Symphysis Pubis Dysfunction: Analysis of Risk Factors and Basic Diagnostic Criteria
- Authors: Akhmetova E.S.1, Mochalova M.N.1, Galeeva A.I.1
-
Affiliations:
- Chita State Medical Academy
- Issue: Vol 74, No 2 (2025)
- Pages: 5-10
- Section: Original study articles
- Submitted: 14.11.2024
- Accepted: 09.01.2025
- Published: 26.05.2025
- URL: https://journals.eco-vector.com/jowd/article/view/641770
- DOI: https://doi.org/10.17816/JOWD641770
- EDN: https://elibrary.ru/HXJVTU
- ID: 641770
Cite item
Abstract
BACKGROUND: Symphysis pubis dysfunction is a pregnancy complication with significant statistical variations in incidence due to the lack of clear diagnostic criteria and overdiagnosis. One of the causes of this complication is excessive relaxin production, which induces structural changes in the fibrocartilaginous disc and resorption of the symphyseal margins. During normal pregnancy, this discrepancy is insignificant and amounts to 2–3 mm by the end of the third trimester; it is adaptive in nature, while facilitating the unimpeded passage of the fetus through the mother’s birth canal. However, if the pubic joint is excessively relaxed, it becomes unstable, with discomfort and lumbar or pelvic girdle pain appearing. To diagnose subluxation of the symphysis pubis, various provocative tests, echography, and radiography of the pubic joint are performed. However, the degree of discrepancy in the echographic picture rarely correlates with the severity of the clinical picture.
AIM: The aim of this study was to identify risk factors for symphysis pubis dysfunction and assess its ultrasound diagnostic criteria.
METHODS: We analyzed 40 medical histories of pregnant women with symphysis pubis dysfunction and 50 medical histories of those without the pathology. Risk factors were assessed and ultrasound diagnostics of the pubic joint was performed in all women before and after childbirth using Voluson 730 and Logiq 9 expert-class devices in three-dimensional mode with the 5–10 MHz linear sensor.
RESULTS: Most women with symphysis pubis dysfunction were multiparous under 35 years of age. Primiparous women were only diagnosed with grades I and II dysfunction (100%), while 14% of multiparous patients were diagnosed with grade III dysfunction. In patients with symphysis pubis dysfunction, inflammatory diseases of the uterus and appendages, infertility, and polycystic ovary syndrome were more common gynecological pathologies and were detected in 47.5%, 35% and 27.5% of cases versus 14%, 4% and 10% of cases in the control group, respectively (p < 0.05). Grades II and III dysfunction was most often detected in pregnant women with overweight and obesity – in 91.7% of cases (p < 0.05). In all patients with grade I dysfunction, the fetal weight was up to 3,500 g, while in the study groups with grades II and III dysfunction, the baby weighed more than 3,500 g and was large in 66.6% of patients (p < 0.05). During ultrasound examination, 83.3% of patients with grades II and III dysfunction, along with diastasis, revealed symptoms characteristic of inflammation (p < 0.05), and 28% of pregnant women in the control group were diagnosed with pubic symphysis divergence that corresponded to grades I and II dysfunction — 85.7% and 14.3% of cases, respectively. At the same time, no clinical manifestations were detected.
CONCLUSION: Important risk factors for symphysis pubis dysfunction are metabolic and endocrine disorders, inflammatory diseases of the female reproductive organs, repeated childbirth, and fetal weight of over 3,500 g. Ultrasound criteria for diagnosing this condition are not reliable for grade I dysfunction.
Full Text
Background
Symphysis pubis dysfunction (SPD) is a relatively uncommon pregnancy complication, with an incidence rate ranging from 0.12% to 56.00%. Such a significant variability can be attributed to the absence of clear diagnostic criteria and overdiagnosis [1]. Excessive relaxin production is a known cause of SPD during pregnancy, resulting in structural changes in the interosseous fibrous disc and resorption of the pubic symphysis margins [2]. This combination of factors increases pubic symphysis diastasis, bone ring instability, and pain. Clinically, SPD is considered a dislocated pubic symphysis. A history of SPD and pelvic instability due to pelvic asymmetry, osteochondrosis, or severe lordosis are possible predisposing factors [3]. During a normal pregnancy, pubic symphysis diastasis is typically minimal, ranging from 2 to 3 mm by the end of the third trimester. This diastasis is adaptive, facilitating the normal passage through the maternal pelvis [4–6]. However, in case of excessive joint laxity, a joint becomes unstable, resulting in discomfort and pain [7]. This condition is caused by three biochemical mechanisms: increased hyaluronidase levels, decreased collagen synthesis, and reduced calcium and vitamin D content. In addition, a dislocated pubic symphysis can be caused by traumatic events such as operative vaginal delivery, Kristeller maneuver, McRoberts maneuver, etc. [8, 9].
A dislocated pubic symphysis can manifest as lumbar or pelvic girdle pain, or both. The latter is known as lumbopelvic pain, which usually occurs during the second or third trimesters, during delivery, or within the first 24 to 48 hours after delivery [10]. Pelvic girdle pain of varying severity develops in 50%–70% of pregnant women [11] and can be continuous or episodic, unilateral or bilateral, with possible radiation to the thighs, knees, and calves [12]. Lumbar pain is typically less severe, rarely radiates to the lower extremities, and may be accompanied by hypersensitivity of paravertebral muscles [13].
A dislocated pubic symphysis is diagnosed using various provocation tests. The most sensitive and specific tests are those which detect pain when the pubic symphysis is palpated, including PPPP (Posterior Pelvic Pain Provocation) test, FABER (Flexion, Abduction and External Rotation) or Patrick test, modified Trendelenburg, and Menell test [14]. Investigations include echography and radiography of the pubic symphysis. Pubic symphysis diastasis is classified using an ultrasound classification system proposed by Serov et al. (2011). grade 1: 5–8 mm; grade 2: 8–10 mm; and grade 3: >10 mm. However, the absolute grade of pubic symphysis diastasis is the least significant diagnostic criterion and rarely correlates with the severity of clinical symptoms.
Watchful waiting is necessary for pregnant women at risk of SPD, as well as for those with pubic symphysis changes that were first identified by ultrasound. The grade of pubic symphysis diastasis by the end of pregnancy is one of the criteria used to diagnose SPD and determine the delivery method to prevent birth trauma and maternal disability.
The study aimed to identify risk factors for SPD and evaluate pubic symphysis changes using ultrasound in pregnant women with and without symphysis pain.
Methods
A retrospective analysis of pregnancy and delivery outcomes included 40 women with SPD enrolled from 2020 to 2023 at the Trans-Baikal Regional Perinatal Center (Chita, Russia). Grade 1, 2, and 3 SPD was diagnosed in 16, 20, and 4 women, respectively. The control group included 50 women with full-term pregnancies who did not have SPD and underwent pubic symphysis ultrasound before and after delivery. Pregnancy after cesarean section was an exclusion criterion. All women underwent clinical blood tests, blood chemistry, and investigations to evaluate the fetus’s condition (ultrasound, Doppler ultrasound, and cardiotocography). A three-dimensional ultrasound of the pubic symphysis was performed using Voluson 730 and Logiq 9 expert systems with a 5–10 MHz linear sensor. Ultrasound was indicated for discomfort and/or pain in the pubic symphysis when walking or palpating. Statistica 10 and Microsoft Excel 2013 were used to process the results statistically. Statistical significance (p) was assessed based on 95% confidence intervals. In all cases, the results were statistically significant at p < 0.05.
Results and Discussion
Most pregnant women in the SPD group were of childbearing potential and were distributed as follows: 18–25 years: 40% (16 women); 26–35 years: 55% (22 women); >35 years: 5% (2 women). In addition, 70% (28) of the women in the SPD group were multiparous, whereas 30% (12) were primiparous. In the control group, 58% (29) of women were primiparous and 42% (21) were multiparous (p < 0.05).
The parity distribution in the SPD group was as follows: 64.3% (18 women) had 3–4 deliveries; 21.4% (6) had >4 deliveries; 14.3% (4) had 1–2 deliveries. In the control group, most multiparous women had 1–2 deliveries; 71% (15) had 3–4 deliveries, and only 9.5% (2) had >4 deliveries (p < 0.05).
In the SPD group, 66.6% (8) of primiparous women had grades 1 and 2 SPD, and 33.3% (4) had grade 3 SPD (p < 0.05). In multiparous women, only 28.6% (8) had grade 1 SPD, 57.1% (16) women had grade 2 SPD, and 14.3% (4) had grade 3 SPD (p < 0.05).
The study groups showed unremarkable development and characteristics of menstrual function. More women in the SPD group had gynecological disorders compared with the control group. For example, 47.5% (19) in the SPD group and only 14% (7) women in the control group had a history of uterine and adnexal inflammation (p < 0.05). A history of infertility was reported in 35% (14) of women in the SPD group, with 57% (8) of cases associated with endometriosis. In the control group, infertility of unknown origin was diagnosed in 4% (2) of pregnant women (p < 0.05). Polycystic ovary syndrome was detected in 27.5% (11) of women in the SPD group and in 10% (5) in the control group (p < 0.05). There was no statistical difference in the uterine fibroid rates between the SPD and control groups: 15% (6) vs 6% (3).
A history of abortion was reported in 75% (30) of cases of the SPD group compared with 52% (26) cases of the control group. For example, the termination of more than two pregnancies was reported by 66.7% (20) of women in the SPD group and 38.5% (10) in the control group (p < 0.05). There was no statistically significant difference in the history of spontaneous miscarriage between the SPD and control groups: 20% (8) vs 12% (6).
In the SPD group, 45% (18) of women were overweight, 25% (10) had grade 1–2 obesity, and only 30% (12) had a normal body mass index. In the control group, 80% (40) of women had a normal body weight (p < 0.05), 12% (6) were overweight and 8% (4) had grade 1 diet-induced constitutive obesity. A higher percentage of overweight or diet-induced obese women had grades 2 and 3 SPD (91.7%, or 22 women), whereas only 37.5% (6 women) had grade 1 SPD (p < 0,05). No significant differences were found in cardiovascular, urinary, gastrointestinal, or pulmonary disorders.
The fetal weight ranged from 3,000 to 3,500 g in 60% (24) of women with SPD, exceeded 3,500 g in 35% (14) of women, and a large fetus was diagnosed in 5% (2) of women. In addition, all 16 women with grade 1 SPD had a fetal weight of 3,500 g, whereas 66.6% (16) of women with grades 2 and 3 SPD had a fetal weight of >3,500 g or a large fetus (p < 0.05).
All pregnant women with SPD reported varying degrees of pain when their pubic symphysis was palpated or when they changed positions. For example, women with grades 2 and 3 SPD complained of severe pubic symphysis pain that worsened when walking or changing positions: 100% (4) and 75% (15), respectively. Mild pain and discomfort in the pubic symphysis were reported in 87.5% (14) of patients with grade 1 SPD and 25% (5) of women with grade 2 SPD. Severe pain, edema, suprapubic swelling, and waddling gait were observed in 100% (4) of women with grade 3 SPD and in 50% (10) of women with grade 2 SPD.
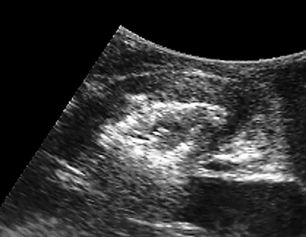
An ultrasound examination of women with grade 1 SPD showed no changes in the pubic symphysis except for diastasis. In addition to diastasis, typical inflammatory symptoms were found in 83.3% (20) of women with grades 2 and 3 SPD. A heterogeneous symphysis with hypoechoic inclusions and an irregular contour was reported, with a total of 50% structural changes (p < 0.05) (Fig. 1).
Fig. 1. Echogram of the patient’s symphysis pubis in the sagittal plane.
Рис. 1. Эхограмма лонного симфиза пациентки в сагиттальной плоскости.
It should be noted that ultrasound showed pubic symphysis diastasis in 28% (14) of women in the control group, including 85.7% (12) of women with grade 1 SPD and 14.3% (2) of women with grade 2 SPD. However, no clinical symptoms were identified, such as pain or an abnormal gait. Therefore, the symphysis width in normal cases and in grade 1 SPD falls within the margin of error of ultrasound measurements, which are an unreliable parameter for assessing tissue changes and insufficient for diagnosing SPD. In addition, pain is not always associated with SPD due to the increased tension in the ligaments and muscles that occurs during the third trimester.
Conclusion
Significant risk factors for SPD during pregnancy include being overweight or obese, having gynecological inflammation, having ≥2 abortions, having >2 vaginal deliveries, and having a fetus weighing >3,500 g. Ultrasound criteria alone are insufficient for diagnosing grade 1 SPD. Therefore, additional predictors should be identified, and an ultrasound classification system for SPD may need to be revised.
Additional information
Author contributions: E.S. Akhmetova: investigation, formal analysis, writing – original draft; M.N. Mochalova: conceptualization, writing – review & editing; A.I. Galeeva: writing – original draft, writing – review & editing. All authors approved the version of the manuscript to be published, and agreed to be accountable for all aspects of the work, ensuring that questions related to the accuracy or integrity of any part of it are appropriately reviewed and resolved.
Ethics approval: The study was approved by the local Ethics Committee at Chita State Medical Academy (Protocol No. 97 dated November 6, 2024). All participants provided written informed consent to participate in the study. The study and its protocol were not registered.
Funding sources: No funding.
Disclosure of interests: The authors have no relationships, activities, or interests over the past three years related to for-profit or not-for-profit third parties whose interests may be affected by the content of the article.
Statement of originality: The authors did not use any previously published information (text, illustrations, or data) in this work.
Data availability statement: All data generated during this study are included in this article.
Generative AI: No generative AI was used in preparing this article.
Provenance and peer-review: This work was submitted unsolicited and reviewed following the standard procedure. The peer review process involved two in-house reviewers, a member of the editorial board, and the in-house scientific editor.
About the authors
Elena S. Akhmetova
Chita State Medical Academy
Email: akhmetlena@yandex.ru
ORCID iD: 0000-0002-6568-8905
SPIN-code: 7543-2483
MD, Cand. Sci. (Medicine), Assistant Professor
Russian Federation, ChitaMarina N. Mochalova
Chita State Medical Academy
Email: marina.mochalova@gmail.com
ORCID iD: 0000-0002-5941-0181
SPIN-code: 1068-3570
MD, Cand. Sci. (Medicine), Assistant Professor
Russian Federation, ChitaAnna I. Galeeva
Chita State Medical Academy
Author for correspondence.
Email: plotkina.ann@yandex.ru
ORCID iD: 0000-0001-8234-1797
MD
Russian Federation, ChitaReferences
- Yavorskaya SD, Plotnikov IA, Bondarenko AB, et al. Treatment of obstetric ruptures of the pubic symphysis and dysfunction of the pubic articulation. Obstetrics and gynecology. 2018;(9):68–72. EDN: VAJRAD doi: 10.18565/aig.2018.9.68-72
- Noskova OV, Churilov AV, Sviridova VV, et al. Features of the course of symphysiopathy during pregnancy. Bulletin of Hygiene and Epidemiology. 2020;24(1):64–66. EDN: ELYAEH
- Mochalova MN, Mudrov VA, Alekseeva AY. The case of an atypical clinical picture of a subluxation of the pubic joint in a pregnant woman. Journal of Obstetrics and Women’s Diseases. 2020;69(3):57–62. EDN: MVICJK doi: 10.17816/JOWD69357-62.
- Chawla JJ, Arora D, Sandhu N, et al. Pubic joint diastasis: a series of cases and a literature review. Oman Med J. 2017;32(6):510–514. doi: 10.5001/omj.2017.97
- Gudushauri YaG, Lazarev AF, Verzin AV. Operative correction of the consequences of obstetric ruptures of the pubic symphysis. N.N. Priorov Journal of Traumatology and Orthopedics. 2014;(4):15–21. EDN: TIGMBX doi: 10.17816/vto20140415-21
- Borshcheva AA, Pertseva GM, Alekseeva NA. Dysfunction of the pubic articulation as one of the urgent problems of modern obstetrics. Medical Bulletin of the South of Russia. 2021;12(3):44–49. EDN: XIMKMO doi: 10.21886/2219-8075-2021-12-3-44-49
- Logutova LS, Chechneva MA, Petrukhin VA, et al. Ultrasound diagnosis of the symphysis pubis in women. Russian Bulletin of the Obstetrician-gynecologist. 2012;12(6):55–59. EDN: PTTVCN
- Mochalova MN, Akhmetova EU, Kuzmina LA, et al. Subluxation of the pubic articulation in pregnant women with atypical clinical symptoms. Transbaikalian Medical Bulletin. 2024;(1):55–57.
- Ananyev EV. Optimization of diagnostics, tactics of pregnancy and childbirth management in case of dysfunction of the pubic articulation [dissertation abstract]. Moscow; 2012. 24 p. (In Russ.) EDN: QIHXZZ
- Vrbanić TS. Krizobolja – od definicije do dijagnoze [Low back pain – from definition to diagnosis]. Reumatizam. 2011;58(2):105–107. (In Croatian)
- Lardon E, Saint Laurent A, Babineau V, et al. Lumbo-pelvic pain, anxiety, physical activity and method of conception: a prospective cohort study of pregnant women. BMJ Open. 2018;8(11):e022508. doi: 10.1136/bmjopen-2018-022508
- Kovacs FM, Garcia E, Royuela A, et al. Prevalence and factors associated with lower back and pelvic girdle pain during pregnancy: a multicenter study conducted by the National Health Service of Spain. Spine (Phila Pa 1976). 2012;37(17):1516–1533. doi: 10.1097/brs.0b013e31824dcb74
- Katonis P, Kampuroglu A, Aggelopoulos A. Lower back pain associated with pregnancy. Hippokratia. 2011;15(3):205–210.
- Cherkasova NY. Forecasting the risk of maternal injury in pregnant women with pathology of long-term symphysis [dissertation abstract]. Moscow; 2016. 24 p. (In Russ.) EDN: ZQCGVJ
- Klipfel IV, Kalygina NA, Yemelyanova NB. Possibilities of ultrasonic research in diagnostics of dysfunction of the pubic joint. Bulletin of the Chelyabinsk Regional Clinical Hospital. 2016;(1):64−66. EDN: YJGYGF
Supplementary files




