Giant biliary cyst rupture during pregnancy. A case report
- Authors: Tskhay V.B.1, Doktorova O.I.1
-
Affiliations:
- Professor V.F. Voino-Yasenetsky Krasnoyarsk State Medical University
- Issue: Vol 73, No 5 (2024)
- Pages: 155-162
- Section: Clinical practice guidelines
- Submitted: 12.07.2024
- Accepted: 18.09.2024
- Published: 04.12.2024
- URL: https://journals.eco-vector.com/jowd/article/view/630553
- DOI: https://doi.org/10.17816/JOWD630553
- ID: 630553
Cite item
Abstract
Biliary-hepatic cyst is a rare benign cystic neoplasm that in most cases occurs inside the intrahepatic bile ducts. Clinical signs and symptoms are non-specific, and there is no single treatment strategy. Modern highly informative imaging methods, such as ultrasound, computed tomography and magnetic resonance imaging, in most cases allow the diagnosis of biliary cysts, however, during pregnancy, especially in the second and third trimesters, diagnosis can be significantly complicated due to the large size of the uterus.
The article presents a rare case of biliary cyst rupture in a pregnant woman diagnosed during laparotomy. The patient was admitted for emergency surgery with a preliminary diagnosis of a rupture of a giant ovarian cyst. During the surgery, it was found that a biliary cyst emanating from the liver had ruptured, followed by the development of biliary peritonitis, which required the involvement of an abdominal surgeon to excise the cyst capsule along with the gallbladder. For further treatment, the patient was transferred to a specialized surgical department of a multidisciplinary hospital. The course of the postoperative period passed without complications. The patient was discharged from the hospital in a satisfactory condition on the 10th day.
Full Text
ВВЕДЕНИЕ
Кистозные заболевания печени встречаются редко: 25 % случаев диагностируют во взрослом возрасте, и лишь в нескольких отчетах описано это состояние во время беременности [1, 2]. Оно представляет сложную проблему как для акушеров, так и для хирургов в связи с высокими рисками для матери и плода. Последние технические достижения и более широкое использование методов ультразвуковой визуализации привели к увеличению количества случаев выявления кист печени [3, 4].
Обычно кисты печени протекают бессимптомно и являются случайной находкой. В то же время, достигнув значительных размеров, они могут стать симптоматическими, с болью в верхней части живота, его вздутием, тошнотой, рвотой, одышкой [5]. В зависимости от объема и локализации кисты также могут возникать механическая желтуха и портальная гипертензия [6]. Осложнения включают такие состояния, как кровотечение, инфекция, разрыв капсулы кисты с формированием перитонита и даже тромбоэмболия легочной артерии [7, 8].
Широкое использование пренатального ультразвукового исследования привело к выявлению большого количества образований придатков матки во время беременности [9, 10]. Чаще всего они протекают бессимптомно, и их выявление вызывает определенные опасения как у беременных, так и у врачей. Лапароскопическая цистэктомия является безопасным подходом к хирургическому лечению беременной и может способствовать минимизации возможных дальнейших акушерских осложнений [11]. В случаях обнаружения кистозных образований гигантских размеров в брюшной полости во время беременности, особенно во II–III триместрах, их дифференциальная диагностика представляет существенные трудности.
В описанном случае наличие кистозного образования гигантских размеров в брюшной полости у беременной женщины специалисты ультразвуковой диагностики рассматривали как веский повод для дифференциальной диагностики, прежде всего с гигантской кистой яичника.
КЛИНИЧЕСКИЙ СЛУЧАЙ
Пациентка К., 29 лет, получала наблюдение с ранних сроков беременности в женской консультации. Во время ультразвукового исследования в 12 нед. беременности выявлено больших размеров 218 × 143 × 165 мм, многокамерное, анэхогенное образование в правой половине брюшной полости. Пациентку проконсультировал врач-онколог и рекомендовал контрастную магнитно-резонансную томографию брюшной полости и малого таза после 28 нед. беременности. Была запланирована консультация врача-инфекциониста для исключения паразитарного характера образования. При сроке беременности 24+4 нед. по решению врачебной комиссии пациентка направлена на госпитализацию в Красноярский краевой клинический центр охраны материнства и детства для дальнейшего обследования.
По данным ультразвукового исследования, проведенного в стационаре при поступлении пациентки, установлено следующее. Размеры печени увеличены за счет правой доли, контуры неровные, четкие, деформированы из-за образования; структура неоднородная вследствие наличия многокамерного анэхогенного образования размером 220 × 180 × 165 мм, преимущественно округлой формы, занимающего практически всю правую долю печени. Ворота печени оценить не представляется возможным, экранированы образованием. Внутрипеченочные желчные протоки и общий желчный проток не расширены. Воротная вена не оценена. Печеночные вены визуализированы фрагментарно, до 6 мм в диаметре. Желчный пузырь не визуализирован из-за образования. Заключение: «эхографические признаки гепатомегалии, объемного образования печени (кисты)».
Выполнено повторное ультразвуковое исследование в стационаре. У правого верхнего угла матки, в области ворот печени определено многокамерное анэхогенное образование размером 219 × 160 × 175 мм, объемом 3207 см3, с четкими ровными контурами, толщиной стенок от 2 до 8 мм. Образование деформирует правую долю печени (рис. 1). В режиме цветного допплеровского картирования в капсуле и перегородках образования зарегистрированы единичные локусы кровотока, индекс васкуляризация составил 2/3 балла, индекс резистентности (IR) в артериальных сосудах — 0,48–0,50. Заключение: «объемное образование брюшной полости, с учетом локализации и строения более вероятно его яичниковое происхождение, категория Ovarian-Adnexal Reporting and Data System (O-RADS) 4 (эхографические признаки характерны для муцинозной цистаденомы)».
Рис. 1. Эхограмма гигантского анэхогенного многокамерного образования, занимающего практически всю правую долю печени: а — продольное сканирование; b — поперечное сканирование
Fig. 1. Echograms of a giant anechoic multi-chambered formation that occupies almost the entire right lobe of the liver: а, sagittal scanning; b, cross scanning
С 26.12.23 по 25.01.24 беременная находилась на стационарном лечении в Красноярском краевом клиническом центре охраны материнства и детства с диагнозом «беременность 24+4 нед.; холестаз беременной; бесплодие в анамнезе; объемное образование малого таза с распространением в брюшную полость без четкой органопринадлежности». Пациентка получала гепатопротекторы (адеметионин, урсодезоксихолевую кислоту) по поводу холестаза беременной. Данный диагноз поставлен на основании повышения активности печеночных трансаминаз. Такие симптомы холестаза, как зуд кожных покровов и эктеричность склер у беременной не отмечены. Лабораторные показатели: лейкоциты — 9,57 × 109/л, гемоглобин — 98 г/л, тромбоциты — 788 × 109/л, аланинаминотрансфераза — 285 Ед/л, аспартатаминотрансфераза — 133 Ед/л, щелочная фосфатаза — 196 Ед/л, гамма-глютамилтранспептидаза — 141 Ед/л, С-реактивный белок — 10,4 мг/л, Д-димер — 4036 нг/мл, уровни амилазы, билирубина и его фракций — в пределах нормы.
24.01.24 утром внезапно появились боли в животе разлитого характера, отмечены однократно жидкий стул и сухость во рту. При физикальном осмотре пациентки выявлены симптомы острого живота: сильная боль в животе без четкой локализации, защитное напряжение мышц передней брюшной стенки, положительный симптом Щёткина – Блюмберга. На врачебном консилиуме принято решение с учетом срока гестации 28+5 недель, наличия больших размеров объемного образования малого таза с распространением в брюшную полость и клинической картины острого живота в экстренном порядке выполнить лапаротомию с ревизией органов брюшной полости и малого таза, обеспечить операционную бригаду с обязательным включением абдоминального хирурга.
После выполнения чревосечения в брюшной полости обнаружено до 2000 мл мутной жидкости с хлопьями фибрина желтого цвета. Жидкость была аспирирована. В области V сегмента печени обнаружена гигантских размеров многокамерная киста (рис. 2) с перфорационным отверстием по задней стенке, оттесняющая желчный пузырь латерально. Матка увеличена соответственно сроку 28 нед. беременности, в повышенном тонусе. Ввиду разлитого желчного перитонита с вовлечением органов малого таза, высокого риска преждевременных родов и антенатальной гибели плода, а также технических сложностей для удаления кисты печени, обусловленных беременной маткой, принято решение о досрочном родоразрешении путем операции кесарева сечения. Родилась недоношенная девочка массой 1400 г, ростом 39 см, в тяжелой асфиксии, оценка состояния по Апгар на 1-й минуте — 2 балла, на 5-й минуте — 4 балла. Новорожденная в условиях искусственной вентиляции легких для дальнейшего лечения переведена в отделение реанимации новорожденных.
Рис. 2. Интраоперационно: на зажиме — капсула кисты печени, марлевые салфетки пропитаны желчью (желчный перитонит), увеличенная за счет беременности матка
Fig. 2. Intraoperatively: a hepatic cyst capsule on the clamp, gauze napkins soaked in bile (biliary peritonitis), and the uterus enlarged due to pregnancy
После кесарева сечения и зашивания матки хирург иссек заднюю стенку многокамерной кисты вместе с желчным пузырем, так как киста распространялась под переднюю стенку желчного пузыря практически до его латерального края. Хирургический гемостаз VI сегмента печени произведен путем прошивания печеночной ткани с дополнительным использованием аргоноплазменной коагуляции. Брюшная полость санирована физиологическим раствором до чистых промывных вод. Дренирование брюшной полости осуществлено тремя трубчатыми дренажами через отдельные контрапертурные раны в подреберьях и правой подвздошной области.
Послеоперационный диагноз: «преждевременные роды I в 28+5 нед.; тяжелая асфиксия новорожденного; многокамерная киста левого долевого протока больших размеров, осложненная прорывом в брюшную полость с формированием серозно-фибринозного перитонита; операция — верхнесрединная лапаротомия, кесарево сечение, иссечение кисты печени, холецистэктомия, санация и дренирование брюшной полости, лапаростома».
В первые сутки после операции пациентка переведена в хирургическое отделение многопрофильной краевой клинической больницы для дальнейшего лечения. На 2-е сутки послеоперационного периода хирург больницы принял решение выполнить повторную операцию для оценки эффективности предыдущего оперативного вмешательства. Произведены ревизия лапаростомы, частичное иссечение и объединение внутрипротоковых кист печени, ушивание наружного дефекта внутрипротоковых кист печени на дренаже Кера, дренирование холедоха по Пиковскому, санация и редренирование брюшной полости, лапаростомия. В ходе операции иссечена передняя стенка билиарной кисты в проекции Sg4b/5, плотная, толщиной до 5 мм. Выполнено дренирование холедоха через культю пузырного протока однопросветным катетером, зафиксированным к культе.
На 3-е сутки послеоперационного периода проведены ревизия лапаростомы, ушивание дефекта кисты левого долевого протока, санация брюшной полости, закрытие лапаростомы. В ходе операции во всех отделах брюшной полости определены желчное отделяемое в большом количестве. Во всех отделах брюшной полости отмечено наличие серозно-фибринозного отделяемого, а также в проекции правого купола диафрагмы, на передней поверхности правой доли печени и подпеченочно пространства справа, в проекции полости иссеченной кисты печени и на передней поверхности большого сальника — умеренное количество фибрина. В проекции 4-го и 5-го сегментов печени обнаружена полость на месте ранее частично иссеченной билиарной кисты, выполнено иссечение передней стенки данной кисты. В области ворот печени выявлено активное подтекание светлой однородной желчи. Хирурги выполнили дренирование холедоха, а также выявили несколько дефектов различных размеров и ушили их одиночными швами, в результате чего была достигнута герметичность. По данным ревизии органов малого таза отмечено: матка увеличена соответственно сроку до 15 нед. беременности, без признаков гиперемии и налета фибрина, швы на матке в удовлетворительном состоянии без признаков инфильтрации и патологического отделяемого. Завершающими этапами операции были санация брюшной полости и послойное ушивание передней брюшной стенки.
Послеоперационный диагноз: «преждевременные роды I в 28+5 нед.; тяжелая асфиксия новорожденного; спонтанный разрыв билиарной кисты печени; желчеистечение в брюшную полость; распространенный серозно-фибринозный перитонит; операция — ревизия лапаростомы, частичное иссечение и объединение внутрипротоковых кист печени, ушивание наружного дефекта внутрипротоковых кист печени на дренаже Кера, дренирование холедоха по Пиковскому, санация и редренирование брюшной полости, лапаростомия».
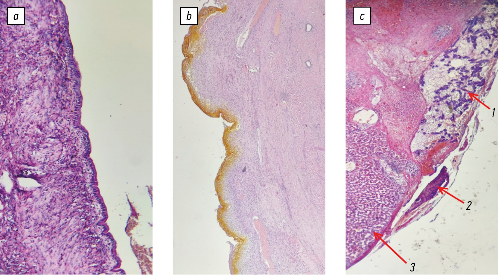
Результаты гистологического исследования (рис. 3): материал представлен фрагментами плотной фиброзной стенки кисты с очаговым гиалинозом, с сохранившейся на отдельных участках выстилкой цилиндрическим и кубическим эпителием, с картиной хронического воспаления в стенке, местами с примесью гигантских многоядерных клеток, очагово с примесью значительного количества лейкоцитов. В стенке кисты определены немногочисленные узкие желчные протоки с уплощенной эпителиальной выстилкой, отложения кальцинатов, очаговые кровоизлияния; в отдельных срезах отмечено прокрашивание внутренней поверхности желчью. В отдельных фрагментах обнаружена прилежащая ткань печени с дистрофическими изменениями гепатоцитов. Заключение: «морфологическая картина характерна для билиарной кисты печени».
Рис. 3. Гистологическое исследование кисты: a — фиброзная стенка кисты с сохранившимся участком эпителиальной выстилки (призматический эпителий); b — фиброзная стенка кисты без эпителиальной выстилки, пропитанная желчью (в толще фиброзной ткани инфильтрация нейтрофилами); c — фрагмент печеночной ткани с участками некроза и кровоизлияниями (стрелками указано: 1 — шовный материал, 2 — фибринозно-гнойные наложения на капсуле печени, 3 — сохранившиеся печеночные дольки)
Fig. 3. Histological examination of the cyst: a, fibrous cyst wall with a preserved section of epithelial lining (prismatic epithelium); b, fibrous cyst wall without epithelial lining, impregnated with bile (infiltration by neutrophils in the thickness of fibrous tissue); c, fragment of liver tissue with areas of necrosis and hemorrhage (the arrows indicate: 1, suture material; 2, fibrinous purulent deposits on the hepatic cyst capsule; 3, preserved liver lobules)
Дальнейшее течение послеоперационного периода — без осложнений. Пациентка выписана из стационара в удовлетворительном состоянии на 10-е сутки. Новорожденная девочка после лечения в отделении реанимации и интенсивной терапии в течение 2 суток переведена на второй этап выхаживания недоношенных детей. В удовлетворительном состоянии на 38-е сутки после рождения девочка выписана домой.
ОБСУЖДЕНИЕ
У кистозных образований в малом тазу и брюшной полости, диагностируемых во время беременности, в основном выявляют яичниковое происхождение. Однако другие кистозные образования, не относящиеся к яичникам, могут также быть случайной находкой при лапаротомии/лапароскопии [12].
Клиническая картина билиарной кисты печени не специфична. Диагноз основан на методах визуализации, в основном ультразвуковом исследовании и компьютерной томографии. Однако не редко диагноз при наличии билиарной кисты ставят ошибочно [13]. Желтуха — редкое проявление внутрипеченочной билиарной кисты, способное привести к диагностической дилемме [14]. В большинстве случаев у пациентов с билиарной кистой нет явных клинических симптомов. Однако у некоторых из них увеличение размеров кист печени может вызывать абдоминальные симптомы, вызванные сдавливанием окружающих тканей или органов [15]. В описанном случае при наличии билиарной кисты гигантских размеров у беременной женщины отсутствовали клинические симптомы, характерные для этой патологии.
Современные высокоинформативные методы визуализации, такие как ультразвук, компьютерная томография и магнитно-резонансная томография, могут наводить на размышления, однако установка окончательного диагноза зависит от гистологического исследования операционного материала [16, 17].
В представленном случае при интерпретации результатов ультразвукового исследования объемного образования гигантских размеров, занимающего практически всю правую половину малого таза и брюшной полости, следует отметить существенное расхождение взглядов специалистов ультразвуковой диагностики на природу этого образования. Заключение одного из специалистов не исключало наличие объемного образования печени (кисты), в то время как мнение другого специалиста предполагало яичниковое происхождение образования (муцинозную цистаденому). С учетом возникших диагностических противоречий была запланирована магнитно-резонансная томография, не осуществленная в связи с экстренно возникшим осложнением (разрывом билиарной кисты печени с развитием желчного перитонита).
ЗАКЛЮЧЕНИЕ
В октябре 2022 г. Европейская ассоциация по изучению печени (EASL) опубликовала клинические рекомендации в отношении диагностики и ведения кистозных заболеваний печени [15]. Эти рекомендации помогают практикующим врачам тактически подходить к кистозным поражениям печени и осуществлять их лечение. Однако остается ряд вопросов, не нашедших отражения, в частности в отношении больших и гигантских кист печени у беременных женщин, возможных осложнениях, лечебно-диагностических мероприятиях, оптимизации методов оперативного лечения. Авторы выражают надежду, что представленный случай вызовет практический интерес у врачей различных специальностей (акушеров-гинекологов, хирургов, гастроэнтерологов, врачей ультразвуковой диагностики).
ДОПОЛНИТЕЛЬНАЯ ИНФОРМАЦИЯ
Источник финансирования. Публикация подготовлена без финансового обеспечения или спонсорской поддержки.
Конфликт интересов. Авторы декларируют отсутствие явных и потенциальных конфликтов интересов, связанных с публикацией настоящей статьи.
Вклад авторов. Все авторы внесли существенный вклад в разработку концепции, проведение исследования и подготовку статьи, прочли и одобрили финальную версию перед публикацией.
Наибольший вклад распределен следующим образом: В.Б. Цхай — концепция и дизайн исследования, анализ полученных данных, написание текста, внесение окончательной правки, обзор литературы; О.И. Докторова — сбор и обработка материалов, анализ полученных данных, написание текста.
Информированное согласие на публикацию. Авторы получили письменное согласие законных представителей пациента на публикацию медицинских данных и фотографий.
ADDITIONAL INFORMATION
Funding source. The preparation of the publication had no financial support or sponsorship.
Competing interests. The authors declare that they have no competing interests.
Author contribution. All the authors have made a significant contribution to the development of the concept, research, and preparation of the article as well as read and approved the final version before its publication.
Personal contribution of the authors: V.B. Tskhay — concept and design of the study, data analysis, text writing, making final edits, literature review; O.I. Doktorova — collecting and preparation of samples, data analysis, text writing.
Consent for publication. Written consent was obtained from the patient for publication of relevant medical information and all accompanying images within the manuscript.
About the authors
Vitaly B. Tskhay
Professor V.F. Voino-Yasenetsky Krasnoyarsk State Medical University
Email: tchai@yandex.ru
ORCID iD: 0000-0003-2228-3884
SPIN-code: 5343-8240
MD, Dr. Sci. (Medicine), Professor
Russian Federation, 1 P. Zheleznyak St., Krasnoyarsk, 660022Olga I. Doktorova
Professor V.F. Voino-Yasenetsky Krasnoyarsk State Medical University
Author for correspondence.
Email: olya_doktorova30@mail.ru
ORCID iD: 0009-0004-9736-830X
Russian Federation, 1 P. Zheleznyak St., Krasnoyarsk, 660022
References
- Morales-Maza J, Rodríguez-Quintero JH, Cortés-Vázquez S, et al. Giant choledochal cyst presenting during third trimester of pregnancy. BMJ Case Rep. 2018;2018. doi: 10.1136/bcr-2018-224891
- Pal S, Simon EG, Koshy AK, et al. Spontaneous choledochal cyst rupture in pregnancy with concomitant chronic pancreatitis. Indian J Gastroenterol. 2013;32(2):127–129. doi: 10.1007/s12664-012-0286-x
- Klein L, Meurisse N, Honoré P, et al. Diagnostic et traitement des kystes hépatiques [Diagnosis and management of liver cysts]. Rev Med Liege. 2021;76(9):661–665.
- Corvino A, Sandomenico F, Setola SV, et al. Morphological and dynamic evaluation of complex cystic focal liver lesions by contrast-enhanced ultrasound: current state of the art. J Ultrasound. 2019;22(3):251–259. doi: 10.1007/s40477-019-00385-2
- Brown ZJ, Baghdadi A, Kamel I, et al. Diagnosis and management of choledochal cysts. HPB (Oxford). 2023;25(1):14–25. doi: 10.1016/j.hpb.2022.09.010
- Averbukh LD, Wu DC, Cho WC, et al. Biliary mucinous cystadenoma: a review of the literature. J Clin Transl Hepatol. 2019;7(2):149–153. doi: 10.14218/JCTH.2019.00017
- Lowry S, Karnsakul W. Cystic liver lesions: from diagnosis to recognition of complications and when to treat. Hepatobiliary Surg Nutr. 2022;11(6):909–912. doi: 10.21037/hbsn-22-533
- Yang Y, Chen W, Cen H, et al. Intrahepatic biliary cystadenoma: confusion, experience, and lessons learned from our center. Front Oncol. 2022;12. doi: 10.3389/fonc.2022.1003885
- Mishra S, Yadav M, Walawakar SJ. Giant ovarian mucinous cystadenoma complicating term pregnancy. JNMA J Nepal Med Assoc. 2018;56(210):629–632.
- Wen J, Zhao Y, Tang F, et al. Full-term pregnancy with retroperitoneal giant mucinous cyst: a case report and literature review. Medicine (Baltimore). 2024;103(10). doi: 10.1097/MD.0000000000036979
- Nelson LW, MacKenzie E. Paratubal cystectomy in a pregnant woman using the Single-Incision Laparoscopic Surgery (SILS) technique. Case Rep Obstet Gynecol. 2022;2022. doi: 10.1155/2022/2802767
- Raja Navaneethan P, Abraham A, Abraham K, et al. Biliary cystadenoma masquerading as an adnexal cyst in pregnancy. BMJ Case Rep. 2021;14(12). doi: 10.1136/bcr-2021-246392
- Elmasry AI, Ali SM, Neama DA, et al. Choledochal cyst in pregnancy: a case report. Cureus. 2022;14(9). doi: 10.7759/cureus.29774
- Li YC, Shi AD, Li KS. Case report: obstructive jaundice caused by biliary cystadenoma. Front Oncol. 2023;13. doi: 10.3389/fonc.2023.1165979
- Li S, Tang J, Ni DS, et al. Giant complex hepatic cyst causing pseudocystitis: a case report. World J Clin Cases. 2023;11(33):8030–8037. doi: 10.12998/wjcc.v11.i33.8030
- European Association for the Study of the Liver. EASL Clinical Practice Guidelines on the management of cystic liver diseases. J Hepatol. 2022;77(4):1083–1108. doi: 10.1016/j.jhep.2022.06.002
- Nguyen H, Nguyen NC, Thieu TTM, et al. Complete resection for a giant recurrent biliary cystadenoma: a surgical case report and review of literature. Ann Med Surg (Lond). 2022;78. doi: 10.1016/j.amsu.2022.103785
Supplementary files






