Влияние неалкогольной жировой болезни печени на репродуктивную функцию в эксперименте
- Авторы: Брус Т.В.1, Калинина А.А.1, Баннова А.В.2, Кораблев Р.В.1, Брус Ю.С.1
-
Учреждения:
- Санкт-Петербургский государственный педиатрический медицинский университет
- Ордена Трудового Красного Знамени Медицинский институт им. С.И. Георгиевского, Крымский федеральный университет им. В.И. Вернадского
- Выпуск: Том 15, № 1 (2024)
- Страницы: 37-44
- Раздел: Оригинальные статьи
- URL: https://journals.eco-vector.com/pediatr/article/view/634843
- DOI: https://doi.org/10.17816/PED15137-44
- ID: 634843
Цитировать
Аннотация
Актуальность. В настоящее время внимание специалистов привлекает взаимосвязь неалкогольной жировой болезни печени и развитие репродуктивных нарушений как у мужчин, так и у женщин. Для лучшего понимания этиологии этих состояний и механизмов патогенеза разрабатываются экспериментальные модели. Модель с применением гиперкалорийной диеты, содержащей повышенное количество углеводов, представлена в данном исследовании.
Цель — изучить влияние неалкогольной жировой болезни печени на репродуктивную функцию самок крыс линии Wistar.
Материалы и методы. Исследование было проведено на 30 крысах-самках линии Wistar, которые были разделены на две группы. Крысы контрольной группы получали стандартное питание. У крыс экспериментальной группы воспроизводилась модель неалкогольной жировой болезни печени. Для верификации диагноза в группах оценивали изменения массы тела животных, уровней общего холестерина, триглицеридов и глюкозы. После установки диагноза к самкам подсаживали самцов для оценки фертильности самок.
Результаты. Содержание животных на высокоуглеводной диете приводило к ожирению самок экспериментальной группы. У крыс с неалкогольной жировой болезнью печени обнаружено достоверное повышение в крови уровня общего холестерина и триглицеридов, а также глюкозы. Зарегистрировано достоверное уменьшение количества беременностей в группе с неалкогольной жировой болезнью печени. Выявлено также уменьшение числа особей в потомстве.
Выводы. Результаты эксперимента свидетельствуют, что неалкогольная жировая болезнь печени достоверно снижает фертильность самок лабораторных крыс и уменьшает количество особей в помете. Данная модель может быть использована для изучения причин развития заболевания, а также для лучшего понимания механизмов, лежащих в основе репродуктивной дисфункции у пациентов.
Ключевые слова
Полный текст
АКТУАЛЬНОСТЬ
В настоящее время неалкогольная жировая болезнь печени (НАЖБП) занимает лидирующую позицию в структуре заболеваний печени и рассматривается как мультисистемное заболевание, ассоциированное с метаболическим синдромом [10, 12]. Как известно, МС включает такие патологические состояния, как ожирение, инсулинорезистентность (ИР), сахарный диабет 2-го типа, гиперлипидемию и артериальную гипертензию [24].
Общая распространенность НАЖБП в мире в среднем составляет 25,24 %. Наиболее высокая распространенность наблюдается на Ближнем Востоке и в Южной Америке, наиболее низкая — в Африке [25]. По данным Всероссийского эпидемиологического исследования DIREG 2 распространенность НАЖБП в России составляет 37,3 % [9], а в Санкт-Петербурге — 49,1 % [11].
Одна из острых проблем у пациенток с НАЖБП — нарушение репродуктивной функции, в том числе ановуляторный менструальный цикл, гиперандрогенемия, синдром поликистозных яичников, бесплодие [16]. Частота бесплодия в группе женщин с НАЖБП составляет 33,6 % по сравнению с 18,6 % среди женщин с нормальной массой тела [8].
Гиперинсулинемия стимулирует синтез яичниковых андрогенов, а также ингибирует секрецию глобулинов, связывающих половые гормоны в печени, что приводит к увеличению циркуляции свободных андрогенов в кровотоке. Патологическая ИР при беременности может стать причиной развития гестационного сахарного диабета, артериальной гипертензии, привести к прерыванию беременности. Увеличивается риск осложнений и в неонатальном периоде, что связано с нарушениями развития плода, — гипертрофия и гипотрофия плода встречается у женщин с патологической ИР соответственно в 2 и в 3 раза чаще, чем у здоровых женщин [5]. Кроме того, накопление жировых отложений может привести к тканевой гипоксии, митохондриальной дисфункции и развитию окислительного стресса, приводит к активации процессов перекисного окисления липидов [2, 7].
Тем не менее влияние женских половых гормонов на развитие метаболических нарушений у пациенток с НАЖБП не до конца изучено. Для глубокого изучения механизмов взаимосвязи НАЖБП и репродуктивной дисфункции необходим поиск адекватных экспериментальных моделей. В ряде научных исследований была доказана эффективность высококалорийной диеты с повышенным содержанием углеводов («западная диета») [1]. Такая диета приближена к питанию современного человека и считается наиболее подходящей для моделирования НАЖБП. Было также обнаружено, что «диета кафетерия» отрицательно влияет на репродуктивную функцию самок, уменьшая количество ооцитов и толщину фолликулярного слоя [3, 22].
Цель исследования — изучить влияние неалкогольной жировой болезни печени на репродуктивную функцию самок крыс линии Wistar.
МАТЕРИАЛЫ И МЕТОДЫ
Исследование проведено на 30 самках крыс Wistar, массой тела на момент включения в исследование 220–240 г, на базе научно-исследовательской лаборатории кафедры патологической физиологии с курсом иммунопатологии ФГБОУ ВО «Санкт-Петербургский государственный педиатрический медицинский университет» Министерства здравоохранения Российской Федерации. Животные получены из ФГУП ПЛЖ «Рапполово» РАМН (Ленинградская область). Перед началом исследования его план и стандартные операционные процедуры были рассмотрены и утверждены Локальным этическим комитетом ФГБОУ ВО СПбГПМУ Минздрава России (№ 09/04 от 11.02.2022).
Животные были разделены на 2 группы:
- «Контроль» (n = 15) — здоровые, интактные крысы, у которых производили исследование параметров метаболизма для расчета фоновых, референсных значений («нормальные показатели»).
- «НАЖБП» (n = 15) — крысы, которые на протяжении всего эксперимента в течение 30 дней в качестве корма получали брикеты, содержащие пищевые компоненты в следующих соотношениях (по массе): 26 % белок, 10 % животный жир, 50 % фруктоза, 8 % целлюлоза, 5 % минеральные вещества, 1 % витамины.
Через 30 дней часть животных вывели из эксперимента (5 из контрольной группы, 5 из группы НАЖБП) для оценки параметров метаболизма.
В ходе исследования производили морфометрическую оценку изменения массы тела лабораторных животных, биохимический анализ основных метаболических показателей крови, гистологическое исследование печени. Общепринятыми методами in vitro определяли: уровень глюкозы, общего холестерина (ОХ), триглицеридов (ТГ).
Для оценки фертильности к оставшимся крысам (n = 10 из контрольной группы, n = 10 из группы НАЖБП) подсаживали интактных самцов (по 1 самцу и 1 самке в клетку). На следующий день производили мазок из влагалища самок и фиксировали наличие в нем живых сперматозоидов (этот день считали первым днем беременности). Через 21 день (срок нормальной беременности у крыс) регистрировали число родивших самок и оценивали количество особей в потомстве. Крысы каждой группы на протяжении беременности получали питание, соответствующее их диете.
Статистическую обработку данных проводили с помощью программного обеспечения SPSS for Windows 13.0. Сравнение средних данных независимых выборочных совокупностей выполняли с помощью t-критерия Стьюдента (при нормальном распределении вариант в выборке) и U-критерия Манна – Уитни (при распределении вариант, отличном от нормального). Статистически значимыми изменения принимали при р < 0,05.
РЕЗУЛЬТАТЫ
При воспроизведении НАЖБП у крыс экспериментальной группы были выявлены характерные признаки — висцеральное ожирение, гипергликемия, дислипидемия.
После 30-дневной гиперкалорийной, насыщенной углеводами диеты у животных группы НАЖБП наблюдалось увеличение массы тела на 19 % (300 ± 10 г) по сравнению с контрольной группой (260 ± 7 г) (p < 0,01).
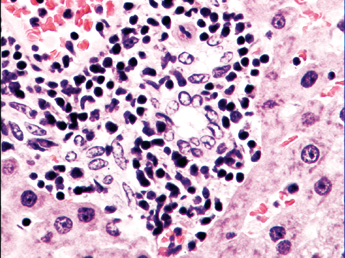
Рис. 1. Неалкогольная жировая болезнь печени (аутоптат печени, окраска гематоксилином и эозином, увел. ×40). Мононуклеарная инфильтрация
Fig. 1. Non-alcoholic fatty liver disease (liver autopsy, Hematoxylin-eosin staining, magnification ×40). Mononuclear cell infiltration
Основу патогенеза НАЖБП в используемой в исследовании модели поражения печени составляет глубокое нарушение липидного обмена с развитием гиперхолестеринемии и гипертриглицеридемии. Анализ основных биохимических параметров крови выявил статистически значимое повышение уровня ТГ у животных экспериментальной группы (1,13 ± 0,53 ммоль/л) на 24 % по сравнению с контролем (p < 0,01). Регистрировали также статистически значимое повышение уровня ОХ (2,52 ± 0,7 ммоль/л) на 45 % (p < 0,05) и уровня глюкозы (7,25 ± 1,1 ммоль/л) на 42 % (p < 0,05).
Гистологическое исследование также подтвердило различную степень выраженности морфологических изменений в экспериментальной и контрольной группах. У животных группы НАЖБП на гистологических препаратах печени регистрировали мононуклеарную инфильтрацию, гиперемию синусоидов, нарушение балочной структуры (рис. 1). В экспериментальной группе с НАЖБП наблюдалась крупнокапельная жировая дистрофия, которая характеризовалась наличием крупных липидных капель в цитоплазме гепатоцитов со смещением ядра к периферии клетки.
Рис. 2. Количество родивших самок крыс в экспериментальной и контрольной группах. *Отличия от группы «Контроль» достоверны на принятом уровне значимости (р < 0,05). НАЖБП — неалкогольная жировая болезнь печени
Fig. 2. The number of females rats who gave birth in the experimental and control groups. *Difference from the “Control” group at the established detection level (р < 0.05). NAFLD — non-alcoholic fatty liver disease
По прошествии 21 дня, после того как к оставшимся крысам были подсажены интактные самцы, было получено потомство. В результате развившихся тяжелых метаболических нарушений в группе животных НАЖБ способность к оплодотворению снизилась на 80 % по сравнению с контрольной группой. Все крысы (100 %) контрольной группы забеременели (n = 10), из группы НАЖБП (n = 10) — лишь 2 (20 %) (рис. 2).
У двух родивших крыс из группы НАЖБП родилось по 4 крысенка. В контрольной группе количество крысят в потомстве составило 9 ± 2 особи (рис. 3).
Рис. 3. Количественное сравнение родившихся особей в потомстве у экспериментальной и контрольной групп. *Отличия от группы «Контроль» достоверны на принятом уровне значимости (р < 0,05). НАЖБП — неалкогольная жировая болезнь печени
Fig. 3. Quantitative comparison of born individuals in offspring in experimental and control groups. *Difference from the “Control” group at the established detection level (р < 0.05). NAFLD — non-alcoholic fatty liver disease
ОБСУЖДЕНИЕ
Использование фруктозоиндуцированной модели НАЖБП приводило к развитию основных компонентов метаболическим синдромом: НАЖБП, ожирению, дислипидемии, инсулинорезистентности. Как известно, метаболизм фруктозы значительно влияет как на липидный гомеостаз, так и на обмен глюкозы [14, 19]. Прием фруктозы усиливает липогенез de novo в гепатоцитах, что приводит к накоплению свободных жирных кислот (СЖК) [4, 7].
У животных экспериментальной группы развилась гипергликемия, вследствие развития инсулинорезистентности. Она может быть вызвана снижением как чувствительности клеток-мишеней к инсулину, так и рецепторов инсулина [13]. Гипертрофия жировой ткани сопровождается снижением продукции противовоспалительного адипонектина и увеличением продукции провоспалительных фактора некроза опухоли альфа, интерлейкина 6, лептина, резистина, которые снижают чувствительность тканей к инсулину. Предыдущие эксперименты также доказывают развитие инсулинорезистентности у животных с НАЖБП [1, 17]. Есть данные, подтверждающие увеличение числа апоптотических фолликулов у крыс с НАЖБП по сравнению с контрольной группой [6, 15].
Анализ полученных данных позволяет сделать заключение о снижении фертильности самок крыс с НАЖБП, о чем свидетельствует снижение количества родивших самок, а также уменьшение числа особей в потомстве.
Результаты настоящего эксперимента коррелируют с данными клинических исследований [7, 18, 20]. Механизмы зависимости снижения фертильности при НАЖБП сложны и многофакторны: гормональные изменения могут привести к ановуляции, снижению качества ооцитов и восприимчивости эндометрия. Одним из механизмов повреждения органелл ооцитов является липотоксичность. Избыток СЖК накапливается в виде ТГ в адипоцитах, где они оказывают повреждающее действие на клетки. При снижении способности адипоцитов аккумулировать ТГ, СЖК концентрируются в других тканях, в частности в ооцитах, оказывая токсическое действие [18, 23]. СЖК повышают количество активных форм кислорода, которые способны вызывать окислительный стресс митохондрий [7, 21].
Нередко у женщин с НАЖБП диагностируют синдром поликистозных яичников, недостаточность лютеиновой фазы менструального цикла, гирсутизм, вирилизацию, гиперпластические процессы эндометрия с повышенным риском развития рака эндометрия. Все эти состояния отрицательно влияют на фертильность [20].
ВЫВОДЫ
Результаты настоящего исследования подтверждают, что использование гиперкалорийной, насыщенной углеводами диеты у крыс приводит к развитию НАЖБП, основными проявлениями которой являются: висцеральное ожирение, дислипидемия, инсулинорезистентность, гипергликемия. Данная диета максимально приближена к современному питанию большинства людей.
Результаты эксперимента доказывают, что развитие НАЖБП оказывает негативное влияние на репродуктивную функцию самок лабораторных крыс, что выявляется в статистически значимом снижении числа беременностей в экспериментальной группе и уменьшении числа особей в потомстве родивших самок с НАЖБП.
Применяемая в исследовании модель НАЖБП может быть использована для дальнейшего изучения ее влияния на репродуктивную систему, а также для исследования потенциальных подходов к профилактике и лечению возникающих метаболических нарушений.
ДОПОЛНИТЕЛЬНАЯ ИНФОРМАЦИЯ
Вклад авторов. Все авторы внесли равный вклад в разработку концепции, проведение исследования и подготовку статьи и одобрили финальную версию перед публикацией.
Конфликт интересов. Авторы декларируют отсутствие явных и потенциальных конфликтов интересов, связанных с публикацией настоящей статьи.
Источник финансирования. Авторы заявляют об отсутствии внешнего финансирования при проведении исследования.
ADDITIONAL INFORMATION
Authors’ contribution. All authors made significant contributions to the development of the concept, research and preparation of the article and approved the final version before publication.
Competing interests. The authors declare the absence of obvious and potential conflicts of interest related to the publication of this article.
Funding source. The authors declare that there is no external funding for the study.
Об авторах
Татьян Викторовна Брус
Санкт-Петербургский государственный педиатрический медицинский университет
Автор, ответственный за переписку.
Email: bant.90@mail.ru
ORCID iD: 0000-0001-7468-8563
SPIN-код: 9597-4953
кандидат мед. наук, доцент кафедры патологической физиологии с курсом иммунопатологии
Россия, 194100, Санкт-Петербург, ул. Литовская, д. 2Анна Александровна Калинина
Санкт-Петербургский государственный педиатрический медицинский университет
Email: aa_kalinina@list.ru
студентка 4-го курса педиатрического факультета
Россия, 194100, Санкт-Петербург, ул. Литовская, д. 2Анастасия Викторовна Баннова
Ордена Трудового Красного Знамени Медицинский институт им. С.И. Георгиевского, Крымский федеральный университет им. В.И. Вернадского
Email: bannova06@list.ru
ORCID iD: 0009-0007-6867-9477
студентка 1-го курса 1-го медицинского факультета
Россия, СимферопольРодион Владимирович Кораблев
Санкт-Петербургский государственный педиатрический медицинский университет
Email: rodion.korablev@gmail.com
ORCID iD: 0009-0004-5754-8437
SPIN-код: 4969-6038
кандидат мед. наук, доцент кафедры патологической физиологии с курсом иммунопатологии
Россия, 194100, Санкт-Петербург, ул. Литовская, д. 2Юрий Сергеевич Брус
Санкт-Петербургский государственный педиатрический медицинский университет
Email: brusyury@gmail.com
ORCID iD: 0009-0004-8932-8076
SPIN-код: 4256-9672
магистрант кафедры общественного здоровья и здравоохранения
Россия, 194100, Санкт-Петербург, ул. Литовская, д. 2Список литературы
- Бирулина Ю.Г., Иванов В.В., Буйко Е.Е., и др. Экспериментальная модель метаболического синдрома у крыс на основе высокожировой и высокоуглеводной диеты // Бюллетень сибирской медицины. 2020. Т. 19, № 4. С. 14–20. EDN: DIHLEB doi: 10.20538/1682-0363-2020-4-14-20
- Брус Т.В., Васильев А.Г. Современное представление о неалкогольной жировой болезни печени // Российские биомедицинские исследования. 2020. Т. 5, № 1. С. 18–25. EDN: YSAYYS
- Брус Т.В., Васильев А.Г., Кравцова А.А., и др. Биомоделирование жировой дистрофии печени смешанной этиологии // Педиатр. 2023. Т. 14, № 5. С. 25–31. EDN: BNSRIF doi: 10.17816/PED625940
- Патент на изобретение № 2757199/ 12.10.2021. Брус Т.В., Васильев А.Г., Трашков А.П., и др. Cпособ моделирования жировой болезни печени смешанного генеза у крыс. Режим доступа: https://yandex.ru/patents/doc/RU2757199C1_20211012
- Брус Т.В., Евграфов В.А. Патофизиология печеночной недостаточности // Педиатр. 2022. Т. 66, № 1. С. 55–64. EDN: CYDBYP doi: 10.17816/PED13355-64
- Брус Т.В., Пюрвеев С.С., Васильева А.В., и др. Морфологические изменения печени при жировой дистрофии различной этиологии // Российские биомедицинские исследования. 2021. Т. 6, № 3. С. 21–26. EDN: MAGKAZ
- Брус Т.В., Пюрвеев С.С., Беляева И.В., и др. Влияние сочетанного действия пренатального метаболического синдрома и применения различных доз глюкокортикоидов при беременности на потомство (экспериментальное исследование) // Детская медицина Северо-Запада. 2020. Т. 8, № 1. С. 66–67. EDN: ADRKIV
- Брус Т.В., Хайцев Н.В., Кравцова А.А. Дисфункция печени в патогенезе ожоговой болезни и ее коррекция сукцинатсодержащими препаратами // Педиатр. 2016. Т. 7, № 4. С. 132–141. EDN: XRJTER doi: 10.17816/PED74132-141
- Ивашкин В.Т., Драпкина О.М., Маев И.В., и др. Распространенность неалкогольной жировой болезни печени у пациентов амбулаторно-поликлинической практики в Российской Федерации: результаты исследования DIREG 2 // Российский журнал гастроэнтерологии, гепатологии, колопроктологии. 2015. Т. 25, № 6. С. 31–41. EDN: VOXFQP
- Ивашкин В.Т., Маевская М.В., Павлов Ч.С., и др. Клинические рекомендации по диагностике и лечению неалкогольной жировой болезни печени Российского общества по изучению печени и Российской гастроэнтерологической ассоциации // Российский журнал гастроэнтерологии, гепатологии, колопроктологии. 2016. Т. 26, № 2. С. 24–42. EDN: YIYGHP doi: 10.22416/1382-4376-2016-26-2-24-42
- Пальгова Л.К., Барановский А.Ю., Ушакова Т.И., и др. Эпидемиологические особенности неалкогольной жировой болезни печени в Северо-Западном регионе России (результаты открытого многоцентрового проспективного исследования DIREG 2) // Вестник Санкт-Петербургского университета. Медицина. 2017. Т. 12, № 2. С. 118–135. EDN: ZDOTCB doi: 10.21638/11701/spbu11.2017.201
- Савченко Я.В., Сергиевская З.А., Лопатиева С.О. Неалкогольная жировая дегенерация печени у людей различных возрастных групп: современный взгляд на проблему // Университетский терапевтический вестник. 2022. Т. 4, № 1. С. 11–21. EDN: OHBWEN doi: 10.56871/4338.2022.10.13.002
- Ткачук В.А., Воротников А.В. Молекулярные механизмы развития резистентности к инсулину // Сахарный диабет. 2014. Т. 17, № 2. С. 29–40. EDN: SHBNYL doi: 10.14341/DM2014229-40
- Трашков А.П., Брус Т.В., Васильев А.Г., и др. Динамика показателей красной крови у крыс с неалкогольной жировой болезнью печени и возможности ее коррекции // Клиническая патофизиология. 2017. Т. 23, № 3. С. 66–72. EDN: YPKUDT
- Bazzano M.V., Torelli C., Pustovrh M.C., et al. Obesity induced by cafeteria diet disrupts fertility in the rat by affecting multiple ovarian targets // Reprod Biomed Online. 2015. Vol. 31, N. 5. P. 655–667. doi: 10.1016/j.rbmo.2015.08.004
- Broughton D.E., Moley K.H. Obesity and female infertility: potential mediators of obesity’s impact // Fertil Steril. 2017. Vol. 107, N. 4. P. 840–847. doi: 10.1016/j.fertnstert.2017.01.017
- Buyco D.G., Martin J., Jeon S., et al. Experimental models of metabolic and alcoholic fatty liver disease // World J Gastroenterol. 2021. Vol. 27, N. 1. P. 1–18. doi: 10.3748/wjg.v27.i1.1
- Guojun C., Zhang W., Sirpa M., et al. A role for the androgen receptor in follicular atresia of estrogen receptor beta knockout mouse ovary // Biol Reprod. 2022. Vol. 66, N. 1. P. 77–84. doi: 10.1095/biolreprod66.1.77
- Herman M.A., Birnbaum M.J. Molecular aspects of fructose metabolism and metabolic disease // Cell Metab. 2021. Vol. 33, N. 12. P. 2329–2354. doi: 10.1016/j.cmet.2021.09.010
- Jalilian A., Kiani F., Sayehmiri F., et al. Prevalence of polycystic ovary syndrome and its associated complications in Iranian women: a metaanalysis // Iran J Reprod Med. 2015. Vol. 13, N. 10. P. 591–604.
- Marei W.F.A., Smits A., Mohey-Elsaeed O., et al. Differential effects of high fat diet-induced obesity on oocyte mitochondrial functions in inbred and outbred mice // Sci Rep. 2020. Vol. 10, N. 1. P. 9806. doi: 10.1038/s41598-020-66702-6
- Na W., Li-Li L., Jin-Jie X., et al. Obesity accelerates ovarian follicle development and follicle loss in rats // Metabolism. 2014. Vol. 63, N. 1. P. 94–103. doi: 10.1016/j.metabol.2013.09.001
- Wu L.L., Russell D.L., Wong S.L., et al. Mitochondrial dysfunction in oocytes of obese mothers: transmission to offspring and reversal by pharmacological endoplasmic reticulum stress inhibitors // Development. 2015. Vol. 142, N. 4. P. 681–691. doi: 10.1242/dev.114850
- Younossi Z.M. Non-alcoholic fatty liver disease — A global public health perspective // J Hepatol. 2019. Vol. 70, N. 3. P. 531–544. doi: 10.1016/j.jhep.2018.10.033
- Younossi Z.M., Koenig A.B., Abdelatif D., et al. Global epidemiology of nonalcoholic fatty liver disease — Meta-analytic assessment of prevalence, incidence, and outcomes // Hepatology. 2016. Vol. 64, N. 1. P. 73–84. doi: 10.1002/hep.28431
Дополнительные файлы







