Expression of bovine leukemia virus antigen in breast cancer tissue
- Authors: Nasyrov R.A.1, Shramko A.D.1
-
Affiliations:
- St. Petersburg State Pediatric Medical University, Ministry of Healthcare of the Russian Federation
- Issue: Vol 10, No 3 (2019)
- Pages: 71-74
- Section: Original studies
- URL: https://journals.eco-vector.com/pediatr/article/view/15684
- DOI: https://doi.org/10.17816/PED10371-74
- ID: 15684
Cite item
Full Text
Abstract
Breast cancer is a serious medical and social problem for most developed countries of the world. The search for new prognostic factors and targets for targeted therapy currently continues to be a pressing issue, as there are forms of breast cancer with uncertain targets for any type of therapy. The purpose of this work is to conduct an immunohistochemical study to detect and evaluate the expression of the antigen of the cow leukemia virus in the tissue of various types of breast cancer.
Method. 100 cases of breast cancer were investigated, divided into subgroups, the studied parameters: steroid hormone receptors, HER2 / neu, VEGF, BLV expression, molecular genetic research on BRCA1/BRCA2 mutations.
Results. In the group of triple negative breast cancer, 4 cases were detected expressing a cow leukosis virus antigen. Expression was represented by grains and clumps in the cytoplasm and on the surface of the tumor cell membrane, the wall of microvessels. Also in these cases, increased expression of VEGF was detected.
Conclusion. The results indicate that expression of the BLV antigen was observed only in cases of poorly differentiated triple negative breast cancer. It is also noteworthy that the same type of BRCA1 gene mutation (5382insC) and increased expression of vascular endothelial growth factor were detected in these tumors. The authors first used the immunohistochemical method for detecting the antigen of the BLV virus, which made it possible to reliably confirm its presence in breast tumors with similar molecular genetic and immunohistochemical profiles.
Full Text
АКТУАЛЬНОСТЬ ИССЛЕДОВАНИЯ
На сегодняшний день рак молочной железы (РМЖ) — наиболее распространенное среди женского населения России и второе по частоте среди всей популяции онкологическое заболевание, уступающее лишь раку легкого [2, 3]. Одновременно РМЖ является серьезной медицинской и социальной проблемой для большинства развитых стран мира [2]. Применение современных методов патоморфологической диагностики позволяет находить новые варианты терапии. Выделение отдельных иммуногистохимических подтипов позволило строго регламентировать, а также индивидуализировать лечение каждого конкретного случая РМЖ [4–6].
Поиск новых факторов прогноза и мишеней для таргетной терапии на данный момент остается актуальным вопросом, так как существуют формы РМЖ (тройной негативный рак) с неопределенными мишенями для какого-либо вида терапии [3, 5, 9].
В 2017 г. была описана экспрессия вируса лейкоза коров в биопсийном материале РМЖ, что позволяет предположить связь рака молочной железы и данного вируса [7]. Вирус лейкоза крупного рогатого скота (BLV) представляет собой ретровирус, который вызывает энзоотический лейкоз. Он тесно связан с человеческим T-лимфотропным вирусом типа 1 (HTLV-I). BLV может интегрироваться в геномную ДНК В-лимфоцитов в качестве промежуточного звена ДНК (провируса) или существовать в виде неинтегрированных круговых или линейных форм. Кроме структурных и ферментативных генов, необходимых для производства вирионов, BLV содержит онкоген, кодирующий белок под названием Tax, и экспрессирует микро-РНК с неизвестной функцией [7, 10].
Учитывая патогенность вируса для человека, изучение морфогенеза инфекционного процесса, вызванного активацией BLV, позволит расширить наше представление о факторах прогноза различных форм РМЖ. Данный вирус может рассматриваться и как мишень для разработки инновационной таргетной терапии в случаях опухолевого процесса.
Цель настоящей работы — провести иммуногистохимическое исследование для выявления и оценки экспрессии антигена вируса лейкоза коров в ткани различных типов РМЖ.
МАТЕРИАЛ И МЕТОДЫ ИССЛЕДОВАНИЯ
В процессе работы проведено обследование пациенток с подтвержденным диагнозом РМЖ, зарегистрированных на территории Ленинградской области в 2010–2017 гг., получавших лечение в ГБУЗ «Ленинградский областной онкологический диспансер».
Было отобрано 100 случаев РМЖ после оперативных вмешательств женщины от 29 до 69 лет были разделенны на группы по данным иммуногистохимического исследования. Для формирования указанных групп (иммуногистохимических фенотипов) имели значение следующие показатели: экспрессия рецепторов стероидных гормонов эстрогена и прогестерона; экспрессия эпидермального мембранного фактора роста семейства HER2/neu; дополнительно рассматривали такой фактор, как показатель скорости клеточной пролиферации Ki-67.
Для исследования экспрессии антигена BLV в ткани опухоли были выбраны группы по 25 случаев: группа 1 — люминальный рак А (ЭР+, ПР+, Her2/neu–); группа 2 — люминальный рак B (ЭР+, ПР+, Her2/neu+); группа 3 — HER2/neu позитивный рак (ЭР–, ПР–, Her2/neu–) и группа 4 — тройной негативный РМЖ (ЭР–, ПР–, Her2/neu–).
При иммуногистохимическом исследовании использованы моноклональные антитела к антигену вируса лейкоза коров (anti-BLV), а также SantaCruz, в разведении 1 : 100, Использованы антитела к фактору роста эндотелия сосудов (anti-VEGF), производство SantaCruz, в разведении 1 100. Была применена количественная оценка иммуногистохимической окраски.
Молекулярно-генетическое типирование проводили для выявления мутаций в генах:
- BRCA1 (5382insC или с.5266insC);
- BRCA1 (4153delA или с.4034delA);
- BRCA1 (3819delGTAAA или с.3700delGTAAA);
- BRCA1 (185delAG или с.68-69delAG);
- BRCA1 (3875delGTCT или с.3756delGTCT);
- BRCA1 (T300G или с.181T>G);
- BRCA1 (2080delA или с.1961delA);
- BRCA1 (6174delT или5946delT).
Иммуногистохимические исследования на выявление рецепторов стероидных гормонов (эстроген и прогестерон), рецепторов к эпидермальному фактору роста HER2/neu, а также молекулярно-генетические исследования были выполнены на базе ГБУЗ «Ленинградский областной онкологический диспансер». Выявление экспрессии вируса BLV и иммуногистохимическое исследование на фактор роста эндотелия сосудов (VEGF) проводили на базе кафедры патологической анатомии с курсом судебной медицины Санкт-Петербургского государственного педиатрического медицинского университета.
РЕЗУЛЬТАТЫ
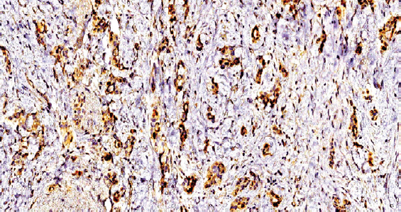
При иммуногистохимическом исследовании материала обнаружена достаточно распространенная экспрессия anti-BLV в различных структурах ткани РМЖ (рис. 1). Продукт реакции определялся в виде зерен и глыбок на поверхности клеточной мембраны, с преобладанием локализации в цитоплазме опухолевых клеток. Выявлена выраженная экспрессия данного вируса на стенке микрососудов (рис. 2). Обратило на себя внимание, что из четырех исследуемых групп экспрессия BLV наблюдалась только в случаях тройного негативного РМЖ (табл. 1).
Рис. 1. Экспрессия антигена вируса лейкоза коров в ткани рака молочной железы, увеличение в 200 раз; иммуногистохимическая окраска
Fig. 1. Expression of cow leukosis virus antigen in breast cancer tissue, zoom in 200; immunohistochemical staining
Рис. 2. Рак молочной железы. Экспрессия антигена вируса лейкоза коров в микрососудах и опухолевых клетках, увеличение в 600 раз; иммуногистохимическая окраска
Fig. 2. Expression of cow leukosis virus antigen in breast cancer tissue, zoom in 600; immunohistochemical staining
Таблица 1 / Table 1
Результаты иммуногистохимического исследования экспрессии вируса лейкоза коров в тканях различных типов рака молочной железы
The results of an immunohistochemical study of the expression of leukemia virus in cows in the tissues of various types of breast cancer
Тип опухоли / | Окрашено / | Обнаружена экспрессия BLV / |
Люминальный А / Luminal A | 25 | 0 |
Люминальный B / Luminal B | 25 | 0 |
Her2/neu позитивный / HER2/neu positive | 25 | 0 |
Тройной негативный рак / Triple negative cancer | 25 | 4 |
Опухолевые клетки, содержащие anti-BLV, выявлялись как вблизи так и на отдалении от сосудов микроциркуляторного русла. Можно было также наблюдать, что в опухолях, экспрессирующих anti-BLV, большее количество микрососудов, чем в срезах, с отрицательным результатом в этой же группе. Оценка этих препаратов при окраске гематоксилином и эозином показала низкодифференцированную аденокарциному молочной железы со значительной утратой тканевой органоспецифичности, преобладанием стромального компонента, полиморфными гиперхромными ядрами, большим количеством полнокровных микрососудов и высокой митотической активностью опухолевых клеток.
По данным молекулярно-генетического типирования в опухолях был обнаружен один и тот же тип мутации гена BRCA1 (табл. 2).
Таблица 2 / Table 2
Результаты иммуногистохимического исследования и молекулярно-генетического типирования
The results of immunohistochemical studies and molecular genetic typing
Случай / Case | Экспрессия BLV / Expression BLV | Мутация / Mutation | Экспрессия VEGF / Expression VEGF |
1 | + | BRCA1 (5382insC) | 2+ |
2 | + | BRCA1 (5382insC) | 2+ |
3 | + | BRCA1 (5382insC) | 2+ |
4 | + | BRCA1 (5382insC) | 3+ |
ОБСУЖДЕНИЕ
Полученные результаты свидетельствуют о том, что экспрессия anti-BLV наблюдалась только в случаях низкодифференцированного тройного негативного РМЖ. Как известно, данный тип опухоли является наименее благоприятным прогностическим вариантом, а также не имеет мишеней для таргетной терапии, гормонотерапии и плохо реагирует на классическую химиотерапию [1, 8, 9]. Заслуживает внимания также тот факт, что в этих опухолях были обнаружены один и тот же тип мутации гена BRCA1 (5382insC) и повышенная экспрессия VEGF по сравнению со стандартной вариативностью экспрессии данного фактора в различных случаях РМЖ. Представленные данные позволяют говорить о целесообразности дальнейших исследований с целью конкретизации роли вируса лейкоза коров в канцерогенезе РМЖ, а также подтверждения его связи с остальными иммуногистохимическими и молекулярно-генетическими факторами.
Авторы впервые в мире использовали иммуногистохимический метод детекции антигена вируса BLV, который позволил достоверно подтвердить его присутствие в опухолях молочной железы со схожими молекулярно-генетическими и иммуногистохимическими профилями. Выявленная экспрессия антигена вируса на стенке микрососудов представляет значимый факт для оценки понимания взаимосвязи развития РМЖ и вируса лейкоза коров.
ВЫВОДЫ
- При иммуногистохимическом исследовании в 4 из 25 случаев тройного негативного РМЖ обнаружена экспрессия anti-BLV.
- В опухолях, экспрессирующих BLV, были обнаружены мутация гена BRCA1 (5382insC) и повышенная экспрессия VEGF.
- Впервые выявлена экспрессия anti-BLV на стенке микрососудов опухоли.
About the authors
Ruslan A. Nasyrov
St. Petersburg State Pediatric Medical University, Ministry of Healthcare of the Russian Federation
Author for correspondence.
Email: rrmd99@mail.ru
MD, PhD, Dr Med Sci, Professor, Head, Department of Pathological Anatomy with a Course of Forensic Medicine
Russian Federation, Saint PetersburgAleksey D. Shramko
St. Petersburg State Pediatric Medical University, Ministry of Healthcare of the Russian Federation
Email: mdshramko@yandex.ru
Postgraduate Student, Department of Pathological Anatomy with a Course of Forensic Medicine
Russian Federation, Saint PetersburgReferences
- Иванцов А.О., Насыров Р.А., Имянитов Е.Н., Соколенко А.П. Морфологические особенности BRCA1-ассоциированных опухолей // Злокачественные опухоли. – 2018. – Т. 8. – № 3s1. – C. 90–95. [Ivantsov AO, Nasyrov RA, Imyanitov EN, Sokolenko AP. Morfologicheskie osobennosti BRCA1-assotsiirovannykh opukholej. Malignant Tumours. 2018;8(3s1):90-95. (In Russ.)]. https://doi.org/10. 18027/2224-5057-2018-8-3s1-90-95.
- Кулигина Е.Ш. Эпидемиологические и молекулярные аспекты рака молочной железы // Практическая онкология. – 2010. – Т. 11. – № 4. – C. 203–216. [Kuligina ESh. Epidemiologicheskie i molekulyarnye aspekty raka molochnoj zhelezy. Prakticheskaia onkologiia. 2010;11(4):203-216. (In Russ.)]
- Рожкова Н.И., Каприн А.Д., Боженко В.К. Маммология: национальное руководство / Под ред. А.Д. Каприна, Н.И. Рожковой. – 2-е изд., перераб. и доп. – М.: ГЭОТАР-Медиа, 2016. – 491 с. [Rozhkova NI, Kaprin AD, Bozhenko VK. Mammologiya: natsional’noe rukovodstvo. Ed. by A.D. Kaprin, N.I. Rozhkova. 2nd ed. revised and updated. Moscow: GEOTAR-Media; 2016. 491 p. (In Russ.)]
- Артамонова Е.В., и др. Руководство по химиотерапии опухолевых заболеваний / Под ред. Н.И. Переводчиковой. – 3-е изд., доп. и перераб. – М.: Практическая медицина, 2011. – 511 с. [Artamonova E.V., et al. Rukovodstvo po khimioterapii opukholevykh zabolevanij. Ed. by N.I. Perevodchikova. 3rd ed., revised and updated. Moscow: Prakticheskaya meditsina; 2011. 511 p. (In Russ.)]
- Семиглазов В.Ф. Современные подходы к гормонотерапии рака молочной железы как отражение патогенеза заболевания // Вопросы онкологии. – 2001. – Т. 47. – № 2. – C. 195–199. [Semiglazov VF. Sovremennye podkhody k gormonoterapii raka molochnoj zhelezy kak otrazhenie patogeneza zabolevaniya. Problems in oncology. 2001;47(2):195-199. (In Russ.)]
- Allred DC, Harvey JM, Berardo M, Clark GM. Prognostic and predictive factors in breast cancer by immunohistichemical analysis. Mod Pathol. 1998;11(2):
- -168.
- Buehring GC, Shen HM, Jensen HM, et al. Exposure to bovine leukemia virus is associated with breast cancer: a case-control study. PLoS One. 2015;10(9):e0134304. https://doi.org/10. 1371/journal.pone.0134304.
- Duncan JA, Reeves JR, Cooke TG. BRCA1 and BRCA2 proteins: roles in health and disease. Mol Pathol. 1998;51(5):
- -247. https://doi.org/10. 1136/mp.51. 5. 237.
- Carey LA, Dees EC, Sawyer L, et al. The triple negative paradox: primary tumor chemosensitivity of breast cancer subtypes. Clin Cancer Res. 2007;13(8):2329-2334. https://doi.org/10. 1158/1078-0432. CCR-06-1109.
- Reyes RA, Cockerell GL. Unintegrated bovine leukemia virus DNA: Association with viral expression and disease. J Virol. 1996;70(8):4961-4965.
Supplementary files






