Complete uterine rupture during pregnancy after laparoscopic myomectomy (case report)
- Authors: Korsak V.S.1, Shcherbina L.A.1, Shelaeva Е.V.1
-
Affiliations:
- Research Institute of Obstetrics, Gynecology and Reproductology named after D.O. Ott
- Issue: Vol 54, No 2 (2005)
- Pages: 108-112
- Section: Articles
- Submitted: 01.10.2005
- Accepted: 06.10.2021
- Published: 01.10.2005
- URL: https://journals.eco-vector.com/jowd/article/view/82703
- DOI: https://doi.org/10.17816/JOWD82703
- ID: 82703
Cite item
Full Text
Abstract
A 40—year—old woman was admitted with an imminent premature labor at the 31st week of pregnancy and a complete uterine rupture was diagnosed after the echography, while there was no internal bleeding, no maternal or fetal distress. She underwent a laparoscopic myomectomy 5 years before. After caesarian section and a subtotal hysterectomy the mother and a life baby were discharged. Review of current literature.
Keywords
Full Text
В последние 10—15 лет как в зарубежной, так и в отечественной клинической практике, наблюдается все возрастающее распространение лапароскопической миомэктомии. При этом удаляются как небольшие, так и значительных размеров миоматозные узлы, расположенные субсерозно и интрамурально. Сегодня лапароскопическая миомэктомия нередко производится как симультанная операция. Поскольку одной из основных задач органосохраняющих операций является сохранение репродуктивной функции, то отдаленные последствия удаления миоматозных узлов в отношении течения беременности и родов нуждаются в систематизации и оценке. Без сомнения, самым тяжелым, угрожающим жизни матери и плода осложнением является разрыв матки. В современном акушерстве гистопатические изменения в миометрии играют главную роль в генезе разрыва матки [17].
В классическом случае осложнениями полного разрыва являются внутреннее кровотечение и антенатальная смерть плода. Мы наблюдали полный разрыв матки во время беременности по рубцу после лапароскопической миомэктомии, не сопровождавшийся ни кровотечением, ни нарушением жизнедеятельности плода.
Описание случая
Беременная К., 40 лет, история родов № 845, поступила в НИИ акушерства и гинекологии им. Д.О. Отта РАМН в 20 часов 06.02.2004 с диагнозом: «Беременность 31 неделя. Угрожающие преждевременные роды. Порок развития матки?». Тянущие боли в поясничной области и необычно частые шевеления плода беспокоили беременную с 5 часов утра того дня. Около 19 часов беременная пришла на запланированное ранее ультразвуковое исследование. Врачом был установлен указанный выше диагноз и беременная направлена на госпитализацию.
Из соматического анамнеза
Черепно—мозговая травма в детстве, язвенная болезнь желудка, эзофагит, грыжа пищеводного отверстия диафрагмы, вегетососудистая дистония по гипертоническому типу. В 2002 году была диагностирована наследственная тромбофилия, дефект гена MTHFR c 677—>Т, клиническими проявлениями которой являлись частые носовые кровотечения, кровотечения после родов и искусственных абортов.
Акушерский анамнез
Настоящая беременность — пятая.
1987 г.— самопроизвольный выкидыш при сроке 8—9 недель беременности с выскабливанием полости матки.
1988 г.— роды первые преждевременные в 36 недель, родовозбуждение в связи с тяжелой формой гестоза. Роды осложнились кровотечением в раннем послеродовом периоде. На 2—е сутки после родов развился приступ эклампсии. Ребенок родился массой 1800 г, жив, развивается нормально. 1993 и 2000 гг. — искусственные аборты, осложнившиеся кровотечением с повторным выскабливанием полости матки.
Гинекологический анамнез
В 1999 оперативная лапароскопия по поводу кисты правого яичника и множественной миомы матки. Из справки лечебного учреждения: «Интерстициально—субсерозный узел размером 2,5×3,0 см в дне матки, по задней стенке субсерозный узел — 0,5 см. Правый яичник содержит кисту диаметром 4,0 см. Произведена резекция правого яичника, консервативная миомэктомия. Ложе миоматозного узла, расположенного в области дна матки, ушито отдельными швами (полигликолид). Извлечение удаленных узлов и ткани яичника произведено через кольпотомический разрез без затруднений. Послеоперационный период протекал без осложнений. Заключение гистологического исследования: лейомиома, киста желтого тела с кровоизлияниями, мелкие фолликулярные кисты и белые атретические тела».
По поводу данной беременности состояла на учете в женской консультации с 11 недель беременности. В 16 недель, в рамках пренатальной диагностики, была выполнена трансабдоминальная плацентобиопсия.
Во время утреннего обхода 07.02.04 жалоб беременная не предъявляла. АД 100 и 60 мм рт. ст., пульс 8 уд/мин, удовлетворительного наполнения. Сердцебиение плода ясное, ритмичное, 150 уд/мин. Матка в нормальном тонусе, при пальпации безболезненна, выше пупка по передней стенке матки обнаружено необычное «выпячивание», которое составляло в диаметре около 10,0 см, в нем легко прощупывались мелкие части плода. В результате дополнительного опроса было установлено, что за 20 дней до поступления, 18.01.04, во время шевеления плода внезапно развился приступ рвоты и слабости. С этого момента приступы внезапной «слабости», связанные с шевелениями плода, периодически повторялись.
Заключение ультразвукового исследования
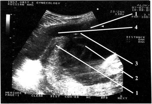
В матке определяется один живой плод в головном предлежании. По фетометрическим данным соответствует 30/31 неделям беременности. В верхней трети передней стенки матки имеется дефект миометрия 6,0×5,0 см. За пределами матки определяется часть амниотической полости 8,0×5,0 см, в котором находится петля пуповины, при шевелении в него выходит ножка плода (рис. 1,2).
Рис. 1. Ультразвуковая сканограмма: 1 — миометрий передней стенки матки; 2 — плодный пузырь и ножка плода вне полости матки
Рис. 2. Ультразвуковая сканограмма: 1 — миометрий передней стенки матки; 2 — пуповина; 3 — дефект стенки матки; 4 — плодный пузырь вне полости матки
Установлен диагноз — несостоятельность рубца матки. Разрыв матки?
Самочувствие беременной было хорошим, состояние — удовлетворительным. Показатели КТГ — вариант нормы.
Беременная считала себя здоровой, и с трудом удалось получить информированное согласие беременной на операцию.
В связи с наследственной тромбофилией, в условиях развернутой операционной были проведены специальные подготовительные мероприятия: сделана гемо— и коагулограмма, осуществлен подбор крови, подготовлена свежезамороженная плазма. По рекомендации гематолога перед началом операции были введены дицинон и криопреципитат.
После срединной нижней лапаротомии было обнаружено, что выпота и крови в брюшной полости нет, в верхней трети передней стенки тела матки имелся дефект диаметром около 6 см, через который пролабировал плодный пузырь (рис. 3). Край дефекта представлял собой некровоточившее воточившее плотное, ригидное рубцовое кольцо рис. 4).
Рис. 3. Операционная рана: 1 — плодный пузырь; 2 — передняя стенка матки
Рис. 4. Матка после извлечения плода и последа. В кольце: область разрыва стенки, край дефекта—некровоточащая рубцовая ткань
В пролабировавшем плодном пузыре, диаметр которого на глазах увеличился до 12 см, находились ножки плода и пуповина. Через край дефекта был произведен срединный продольный разрез матки, после чего вскрыт плодный пузырь и за ножки извлечен живой недоношенный мальчик без видимых пороков развития массой 1550 г, длиной 41 см. В результате выраженного рубцово—спаечного процесса правая маточная труба и остатки резецированного ранее яичника оказались «вмурованы» в заднюю стенку матки. После разъединения конгламерата сращений, в который входили сальник и петли кишечника, произведена надвлагалищная ампутация матки с правыми придатками. Кровопотеря во время операции составила 1200 мл, компенсирована переливанием компонентов крови, плазмы и растворов.
Описание макропрепарата
Тело послеродовой матки 15,0 × 15,0 × 10,0 (см). Толщина миометрия у края ампутации 3,5 см. На передней стенке по средней линии имеется дефект 5,0×4,0 см, продолжающийся в операционный разрез длиной 4,0 см. Края дефекта белесые, плотные, гладкие, толщина миометрия в этой области 3,0 см.
Результат гистологического исследования
Диффузный периваскулярный и межмышечный склероз в теле матки с умеренной моно— нуклеарной инфильтрацией. В области разрыва выраженные дистрофические изменения миометрия. Врастание синцитиотрофобласта в миометрий.
Заключительный диагноз
Роды II преждевременные на 31 неделе беременности. Полный разрыв передней стенки тела матки по рубцу после лапароскопической консервативной миомэктомии. Приращение плаценты (Placenta accrete). Отягощенный акушерско—гинекологический анамнез. Наследственная тромбофилия. Дефект гена MTHFR с 677 —> Т. ВСД по гипертоническому типу. Язвенная болезнь желудка. Эзофагит.
Течение послеоперационного периода гладкое. Выписана на 8—е сутки в удовлетворительном состоянии. Недоношенный ребенок был переведен в городскую детскую больницу на 2—й этап выхаживания и выписан домой в удовлетворительном состоянии.
Обсуждение
Полный гистопатический разрыв матки в третьем триместре беременности произошел вследствие расхождения рубца после лапароскопической миомэктомии. В описанном случае, на наш взгляд, заслуживают особого внимания и обсуждения несколько моментов.
Из анамнеза, касающегося последних недель беременности, можно сделать вывод, что разрыв матки произошел при сроке беременности 27 недель (18.01.04), когда впервые во время шевеления плода развился приступ слабости и рвоты. В дальнейшем похожие приступы повторялись неоднократно, хотя и развивались не при каждом шевелении плода. Причиной их, по всей видимости, была реакция брюшины или желудка на контакт с ними двигающихся конечностей плода при выходе их за пределы полости матки.
Один из авторов этой публикации наблюдал женщину с брюшной беременностью, которая обратилась к врачу в конце второго триместра с жалобами на потерю сознания во время некоторых шевелений плода, что было расценено, как следствие удара конечностью плода в солнечное сплетение.
Отсутствие при полном разрыве передней стенки матки с выходом части плодного яйца в брюшную полость таких осложнений, как кровотечение и нарушение жизнедеятельности плода встречается редко, и в данном случае может быть объяснено тем, что разрыв произошел в результате расхождения бессосудистого послеоперационного рубца, находившегося вне зоны расположения плаценты. Причем замещению рубцовой тканью в этом месте были подвергнуты все слои стенки, как миометрий, так и эндометрий.
С 18 января до утра 7 февраля 2004 года, в течение практически трех недель, беременная была осмотрена 4 врачами разных учреждений, ей проводилось ультразвуковое исследование, но ни истончение рубца, ни тем более разрыв матки не были даже заподозрены. Можно предположить, что коллеги не проводили классической пальпации живота и матки, а ограничивались приемами Леопольда—Левицкого, а УЗИ либо проводилось не по принятому протоколу, либо его данные неправильно трактовались, как это было во время амбулаторного исследования в день госпитализации.
Этот случай был доложен на нескольких конференциях. При его обсуждении коллегами доминирующим было мнение, что причиной формирования несостоятельного рубца могли быть трудности при ушивании раны стенки матки. Наложение швов на ложе узла при лапароскопическом доступе — достаточно сложная манипуляция. Даже при хорошем владении лапароскопической техникой добиться должной кооптации краев раны удается не всегда. Сложно это сделать при большой площади и глубине раны, что бывает при интрамуральном расположении узла. В таких случаях оправдан переход к минилапаротомии. Во время дискуссий особо подчеркивалось, что нередко перед наложением швов для остановки кровотечения применяются различные варианты электрокоагуляции, а при удалении субсерозных узлов часто используется монополярная или биполярная техника в режимах резанья и коагуляции без последующего наложения швов. Известно, что деструкция тканей при коагуляции может быть весьма значительной. Полноценность рубца после таких вмешательств и его состоятельность во время беременности и родов сомнительны. Однако это заключение было предположением, основанным на личных впечатлениях, а не на результатах целенаправленных исследований. При обсуждении описанного случая профессор ГА. Савицкий (НИИ АГ им. Д.О. Отта РАМН) обратил внимание на то, что при «ножевом» удалении миоматозного узла без вскрытия полости матки внутренний слой миометрия остается интактным. По его мнению, отсутствие травмы внутреннего слоя является фактором, обеспечивающим сохранность функциональной полноценности матки. В то же время, тотальная рубцовая деформация всех слоев стенки матки является косвенным свидетельством более обширной операционной травмы, чем ее оценивали хирурги, проводившие миомэктомию.
A priori любое хирургическое вмешательство на матке снижает полноценность ее стенки и является фактором, повышающим риск разрыва матки во время беременности. При органосохраняющих операциях на матке принципиальное значение имеет корректная оценка степени риска этого осложнения.
Имеющиеся в литературе публикации свидетельствуют, что вопрос о полноценности рубца после миомэктомии при различной технике ее исполнения не получил пока однозначного ответа. Знакомство с литературой показывает общее позитивное отношение к лапароскопической миомэктомии, главными преимуществами которой являются: более легкое течение послеоперационного периода, более быстрое восстановление трудоспособности, меньшее число ранних осложнений [5, 10]. В большинстве работ не отмечено повышения риска осложнений после таких операций во время беременности и родов, в том числе и в отношении разрыва матки [2, 7, 11, 1315]. J.B. Dubuisso и соавт. [4] на основе результатов достаточно большего хорошо организованного исследования пришли к заключению, что частота разрыва матки после лапароскопической миомэктомии составляет около 1%. В целом ряде исследований с числом наблюдений от 41 до 635 авторы не имели ни одного случая разрыва матки [1—3, 9, 12]. Вместе с тем, заслуживают особого внимания сообщения о разрывах матки по рубцу в третьем триместре беременности после электромиолизиса [1], после удаления субсерозных узлов на ножке с использованием электрокаутеризации [6, 8]. Из этого можно сделать вывод, что деструкция стенок матки при электрокаутеризации может иметь негативные последствия при формировании рубца. В этой связи следует согласиться с мнением С.Н. Nezhat и соавт. [11] и J.B. Dubuisso и соавт. [4], которые считают, что для окончательного заключения в отношении риска разрыва матки после различных вариантов лапароскопической миомэктомии необходимо продолжение исследований этой проблемы.
Учитывая все возрастающее использование лапароскопии и консервативной миомэктомии в отечественной клинической практике, следует обратить внимание врачей на то, что любые операции на матке должны рассматриваться как фактор повышенного риска по разрыву матки во время беременности и родов.
About the authors
V. S. Korsak
Research Institute of Obstetrics, Gynecology and Reproductology named after D.O. Ott
Author for correspondence.
Email: info@eco-vector.com
Russian Federation, Санкт-Петербург
L. A. Shcherbina
Research Institute of Obstetrics, Gynecology and Reproductology named after D.O. Ott
Email: info@eco-vector.com
Russian Federation, Saint Petersburg
Е. V. Shelaeva
Research Institute of Obstetrics, Gynecology and Reproductology named after D.O. Ott
Email: info@eco-vector.com
Russian Federation, Saint Petersburg
References
Supplementary files






