Morphological illustration of alterations in the arterial endothelium in ischemic and reperfusion injuries
- 作者: Pshennikov A.S.1, Deev R.V.1
- 
							隶属关系: 
							- Ryazan State Medical University
 
- 期: 卷 26, 编号 2 (2018)
- 页面: 184-194
- 栏目: Original study
- ##submission.dateSubmitted##: 19.07.2018
- ##submission.dateAccepted##: 19.07.2018
- ##submission.datePublished##: 20.07.2018
- URL: https://journals.eco-vector.com/pavlovj/article/view/9091
- DOI: https://doi.org/10.23888/PAVLOVJ2018262184-194
- ID: 9091
如何引用文章
详细
Background. Reperfusion syndrome is an inevitable event in recovery of the blood flow after a longstanding ischemia. The article is dedicated to the study of the expressiveness of this condition.
Aim – to compare the depth of morphological alterations of the arterial endothelium in ischemic and reperfusion injury in experiment.
Materials and Мethods. The work was conducted on 90 laboratory animals – rats of Wistar line. Models of ischemia and reperfusion were obtained by compression of the abdominal part of the aorta (1st group) with further conditioning (2nd group). The animals were withdrawn from the experiment and the vessel wall was taken on the 1st, 3d, 5th, 7th day. Preparations were studied in a transmission electron microscope «Libra 120» with automatic scanning of images.
Results. Comparison of pathomorphological data obtained in examination of the aortas and iliac arteries of the two groups of animals («ischemia» and «reperfusion») showed that the cascade of pathomorphological changes includes several main stages. Transient ischemia leads to injury (alteration) of the main components of the vessel wall. Under action of this factor endotheliocytes exhibit a nonspecific response changing their synthetic activity that was manifested by a complex of morphological signs in the nucleus, karyolemma, cytoplasm and plasmalemma. In some cells the changes took an irreversible character and were accompanied by rupture of mitochondrial membranes, of general purpose organelles and of plasmalemma. Such endotheliocytes died and were desquamated. Because of short duration of ischemia these changes were insignificant. Subendothelial structures underwent edema which is logical in view of derangement of the barrier function of the epithelium and presence of a mild inflammatory component (in response to death of a part of endotheliocytes and cells of the vascular wall stroma). Examination of the ultrastructure of the vessel wall in the ischemiareperfusion group revealed adaptive and pathological changes in the endothelial cells. Data were obtained that evidence a significant disorder in microhemodynamics in tissues in reperfusion.
Conclusion. No significant structural and ultrastructural differences in injuries and reactive changes in «ischemia» and «reperfusion» groups were found. In view of this, for subtle differentiation of pathomorphogenesis of these two conditions it is reasonable to use examination methods with higher resolution.
关键词
全文:
Reperfusion syndrome is an inevitable event in recovery of the blood flow after a prolonged ischemia [1, 2]. Doctors working in specialized departments happen to deal with ischemia of limbs and, as a consequence, with development of the damaging reoxygenation after a successfully performed recanalization [3, 4]. Irreversible death of tissue cells takes place. Unfortunately, it is far not possible to preserve a limb in this situation [5]. These pathological processes are results of not only the preceding ischemia, but also of the subsequent reperfusion [6]. The variety of the pathophysiological processes predetermines the importance of experimental works in studying this phenomenon [7] with the possibility to compare the depth of morphological alterations of the endothelium in different stages of the surgical correction.
Aim of work – to compare the depth of morphological alterations of the arterial epithelium in ischemic and reperfusion injury in experiment.
Materials and Methods
Research was conducted on 90 laboratory animals (Wistar line rats with the body mass 250-300 g). The animals were kept in vivarium in standard conditions, they received the standard diet and water ad libitum in compliance with the ethic norms stated in «European Convention for the protection of vertebrate animals used for experimental and other scientific purposes» (Strasburg, 1986), and Order №267 of Ministry of Health of RF of 19.06.2003 «On Approval of rules of laboratory practice».
Models of ischemia and reperfusion were obtained by compression of the abdominal part of the aorta (1st group) with the subsequent conditioning (2nd group). All procedures were conducted under narcosis with use of preparations «Xylo» 1 mg/kg and «Zoletil 50» 15 mg/kg. The animals were withdrawn from the experiment by overdose of zoletil («Virbac Sante Animale», France) introduced intramuscularly in the dose 50 mg/kg on the 1st, 3d, 5th, 7th day. The isolated aortic trunk was fixed in 10% solution of neutral buffered formalin (phosphate buffer, pH=7.2-7.4), dehydrated in a series of ethanols of increasing concentration, with use of isopropanol and was embedded into paraffin. Total series of sections (10 µm) were made and stained with hematoxylin and eosin («Biovitrum», Russia). Histological sections were also stained with picro-fuchsin by van Gieson and Mallory methods using the generally accepted technique. Morphological examination was conducted in Leica DMI 4000 B microscope with video image capture by Leica camera.
For transmission electronic microscopy, fragments of the vessel wall were fixed in 2.5% glutaraldehyde solution («Fluka», Switzerland) with postfixation in 1% OsO4 solution («Fluka», Switzerland). For contrasting 2.5% alcohol solution (70% ethyl alcohol) of uranil acetate («Fluka», Switzerland) was used. Prepared specimens were embedded into a mixture of Epon and Araldite M resins («Fluka», Switzerland). Semifine sections were stained with azure II and eosin. Ultrathin sections were additionally contrasted with lead salts and uranyl acetate by Reynolds’ method. The specimens were studied by a method of transmission electronic microscopy (TEM) in a transmission electronic microscope «Libra 120» with automatic scanning of images («Carl Zeiss», Germany).
Results and Discussion
On the 1st and 3d day after modelling of ischemia, pathophysiological and ultra-structural pictures showed little difference (in dynamics). The light microscopy revealed dystrophic and necrobiotic changes in tissues. In the vessel wall an evident interstitial edema was seen. Heteromorphism of the endothelium was identified: focal smoothing and thinning of the endothelial lining alternating with swelling of endotheliocytes. This period was marked by a mosaic desquamation of the internal lining of the vessel. In the suben-dothelial layer there were found swelling of fibers, signs of the interstitial edema, indistinct boundaries of the internal elastic membrane, its basophilism and segmentation.
The ultrastructure of the endothe-liocytes was characterized by reversible reactive alterations of the nucleus and organelles (Fig. 1).
Nucleolemma formed deep invaginations; perinuclear space was non-uniformly expanded. Chromatin was predominantly condensed. Its osmiophil clumps were concentrated along the karyolemma as a dense ring. The central part of karyoplasm contained decondensed chromatin and possessed low electron density.
Mitochondria of endotheliocytes were characterized by medium electronic density and homogeneous matrix. In a significant amount of mitochondria no cristae were seen because they were smoothed out and/or destructed. Some mitochondria contained totally lysed cristae, and in the matrix fibrillary contents were found. The outer membranes of these organelles had foci of destruction which evidenced their irreversible damage (Fig. 2). It should be noted that by that time a partial destruction of contacts between endothe-liocytes was observed with expansion of the intercellular slits, which evidenced a partial disproportion of cell elements in the endothelial layer predicting mosaic desquamation.
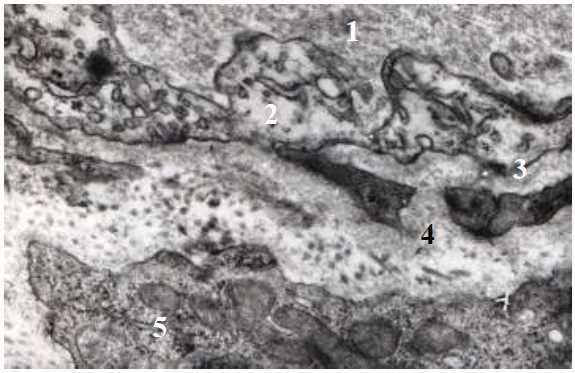
Fig. 1. Ultrastructure of t. intima of the iliac artery of a rat in 1 day after modelled ischemia: 1 – lumen; 2 – vacuolated cytoplasm of endotheliocytes; 3 – basement membrane; 4 – edematous subendothelial connective-tissue layer; 5 – a fragment of a cell rich in mitochondria. TEM. x 4000
Fig. 2. Ultrastructure of rat’s endotheliocytes in 3 days after modelling of ischemia: 1 – nuclei of endotheliocytes with margination of heterochromatin; 2 – cytoplasm of endotheliocytes with a partial destruction of organelles; 3 – a widened zone of contact between neighboring endotheliocytes. TEM. x 4000
Cisterns of the granular endoplasmic reticulum were significantly expanded and looked like electron-transparent vacuoles. On the membranes ribosomes were practically absent, but in the cytoplasm a high amount of free ribosomes and polysomes was seen. Hyaloplasm of endotheliocytes was moderately lucent. Focal lysis of membranes of the granular endoplasmic reticulum was seen. The plastic cytoplasmic Golgi complex underwent reduction and was represented by separate randomly oriented smooth membrane stacks near which large electron-transparent vacuoles, primary and secondary lysosomes and lipid inclusions were located.
Thus, ischemic injury of the vessel wall and especially of cells of the functionally leading tissue – endothelium – was presented by moderately expressed signs of alternative structural and ultrastructural changes.
In specimens taken from the animals five or seven days later, pathohistological and ultrastructural findings might differ from those seen in earlier periods.
Light microscopy showed that alterations involved all layers of the vessel, from tunica intima to tunica externa. The internal layer was prominent, sharply thickened due to edema, showed evident dystrophic changes and separation of fibers of fibrillar skeleton permitting formation of optically empty spaces; signs of plasmorrhagia were present. Endotheliocytes were polymorphic, of different sizes, some of them swollen. The inner elastic membrane was nonuniformly thickened, with deep folds and fragmentations.
The middle layer and adventitia showed signs of mosaic picrino- and fuchsinophilia (van Gieson staining), with fragmentation of elastic components, swelling of fibers and frequent figures of deformation. Adventitia, predominantly around the self vessels, exhibited focal hypertrophy with lymphoplasmа-cytic infiltration and with significant increase in the amount of eosinophils in these loci.
On the 7th day the endothelium was thickened and in some areas remained desquamated, subendothelial layer swollen. In adventitia hyperemia was noted with filling of the adventitial capillaries with blood and with hyperchromatism of capillary endothelium, with leukostasis and erythrodiapedesis in some adventitial vessels. The basic substance of the adventitia and the middle layer was basophilic, with segmental ruptures of collagenous fibrils and with formation of concentric structures.
Ultrastructural examination revealed endotheliocytes with total destruction of all intracellular organelles and membranous structures. However, in most cases the cytoplasm of cells lost vacuolization that was detected at earlier stages. With that it should be emphasized that cells preserved heter-morphism, many endotheliocytes with dark (osmiophil) homogenized cytoplasm were seen; cells formed numerous lamellipodia, which penetrated into the thickened basement membrane (Figs. 3,4).
In some mitochondria the total lysis of cristae and of the outer membranes was observed. The granular endoplasmic reticulum was fragmented. Ribosomes, both freely lying in the cytoplasm and bound with membranes of granular endoplasmic reticulum, were practically absent. Reduction of plastic Golgi apparatus was accompanied by softening and lysis of its membranes.
Thus, on the 5th and 7th day deeper destructive changes occurred in the vessel wall accompanied not only by dystrophic, but also by necrobiotic alterations. With that, it should be noted that these alterations did not involve the entire endothelial lining; a part of endotheliocytes demonstrated only moderately expressed reactive changes.
In the first day after modelling of reperfusion, pathohistological findings on the light-optical and electron-microscopic levels did not differ from those of the first group: dystrophic changes and evident interstitial edema were seen in the vessel wall being a marker of a hypoxic injury of a specialized tissue. However, on the third day these changes in the second group acquired a mosaic pattern. Along with pathological processes there also occurred adaptive changes in the structures of the vessel wall. In particular, there were noted moderate dilation of the lumen of some vessels, alteration of the organelles of endothelial cells: edema of separate mitochondria, increase in the surface area of nuclei due to invaginations, moderate enhancement of micropinocytosis (Fig. 5). Along with compensatory changes, pathological changes were also found in the endotheliocytes of blood vessels manifested by their edema with their swelling and destruction of separate mitochondria.
Fig. 3. Ultrastructure of rat’s endotheliocytes in 7 days after modelling ischemia: 1 – vessel lumen; 2 – fragments of cytoplasm of endotheliocytes; 3 – nucleus of leukocyte; 4 – thickened basement membrane. TEM. x 4000
Fig. 4. Ultrastructure of rat’s endotheliocytes in 7 days after modelling ischemia: 1 – erythrocytes in the lumen of vessel; 2 – fragments of cytoplasm of endotheliocytes; 3 – extensions of endotheliocytes in thickened basement membrane. TEM. x 8000
Mitochondria were vacuolated, their matrix lucent, cristae disoriented. Cisterns of the cytoplasmic reticulum and Golgi complex dilated. Predomination of signs indicating reactive changes in endotheliocytes was noted including increase in the surface of nucleus due to formation of invaginations of different depth, and evident pinocytic activity of plasmalemma of endotheliocytes.
Simultaneously in some parts disorders in the interendothelial contacts were observed with dilation and edema of the pericapillary space. Electron-microscopic examination of the ultrastructure revealed alterations of endothelial cells, of basement membrane of microcirculatory vessels, pericytes and perivascular space.
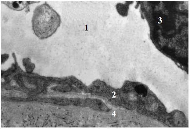
Fig. 5. Ultrastructure of t. intima of iliac artery of a rat in 1 day after modelling of ischemia-reperfusion: 1 – lumen; 2 – endotheliocytes; 3 – thickened basement membrane; 4 – edematous subendothelial connective-tissue layer. TEM. x 4000
The identified alternation of «light» and «dark» endotheliocytes indicated that the cells were either in different stages of damage, or in different phases of functional activity; it may be suggested that the first ones were in the stage of destruction and the second ones performed the main function of the endothelial layer.
By the 5th and 7th day vessel processes of remodeling of the examined blood vessels were observed in animals of this group – deformation and narrowing of the lumen of microvessels, softening and breakage of the integrity of basement membrane, changes in pericytes, tendency of erythrocytes to adhesion and hemolysis. These alterations indicate derangement of synchronicity of participation of the entire endothelium in blood supply to tissues, enhancement of the permeability of vessels, and lead to retardation of microhemocirculation and to aggregation of blood cells.
In seven days generalized changes were revealed that consisted in derangement of the ultrastructure of all layers of the vessel wall. Endothelial cells often were in the condition of severe dystrophy, necrosis, a part of them protruded into the vessel lumen in the form of papillae. The vessel lumen was slightly narrowed due to edema of endotheliocytes. Mitochondria of endothelial cells also underwent changes characterized by edema, lucence of matrix, partial or total destruction of cristae, vacuolization. Basement membrane had non-uniform thickness and medium electron density. In the structure of basement membrane vacuole-like formations were identified not restricted by the membrane. Besides, areas of destruction of basement membrane were found (Fig. 6).
In the region of destruction of the endothelial layer a contact of erythrocytes of blood with collagen and elastic fibers was noted, in these regions parietal sludge and aggregation of erythrocytes were found. In these regions erythrocytes directly adjoin leiomyocyti.
In the direct vicinity to the regions of desquamation of the endothelium, intracellular processes in fibroblasts activated. Their nuclei acquired scalloped appearance with numerous deep and small invaginations of the nuclear membrane. Nuclear chromatin partly condensed and concentrated near the nuclear membrane. In the central region of matrix accumulations of ribosomes appeared. Peri-nuclear spaces were not expanded.
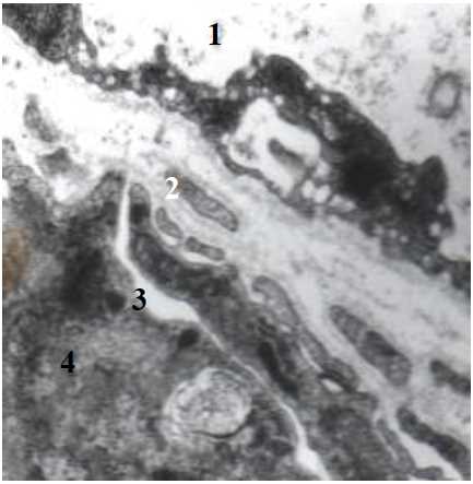
Fig. 6. Ultrastructure of t. intima of the iliac artery of a rat in 7 days after modelling of ischemia-reperfusion: 1 – lumen; 2 – vacuolated cytoplasm of a «dark» endotheliocyte; 3 – thickened basement membrane with foci of destruction, defects, lucence; 4 – subendothelial structures. TEM. x 4000
Thus, examination of the ultrastructure of the vessel wall in the ischemia-reperfusion group revealed adaptive and pathological alterations of endothelial cells. Data were obtained indicating a significant derangement of microhemodynamics in tissues in reperfusion. Comparison of data of pathomorphological examination of aortas and iliac arteries of two groups of animals («ischemia» and «reperfusion») shows that the cascade of patho-morphological alterations includes several main stages and stays within the traditional understanding of reactivity of tissue systems. Transient ischemia leads to damage (alteration) of the basic components of the vessel wall. Under action of this factor endo-theliocytes exhibit a non-specific response changing their synthetic activity manifested by a complex of morphological signs in the nucleus, karyolemma, cytoplasm and plasma-lemma. In some cells changes take an irreversible character with the rupture of mitochondrial membrane, general purpose organelles and plasmalemma. These endothe-liocytes die and are desquamated. Since ischemia was of short duration, these changes were not significantly expressed. Suben-dothelial structures undergo edema which is a logical result of frustration of the barrier function of the endothelium and of the presence of insignificant inflammatory component (in response to death of a part of endotheliocytes and stromal cells of the vessels wall).
Duration of observation in the given experiment did not permit do trace the whole sequence of events from the moment of damage to complete restitution, but, however, it is evident that tissue events will follow the described algorithm, and the damage on the organ level (vessel) is reversible.
Conclusion
No significant structural and ultra-structural changes in the pattern of lesion and in reactive changes in «ischemia» and «reperfusion» groups were found. In this context it is reasonable to use methods with higher resolution for a more subtle differentiation of pathomorphogenesis in these two conditions.
作者简介
Alexander Pshennikov
Ryazan State Medical University
							编辑信件的主要联系方式.
							Email: pshennikov1610@rambler.ru
				                	ORCID iD: 0000-0002-1687-332X
				                	SPIN 代码: 3962-7057
																		                								
MD, PhD, Associate Professor of the Department of Cardiovascular, Roentgen-Endovascular, Operative Surgery and Topographic Anatomy
俄罗斯联邦, 9, Vysokovoltnaja str., Ryazan, 390026Roman Deev
Ryazan State Medical University
														Email: pshennikov1610@rambler.ru
				                	ORCID iD: 0000-0001-8389-3841
				                	SPIN 代码: 2957-1687
																		                								
MD, PhD, Head of the Department of Pathological Anatomy with Course of Forensic Medicine
俄罗斯联邦, 9, Vysokovoltnaja str., Ryazan, 390026参考
- Kalinin RE, Abrosimov VN, editors. Ishemicheskie bolezni v praktike semeynogo vracha: uchebnoe posobie. Moscow: GEOTARMedia; 2016. (In Russ).
- Kalinin RE, Pshennikov AS, Suchkov IA. Reperfuzionnoe povrezhdenie tkaney v khirurgii arteriy nizhnikh konechnostey. Novosti khirurgii. 2015;23(3):34852. (In Russ).
- Dick F, Li J, Giraud MN, et al. Basic Control of Reperfusion Effectively Protects Against Reperfusion Injury in a Realistic Rodent Model of Acute Limb Ischemia. Circulation. 2008;118(19):19208.
- Preece R, Srivastava V, Akowuah E, et al. Should limb revascularization take priority over dissection repair in type a aortic dissection presenting as isolated acute limb ischaemia. Interact Cardiovasc Thorac Surg. 3 Jun 2017. Available at: http://www.scicombinator.com/articles/3293753. Accessed: 31 января 2018.
- Li R, Fan L, Ma F, et al. Effect of etomidate on the oxidative stress response and levels of inflammatory factors from ischemiareperfusion injury after tibial fracture surgery. Exp Ther Med. 2017;13(3):9715. doi:10. 3892/etm.2017.4037
- Kalinin RE, Suchkov IA, Pshennikov AS. Endotelial'naya disfunktsiya i sposoby ee korrektsii pri obliteriruyushchem ateroskleroze. Moscow: GEOTARMedia; 2014. (In Russ).
- Aihara K, Ono T, Umei N, et al. A study of the relationships of changes in pain and gait after tourniquetinduced ischemiareperfusion in rats. Phys Ther Sci. 2017;29(1):98101. doi: 10.1589/jpts.29.98
- Kalinin RE, Suchkov IA, Mzhavanadze ND, et al. Disfunkciya ehndoteliya u pacientov s implantiruemymi serdechnososudistymi elektronnymi ustrojstvami (obzor literatury). Science of Young (Eruditio Juvenium). 2016;4(3): 8492. (In Russ).
- Bashuk I.P., Pavlova T.V., Pavlova L.A., et al. Primenenie skaniruyushchej mikroskopii s cel'yu izucheniya reparacii kostnoj tkani. IP Pavlov Medical Biological Herald. 2016; 24(3):2937. (In Russ).
补充文件
 
				
			 
						 
						 
					 
  
  
  电邮这篇文章
			电邮这篇文章 











