Basic principles of examination and treatment of patients with post-traumatic heterotopic ossifications in the elbow joint
- Authors: Ovsyankin N.A.1, Nikityuk I.E.1
-
Affiliations:
- Research Children's Orthopedic Institute. G.I. Turner
- Issue: Vol 8, No 3 (2001)
- Pages: 8-12
- Section: Articles
- Submitted: 04.02.2022
- Accepted: 04.02.2022
- Published: 04.03.2022
- URL: https://journals.eco-vector.com/0869-8678/article/view/100210
- DOI: https://doi.org/10.17816/vto100210
- ID: 100210
Cite item
Full Text
Abstract
Results of complex examination and treatment of 103 patients, aged 4-14, with posttraumatic heterotopic ossificates in the elbow zone are presented. Clinical, radiologic, electrophysiologic, radioisotopic, biomechanical, termovision and morphologic methods were used. Depending on the extent of the pathological process the ossificates resection was performed with either simple or expanded arthrolysis of the elbow joint. Expanded arthrolysis included the formation of fossae and through canal in the distal humerus, open reduction or resection of the radius head. Long term follow up showed good and satisfactory functional and anatomical results in 89.3% and 85.7% of cases, respectively. The mean range of motion in elbow joints increased by 57°. Recurrent ossificates were observed only in 4.6%) of patients.
Full Text
Внескелетный остеогенез, нередко наблюдаемый после травм опорно-двигательного аппарата, — сложное явление, сущность которого до сих пор нельзя считать полностью выясненной. Наиболее частой локализацией гетеротопических оссифици-рующих процессов являются параартикулярные ткани локтевого сустава [3, 5]. Посттравматические гетеротопические оссификаты в области локтевого сустава у детей служат частой причиной развития ограничения движений в суставе различной степени [2, 8, 9]. Лечение больных с данной патологией остается одним из наименее разработанных вопросов травматологии [1, 7].
МАТЕРИАЛ И МЕТОДЫ
В основу работы положен анализ результатов обследования и лечения 103 больных в возрасте от 4 до 14 лет с посттравматическими гетеротопическими оссификатами в области локтевого сустава. Были использованы клинический, рентгенологический, электрофизиологический, радионуклидный, биомеханический, тепловизионный, морфологический методы исследования. В литературе имеются данные о высоком риске образования гетеротопических оссификатов после травм локтевого сустава у пациентов с заболеваниями центральной нервной системы [11]. Учитывая, что нервный фактор является определяющим в процессах репарации костной ткани [6], в настоящей работе изучались параметры, позволяющие судить о состоянии нервной системы у обследуемых детей. Поскольку пороки развития нервной системы нередко сопровождаются аномалиями развития позвоночника [4], особый интерес представляли результаты изучения дисплазий шейного отдела позвоночника, полученные на основе анализа рентгенограмм этого отдела, выполненных в двух стандартных проекциях и через рот.
РЕЗУЛЬТАТЫ ОБСЛЕДОВАНИЯ
Клиническое обследование начинали с анализа жалоб больных. Основной жалобой у 98 (95,1%) пациентов было ограничение или полное отсутствие движений в поврежденном локтевом суставе. Из них 68 (66%) больных отмечали небольшие ноющие боли в области бывшего повреждения, возникающие при движениях в локтевом суставе.
Из 103 больных с посттравматическими гетеротопическими оссификатами в области локтевого сустава 39 (37,9%) ранее перенесли чрез-и надмыщелковые переломы плеча. Вывих костей в локтевом суставе (головки лучевой кости, костей предплечья) имел место у 35 (33,9%) пациентов. У 67 (65%) больных в анамнезе были попытки закрытой репозиции отломков или вправления костей предплечья. 12(11,6%) пациентам до поступления в клинику проводилось оперативное вмешательство с целью открытой репозиции отломков или вправления костей предплечья. Эти операции, как правило, усугубляли тяжесть повреждения и способствовали развитию гетеротопических оссификатов. У 9 (8,7%) больных ранее предпринималось хирургическое вмешательство по поводу контрактур и оссификатов в области локтевого сустава.
У 7 больных (6,8%) по передней поверхности локтевого сустава отмечалась деформация в виде выпячивания под кожей, обусловленная наличием оссификата. При пальпации области оссификата в толще мышцы определялось малоболезненное, твердое, малоподвижное по отношению к кости образование. Оссификат препятствовал движениям в локтевом суставе, особенно сгибанию. Атрофия мышц поврежденной верхней конечности имелась у 74 (71,8%) больных.
Оссификат, а также развившаяся со временем ретракция мягких тканей в зоне повреждения создавали препятствие для осуществления функции сгибания—разгибания и ротации предплечья, что приводило к формированию сгибательно-разгибательных контрактур локтевого сустава. У 5 (4,8%) больных сформировался внесуставной анкилоз.
При неврологическом обследовании у 23 (22,3%) пациентов на стороне поражения выявлено снижение рефлексов с двух-и трехглавой мышц плеча, карпорадиального рефлекса. У 5 (4,8%) больных отмечено нарушение кожной чувствительности на плече и предплечье пораженной конечности в виде гипо-или гиперестезии. У 2 пациентов имели место атрофия мышц гипотенара и явления неврита локтевого нерва.
Рентгенологическое обследование показало, что посттравматические гетеротопические оссификаты в области локтевого сустава у детей были преимущественно единичными. Размер их варьировал от 0,5 до 8 см. Зависимости степени ограничения функции локтевого сустава от размеров оссификата не установлено.
Чаще всего оссификаты локализовались в переднем отделе локтевого сустава, реже — в заднем. Локализация оссификатов в значительной мере определяла их клиническую значимость, поскольку они являлись механическим препятствием движениям в локтевом суставе. Располагались оссификаты в различных по строению тканях: в мышцах, связках, сухожилиях, но в большинстве случаев — в суставной сумке (66,6%).
Дополнительное рентгенологическое исследование локтевого сустава в крайних положениях сгибания и разгибания предплечья подтвердило, что у 82,1% больных оссификат являлся механическим препятствием, в значительной степени ограничивающим функцию сустава.
Зрелые оссификаты через 6-7 мес после травмы рентгенологически представлялись стабильными образованиями с отчетливым рисунком костной ткани. На поверхности их определялась склеротическая кайма — тонкий слой более плотной кости служивший своеобразной замыкающей пластинкой.
Анализ результатов рентгенологического исследования шейного отдела позвоночника у детей с последствиями травм локтевого сустава показал что диспластические изменения верхнешейных позвонков значительно чаще встречались в группе больных, у которых развились оссификаты в области локтевого сустава. Этот факт свидетельствует в пользу гипотезы об индивидуальной предрасположенности к образованию гетеротопических оссификатов у лиц со скрытыми аномалиями развития центральной нервной системы.
При электромиографическом исследовании у 41,3% детей с посттравматическими гетеротопическими оссификатами в области локтевого сустава обнаружены структурные изменения электрической активности мышц верхних конечностей, что указывало на нарушение функции мотонейронного аппарата спинного мозга на уровне шейного утолщения.
Реовазографическое исследование сосудов верхних конечностей выявило снижение показателей объемного кровотока в мышцах, окружающих локтевой сустав, на стороне поражения у всех обследованных больных.
При исследовании кровотока с использованием радионуклидного метода у 77,3% обследованных пациентов обнаружен повышенный уровень кровенаполнения в пораженном сегменте, что предполагает гиперваскуляризацию в области оссификатов. Изучение процесса накопления остеотропного радиофармпрепарата (99тТс пирфотехдифосфонат) в костной ткани оссификатов показало, что в период до 6 мес после травмы у 81,8% больных имела место отчетливая гиперфиксация изотопа в области расположения оссификата, достигавшая 380% (в среднем 160%) от показателя аналогичной зоны на здоровой стороне. У 18,2% больных повышенное накопление радиофармпрепарата в оссификатах регистрировалось до 2 лет. Длительное сохранение повышенной активности метаболических процессов в тканях оссификатов свидетельствует о продолжающихся процессах созревания гетеротопической кости [10].
Тепловизионное исследование подтвердило усиление кровоснабжения и интенсивности метаболических процессов в ткани оссификатов на этапе их созревания у 89% больных; полученные данные указывали также на возможность нейротрофических нарушений в области формирования гетеротопической кости.
Биомеханическое исследование позволило установить прямую зависимость снижения силы мышц пораженной конечности от степени ограничения амплитуды движений в локтевом суставе.
При морфологическом исследовании оссификатов выявлялась структура костной ткани разной степени зрелости. В период созревания оссификатов костеобразование в них происходило в основном эндостальным путем. В зрелых оссификатах более интенсивным было периостальное костеобразование.
ЛЕЧЕНИЕ
Лечение проводилось по следующим основным направлениям: 1) профилактика образования гетеротопических оссификатов после травмы; 2) консервативное лечение; 3) оперативное лечение; 4) профилактика рецидивов оссификатов после хирургического вмешательства.
Только консервативное лечение, проведенное 38 пациентам, было направлено не на ликвидацию оссификата, а на улучшение функции локтевого сустава: увеличение амплитуды активных и пассивных движений, устранение болевого синдрома, повышение силы мышц.
При анализе рентгенограмм локтевых суставов больных этой группы отмечено, что оссификаты у них, как правило, не были клинически значимыми: они имели относительно небольшой размер, располагались преимущественно по наружной и внутренней поверхности локтевого сустава, не препятствовали движениям в нем.
Комплекс восстановительных мероприятий включал физиотерапевтические процедуры, массаж, лечебную гимнастику, укладки конечности в крайние положения при помощи мешочков с песком, лечебное плавание.
Большое внимание уделялось лечебной физкультуре, которая проводилась индивидуальным и групповым методом. Применение ЛФК было необходимо для растяжения посттравматических рубцов, сморщенной и утолщенной суставной сумки, фиброзно-перерожденных прилегающих к суставу мышц.
Из физиотерапевтических процедур использовались ультрафиолетовое облучение (5 процедур), УВЧ-терапия (7 процедур), а также озокеритовые аппликации на область локтевого сустава температурой 40°С, продолжительностью до 40 мин (на курс 15-20 процедур). Широко применялся электрофорез 3% раствора хлористого натрия или йодистого калия, лидазы (64 ЕД), гумизо-ля (1 мл) — по 10~12 процедур. Назначался фонофорез трилона Б (по 6~8 мин) на область пораженного локтевого сустава (до 15 процедур). Для улучшения функции поврежденной конечности проводилась магнитно-импульсная стимуляция мышц плеча и предплечья (10 процедур), электростимуляция мышц плеча (10~12 процедур). Хороший эффект давала лазеротерапия (10 процедур).
С первых дней консервативного лечения назначался массаж мышц плеча и предплечья (20-25 процедур). Массаж проводился избирательно, с учетом характера контрактуры.
Отдаленные функциональные результаты консервативного лечения изучены у 32 больных в сроки от 6 мес до 5 лет. Хороший результат отмечен у 20 (62,5%) больных, удовлетворительный — у 11 (34,4%); у 1 (3,1%) больного улучшения функции локтевого сустава не наступило.
Оценка двигательной функции сустава показала, что сгибание в нем увеличилось с 64,5±5,06 до 45,2±2,87° (р<0,05), а разгибание — со 152,7±5,06 до 172,4±2,48° (р<0,01). В среднем амплитуда сгибания—разгибания возросла на 39°. Значительно лучше восстановились ротационные движения предплечья: пронация увеличилась с 65,7±1,72 до 86,6±1,0Г (р<0,01), супинация — с 56,2±3,09 до 85,0±3,54° (р<0,05). В среднем амплитуда ротационных движений предплечья возросла на 49,7°.
При безуспешности консервативной терапии проводилось оперативное лечение. Всего было оперировано 65 пациентов. Оперативные вмешательства в основном выполнялись не ранее чем через 5—6 мес с момента травмы, т.е. после созревания оссификатов (что подтверждалось данными рентгенологического и радионуклидного исследований). Наибольшее число больных (28 человек — 43,1%) были оперированы в сроки от 1 года до 3 лет после травмы.
Показаниями к хирургическому лечению являлись: резкое ограничение функции локтевого сустава, обусловленное механическим препятствием; сдавление оссификатом сосудисто-нервного пучка; оссификат в сочетании с вывихом головки лучевой кости; внесуставной анкилоз локтевого сустава. Выбор метода оперативного лечения зависел от вида перенесенной травмы, характера оссифи-кации параартикулярных тканей и степени ограничения функции локтевого сустава.
Вопрос об оперативном доступе решался с учетом локализации оссификата. Чаще оссификаты располагались по передней поверхности плечевой кости, около головки луча, головки мыщелка плеча, венечного отростка, реже — по задней поверхности плечевой кости, у локтевого отростка. Поэтому оптимальным был разрез мягких тканей по наружной поверхности локтевого сустава, из которого можно подойти как к переднему, так и к заднему отделу сустава.
Операции, заключавшиеся только в удалении оссификата, произведены 13 (20%) больным. Оссификаты у них не были вовлечены в суставную сумку, располагались на некотором расстоянии от сустава, препятствуя движениям в нем.
Наиболее часто удаление оссификата сочеталось с артролизом локтевого сустава. Простой артролиз выполнялся в случаях, когда движениям в локтевом суставе препятствовали оссификат и рубцовые изменения суставной сумки. Такие операции произведены 28 (43,1%) больным. У остальных пациентов удаление оссификатов сочеталось с расширенным артролизом локтевого сустава.
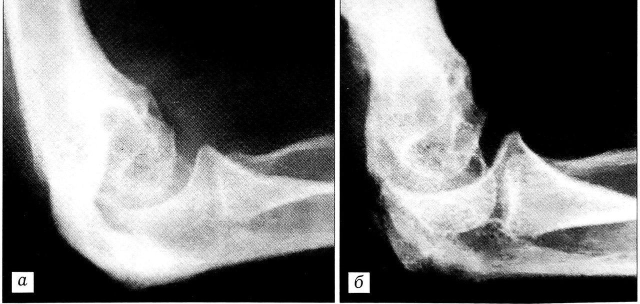
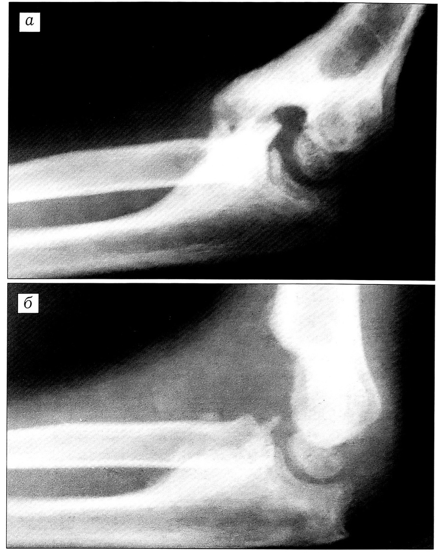
При внесуставном анкилозе у 8 (12,3%) больных произведено удаление оссификата с артролизом и формированием ямок плечевой кости (рис. 1). У 4 (6,1%) больных ямки плечевой кости оказались полностью заполненными костной тканью. У этих пациентов произведено удаление оссификата с формированием «сквозного» канала в дистальном отделе плечевой кости (рис. 2).
При застарелом вывихе головки лучевой кости у 10 (15,4%) больных удаление оссификата сочеталось с открытым вправлением головки лучевой кости. У 2 (3,1%) больных 14 лет вследствие перелома шейки лучевой кости развилась деформация ее головки, препятствовавшая сгибанию в локтевом суставе. Им произведено удаление оссификата в сочетании с резекцией головки лучевой кости.
При оперативном вмешательстве первым этапом обычно осуществляли артролиз локтевого сустава, затем удаляли оссификат, восстанавливали внутрисуставные взаимоотношения.
Для предотвращения рецидивов образования оссификатов соблюдали следующие правила: 1) удаление оссификата производили атравматично; 2) при спаянии оссификата с костью удаляли его на уровне кортикального слоя скелетной кости; 3) капсулу, покрывающую оссификат, полностью удаляли; 4) после удаления оссификата производили тщательный гемостаз (для остановки кровотечения из губчатой кости втирали расплавленный воск), осуществляли дренирование раны; 5) полость, образовавшуюся после удаления оссификата, ушивали.
В течение 5 дней после операции больные находились на постельном режиме. В дальнейшем всем пациентам проводилось комплексное восстановительное лечение, направленное на профилактику рецидивов оссификации, увеличение амплитуды движений в локтевом суставе, улучшение функционального состояния мышц верхней конечности.
С первого дня после операции в течение 2~3 нед больные принимали внутрь индометацин, который, по данным литературы, тормозит процесс гетеротопического костеобразования. Дети от 10 до 14 лет получали препарат в дозе 12 мг 3 раза в день, для детей младшего возраста дозировку уменьшали в 2 раза. В дальнейшем назначали внутрь на 2 нед ортофен, оказывающий аналгезирующее и противовоспалительное действие, что уменьшало раздражение рефлексогенных зон в области локтевого сустава. Дети от 10 до 14 лет получали препарат по 25 мг 3 раза в день, дети младшего возраста — 2 раза в день.
Занятия лечебной гимнастикой начинали проводить — крайне бережно — с 10-14-го дня после операции, за исключением случаев оперативного вправления головки лучевой кости, когда к занятиям ЛФК приступали через 3 нед после вмешательства. На начальном этапе упражнения были направлены на улучшение функции сгибания и разгибания в локтевом суставе, в дальнейшем подключались ротационные движения предплечья. Больные, перенесшие операцию вправления головки лучевой кости, выполняли сгибательные и разгибательные движения при супинированном положении предплечья во избежание повторного вывиха. Пронационные движения предплечья в этих случаях начинали применять через 1 мес после операции. В период разработки движений больным в течение 10 дней назначался баклофен по 0,01 г внутрь 1 раз в день за 40 мин до начала занятий ЛФК
Рис. 1. Рентгенограммы локтевого сустава больной У.: а — до операции; б — после операции: удаления оссификата в сочетании с артротомией и формированием ямок плечевой кости.
Рис. 2. Рентгенограммы локтевого сустава больного М.: а — до операции; б — после операции: удаления оссификата в сочетании с формированием «сквозного» канала в дистальном отделе плечевой кости.
Объем движений в локтевом суставе (в градусах) у больных с гетеротопическими оссификатами до и после хирургического лечения
Показатель | До операции | После операции | |
в ближайшие сроки | в отдаленные сроки | ||
Сгибание | 69,2±3,7 | 50,2±2,8 | 47,8±1,6 |
Разгибание | 134,5±2,9 | 156,5±2,7 | 164,8±1,6 |
Амплитуда движений | 65,3 | 106,3 | 117 |
Наряду с лечебной гимнастикой через 1 мес после операции проводили физиотерапевтические процедуры на область локтевого сустава, направленные на увеличение эластичности рубцовых тканей: электрофорез лидазы и гумизоля, фонофорез трилона Б, в последнюю очередь применялись озокеритовые аппликации.
Из 65 оперированных детей отдаленные результаты лечения изучены у 56 (86,2%) в сроки от 6 мес до 8 лет (см. таблицу). В среднем амплитуда движений в локтевом суставе увеличилась на 57°.
Наиболее полное восстановление сгибания и разгибания в локтевом суставе в отдаленные сроки после хирургического лечения отмечено после операций удаления оссификата и удаления оссификата в сочетании с открытым вправлением головки лучевой кости. Высокий процент хороших результатов достигнут и после удаления оссификата с простым артролизом локтевого сустава, хотя при этом методе лечения преобладали удовлетворительные исходы.
Хорошие и удовлетворительные функциональные результаты при хирургическом лечении получены у 89,3% больных, неудовлетворительные — у 10,7%, хорошие и удовлетворительные анатомические результаты — у 85,7%, неудовлетворительные — у 14,3% больных. У 3 (4,6%) пациентов, несмотря на проведенный комплекс профилактических мероприятий, выявлены рецидивы образования гетеротопических оссификатов, оссифика-ция параартикулярных тканей и суставной сумки, у 2 больных это стало препятствием к улучшению функции локтевого сустава. По данным литературы, при хирургическом лечении таких больных неудовлетворительные исходы наблюдаются в 24-54% случаев [2, 12].
Таким образом, при оперативном лечении детей с посттравматическими гетеротопическими оссификатами в области локтевого сустава удалось добиться значительного улучшения его функции при соблюдении мер профилактики рецидивов.
About the authors
N. A. Ovsyankin
Research Children's Orthopedic Institute. G.I. Turner
Author for correspondence.
Email: info@eco-vector.com
Russian Federation, St. Petersburg
I. E. Nikityuk
Research Children's Orthopedic Institute. G.I. Turner
Email: info@eco-vector.com
Russian Federation, St. Petersburg
References
Supplementary files




