Structural condition of synovial medium of joint in patients with III stage coxarthrosis
- Authors: Menshchikova T.I.1, Matveeva E.L.1, Lyneva S.N.1, Menshchikov I.N.1, Spirkina E.S.1
-
Affiliations:
- Russian Ilizarov Scientific Center for Restorative Traumatology and Orthopaedics
- Issue: Vol 27, No 3 (2019)
- Pages: 305-314
- Section: Original study
- Submitted: 06.10.2019
- Published: 08.10.2019
- URL: https://journals.eco-vector.com/pavlovj/article/view/16338
- DOI: https://doi.org/10.23888/PAVLOVJ2019273305-314
- ID: 16338
Cite item
Abstract
Aim. To study peculiarities of synovial medium of a joint in patients with III stage coxarthrosis (CA) using methods of ultrasound and biochemical examination.
Materials and Methods. Ultrasound examination (US) of hip joints (n=18) and biochemical examination of synovial fluid (n=12) were conducted in patients with posttraumatic III stage CA. Echographic examination was carried out using diagnostic devices Voluson 730 PRO (Austria) and Hitachi (Japan) equipped with transductor with 7.5 MHz frequency. Total protein was measured in alkaline medium with copper sulfate. Protein fractions of synovial fluid were separated using a method of separation of a mixture of proteins to fractions or to individual proteins. The activity of catalase enzyme was determined by speed of degradation of hydrogen peroxide and of liberation of cell from its excess. Processes of peroxide oxidation of lipids (POL) were assessed by measurement of the content of the primary (diene conjugates, DC) and secondary (malondialdehyde, MDA) products of POL. Products of lipoperoxidation and of oxidative modification of proteins were presented as an estimated coefficient of sum and ratios. Lipid spectrum (cholesterol, triglycerides) was measu-red using a colorimetric method.
Results. There were revealed structural disorders in the synovial medium of the joint. US data showed thickening of synovial and fibrous membranes of the joint capsule by 60 and 40% of the age-related norm, separation of fibers of the fibrous membrane of the joint. Biochemical examination of synovial fluid revealed reduction in the activity of enzymes of antioxidant system and accumulation of peroxidation products which evidences development of a local oxidative stress in the joint medium. In development of destructive processes in the region of joints affected by arthrosis, the activity of free radical processes considerably increases which leads to decompensation of antioxidant mechanisms with development of imbalance in the anti-oxidant protection system.
Conclusion. In clinical practice, diagnosis of degenerative-dystrophic processes in the joint, along with X-ray data, should also include the results of biochemical and ultrasound methods of examination.
Full Text
Osteoarthrosis (OA) is the most common pathology among diseases of the musculo-skeletal system [1]. OA is characterized by a progressing polyetiological process resulting from imbalance between processes of restoration and of destruction of the joint tissue [2, 3]. In the general structure of OA, CA of different genesis causes disability of patients in 20-30% of cases [4-6].
Secondary (posttraumatic) CA develops after damage of the pelvic bones, fracture of the acetabulum and of femoral neck. Degenerative-dystrophic alterations in the hip joint after damage of the acetabulum, progress in 57-88% of patients, with severe deforming OA developing in more than 20% of patients [6].
According to literature data, conservative treatment of posttraumatic CA directed to stimulation of reparative process in the synovial medium and stabilization of destructive process in the joint, is most effective in initial stages of the disease. With a progress of the pathological process – III stage of the disease – when organ-preserving methods lose their effectiveness, the method of choice is a total hip replacement [7, 8].
Aim – to study peculiarities of the structural condition of the synovial medium in patients with III stage posttraumatic CA using ultrasound and biochemical examination methods.
Materials and Methods
Echographic examination was conducted using diagnostic devices Voluson 730 PRO (Austria) and Hitachi (Japan) equipped with a transductor with 7.5 MHz frequency.
Echography of the hip joints was conducted in the supine position of a patient at full physiological rest. Visualization of syno-vial medium of the joint, measurement of thickness of hyaline cartilage, of synovial and fibrous membranes of the joint capsule were conducted in standard and oblique-diagonal scanning of the hip joint region. The contact of transductor with the skin was provided by use of a special sonogel.
There were examined patients with III stage posttraumatic CA after trauma of the acetabulum and trauma of the femoral neck. All patients referred to the clinic of acad. G.A. Ilizarov Russian Research Center Restorative Traumatology and Surgery in connection with pain in the affected limb, fast fatigue, gait disorders. The age of the examined patients was 28-80 years (7 women and 11 men in the sample).Prescription of injury – from 1 to 5 years. The control group consisted of practically healthy individuals of 25-60 years of age (8 women, 12 men). For biochemical analysis samples of synovial fluid of 12 patients were used (5 women, 7 men). In the work classification of N.S. Kosinskaya was used [9].
Total protein (TP) was measured in the reaction in alkaline medium with copper sulfate. Electrophoretic separation of protein fractions of the synovial fluid was performed using the method of separation of protein mixture to fractions or to individual proteins (with calculation of albumin-globulin coefficient and shares of α-, β- and γ-globulins). Peroxidation of proteins in the synovial fluid was determined by reaction of interaction of oxidized polypeptide chains after sedimentation of protein with subsequent dissolution of sediment (measured in units of optical density per mg of protein). Activity of catalase enzyme was determined by the speed of degradation of hydrogen peroxide and liberation of a cell from its excess. Assessment of lipo-peroxidation processes in the synovial fluid was based on determination of the primary (diene conjugates, DC) and secondary (malondialdehyde, MDA) products of POL (products of lipoperoxidation and oxidative modification of proteins were presented as an estimated coefficient of sum and ratios). Lipid spectrum (cholesterol, CL, triglycerides, TG) was measured using a colorimetric method. Method of quantitative determination of uronic acids (UA) was based on measurement of the amount of carbon dioxide released on heating with strong acids, in other methods color reactions of UA with сarbasolenaphthoresorzin were used.
The primary statistical processing of the obtained data was performed by variation statistics method used for small samples. The work was carried out on representative sampling checked for normalcy of distribution, with exclusion of the outlying variants. In the groups of observation, median of va-lues and inter quartile ranges were calculated (0.25; 0.75 percentiles). Statistical significance of differences in the compared groups was evaluated using nonparametric Wilco-xon criterion. The differences were statistically significant at р≤0.05.
Results and Discussion
Normally, the Echographic evaluation of the hip joint visualizes the femoral head (FH) of spherical shape with an even uniform contour, with congruent surfaces of FH and acetabulum. Acoustic density of subchondral bone plate equals 187±11 conventional units (conv.un). Fibrous membrane of the joint capsule is determined as a homogenous strip of a high acoustic density, with 1.4±0.5 mm thickness. Synovial membrane of the capsule in healthy individuals, as a rule, has hypo-echogenic structure, and is 6.5±0.5 mm in size. Hyaline cartilage is 0.4±0.2 mm thick and has a regular uniform contour along the whole FH (Fig. 1).
Fig. 1. Sonograms of a healthy hip joint of a 27-year old patient
А – standardscanning 1 cmbelowPoupart’sligament: the head of spherical shape is visualized centered in the acetabulum, contour of the subchondral plate regularand uniform; 1 – head width (28 mm), 2 – joint gap (3.5 mm);
B – scanning along the femoral neck: 3 – fibrous membrane of the joint capsule (1.8-2.2 mm), 4 – synovial membrane of the capsule (4.6-5.0 mm), the joint capsule (6.8 mm)
In Table 1 parameters of lipid spectrum and of lipoperoxidation, of oxidative modification of protein and activity of antioxidant enzymes in synovial fluid in healthy examined individuals are given.
Table 1
Main Biochemical Parameters of Synovial Fluid in Healthy Individuals, n=30
Parameter, Unit of Measure | Result | Parameter, Unit of Measure | Result |
UA, mmol/L | 5.87 (4.70;7.12) | TP, g/L | 20.40 (12.30;25.70) |
Totallipids, g/L | 0.69 (0.60;0.83) | POPaldehydes, opt.dens.un/ g оb. | 0.05 (0.04;0.07) |
CL, mmol/L | 0.42 (0.29;0.49) | POPketones, opt.dens.un/ g оb. | 0.08 (0.04;0.12) |
TG, mmol/L | 0.72 (0.38;1.18) | POP Aldehydes + Ketones, opt.dens.un/ g оb. | 0.13 (0.08;0.19) |
DC, nmol/gol | 5.91 (3.94;13.03) | Aldehydes/Ketones | 0.62 (1.00;1.76) |
MDA, nmol/ gol | 1.95 (1.32;3.41) | Albumins, % | 69.30 (66.90;70.30) |
Catalase, ncatal/L | 5.00 (2.54;12.08) | α1-globulins, % | 3.70 (3.20;5.80) |
DK+MDA, nmol/ gol | 7.86 (5.26;16.44) | α2–globulins, % | 6.00 (5.30;6.40) |
DK/MDA, nmol/ gol | 3.02 (2.98;3.82) | β–globulins, % | 8.60 (7.50;9.10) |
|
| γ-globulins, % | 11.50 (8.90;15.30) |
Note: results are presented on the form of Me (25;75); DK – diene conjugates, POP – peroxide oxidation of proteins.
III stage of posttraumatic CA was clinically characterized by enhancement of pain syndrome in the region of pelvis and lower limb, by impairment of the functional condition of the locomotor apparatus of the patient. X-radiography revealed pronounced deformation of the joint surfaces of the femoral head and acetabulum, destructive alterations of subchondral bone plate, cyst-like restructure of the bone tissue.
In US examination of hip joints of patients with III stage posttraumatic CA, the joint surfaces were visualized as fragments and lumps of different size, hypoechogenic cyst-like foci were differentiated. Acoustic density of some fragments was 180 (172;190) conv.un., cyst-like areas had low acoustic density – not more than 55 conv.un. (Fig. 2A). In the region of synovial medium of the joint, progressing pathological alterations were also seen: in result of degeneration, hyaline cartilage was practically not visualized or was determined as islets, there was tension with subsequent separation of fibrous membrane to fibers, synovial membrane of the capsule acquired heterogeneous structure and increased to 8.8 (7.7;10.0) mm (Fig. 2B). In result, echo-signs of pronounced synovitis were visualized ((thickness of the joint capsule 14 (11;18) mm).
The main US-criteria in posttraumatic CA after trauma of the acetabulum are given in Table 2.
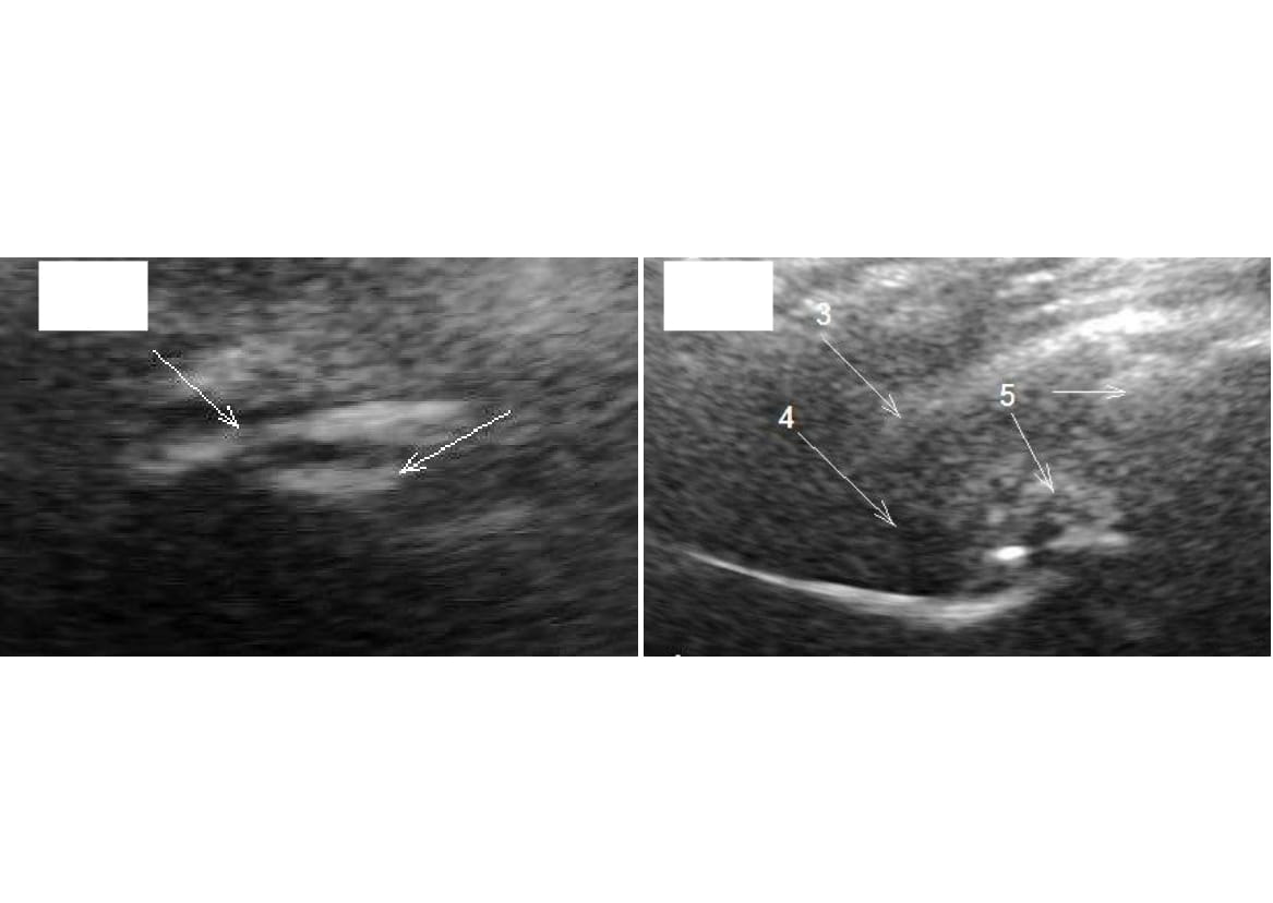
Fig. 2. A sonogram of a patient S., 22 years old.
Diagnosis: III stage posttraumatic coxarthrosis:
А – standard scanning: femoral head is visualized as lumps and fragments 5 to 12 mm in size (shown by arrows), depth of US penetration was 13.7-20 mm, ossificate 6.9 mm in size, acetabulum contour not differentiated;
B – oblique-diagonal scanning: 3 – fibrous membrane of the joint capsule is 5-5.4 mm thick, 4 – joint capsule is 28.6 mm thick, 5 – lumps, fragments
Table 2
Main Characteristics of Synovial Medium of Joint in Patients with III Stage Posttraumatic Coxarthrosis (after fracture of acetabulum)
Examined Structure | Characteristics |
Hyaline cartilage, mm | not differentiated |
Thickness of fibrous membrane, mm | 3.9 (3.5;4.6) |
Thickness of synovial membrane, mm | 13.5 (11.8;15.0) |
Note: results are presented as Me (25;75).
The conducted biochemical research showed that existence of degenerative-destructive processes in the joint with a traumatic component in etiology is associated with decrease in the concentration of UA. Imbalance of the lipid spectrum was indicated by twice reduction of concentration of TG and 23-fold increase in that of CL. According to the literature, it is cholesterol that is an indicator of changes in cell membranes which may become irreversible and pathological [10]. According to our data, concentration of lipids in the synovial fluid increased 5-fold, besides, there was also noted redistribution of peroxidation pro-ducts – increase in the amount of primary (DC) and decrease in the amount of secondary (MDA) products. Besides, there were noted changes in the condition of the antioxidant protection system – 3 times reduction of the activity of catalase. The coefficient of the sum of lipoperoxidation products (DC+MDA) increased as compared to the norm in healthy individuals, due to increase in DC. According to literature, enhancement of lipid peroxidation processes changes morphofunctional peculiarities and structure of biological membranes [11] that may underlie pathological changes in organs and tissues. The obtained results are given in Table 3.
The synovium samples were also examined in case of intra-articular damages to the hip joint, the results of the studied processes of oxidative modification of proteins are presented in Table 4.
Table 3
Biochemical Parameters of Synovial Fluid of Patients with III Stage Posttraumatic Coxarthrosis
Parameters, units of measure | Norm (n=30) | CA (n=12) |
UA, mmol/L | 5.87 (4.70;7.12) | 4.700.05 (4.55;7.02) |
Totallipids, g/L | 0.69 (0.60;0.83) | 3.230.001 (2.67;3.79) |
CLmmol/L | 0.42 (0.29;0.49) | 1.360.05 (0.86;1.47) |
TG, mmol/L | 0.72 (0.38;1.18) | 0.320.01 (0.12;0.89) |
DC, nmol/gol | 5.91 (3.94;13.03) | 18.490.001 15.54;25.99) |
MDA, nmol/gol | 1.95 (1.32;3.41) | 1.010.05 (0.81;1.16) |
Catalase, mcatal/ L | 5.00 (2.54;12.08) | 2.530.05 (2.10;5.03) |
DC+MDA, nmol/ gol | 7.86 (5.26;16.44) | 19.500.01 (16.35;27.15) |
DC/MDA, nmol/ gol | 3.02 (2.98;3.82) | 18.880.05 (15.94;26.23) |
Note: results are presented in the form of Mе (25;75); upper index – significance level (р) in comparison with norm.
Table 4
Parameters of Protein Metabolism of Synovial Fluid of Patients with III Stage Posttraumatic Coxarthrosis
Parameter, unit of measure | Norm (n=30) | CA (n=12) |
TP, g/L | 20.40 (12.30;25.70) | 28.700.001 (26.23;39.25) |
POPaldehydes,opt.dens.un. / g ob | 0.05 (0.04;0.07) | 0.04 (0.04;0.10) |
POPketones, opt.dens.un. / g ob | 0.08 (0.04;0.12) | 0.030.05 (0.02;0.04) |
Aldehydes + ketones, opt.dens.un. / g ob | 0.13 (0.08;0.19) | 0.070.05 (0.05;0.15) |
Aldehydes/ketonesopt.dens.un. | 0.62 (1.00;1.76) | 1.21 (1.05;2.13) |
Albumins, % | 69.30 (66.90;70.30) | 68.70 (65.55;71.10) |
α1-globulins, % | 3.70 (3.20;5.80) | 2.900.05 (2.35;3.10) |
α2-globulins, % | 6.00 (5.30;6.40) | 5.20 (3.55;6.30) |
β-globulins, % | 8.60 (7.50;9.10) | 11.900.001 (10.05;12.50) |
γ-globulins, % | 11.50 (8.90;15.30) | 12.40 (11.15;14.20) |
Note: results are given in the form of Mе (25;75); upper index – significance level (р) in comparison with norm; POP – peroxide oxidation of proteins.
Most of obtained data showed reliable differences with normal parameters, except aldehydes – primary products of peroxide oxidation of proteins. TP 1.5-fold exceeded the norm, concentration of ketones twice decreased. Statistically significant reduction of protein peroxidation products was noted in traumatic damages to joints [12]. After consideration of the estimated coefficients of the sums of products and of their ratios [Aldehydes + Ketones] and [Aldehydes/Ketones], it was stated that changes occurred only in the total amount of products which also showed a tendency to reduction the normal values.
In examination of the bone system, the ‘golden’ standard of diagnostics is X-ray radiography. A complex application of modern US and of biochemical methods permits to visualize qualitative morphological alterations in the structure of hyaline cartilage, of fibrous and synovial membranes of the joint capsule and to determine respective disor-ders in the content of the main components of synovial fluid of the joint.
The data of US examination of the condition of synovial medium of the joint agree with the results of histological examinations which showed a significant thinning and deformation of the cartilage, superficial and deep separation of fibers of the cartilage matrix and erosion of cartilage in III stage posttraumatic coxarthrosis [13]. A practically complete destruction of the articular cartilage with the existence of free portions of bone in the form of bone plates is accompanied by expansion of the zone of sclerosis of subchondral bone [14]. Hyperplasia of the synovial membrane, coiling and dilatation of microcirculatory vessels were histologically confirmed [13].
Examination of the synovial medium of the joint in the given work showed that changes in the protein spectrum of the syno-vial fluid permit to suggest the existence of reactive inflammatory changes and to determine the extent of their activity, since protein is a parameter characterizing permeability of the hemosynovial barrier. In the literature, a reduction of α1-globulin fraction of synovial fluid is reported in patients with an unfavorable course of the inflammatory process in the first days after trauma and a surgery. The main constituent of this fraction is one of the main antiprotease protein – α1-proteinase inhibitor (α1-antitrypsin). Inhibition of the activity of proteinases released from granulocytes into the inflammatory exudates, induces a secondary damage to tissues. So, reduction of the levels of protei-nases in blood serum noted in some pathological conditions is a poor prognostic sign [11]. It is evident that such prognosis can be made in examination of synovial fluid.
Biochemical examinations of synovial fluid of patients with posttraumatic CA showed statistically significant 1.5-fold increase in total proteins and 5-fold increase in total lipids.
Concentrations of cholesterol and tri-glycerides were the same as in idiopathic osteoarthrosis, that is, concentration of CL increased 3-fold, and that of TG twice decreased. Concentration of POL products twice increased mainly due to increase in concentration of DC, even despite some reduction of MDA. A statistically significant reduction of the activity of catalase was noted. 40% Increase in the synovial protein did not influence concentration of aldehydes, reduction of concentration of ketones was noted. There were changes in the protein fractions: decrease in the share of α1-globulin and increase in that of β-globulins.
Conclusion
Complex ultrasound and biochemical studies showed that the evident deformation of the joint surfaces of the femoral head and the acetabulum and also destruction of the subchondral plate in III stage posttraumatic coxarthrosis were accompanied by disorders in the structure of the synovial medium of the joint.
There were recorded echo-signs of the evident synovitis: increase in the thickness of synovial and fibrous membranes of the joint capsule by 60 and 40% of the age-related level, separation of the fibrous membrane of the joint capsule into fibers.
It was also shown that development of destructive processes in the zone of da-mage of joints with arthrosis is associated with a marked increase in the activity of free radical processes which leads to decompen-sation of antioxidant mechanisms with deve-lopment of imbalance in the antioxidant protection system.
Thus, the obtained data evidence the absence of an active reparative process in the damaged joint and show ineffectiveness of conservative treatment. Use of ultrasound and biochemical methods of examination for evaluation of the course of degenerative-dystrophic process in the affected joint in patients with III stage coxarthrosis permits to obtain information about structural condition of the synovial medium of the joint and to choose the most suitable treatment tactics for each patient.
About the authors
Tatyana I. Menshchikova
Russian Ilizarov Scientific Center for Restorative Traumatology and Orthopaedics
Author for correspondence.
Email: tat-mench@mail.ru
ORCID iD: 0000-0002-5244-7539
SPIN-code: 2820-9120
ResearcherId: C-4470-2018
MD, PhD in Biological Sciences, Leading Researcher of Scientific and Clinical Laboratory for Deformity Correction and Lengthening of Limbs
Russian Federation, KurganElena L. Matveeva
Russian Ilizarov Scientific Center for Restorative Traumatology and Orthopaedics
Email: tat-mench@mail.ru
ORCID iD: 0000-0002-7444-2077
SPIN-code: 8195-5618
ResearcherId: C-5200-2019
MD, PhD in Biological Sciences, Leading Researcher of the Biochemistry Laboratory
Russian Federation, KurganSvetlana N. Lyneva
Russian Ilizarov Scientific Center for Restorative Traumatology and Orthopaedics
Email: tat-mench@mail.ru
ORCID iD: 0000-0002-0578-1964
SPIN-code: 9572-2655
ResearcherId: R-4032-2018
MD, PhD in Biological Sciences, Professor, Head of the Biochemistry Laboratory
Russian Federation, KurganIlya N. Menshchikov
Russian Ilizarov Scientific Center for Restorative Traumatology and Orthopaedics
Email: tat-mench@mail.ru
ORCID iD: 0000-0002-8382-6355
SPIN-code: 8981-9120
ResearcherId: C-8484-2018
PhD-Student
Russian Federation, KurganElena S. Spirkina
Russian Ilizarov Scientific Center for Restorative Traumatology and Orthopaedics
Email: tat-mench@mail.ru
ORCID iD: 0000-0003-2506-2657
SPIN-code: 4971-4902
ResearcherId: C-5229-2019
Junior Researcher, Laboratory of Microbiology and Immunology
Russian Federation, KurganReferences
- Kashevarova NG, Alekseyeva LI, Anikin SG, et al. Knee joint osteoarthritis: risk factors for disease progression during 5-year prospective observation. Issues of organization and information health. 2016;(S):144-9. (In Russ).
- Naumov AV, Alekseyeva LI. Vedeniye bol’nykh s osteoartritom i komorbidnost’yu v obshchey vra-chebnoy praktike. Klinicheskiye rekomendatsii. Moscow; 2016. (In Russ).
- Klinicheskiye rekomendatsii po diagnostike i lecheniyu osteoartroza. OOO «Assotsiatsiya rev-matologov Rossii». 2013. Available at: https://rheu-mato-log.ru/experts/klinicheskie-rekomendacii. Accessed: 2019 Jul 24. (In Russ).
- Milyukov AY, Konev SV. Complex diagnostics of acetabular injuries in patients with polytrauma. Polytrauma. 2012;(3):64-7. (In Russ).
- Volokitina EA. Sovremennyye predstavleniya o koksartroze i printsipy ego lecheniya. Khirurgiya Tazobedrennogo Sustava. 2012;(1):32-51. (In Russ).
- Tikhilov RM, SHubnyakov II, editors. Rukovodstvo po khirurgii tazobedrennogo sustava. Saint-Peters-burg; 2014. (In Russ).
- Kirpichev IV. Structure coxarthrosis in different age groups in patients requiring primary hip arthro-plasty. Modern Problems of Science and Education. 2015;(3):10-1. (In Russ).
- Vakulenko OYu, Zhilyaev EV. Modern treatment approaches to osteoarthrosis. Russian Medical Journal. 2016;(22):1494-8. (In Russ).
- Kosinskaya NS, Rokhlin DG. Rabochaya klassifi-katsiya i obshchaya kharakteristika porazheniy kost-no-sustavnogo apparata. Leningrad; 1961. (In Russ).
- Nikitin OL, Kryukov NN, Kochetkov SG, et al. Peroxidation of lipids in health and disease in the elderly. Herald of Physiotherapy and Health Resort Therapy. 2016;22(2):29-30. (In Russ).
- Nikitin OL, Kryukov NN, Kochetkov SG, et al. Ozone therapy and lipid peroxidation: Current status of the issue. Herald of Physiotherapy and Health Resort Therapy. 2016;22(2):31-2. (In Russ).
- Matveeva EL, Karasev EA, Karaseva TY, et al. Changes in the spectrum and protein peroxidation in the synovial fluid of patients with joint damage. International Journal of Applied and Fundamental Research. 2014;(9-3):46-9. (In Russ).
- Davydov DA, Avdalyan AM, Agadzhanyan VV, et al. Morphometric characteristics of the histopatho-logical parameters of the bone tissue and articular surface of the femoral head in the coxarthrosis’ different nosological entities. Sibirskiy Nauchnyy Meditsinskiy Zhurnal. 2016;36(2):62-7. (In Russ).
- Shostak NA, Pravdyuk NG. Osteoarthrosis: pain determinants, treatment approaches. Russian Medical Journal. 2016;(22):1476-80. (In Russ).








