуть только изъ выводного протока железы, и тогда внутренній ея покровъ будетъ изъ плоскаго эпителія. Проф. Лебедевъ [21]), на основаніи одного случая, допускаетъ переходъ цилиндрическаго эпителія въ плоскій многослойный отъ давленія содержимаго кисты на ея стѣнки. Eppinger [22]) опять опровергаетъ этотъ взглядъ, описывая вмѣсто железъ бухтообразныя углубленія слизистой оболочки, которыя будто-бы прежними изслѣдователями и принимались за железы, не бывъ таковыми.
Въ прошломъ году появилась новая работа проф. Грамматиками [23]), гдѣ онъ, на основаніи двухлѣтнихъ анатомическихъ и микроскопическихъ изслѣдованій слизистой оболочки рукава, приходитъ къ заключенію, что на различныхъ мѣстахъ влагалищной стѣнки и даже опредѣленныхъ мѣстахъ, иногда видимыхъ невооруженнымъ глазомъ въ видѣ точечныхъ углубленій, слизистая оболочка дѣлаетъ бухто-железо-подобные ходы вглубь до 1,5 cnt., что бухты эти ни по формѣ, ни по строенію не подходятъ подъ типъ железистыхъ образованій, что онѣ только тѣмъ разнятся отъ наружной слизистой оболочки влагалища, что эпителій ихъ, какъ болѣе защищенный, сочнѣй и толще. Развитіе этихъ ходовъ по Dorhn’y относится къ 17—19 недѣлямъ утробной жизни. Настоящихъ-же железъ слизистая оболочка влагалища не имѣетъ.
Микроскопическое изслѣдованіе нашей кистозной стѣнки показало несомнѣнное присутствіе цилиндрическаго эпителія на нѣкоторыхъ мѣстахъ внутренней, совершенно гладкой, поверхности ея, тамъ-же, гдѣ цилиндрическій эпителій отсутствовалъ, стѣнка совсѣмъ была лишена эпителіальнаго покрова, представляя ихъ себя фиброзно-мышечную подслизистую ткань влагалища. Нахожденіе цилиндрическаго эпителія лишь на немногихъ мѣстахъ объясняется нѣжностью его и легкой потерей при обработкѣ препаратовъ, а, можетъ быть, и давнишней утратой по мѣстамъ вслѣдствіе бывшаго въ полость кисты кровоизліянія. Цилиндрическій эпителій говоритъ за происхожденіе кисты или изъ эмбріональныхъ зачатковъ, т. е. Гертнеровскаго или Мюллерова хода; или изъ железы ретенціоннымъ путемъ; но, такъ какъ эмбріологіей уже неопровержимо доказано существованіе вышеназванныхъ рудиментовъ у нѣкоторыхъ животныхъ во всю жизнь, а даже спеціальныя изслѣдованія влагалищной слизистой весьма компетентными лицами даютъ разнорѣчивые выводы, и никто не считаетъ безусловно признаннымъ обычность присутствія железъ во влагалищѣ, то, намъ кажется, болѣе основательнымъ сдѣлать предположеніе, что наблюдавшаяся нами киста произошла не изъ железы, а изъ эмбріональныхъ зачатковъ; какой-же изъ ходовъ: Мюллеровъ или Гертнеровъ былъ источникомъ происхожденія — сказать невозможно. Имѣли-ли роды какое-либо этіологическое значеніе на возникновеніе и ростъ кисты, или то явленіе, что больная впервые замѣтила опухоль вскорѣ послѣ первыхъ родовъ, а быстро рости киста начала вскорѣ послѣ вторыхъ родовъ— простая случайность, рѣшать этотъ вопросъ въ положительномъ смыслѣ намъ кажется затруднительнымъ, хотя легко допустимо, что вторые роды, не смотря на свою относительную легкость, были причиннымъ моментомъ кровоизліянія въ кистозную полость и тѣмъ дали ускоренный ростъ кистѣ за послѣдній годъ.
1 Руководство къ общей и части, хирургіи Питы и. Бильрота, т. III, часть IV, перев. Иванова, 1880 г., стр. 59.
2 Archiv. für Gynaekologie., Bd. II.
[3]) Горвицъ — Патологія и терапія женской половой сферы, 1874 г., стр. 374, Шредеръ — Болѣзни женскихъ половыхъ органовъ, 1876 г., перев. Тарновскаго стр. 582, случай переводчика и д-ра Гешвенда; Жуналъ для нормальной и патологической гистологіи и клинической медицины М. Руднева, 1878 г., статья Н. В. Ястребова „Къ казуистикѣ кистъ паравагинальной клѣтчатки“; Чудовскій — „Къ ученію о кистахъ влагалища“ „Медицинскій Вѣстникъ“, 1879 г., №№ 1 и 2; Проф. Лебедевъ — Zeitschrift für Geburtshülfe und Gynaecologie, Bd. XII; Лебедева — Zeitschrift für Geb. und Gynaec., Bd. VII; 4 случая Улезко-Строгановой „Къ патологіи влагалищныхъ кистъ“, Журналъ Акушерства и Женскихъ Болѣзней, 1892 г., стр 385 и 1894 г., стр. 115.
[4] Gaz. méd. de Paris, 1847 г., №№ 17 и 34.
[5] Zur Aetiologie der Vaginalcysten,—Centralblatt für Gynaec., 1889.
[6] Archives de Tocologie, 1878, Avril et Montpellier méd., Iuin „Des Kystes du vagin“, 1870
[7] „Ein Beitrag zu den Vaginalcysten“, Zeitschrift für Gynaec., Bd. XVI, 1889 г.
[8] Krankheiten der weiblichen Geschlechtsorgane, II Aufl., 1867 г., S. 544 und Zeitschrift f. Geb. und Gynaec., Bd. VIII.
[9] Virchow’s Handbuch der spec. Patholog. und Terap., Bd. 6, Abs. 2.
[10] Zeitschrift f. Geb. und Gyn., Bd. XIII, S. 460, 1882.
11 Gas. de Gynécol. 1-er Nov. 1888, „Kyste du vagin“.
[12] Ann, de Gynécol. et d’obst., tome XXXVIII, p. 11—61 „Les Kystes Wolffi ens du vagin“.
[13] Zeitschr. f. Geb. und Gyn., Bd. I, 1887 г., „Beitraege zur Pathologie des doppelten Genitalkanals“.
[14] Части, патол. и терап. женск. болѣзней, T. I, 1888 г., стр. 127.
[15] Руководство къ частной патологіи и терапіи женскихъ болѣзней, пер. 1857 г., стр. 313.
16 Das Scheidensecret und seine Bedeutung für das Puerperalfieber, Leipzig., 1892 г.
19 Centralblatt f. d. med. Wissensch. „Cysten der Vagina“, 1874, S. 773 und Virchow’s Archiv, Bd. 70.
[21] Zeitschrift für Geb. und. Gynaec., Bd. VII.
[22] Zeitschrift für Heilkunde, Bd. I.
[23] Основы къ изученію Акушерства и Женскихъ болѣзней, Томскъ, 1893 г.
About the authors
P. V. Khomitskiy
Gynecological clinic prof. V.F.Snegireva at Moscow University
Author for correspondence.
Email: info@eco-vector.com
Russian Federation, Moscow
References





