Endometriosis and SARS-CoV-2. A case report
- Authors: Plekhanov A.N.1,2,3, Bezhenar V.F.2, Bezhenar F.V.1,2, Epifanova T.A.1,2
 - 
							Affiliations: 
							
- Academician I.P. Pavlov First St. Petersburg State Medical University
 - Saint Petersburg Clinical Hospital of the Russian Academy of Sciences
 - Academy of Medical Education named after F.I. Inozemtsev
 
 - Issue: Vol 70, No 4 (2021)
 - Pages: 135-140
 - Section: Clinical practice guidelines
 - Submitted: 30.06.2021
 - Accepted: 30.06.2021
 - Published: 05.10.2021
 - URL: https://journals.eco-vector.com/jowd/article/view/73185
 - DOI: https://doi.org/10.17816/JOWD73185
 - ID: 73185
 
Cite item
Abstract
Despite the lack of information in the medical literature on endometrioid disease complicated by infectious and inflammatory diseases, past community-acquired pneumonia caused by the new coronavirus infection may cause purulent-septic complications of endometriosis. The effect of the virus on endometrioid cysts was hematogenous in this clinical case. The information presented in this report can help clinicians in conducting differential diagnostics in patients with a history of endometriosis and previous SARS-CoV-2, establishing a diagnosis, as well as determining the tactics of examination and treatment.
Keywords
Full Text
According to the latest data, endometriosis affects approximately 176 million women, most of the reproductive age (every tenth) worldwide [1].
Among women diagnosed with infertility, the prevalence of endometriosis amounts to 25%–50%. Such patients can often have a history of pelvic organ inflammatory diseases, most often in the form of chronic salpingo-oophoritis.
Recent literature presents the information on cases of purulent-inflammatory complications in endometrioid ovarian cysts, but, as a rule, these cases are associated with iatrogenic causes, such as sexually transmitted diseases, long use of an intrauterine device, in vitro fertilization procedure, ovarian puncture, intrauterine interventions, etc. [2–6]. However, in the medical literature, data on complications of endometrioid disease due to a history of infectious and inflammatory diseases were unavailable.
Severe acute respiratory syndrome coronavirus 2 (SARS-CoV-2) is known to enter the cell by attaching the peplomer protein to the angiotensin-converting enzyme type 2 (ACE2) receptor [7–9]. ACE2 receptors are located in the cells of the respiratory tract, kidneys, esophagus, urinary bladder, ileum, heart, central nervous system, and vascular endothelium. After infection, the virus propagates in the body, causing a large release of cytokines and immune response. In this case, the number of lymphocytes in the blood, particularly, the T-lymphocytes, may decrease. Therefore, the protective abilities of the immune system decrease, leading to concomitant chronic inflammatory disease exacerbation [9, 10].
Common complications of SARS-CoV-2 include acute respiratory distress syndrome, septic shock, myocardial damage, secondary bacterial and fungal infections, and multiple organ failure [7–9].
This case presents a patient with abscess formation of bilateral endometrioid ovarian cysts after pneumonia caused by a new coronavirus infection. The effect of the virus on endometrioid cysts can be assumed to be hematogenous, which, led to a purulent-septic process during viral pneumonia. This should be taken into account in the differential diagnosis of various ovarian tumors (primarily ovarian cancer). It should be borne in mind that coronavirus infection can trigger abscess formation of benign ovarian lesions, including the endometrioid ones.
CLINICAL CASE
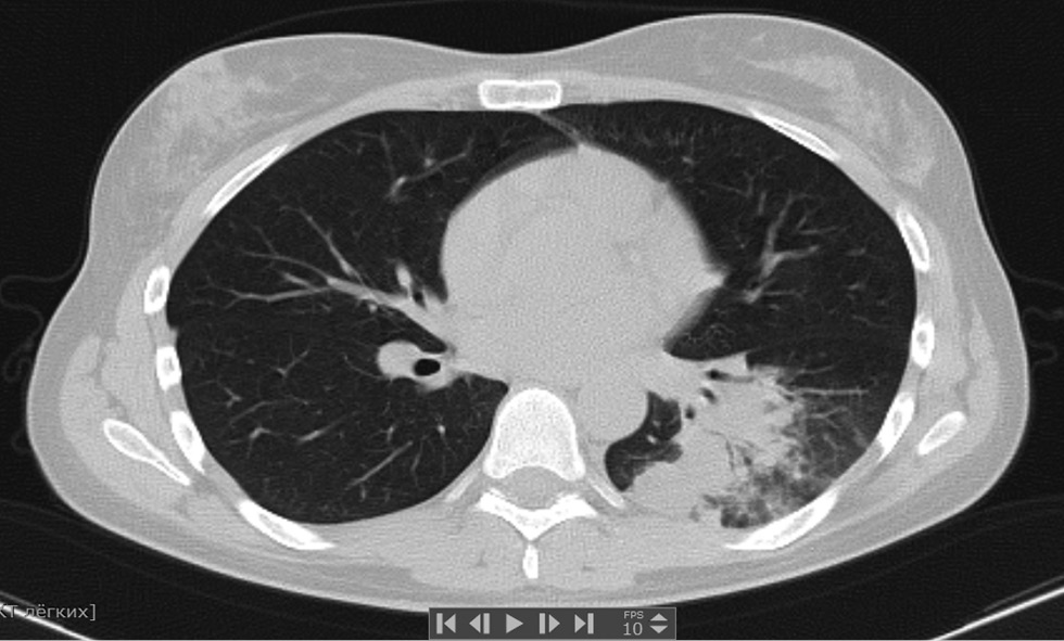
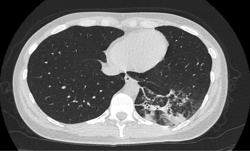
Patient M., 50 years old, was admitted to the St. Petersburg Clinical Hospital of the Russian Academy of Sciences on 06/07/2020 with a referral diagnosis of bilateral ovarian tumors. Ovarian cancer was questionable. Lymphadenopathy. Adenomyosis. Myoma of the uterus. Condition after viral community-acquired pneumonia caused by the SARS-CoV-2 virus in April 2020 (lung damage according to computed tomography data ~ 40%) (Fig. 1, 2).
Fig. 1. Computed tomography of the lungs, April 2020 (picture of viral pneumonia caused by the SARS-CoV-2 virus, lung damage ~ 40%)
Fig. 2. Computed tomography of the lungs, June 2020, upon admission (picture of fibrotic changes in the lung after viral pneumonia caused by the SARS-CoV-2 virus)
The patient considered herself ill since May 2020, when complaints of pain in the lower abdomen appeared for the first time.
After another attack of pain, she sought help in the outpatient clinic of the Russian Academy of Sciences, was consulted by a gynecologist, and was hospitalized in an inpatient department. On admission, she complained of heaviness, nagging pain of high intensity in the lower abdomen, and a decreased body weight by 5 kg over the last 2 months.
Clinician observation
The condition was satisfactory and corresponded to the severity of the underlying disease. The temperature was 36.9°C, pulse rate was 76 beats per minute, and blood pressure was 120/80 mm Hg. The tongue was dry and covered with a white coat. The abdomen was soft and moderately painful upon palpation in the lower parts. Symptoms of peritoneal irritation were negative.
Gynecological history
Menarche was 14 years old and menstruation lasted for 4–5 days, regular, moderate, and painless. The patient had 4 pregnancies, 1 childbirth and 3 abortions. The patient denied having a history of gynecological diseases. The last examination by a gynecologist was in September 2019 (no gynecological pathology was identified).
Gynecological examination data
Speculum examination revealed a vagina of a parous woman, the mucous membrane was not abnormal. The cervix was cylindrical and covered with intact epithelium. The external os was closed. The discharge was light. The vaginal examination in the small pelvis determined a nonmobile, moderately painful lesion, occupying almost the entire small pelvis. The vaults were moderately painful on examination.
Data of laboratory and additional examinations
The clinical blood analysis revealed leukocytosis of up to 13.3 × 109/l, a left deviation of the leucogram. A biochemical blood test revealed increased activity of liver enzymes, namely alanine aminotransferase of 86 U/L and aspartate aminotransferase of 78 U/L. C-reactive protein was 195.6 mg/l. Blood tumor markers CA-125 was 254.4 IU/L and HE-4 was 31.1 pmol/L. ROMA index was 3%.
The ultrasound examination revealed uterine fibroids of types III–IV, growing over time, with bilateral ovarian cystadenomas.
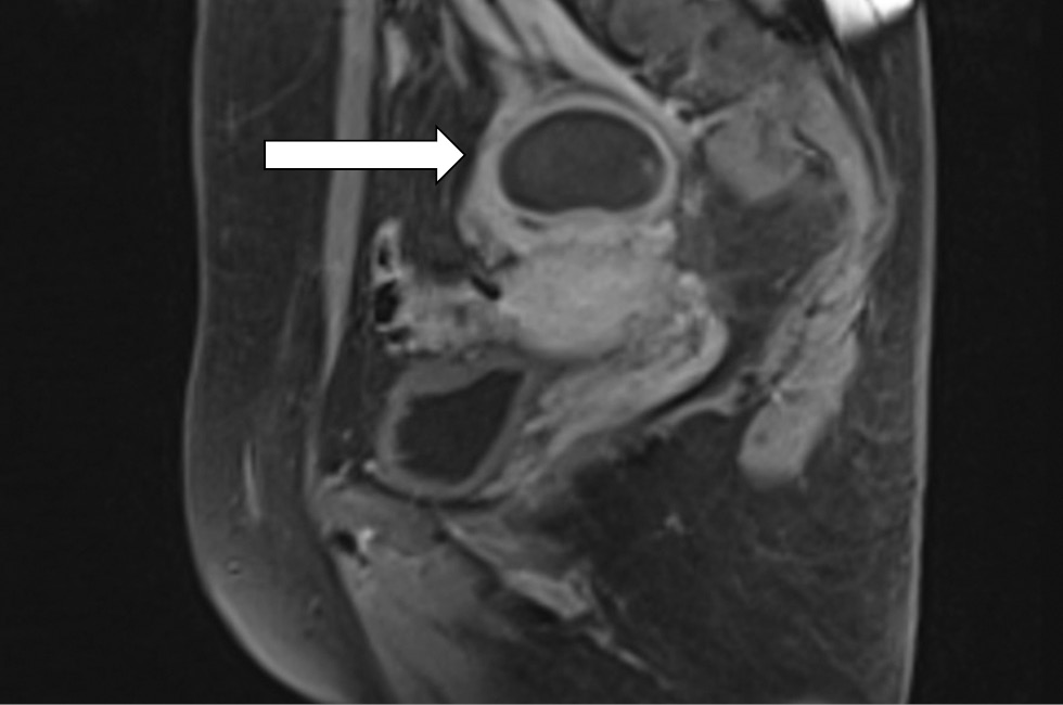
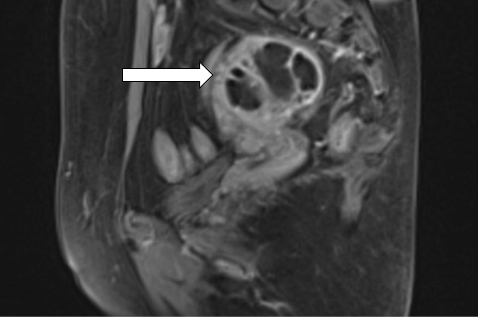
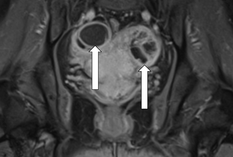
MR-presentation of adenomyosis was concluded based on the magnetic resonance imaging from 06/01/20. Ovarian cancer was questionable, as well as bilateral ovarian endometriomas and lymphadenopathy. Multiple uterine fibroids were of small size (Fig. 3–5).
Fig. 3. Magnetic resonance imaging of the pelvis on admission. The left ovary contains a multi-chambered formation with parietal components and finely dispersed contents (arrow)
Fig. 4. Magnetic resonance imaging of the pelvis on admission. The right ovary contains a single-chamber formation with finely dispersed contents (arrow)
Fig. 5. Magnetic resonance imaging of the pelvis on admission. The left ovary contains a multi-chambered formation with parietal components and finely dispersed contents, the right ovary contains a single-chambered formation with finely dispersed contents (arrows)
Taking into account the anamnesis, patient’s complaints, and laboratory and instrumental examination results, it was decided to perform diagnostic laparoscopy, a biopsy of the ovaries, peritoneum, and greater omentum, followed by chemotherapy and cytoreductive surgery or a possible conversion of access and expansion of the surgery volume to panhysterectomy and omentectomy after urgent histological examination.
Surgery protocol
Diagnostic laparoscopy was performed under endotracheal anesthesia, which revealed no abdominal cavity effusion. A pronounced adhesive process was observed in the abdominal cavity and the small pelvis. The appendages of the uterus on both sides had adhesions with the loops of the large intestine and the peritoneum of the small pelvis.
During adhesiolysis, when the intestinal loops were separated from the tubo-ovarian lesion, an abundant amount of white thick pus-like discharge was secreted. Sanitation of the small pelvis was performed. Thereafter, the examination of the pelvic organs revealed an enlarged uterus by 5/6 weeks due to intramural-subserous myomatous nodes along the anterior wall measuring 3.0 × 3.0 cm and along the posterior wall measuring 3.0 × 2.0 cm. On the left and right, conglomerates from the ovary and fallopian tube were visualized, turned into tubo-ovarian abscesses of 4.0 × 5.0 cm on the left and 5.0 × 6.0 cm on the right. Further inspection of other organs of the abdominal cavity did not reveal any pathological changes. Diagnosis of bilateral tubo-ovarian abscesses was established. Thus, laparoscopic supravaginal panhysterectomy was decided.
Using bipolar coagulation, the round uterine ligaments were coagulated and transected by sharp dissection. The peritoneum of the vesicouterine fold was opened in the transverse direction, and the bladder was separated and displaced downwards. The posterior leaf of the broad uterine ligament was opened, and the ascending branches of the uterine arteries were coagulated and crossed on both sides. Using monopolar coagulation, the uterus with appendages was dissected away at the level of the internal orifice. Hemostasis was stable. The stump of the cervix was stitched.
Considering the size of the lesions and the infected contents, their removal through an enlarged laparoscopic wound through the midline in a sealed Endocatch container was decided. Drainage was placed in the abdominal cavity through the right lateral port. Aquapuration. Removing tools. Desuflation. Stitches on the skin. Aseptic stickers.
Complications were not encountered during the surgery, and blood loss was 100 ml.
The postoperative diagnosis includes bilateral tubo-ovarian abscesses; adhesion process of the small pelvis; adenomyosis; and multiple uterine fibroids.
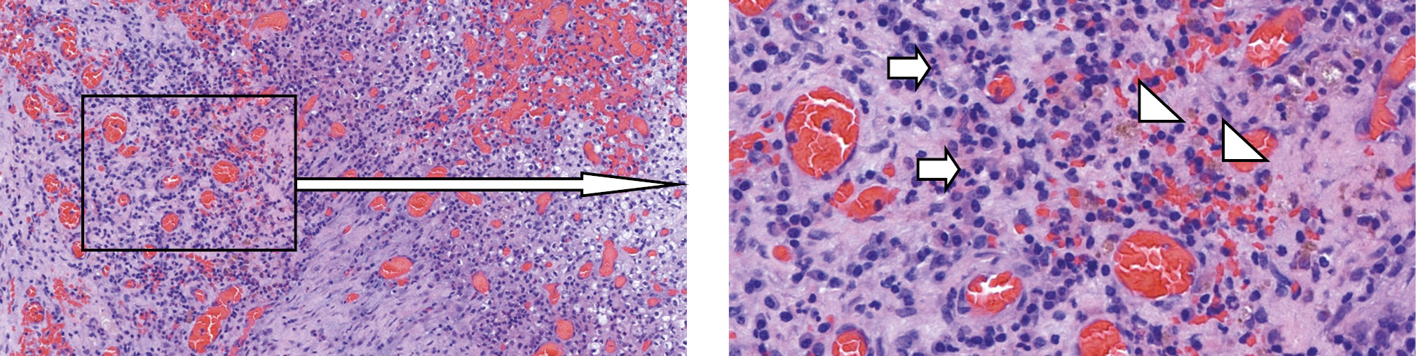
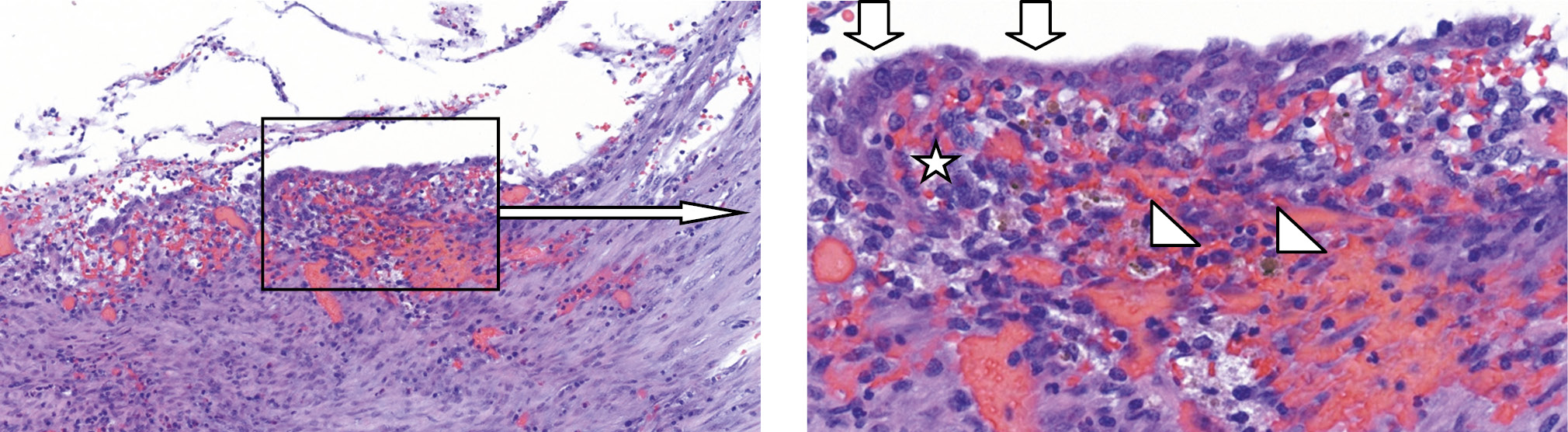
The histological examination revealed an intramural node of the leiomyoma of the uterine body with zones of stromal fibrosis and 1–2 mitoses in 10 fields of view at a magnification of ×400. The endometrium was in the late proliferative and early secretory phases of the menstrual cycle. Endometrioid cysts were found in both ovaries. The corpus luteum was in the involution phase (left ovary). The bilateral chronic oophoritis was in the exacerbation phase, with signs of purulent exudate organization. The bilateral chronic salpingitis was in an exacerbation phase, with signs of organization. Paratubal serous microcysts were observed (Fig. 6, 7).
Fig. 6. The wall of the endometrioid ovarian cyst: endometrioid epithelium (arrows), cytogenic stroma (asterisk), foci of hemosiderosis (triangular pointers)
Fig. 7. Severe chronic oophoritis: pronounced lymphoplasmacytic infiltration with an admixture of few neutrophils (arrows), proliferation of granulation tissue, hemorrhages, hemosiderosis (triangular pointers). Hematoxylin and eosin staining
Final diagnosis
The principal diagnosis was bilateral ovarian endometriomas, adhesion process of the small pelvis, adenomyosis, and multiple uterine fibroids. Complications of the underlying disease include bilateral tubo-ovarian abscesses due to community-acquired pneumonia in April 2020, caused by coronavirus infection.
CONCLUSION
The clinical case presented shows that, despite insufficient medical literature information on complications of endometrioid disease due to infectious and inflammatory diseases, community-acquired pneumonia, caused by a new coronavirus infection, may cause purulent-septic complications of endometriosis. The hematogenous effect of the virus was observed on endometrioid cysts. This information can help clinicians to conduct differential diagnostics in patients with a history of endometriosis and a new coronavirus infection, establish a diagnosis, and determine examination and treatment approach.
About the authors
Andrey N. Plekhanov
Academician I.P. Pavlov First St. Petersburg State Medical University; Saint Petersburg Clinical Hospital of the Russian Academy of Sciences; Academy of Medical Education named after F.I. Inozemtsev
														Email: bez-vitaly@yandex.ru
				                	ORCID iD: 0000-0002-5876-6119
				                	SPIN-code: 1132-4360
							Scopus Author ID: 842119
											                								
MD, Dr. Sci. (Med.), Professor
Russian Federation, 6-8 L'va Tolstogo Str., Saint Petersburg, 197022; Saint Petersburg; Saint PetersburgVitaly F. Bezhenar
Saint Petersburg Clinical Hospital of the Russian Academy of Sciences
														Email: bez-vitaly@yandex.ru
				                	ORCID iD: 0000-0002-7807-4929
				                	SPIN-code: 8626-7555
																		                								
MD, Dr. Sci. (Med.), Professor
Russian Federation, 72 d. Torez Ave., Saint PetersburgFedor V. Bezhenar
Academician I.P. Pavlov First St. Petersburg State Medical University; Saint Petersburg Clinical Hospital of the Russian Academy of Sciences
														Email: fbezhenar@gmail.com
				                	ORCID iD: 0000-0001-5515-8321
				                	SPIN-code: 6074-5051
																		                								
MD
Russian Federation, 6-8 L'va Tolstogo Str., Saint Petersburg 197022; 72 d. Torez Ave., Saint PetersburgTatyana A. Epifanova
Academician I.P. Pavlov First St. Petersburg State Medical University; Saint Petersburg Clinical Hospital of the Russian Academy of Sciences
							Author for correspondence.
							Email: epifanova-tatiana@mail.ru
				                	ORCID iD: 0000-0003-1572-1719
				                	SPIN-code: 5106-9715
																		                								
MD
Russian Federation, 6-8 L'va Tolstogo Str., Saint Petersburg 197022; 72 d. Torez Ave., Saint PetersburgReferences
- Adamjan LV, Kulakov VI, Andreeva EN. Jendometrioz. Klinicheskie rekomendacii. Moscow; 2016. (In Russ.)
 - Dubrovina SO. Puncture sclerotherapy as an alternative to surgical treatment for ovarian cysts. Rossiyskiy vestnik akushera-ginekologa. 2006;(4):7–11. (In Russ.)
 - van Leeuwen FE, Klip H, Mooij TM, et al. Risk of borderline and invasive ovarian tumours after ovarian stimulation for in vitro fertilization in a large Dutch cohort. Hum Reprod. 2011;26(12):3456–3465. doi: 10.1093/humrep/der322
 - Kadrev AV. Punkcii pod kontrolem jehografii v diagnostike i lechenii zhidkostnyh obrazovanij organov malogo taza u zhenshhin [dissertation abstract]. Moscow, 2007. [cited 2021 March 21]. Available from: https://www.dissercat.com/content/punktsii-pod-kontrolem-ekhografii-v-diagnostike-i-lechenii-zhidkostnykh-obrazovanii-organov-/read
 - Mikamo H, Kawazoe K, Sato Y, et al. Ovarian abscess caused by Peptostreptococcus magnus following transvaginal ultrasound-guided aspiration of ovarian endometrioma and fixation with pure ethanol. Infect Dis Obstet Gynecol. 1998;6(2):66–68. doi: 10.1002/(SICI)1098-0997(1998)6:2<66::AID-IDOG7>3.0.CO;2-5
 - Padilla SL. Ovarian abscess following puncture of an endometrioma during ultrasound-guided oocyte retrieval. Hum Reprod. 1993;8(8):1282–1283. doi: 10.1093/oxfordjournals.humrep.a138241
 - Driggin E, Madhavan MV, Bikdeli B, et al. Cardiovascular considerations for patients, health care workers, and health systems during the COVID-19 pandemic. J Am Coll Cardiol. 2020;75(18):2352–2371. doi: 10.1016/j.jacc.2020.03.031
 - Johns Hopkins University. Coronavirus COVID-19 global cases by the center for systems science and engineering (CSSE). [cited 2021 March 21]. Available from: https://gisanddata.maps.arcgis.com/apps/opsdashboard/index.html#/bda7594740fd40299423467b48e9ecf6
 - Li R, Pei S, Chen B, et al. Substantial undocumented infection facilitates the rapid dissemination of novel coronavirus (SARS-CoV-2). Science. 2020;368(6490):489–493. doi: 10.1126/science.abb3221
 - Mizumoto K, Kagaya K, Zarebski A, Chowell G. Estimating the asymptomatic proportion of coronavirus disease 2019 (COVID-19) cases on board the Diamond Princess cruise ship, Yokohama, Japan, 2020. Euro Surveill. 2020;25(10):2000180. Corrected and republished from: Euro Surveill. 2020;25(22). doi: 10.2807/1560-7917.ES.2020.25.10.2000180.
 
Supplementary files
				
			
					
						
						
									








