Лучевая диагностика в комплексной оценке особенностей нейропластичности у недоношенных новорожденных с экстремально низкой массой тела
- Авторы: Мелашенко Т.В.1, Тащилкин А.И.1, Наркевич Т.А.1, Поздняков А.В.1, Красногорская О.Л.1, Насыров Р.А.1, Иванов Д.О.1, Львов В.С.1
-
Учреждения:
- ФГБОУ ВО «Санкт-Петербургский государственный педиатрический медицинский университет» Минздрава России
- Выпуск: Том 9, № 6 (2018)
- Страницы: 21-28
- Раздел: Статьи
- URL: https://journals.eco-vector.com/pediatr/article/view/11220
- DOI: https://doi.org/10.17816/PED9621-28
- ID: 11220
Цитировать
Аннотация
Актуальность. Оценка церебральной зрелости, паттернов нейропластичности наряду с выявлением структурной патологии головного мозга у недоношенных новорожденных позволяет в той или иной степени определить прогноз развития неврологических нарушений у этих детей. С использованием методов нейровизуализации появилась возможность прижизненной диагностики паттернов церебральной зрелости и нейропластичности у новорожденных. Система оценки церебральной зрелости у недоношенных новорожденных по результатам МРТ включает определение степени регрессии герминального матрикса. Регрессия неповрежденного герминального матрикса предполагает паттерн нейропластичности в условиях завершения миграции нейронов.
Методы и материал. Выполнено исследование паттерна нейропластичности — регрессии герминального матрикса у недоношенных новорожденных с экстремально низкой массой тела (ЭНМТ) при рождении методами краниальной сонографии (КСГ) и магнитно-резонансной томографии (МРТ). Был обследован 21 недоношенный новорожденный с ЭНМТ без нейровизуализационных признаков повреждения герминального матрикса, в первую очередь кровоизлияния из герминального матрикса. Проведено измерение герминального матрикса передних отделов боковых желудочков головного мозга у исследуемых детей методом КСГ. Выполнено МРТ головного мозга 15 недоношенным детям группы исследования в постконцептуальном возрасте (ПКВ) 27–38 недель с использованием традиционных импульсных последовательностей и дополнительно DWI — диффузионно-взвешенных изображений в стандартных проекциях. Также выполнено патоморфологическое исследование герминального матрикса в области передних отделов боковых желудочков у трех умерших детей из группы исследования.
Результаты и выводы. Выявлена регрессия герминального матрикса у недоношенных новорожденных с полной редукцией к 30 неделям ПКВ по результатам КСГ. Применение DWI ВИ позволило выявить герминальный матрикс у недоношенных детей до 34 недель ПКВ, тогда как при помощи других импульсных последовательностей удается визуализировать герминальный матрикс до 32 недель ПКВ.
Результаты патоморфологического исследования герминального матрикса. Установлено уменьшение толщины герминального матрикса боковых желудочков с увеличением постконцептуального возраста умерших детей.
Полный текст
Актуальность
Под нейропластичностью понимают непрерывный процесс адаптации головного мозга к новым функциональным условиям при естественном или патологическом повреждении [1]. Наибольшая активность нейропластичности наблюдается на ранних этапах онтогенеза, особенно у недоношенных новорожденных. Нейропластичность регулирует состояния репарации и реорганизации головного мозга у недоношенных новорожденных, имеющих высокий риск повреждения головного мозга в результате воздействия так называемых extra uteraфакторов и эндогенных факторов церебральной незрелости. В условиях патологии нейропластичность обеспечивает компенсаторную (восстановительную) функцию мозга. Нарушение регуляции нейропластичности у недоношенных новорожденных может привести к нарушению или задержке церебральной зрелости, что определяет дальнейшее психоневрологическое развитие ребенка [6].
Методы нейровизуализации позволяют диагностировать структурные церебральные повреждения, а также паттерны церебральной зрелости и нейропластичности в неонатальном периоде [7]. На современном этапе в диагностике патологии головного мозга у новорожденных применяют краниальную сонографию (КСГ) и магнитно-резонансную томографию (МРТ) [14].
Система оценки церебральной зрелости у недоношенных новорожденных по результатам МРТ включает определение степени регрессии субэпендимального герминального матрикса боковых желудочков [3]. Регрессия субэпендимального герминального матрикса — уникальная характеристика поступательного церебрального развития у плодов — недоношенных детей, характеризующаяся клеточной инволюцией области головного мозга с наиболее активной клеточной организацией коры больших полушарий в онтогенезе. Регрессия герминального матрикса начинается с 25 недель гестации. По результатам патоморфологических исследований головного мозга у плодов — новорожденных полная регрессия наблюдается к 36 неделям гестации при физиологическом развитии головного мозга. Регрессия герминального матрикса означает окончание нейрональной миграции, что в свою очередь предполагает паттерн нейропластичности в условиях завершения основной волны миграции нейронов. Нарушение регрессии субэпендимального герминального матрикса у незрелых недоношенных новорожденных может свидетельствовать о нарушении физиологического церебрального развития [15].
Методом КСГ субэпендимальный герминальный матрикс может определяться до 29 недель включительно в виде гиперэхогенных участков в переднем отделе бокового желудочка (в проекции отверстия Монро) [7, 8, 13]. Герминальный матрикс на МРТ визуализируется до 30 недель гестации при выполнении спин-эховых последовательностей Т1 и Т2 в виде гипоинтенсивного сигнала на Т2 ВИ и гиперинтенсивного сигнала Т1 ВИ в области каудальной вырезки вдоль стенки бокового желудочка [10].
Цель — сопоставить результаты методов нейровизуализации, широко используемых в неонатологии, в оценке паттерна нейропластичности (регрессии герминального матрикса) у недоношенных новорожденных с экстремально низкой массой тела (ЭНМТ) in vivoс результатами морфологического исследования герминального матрикса у умерших недоношенных детей с ЭНМТ.
Материал исследования
В исследование включен 21 недоношенный новорожденный с ЭНМТ (средняя масса тела при рождении — 849 ± 249 граммов), возраст гестации — 25–29 недель (средний гестационный возраст рождения — 26,85 ± 3,25 недели).
У трех умерших недоношенных новорожденных из группы обследования без прижизненных и посмертных признаков внутрижелудочковых кровоизлияний из герминального матрикса выполнено патоморфологическое исследование головного мозга. Постконцептуальный возраст (ПКВ) умерших детей на момент взятия патоморфологического материала составлял 32–38 недель. Двоим из трех умерших детей прижизненно выполнена МРТ головного мозга, у всех проведена КСГ по нижеизложенному дизайну исследования.
Критерии исключения из группы исследования: нейровизуализационные признаки кровоизлияния в герминальный матрикс, аномалии развития головного мозга, хромосомные заболевания, нейроинфекции.
Методы исследования
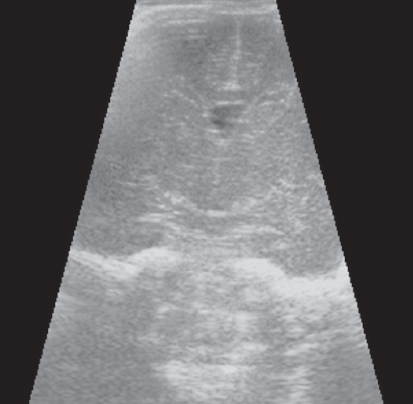
Краниальная сонография выполнена всем новорожденным (4 недоношенным новорожденным 25 недель гестации, 5 недоношенным 26 недель гестации, 3 недоношенным новорожденным 27, 28, 29 недель гестации) по общепринятой методике через большой родничок с использованием микроконвексного и линейного датчиков (5–7 Гц), аппарат Philips HD11 [14]. Методом КСГ проведено измерение визуализируемого гериминального матрикса в передних отделах боковых желудочков (проекция отверстия Монро), определяли толщину герминального матрикса, единицы измерения представлены в миллиметрах (мм) системы СИ (рис. 1).
Рис. 1. Краниальная сонография недоношенного новорожденного, 28 недель гестации, фронтальный скан. Стрелками указаны области визуализации герминального матрикса
Fig. 1. CUS image of preterm newborn, gestational age 28 wks., frontal scan. Arrows indicate the area of visualization of the germinal matrix
МРТ головного мозга (томограф фирмы Philips Ingenia 1.5 Тл) выполнена 15 недоношенным детям группы исследования с применением стандартных протоколов исследования головного мозга у новорожденных (программы 3D T1 ВИ, Т2 ВИ, Flair ВИ) и дополнительно — диффузионно-взвешенные изображения (ДВИ — DWI) в стандартных проекциях: коронарный, аксиальный и сагиттальный срезы; использовали головную радиочастотную катушку. Исследование выполнено без седации пациента, с мониторированием витальных функций [12].
Дизайн исследования (рис. 2). КСГ проведена всем детям группы исследования на 1, 2, 3, 5 и 7-й день жизни. Повторные КСГ имели целью исключить кровоизлияния из герминального матрикса. При первичной КСГ проведено измерение визуализируемого герминального матрикса в миллиметрах. МРТ головного мозга выполнена однократно 15 детям группы исследования в ПКВ 27–38 недель, из них девяти недоношенным детям МР-исследование выполнено в ПКВ 27–32 недели, двум недоношенным детям — в ПКВ 33–34 недели, четырем недоношенным — в ПКВ 35–38 недель. Двум детям проведено повторное исследование в ПКВ 38 недель.
Рис. 2. Дизайн исследования: 1 — 21 новорожденный в возрасте 25–29 недель гестации; 2 — результаты краниальной сонографии (n = 21) у новорожденного в возрасте 25–29 недель гестации; 3 — результаты МРТ у недоношенных детей в постконцептуальном возрасте 27–38 недель (n = 15)
Fig. 2. Study design: 1 – 21 preterm newborns with gestation ages 25-29 weeks; 2 – the findings of cranial ultrasound of 21 preterm newborns with gestation ages 25-29 weeks; 3 – the findings of preterm’s MRI (n = 15) with PCV ages 27-38 weeks
Патоморфологическое исследование. Забор фрагментов тканей головного мозга осуществляли в герминальном матриксе боковых желудочков в области передних рогов, задних рогов, на уровне отверстия Монро и лобной доли — таламо-каудальной вырезки. Использовали парафиновые срезы, окрашенные гематоксилином и эозином и тионином по методике Ниссля. Микроскопическое исследование проводили с помощью микроскопа ZEISS AXIO, морфометрическое исследование — с помощью сканирующего микроскопа Pannoramic компании 3DHISTECH с установленной программой Pannoramic Viewer.
Результаты исследования
По данным КСГ толщина герминального матрикса переднего отдела боковых желудочков изменялась обратно пропорционально гестационному возрасту недоношенного ребенка. Динамика регрессии герминального матрикса боковых желудочков по результатам КСГ у недоношенных новорожденных представлена в табл. 1.
Таблица 1 / Table 1
Оценка герминального матрикса боковых желудочков у недоношенных новорожденных по результатам краниальной сонографии
Evaluation of the germinal matrix in preterm newborns based on cranial ultrasound results
Гестационный возраст (недели) / Gestational age (weeks) | Значение величины герминального матрикса (мм) у новорожденных разного гестационного возраста / The value of the germinal matrix (mm) in newborns of different gestational ages | Среднее значение (М ± δ) / Mean (М ± δ) | ||||
1-й день жизни / 1st day of life | 2-й день жизни / 2nd day of life | 3-й день жизни / 3rd day of life | 5-й день жизни / 5th day of life | 7-й день жизни / 7th day of life | ||
25 | 2,2 | 2,4 | 2,6 | 2,2 | – | 2,36 ± 0,3 |
26 | 2,2 | 2,3 | 2,2 | 2,2 | 2,2 | 2,2 ± 0,1 |
27 | 1,9 | 1,8 | 2,0 | – | – | 1,93 ± 0,2 |
28 | 2,0 | 1,9 | 1,8 | – | – | 1,93 ± 0,2 |
29 | 1,8 | 1,7 | 1,6 | – | – | 1,7 ± 0,2 |
В ПКВ 30 недель герминальный матрикс методом КСГ не определялся. Рис. 3 демонстрирует ультразвуковую картину головного мозга с отсутствием визуализации герминального матрикса в просвете передних отделов боковых желудочков (недоношенный ребенок ПКВ 30 недель).
Рис. 3. Краниальная сонография недоношенного ребенка 30 недель ПКВ. Фронтальный скан. Герминальный матрикс в просветах передних отделов боковых желудочков не визуализируется
Fig. 3. CUS image of preterm newborn, gestational age 30 weeks, frontal scan. The germinal matrix is not visualized
Результаты МРТ-исследования представлены в табл. 2.
Как видно из таблицы, при выполнении МР-исследования в ПКВ 27–32 недели герминальный матрикс визуализировался у восьми недоношенных детей на ДВИ в виде усиления МР-сигнала вдоль боковых стенок боковых желудочков мозга, а также вдоль передних рогов над хвостатыми ядрами с обеих сторон (рис. 4). На Т2 ВИ герминальный матрикс достоверно выявлен у семи новорожденных (рис. 5). На Т1 ВИ герминальный матрикс достоверно выявлен у двух новорожденных (рис. 6). На последовательностях FLAIR герминальный матрикс не визуализировался.
Таблица 2 / Table 2
Оценка герминального матрикса у недоношенных детей по результатам МР-исследования
Evaluation of the germinal matrix in preterm newborns based on MR-images
Импульсные последовательности / Pulse sequences | ДВИ / DWI | T1 ВИ / T1-WI | Т2 ВИ / T2-WI | FLAIR / FLAIR |
ПКВ 27–32 недели (n = 9) / PCA 27–32 weeks (n = 9) | 8 (+) | 2 (+) | 7 (+) | Не определялось / Not determined |
ПКВ 33–34 недели (n = 2) / PCA 33–34 weeks (n = 2) | 2 (+) | Не определялось / Not determined | Не определялось / Not determined | Не определялось / Not determined |
ПКВ 35–38 недель (n = 6) PCA 35–38 weeks (n = 6) | 1 (±) | Не определялось / Not determined | Не определялось / Not determined | Не определялось / Not determined |
Примечание: + — признак выражен хорошо, ± — признак выражен недостаточно. ПКВ — постконцептуальный возраст. Note: + the sign is well expressed, ± sign is not enough expressed, PCA – postconceptual age. | ||||
Рис. 4. МРТ головного мозга недоношенного ребенка (ПКВ 28 недель), ДВИ, аксиальная проекция. Визуализируется гиперинтенсивный МР-сигнал от герминального матрикса в проекции наружных отделов боковых желудочков (отмечен стрелками)
Fig. 4. MRI of preterm newborn (PCA 28 wks.), DWI, axial plane. Hyperintensive MR-signal from the germinal matrix in the projection of the external parts of lateral ventricles (marked by arrows)
Рис. 5. МРТ головного мозга недоношенного ребенка (ПКВ 28 недель). Т2 ВИ, аксиальная проекция, стрелками выделены участки герминального матрикса, расположенного вдоль наружных стенок боковых желудочков, гипоинтенсивный МР-сигнал
Fig. 5. MRI of preterm newborn (PCA 28 weeks), Т2-WI, axial plane. Arrows mark the areas of the germinal matrix located along the external walls of the lateral ventricles (hypointense MR signal)
Рис. 6. МРТ головного мозга недоношенного ребенка (ПКВ 28 недель). Т1 ВИ, аксиальная проекция, герминальный матрикс визуализируется в передних отделах боковых желудочков (отмечен стрелкой)
Fig. 6. MRI of preterm newborn (PCA 30 weeks), Т1-WI, axial plane. The germinal matrix is visualized in the anterior parts of the lateral ventricles (marked by arrow)
У новорожденных, которым МРТ проводили с 33-й по 34-ю неделю ПКВ, герминальный матрикс визуализировался у двух пациентов на ДВИ в виде слабого повышения МР-сигнала вдоль боковых стенок боковых желудочков мозга (рис. 7). На остальных импульсных последовательностях герминальный матрикс не определялся.
Рис. 7. МРТ головного мозга недоношенного ребенка (ПКВ 34 недели). ДВИ, аксиальная проекция, герминальный матрикс визуализируется вдоль наружных стенок боковых желудочков (отмечен стрелками)
Fig. 7. MRI of preterm newborn (PCA 30 wks.), DWI, axial plane. The germinal matrix is visualized along the external walls of the lateral ventricles (marked by arrows)
При проведении МРТ недоношенным детям после 34 недели ПКВ герминальный матрикс визуализировался на ДВИ только у одного новорожденного в виде линейного слабоинтенсивного МР-сигнала, расположенного вдоль латеральных стенок боковых желудочков головного мозга. У остальных пациентов герминальный матрикс не визуализировался.
Двоим пациентам выполнено двукратное МР-исследование: при выполнении первого МР-исследования в ПКВ 27–32 недели герминальный матрикс визуализировался, при выполнении второго МР-исследования в ПКВ доношенного новорожденного герминальный матрикс не определялся.
Результаты патоморфологического исследования ткани головного мозга в области герминального матрикса боковых желудочков. Толщину герминального матрикса измеряли в передних отделах боковых желудочков мозга. Толщина герминального матрикса изменялась обратно пропорционально ПКВ умерших детей (табл. 3, рис. 8, 9). Необходимо подчеркнуть, что у двоих умерших недоношенных новорожденных, ПКВ которых достиг 36 недель, при микроскопическом исследовании материала передних отделов боковых желудочков герминальный матрикс сохранялся.
Таблица 3 / Table 3
Динамика изменения выраженности герминального матрикса у умерших недоношенных детей в зависимости от их постконцептуального возраста
Dynamics of changes in the size of the germinal matrix in deceased preterm newborns, depending on their postconceptual age
Пациент / Patient | ПКВ на момент забора материала (недели) / PCA at the time of collection of material (weeks) | Вес при рождении (граммы) / Birth weight (gr) | Толщина ГМ правого бокового желудочка (мкм) / The thickness of the germinal matrix of the right lateral ventricle (mkm) | Толщина ГМ левого бокового желудочка / The thickness of the germinal matrix of the left lateral ventricle (mkm) |
1 | 38 | 934 | 934,8 | 499,54 |
2 | 35–36 | 740 | 343,39 | 713,97 |
3 | 31–32 | 980 | 2377 | 820,7 |
Примечание. ПКВ — постконцептуальный возраст; ГМ — герминальный матрикс. Note. PCA – postconceptual age; GM – germinal matrix. | ||||
Рис. 8. Тонкий слой герминального матрикса у ребенка, ПКВ 37–38 недель (окраска гематоксилином и эозином, ×100)
Fig. 8. A thin layer of the germinal matrix in a child, PCA 37-38 weeks (hematoxylin-eosin stain, ×100)
Рис. 9. Широкий слой герминального матрикса у ребенка, ПКВ 31–32 недели (окраска гематоксилином и эозином, ×100)
Fig. 9. A wide layer of the germinal matrix in a child, PCA 31-32 weeks (hematoxylin-eosin stain, ×100)
Обсуждение и выводы
Исследование показало, что субэпендимальный герминальный матрикс боковых желудочков выявляется ультразвуковым методом у всех недоношенных новорожденных группы исследования до 29 недель гестации включительно (100 %). По данным K. Buch, герминальный матрикс визуализируется в виде гиперэхогенной структуры только у 13 % детей до 29 недель гестации [2]. Нами выявлена регрессивная динамика сонографической визуализации герминального матрикса у всех недоношенных новорожденных с ЭНМТ с увеличением гестационного возраста. Значительное сокращение размеров герминального матрикса по результатам КСГ наблюдается у недоношенных новорожденных с ЭНМТ к 29 неделям гестации.
В отличие от сонографии методом МРТ герминальный матрикс визуализируется у недоношенных детей с ЭНМТ до 32–34 недель ПКВ. При этом использование традиционных импульсных последовательностей, таких как Т1 и Т2, позволяет визуализировать герминальный матрикс у недоношенных новорожденных до 32 недель ПКВ (см. табл. 2). Это соответствует данным, полученным другими исследователями [11].
В нашем исследовании герминальный матрикс визуализировался на Т1-импульсной последовательности только у небольшого числа детей (у двух детей) в возрастной группе до 32 недель ПКВ в виде гиперинтенсивного сигнала от нижней стенки переднего отдела боковых желудочков. На Т2 ВИ герминальный матрикс выявляется у большего числа детей (у 7 из 9 детей) в возрастной группе 27–32 недели ПКВ, изменение интенсивности сигнала от герминального матрикса представлено гипоинтенсивным МР-сигналом от передних отделов и наружных стенок тел боковых желудочков. Использовать Т2-импульсную последовательность в оценке церебральной зрелости у недоношенных детей рекомендует S. Counsell [4]. Он отмечает снижение интенсивности Т2-сигнала от латеральных стенок и передних отделов боковых желудочков у недоношенных детей в ПКВ до 32 недель. Как полагает S.J. Counsell, сохранение гипоинтенсивного Т2-сигнала от этих структур у недоношенных детей старше 32 недель ПКВ может свидетельствовать о нарушении глиальной миграции [5].
На ДВИ субэпендимальный герминальный матрикс выявляется у подавляющего числа недоношенных детей в возрастной группе 27–32 недели ПКВ, у двух недоношенных детей — в возрастной группе 33–34 недели ПКВ. Герминальный матрикс на ДВИ-последовательности визуализируется в виде локального гиперинтенсивного сигнала в области передних отделов боковых желудочков и гиперинтенсивного линейного сигнала в области наружного края боковых желудочков (частично повторяющего контур наружной стенки желудочка). Чувствительность ДВИ в визуализации герминального матрикса превышает другие импульсные последовательности МР и позволяет получить более полную визуализационную картину регрессии субэпендимального герминального матрикса в вентрикулярных зонах головного мозга недоношенных детей.
Результаты патоморфологического исследования показали регрессию герминального матрикса в боковых желудочках мозга с увеличением ПКВ, что соответствует данным других авторов [9, 10]. Субэпендимальный герминальный матрикс был наиболее выражен в передних отделах боковых желудочков. Отмечалась задержка полной редукции герминального матрикса у двух погибших детей, родившихся с ЭНМТ, в ПКВ 36 недель и старше, что может свидетельствовать о нарушении нейропластичности и задержки церебрального развития у этих новорожденных [10]. При физиологическом развитии головного мозга у недоношенных детей, достигших ПКВ 36 недель, герминальный матрикс при гистологическом исследовании не определяется [13].
Сравнительный анализ результатов выполненной прижизненно МРТ головного мозга и результатов патоморфологического исследования показал, что у всех умерших детей герминальный матрикс определялся в передних отделах боковых желудочков при микроскопическом исследовании препаратов головного мозга, а также методом магнитного резонанса индентичной локализации. У первого умершего ребенка (пациент 1 в табл. 3) (МРТ выполнена в ПКВ 30 недель) герминальный матрикс визуализировался на ДВИ и Т2 ВИ в области проекции Монроева отверстия. У пациента 2 (см. табл. 3) (МРТ выполнена на 27-й неделе ПКВ) герминальный матрикс визуализировался в области отверстия Монро и вдоль наружных стенок боковых желудочков в виде изменения МР-сигнала на ДВИ и Т2 ВИ.
Таким образом, исследование субэпендимального герминального матрикса в оценке нейропластичности у недоношенных детей с ЭНМТ методами лучевой диагностики и патоморфологических особенностей герминального матрикса позволяет сделать следующие выводы.
Подтверждается возможность использования ультразвуковых методов, а именно КСГ, в оценке паттернов нейропластичности/регрессии герминального матрикса у недоношенных новорожденных. Герминальный матрикс КСГ визуализируется у всех недоношенных новорожденных до 29 недель гестации. Наблюдается регрессия герминального матрикса с максимальным снижением визуализации к 29 неделям гестации.
Возможности МРТ в оценке регрессии герминального матрикса у недоношенных детей расширяются при выполнении ДВИ-последовательности. Использование данной импульсной последовательности позволяет выявлять герминальный матрикс у недоношенных новорожденных до 32 недель ПКВ включительно и оценивать состояние нейропластичности в условиях in vivo.
Результаты патоморфологического исследования материала боковых желудочков подтверждают регрессию герминального матрикса с увеличением ПКВ. Отсутствие редукции герминального матрикса боковых желудочков головного мозга, наблюдаемое у двух погибших недоношенных детей в ПКВ 36 недель, может быть обусловлено нарушением нейропластичности.
Об авторах
Татьяна Владимировна Мелашенко
ФГБОУ ВО «Санкт-Петербургский государственный педиатрический медицинский университет» Минздрава России
Автор, ответственный за переписку.
Email: Radiology@mail.ru
канд. мед. наук, невролог отделения реанимации и интенсивной терапии новорожденных
Россия, Санкт-ПетербургАлексей Иванович Тащилкин
ФГБОУ ВО «Санкт-Петербургский государственный педиатрический медицинский университет» Минздрава России
Email: Radiology@mail.ru
ассистент кафедры медицинской биофизики, врач-рентгенолог отделения лучевой диагностики
Россия, Санкт-ПетербургТатьяна Александровна Наркевич
ФГБОУ ВО «Санкт-Петербургский государственный педиатрический медицинский университет» Минздрава России
Email: Radiology@mail.ru
ассистент кафедры патологической анатомии с курсом судебной медицины
Россия, Санкт-ПетербургАлександр Владимирович Поздняков
ФГБОУ ВО «Санкт-Петербургский государственный педиатрический медицинский университет» Минздрава России
Email: Radiology@mail.ru
д-р мед. наук, профессор, заведующий отделением лучевой диагностики, заведующий кафедрой медицинской биофизики
Россия, Санкт-ПетербургОльга Леонидовна Красногорская
ФГБОУ ВО «Санкт-Петербургский государственный педиатрический медицинский университет» Минздрава России
Email: Radiology@mail.ru
канд. мед. наук, доцент кафедры патологической анатомии с курсом судебной медицины
Россия, Санкт-ПетербургРуслан Абдуллаевич Насыров
ФГБОУ ВО «Санкт-Петербургский государственный педиатрический медицинский университет» Минздрава России
Email: Radiology@mail.ru
д-р мед. наук, профессор, заведующий кафедрой патологической анатомии с курсом судебной медицины
Россия, Санкт-ПетербургДмитрий Олегович Иванов
ФГБОУ ВО «Санкт-Петербургский государственный педиатрический медицинский университет» Минздрава России
Email: Radiology@mail.ru
д-р мед. наук, профессор, ректор
Россия, Санкт-ПетербургВиктор Сергеевич Львов
ФГБОУ ВО «Санкт-Петербургский государственный педиатрический медицинский университет» Минздрава России
Email: viktorlvov@list.ru
аспирант кафедры медицинской биофизики
Россия, Санкт-ПетербургСписок литературы
- Гусев У.И., Камчатнов П.Р. Пластичность нервной системы // Журнал неврологии и психиатрии им. С.С. Корсакова. - 2004. - № 3. - С. 73-79. [Gusev UI, Kamchatnov PR. Plastichnost’ nervnoj sistemy. Zhurnal nevrologii i psihiatrii im. S.S. Korsakova. 2004;(3):73-79. (In Russ.)]
- Buch K, Podhaizer D, Tsai A, et al. Residual Germinal Matrix Tissue Detected on High- Resolution Ultrasound in Very Premature Neonates. In: Proceedings of the EPOS Congress: ECR2015; 4-8 Mar 2015. Vienna; 2015.
- Childs AM, Ramenghi LA, Cornette L, et al. Cerebral maturation in premature infants: quantitative assessment using MR imaging. AJNR Am J Neuroradiol. 2001;22(8):1577-1582.
- Counsell SJ, Kennea NL, Herlihy AH, et al. T2 relaxation values in the developing preterm brain. AJNR Am J Neuroradiol. 2003;24(8):1654-1660.
- Counsell SJ. Magnetic resonance imaging of preterm brain injury. Arch Dis Child Fetal Neonatal Ed. 2003;88(4):269F-274. doi: 10.1136/fn.88.4.F269.
- Deipolyi AR, Mukherjee P, Gill K, et al. Comparing microstructural and macrostructural development of the cerebral cortex in premature newborns: diffusion tensor imaging versus cortical gyration. Neuroimage. 2005;27(3):579-86. doi: 10.1016/j.neuroimage.2005.04.027.
- El-Dib M, Massaro AN, Bulas D, Aly H. Neuroimaging and neurodevelopmental outcome of premature infants. Am J Perinatol. 2010;27(10):803-818. doi: 10.1055/s-0030-1254550.
- Helwich E, Bekiesinska-Figatowska M, Bokiniec R. Recommendations regarding imaging of the central nervous system in fetuses and neonates. J Ultrason. 2014;14(57):203-216. doi: 10.15557/JoU.2014.0020.
- Herculano-Houzel S. Not all brains are made the same: new views on brain scaling in evolution. Brain Behav Evol. 2011;78(1):22-36. doi: 10.1159/000327318.
- Lewitus E, Kelava I, Huttner WB. Conical expansion of the outer subventricular zone and the role of neocortical folding in evolution and development. Front Hum Neurosci. 2013;7:424. doi: 10.3389/fnhum.2013.00424.
- Matsumoto JA, Gaskin CM, Kreitel KO, et al. MRI atlas Pediatric Brain Maturation and Anatomy. Oxford: Oxford University Press; 2015.
- Prager A, Roychowdhury S. Magnetic resonance imaging of the neonatal brain. Indian J Pediatr. 2007;74(2):173-84. doi: 10.1007/s12098-007-0012-3.
- Shi Y, Kirwan P, Smith J, et al. Human cerebral cortex development from pluripotent stem cells to functional excitatory synapses. Nat Neurosci. 2012;15(3):477-86, S471. doi: 10.1038/nn.3041.
- Vainak N, Calin AM, Fufezan O, et al. Neonatal brain ultrasound - a practical guide for the young Radiologist. In: Proceedings of the EPOS Congress: ECR2014; 6-10 Mar 2014, Vienna. doi: 10.1594/ecr2014/C-0527.
- Intracranial hemorrhage: germinal matrix-intraventricular hemorrhage. In: Neurology of the Newborn. 5th ed. Ed. by J.J. Volpe. Philadelphia: Saunders Elsevier; 2008. P. 517-528.
Дополнительные файлы













