The questions of pathogenesis of uterine cervix elongation (clinical-morphological and immunohistochemical investigation)
- Authors: Kostyuchek D.F.1, Gordeladze А.S.1, Klyukovkina А.S.1
-
Affiliations:
- State Medical Academy named after I.I. Mechnikov
- Issue: Vol 54, No 3 (2005)
- Pages: 5-11
- Section: Current public health problems
- Submitted: 01.11.2005
- Accepted: 05.10.2021
- Published: 01.11.2005
- URL: https://journals.eco-vector.com/jowd/article/view/81943
- DOI: https://doi.org/10.17816/JOWD81943
- ID: 81943
Cite item
Full Text
Abstract
Theclinical-morphological, immunohistochemical examination of the elongation of uterine cervix (EUC) in patients aged of 29-70 years old was conducted. The correlation of the systemic connective tissue dysplasia (SCTD) with the reconstruction of the tissue architectonics of the cervix, disorders of collagen synthesis, redistribution of the I, III and IV types of collagen was established, which testify the role of SCTD in the pathogenesis of the EUC.
Full Text
Опущение и выпадение внутренних половых органов (ОВВПО) составляет 28-38,9 % гинекологических заболеваний [1, 3]. Высокая степень инвалидизации женщин, поздняя обращаемость определяют необходимость хирургического лечения и его недостаточную эффективность. Больные с ОВВПО составляют 15 % оперированных в гинекологических стационарах, рецидивы при этом возникают у 2,3-33 % больных [5, 18].
Важность проблемы ОВВПО и ее изучения возрастает в связи с отчетливым возрастным сдвигом заболеваемости. В ряде работ имеются данные, требующие пересмотра привычного представления о ОВВПО, как болезни пожилого возраста, у 30 % больных эта патология диагностируется в возрасте 28-45 лет [2, 3, 12].
В литературе, как правило, обобщаются данные о развитых и/ или осложненных проявлениях ОВВПО. Элонгация шейки матки является малосимптомной стадией и/или частным проявлением ОВВПО, с которой на ранних этапах развития редко обращаются к врачу. Данные о частоте изолированной формы элонгации шейки матки (ЭШМ) в литературе практически отсутствуют. Вместе с тем ЭШМ характеризуют определенные клинико-морфологические проявления, особенности течения, прогрессии и осложнения. Проблема элонгации шейки матки в последнее время встает достаточно остро в связи с тем, что в стационарах появляется все больше молодых женщин с нарушением качества жизни, связанной с ЭШМ (дискомфррт, чувство инородного тела в области промежности, невозможность половой жизни и связанная с этим психологическая травма) [12, 42].
Выделяют три степени ЭШМ: I степень - удлинение шейки матки до 5 см; II - удлинение до 7,5-8 см; III - более 8 см [15]. Для ранней степени ЭШМ без опущения стенок влагалища характерно бессимптомное течение, редкое обращение к врачу-гинекологу и низкая диагностика, в диагнозе наличие ЭШМ не отражается. Считают, что при длительном и медленном течении за счет действия разнонаправленных сил на шейку матки происходит ее значительное удлинение и больная обращается к врачу уже со II и III степенью ЭШМ без и/или в сочетании с опущением матки. В сравнительно редких случаях при быстром течении процесса элонгация шейки матки диагностируется на ранней стадии [12].
Как известно, при ОВВПО широко выполняются оперативные методы лечения [5, 14]. Нередко используется хирургический метод лечения в объеме манчестерской операции при ЭШМ [14, 15, 29]. Но описанные в литературе способы операций по коррекции ЭШМ не всегда эффективны, что связывают с хирургической травмой, наложением швов, иногда вызывающих большее повреждение тканей, чем действие факторов риска [26]. Перспективным направлением лечения ОВВПО и ЭШМ в частности является патогенетическое обоснование профилактических и лечебных мероприятий. Однако вопросы патогенеза и этиологии этой патологии, несмотря на обширную литературу, остаются спорными, неясными и требуют дальнейшего изучения [2, 3, 19, 26, 27, 30, 39, 40].
В последние десятилетия одним из актуальных направлений изучения патогенетических механизмов многих заболеваний различных органов и систем является дисплазия соединительной ткани (ДСТ) [2, 3, 6-8, 31].
ДСТ - генетически обусловленная, наследственная патология, определяющая патогенез врожденного нарушения морфофункционального состояния соединительной ткани на уровне организма, органов и тканевых систем [24]. В соответствии с этим ДСТ рассматривают как наследственно обусловленное снижение прочности соединительной ткани [7, 10, 11, 24]. В многочисленных публикациях конкретизируются формы, особенности клиники, морфологии, иммуногистохимии соединительной ткани при различных формах и вариантах ДСТ. С ведущим значением этой патологии связывают ряд заболеваний сердечно-сосудистой, легочной, мочевыделительной систем, опорно-двигательного аппарата [4, 6, 8, 9, 16, 22, 23]. Предложено выделение больших (главных) и малых (второстепенных) признаков ДСТ К главным признакам относят: грыжи, варикозную болезнь, геморрой, привычные вывихи суставов и растяжения связок, нарушение моторной функции желудочно-кишечного тракта, поливалентную аллергию, пролапс гениталий у родственников первой линии, быстрые и/или стремительные роды в анамнезе с или без гипотонического кровотечения в третьем периоде родов. К второстепенным или малым признакам относят: астенический тип телосложения, плоскостопие, склонность к легкому образованию гематом, повышенную кровоточивость тканей, кровотечения в послеродовом периоде, отсутствие стрий на коже передней брюшной стенки у рожавших женщин, вегетососудистые дистонии, нарушение сердечного ритма и проводимости [2, 3, 19].
В соответствии с предложенной отечественными авторами [3, 19] балльной количественной оценкой главных (2 балла) и второстепенных (1 балл) признаков, по сумме баллов выделяют 3 степени ДСТ: 1 - легкая (слабовыраженная), 2 - средняя (умеренно выраженная), 3 - тяжелая (выраженная). На современном этапе диагностика ДСТ занижена до 2,4 % за счет увеличения числа малых форм, составляющих 68,8 % [19, 24]. При изучении биоптатов кожи предплечья у пациентов с пролапсом митрального клапана, который рассматривают как проявление ДСТ, выявлено увеличение содержания коллагена III типа (повышение соотношения коллагена III/III+I типов) [22]. В коже у больных ДСТ происходит снижение доли толстых и увеличение количества тонких коллагеновых волокон, возрастает количество основного вещества, фибробластов, эластических волокон [23].
Работы по выявлению ДСТ у больных с ОВВ- ПО единичны, изучение вопросов взаимоотношения этой формы гинекологической патологии с ДСТ находится на начальном этапе. С.Н. Буяновой и др. [3], Т.Ю. Смольновой и др. [19] изучены клинико-морфологические проявления ДСТ на операционном материале у больных с клиническими, функциональными, лабораторными данными, подтверждающими ДСТ. Изучены крестцово-маточные связки, участки стенок влагалища, слизистая периуретральной области. При комплексном обследовании больных подтверждена связь между пролапсом гениталий и проявлениями ДСТ. Морфологическим исследованием установлено незначительное разобщение гладкомышечных пучков, врастающими пучками коллагеновых волокон. Эти морфологические проявления рассматриваются как неспецифические, вспомогательные признаки ДСТ. Иммуногистохимическим исследованием установлено общее снижение коллагена на 40 %±15 % в основном за счет коллагена I типа с нарушением распределения коллагенов при нормальном синтезе и депонировании в фибробластах. Результаты работы позволили считать пролапс гениталий частным проявлением генерализованной ДСТ на уровне репродуктивной системы. При этом степень тяжести пролапса гениталий и сроки его возникновения находятся в прямой зависимости от степени выраженности клинических проявлений ДСТ. Это позволило предложить критерии выявления ДСТ у других категорий гинекологических больных [2, 3]. Единичные работы по изучению метаболизма соединительной ткани при генитальном пролапсе имеются в иностранной литературе. В частности, на биопсийном материале показано значительное снижение I, III, VI типов коллагена и вибронектина у женщин с ОВВПО в постменопаузе с и без стрессового недержания мочи [34].
Работы с комплексным, сравнительным изучением проявлений ДСТ при ЭШМ с морфологическим и иммуногистохимическим изучением шейки матки отсутствуют. Вместе с тем шейка матки имеет важное значение в осуществлении опорной функции, защиты от механических перегрузок, сократительной и запирательной деятельности полового аппарата. В соответствии с многообразием функций, шейка матки имеет сложное многотканевое строение с определенным топографическим и архитектоническим соотношением различных морфофункциональных тканевых структур. Постоянство топографических количественных и качественных характеристик коллагеновых, эластических волокон в рыхлой и плотной соединительной ткани, соединительнотканных, сосудистых, мышечных отношений в трех слоях мышечной ткани определяет устойчивость тканевой и функциональной организации шейки матки [17, 20, 21]. Инволютивные процессы при этом характеризуются прогрессированием склероза и атрофией мышечной ткани, коррелирующие с возрастом и гормональным гомеостазом [31, 33, 37].
Цель работы: комплексное, сравнительное клинико-морфологическое и иммуногистохимическое исследование, проведенное у 56 женщин в возрасте 29-70 лет с элонгацией шейки матки и клиническими проявлениями ДСТ, оперированных по поводу лейомиомы и/или ЭШМ. В работе выделено 2 возрастные группы больных: 1 - возраст 29-45 лет (средний возраст 39,2) - 13 человек; 2 - 46-70 лет (средний возраст 61 год) - 43 человека. Контрольную группу составили женщины без ЭШМ и ДСТ - 4 наблюдения (средний возраст - 45 лет).
Морфологическое исследование с субтотальным изучением шейки матки. Операционный материал фиксировался в 10 % нейтральном формалине, заливался в парафин. Гистологические срезы окрашивались гематоксилином и эозином, пикрофуксином (метод Ван-Гизон), альциановым синим, орсеином (метод Харта), по методу Маллори, использовалась импрегнация серебром на аргирофильные волокна (метод Гордона и Свита).
Гистохимическое исследование проведено с использованием поликлональных антител к коллагенам I, III, IV типов, фактора роста фибробластов, бета-трансформирующего фактора роста. Экспрессия иммуногистохимиеских маркеров определялась по интенсивности окрашивания с учетом топографии субстрата и оценивалась по- луколичественным методом: + - слабое; ++ - умеренное; +++ - выраженное; ++++ - интенсивное.
Иммуногистохимическое исследование проводилось в Московской государственной медицинской Академии им. И.М. Сеченова, кафедра патологической анатомии - профессор Коган Е.А.
Результаты исследования: из 56 больных с ЭШМ системные признаки ДСТ выявлены у 47 женщин (84 %), 2 человека без проявлений ДСТ относились к 1-й группе и 7 - ко 2-й. К наиболее часто выявляемым при активном анкетированном опросе сочетанным признакам относились: геморрой, варикозная болезнь, пролапс гениталий у родственников первой линии, быстрые и стремительные роды, плоскостопие, склонность к легкому образованию синяков, вегетососудистые дистонии, нарушение сердечного ритма и проводимости. Полученные данные по оценки степени ДСТ и ЭШМ и их соотношения в соответствии с рекомендацией С.Н. Буяновой и Т.Ю. Смольно- вой представлены в табл. 1.
Таблица 1. Корреляция степеней ЭШМ от степени ДСТ в различных возрастных группах
Возраст | Число обследованных | Степень ЭШМ | Степень ДСТ | |||
легкая | умеренная | тяжёлая | без признаков | |||
29-45 лет | 7 (46 %) | I | 4 | 1 |
| 2 |
5 (38,5 %) | II | 4 | 1 |
| - | |
I (15,5 %) | III | - | 1 |
| - | |
46-70 лет | 13(32%) | I | 9 | 4 |
| - |
29 (65 %) | II | 16 | 6 |
| 7 | |
1 (3 %) | III | - | 1 |
| - | |
Примечание: ЭШМ -I степень - до 5 см; II - 6-8 см; III - больше 6 см. ДСТ -легкая - до 9 баллов; умеренная - 10-16; тяжелая -> 17 баллов.
Полная корреляция между степенями ЭШМ и степенью ДСТ отсутствует. В первой группе больных (до 45 лет) из 13 человек у 7 имелись главные признаки ДСТ (пролапс гениталий у родственников первой линии, варикозная болезнь, склонность к аллергическим реакциям), что коррелировало с определенной акушерской патологией (разрывы шейки матки в родах). Во второй группе главные признаки ДСТ выявлены у всех больных, но при наличии более разнообразной акушерской патологии (разрывы шейки матки и влагалища в родах) преобладали стремительные роды (10 больных), а у женщин без отягощенного акушерского анамнеза - пролапс у родственников первой линии и варикозная болезнь (8 больных). Эти данные определяют ДСТ как фактор риска для развития акушерской патологии.
При гистологическом исследовании шейки матки в обеих группах наблюдений установлен определенный комплекс морфологических процессов, существенно отличающих шейку матки при элонгации от контрольной группы. Для всех наблюдений характерно увеличение объема плотной соединительной ткани как в субэпителиальных отделах слизистой, так и (особенно) в глубоких - периваскулярно, в строме, в мышечных слоях. Этот процесс прогрессирующего склероза варьирует по протяженности и выраженности даже в пределах одного наблюдения, но характеризуется постоянством. Он коррелирует с нарушением отношений и состоянием соединительной, мышечной ткани, сосудов.
Рис. 1. Контрольное наблюдение (пациентка 45 лет). Слабо выраженная периваскулярная экспрессия коллагена I типа (1). Ув. 400.
В строме и стенках склерозированных артериальных сосудов с деформацией просвета происходит дезорганизация соединительной ткани, которая проявляется неравномерным мукоидным отеком, нарушением тинкториальных свойств коллагена, очаговым гиалинозом. В мышечных слоях наблюдается разрастание соединительной ткани вокруг и между пучками мышечной ткани, коллагенизация аргирофильных волокон между лейомиоцитами с их разобщением, сдавлением, смещением, атрофией мышечной ткани. Совокупность этих процессов приводит к нарушению архитектоники и соотношений мышечной и соединительной ткани. С этими процессами сочетается гипертрофия, набухание, фрагментация и уменьшение количества эластических волокон вокруг сосудов и мышечных пучков. Все описанные изменения варьируют в количественном и качественном отношении, но взаимосвязаны и коррелируют не столько с возрастом, сколько с давностью процесса и степенью ЭШМ. От инволютивных возрастных изменений их отличает значительное нарушение архитектоники тканевых структур, интенсивность и постоянство коллагенизации межмышечных аргирофильных волокон. Инволютивную природу исключает их постоянство и значительная выраженность у молодых женщин, не имеющих в анамнезе акушерской патологии, что подтверждает их причинно-следственную связь с ДСТ. Тем не менее это не исключает того, что закономерно нарастающие инволютивные процессы у женщин в менопаузальном и постменопаузальном периодах усугубляют прогрессирование ЭШМ, чем может объясняться больший, чем в группе больных в возрасте 29-45 лет, процент ЭШМ 2-3-й степени.
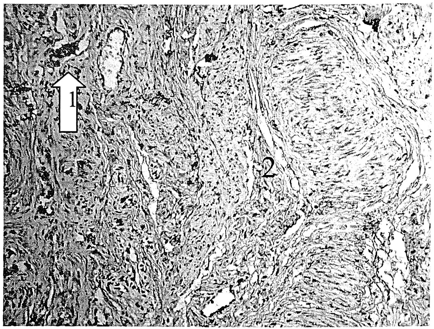
Рис. 2. ЭШМ I степени, ДСТ легкой степени (пациентка 34 лет). Выраженная экспрессия коллагена I типа в строме (1) и в мышечной ткани (2) шейки матки. Ув. 100.
Иммуногистохимическим исследованием установлены топографические, количественные, качественные особенности коллагенообразования и фибропластики при ЭШМ с проявлениями ДСТ в сравнении с контрольным наблюдением.
Характерно относительное снижение экспрессии антител к коллагену I типа в строме, стенках сосудов и повышение ее в пучках мышечных волокон и вокруг лейомиоцитов. В этих же структурах, как в поверхностных, так и в глубоких отделах шейки матки, повышаются и имеют распространенный характер экспрессируемые коллагены III и IV типов (рис. 1, 2, 3).
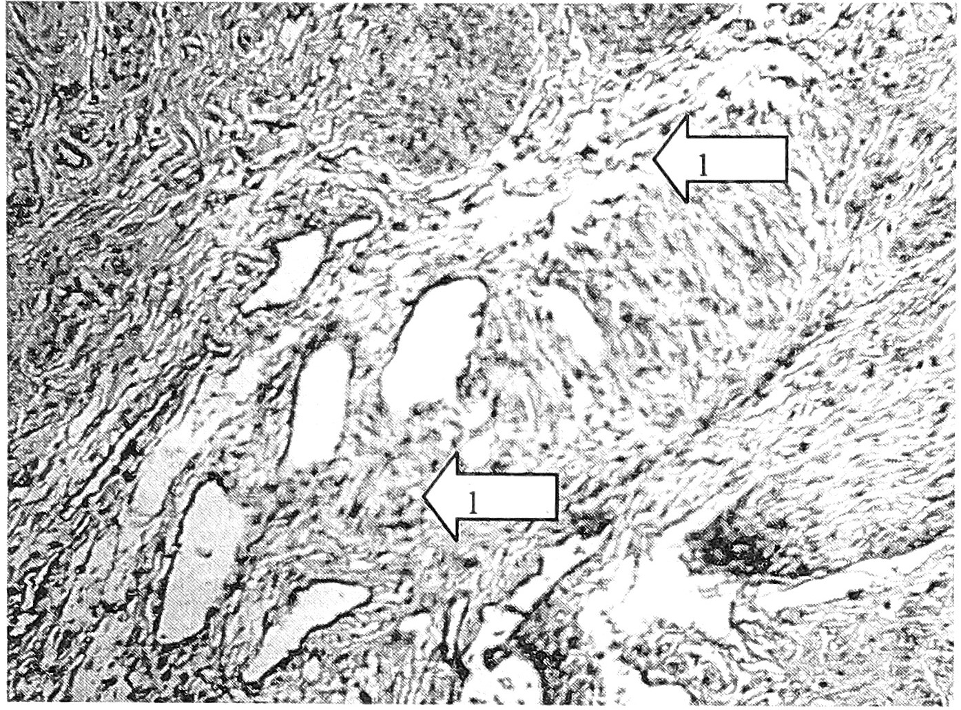
Рис. 3. ЭШМ I степени, ДСТ умеренной степени (пациентка 39 лет). Выраженная экспрессия коллагена III в межмышечной (1) и внутримышечной соединительной ткани (2). Ув. 400.
Наиболее выражены эти показатели в глубоких отделах шейки матки. При выраженной эксклетках стромы (1) и экстрацеллюлярном матриксе (2). Ув. 400.
прессии бета-трансформирующего фактора роста в клетках стромы и экстрацеллюлярном матриксе, в контрольной группе его экспрессия обнаруживается лишь в эпителии слизистой. Экспрессия фактора роста фибробластов в основной группе наблюдается, в отличие от контрольной, не только в строме, но и в экстрацеллюлярном матриксе (рис. 4, 5).Существенных возрастных отличий изученных показателей не обнаружено (табл. 2).
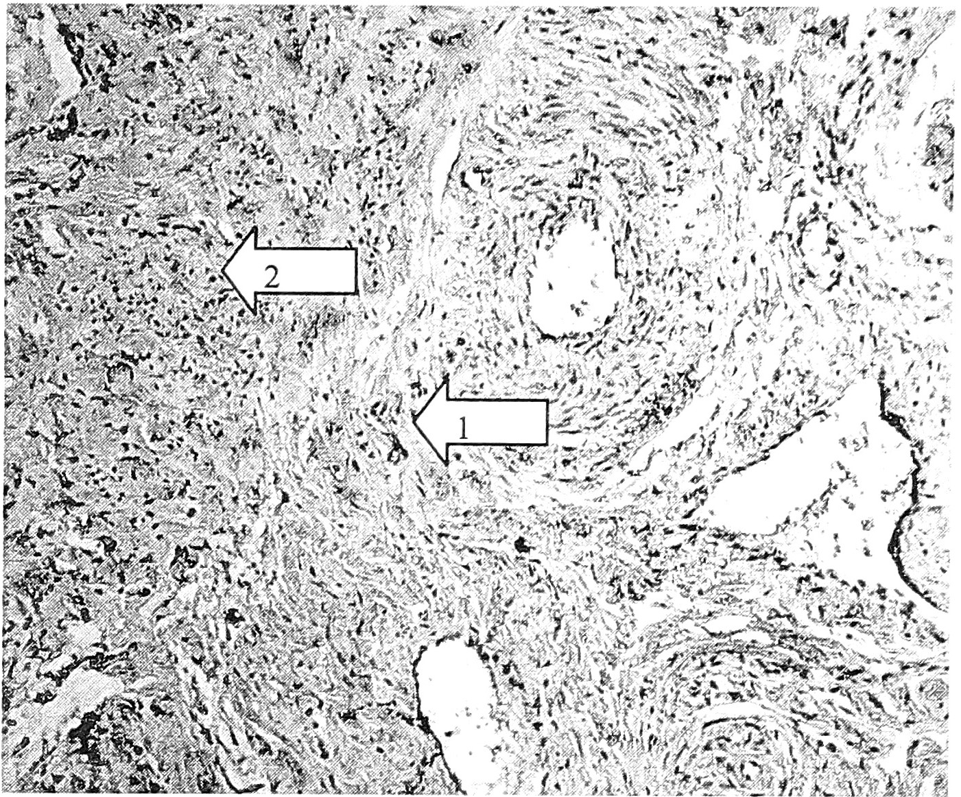
Рис. 4. ЭШМ I степени, ДСТ легкой степени (пациентка 34 лет). Выраженная экспрессия бета-трансформирующего фактора роста в экстрацеллюлярном матриксе (1) и в клетках стромы (2). Ув. 400.
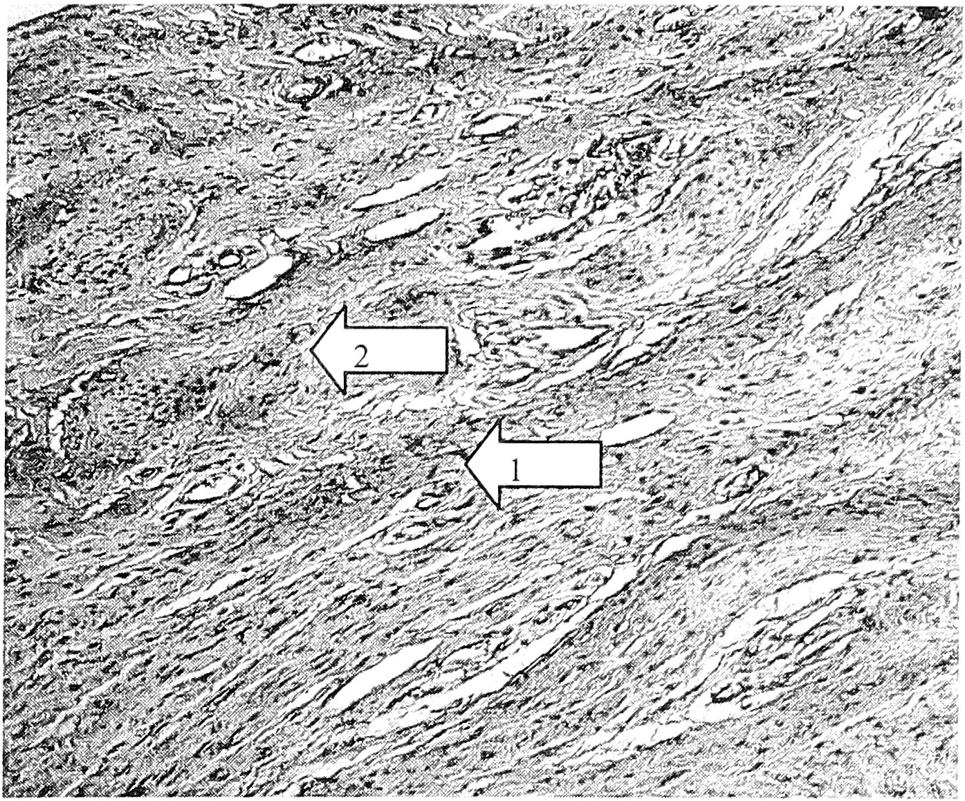
Рис. 5. ЭШМ I степени, ДСТ умеренной степени (пациентка 39 лет). Экспрессия фактора роста фибробластов в клетках стромы (1) и экстрацеллюлярном матриксе (2). Ув. 400.
Таблица 2.Иммуногистохимическое исследование у больных с ЭШМ
Возраст | Степень ЭШМ | Степень ДСТ | Коллаген I типа | Коллаген III типа | Коллаген IV типа | ТФРФ | ФРФ |
34 года | 1 | 1 | +++ | ++++ | ++++ | +++ | ++ |
39 лет | 2 | 2 | ++ | +++ | +++ | +++ | + |
43 года | 3 | 3 | +++ | +++ | ++ | +++ | ++ |
64 года | 3 | 2 | +++ | +++ | +++ | +++ | + |
Контроль 45 лет | - | - | + | + | ++ | ++ (только эпителий) | + |
Примечание: ТФРФ - трансформирующий фактор роста фибробластов, ФРФ - фактор роста фибробластов
Сопоставление результатов гистологического и иммуногистохимического исследований позволяет установить топографическую и морфологическую связь между экспрессией показателей коллагенопластики и коллагенизацией аргирофильных волокон в стенках сосудов, вокруг и внутри пучков мышечной ткани, между мышечными волокнами.
Это существенно отличает коллагенообразование при наличии ДСТ от характеристики соединительной ткани в норме. Как известно, для плотной соединительнотканной опорной стромы характерно значительное преобладание коллагена I типа, тогда как в стенках сосудов, в мышечных пучках, вокруг миоцитов имеется коллаген III, IV типов [25, 28].
Комплекс гистологических и иммуногистохимических показателей свидетельствует о постоянстве нарушений при ЭШМ коллагенообразования и фибропластики, значительной перестройки соединительнотканных, мышечных, сосудистых структур. Наличие этих изменений у женщин в группе до 45 лет даже на ранних стадиях ЭШМ свидетельствует об их первичности.
Заключение
Сравнительным клинико-морфологическим и иммуногистохимическим исследованием установлено, что при ЭШМ, независимо от ее стадии, преобладающая часть больных (84 %) имеет комплекс клинических, морфологических, иммуногистохимических проявлений ДСТ.
В шейке матки с проявлениями элонгации при наличии экстрагенитальных признаков ДСТ возникает коллагенопатия, ведущая к нарушению архитектоники, топографии тканевых структур и определяющая морфофункциональную неполноценность шейки матки. Этот процесс имеет определенный морфогенез. Коллагенопатия с включением в процесс стромы, сосудов, мышечной ткани ведет к прогрессирующему склерозу с дезорганизацией соединительной ткани, нарушением ее трофической, организующей функции. Качественное нарушение коллагенообразования приводит к внутримышечной коллагенизации аргирофильных структур с прогрессирующей атрофией мышечной ткани. Полученные нами данные не противоречат данным литературы о том, что при ДСТ имеет место нарушение соотношения различных типов коллагена. Прогрессирование процесса связано с нарушением накопления и распределения коллагенов I, III, IV типов и качественным нарушением коллагенообразования. Как справедливо отмечает Т.Ю. Смольнова с соавторами [19], атрофия мышечной ткани и склероз не являются специфическими признаками ДСТ. Однако комплекс этих процессов, типовое направление морфогенеза, особенно у молодых женщин без акушерской патологии, позволяет оценивать эти процессы как проявление ДСТ. Нарушение коллагенообразования с изменением соотношения и топографии изученных типов коллагена и с усилением их депонирования в экстрацеллюлярном матриксе и фибробластах, очевидно, определяет снижение опорной, формообразовательной, трофической функции соединительной ткани, снижение ее устойчивости при нагрузках. Совокупность и взаимосвязь этих процессов определяет тенденцию к прогрессированию неполноценности шейки матки, которая усугубляется факторами риска. Полученные данные создают патогенетические предпосылки для активного выявления ранних стадий ЭШМ с профилактическим направлением их стабилизации и выбора адекватных методов лечения.
About the authors
D. F. Kostyuchek
State Medical Academy named after I.I. Mechnikov
Email: info@eco-vector.com
Department of Obstetrics and Gynecology №1
Russian Federation, St. PetersburgА. S. Gordeladze
State Medical Academy named after I.I. Mechnikov
Email: info@eco-vector.com
Department of Pathological Anatomy
Russian Federation, St. PetersburgА. S. Klyukovkina
State Medical Academy named after I.I. Mechnikov
Author for correspondence.
Email: info@eco-vector.com
Department of Obstetrics and Gynecology №1
Russian Federation, St. PetersburgReferences
Supplementary files







