Features of the lesion of the vascular bed in purulent meningitis in children
- Authors: Skripchenko N.V.1,2, Egorova E.S.1, Vilnits A.A.1,2, Gorelik E.Y.1
-
Affiliations:
- Pediatric Research and Clinical Center for Infectious Diseases
- St. Petersburg State Pediatric Medical University
- Issue: Vol 12, No 5 (2021)
- Pages: 27-35
- Section: Original studies
- URL: https://journals.eco-vector.com/pediatr/article/view/104987
- DOI: https://doi.org/10.17816/PED12527-35
- ID: 104987
Cite item
Abstract
Background. Purulent meningitis occupies one of the important places in the structure of neuroinfectious diseases in children and is the top ten places among the causes of death. The relevance of their study is due to the severity of the course, high rates of disability and deaths (8–39%). Damage to the vascular bed during neuroinfections, including purulent meningitis, is a mandatory component due to the predominantly hematogenous pathway of pathogens. The penetration of microorganisms through the blood-brain barrier into the cranial cavity and their hematogenous intrathecal circulation cause damage to the cerebral veins and arteries, leading to the development of vasculopathies and vasculitis.
Aim: To determine the features of vascular disorders in purulent meningitis in children.
Materials and methods. 100 children with purulent meningitis were examined, aged from 1 to 17 years 11 months, for the period since 2007 to 2020. All patients underwent neurological monitoring, etiological verification of diagnoses, determination of markers of endothelial dysfunction in the blood (D-dimer and desquamated endothelial cells), as well as MRI of the brain and MRI angiography.
Results. A complex lesion of the vascular system in purulent meningitis in children was proved, associated with both structural and functional properties of the vascular wall, as well as damage to the vasomotor function of the endothelium.
Conclusions. With purulent meningitis, there is damage to the vascular bed in the form of systemic vasculitis, including cerebral vessels, as evidenced by the presence of both markers of endothelial damage (desquamated endothelial cells and D-dimer) and changes in MRI and MRI angiography.
Full Text
BACKGROUND
Purulent meningitis (PM) ranks first among neuroinfectious diseases in children and is among the top 10 causes of death [10]. The annual average incidence of PM in St. Petersburg is 5.9 per 100,000 children. The overall mortality from these diseases ranges from 3.7 % to 10 %, and in severe cases in infants, it increases to 45 % [8]. The relevance of studying PM is attributed to the course severity, high rates of disability, and lethal outcomes (8 %–39 %) [6, 11].
Bacteria that enter the bloodstream through the choroid plexus cross the blood–brain barrier. All vessels, including cerebral ones, become involved in the infectious process. Consequently, wall irregularities, focal dilatations and occlusions of arterial branches, focal inflammation of the parenchyma, thrombosis of the sinuses and cortical veins, and development of vasculitis and vasculopathies occurred [3]. Vasculitis is a pathological process characterized by the inflammation and necrosis of the vascular wall, leading to ischemic and/or hemorrhagic changes in organs and tissues. An international study described vasculitis that occurred in the presence of PM in adults and children [16]. With vasculopathy, morphological signs of inflammatory cell infiltration of the vascular wall and perivascular space are unclear.
In the vascular bed, microorganisms come into contact with the vascular endothelium, causing its damage mediated by inflammatory mediators, resulting in impaired vascular function. The depletion of the antithrombotic function of damaged endothelial cells leads to the production of tissue thromboplastin, which causes platelet aggregation, thrombin production, and increased blood coagulation. Damage occurs both inside and outside the vessel due to the close contact of the cerebral vessels with the arachnoid membrane involved in the inflammatory process. Vascular wall changes lead to vasoconstriction, increased coagulation due to the effect of pro-inflammatory cytokines on the endothelial surface, and changes in the vasomotor tone. The brain tissue becomes susceptible to hypoxia, which leads to the development of cerebral ischemia, formation of infarctions, and consequently neurological deficits as disease outcomes.
Cerebral vascular lesions caused by PM have three phases. At the initial stage, vasospasm appears, caused by the accumulation of purulent materials in the subarachnoid space, followed by the necrosis of the vascular wall, which results in vasodilation. At the final stage, subendothelial edema and smooth muscle proliferation are noted, which ultimately causes vascular stenosis [2].
Cerebrovascular complications occur in more than a third of patients with PM. They can appear at disease onset, acute period, and even after treatment (delayed) and most often have adverse outcomes [19], which determine the relevance of their timely diagnostics, prevention, and treatment. Vasculitis in meningitis caused by pneumococcal and hemophilic infections are most commonly due to the tropism of these pathogens to the endothelial cells of cerebral vessels.
The diagnosis of cerebral vasculitis is established based on the results of clinical, laboratory, and neuroimaging [such as magnetic resonance imaging (MRI) and angiography] studies.
Neurological examination in patients with cerebral vasculitis may reveal sensorimotor and cognitive deficits, personality changes, and affective or psychotic disorders. Clinical manifestations depend on the location of the lesion and area and volume of the cerebral lesion [14].
In the diagnostics of vasculitis, certain information on the degree of endothelial damage is obtained by determining desquamated (circulating) endotheliocytes (DEC) in the blood (normal, 2–4 cells/µL). However, it is impossible to distinguish which vessels (intracerebral or extracerebral) are involved in the pathological process. As endothelial dysfunction is accompanied by changes in the hemostasis system, one of the indicators of thrombogenesis is the fibrin breakdown product D-dimer, in which an increase in its level is noted in various pathological conditions such as hemorrhages, disseminated intravascular coagulation syndrome, thrombophlebitis, and thromboembolism. The evaluation of D-dimer parameters allows diagnosing conditions accompanied by increased thrombogenesis and monitoring treatment efficiency [1].
Endothelial damage is observed in endothelial cells of microvessels, constitutionally expressing the marker of cell differentiation CD31 [18], and direct damage to the brain tissue is determined by the detection of S100-positive cells that are expressed only in cells of neurogenic origin [7].
In the early stages, vessel changes are diagnosed during transcranial duplex scanning (TCDS) and neuroimaging. TCDS in PM reveals a decrease in the linear velocity of the blood flow in cerebral arteries and a change in the thickness of the intima-media complex.
Signs of ischemic or hemorrhagic stroke in MRI enable diagnosis of cerebral vasculitis [5]. The study of autopsy material allows diagnosis of cerebral vasculitis posthumously and reveals multiple small ischemic infarcts in the cortical and subcortical areas that are not diagnosed in vivo [1].
Endothelial dysfunction, cerebral ischemia, and severe metabolic disorders in PM require timely diagnosis and correction to improve the disease outcomes.
This study aimed to determine the characteristics of vascular disorders in children with PM.
MATERIALS AND METHODS
A comprehensive examination of 100 pediatric patients with PM, aged 1 month to 17 years 11 months, who were treated in the departments of neuroinfections and organic pathology of the nervous system, resuscitation, and intensive care of Children’s Scientific Clinical Center for Infectious Diseases of the Federal Medical and Biological Agency of Russia from 2009 to 2020, was performed. The criteria for the inclusion of pediatric patients in the study were the presence of an infectious syndrome and cerebral and meningeal symptoms.
Clinical and neurological examinations of the patients were performed upon hospital admission and daily throughout the hospitalization. The level of consciousness, severity of intoxication syndrome, and cerebral, meningeal, and focal symptoms were assessed. The etiology of PM was confirmed using standard methods in the microecology laboratory. To determine endothelial dysfunction, the amount of DEC in the blood serum was determined according to the method of Hladovec (1978) modified by Petrishchev and Vlasov [4].
The predisposition to thrombogenesis was determined by the quantitative level of the D-dimer in the blood. The latex agglutination method was used using D-Dimer Test strips (F. Hoffman-La-Roche Ltd., Switzerland) on a Cardiac Reader Immunochemical Express Analyzer (Roche Diagnostics, Switzerland). The study of D-dimer and DEC was performed three times upon admission and after 21 and 45 days from the disease onset.
Upon admission, as well as during the disease course, patients underwent TCDS of cerebral vessels using ultrasonic devices Toshiba Хario SSA-660A and Aloka SSD-3500 (Toshiba, Japan), which included examination of the vessels of the carotid system.
In the acute period of PM, brain MRI was performed on a Signa EchoSpeed 1.5 T superconducting magnetic tomograph (General Electric, USA). The radiation program consisted of pulse sequences spin echo, fast-spin echo, inversion recovery, fluid-attenuated inversion recovery (FLAIR), and diffusion-weighted imaging (DWI) to obtain proton density (PD), T1- and T2-weighted images in three planes. All patients underwent contrast enhancement of the image using intravenous Omniscan at a dose of 0.2 mg/kg and non-contrast MR angiography of cerebral vessels. During the study, the terms of normalization of the DEC and D-dimer levels were estimated.
Statistical data processing was performed using the Microsoft Excel 2007 program. The results were analyzed in a personal computer with the Statistica 7 software package. Results were statistically analyzed using nonparametric methods of variation statistics. The average values and standard deviation were calculated. Fisher’s F-test, Pearson’s χ2, and Student’s t-test were used to assess the significance of differences. Differences were considered significant at p < 0.05. The results of the clinical and laboratory studies were also evaluated over time by the paired correlation test.
RESULTS
The analysis of the etiological structure of meningitis showed the predominance of meningococcal (57 %) and hemophilic (20 %) infections, while pneumococcal infection (8 %) was less common. Meningitis of meningococcal etiology was more often recorded in children aged 3–7 years (71.0 %), while in young children, hemophilic meningitis (HibM) was detected in 36.0 % of cases. Meningitis of meningococcal and hemophilic etiology progressed most severely mainly in adolescents, which was probably due to hormonal changes during puberty.
The clinical aspects of PM relied on the disease etiology. The clinical presentation of meningococcal meningitis was characterized by acute intoxication. In 90 % of the cases, the disease onset was accompanied by a high fever, up to 39°C–40°C, increasing atony, and cerebral symptoms. Moreover, 80 % of pediatric patients had a clinical presentation of septic shock. The HibM onset was acute in 60% of children and hyperacute in 20%. However, in children aged 5 months to 3 years in 25% of cases, PM development was preceded by symptoms of an acute respiratory infection, which indicated a subacute disease development. In 49% of cases, patients had signs of impaired consciousness to sopor, and in 60%, they had focal neurological symptoms. In all children, pneumococcal meningitis was characterized by very acute onset, a rapid increase in intoxication, and the formation of cerebral edema. Pronounced meningeal symptoms were distinctive.
PM was moderate in 30% of pediatric cases, severe in 51%, and extremely severe in 19% of cases. Outcomes of PM were dependent on the disease severity. In moderate and severe PM, recovery took place in 68% and 30% of the cases, respectively, while in extremely severe PM, 89.5% of the children had a protracted disease course with the development of neurological deficits of varying severities.
DEC indicators in the acute period of PM were elevated; however, their maximum indicators were detected in PM of meningococcal and hemophilic etiology (13.23 ± 0.52 and 9.97 ± 0.57 cells per 100 µL, respectively). In meningitis of pneumococcal and unspecified etiology, the DEC level increased in the acute period; however, the values were lower (7.2 ± 0.52 and 4.94 ± 0.86 cells/µl, respectively). High numbers of DEC were noted up to day 45 in PM of meningococcal, hemophilic, and pneumococcal etiologies.
The study revealed significant differences in DEC indicators in the acute period, depending on age. In children aged 1 year, up to 2 years 11 months (early preschool), and 3–7 years (preschoolers) in the acute period of PM, the DEC indicators were higher than in those age 12–17 years (adolescents) and amounted to average 9.2 ± 0.48 cells/µL. However, during the disease course in patients aged <7 years, the normalization of DEC values by day 45 corresponded to the normal values, while in adolescents, with relatively low DEC values (7.1 ± 0.79 cells/µL) in the acute period (day 45), significantly high values of endothelial damage indicators persisted (Table 1).
Table 1. Dynamics of changes in the indices of the number of desquamated endothelial cells (DEC) in purulent meningitis, depending on age (n = 100) / Таблица 1. Динамика изменений показателей количества десквамированных (циркулирующих) эндотелиоцитов (ДЭЦ) при гнойных менингитах в зависимости от возраста (n = 100)
Age, years / Возраст, лет | Number / Количество | DEC quantity, cells/mcl / Количество ДЭЦ, кл./мкл | ||
acute period (1–3 days) / острый период (1–3-й день) | days / дней 21 | days / дней 45 | ||
1 month – 2 years 11 months / 1 мес. – 2 г. 11 мес. | 25 | 9.1 ± 0.44 | 6.38 ± 0.34* | 4.3 ± 0.25* |
years / лет (3–7) | 55 | 9.2 ± 0.48 | 6.35 ± 0.35* | 4.6 ± 0.24* |
years / лет (12–17) | 20 | 7.6 ± 0.68 | 7.3 ± 0.65 | 6.9 ± 0.57 |
* р < 0.05.
The disease severity corresponded to destructive changes in the vascular endothelium. In moderate disease, the average DEC values in the acute period were significantly lower than those in severe and extremely severe courses and accounted for 7.6 ± 0.71, 8.9 ± 0.85, and 9.9 ± 1.08 cells/µL, respectively. In severe and extremely severe PM, elevated DEC values persisted for a long time, up to day 45 (Table 2).
Table 2. Dynamics of the number of desquamated endothelial cells (DEC) in purulent meningitis, depending on the severity of the disease (n = 100) / Таблица 2. Динамика количества десквамированных (циркулирующих) эндотелиоцитов (ДЭЦ) при гнойных менингитах в зависимости от степени тяжести заболевания (n = 100)
Severity of purulent meningitis / Тяжесть гнойного менингита | Number / Количество | DEC quantity, cells/mcl / Количество ДЭЦ, кл./мкл | ||
acute period (1–3 days) / острый период (1–3-й день) | days / дней 21 | days / дней 45 | ||
Moderate / Среднетяжелая | 30 | 7.6 ± 0.71 | 5.6 ± 0.53 | 4.2 ± 0.33 |
Heavy / Тяжелая | 51 | 8.9 ± 0.85* | 7.9 ± 0.83* | 6.6 ± 0.62* |
Extremely hard / Крайне тяжелая | 19 | 9.9 ± 1.08* | 9.2 ± 0.77* | 8.3 ± 0.74* |
* Differences р < 0.05 in the relative to moderate form of purulent meningitis. * Различия р < 0,05 относительно среднетяжелой формы гнойного менингита.
The study of D-dimer, a thrombogenesis marker, revealed a significant increase in the acute period in PM of various etiologies; however, the maximum values were revealed in PM of hemophilic (2045.91 ± 346.00 µg/L) and meningococcal (1978.34 ± 196.24 µg/L) etiologies. In the analysis of D-dimer levels depending on age, the maximum values were detected in patients of preschool age (3–7 years) and adolescents (>12 years) with 2031.93 ± 231.79 and 1998.45 ± 211.33 µg/L, respectively. In the analysis of changes over time in indicators in all age groups, by day 21 from disease onset, a decrease in D-dimer level by 3–3.5 times was noted (Table 3). The dependence of D-dimer parameters on the disease severity was also established; the more severe the disease, the higher the thrombogenesis rate (Table 4).
Table 3. Dynamics of changes in indicators of the amount of D-dimer in purulent meningitis, depending on age (n = 100) / Таблица 3. Динамика изменений показателей количества Д-димера при гнойных менингитах в зависимости от возраста (n = 100)
Age, years / Возраст, лет | Number / Количество | D-dimer, mcg/l / Д-димер, мкг/л | ||
acute period (1–3 days) / острый период (1–3-й день) | days / дней 21 | days / дней 45 | ||
1 month – 2 years 11 months / 1 мес. – 2 г. 11 мес. | 25 | 1312.83 ± 125.41 | 425.30 ± 94.08* | 419.73 ± 42.61* |
years / лет (3–7) | 55 | 2031.93 ± 231.79* | 685.98 ± 181.12* | 421.64 ± 45.39* |
years / лет (12–17) | 20 | 1998.45 ± 211.33* | 694.91 ± 310.53* | 710.95 ± 295.12* |
* р < 0.05.
Table 4. Dynamics of D-dimer indices in purulent meningitis, depending on the severity of the disease (n = 100) / Таблица 4. Динамика показателей Д-димера при гнойных менингитах в зависимости от степени тяжести заболевания (n = 100)
Severity of purulent meningitis / Тяжесть гнойного менингита | Number / Количество | D-dimer, mcg/l / Д-димер, мкг/л | ||
acute period (1–3 days) / острый период (1–3-й день) | days / дней 21 | days / дней 45 | ||
Moderate / Среднетяжелая | 30 | 1238.13 ± 187.46 | 512.085 ± 132.54 | 275.98 ± 138.13 |
Heavy / Тяжелая | 51 | 1850.35 ± 345.84 | 756.74 ± 354.94* | 612.35 ± 257.31* |
Extremely hard / Крайне тяжелая | 19 | 2356.76 ± 589.02 | 1750.75 ± 439.05* | 985.01 ± 461.84* |
* Differences р < 0.05 in the relative to moderate form of purulent meningitis.
* Различия р < 0,05 относительно среднетяжелой формы гнойного менингита.
TCDS of cerebral vessels in PM in 90 % of children revealed a decrease in the linear velocity of blood flow in the posterior and middle cerebral arteries. In 28 % of the pediatric patients, a thickening of the intima-media complex was determined, which indicated a change in the vessel lumen due to inflammatory changes in its wall.
In 90 % of pediatric cases, the brain MRI showed the dilatation of the subdural space due to the pathological accumulation of fluid on PD, T1-WI, and T2-WI. With the intravenous administration of a contrast agent, all patients showed thickening and a selective increase in the signal intensity from the cerebral meninges on post-contrast images, which indicated damage to the vascular bed and impaired permeability of the blood–brain barrier.
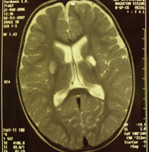
In this study, 23 % of pediatric patients with PM of hemophilic and meningococcal etiologies had foci of pathological MR signal caused by vasculitis with multiple small ischemic zones of various sizes, round or oval in shape, with indistinct contours, which were localized in both the subcortical and periventricular regions of the white matter (Fig. 1). DWI MRI in 63 % of children showed multiple bilateral foci of infarcts, most likely due to small-vessel vasculitis (Fig. 2).
Fig. 1. MRI of a child, 1,9 years old. Diagnosis: Purulent meningitis of hemophilic etiology. Acute ischemic cerebral circulation disorder in the basin of the right middle cerebral artery. T2-VI mode. In the basal structures on the right, a zone of high signal intensity with dimensions of 1.8 × 1.2 × 1.4 cm with fuzzy contours is determined. In the basal regions on the left – a lacunar cyst measuring 1.4 × 0.9 × 1.1 cm / Рис. 1. Магнитно-резонансная томограмма головного мозга ребенка, 1 год 9 мес. Диагноз: «Гнойный менингит гемофильной этиологии. Острое нарушение мозгового кровообращения по ишемическому типу в бассейне правой среднемозговой артерии». Режим Т2-ВИ. В базальных структурах справа определяется зона высокой интенсивности сигнала размерами 1,8 × 1,2 × 1,4 см с нечеткими контурами. В базальных отделах слева — лакунарная киста размерами 1,4 × 0,9 × 1,1 см
Fig. 2. MRI of a child, 2,4 years old. The DWI shows multiple infarctions of the corpus callosum and the right caudate nucleus / Рис. 2. Магнитно-резонансная томограмма головного мозга ребенка, 2 года 4 мес. На DWI множественные инфаркты мозолистого тела и правого хвостатого ядра
Non-contrast angiography revealed radiation findings in 34 % of the patients in the form of hypoplasia (14 %), asymmetry (18 %), and pathological tortuosity (5 %) of the posterior cerebral artery, anterior cerebral artery, vertebral arteries, variants of the open arterial circle of Willis (3 %), and posterior trifurcation of the internal carotid artery (2 %).
DISCUSSION
An analysis of the results suggests pronounced damage to the endothelium of the vessels of the general circulatory bed (generalized vasculitis) and meninges under the action of bacterial agents that cause a «cytokine explosion» with the deployment of a cascade of inflammatory reactions [15, 21]. Despite the etiotropic antibiotic therapy, long-term high numbers of endothelial cells in the acute period of PM indicate pronounced damage to the endothelium due to bacteremia, which requires additional use of endothelial-protective drugs [9].
Children of early junior preschool and preschool age have anatomical and physiological features of the structure of blood vessels, such as a wide lumen and increased elasticity of the vascular wall, which leads to a rapid restoration of the endothelial lining by day 45. Autonomic dysfunction in adolescents, characterized by the activation of lipid peroxidation processes, a decrease in the level of plasma antioxidant activity, and a decrease in the nitric oxide level affect the endothelial lining of blood vessels and the regulation of vascular tone, which probably causes a slow decrease in the amount of DEC in adolescents. An increase in homocysteine level is also significant, as it has a direct effect on the endothelium, which contributes to its long-term recovery [12].
The study revealed a direct correlation between the severity of PM and destructive changes in the vascular wall, which may be due to the high load of numerous pathogens that entered the body through the vascular endothelium.
High D-dimer levels in the acute period of PM reflect fibrin formation and lysis and are one of the main markers of the activation of the hemostasis system. With PM, on day 21 of the disease, the D-dimer levels in most patients were within the normal range, which was probably due to the rapid elimination of the bacteria from the bloodstream and gradual restoration of the vascular wall. Studies have shown the dependence of D-dimer levels on the disease severity: the more severe the disease, the higher the thrombogenesis rate, which is associated with more pronounced damage to the vascular bed and hypercoagulation [13, 17]. The preservation of high D-dimer levels in children aged >12 years indicates a long-term impairment of thrombogenesis, which may be associated with increased vulnerability and functional instability of the cardiovascular system and a decrease in the vascular wall elasticity caused by an imbalance in the neurohormonal system components during puberty.
High levels of DEC and D-dimer, which characterize dysfunction of the endothelium and coagulation system in adolescents, indicate the role of hormonal changes during puberty, when uneven development of organs and systems, including the cardiovascular system, is expressed. Therefore, elasticity is impaired, and insufficient relaxation or contraction of blood vessels and impaired thrombogenesis occurred. Children aged <7 years with wide vessel lumen and increased elasticity of the vascular wall, these changes are less pronounced.
During this study, radiation markers of cerebral vasculitis were determined. In children, unilateral damage to the terminal internal carotid, mesencephalic, and anterior cerebral arteries is more common.
Infarction foci of small cerebral vessels identified on DWI can be used to visualize the initial signs of vasculitis because of its higher sensitivity compared with T2-WI and FLAIR sequences. Ultrasound examination of the great vessels allows assessment of their size, identify dilatation (aneurysms) or narrowing of the lumen, atherosclerotic plaques, and blood clots, and quantify the rate and nature of blood flow [20].
Thus, for the early diagnosis of cerebrovascular disorders in PM in children, a comprehensive examination is required, including not only obtaining clinical and laboratory data, but also a neuroimaging study.
CONCLUSION
In PM, a generalized vasculitis is registered, including cerebral vasculitis, which is presented not only by damage to the vessel wall but also by its dysfunction, which is characterized by a significant increase in circulating endotheliocytes and D-dimer level. Another marker of damage to cerebral vessels in PM is thickening and a selective increase in the signal intensity from the meninges of the brain on post-contrast MRI. Long-term (for 45 days) changes in DEC parameters in PM, correlating with MRI changes, persistent neurological symptoms, indicate the pathogenetic significance of the structural and functional properties of the vascular wall in the genesis of neuroinfections in children. The changes revealed necessitate the prescription of endothelium-protective drugs and anticoagulant drugs in the acute period of PM, which will improve the disease outcomes and reduce the duration of hospitalization of pediatric patients.
ADDITIONAL INFORMATION
Author contributions. All authors confirm that their authorship complies with the ICMJE criteria. All authors have made a significant contribution to the development of the concept, research, and preparation of the article. They have read and approved the final version before its publication.
Conflict of interest. The authors declare no conflict of interest.
Funding. The study had no external funding.
About the authors
Natalya V. Skripchenko
Pediatric Research and Clinical Center for Infectious Diseases; St. Petersburg State Pediatric Medical University
Author for correspondence.
Email: snv@niidi.ru
MD, PhD, Dr. Med. Sci, Deputy Director, Direction
Russian Federation, Saint Petersburg; Saint PetersburgEkaterina S. Egorova
Pediatric Research and Clinical Center for Infectious Diseases
Email: kate_inf@mail.ru
MD, PhD, Researcher, Department of Intensive Therapy and Urgent Cases
Russian Federation, Saint PetersburgAlla A. Vilnits
Pediatric Research and Clinical Center for Infectious Diseases; St. Petersburg State Pediatric Medical University
Email: vilnitz@mail.ru
MD, PhD, Dr. Med. Sci, Senior researcher, Department of Intensive Therapy and Urgent Cases
Russian Federation, Saint Petersburg; Saint PetersburgEvgeniy Yu. Gorelik
Pediatric Research and Clinical Center for Infectious Diseases
Email: e.gorelik@mail.ru
MD, PhD, Senior researcher, Department of Neuroinfections and Organic Pathology of the Nervous System
Russian Federation, Saint PetersburgReferences
- Vil’nits AA. Gnoinye meningity u detei: kliniko-patogeneticheskie, diagnosticheskie, prognosticheskie i terapevticheskie aspekty intrakranial’nykh oslozhnenii [dissertation]. Saint Petersburg; 2019. (In Russ.)
- Martynov VA, Zhdanovich LG, Karaseva EA, et al. Complications of bacterial meningitis. Infectious diseases: news, views, education. 2018;7(1):54–59. (In Russ.)
- Nagibina MV. Bakterial’nye gnoinye meningity: aktual’nye problemy patogeneza, diagnostiki i lecheniya [dissertation abstract]. Moscow; 2017. 46 p. (In Russ.)
- Petrishchev NN, Vlasov TD. Fiziologiya i patofiziologiya ehndoteliya. Saint Petersburg: SPbGMU; 2003. 438 p. (In Russ.)
- Selezneva SV. Tserebral’nye vaskulopatii (vaskulity): osobennosti kliniki, diagnostika, printsipy lecheniya. Zdorov’e Ukrainy. 2017;(3):42–43. (In Russ.)
- Skripchenko NV, Lobzin YuV, Vil’nits AA. Gnoinye meningity u detei: rukovodstvo dlya vrachei. 2-e izd., pererab. Saint Petersburg: SINEhL; 2017. (In Russ.)
- Skripchenko NV, Shirokova AS. Neuron-specific enolase and s100 protein as biomarkers of brain damage. Review and clinical application. Neirokhirurgiya i nevrologiya detskogo vozrasta. 2016;(4):16–25. (In Russ.)
- Skripchenko NV, Lobzin YuV, Voytenkov VB, et al. Innovations in the management of children’s neuroinfections. Children Infections. 2017;16(3):5–9. (In Russ.)
- Skripchenko NV, Trofimova TN, Ivanova GP, et al. Sovershenstvovanie lecheniya neiroinfektsii, protekayushchikh s sindromom vaskulita u detei. Vestnik ural’skoi meditsinskoi akademicheskoi nauki. 2010;(21): 290–293. (In Russ.)
- Soldatkin PK. Bakterial’nye meningity i meningoehntsefality: uchebnoe posobie. Blagoveshchensk: Amurskaya gosudarstvennaya meditsinskaya akademiya; 2016. 85 p. (In Russ.)
- Alamarat Z, Hasbun R. Management of Acute Bacterial Meningitis in Children. Infect and Drug Resist. 2020;13:4077–4089. doi: 10.2147/IDR.S240162
- Allama A, Ammarb H, Radwanc A. Serum homocysteine level and eye involvement in Egyptian patients with Behçet’s disease. The Egyptian Rheumatologist. 2014;36(1):29–34. doi: 10.1016/j.ejr.2013.09.002
- Engelen-Lee JY, Brouwer MC, Aronica E, van de Beek D. Delayed cerebral thrombosis complicating pneumococcal meningitis: An autopsy study. Ann Intensive Care. 2018;8(1):20. doi: 10.1186/s13613-018-0368-8
- Jillella DV, Wisco DR. Infectious causes of stroke. Curr Opin Infect Dis. 2019;32(3):285–292. doi: 10.1097/QCO.0000000000000547
- Mook-Kanamori BB, Geldhoff M, van der Poll T, van de Beek D. Pathogenesis and pathophysiology of pneumococcal meningitis. Clin Microbiol Rev. 2011;24(3): 557–591. doi: 10.1128/CMR.00008-11
- Poil AR, Shaukat A, Case KD. Pneumococcal Meningitis Complicated by Cerebral Vasculitis, Abscess, Hydrocephalus, and Hearing. Loss Rep Infect Dis. 2018;2018:8528023. doi: 10.1155/2018/8528023
- Ramineni KK, Bandaru O, Jakkani RK. Early cerebral vasculitic infarcts in acute pneumococcal meningitis. Curr J Neurol. 2020;19(1):45–46. doi: 10.18502/ijnl.v19i1.3293
- Rohlwink UK, Figaji AA. Biomarkers of Brain Injury in Cerebral Infections. Clin Chem. 2014;60(6):823–834. doi: 10.1373/clinchem.2013.212472
- Siegel JL. Acute bacterial meningitis and stroke. Neurol Neurochir Pol. 2019;53(4):242–250. doi: 10.5603/PJNNS.a2019.0032
- Smitka M, Bruck N, Engellandt K, et al. Clinical perspective on Primary Angiitis of the Central Nervous System in Childhood (cPACNS). Front Pediatr. 2020;8:281. doi: 10.3389/fped.2020.00281
- Yau B, Hunt NH, Mitchell AJ, Too LK. Blood–Brain Barrier Pathology and CNS Outcomes in Streptococcus pneumoniae Meningitis. Int J Mol Sci. 2018;19(11):3555. doi: 10.3390/ijms19113555
Supplementary files






