Changes in thrombocytes at complicated pregnancy eph-gestosis
- 作者: Koval S.B.1,2, Kovalenko T.N.1,2, Seredenko М.M.1,2
-
隶属关系:
- Institute of Physiology. A. A. Bogomolets NAS of Ukraine
- Ukrainian Military Medical Academy
- 期: 卷 52, 编号 1 (2003)
- 页面: 33-39
- 栏目: Original study articles
- ##submission.dateSubmitted##: 20.01.2003
- ##submission.dateAccepted##: 20.11.2021
- ##submission.datePublished##: 20.01.2003
- URL: https://journals.eco-vector.com/jowd/article/view/88795
- DOI: https://doi.org/10.17816/JOWD88795
- ID: 88795
如何引用文章
全文:
详细
One has made in women at physiological pregnancy and EPH-gestosis with the help of electron microscopy methods and microcoagulant research of functional circulating thrombocyte changes. A series of singularities of a release reaction by thrombocytes, which determine discharge of their cytoplasmatic granule contents are established. The scheme of possible development versions of a release reaction of thrombocytes is given.
全文:
В данное время гестозы; которые не имеют тенденции к снижению удельного веса среди патологии беременности, рассматриваются как проявления адаптационных нарушений в организме женщин с вовлечением в патофизиологические механизмы системы гемостаза [1, 13, 21, 36]. Развитие в системе гемостаза ряда декомпенсаторных реакций характеризуется реализацией ДВС-синдрома [13, 14, 32]. Степень выраженности последнего определяет известную клиническую симптоматику гестозов, осложняющих течение второй половины беременности [9, 13, 33, 36].
Важнейшим звеном в их патогенезе являются реакции циркулирующих в сосудистом русле тромбоцитов [13, 31]. Эти форменные элементы крови в физиологических условиях в большистве своем интактные [17, 31] и только при их активации [12, 27] способны осуществлять многочисленные потенциальные функции, одно из основных проявлений которых — тромбоцитарная реакция высвобождения [3, 12, 25, 28]. В ходе данного секреторного процесса происходит выброс из тромбоцитов содержащихся в их цитоплазматических гранулах различных биологически- активных индукторов и модуляторов сосудисто-тромбоцитарного гемостаза, коагуляции крови, воспалительных реакций [3, 5, 12, 25]. Однако остаются практически не изученными у женщин при физиологической беременности, а также при беременности, осложненной поздними гестозами, проявления циркулирующими тромбоцитами реакции высвобождения. Имеющиеся в доступной литературе данные или содержат аргументировано гипотетические сведения [15], или являются результатами экспериментально индуцированной (вне кровеносного русла) тромбоцитарной реакции высвобождения [27].
Целью нашей работы было изучение особенностей развития тромбоцитарной реакции высвобождения в организме женщин при физиологической и осложненной ОПГ-гестозом беременности.
Методика
Проведены релятивные исследования у 44 перво- и повторно беременных женщин активного репродуктивного возраста в конце III триместра гестации и у 15 не беременных аналогичной возрастной категории практически здоровых женщин. Последние составляли контрольную группу (группа 1). Беременные женщины были объеденены в две группы наблюдения: 17 человек с физиологической не осложненной беременностью (группа 2) и 27 человек с беременностью, которая осложнена типичной формой чистого полисимптомного позднего гестоза с характерным симптомокомплексом Zangemeyster (ОПГ-гестоз) (группа 3). Беременные третьей группы в зависимости от выраженности клинической картины ОПГ-гестоза и соответственно градации модифицированной шкалы Goeke [16] до начала проведения лечебных мероприятий были разделены на две подгруппы: 3-а — ОПГ-гестоз легкой степени, 15 человек и 3-б — среднетяжелый [8] ОПГ- гестоз, 12 человек.
В плазме крови проводилось микрокоагуляционное определение активности термостабильного фактора 4 тромбоцитов или антигепаринового фактора [11]. Для электронно-микроскопических исследований выделенные тромбоциты из немедленно фиксированной низкопроцентным раствором глютаральдегида цельной венозной крови подвергали последовательно дофиксации глютаральдегидом и четырехокисью осмия [3]. При определении гликогена осуществляли дополнительное контрастирование ферроцианидом калия на стадии фиксации тромбоцитов четырехокисью осмия [22] и проведением контрольных тест-инкубаций с α-амилазой [23]. Особенности проявления пероксидазной активности в тромбоцитах [20] изучали, используя ДАБ в качестве субстрата [26]. Дальнейшую дегидратацию тромбоцитов и заключение их в эпон-аралдитовую смесь осуществляли по общепринятой методике. Тромбоцитарные ультратонкие среды готовили на ультрамикротоме LKB-8800 и контрастировали для морфологических наблюдений уранилацетатом и цитратом свинца.
Преператы тромбоцитов изучали под электронным трансмиссионным микроскопом JEM- 100СХ при ускоряющем напряжении 80 кВ. При этом на экваториальных срезах тромбоцитов проводили сравнительные морфометрические [2, 17] исследования ультраструктурной организации тромбоцитов с учетом количественных и качественных критериев [3, 4, 29], определяли содержание гликогена [10, 18] и выявляли пероксидазную активность [20].
В исследованиях нами был применен статистический подход несплошного наблюдения или выборочный метод. При этом отбор единиц наблюдения в выборочную совокупность проводился способом группового отбора на основании типичной и собственно случайной выборки с учетом оптимальной численности последней. С целью определения достоверности различий результатов исследования количественных изменений изучаемых показателей у различных групп, для каждого осредняемого признака (показателя) исчислялись: общая средняя арифметическая (М), средняя квадратическая ошибка (ш), показатель существенной разницы (t), а затем с учетом числа вариантов в рядах — определялась вероятность возможной ошибки (р). Различия расценивались как достоверные начиная со значений р<0,05, т. е. в тех случаях, когда вероятность различия больше 95%. Также были учтены полосы достоверности: р>0,5 — недостоверная; 0,1>р>0,05 — переход с тенденцией к недостаточности; 0,05>р>0,02 — удовлетворительная; 0,02>р>0,01— хорошая; 0,01>р>0,001 — высокая и р<0,001 — очень высокая.
Результаты и их обсуждение
Примененные методические подходы при подготовке препаратов для электронно-микроскопического исследования позволили нам [3, 17, 35] максимально объективизировать ультраструктурные изменения в тромбоцитах, адекватные их функциональному состоянию при циркуляции в сосудистом русле. У небеременных женщин было подтверждено, что морфологическая организация тромбоцитов соответствует ранее описанной у пациенток, находящихся в физиологических условиях [35, 3]. В результате проведенных сравнительних исследований установлено (рис. 1), что в циркулирующих тромбоцитах у женщин при физиологической беременности (рис. 2) и особенно при беременности, осложненной ОПГ-гестозом (рис. 3 и 4), происходят определенные реформации. Визуализация выраженности тромбоцитарных изменений зависит от степени клинической манифестации ОПГ-гестоза. На электроннограммах экваториальных срезов тромбоцитов определяется изменение формы тромбоцитарных профилей с появлением псевдоподий и увеличением плотности матрикса цитоплазмы (рис. 3 и 4). Одновременно наблюдаются сдвиги цитоплазматической дислокации в зоне органелл тромбоцитов. На фоне централизации альфа-гранул обнаруживается снижение их электронной плотности и уменьшение количества данных гранул (рис. 1). При этом Результаты наших морфометрических исследований указывают на уменьшение относительного объема альфа-гранул в цитоплазме тромбоцитов (рис. 1).
Рис. 1. Изменения циркулирующих тромбоцитов и активность тромбоцитарного фактора 4 в плазме крови:
- — небеременные женщины (контроль);
- — женщины с неосложненной беременностью;
- — беременные женщины с ОПГ-гестозом легкой степени;
- — беременные женщины с ОПГ-гестозом среднетяжелой степени.
- — структурно-измененные тромбоциты;
- — агранулярные тромбоциты;
- — α-гранулы (количество);
- — а-гранулы (относительный объем);
- — электронноплотные α-гранулы;
- — плотные тельца (количество);
- — цитоплазматические мембранные включения (количество);
- — гликоген (количество);
- — активность фактора 4 тромбоцитов.
* — достоверные изменения относительно группы 1, р < 0,05;
** — достоверные изменения относительно группы 2, р < 0,05
В интактных тромбоцитах альфа-гранулы рассматриваются как своеобразные интратромбоцитарные структуры накопления различных биологически-активных субстанций [3, 5, 12]. К альфа-гранулам относят цитоплазматические дискретные органеллы, структурно-гетерогенные, окруженные трехслойной мембранной, с матриксом довольно высокой электронной плотности, в большинстве своем округлые с диаметром от 0,12 до 0,30 мкм или овальные, но которые также могут иметь вытянутую, гантелевидную и даже неправильную формы [3, 35]. Генезис, морфофункциональные и энзиматические особенности альфа-гранул позволяют идентифицировать возможно определенную их субпопуляцию как первичные лизосомы [3, 5, 29]. Просветление матрикса альфа-гранул свидетельствует о количественном снижении внутригранулярного содержимого [3, 4], а уменьшение относительного объема альфа-гранул может подтверждать численное сокращение наличия альфа-гранул в тромбоцитах [2]. Необходимо отметить, что на характер профилей цитоплазматических гранул и их количество на тромбоцитарных электроннограммах влияет уровень плоскости ультратонкого среза тромбоцита [2], что нами было учтено. Кроме этого, если предыдущие электронно-микроскопические данные не позволяли однозначно интерпретировать изменения в тромбоцитах при физиологической беременности [6], то дальнейшие цитофлюориметрические исследования витально флюорохромированных тромбоцитов женщин при гестации [7] подтверждают нынешние ультраструктурные Результаты об истинном уменьшении в тромбоцитах количества цитоплазматических альфа-гранул при физиологической и особенно при осложненной ОПГ-гестозом беременности. Выявленные нами дислокационные, качественные и количественные изменения альфа-гранул в тромбоцитах при физиологической и осложненной ОПГ- гестозом беременности являются ультраструктурными проявлениями развития тромбоцитарной реакции высвобождения [3, 25, 29].
Таблица. Изменения циркулирующих тромбоцитов и активность тромбоцитарного фактора 4 в плазме крови (М±m)
Показатели | Группа 1 | Группа 2 | Группа 3 | |
3-а | 3-б | |||
в том числе Гипогранулярные (%) | 4,1+0,24 | 16,6+0,58" | 53,2±2,76*** | 71,5+5,6 |
Агранулярные тромбоциты (%) | 0,53+0,02 | 9,4±0,39* | 32,7+1,93*** | 41,8+3,61*** |
Альфа-гранулы (количество / экваториальный срез) | 10,9+0,27 | 8,1+0,19* | 6,2±0,21*** | 2,3+0,18*** |
Альфа-гранулы (относительный объем, %) | 20,4+0,49 | 15,3+0,22* | 11,5+0,23*** | 4,2+0,17*** |
Альфа-гранулы (электронно плотные / экваториальный срез) | 87,5±3,91 | 48,7+2,87" | 27,1+1,01*** | 9,3+0,68*** |
Плотные тельца (количество / экваториальный срез) | 1,6±0,12 | 2,9+0,18* | 4,1+0,29** | 0,28±0,02*** |
Цитоплазматические мембранные включения (количество / экваториальный срез) | 2,1+0,11 | 3,2+0,26* | 4,8+0,33** | 0,31+0,04*** |
Гликоген (СЦК / экваториальный срез) | 2,89+0,15 | 1,71+0,13* | 1,11±0,10** | 0,59±0,09*** |
Активность фактора 4 тромбоцитов в плазме крови (с) | 2,3+0,35 | 4,8+0,41* | 6,7±0,37** | 9,1±0,53*** |
Вероятность ошибки по критерию Стъюдента:
• относительно группы 1: * — р<0,001
• относительно группы 2: ** — р<0,01; *** — р<0,001
При этом увеличение в плазме крови активности фактора 4 тромбоцитов (см. рис. 1) который непосредственно локализуется в тромбоцитарных альфа-гранулах [5], свидетельствует о степени развития в циркулирующих тромбоцитах реакции высвобождения [27]. Именно интенсивность морфологических проявлений тромбоцитарной реакции высвобождения обусловливает значительное нарастание числа гипогранулярных (см. рис. 3 и 4) и даже агранулярных форм тромбоцитов в крови при беременности осложненной ОПГ-гестозом (см. рис. 1). На фоне установленной реакции экстратромбоцитарного выделения содержимого цитоплазматических альфа-гранул в циркулирующих тромбоцитах женщин при физиологической и осложненной ОПГ-гестозом беременности нами выявлены и другие изменения, происходящие в зоне тромбоцитарных органелл. Так, при легкой форме клинических проявлений ОПГ-гестоза в ультратонких экваториальных срезах циркулирующих тромбоцитов визуализируется увеличение количества плотных телец и цитоплазматических мембранных включений, а при среднетяжелой степени ОПГ-гестоза количество этих тромбоцитарных органелл резко уменьшено (см. рис. 1), вплоть до их полного отсутствия (см. рис. 4). Плотные тельца в тромбоцитах человека рассматриваются, как определенная группа цитоплазматических гранул, более мелких, ограниченных трехслойной мембраной, имеющих светлый матрикс с электронноплотной сердцевиной в центре [34]. Наряду с имеющимися данными, указывающими на возможность формирования этих органелл из плотной тубулярной системы тромбоцитов [20], характерные структурные, энзиматические и функциональные особенности плотных телец свидетельствуют о происхождении их из альфа-гранул [3, 34]. Последние также непосредственно участвуют в образовании цитоплазматических мембранных включений, представляющих собой округлые спиралевидные плотные мембранные 2—3 витка и которые по ряду специфических признаков не могут быть отнесенными к миелоподобным структурам [3]. При беременности, осложненной ОПГ-гестозом, на тромбоцитарных электроннограммах определяется значительное уменьшение содержания в цитоплазме гранул гликогена (см. рис. 1, 3, 4) или бета-гранул величиной до 25 нм, обеспечивающих функциональный энергетический ресурс тромбоцитов [10]. При этом появление в цитоплазме циркулирующих тромбоцитов аутофагосом (рис. 3) указывает на развитие деградационных процессов [3]. Вероятно, такие внутритромбоцитарные изменения не позволяют морфологически идентифицировать покрытые или окаймленные пузырьки [3] и митохондрии в цитоплазме большинства циркулирующих тромбоцитов при выраженных клинических симптомах ОПГ-гестоза. В данном случае реактивные сдвиги в зоне органелл визуализируются на фоне значительного реформирования обеих внутритромбоцитарных мембранных систем.
Рис. 2. Экваториальный срез циркулирующего тромбоцита женщины при физиологической беременности:
На электроннограммах тромбоцитарных срезов гипертрофия системы каналов и вакуолей, связанных с поверхностью тромбоцита (комплекс ПВС), выражается в характерной вакуолизации цитоплазмы [24], что наглядно проявляется при ОПГ-гестозе (см. рис. 4). Известно, что структуры, входящие в комплекс ПВС, образованные в результате инвагинаций плазматической тромбоцитарной мембраны, непосредственно участвуют в реакции высвобождения, выполняя при этом внешнюю дренажную функцию [3, 24]. На вовлечение плотной тубулярной системы (комплекса ПТС) в интратромбоцитарные процессы на электроннограммах указывает увеличение соответствующих профилей составляющих ее элементов, обладающих пероксидазной активностью [20], что согласно нашим наблюдениям имеет место при беременности, осложненной ОПГ-гестозом. Каналы комплекса ПТС, относящегося к специфическим структурам тромбоцита, располагаются по тромбоцитарному экватору, но могут находиться и среди органелл, не контактируя ни с ними, ни с плазмалеммой, ни с мембранами комплекса ПВС [20, 35]. Комплекс ПТС, возможно, функционально аналогичный саркоплазматическому ретикулуму миоцитов, может участвовать в тромбоцитарной реакции высвобождения, определяя интратромбоцитарные центростремительные смещения цитоплазматических гранул [35]. Как известно, в ходе тромбоцитарной реакции высвобождения происходит выброс вначале в каналы комплекса ПВС плотных телец, затем альфа-гранул, где они утрачивают свою ограничивающую мембрану, и в дальнейшем содержимое гранул выделяется за пределы тромбоцита [3, 25]. Вероятно, это последовательные стадии единого секретного тромбоцитарного процесса, но возможна и автономность в развитии этих вариантов или видов реакции высвобождения в тромбоцитах [25]. При беременности, осложненной ОПГ-гестозом, в системе ПВС циркулирующих тромбоцитов наличие цитоплазматических гранул на электроннограммах (в наших исследованиях) встречалось крайне редко.
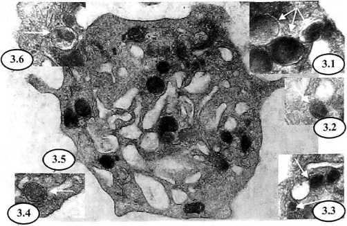
Рис. 3. Экваториальный срез циркулирующего тромбоцита женщины при беременности, осложненной ОПГ-гестозом легкой степени:
3.1 — альфа-гранулы возле ПВС и контакт их мембран (>50000);
3.2 — альфа-гранула с матриксом сниженной электронной плотности, контактирующая с ПВС (X35000);
3.3 — экзоцитоз содержимого альфа-гранулы в ПВС и непосредственный контакт мембран плотного тельца с ПВС (X50000);
3.4 и 3.5 — цитоплазматические мембранные включения (варианты) возле ПВС (×65000 и ×50000);
3.6 — аутофагосома (×50000)
Однако анализ известных данных о морфологических изменениях тромбоцитов при их активации [3, 5, 17, 27, 29, 34], факты о наличии в тромбоцитах функционально полноценного лизосомального аппарата [3] и Результаты собственных ультраструктурных исследований указывают на возможность существования ряда особенностей при проявлении тромбоцитарной реакции высвобождения. По нашему мнению, целесообразно дополнить ранее предложенные схемы строения интактных тромбоцитов [19, 35] установленными вариантами экзоцитоза при развитии тромбоцитарной реакции высвобождения (см. рис. 5). А именно, при беременности, осложненной ОПГ-гестозом, альфа-гранулы смещаясь в цитоплазме тромбоцитов, подходят вплотную к структурам комплекса ПВС и после контакта их мембран происходит развитие экзоцитарной реакции (см. рис. 5) с выделением содержимого альфа- гранул в тромбоцитарную дренажную систему (см. рис. 3 и 4).
Рис. 4. Экваториальный срез циркулирующего тромбоцита женщины при беременности, осложненной ОПГ-гестозом средне-тяжелой степени:
4.1 — экзоцитоз содержимого альфа-гранулы в ПВС (×30000);
4.2 — плотное тельце возле ПВС (×40000);
4.3 — гипертрофированный комплекс ПВС (×35000);
4.4 — альфа-гранула возле плазмалеммы (×40000);
4.5 — экзоцитоз содержимого альфа-гранулы, контактирующей с плазмалеммой (×40000).
При этом степень выраженности экзоцитоза может быть различной. Так, может вовлекаться в экзоцитоз только содержимое альфа-гранул (см. рис. 3) без видимых изменений величины и формы последних (см. рис. 5). На тромбоцитарных электроннограммах интрагранулярное изменение содержания биологически-активных субстанций характеризуется альфа-гранулами с матриксом различной электронной плотности [3, 4] (см. рис. 3). Участие в процессе экзоцитоза наряду с содержимым альфа-гранул и их ограничивающей мембраны, которая способна встраиваться в комплекс ПВС различной величиной своих сегментов (см. рис. 5), может приводить к появлению цитоплазматических мембранных включений и плотных телец (см. рис. 3).
Профиль тромбоцита: А, Б, В, Г, Д и Е — варианты проявления экзоцитоза и соответствующие им виды механизма его реализации: 1, 2, 3, 4, 5 и 6;
Такие варианты развития экзоцитоза вполне возможны, посколько имеются убедительные подтверждения непосредственного участия альфа- гранул и их ограничивающей мембраны в образовании плотных телец и цитоплазматических мембранных включений [3, 34], а также установленные при реакции высвобождения факты значительного увеличения площади мембранных структур комплекса ПВС, что определяет выраженное расширение его объема [24] (см. рис. 3 и 4). И идентификация в цитоплазме тромбоцитов аутофагосом (см. рис. 3), согласно лизосомальной концепции [30], в развитии основных процессов внутритромбоцитарного обмена [3], может определять еще два варианта экзоцитоза содержимого альфа-гранул (см. рис. 5). Возможность реализации этих направлений в механизме экзоцитоза подтверждает характерное появление при тромбоцитарной реакции высвобождения на плазмалемме активированных тромбоцитов специфического белка GMP-140, который в интактных тромбоцитах локализируется только в мембране, ограничивающей их альфа-гранулы [12].
Таким образом, нами установлено, что в циркулирующих тромбоцитах женщин при беременности, осложненной ОПГ-гестозом, могут проявляться различные варианты (возможно последовательные стадии единого процесса) развития реакции высвобождения, что определяет экстратромбоцитарное выделение биологически-активных субстанций и характеризует определенные особенности патогенеза данного осложнения гестационного процесса.
作者简介
S. Koval
Institute of Physiology. A. A. Bogomolets NAS of Ukraine; Ukrainian Military Medical Academy
Email: info@eco-vector.com
乌克兰, Kiev; Kiev
T. Kovalenko
Institute of Physiology. A. A. Bogomolets NAS of Ukraine; Ukrainian Military Medical Academy
编辑信件的主要联系方式.
Email: info@eco-vector.com
乌克兰, Kiev; Kiev
М. Seredenko
Institute of Physiology. A. A. Bogomolets NAS of Ukraine; Ukrainian Military Medical Academy
Email: info@eco-vector.com
乌克兰, Kiev; Kiev
参考
补充文件






