Facet syndrome and its treatment by radiofrequency denervation
- Authors: Nazarenko G.I.1, Rukhmanov A.A.1
-
Affiliations:
- Medical Center of the Central Bank of the Russian Federation
- Issue: Vol 8, No 4 (2001)
- Pages: 3-9
- Section: Articles
- Submitted: 05.02.2022
- Accepted: 05.02.2022
- Published: 04.03.2022
- URL: https://journals.eco-vector.com/0869-8678/article/view/100217
- DOI: https://doi.org/10.17816/vto100217
- ID: 100217
Cite item
Full Text
Abstract
It is shown that radio-frequency denervation (RFD) is one of the most economical and effective methods for the treatment of pain syndrome in degenerative spine diseases. Innervation of different elements of spine segments as well as theoretical grounding of RFD application is given. The first experience of RFD use is summarized and analyzed. The technique of RFD for the treatment of discogenic and arthrogenic spine pathology at different levels is described (41 patients). It is shown that RFD can be considered as a palliative treatment method. Stability of RFD effect, possibility of repeated course make this method attractive to both the physicians and patients. RFD differs from all known noninvasive methods by its high efficacy and by its safety when compared with the invasive ones.
Keywords
Full Text
Согласно данным эпидемиологических исследований, проведенных в странах с развитой экономикой и медициной, более 70% пациентов на первичном приеме у врача жалуются на недомогание, связанное с заболеванием позвоночника [28]. Установлено, что наиболее частыми причинами боли в том или ином отделе позвоночника являются патологические изменения дегенеративного характера в межпозвонковых дисках, связках, мышцах, межпозвонковых (дугоотростчатых, фасеточных) суставах [12]. Широкое распространение этой патологии привело к значительному повышению интереса к ней, развитию новых технологий диагностики и лечения. Одним из вариантов устранения позвоночной боли является метод радиочастотной денервации межпозвонкового (фасеточного) сустава, основанный на знании особенностей иннервации элементов позвоночного сегмента.
Межпозвонковый, фасеточный, или дугоотростчатый, сустав (art. zygapophyseales) образуется верхним и нижним суставными отростками и окружен суставной капсулой, которая прикрепляется по краю суставного хряща. Дугоотростчатый сустав иннервируется медиальными веточками задней (дорсальной) ветви спинномозгового нерва. Каждая медиальная веточка направляется вокруг основания верхнего суставного отростка и проходит через углубление, образованное lig. mamilloaccessorius. В этом месте отходят маленькие веточки нерва к капсуле фасеточного сустава. Медиальная нисходящая веточка идет каудальнее и, разделяясь на несколько частей, иннервирует мышцы, связки и частично нижележащий межпозвонковый сустав [2, 3, 5, 21] (рис. 1). Таким образом, иннервация каждого дугоотростчатого сустава осуществляется по меньшей мере с двух уровней (по некоторым данным — с трех). Например, дугоотростчатый сустав L4-5 иннервируется из корешковых нервов уровней L3 и L4 (возможно, L2).
Рис. 1. Схема иннервации дугоотростчатых суставов.1 — lig. mamilloaccessorius; 2 — спинномозговой нерв; 3~6 — ветви спинномозгового нерва: 3 — дорсальная ветвь, 4 — латеральная, 5 — промежуточная, 6 — медиальная веточки.
В тканях позвоночного сегмента представлены различные типы нервных окончаний. Капсула фасеточного сустава содержит инкапсулированные, не инкапсулированные и свободные нервные окончания [14, 19, 24]. Структура нервных окончаний влияет как на тип чувствительности, так и на ее интенсивность. Свободно заканчивающиеся немиелинизированные нервные волокна реагируют на химические и механические раздражители, вызывал чувство боли. Данные экспериментальных электрофизиологических исследований указывают также на существование болевых рецепторов внутри и вокруг дугоотростчатого сустава [29]. Все это позволяет рассматривать фасеточный сустав как источник боли в позвоночнике.
МАТЕРИАЛ И МЕТОДЫ
Под нашим наблюдением находился 41 пациент (25 женщин и 16 мужчин) в возрасте от 35 до 68 лет. Поводом для обращения к врачу являлись боли в грудном (9 человек) и поясничном (32) отделе позвоночника.
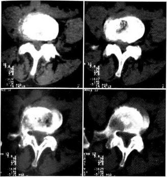
Всем больным проводилось лучевое обследование, включавшее рентгенографию позвоночника в двух проекциях (при поясничной боли дополнительно выполнялись функциональные пробы), в сомнительных случаях для исключения дискорадикулярного конфликта назначалась магнитно-резонансная или компьютерная (предпочтительнее) томография пораженного отдела (рис. 2). У 13 больных была выявлена нестабильность сегментов L5~S1 и L4-5. На основании результатов клинического и рентгенологического обследования установлено, что причиной болевого синдрома у рассматриваемой группы пациентов являлись дегенеративные изменения в межпозвонковых суставах, т.е. диагноз формулировался как спондилоартроз определенных сегментов (в грудном отделе чаще были поражены сегменты от ТЗ до Т12, в поясничном отделе — L3-4, L4~5, L5-S1).
Учитывая тот факт, что не все клиницисты признают роль патологии межпозвонковых суставов в генезе боли в спине, следует подробнее остановиться на клинике фасеточного синдрома. Часто начало боли связано с разгибанием и ротацией позвоночника и другими торсионными перегрузками. Исходящая из фасеточных суставов отраженная боль носит латерализованный, диффузный, трудно локализуемый характер и, как правило, не опускается ниже колена. Она ограничивается грудной или пояснично-крестцовой областью над пораженным суставом, иррадиирует в ягодичную область и верхнюю часть бедра (при поясничной локализации). Фасеточная боль может быть более или менее схваткообразной. Характерно появление кратковременной утренней скованности и нарастание боли к концу дня. Боль усиливается от длительного стояния, разгибания, особенно если оно сочетается с наклоном или ротацией в больную сторону, при перемене положения тела из лежачего в сидячее и наоборот. Разгрузка позвоночника — легкое его сгибание, принятие сидячего положения, использование опоры (стойка, перила) — уменьшает боль.
При физикальном обследовании можно выявить сглаженность поясничного лордоза, ротацию или искривление позвоночника в грудном, грудопоясничном или пояснично-крестцовом отделе, напряжение паравертебральных мышц и/или квадратной мышцы спины на больной стороне, мышц подколенной ямки, ротаторов бедра. Характерна локальная болезненность при пальпации области пораженного сустава. Как правило, какие-либо неврологические чувствительные, двигательные и рефлекторные расстройства отсутствуют. Не характерны и симптомы натяжения нервных корешков, ограничение движений как таковых. Иногда, в хронических случаях, выявляется некоторая слабость разгибателей позвоночника и мышц подколенной ямки.
Боль от сустава L5~S1 отражается в область копчика, тазобедренного сустава, заднюю поверхность бедра, иногда в паховую область. Раздражение сустава L4-5 характеризуется болью, иррадиирующей от места раздражения в ягодицу, заднюю поверхность бедра и тазобедренного сустава и лишь изредка — в копчик. От сустава L3~4 боль распространяется в грудную область, на боковую поверхность живота, в пах, достигает передней поверхности бедра и очень редко — копчика и промежности. Раздражение фасеточных суставов более высокого уровня (T12-L1, Ll-2, L2~3) сопровождается появлением болезненных ощущений в верхних отделах спины и живота, грудном и даже шейном отделах [18, 20, 25]. Боль от суставов Т3~5 часто иррадиирует в межлопаточную, подлопаточную область. Авторы, приводящие эти данные, отмечают перекрытие болевого паттерна между верхними и нижними поясничными фасеточными суставами, что объясняется сложной иннервацией: каждый фасеточный сустав и околосуставное пространство иннервируется с двух или трех соседних уровней.
Рис. 2. Деформирующий артроз дугоотростчатых суставов поясничных позвоночных сегментов по данным КТ.
Рис. 3. Радиочастотная деструкция фасеточных нервов в поясничном отделе позвоночника.
Уменьшение или полное купирование болевого синдрома после параартикулярной диагностичес-кой блокады 2% раствором лидокаина на уровне поражения позволяет окончательно установить, что боль исходит из пораженного сустава.
Всем нашим больным проводилось консервативное лечение в амбулаторных условиях. Терапевтический комплекс включал медикаментозное лечение (нестероидные противовоспалительные препараты, витаминотерапия, биостимуляторы и т.д.), параартикулярные блокады, применявшиеся с диагностической и лечебной (с обязательным введением умеренных доз стероидов) целью, физиотерапию, массаж, корсетотерапию, психотерапию. В связи с недостаточной эффективностью консервативного лечения или кратковременностью эффекта больным была произведена радиочастотная деструкция фасеточных нервов, которой мы в последнее время отдаем предпочтение при лечении фасеточного синдрома.
Манипуляция выполнялась в операционной в амбулаторных условиях. В положении больного на животе под местной анестезией (10 мл 2% раствора лидокаина) под контролем электронно-оптического преобразователя производили пункцию параартикулярной области в зоне расположения нервов, идущих к суставной капсуле. Как правило, одномоментно выполняли пункцию на трех—четырех уровнях с одной стороны. В 2 случаях в связи с тяжестью заболевания пункция проводилась с обеих сторон. Положение иглы контролировали в двух проекциях. Затем с помощью радиочастотного генератора RFG-3C PLUS фирмы «Radionics» осуществляли электростимуляцию фасеточных нервов с частотой 50 и 2 Гц. Наличие болевой реакции считали критерием корректного положения иглы (рис. 3).
Затем с целью анестезии зону предполагаемой деструкции орошали 2% раствором лидокаина (не более 1 мл) и производили собственно радиочастотную денервацию. Больные переносили манипуляцию хорошо. В течение 30 мин они соблюдали постельный режим, а затем им разрешалось вставать. В ближайшие 5-7 дней рекомендовалось носить ортопедический фиксирующий бандаж, находясь в вертикальном положении. По истечении этого срока пациенты приступали к работе.
РЕЗУЛЬТАТЫ
Через сутки после выполнения описанной манипуляции в 40% случаев положительный эффект был выражен слабо. Но через 3 дня (по всей видимости, после уменьшения отека мягких тканей параартику лярной области) у 70% пациентов болевой синдром стойко уменьшался. У остальных больных отмечен положительный эффект к концу 1-й недели. Только в одном случае болевой синдром купировать не удалось, что может быть связано с техническими погрешностями в период освоения методики.
Рис. 4. Радиочастотная деструкция фасеточных нервов при сколиотической деформации грудного отдела позвоночника.
Результаты у 29 больных прослежены в сроки от 4 до 7 мес, у остальных период после манипуляции не превышает 3 мес. Во всех наблюдениях болевой синдром не рецидивировал, пациенты сохраняют высокую двигательную активность. Особенно интересен случай лечения спондилоартроза грудного отдела позвоночника у больной с диспластическим грудным сколиозом III—IV степени. Отсутствие эффекта от проводимой терапии и наличие болевого синдрома в течение последних 8 лет побудили нас к проведению радиочастотной денервации межпозвонковых суставов на вершине искривления с вогнутой стороны (рис. 4). Эффект был весьма впечатляющим: по шкале болевого аудита субъективный показатель интенсивности болевого синдрома снизился с 31 до 6 баллов. Необходимо также сказать, что мы не отметили никаких осложнений ни во время выполнения манипуляции, ни в раннем послеоперационном периоде.
ОБСУЖДЕНИЕ
В нормальном позвоночном двигательном сегменте, включающем трехсуставной комплекс, силы тяжести распределяются следующим образом: от 70 до 88% приходится на тела позвонков и от 12 до 30% — на межпозвонковые (фасеточные) суставы [1, 23, 30]. Это определяется тем, что передние отделы позвоночного столба (передняя продольная связка, передняя часть тела позвонка и межпозвонкового диска) предназначены главным образом для сопротивления силам тяжести, а задние отделы (фасеточные суставы, дуги, поперечные и остистые отростки) — для защиты от аксиальных, ротационных и смещающих в переднезаднем и боковых направлениях сил.
При поражении дисков, с которых чаще всего начинаются дегенеративные изменения в позвоночнике, весовая нагрузка постепенно переходит на межпозвонковые суставы, достигая 47-70% [1, 30]. Такая перегрузка суставов ведет к последовательным изменениям в них: синовиту с накоплением синовиальной жидкости между фасетками, дегенерации суставного хряща, растягиванию капсулы суставов и подвывихам в них. Продолжающаяся дегенерация, которой способствуют повторные микротравмы, весовые и ротационные перегрузки, влечет за собой развитие периартикулярного фиброза и формирование субпериостальных остеофитов. Последние увеличивают размер верхних и нижних фасеток, которые приобретают грушевидную форму. В конце концов суставы резко дегенерируют, почти полностью теряют хрящ. Параллельно этому процессу происходит и дегенерация диска. Сочетание изменений в диске и фасеточных суставах приводит к болевым проявлениям и резкому ограничению движений в соответствующем двигательном сегменте позвоночника.
Боль, возникающая при дегенеративных заболеваниях позвоночника, в подавляющем большинстве случаев носит хронический характер — имеет склонность к продолжительному существованию и рецидивированию. Возросшее внимание к лечению хронической боли обусловлено не только стремлением облегчить страдания пациентов, но и экономическим фактором — повышенными затратами общества на ее лечение.
Одним из самых эффективных методов лечения боли являются блокады. Главная задача блокады состоит в прерывании потока нервных импульсов от патологически измененной ткани или органа. Блокады бывают кратковременными (анестетики) и продолжительными (разрушение нерва). Известны следующие методики разрушения нервной ткани: хирургическая деструкция, химическая деструкция, криокоагуляция, электро- и радиочастотная деструкция, направленная ультразвуковая денервация, повреждение нерва ионизирующей радиацией.
Наиболее широко по сей день применяется химическая деструкция, при которой действующими агентами являются этанол и фенол. Использование фенола основано на его способности вызывать денатурацию белков аксонов и периферических кровеносных сосудов. Более того, он может оказывать местное аналгезирующее действие, и в связи с этим его применение предпочтительнее. Однако химическая деструкция, к сожалению, может приводить к невритам. Она мало контролируема, поскольку спирт может распространяться по тканям. Из-за малой управляемости непригодны и другие методы денервации. Хирургическая деструкция требует оперативного вмешательства, а для проведения криокоагуляции приходится использовать очень большие иглы.
Главными преимуществами радиочастотной денервации являются:
- контролируемый объем деструкции;
- контроль термического воздействия за счет постоянного мониторинга нагревания и электрического сопротивления тканей на конце иглы;
- подтверждение правильности расположения иглы методом электростимуляции;
- универсальность электродов (возможность их многократного использования при воздействии на разные отделы позвоночника);
- проведение манипуляции под местной анестезией в амбулаторных условиях;
- короткий восстановительный период после проведения денервации;
- низкая частота осложнений;
- возможность повторного проведения деструкции. Радиочастотное разрушение нервной ткани может применяться при следующих заболеваниях: невралгия тройничного нерва, неоперабельные формы рака, болевые синдромы при поражениях позвоночника, межреберная невралгия и др. Общими противопоказаниями являются зависимость от наркотических и седативных препаратов, алкоголя, наличие социальных и психологических факторов, определяющих неадекватное восприятие боли.
Особый интерес у клиницистов, занимающихся лечением заболеваний позвоночника консервативными и оперативными методами, вызывает лечение позвоночной боли, обусловленной патологией дугоотростчатых суставов. В 1911 г. Goldthwait первым высказал мнение о дугоотростчатом суставе как возможном источнике боли в позвоночнике. В 1933 г. Ghormley [11] ввел термин «фасеточный синдром» и описал его клинические признаки. С тех пор было проведено множество исследований, посвященных изучению зигапофизальных суставов и поясничной боли. В некоторых работах воспроизводилась типичная боль в поясничном отделе позвоночника путем введения гипертонического раствора в капсулу межпозвонкового сустава [14, 16]. Mooney и Robertson [21] использовали для изучения отраженной боли артрографию. Особое внимание они уделяли техническому аспекту, т.е. точному введению стероидов и местных анестетиков в дугоотростчатый сустав пациентам с ноющими болями в позвоночнике и ишиалгией. Развив эти исследования, многие авторы смогли показать важную роль фасеточных суставов в возникновении боли в позвоночнике.
Однако не все клиницисты признают участие патологии суставов позвоночника в генерации болевых ощущений. Подобный скепсис объясняется рядом причин. Боль, исходящая из фасеточного сустава, не может быть надежно диагностирована на чисто клинической основе, так как случаи, когда боль в спине вызвана только патологией фасеточного сустава, довольно редки. Нет надежных анамнестических или физикальных данных, позволяющих выделить таких больных из общей массы пациентов с поясничной болью. Далеко не всегда могут помочь в этом плане и лучевые методы диагностики (рентгенография позвоночника, КТ, МРТ, радионуклидное сканирование), хотя они позволяют определить наличие или отсутствие патологии фасеточных суставов. Обнаружение ее не означает, что боль исходит именно из фасеточного сустава, так же как и отсутствие визуализируемых изменений не означает, что источником боли не является фасеточный сустав. Опираясь на данные литературы и результаты собственных исследований, Jackson [15] заявлял, что «фасеточный синдром» нельзя считать достоверным клиническим диагнозом. Тем не менее, достоверное уменьшение болевых проявлений после инъекции анестетиков в дугоотростчатые суставы доказывает патофизиологическую значимость дегенерации суставов позвоночника в генезе поясничной боли.
Данные о частоте спондилоартроза разноречивы. По результатам односторонней анестезии межпозвонкового сустава, она колеблется в больших пределах — от 7,7 до 75% от общего числа страдающих болями в позвоночнике [6, 8, 10, 13, 22]. При двусторонней блокаде суставов показатели более реальны — от 15 до 40% [4, 21, 26, 27]. Имеются сообщения о том, что продолжительный положительный эффект интра- и параартикулярных блокад наблюдается у 20~30% пациентов, тогда как временное уменьшение боли происходит в 50-68% случаев [7, 9, 17].
Таким образом, одним из основных критериев отбора больных для денервации межпозвонковых суставов служит положительный результат диагностической параартикулярной блокады. Кроме того, показаниями к радиочастотной деструкции являются:
- боль в поясничном отделе, сохраняющаяся долее 6 мес;
- обострение боли в позвоночнике после активного разгибания, длительного нахождения в положении сидя или стоя;
- усиление боли в позвоночнике при глубокой пальпации суставов;
- отсутствие неврологических отклонений;
- отсутствие улучшения после физиотерапии;
- интенсивность боли по шкале болевого аудита свыше 15 баллов.
Противопоказаниями служат возраст больных моложе 18 и старше 72 лет, наличие корешковой неврологической симптоматики, перенесенные ранее операции на позвоночнике, расстройства спинального кровообращения в анамнезе.
Заключение. Наш небольшой пока опыт свидетельствует о том, что методика радиочастотной денервации межпозвонковых дисков и фасеточных нервов высокоэффективна, а главное, безопасна. Это подтверждается материалами многочисленных «клиник боли», в которых данный метод является основным в лечении хронической боли. Радиочастотную денервацию можно рассматривать как паллиативное лечение, но стойкость ее эффекта, возможность повторного проведения делают ее привлекательной как для врачей, так и для пациентов.
Любая «радикальная» операция предполагает длительное хирургическое вмешательство, фиксацию позвоночных сегментов (т.е. нарушение биомеханики позвоночника), возможность интра- и послеоперационных осложнений, высокую стоимость лечения. Радиочастотная деструкция выгодно отличается от всех известных неинвазивных методов высокой эффективностью, а от инвазивных — подкупающей безопасностью.
About the authors
G. I. Nazarenko
Medical Center of the Central Bank of the Russian Federation
Author for correspondence.
Email: info@eco-vector.com
Russian Federation, Moscow
A. A. Rukhmanov
Medical Center of the Central Bank of the Russian Federation
Email: info@eco-vector.com
Moscow
References
Supplementary files






