Reconstructive surgery in the treatment of congenital pseudarthrosis of the tibia in children using microsurgical techniques: Reconstruction or amputation?
- Authors: Zakharyan E.A.1, Chigvariya N.G.1,2, Garkavenko Y.E.1,2, Pozdeev A.P.1,2, Grankin D.Y.1, Afonichev K.A.1,2
-
Affiliations:
- H. Turner National Medical Research Center for Сhildren’s Orthopedics and Trauma Surgery
- North-Western State Medical University named after I.I. Mechnikov
- Issue: Vol 10, No 4 (2022)
- Pages: 429-439
- Section: Exchange of experience
- Submitted: 06.09.2022
- Accepted: 17.11.2022
- Published: 23.12.2022
- URL: https://journals.eco-vector.com/turner/article/view/110805
- DOI: https://doi.org/10.17816/PTORS110805
- ID: 110805
Cite item
Abstract
BACKGROUND: Numerous methods are available for the treatment of congenital pseudarthrosis of the tibia, but none of them offers a 100% satisfactory result and does not exclude the development of repeated refractories. One of the treatment methods is vascularized transplantation of a fragment of the fibula into the position of the defect of the tibia. However, the achievement of consolidation of the bone fragments of the lower leg does not stop the series of interventions necessary to restore the function of the affected segment. Therefore, specialists were asked about the advisability of performing amputations as an alternative to long-term and multistage interventions.
AIM: To analyze the results of the use of microsurgical techniques for the treatment of patients with congenital pseudarthrosis of the tibia and, using the example of a patient, to show the way of multistage reconstruction of the lower limb.
MATERIALS AND METHODS: The results of the use of microsurgical techniques in the elimination of a defect in the bones of the leg in five patients with congenital pseudarthrosis of the tibia were analyzed. Age, sex, presence of type 1 neurofibromatosis, bone defect size, autograft size, duration of consolidation, osteosynthesis index, refractory, range of joint motion, and secondary deformities of the segments after consolidation were assessed. The course of the patient when performing severe reconstructive interventions to restore the weight-bearing capacity of the limb was described. Vascularized autograft transplantation was performed by a qualified microsurgical team.
RESULTS: The mean age was 7.8 ± 2.2 years. Boys predominated, and type 1 neurofibromatosis was detected in 60% of the cases. The average defect size was 8.8 ± 1.6 cm, and the autograft size was 10.8 ± 1.6 cm. The duration of fixation was 260 ± 90 days, and the fixation index was 24.6 ± 10.6 days/cm. In two cases, 1 year after the fibula transfer, refractories were noted at the bone–graft interface. In 100% of the cases, patients had fibrous ankylosis at the level of the ankle joint, with a loss of functional range of motion, and in 40% of cases, there were flexion–extension contractures of the knee joints with an extension deficit of up to 20°. For this observation period, 3 of 5 patients underwent additional surgical interventions to correct the deformities of the affected limb.
CONCLUSIONS: The use of VFT in patients with congenital pseudarthrosis of the tibia allows restoring the integrity of the tibia. Multiple interventions performed on the same segment can lead to irreversible secondary changes in adjacent joints and loss of function of this limb.
Full Text
BACKGROUND
Congenital pseudarthrosis of the tibia (CPT) is a condition characterized by a typical congenital deformity of the tibial bones (varus-antecurvatum), and its progression results in a pathological fracture at the apex of the deformity with the formation of pseudarthrosis or a bone defect.
Numerous methods of treating this pathology are available; however, none of them give a 100% result or prevent the development of repeated refractures. One such technique is vascularized grafting of a fragment of the fibula with a microsurgical vascular suture into the position of the tibial defect [1–3]. This technique was first proposed by Jude in 1978. The introduction of vascularized fibula plasty has changed the prognosis of CPT over the past several decades [4, 5]. Most often, a free graft is used from the contralateral limb. However, the method has shortcomings such as a long surgery time, potential failure of the formed anastomosis, valgus deformity on the donor side, and unwanted interventions on the “only good leg.” Nevertheless, consolidation of bone fragments of the lower leg bones does not eliminate the need for interventions aimed at restoring the normal values of reference lines and angles, length of the lower limbs, and rehabilitation measures to restore the range of motion in adjacent joints and prevent possible pain in the affected segment. Thus, experts often wonder about the advisability of amputation as an alternative to long-term and multi-stage interventions [6].
Indications for amputation in children with CPT vary depending on the experience of the operating surgeon in the treatment of these patients. Amputation is considered by some people to be a radical treatment, indicated only in the case of unsuccessful multiple surgical attempts of reconstruction. Others believe that amputation is a reasonable early treatment option to avoid multiple surgical interventions and the associated lifestyle [5, 6]. The decision to amputate can be difficult for the patient, their family and caregivers, and the treating surgeon. MacCarthy et al. established relative indications for amputation in CPT, namely, the absence of satisfactory bone union after three surgical attempts, significant discrepancy in the length of the lower extremities of >5 cm, development of foot deformity, and excessive dysfunction (functional loss) of the segment due to prolonged medical interventions and hospitalizations [6].
More recently, these indications have been reconsidered because of the advent of improved limb lengthening strategies, biologics that promote regeneration, use of free tissue grafts, and reduced period of hospital stay [6, 7].
The choice between limb amputation and long-term complex limb reconstruction is not easy, especially when it is referred to children. In Russia, as in many other countries, the patient is ready to resign himself to a non-functioning limb rather than undergo amputation. The patient’s decision is influenced by difficulties of good orthotics, lack of psychological support and family members, and difficulty of adapting to society (possibility of employment and availability of an accessible environment for movement).
Over the past 25 years, >300 patients with CPT have been treated in the clinic of bone pathology. Transosseous osteosynthesis with various types of allo- and autoplasty was used as the main method of treatment to restore the integrity of the lower leg bones. The frequency of achieving primary consolidation of tibia fragments was approximately 98%; however, during growth and case follow-up, refractories occurred in 25% of cases. The indications for the use of the microsurgical technique were significant (>5 cm) defects of the tibia and dystrophic changes in the bone tissue, which did not allow the use of the traditional technique using transosseous osteosynthesis. The vascularized autograft transplantation was performed by a qualified microsurgical team.
During this period, reconstructive interventions using microsurgical techniques aimed at restoring the integrity and supportability of the segment in patients with CPT were performed only in five cases, which accounted for <2% of the total number of treated patients.
The work aimed to analyze the results of the use of microsurgical techniques in the treatment of CPT and consider multi-stage reconstructions of the lower limb using a clinical example.
MATERIALS AND METHODS
The study used anamnestic [sex, age, number of previous interventions, presence of a genetic disease (type I neurofibromatosis)], clinical (assessment of the range of motion in the knee and ankle joints according to the standard method), and radiological methods of investigation, namely, a panoramic radiograph of the lower extremities, radiographs of leg bones in standard projections (measurement of the bone defect size, reference angles of the femur and tibia on both sides, assessment of the shortening magnitude of the affected segment, and timing of consolidation of bone fragments).
The study involved five patients, and the average age was 7.8 ± 2.2 years. Boys predominated; three patients had a genetic disease aggravating the CPT course (type I neurofibromatosis).
RESULTS
The anamnesis revealed that diagnosis was made for all patients in the first year of life during examination for a pathological fracture of the tibia and pseudarthrosis. Before microsurgical transplantation (MCT), all patients received at least two surgical interventions to achieve consolidation of the tibia through not only transosseous osteosynthesis but also intramedullary osteosynthesis.
Clinical examination in all patients (after previous multiple interventions) revealed fibrous ankylosis at the level of the ankle joint with loss of functional range of motion and flexion–extension contractures of the knee joints with an extension deficit of up to 20° in 40% of cases.
X-ray examination revealed shortening of the affected segment by 7.5 ± 2.2 cm, multiplanar deformity of the affected lower limb with lateral distal femoral angle (LDFA) of 80 ± 3.5°, distal posterior femoral angle (DPFA) of 65° ± 2°, proximal medial tibial angle (PMTA) of 100° ± 5.5°, proximal posterior tibial angle (PPTA) of 95° ± 3°, distal medial tibial angle (DMTA) of 120° ± 5°, and distal anterior tibial angle (DATA) of 60° ± 2.5°. These indicators corresponded to deformity components such as valgus-antecurvatum deformity of the distal femur, valgus-recurvation deformity of the proximal femur, and valgus-antecurvatum deformity of the distal tibia. The average defect size was 8.8 ± 1.6 cm.
When assessing the state of the ankle joint, all patients showed valgus-antecurvatum deformity of the tibial fragment at the level of the distal bone metadiaphysis. A significant limitation of movement in this joint was clinically determined (flexion/extension 5°/0°/5°). Radiographs showed signs of fibrous ankylosis of the area with a decrease in the height of the ankle joint space. Magnetic resonance imaging to assess the condition of the articular cartilage of the ankle joint was not performed. These changes arose in connection with multiple surgical interventions. When examining the foot, its multiplanar deformity was revealed with the presence of an equino-cavo-valgus component, which also formed after surgical interventions. Patients complained of difficulty in walking and choosing shoes, but had no foot or joint pain.
An autograft of the required length (the size of the transplanted autograft was 10.8 ± 1.6 cm) was harvested from the fibula of the contralateral side, at least 7.0 cm away from the ankle mortice to maintain the stability of the latter. However, in all cases, the distal fragment of the fibula on the donor side migrated cranially with the formation of a valgus deformity of the ankle joint. Interventions to eliminate this secondary deformity of the donor zone were not performed.
During the reconstruction of the affected segment, an external fixation device (EFD) was preliminarily installed to simulate diastasis between tibial fragments (creation of the correct ratios between the tibial fragments, correction of gross deformities, increase in diastasis between fragments with the possibility of transplanting a longer graft) and prepare a bed for autografting. EFD was not removed in the period of consolidation at the bone–graft interface of the affected segment, which averaged 7.0 months. When dismantling the EFD, a plaster cast was put on the affected lower limb of all patients for up to 2 months, followed by the manufacture of an orthosis for the whole leg to unload the affected segment. The duration of fixation was 260 ± 90 days, and the fixation index was 24.6 ± 10.6 days/cm.
In two (40% of patients) of five cases, refractories at the bone–graft interface were noted a year after the MCT. This complication arose because of violations of the load regimen on the affected lower extremity by patients; however, the restoration of the total bone mass of the tibia after MCT enabled repositioning of the fragments using EFD and various types of auto- and allografting and achieving repeated consolidation. Later, 3 of 5 patients (during this follow-up period) underwent additional surgeries to restore the length and correct deformities of the affected limb.
CLINICAL CASE
We present the long and difficult path that patients with CPT and neurofibromatosis type I goes through, in a patient with a pronounced defect in the tibial bones resulting from severe pathology and refracture of the tibial bones.
The affected limb was reconstructed in two main stages: the integrity and support ability of the segment were restored in stage 1 and the deformity was corrected and the length of the lower extremities was restored in stage 2.
The anamnesis revealed that the child was sick from birth. Limb deformity, as a latent form of a false joint, was detected at the age of 5 months (Fig. 1). At the age of 1 year, a pathological fracture occurred (Fig. 2). The patient underwent repeated operations at the primary care facility. At the age of 1.5 years, autoplasty of the false joint area was performed with a graft from the iliac crest with a hardware fixation. One month after the intervention, the migration of this structure was noted, for which repeated plastic surgery was performed using a graft from the iliac crest with a pin, also with repeated migration of the hardware. Owing to the lack of consolidation of the tibial fragments, the fragments were fixed with an intramedullary rod using autoplasty of the defect with a graft from the tibia of the contralateral limb. Subsequently, the rod was removed, union was not achieved, and significant bone lysis was detected.
Fig. 1. X-ray imaging of the right lower leg bones in two views with a latent form of pseudarthrosis
Fig. 2. X-ray imaging of the right lower leg bone with a pathological fracture
In the center’s clinic, the patient has been followed up since the age of 6 years to reduce the severity of systemic osteoporosis. He initially received infusion therapy with bisphosphonates.
After a comprehensive examination, the main problems that needed to be solved were as follows:
- Posterior dislocation of the left tibia bones with the formation of a flexion contracture of the right knee joint (flexion at the knee joint up to 20°) and fibrous ankylosis with only rocking movements in the ankle joint.
- Significant thinning of the fragments of the tibial bones and their non-viability with the formation of a defect.
- Limb shortening by approximately 13 cm.
- Impaired support ability of the limb (Fig 3).
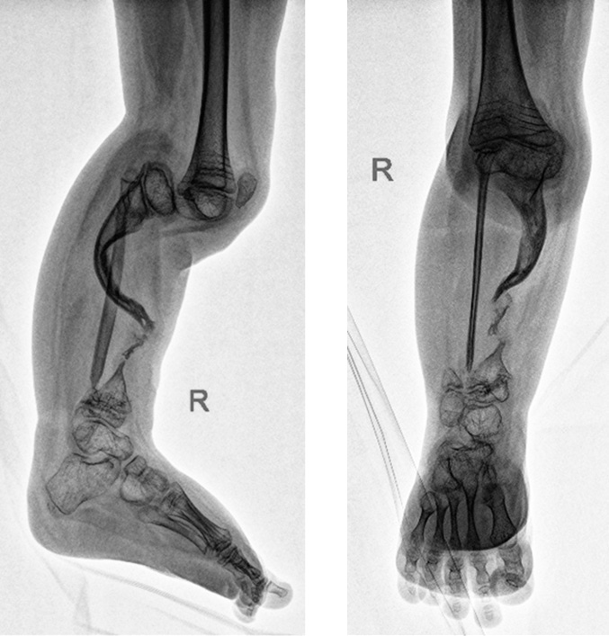
Fig. 3. X-ray imaging of the right tibia bones in two views before microsurgical autografting
In stage 1, tibial subluxation was eliminated, and the necessary space was created between the fragments of the tibia. To adapt bone fragments to the correct position, a compression–distraction apparatus (CDA) of the Ilizarov type and an orthopedic hexapod (repositioning unit Ortho-SUV) were used. The latter was initially placed between the transosseous annular supports of the distal femur and the proximal metadiaphysis of the tibia. The posterior subluxation was eliminated by creating a model of the movement trajectory in the knee joint and moving the fragments in an orthopedic hexapod.
The EFD was then remounted, with the repositioning unit now placed between the proximal and distal tibial annular supports. Programming and a new calculation were performed to create a space between the tibial fragments (the tibial fragments were adapted in the correct position according to the values of the reference angles) and eliminate gross deformities before transplanting the vascularized fragment of the fibula of the contralateral limb into the defect position (Fig. 4). During this period (34 days), the deformities of the lower leg bones were corrected.
Fig. 4. Stages of programming the elimination of the subluxation of the lower leg bones with the repositioning unit Ortho-SUV
Upon reaching the correction of all components of the deformity (elimination of the posterior dislocation of the tibial bones and adaptation of the tibial fragments in an acceptable position), after remounting the CDA, together with colleagues from the Clinic of Hand Surgery and Reconstructive Microsurgery, a vascularized fragment of the fibula of the contralateral limb was transplanted into the position of the defect of the tibia of the affected limb. The length of the diastasis was 10 cm, and the graft length was 12 cm. No intraoperative technical difficulties or complications occurred during the postoperative period (Fig. 5).
Fig. 5. Intraoperative radiographs of the right tibia bones in two views after microsurgical transplantation
Because of the fact that the patient was a citizen of another state and had difficulty in providing radiographs, the fixation period was almost 12 months. Before dismantling, in order to restore the range of motion in the right knee joint and due to long-term fixation in the CDA, a course of rehabilitation treatment was performed, including individual classes with an instructor of physical therapy and classes on the ARTROMOT device. When the EFD was unblocked at the level of the knee joint, movements in this joint were rocking (0°/0°/5°). Upon reaching passive flexion in the right knee joint up to 70° (0°/0°/70°), indications for dismantling were established. After removal of the EFD, at an X-ray examination, the leg-length difference was 8.3 cm (Fig. 6).
Fig. 6. Three-dimensional modeling of computed tomography slices after microsurgical transplantation to eliminate a defect in the right tibia bones
The integrity of the lower leg was restored approximately 1.5 years. After restoring the integrity of the tibia of the affected limb, the patient could walk with an orthosis for the entire lower limb, but without additional means of support, lead an active lifestyle with some restrictions and attend educational institutions. Limb shortening was compensated for by increasing the height of the sole of the orthopedic shoes.
At 1.5 years after autografting, the patient was diagnosed with multiplanar deformity of the femur, and the tibia on the lesion side, flexion–extension contracture of the right knee joint, valgus deformity of the distal metadiaphysis of the tibia on the donor side, and leg-length difference were reconstructed. Indications for stage 2 of the limb reconstruction were formulated.
The analysis of panoramic radiographs of the lower extremities revealed the deformity components, namely, antecurvatum (LDFA 77°, DPFA 72°) in the distal metadiaphysis of the femur and valgus-recurvation (PMTA 99°, DMTA 70°, PPTA 107°, and DATA 84°) in the proximal and distal metadiaphyses of the tibia. These deformities were one of the components of the formation of flexion–extension contracture of the knee joint (flexion/extension 10°/0°/10°), which significantly impeded the function of the affected limb. Movements in the ankle joint were rocking. The affected lower limb shortened by 11.7 cm. Multiple scars of the skin and soft tissues were noted after previous surgical interventions (Fig. 7).
Fig. 7. Teleroentgenograms of the lower extremities in two views before the elimination of secondary deformities
To eliminate the deformities, correction of the deformities using transosseous osteosynthesis was decided. A CDA of the femur–tibia–foot was installed, and osteotomy of the distal femoral metadiaphysis and proximal tibial metadiaphysis and tenotomy of the iliotibial tract were performed.
The limb was enlarged by 8 cm because of the two segments; the deformities were corrected using the Ortho-SUV repositioning unit (LDFA 90°, DPFA 84°, PMTA 90°, DMTA 102°, PPTA 84°, and DATA 84°). Owing to the bulkiness of the CDA, the correction was performed in two stages, for the thigh and the lower leg. The correction period was 21 days in total, the fixation period was 240 days, and the fixation index was 30 days/cm (Figs. 8 and 9).
Fig. 8. Result of the correction of deformities of lower leg bones under the conditions of the repositioning unit Ortho-SUV after the end of distraction: a, frontal view; b, lateral view
Fig. 9. Result of the correction of deformities of the right femur using the repositioning unit Ortho-SUV after the end of distraction: a, frontal view; b, lateral view
Before dismantling the EFD, to increase the range of motion in the right knee joint, the patient underwent a second course of rehabilitation treatment, including individual exercise therapy and classes on the ARTROMOT device. When passive flexion in the right knee joint reached 50° (extension/flexion 0°/0°/50°, the range of motion was limited by transosseous annular supports), indications for dismantling the EFD were determined. The limb was fixed in a posterior plaster cast throughout its length (lower limb), and manufacturing an orthosis for the entire lower limb for walking, with a hinge at the level of the knee joint, was recommended.
On the control radiograph of the lower leg bones, performed a month after the surgery, bone callus formation was noted in the proximal part of the right tibia, and the patient had a fracture of the tibia at the level of the formed regenerate (Fig. 10).
Fig. 10. Radiographs of the right tibia bones in two views 1 month after dismantling the external fixation device
The situation analysis revealed that refracture could occur because of a change in pressure on the bone after dismantling the EFD and during the removal of casts in orthosis manufacture.
DISCUSSION
In the literature, there are indications of the use of microsurgical techniques to replace tibia defects in patients with CPT; however, most often, a series of cases is described in scientific publications because of the complexity of the technique and the need for specialized equipment in the clinic. The largest series of studies was presented by El-Gammal with 39 cases in one hospital [5], the European Society of Pediatric Orthopedists reported 31 patients who were treated in 14 clinics [2], and Ohnishi described 73 cases from 32 hospitals in Japan, including 25 cases where MCT and fixation in the Ilizarov apparatus were combined [3].
In most publications, surgery was performed at the age of 5 years [8–10]. This age is considered the preferred age for the use of EFD, as children are more cooperative. The authors also considered that the disease is more active in children during infancy, and bone resorption may prevent healing in the pseudarthrosis area [8]. Conversely, some authors report successful results with different treatment methods at a younger age (<3 years). A series of studies by El-Gammal includes the largest reported number of cases (21 patients with CPT who underwent MCT before the age of 3 years) [5]. It revealed that surgical interventions performed before the age of 3 years are associated with a shorter period of primary fusion of the fragments and a smaller difference in the length of the lower extremities in the long-term period. Gilbert and Brockman [2] noted that the best age for rapid healing of the tibia after MCT is from 3.5 to 7.5 years. They explained that the longer healing period in children aged <3.5 years was due to the difficulty of obtaining satisfactory fixation of bone fragments. The mean age of our patients was 7.8 ± 2.2 years. The older age of surgical treatment was due to multiple interventions before MCT.
According to the literature, the primary consolidation at the bone–graft interface is achieved in 96%–98% of cases, and the average consolidation time is 2–10 months [11–13]. The authors concluded that the choice of the method of autograft fixation in MCT affects the treatment outcomes. Thus, a lower frequency and a longer fusion time were noted in intramedullary fixation using a rod or screw than in external fixation (66% and 11 months versus 100% and 1.9 months, respectively) [8]. Ohnishi et al. [3] reported achieving primary consolidation of fragments in 88% of the patients and 4.5% of refractories in 25 cases. Kesireddy et al. [8] believe that treatment with EFD correlates with a higher frequency of refractories than intramedullary fixation (45% versus 29%, respectively). In a study by T.A. El-Gammal, fractures occurred in 21 (51.3%) cases, and almost half of them recurred 2–4 times.
In this study, only fixation by transosseous osteosynthesis was used. Primary consolidation was noted in all patients (100%); however, 2 (40%) patients had refractories in the postoperative period. The duration of fixation was approximately 8 months, and the osteosynthesis index was 24 days/cm. Our findings correspond to the data of earlier studies [14].
Weiland et al. [15] stated that the most common deformities of the tibia after achieving consolidation of the fragments were valgus and antecurvatum deformities of lower leg bones. Sakamoto et al. [16] reported valgus deformity up to 28° and antecurvatum up to 20° and associated their occurrence with previous surgeries. According to Ohnishi et al. [3], valgus deformity ranged from 5° to 70° and antecurvatum ranged from 10 to 60°. In our previous study [17], deformities, according to the classification of deformities of long bones, were complex, including a combination of deformities in the frontal and sagittal planes, a torsion component, and shortening of the affected segment. The findings were comparable with those of the few studies on patients with CPT. In the described clinical case, the patient had valgus-antecurvatum deformity of the distal metadiaphysis of the femur, valgus-recurvatum deformity of the lower leg bones, and shortening of the lower leg bones.
The restoration of the length and integrity of the tibia and correction of deformities of the affected limb do not fully reflect the functional result [18]. Multiple surgical interventions primarily worsen the function of the ankle joint with the development of fibrous or bone ankylosis. In our study, all patients had valgus-antecurvatum deformity of the tibial fragment at the level of the distal metadiaphysis of the bone, a significant limitation of movements in this joint (flexion/extension 5°/0°/5°), and radiographs showed signs of fibrous ankylosis of the area with a decrease in the height of the ankle joint space. These changes worsened the quality of life of the patients, made it difficult for them to move, and limited the load on the affected limb.
CPT is still one of the most complex and time-consuming problems in pediatric orthopedics. A series of surgical interventions aimed primarily at restoring the integrity of bones and interventions to correct deformities of the affected segment can lead to secondary changes such as leg-length difference, adjacent joint contractures, and valgus deformity of the donor limb. These patients should take care of the affected limb for the rest of their lives because the risk of fractures persists in adulthood. Parents and representatives of young patients are most often satisfied with the result of treatment, which allowed them to save the limb, and they do not pay such close attention to secondary deformities and limitation of movement in the joints. Nevertheless, the issue of what is preferable, severe reconstructive interventions that will require long-term (several years) rehabilitation, without the possibility of a full return of the function of the lower limb, or amputation followed by orthotics, is not completely resolved. The patient’s family did not consider amputation as a possible treatment option. However, was such a reconstructive intervention justified and can the function of the affected lower limb be considered restored?
CONCLUSION
Transplantation of a vascularized fragment of the fibula in patients with CPT enables restoration of tibia integrity. Multiple interventions performed on the same segment can lead to irreversible secondary changes in adjacent joints and loss of function of this limb.
ADDITIONAL INFORMATION
Funding. The study was conducted within the budget financing.
Conflict of interest. The authors declare no conflicts of interest.
Ethical considerations. Protocol No. 20-3 of the meeting of the local ethics committee of the H.I. Turner National Medical Research Center for Сhildren’s Orthopedics and Trauma Surgery of the Ministry of Health of Russia dated November 20, 2020. The patients and their legal representatives provided consent for the processing and publication of personal data.
Author contributions. E.A. Zakharyan developed the study design and wrote the text of the article. N.G. Chigvariya wrote the text of the article and searched the literature. Yu.E. Garkavenko and A.P. Pozdeev developed the study design and edited the text of the article. D.Yu. Grankin developed the study design and searched the literature. K.A. Afonichev searched the literature and performed the material analysis.
All authors made a significant contribution to the research and preparation of the article, as well as read and approved the final version before its publication.
About the authors
Ekaterina A. Zakharyan
H. Turner National Medical Research Center for Сhildren’s Orthopedics and Trauma Surgery
Author for correspondence.
Email: zax-2008@mail.ru
ORCID iD: 0000-0001-6544-1657
SPIN-code: 4851-9908
MD, PhD, Cand. Sci. (Med.)
Russian Federation, Saint PetersburgNikolay G. Chigvariya
H. Turner National Medical Research Center for Сhildren’s Orthopedics and Trauma Surgery; North-Western State Medical University named after I.I. Mechnikov
Email: chigvariya72@mail.ru
ORCID iD: 0000-0003-4842-7639
SPIN-code: 4042-7092
MD, PhD, Cand. Sci. (Med.)
Russian Federation, Saint Petersburg; Saint PetersburgYuriy E. Garkavenko
H. Turner National Medical Research Center for Сhildren’s Orthopedics and Trauma Surgery; North-Western State Medical University named after I.I. Mechnikov
Email: yurigarkavenko@mail.ru
ORCID iD: 0000-0001-9661-8718
SPIN-code: 7546-3080
Scopus Author ID: 57193271892
MD, PhD, Dr. Sci. (Med.)
Russian Federation, Saint Petersburg; Saint PetersburgAlexander P. Pozdeev
H. Turner National Medical Research Center for Сhildren’s Orthopedics and Trauma Surgery; North-Western State Medical University named after I.I. Mechnikov
Email: prof.pozdeev@mail.ru
ORCID iD: 0000-0001-5665-6111
SPIN-code: 3408-8570
Scopus Author ID: 6701438186
ResearcherId: T-6146-2018
MD, PhD, Dr. Sci. (Med.), Professor
Russian Federation, Saint Petersburg; Saint PetersburgDenis Y. Grankin
H. Turner National Medical Research Center for Сhildren’s Orthopedics and Trauma Surgery
Email: grankin.md@gmail.com
ORCID iD: 0000-0001-8948-9225
MD, Research Associate
Russian Federation, Saint PetersburgKonstantin A. Afonichev
H. Turner National Medical Research Center for Сhildren’s Orthopedics and Trauma Surgery; North-Western State Medical University named after I.I. Mechnikov
Email: afonichev@list.ru
ORCID iD: 0000-0002-6460-2567
SPIN-code: 5965-6506
MD, PhD, Dr. Sci. (Med.)
Russian Federation, Saint Petersburg; Saint PetersburgReferences
- Romanus B, Bollini G, Dungl P, et al. Free vascular fibular transfer in congenital pseudoarthrosis of the tibia: results of the EPOS multicenter study. European Paediatric Orthopaedic Society (EPOS). J Pediatr Orthop B. 2000;9(2):90−93. doi: 10.1097/01202412-200004000-00003
- Ohnishi I, Sato W, Matsuyama J, et al. Treatment of congenital pseudarthrosis of the tibia: a multicenter study in Japan. J Pediatr Orthop. 2005;25(2):219−224. doi: 10.1097/01.bpo.0000151054.54732.0b
- Gilbert A, Brockman R. Congenital pseudarthrosis of the tibia. Long-term followup of 29 cases treated by microvascular bone transfer. Clin Orthop Relat Res. 1995;(314):37−44.
- El-Gammal TA, El-Sayed A, Kotb MM, et al. Crawford type IV congenital pseudarthrosis of the tibia: treatment with vascularized fibular grafting and outcome at skeletal maturity. J Pediatr Orthop. 2021;41(3):164−170. doi: 10.1097/BPO.0000000000001751
- Westberry DE, Carpenter AM, Tisch J, et al. Amputation outcomes in congenital pseudarthrosis of the tibia. J Pediatr Orthop. 2018;38(8):e475−e481. doi: 10.1097/BPO.0000000000001211
- Van Den Heuvel SCM, Winters HAH, Ultee KH, et al. Combined massive allograft and intramedullary vascularized fibula transfer: the Capanna technique for treatment of congenital pseudarthrosis of the tibia. Acta Orthop. 2020;91(5):605−610. doi: 10.1080/17453674.2020.1773670
- Kesireddy N, Kheireldin RK, Lu A, et al. Current treatment of congenital pseudarthrosis of the tibia: a systematic review and meta-analysis. J Pediatr Orthop B. 2018;27(6):541−550. doi: 10.1097/BPB.0000000000000524
- Shah H, Rousset M, Canavese F. Congenital pseudarthrosis of the tibia: Management and complications. Indian J Orthop. 2012;46(6):616−626. doi: 10.4103/0019-5413.104184
- Bauer AS, Singh AK, Amanatullah D, et al. Free vascularized fibular transfer with langenskiöld procedure for the treatment of congenital pseudarthrosis of the forearm. Tech Hand Up Extrem Surg. 2013;17(3):144−150. doi: 10.1097/BTH.0b013e318295238b
- Meselhy MA, Elhammady AS, Singer MS. Outcome of induced membrane technique in treatment of failed previously operated congenital pseudarthrosis of the tibia. Orthop Traumatol Surg Res. 2020;106(5):813−818. doi: 10.1016/j.otsr.2019.11.033
- Siebert MJ, Makarewich CA. Anterolateral tibial bowing and congenital pseudoarthrosis of the tibia: current concept review and future directions. Curr Rev Musculoskelet Med. 2022. doi: 10.1007/s12178-022-09779-y
- Iamaguchi RB, de Moraes MA, Silva GB, et al. Is obesity a risk factor for free vascularized fibular flap complications? Acta Ortop Bras. 2019;27(4):192−196. doi: 10.1590/1413-785220192704217444
- Zakharyan EA, Pozdeev AP, Vilensky VA. Treatment of deformities in patients with healed congenital pseudarthrosis of the tibia. Pediatric Traumatology, Orthopaedics and Reconstructive Surgery. 2018;6(4):27−36. (In Russ.). doi: 10.17816/PTORS6427-36
- Weiland AJ, Weiss AP, Moore JR, et al. Vascularized fibular grafts in the treatment of congenital pseudarthrosis of the tibia. J Bone Joint Surg Am. 1990;72(5):654−662.
- Rastogi A, Agarwal A. Surgical treatment options for congenital pseudarthrosis of tibia in children: cross-union versus other options: a systematic review. J Pediatr Orthop B. 2022;31(2):139−149. doi: 10.1097/BPB.0000000000000924
- Taylor GI, Corlett RJ, Ashton MW. The Evolution of free vascularized bone transfer: A 40-Year Experience. Plast Reconstr Surg. 2016;137(4):1292−1305. doi: 10.1097/PRS.0000000000002040
- Laufer A, Frommer A, Gosheger G., et al. Reconstructive approaches in surgical management of congenital pseudarthrosis of the tibia. J Clin Med. 2020;9(12):4132. doi: 10.3390/jcm9124132
Supplementary files













